Что это такое гарднерелла, симптомы, лечение и фото
Гарднерелла, что это такое и как лечить ее? Именно этими вопросами задаются многие из тех женщин, чей организм поразила инфекция. Немногие знают о том, что она передается половым путем.
Чтобы гарднерелла, симптомы которой не самые приятные, не поразила организм, стоит позаботиться о надежной защите и предохранении.
Достаточно часто дамы не имеют представления о том, что у них в организме уже присутствует эта проблема, и что стоит начинать лечение. Избежать последствий можно при регулярном посещении гинеколога.
Как передаются гарднереллы?
Гарднереллы часто выявляются, если присутствует бактериальный вагиноз. Эта болезнь развивается, когда нормальная микрофлора влагалища начинает замещаться патогенными микроорганизмами.
Заразиться бактерией можно через незащищенный сексуальный контакт. Этому способствует частая смена половых партнеров.
Попадание гарднереллы в организм возможно через бытовой контакт. Использование общих полотенец, мочалок, средств личной гигиены влечет за собой проникновение микробов с этих предметов в организм.
Чтобы развилось заболевание, нужны некоторые факторы:
- чрезмерное спринцевание;
- использование контрацептивов, в которых присутствует 9- ноноксинол;
- применение антибактериальных препаратов;
- множество половых партнеров.
Присутствие данных бактерий в организме необязательно вызывает заболевание. Именно в совокупности с предрасполагающими факторами, возникает патология.
Сколько длится инкубационный период гарднереллеза?
Инкубационный период — это время с момента заражения и до возникновения проявлений заболевания. В случае гарднереллеза, этот этап продолжается от 3 до 10 дней.
Воспаление из-за этого микроорганизма встречается в основном у женщин.
У мужчин тоже может присутствовать в организме эта бактерия. Но течение инфекции, как правило, бессимптомно.
Редко, в самых запущенных случаях, гарднерелла приводит к простатиту, уретриту.
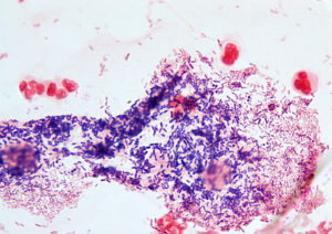
Как проявляется гарднерелла
Фото гарднереллы
Очень часто гинекологи слышат такой вопрос, как гарднерелла, что это и каковы причины возникновения.
Стоит отметить, что представительница прекрасного пола не может следить за тем, как изменяется флора ее организма, именно поэтому достаточно часто приходится сталкиваться с тем, что в результате проведенных анализов может быть обнаружена гарднерелла в острой форме.
Как правило, на начальном этапе развития заболевания нет никаких признаков того, что присутствует gardnerella. Как только заболевание приобретает серьезный характер, в области влагалища начинают возникать далеко не самые приятные ощущения, а также развивается зуд, может присутствовать жжение и даже боли.
Опознать заболевание по таким симптомам, в принципе, невозможно, так как большинство болезней инфекционного характера проявляются именно таким образом. Гарднерелла — это еще и большое количество выделений, а также появление едкого запаха темного оттенка и даже смена консистенции.
То, чем лечить гарднереллез, может определить только доктор после сдачи определенных анализов. Стоит заметить, что этой болезни достаточно часто подвержены представительницы прекрасного пола в период беременности.
Какие методы диагностики гарднереллеза существуют?
При лабораторных исследованиях, важно рассмотреть влагалищные выделения не только на наличие гарднерелл, но и оценить микрофлору.
Гарднереллы присутствуют и в нормальной микрофлоре женщин, поэтому наличие этой бактерии не говорит о заболевании.
При патологии увеличивается их количество, снижаются лактобактерии.
Гарднереллез как диагноз устанавливается при совокупности нескольких признаков:
- выраженные симптомы;
- изменение кислотности влагалищной среды (>4,5);
- наличие гарднерелл в мазке.
При совокупности этих признаков, можно поставить диагноз.
Зачем проводиться тест с аминами?
Это исследование проводится на выявление гарднерелл, как причины заболевания.

В ходе жизнедеятельности, бактерии образуют летучие амины такие как путресцин, триэтиламин. Именно при их разложении образуется неприятный запах, который чувствуют женщины от своих выделений.
Какие анализы проводят на гарднереллез?
Для исследования на гарднереллы, лаборатории используют методы микроскопии. Для этого нужно сдавать мазок с передней стенки влагалища и с заднего свода.
Мазки окрашиваются метиленовым синим. О наличие проблемы свидетельствует:
- отсутствие лейкоцитов в мазке;
- значительное снижение лактобактерий;
- большое количество кокков, вибрионов;
- ключевые клетки.
Ключевые клетки представляют собой клетки эпителия, покрытые бактериями – гарднереллами.
Специальной бумагой меряют кислотность влагалищного секрета.
Симптомы и признаки гарднереллеза
Проявления заболевания свойственны женскому полу.
У женщин возбудитель вызывает следующую симптоматику:
- белые выделения из влагалища;
- неприятный запах;
- нарушения мочеиспускания;
- неприятные ощущения при половом акте.
Гарднереллез при длительном течении может вызвать воспаление матки, труб, яичников. Клиника данного заболевания схожа со многими инфекциями.
Важно! Если появились подобные симптомы, обратитесь к врачу.
Но заниматься самолечением не стоит, нужно обязательно обратиться к доктору. Если этого не сделать, есть опасность развития тяжелых осложнений, при которых может пострадать детородная функция.
Бывает ли симптоматика у мужчин?
Обычно у мужчин эта инфекция течет бессимптомно.
В редких случаях развивается уретрит или простатит, для этого должны быть причины. Это существенное снижение иммунитета или нарушения обмена.
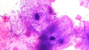
Лечение инфекции половой системы
Фото симптомов гарднереллы
Что такое гарднерелла, можно узнать по представленному ниже фото, но вариант проведения лечения гарднереллы самостоятельно стоит категорически исключить, так как это может привести к ухудшению состояния и обострению, если обнаружено оно было на ранней стадии.
Лечение гарднереллеза назначается по результатам проведенных анализов, осуществляется по предписанию доктора и под его контролем, используется при этом антибиотик Трихопол, вагинальные таблетки и специальные свечи от гарднереллеза, может быть прописано и спринцевание.
Чтобы в будущем не интересоваться такими сведениями, как гарднерелла, что это и как избавиться от нее, стоит соблюдать банальные меры гигиены, и, самое главное, вовремя проходить обследование.
Как только нашли гарднереллу, чтобы полностью избавиться от проблемы, стоит четко выполнять все рекомендации доктора, тщательно пролечиваться и не забывать про применение тех препаратов, которые улучшают микрофлору.
Куда обратиться для лечения гарднереллеза?
Для лечения заболевания нужно обратиться к венерологу, урологу.
Женщины могут нанести визит гинекологу. Эти специалисты окажут квалифицированную помощь, назначат комплексное лечение. Не стоит бояться обращаться к докторам. Они помогут быстро и эффективно избавиться от симптомов заболевания.
Какие показания для начала терапии гарднереллеза существуют?
Начинать лечение следует при клинических проявлениях и лабораторно доказанной инфекции. Если симптоматика отсутствует, но лабораторно выявлены изменения влагалищного секрета.
Когда есть сдвиг в сторону дисбактериоза, присутствуют гарднереллы, это тоже будет показанием.
Лечение проводить нужно:
- перед постановкой внутриматочной спирали;
- перед операциями на органах малого таза;
- беременным, у которых были выкидыши.
Медикаментозная терапия предотвратит возможные осложнения для женщины. Особенно важно убедиться в отсутствии воспаления перед беременностью.
Какие лекарственные средства используют для лечения гарднереллеза?
Принимать какие-либо препараты, стоит только по назначениям врача, при его контроле. Для лечения гарднереллы, как правило, назначаются свечи. Специалист назначает антибиотики, по показаниям.

Мужчинам назначают таблетированные антибиотики группы метронидазола или клиндамицина и местные препараты. Для сильного пола целью лечения является избавление от возбудителя. Для женщин – нормализация микрофлоры влагалища, избавление от возбудителя или снижение концентрации бактерий.
Нужно нормализовать флору, для этого назначаются препараты: ацилакт, лактобактерин. Их можно назначить перорально или вагинально, в виде свечей.
Если больна только женщина или, наоборот, у мужчины выявились гарднереллы.
Важно! Лечение должны получать оба партнёра.
Иначе один из пары будет постоянно заражать другого.
В каких случаях развивается устойчивость гарднерелл к препаратам?
У бактерии может развиться резистентность к антибактериальным препаратам. Это может случиться, если женщина или мужчина самостоятельно назначит себе антибиотик. Тогда вылечить патологию будет сложнее.
Не стоит принимать антибактериальные препараты без назначения врача.
Устойчивость бактерий к антибиотикам – очень серьезная проблема.
Как только у вас появилась симптоматика, похожая на гарднереллез, посетите врача.
Осложнения гарднереллеза
Длительное носительство бактерии у мужчин протекает бессимптомно. Но посещение специалиста и лечение требуется, так как заболевание прогрессирует.
При любом иммунном сбое могут возникнуть уретрит и простатит. А эти заболевания могут привести к нарушению детородной функции мужчины.
У женщин, инфекция поражает матку, трубы, яичники, возникает воспаление. Эти осложнения, в свою очередь, могут приводить к бесплодию, прерыванию беременности, родам раньше срока.
Как только почувствовали симптомы данного заболевания, не медлите, сразу обращайтесь к врачу.
При своевременном обращении, улучшение и излечение возможно без каких-либо последствий.
Как диагностируется болезнь
Что такое гарднереллез, лечение которого запрещено проводить самостоятельно? Это заболевание, которое можно обнаружить посредством осмотра у гинеколога, опроса, забора мазка и исследования его в лаборатории.
Микроорганизмы заболевания не проникают в ДНК, а потому не стоит беспокоиться, но могут потребоваться более серьезные исследования, например ПЦР диагностика.
С ее помощью выявляются тела хламидий, трихомонады, гонококка и, в частности, гарднереллы.
По какой причине возникает гарднерелла
Ответить полноценно на вопрос, как лечить гарднереллез и что это такое, можно только после того, как будет выявлена причина возникновения заболевания. Возникает болезнь при смене или нарушении микрофлоры влагалища. К тому же, болезнь эта может возникнуть, как результат незащищенного полового акта, а если быть точнее, то при контакте с мужчиной, являющимся носителем инфекции.
Гарднереллез причины возникновения имеет самые различные:
- появление в организме хламидиоза, трихомониаза, гонореи, передающихся при половом контакте, развивающихся достаточно активно при отсутствии своевременного лечения;
- наличие гормонального сбоя, что может понести за собой массу серьезных последствий, а появляется сбой при беременности, родах, лактации или аборте, в том числе, при молочнице;
- наличие сильной интоксикации, например, при пищевом или алкогольном отравлении;
- если присутствует эндокринная болезнь, такая, как диабет, при котором повышается уровень сахара в крови и нарушается щелочной баланс во влагалище;
- воздействие при хирургическом вмешательстве;
- применение контрацепции барьерного вида, в которой используется смазка на основе химикатов, что и способствует понижению иммунитета и, соответственно, защиты;
- понижение иммунитета организма, что может возникнуть при остром течении таких болезней, как рак, инфекция в дыхательных путях, при применении препаратов, способных ослабить защиту;
- частая смена половых партнеров.
Заботясь о своем здоровье, каждая женщина в первую очередь оберегает будущих детей, так как в случае возникновения гарднереллы во время беременности велика вероятность появления симптомов данного заболевания у ее дочери при рождении.

Важно заметить, что если даже симптомы похожи на те, которые описаны выше, категорически запрещено проводить лечение гарднереллеза самостоятельно, особенно при беременности и лактации.
Такие действия могут привести к обострению заболевания и воздействию пагубного характера на организм малыша.
Необходимо помнить при этом, что применение лекарств должно проводиться только по назначению доктора, так как они подбираются индивидуально по каждому случаю.
Какие методы профилактики гарднереллеза существуют?
Самое основное и главное при всех ИППП – это избегать случайных незащищенных сексуальных связей.
К общим мерам профилактики гарднереллеза относится:
- правильная гигиена интимных органов;
- устранение стресса;
- полноценное питание;
- правильный режим труда и отдыха;
- укрепление иммунитета.
Если женщина применяет контрацептивы, в которых присутствует 9 – ноноксинол.
Нужно обязательно посоветоваться с врачом. С его помощью, стоит подобрать другие противозачаточные средства.
Не стоит паниковать, если пришлось столкнуться с данным заболеванием, так как болезнь эта несмертельна и вполне излечима, хотя могут возникать и ухудшения состояния или новые проблемы.
Гарднерелла у женщин
Присутствие гарднереллы у женщин во влагалище является признаком бактериального вагиноза.
Это невоспалительное заболевание инфекционной природы, основной особенностью которого является снижение либо полное отсутствие лактофлоры.
Стремительное размножение гарднереллы во влагалище и мочеиспускательном канале приводит к уничтожению нормальной микрофлоры.
Вызывает неприятные симптоматические проявления.
Практически у 20% представительниц женского пола фертильного возраста встречается повышенное содержание гарднереллы.
В данном случае проводится диагностика и лечение патологических процессов.
Иначе при игнорировании болезни повышается вероятность развития воспалительных процессов в органах мочевыделительной системы, матке и придатках.
Может стать причиной сложных родов или вызвать осложнения в период вынашивания плода.
Пути передачи гарднереллы
Патогенный микроорганизм в малых количествах присутствует в нормальной микрофлоре влагалища и размножается при определенных условиях.
Несмотря на это, могут быть и другие пути заражения у женщин.
Гарднерелла передается через незащищенный половой контакт, от инфицированного сексуального партнера.
При наличии гарднереллы у женщин передается ли микроорганизм мужчинам?
В период клинических признаков и прохождения лечения пациенткам следует воздержаться от сексуальной связи.
Но в инкубационный период или при бессимптомном течении болезни инфекция передается половому партнеру.
Далее при случайных половых связях он передает гарднереллу здоровым женщинам.
Достаточно часто при половом заражении здоровых женщин гарднереллой совместно в микрофлору проникают также гонококковая инфекция, хламидии, микоплазмы и другие бактерии.
Причины развития гарднереллы: предрасполагающие факторы
Откуда появляется инфекция?
Причиной патологического процесса становится нарушение состава нормальной микрофлоры влагалища.
Вследствие этого происходит размножение патогенных микроорганизмов, ранее не причинявших дискомфорт.
Причиной возникновения гарднерелл у женщин в повышенном количестве являются негативно воздействующее влияние внешних и внутренних факторов.
Внешнее неблагоприятное влияние оказывают:
- загрязненная внешняя среда (относится к пациентам, проживающим в неблагоприятных экологических районах);
- регулярная сексуальная связь с разными половыми партнерами;
- преобладание вредной пищи, постоянные диеты при условии низкого содержания кисло молочной продукции;
- присутствующие ЗППП;
- перенесенная в недавнем прошлом длительная антибиотикотерапия, в частности с применением антибактериальных средств в виде суппозиториев или мазей;
- прием гормональных лекарств;
- регулярное использование различных косметических средств для интимной гигиены, постоянное ношение ежедневных прокладок, частое спринцевание влагалища антисептическими растворами;
- ношение белья из некачественных материалов, синтетики.
Среди внутренних факторов, оказывающих негативное влияние на микрофлору влагалища, относятся:
- расстройства органов эндокринной системы, а также гормональные изменения вовремя беременности;
- частые стрессовые ситуации, нервное перенапряжение, депрессии;
- ежедневные высокие физические нагрузки;
- снижение иммунных свойств организма;
- наличие хронических патологических процессов мочеполовой системы и других внутренних органов;
- дисбактериоз микрофлоры кишечника.
Клиническая картина гарднереллеза
Симптоматика бактериального вагиноза схожа с другими инфекциями органов мочеполовой системы.

Инкубационный период гарднереллы у женщины длится от 3 до 5-ти дней.
Признаки гарднереллы у женщин проявляются следующим образом:
- Появляются выделения из половых путей густой консистенции, умеренного или обильного характера.
- Выделения имеют грязно белый цвет, могут приобретать желтый оттенок.
- Характерной особенностью выделений является зловоние, напоминающее тухлый рыбный запах.
- Возникает зуд, жжение и дискомфортные ощущения в области половых путей, усиливающиеся при опорожнении мочевого пузыря и вовремя сексуальной близости.
- Развиваются симптомы кольпита (воспалительных процессов слизистой оболочки влагалища) – к присутствующим признакам присоединяется ощущение распирания и давления внутри влагалища, неприятные ощущения вовремя и контактные кровотечения после полового контакта.
Как проявляется гарднерелла в период беременности?
Симптомы гарднереллы у беременных женщин практически не отличаются от клиники, возникающей у небеременной.
Первыми признаками являются
- возникновение выделений с характерным зловонным запахом тухлой рыбы,
- сильное ощущение зуда внешних и внутренних половых органов,
- отечность, гиперемия половых губ,
- дискомфортные ощущения.
В период вынашивания плода клиническая картина менее выражена, а патологические выделения имеют желто-зеленый оттенок.
В некоторых случаях на ранних этапах болезни у беременной женщины возникающие выделения имеют слизистый характер и легкий неприятный рыбный запах.
При походе в туалет беспокоящий зуд усиливается.
Появляются неприятные ощущения не только в области половых путей, но и в промежности.
У беременных женщин присутствие большого количества гарднерелл представляет опасность не только для нее самой, но и для будущего малыша.
Патология негативно влияет на плод, а также может привести к самопроизвольному выкидышу.
Поэтому вовремя беременности необходимо при первых же симптомах обратиться к врачу-гинекологу, который занимается наблюдением пациентки.
Негативные последствия гарднереллеза
Размножение гарднереллы у женщин зачастую сочетается с другими инфекциями – уреаплазмой, хламидиями и прочим.
Происходящие внутри мочеполовой системы воспалительные процессы могут стать причиной серьезных патологий, которые в будущем приводят к бесплодию.
Осложнениями патологи являются:
- воспалительные явления во внутренней слизистой оболочке матки;
- воспаление придатков, что непосредственно связано с бесплодием (воспалительные процессы провоцируют развитие спаек в фаллопиевых трубах вследствие чего перекрывается путь сперматозоидов к яйцеклетке, что препятствует оплодотворению);
- формирование язвочек на слизистой оболочке мочеполовых органов;
- самопроизвольное прерывание беременности либо преждевременные роды.
Диагностика гарднереллы у женщин
Основным анализом для подтверждения наличия гарднереллеза является мазок из влагалища.
Его исследуют с помощью светового микроскопа (с использованием метода окраски или без него).
Для определения причины заболевания и возбудителя ведущую роль играет не наличие бактериального агента, а его количество.
Так как в состоянии нормы у большинства представительниц женского пола гарднереллы являются частью микрофлоры влагалища (в малой концентрации).
Для постановки диагноза учитываются следующие показатели:
- присутствие характерных выделений с рыбным запахом серого оттенка;
- повышение pH влагалища свыше 4,5;
- появление ключевых клеток в мазках на микрофлору (эпителиальные клетки с адгезированными на поверхности гарднереллами);
- показатели аминотеста (выделения из влагалища соединяют с несколькими каплями щелочного раствора, при гарднерелле возникает либо усиливается гнилостной рыбий запах.
Сверхчувствительные анализы по типу ПЦР не проводятся.
Так как не имеют информационной ценности в постановке диагноза – ДНК гарднереллы у женщин могут определяться даже при их единичной локализации.
Дополнительно пациентку обследуют на наличие нарушения микрофлоры кишечника.
Проводится сбор анамнеза, в ходе которого удается определить проводилась ли антибиотикотерапия.
Схема терапии гарднереллеза
Лечение гарднереллы у женщин назначается индивидуально для каждой пациентки, в зависимости от тяжести течения и запущенности болезни.
Также отдельная схема применяется к беременным пациенткам и девочкам.
Терапия состоит из нескольких основных этапов.
В первую очередь назначаются антибактериальные препараты, действие которых направленно на уничтожение патогенной микрофлоры.
Далее назначаются пробиотики и витаминные комплексы.
Сразу после постановки диагноза врач дает рекомендации относительно рациона питания и использования некоторых рецептов народной медицины (вспомогательные методы).
Назначение антибактериальных средств при гарднерелле у женщин
Препарат, дозировка и длительность курса определяется лечащим врачом.
В среднем терапия длится от 3 до 5 дней.
Антибактериальные препараты для перорального приема:
- I. Таблетки Метронидазол (антипротозойное средство с антибактериальным действием) – доза зависит от тяжести болезни, назначается 1 таблетка в сутки курсом до 5 дней либо 2 таблетки в течение суток курсом от 2 до 4 дней.
- II. Трихопол (антипротозойный и антибактериальный препарат) – по 2 табл. утром и вечером, длительностью до 5 дней.
- III. Клиндамицин (группа линкомицинов) – производится в виде капсул, средняя дозировка – 150 мг 2 раза в сутки. Интервал между приемом лекарства должен быть не менее 8-ти часов. При тяжелых клинических проявлениях дозировку повышают.
Назначение суппозиториев:
- I. Полижинакс (сочетание антибактериального и противогрибкового действия) – свечи вводятся во влагалище после проведения вечерних гигиенических процедур. Введение проводится в положении лежа на спине. Средняя дозировка – 1 суппозиторий перед сном. Длительность лечения от 5-ти до 10-12 дней.
- II. Гексикон (основное действующее вещество – хлоргексидин, антисептик) – свечи вводятся вагинально по 1 шт. утром и вечером. Длительность терапии от 1 до 2-3 недель, в зависимости от состояния больной.
- III. Тержинан (комбинированное средство – снимает воспаление, устраняет грибковую инфекцию, бактерии, обладает противопротозойным действием) – вводится 1 суппозиторий на ночь. Предварительно свечу опускают в кипяченную воду на 15-20 секунд, что способствует ее быстрому растворению. Курс терапии длится до 10-ти дней.
Гарднерелла
Во влагалище женщины присутствует определенная микрофлора, включающая массу микроорганизмов — как полезных (лактобактерии), так и условно-патогенных. Их соотношение у здоровой женщины оптимально для здоровья репродуктивной системы и всего организма в целом.
Однако при определенных ситуациях условно-патогенная флора начинает активно размножаться, вытесняя полезную.
Микроорганизм гарднерелла вагиналис как раз относится к разряду условно-патогенных. В норме ее количество в половых путях ничтожно, либо наблюдается полное отсутствие.
Гарднереллез (синоним: бактериальный вагиноз) обусловлен дисбалансом микрофлоры влагалища. В норме она представлена преимущественно лактобациллами.
Эти бактерии образуют молочную кислоту и перекись водорода, препятствуя размножению условно-патогенных микроорганизмов. В состав нормальной микрофлоры влагалища в небольшом количестве могут входить Gardnerella vaginalis, Mycoplasma hominis и анаэробные бактерии (рода Mobiluncus и другие).Эти микроорганизмы в небольшом количестве присутствуют во влагалище большинства здоровых женщин.

В результате спринцевания; применения противозачаточных средств, содержащих 9-ноноксинол (свечи «Патентекс Овал», свечи «Ноноксинол»); смены полового партнера уменьшается доля лактобацилл в микрофлоре влагалища. Одновременно возрастает доля Gardnerella vaginalis, Mycoplasma hominis и анаэробных бактерий. При этом возникает дисбактериоз влагалища – так называемый гарднереллез.
У мужчин:
Гарднереллез по определению является дисбактериозом влагалища. Поэтому мужчинам такой диагноз ставить неправильно.
Иногда возбудители гарднереллеза вызывают уретрит у мужчин, который проявляется жжением и болью при мочеиспускании. В этом случае необходимо лечение.
В остальных случаях (выявление Gardnerella vaginalis точными методами; гарднереллез у половой партнерши) в лечении мужчин необходимости нет.
При нормальном иммунном статусе около 25% мужчин являются носителями гарднерелл, то есть не имеют никаких проявлений инфекции.
Носительство развивается при попадании Gardnerella vaginalis в половые пути мужчины. Только в условиях достаточно сильной иммуносупрессии возможны развитие баланопостита, уретрита, простатита (примерно 15% всех случаев).
Гарднереллез не относится к венерическим болезням. Заражение половым путем не доказано. Тем не менее, он тесно связан с факторами риска венерических болезней (множество половых партнеров, недавняя смена полового партнера). Поэтому женщин с гарднереллезом целесообразно обследовать на основные венерические заболевания.
Причины гарднереллы
- Инфекция. Часто гарднереллезу сопутствуют такие заболевания, как гонорея, хламидиоз, трихомониаз, передающиеся половым путем. Размножение болезнетворных бактерий провоцирует воспаление слизистой и нарушение нормальной микрофлоры влагалища, а при отсутствии лечения может привести к серьезным последствиям, вплоть до развития бесплодия;
- Гормональный сбой. Подобное явление также бывает обусловлено различными причинами. Например, беременностью. Для беременных женщин гарднереллез и молочница – вполне привычное явление. Также изменение гормонального фона может быть спровоцировано сильным стрессом, приемом лекарственных средств, в том числе противозачаточных и антибиотиков, наличием некоторых заболеваний. Точную причину гормонального сбоя устанавливает специалист;
- Сильная интоксикация организма. Обычное пищевое отравление способно спровоцировать дисбактериоз кишечника и влагалища. В итоге возможно возникновение симптомов и того, и другого заболевания;
- Эндокринные заболевания. В частности, сахарный диабет. Повышенный уровень сахара в крови способствует нарушению щелочного баланса слизистой влагалища и, как следствие, размножению в нем патогенной микрофлоры;
- Любое хирургическое вмешательство в область половой системы (аборт, лечебные гинекологические манипуляции);
- Частое использование барьерной контрацепции, местных способов лечения воспалительных заболеваний влагалища. В применении презервативов нет ничего плохого, однако входящая в их состав смазка у некоторых женщин провоцирует размножение гарднереллы и грибка, вызывающего молочницу. То же самое касается вагинальных свечей, показанных при трихомониазе, кандидозе и иных инфекциях;
- Резкое снижение иммунитета. Это может быть обусловлено внутренними (заболевание крови, костного мозга, частые инфекции системы дыхания и т.п.) и внешними (резкое изменение климатических условий, облучение, прием некоторых лекарств) причинами;
- Частая смена половых партнеров (может стать причиной заражения ИППП, развития гарднереллеза и других неприятных для здоровья последствий).
Группы риска
Поскольку гарднерелла вагинализ в норме является частью микрофлоры влагалища и никогда не удаляется полностью. Появиться она может в любое время у женщин репродуктивного возраста не зависимо от половой жизни.
По наблюдениям врачей гарднереллез появляется у 32% девственниц, и у 28% одиноких женщин. Иногда она передается девочкам школьного возраста бытовым способом.
Однако все эти случаи являются исключением, а не правилом.

Наиболее подвержены заболеванию женщины и мужчины, ведущие беспорядочную половую жизнь без использования барьерных контрацептивов. Передается оно и новорожденной девочке от матери. Возможно развитие гарднереллеза у женщин, перенесших роды и аборты.
Чем опасна болезнь?
Ранее считали, что это гарднереллез не приносит вреда. В настоящее время его считают фактором риска воспаления придатков матки, женского бесплодия, преждевременных родов, осложнений беременности и родов.
Несмотря на то, что гарднереллез это не венерическая болезнь, она все равно требует лечения. Если инфекцию оставить без должного внимания, она может вызвать довольно серьезные осложнения, как у женщин, так и у мужчин.
Гарднереллез у женщин вызывает следующие осложнения:
- Воспаления органов малого таза;
- Уретральный синдром;
- Послеабортовый и послеродовой эндометрит;
- Бесплодие;
- Внутриэпителиальная цервикальня неоплазия;
- Бартолинит или абсцесс бартолиновой железы.
Гарднереллез у мужчин может стать причиной:
- Негонококкового уретрита;
- Хронического простатита;
- Цистита;
- Баланопостита.
Классификация
- бактериальный вагиноз компенсированного типа — при таком течении недуга по анализам отмечается незначительное наличие условно-патогенной флоры у больных;
- бактериальный вагиноз по субкомпенсированному типу — значительно уменьшается количество полезных лактобактерий с повышением условно-патогенной флоры, в том числе гарднереллы;
- вагиноз по декомпенсированному типу — полезная флора практически полностью вытеснена патогенной, воспалительный процесс сильный, выраженный, характеры изменения эпителиального слоя.
Клиническая картина
Как проявляется гарднерелла у женщин? Патология может развиваться:
- бессимптомно — заболевание диагностируют по анализам, никаких жалоб женщина не предъявляет, болей и выделений не наблюдается;
- с ярко выраженной клинической картиной — боли и рези, выделения, плохое самочувствие.
Инкубационный период гарднереллеза у женщин — с момента попадания гарднереллы в половые пути до момента проявления — составляет от недели до 20 дней. В этот период патогенная флора начинает постепенно распространяться, вытесняя полезную.
Начало болезни характеризуется слабовыраженными признаками — небольшой дискомфорт, слабые выделения. Яркая клиническая картина появляется на 14-20 день — симптомы выраженные, выделения обильные, болевой синдром и дискомфорт максимальны.
Основные признаки, свидетельствующие о развитии гарднереллеза:
- Плохой запах от половых путей — зачастую это первый симптом развития вагиноза; запах зловонный, резкий, похож на аромат от разлагающейся рыбы, что обусловлено разложением аминов из-за быстрого размножения гарднерелл;
- Выделения из влагалища — их характер меняется в зависимости от тяжести недуга. При начальной стадии выделения имеют вид слизистой полупрозрачной и мутной жидкости, по мере усугубления патологического процесса выделения становятся серыми, непрозрачными, вязкими, приобретают зеленый или желтый оттенок. При запущенной стадии выделения образуют наслоения на стенках влагалища, вызывая его отек и покраснение. Характерная особенность выделений при гарднереллезе — дурной запах;
- Внезапные сбои менструального цикла могут указывать на развитие бактериального вагиноза;
- Дискомфорт в районе мочеполовых органов — по мере размножения патогенной флоры появляется зуд и жжение в уретре, половых губах, влагалище, слизистые оболочки могут выглядеть отекшими, воспаленными;
- Развитие болезней, затрагивающих органы мочевой системы — уретрит, цистит указывают на наличие гарднереллеза. Это обусловлено непосредственной близостью расположения половых органов и мочевыводящих;
- Болевые ощущения при половом акте — болезненность может возникнуть непосредственно при близости и сохраняться после;
- Боли во время мочеиспускания — возникают при распространении инфекции на уретру;
- Общее недомогание — патологический процесс может привести к общему нарушению самочувствия, ощущению слабости, возможно повышение температуры как следствие активного размножения негативных микробов.
Диагностика
- Гинекологический осмотр. При первичном приеме врач осуществляет сбор информации о половой жизни, методах контрацепции, регулярности цикла. Обязателен осмотр на кресле с использованием гинекологических зеркал с целью осмотра влагалища;
- Взятие мазка для лабораторных и микроскопических исследований, в ходе которых будет установлено наличие патогенных микроорганизмов;
- Взятие мазка на маркеры вагиноза;
- Определение уровня кислотности во влагалище при помощи специальных тест-полосок;
- ПЦР-диагностика — метод полимерной цепной реакции;
- Реакция на изонитрил — вещество, которое появляется во влагалище при гарднереллезе и придает выделенным запах гнилой рыбы.
Чувствительность к антибиотикам
| Нитроимидазолы: метронидазол, тинидазол, тернидазол, орнидазол | Чувствительны/препараты первого ряда | Перорально, интравагинально, местно. Способ применения зависит от локализации и тяжести воспалительного процесса. |
| Линкозамиды: клиндамицин | Чувствительны/препараты первого ряда | Перорально, интравагинально, местно. Чаще используются локальные формы (свечи, кремы и гели с клиндамицином) |
| Макролиды (джозамицин, азитромицин, эритромицин) | Чувствительны | Перорально, внутривенно, используются при тяжелых формах инфекции, сочетании баквагиноза с хламидиозом, микоплазмозом |
| Тетрациклины: доксициклин | Умеренно чувствительны | Перорально, в качестве одного из антибиотиков в схеме лечения ИППП (хламидиоз) |
| Аминогликозиды: гентамицин, амикацин | Нечувствительны | Не используются для лечения инфекции, вызванной гарднереллами |
| Защищенные пенициллины (амоксиклав) | Чувствительны | Чувствительность установлена экспериментально, для лечения в настоящее время не применяются |
| Фторхинолоны (офлоксацин) | Чувствительны | Могут использоваться в схемах лечения (чаще при сочетании с ИППП) |
Профилактика
Профилактика сводится к отказу от спринцевания и применения противозачаточных средств, содержащих 9-ноноксинол. При случайных половых контактах и при контактах с непостоянными половыми партнерами следует пользоваться презервативами.

Применение вагинальных таблеток и свечей широкого спектра действия (Тержинан, Полижинакс, Бетадин) также может способствовать развитию гарднереллеза. В состав этих препаратов входят антибактериальные средства широкого спектра действия, подавляющие нормальную микрофлору влагалища.
До окончания лечения рекомендуется избегать половых контактов во влагалище без презерватива. Лечение полового партнера не снижает частоту рецидивов у женщин.
Что такое гарднерелла, и откуда она берется. какие симптомы вызывает гарднерелла. — Венеролог
Вагинальнаягарднерелла (Gardnerella vaginalis) – бактерия, которая относится к группе аэробных грамвариабельных. Способны давать как положительный ответ при окрашивании по Грамму, так и отрицательный. (Хотя последнее в данном случае встречается чаще).
Гарднерелла вагиналис является представителем так называемой транзиторной человеческой микрофлоры. Транзиторной (временной) микрофлорой называют условно-патогенную. Это значит, что она вызывает воспалительные заболевания только при определенных условиях.
Транзиторная микрофлора у здоровых людей в норме отсутствует, а ее передача осуществляется преимущественно половым путем.
Однако при ответе на вопрос пациента, о том, что, если вызвала данное заболевание гарднерелла, то это венерологическое заболевание или нет, врачи однозначно утверждают: это не половая инфекция!
Главное отличие транзиторных и половых инфекций – временное присутствие микрофлоры транзиторной в органах мочеполовой системы. А также склонность к самопроизвольному ее устранению и способность провоцировать болезнь далеко не у всех зараженных.
Транзиторная микрофлора жизнеспособна в человеческом урогенитальном тракте только некоторое время. Потом уничтожается защитными силами организма. Однако существует группа людей, у которых защитные механизмы нарушены вследствие различных причин.
Именно у них транзиторная микрофлора приводит к развитию воспалительных процессов и заболеваний. Когда пациента, например, волнует проблема: гарднерелла может ли вызвать цистит, уретрит, баланопостит, вагинит, простатит? Ответ очевиден: при определенных условиях вполне может.
В связи с описанными особенностями, как и иные транзиторные микроорганизмы, гарднерелла инкубационный период четкий и определенный не имеет.
Вагинальная гарднерелла: как передается?
Основные пути заражения гарднереллой включают сексуальные контакты:
- генитальный
- генитально-оральный и анально-оральный (вагинальная гарднерелла обнаруживалась во рту, в горле у женщин с нетрадиционной ориентацией, т.е. ответ на вопрос о том, передается ли через оральный секс гарднерелла, вполне однозначен)
- анально-генитальный.
Что же касается того, можно ли заразиться гарднереллой через поцелуй, слюну, то на этот счет нет каких-либо подтверждающих данных.
Откуда берется гарднерелла у женщин, не имевших половых отношений?
Заражение гарднереллой новорожденной девочки матерью во время родов в настоящее время подвергается сомнению. Дело в том, что бактериальный вагиноз в раннем возрасте исключительно редок. Несмотря на отсутствие влагалищной лактобациллярной микрофлоры в период до наступления менструаций.
Это обусловлено отсутствием питательного элемента как лактофлоры, так и гарднереллы – гликогена эпителиального. Его содержание координируется эстрогеном (женским половым гормоном, вырабатывающимся у девочек в весьма небольших количествах).
В то же время выявление гарднереллы в мазке на флору у девственниц заставляет предположить вероятность бытового заражения. Хотя это и не нашло пока достаточного подтверждения.
Что за инфекция, которую вызывает вагинальная гарднерелла, симптомы, чем опасна? Ранее довольно долго считалось, что эта бактерия служит причиной женского неспецифического вагиноза.
Его и называли вагинитом гарднереллезным или гарднереллезом влагалища. На сегодняшний день достоверно установлены иные возбудители подобной проблемы и основная роль именно гарднереллы отвергнута.
Новое название патологии–«бактериальный вагиноз».
Подразумевает синдром не воспалительного типа. С выраженным уменьшением влагалищной микрофлоры и заменой последней на комплекс анаэробных бактерий. Диагностируется почти у 30% взрослых женщин. Также считалось, что бактерия может служить маркером этого заболевания.
Поскольку именно особенности ее жизнедеятельности обуславливают типичные проявления болезни:
- специфический «тухло рыбный» запах
- наличие «ключевых клеток» (клеток эпителия влагалища с «приклеенными», вследствие особо высокой «прилипчивости», гарднереллами)
- положительный результат пробы с 10% раствором гидроксида калия.
Однако современные исследования установили:
- обсуждаемая бактерия выявляется у здоровых женщин на фоне достаточного количества нормальных микроорганизмов
- бактерия не обнаруживается или выявляется в минимальном количестве у женщин с проявлением баквагиноза на фоне серьезного недостатка нормальных лактобацилл.
Вот почему сейчас при диагностике вагиноза бактериального отказались от выявления гарднереллы в пользу иных микроорганизмов. А термин «гарднереллез» не применяется.
Хотя, как демонстрируют отзывы в интернете, подобный диагноз продолжает периодически озвучиваться врачами. В то же время бактерия может быть причиной различных состояний у женщин и мужчин.
При такой проблеме, как влагалищная гарднерелла, симптомы и признаки определяются видом вызванного ею заболевания.
Варианты проявлений у женщин:
- Особенно часто (примерно у 25% всех сексуально-активных женщин) – стойкое носительство, когда бактерия определяется высокочувствительными диагностическими методами, например, ПЦР, но при этом изменения влагалищной кислотности и уменьшения лактофлоры не наблюдается. Реже выявляется временный транзит, также без проявлений. Однако любое носительство служит фактором риска развития баквагиноза и инфицирования партнера.
- Иногда могут развиваться заболевания мочеполовой системы – воспалительные заболевания органов малого таза (ВЗОМТ), баквагиноз (количество гарднерелл возрастает в тысячи раз, при этом воспалительная реакция отсутствует из-за снижения активности лейкоцитов в присутствии этой бактерии), эндометрит послеабортный/послеродовой; даже системные – сепсис, почки и легкого абсцессы.
Наиболее характерно, в отличие от женщин, временное носительство в течение пары часов – недель. Реже – стойкое носительство, обычно обусловленное патологическом процессом в урогенитальном тракте. Например, простатитом и/или уретритом хроническими.
Иногда могут развиваться заболевания мочеполовой системы:
- простатит
- цистит
- уретрит (бактерия — «виновник» 14% уретритов негонококковой природы) – характерны небольшие выделения, дискомфортные ощущения около уретрального отверстия, распространенное совместное протекание с баланопоститом
- баланопостит гарднерелла-ассоциированный – гарднерелла официально признана одной из основных причин баланопостита, в том числе и у мальчиков, который проявляется характерным ярким запахом, скользко-липким налетом в зоне венечной борозды, легким покраснением головки и крайней плоти, высокой вероятностью самоизлечения
- баланопостит анаэробный – гарднерелла способствует развитию болезни, в том числе и кандидозного баланопостита.
Заболевания системные – сепсис, почки и легкого абсцессы, синдром Рейтера (ревматическая патология с сочетанием уретрита, поражения глаз и суставов, простатита).
Помимо перечисленных патологий гарднерелла редко бывает причиной:
- бактериемии новорожденных и людей с недостаточным иммунитетом
- осложнений после хирургических гинекологических вмешательств
- хронических маточных патологий
- абсцессов
- конъюнктивита.
Вагинальная гарднерелла: особенности диагностики
Итак, на сегодняшний день бактерия перестала считаться главным виновником такой патологи, как вагиноз бактериальный. Также и высоко специфическим маркером этого заболевания.

Но при подозрении на последнее по-прежнему проводятся анализы на гарднереллу.
Для гарднереллы норма в анализах показательна только в ситуации развития баквагиноза и подразумевает не определенное количество микроорганизмов (10 в 4 степени, 3 степени, 5, 6, 7 и т.д.). А их соотношение с иными представителями влагалищной флоры.
Система критериев Амселя для вагиноза бактериального включает:
- результаты теста с гидроксидом калия
- микроскопическое обнаружение «ключевых клеток» в мазке
- наличие запаха
- наличие выделений
- рН влагалищной среды более 4,5.
Балльная система Ньюджента (Нугента) подразумевает подсчет в мазке под микроскопом морфологических типов вагинальной гарднереллы, лактобацилл и мобилинкуса.
Чем меньше морфотипов гарднереллы/мобилинкуса и больше лактобацилл, тем меньше присуждается баллов. Суммарное количество до 3 баллов соответствует нормальной микрофлоре, свыше 7 – баквагинозу.
При отсутствии симптомов болезни обнаружение такой бактерии, как гарднерелла, норма в мазке не устанавливается. Хотя в некоторых лабораториях, когда проводится бак посев на нее, могут указываться нормальные показатели до 10 в 4 степени.
Также обнаружение только гарднереллы в мазке методом ПЦР не является основанием для постановки диагноза бактериального вагиноза. Поскольку методика чрезвычайно чувствительна и определяет даже минимальное количество ДНК микроорганизма.
В то же время выявление бактерии в моче, сперме на фоне клинических проявлений может служить признаком соответствующего заболевания (гарднереллезного цистита, простатита и пр.).
Гарднерелла при беременности
Сама гарднерелла вагиналис не оказывает влияние на наступление или протекание беременности. Иная ситуация складывается при наличии бактериального вагиноза, в том числе и ассоциированного с гарднереллой.
Можно ли забеременеть с гарднереллой в анализах, баквагинозом в принципе? Да.
Чем опасна гарднерелла при беременности?
Сама бактерия не опасна, опасен бактериальный вагиноз, особенно в поздние сроки беременности.
Согласно последним исследованиям это заболевание:
- провоцирует преждевременные роды и прерывание беременности
- является одной из причин послеродового эндометрита
- оказывает влияние на плод, обуславливая его низковесность
- может приводить к развитию хориоамнионита – инфекционного воспаления амниотической жидкости и плодной оболочки.
Как избавиться от гарднереллы?
«Избавляться» от гарднереллы нужно только тогда, когда она является причиной заболевания. Простое выявление бактерии в анализах при отсутствии клинических и лабораторных признаков болезни не требует принятия терапевтических мер.
Может ли пройти сама? Да, при отсутствии патологического процесса.
У мужчин это в целом наиболее распространенный вариант: временное носительство.
Лечение бактериального вагиноза или иных патологий, обусловленных именно гарднереллой, подразумевает прием внутрь одного из антибактериальных препаратов:
- метронидазола
- клиндамицина
- орнидазола
- тинидазола.
Во влагалище вводят крем на основе клиндамицина, метронидазола или таблетки с метронидазолом. При необходимости терапии у беременных предпочтительно именно интравагинальное введение лекарств. При отсутствии достаточного эффекта местного лечения в первом триместре может назначаться прием амоксициллина.
Со второго – клиндамицина/метронидазола. Адекватное применение указанных препаратов позволяет избавиться от гарднереллы навсегда.
Хроническая инфекция, рецидив всегда связаны с повторным инфицированием или неправильной тактикой лечения (неверным подбором препарата). Лечение полового партнера (мужчины) не имеет смысла. Поскольку не снижает частоту рецидивов баквагиноза.
Но показано при развитии у мужчины соответствующего инфекционного процесса или для профилактики последнего.
Последствия нелеченного баквагиноза, ассоциированного с гарднереллой, как и с иным микроорганизмом (мобилинкусом), могут быть весьма серьезны:
- ВЗОМТ
- нарушения функции влагалища по «отбору» полноценного сперматозоида при оплодотворении
- осложнения беременности
- повышенная восприимчивость к половым инфекциям, особенно вызываемых трихомонадами, хламидиями, гонококками, а также к кандидозному вагиниту, инфицированию влагалища транзиторной микрофлорой, кишечной палочкой, энтерококками и пр.
Откуда берется гарднерелла у женщин и как она проявляется? Лечение и профилактика
Влагалищная гарднерелла у женщин (Gardnerella vaginalis) – это один из видов микроорганизмов, который находится в половых путях даже у здоровых людей.

Когда они живут во влагалище в небольшом количестве, никакой неприятной симптоматики не проявляется. Однако ряд факторов может привести к усиленному размножению влагалищной бактерии Гарднереллы.
На его фоне, после проведения анализов, женщине диагностируют гарднереллез.
Сразу предупредим, что обычно эти бактерии – Gardnerella vaginalis, в небольшом количестве присутствуют в женской микрофлоре всегда, но при возникновении определенных условий начинается их активное размножение, что и приводит к первым симптомам гарднереллеза.
Такое заболевание относят к числу венерических, но не в классическом виде. Многих волнует откуда появляется в избыточном кол-ве бактерия гарднереллы у женщин, передается ли она половым путем от мужчины, при не защищенном половом акте.
Помимо ответа на эти вопросы, очень важно знать все варианты, откуда появляется гарднерелла, а также симптомы начала развития влагалищного гарднереллёза у женщины и своевременно начать медикаментозное лечение таблетками, свечами, мазями, народными средствами лечения гарднереллы отварами и настоями трав, цветов, спринцевания и приема внутрь.
В целом гарднереллез считается не опасным, так как не приводит к бесплодию, однако его всё равно необходимо вовремя лечить отклонения от нормы.
Гарднерелла у женщин – микроорганизм, который находится в половых путях женщины.
Возбудитель
Данные бактерии представлены единственным видом – это гарднерелла вагиналис (Gardnerella vaginalis). Это факультативные анаэробы, которые способны жить и развиваться в безвоздушной среде. Обычно они в небольшом количестве присутствуют в женской микрофлоре, но при возникновении определенных условий начинается их активное размножение.



