Ротовое дыхание у детей
У детей, которые дышат через рот, формируется так называемый «аденоидный» тип лица, лицо при этом становится узким и длинным — вытянутым. Узкие челюсти обусловливают недостаток места для постоянных зубов, то есть их скученность. Готическое нёбо и недостаток места для спинки языка создаёт проблемы со звукопроизношением.
Дети с неправильным прикусом часто дышат ртом, даже если носовые пути проходимы. У них формируется привычное ротовое дыхание и они начинают чаще болеть простудными заболеваниями. Доказано, что при ротовом дыхании снижается оксигенация крови, а также передача кислорода тканям. Больше других органов от гипоксии страдает мозг. Дети становятся раздражительными не усидчивыми, не внимательными.
Положение языка у таких детей находится в среднем (межзубном) или низком положении — между нёбом и нижней челюстью. При глотании он упирается не в свод нёба, а в зубы. Язык это мощнейший мышечный орган и при его давлении, зубы отклоняются от нормального положения. Очень часто это сочетается со слабостью круговой мышцы рта, которая в норме должна обеспечивать баланс давления на зубы снаружи.
В норме же, глотание должно быть видно только по движению щитовидного хряща, лицо не должно напрягаться. При неправильном положении языка и слабости круговой мышцы рта, ребёнку приходится задействовать дополнительные мышцы, чтобы держать при глотании рот закрытым. Он начинает помогать себе при глотании уголками губ, мимическими мышцами лица, движением шеи, плечами, иногда даже животом.
Язык, при среднем или нижнем положении, перекрывает дыхательные пути и, чтобы хоть как-то приоткрыть их, ребенок вынужденно выдвигает голову вперед и приподнимает подбородок. Такое неестественное положение головы и шеи изменяет и верхнюю часть грудной клетки. Ортопеды, видя такую картину, говорят о нарушении осанки.
Итак, изменение положения языка ведет к изменению положения головы, искажению анатомически правильного расположения относительно друг друга шейных позвонков, подъязычной кости, хрящей гортани и мягких тканей шеи, трахеи и пищевода, сосудов, питающих мозг, и нервных стволов, обеспечивающих работу всех внутренних органов.
Таким образом, крайне важным во время сменного прикуса становится формирование носового дыхания и создание условий для анатомически правильного положения и функционирования языка, потому что это будет способствовать как нормальному развитию зубо-челюстной системы, так и всего организма ребёнка.
- нормальное жевание, облегчает работу всего желудочно-кишечного тракта
- нормальное глотание формирует правильный прикус и гармоничные черты лица
- носовое дыхание снижает риск возникновения простудных заболеваний (воздух очищается, согревается, лимфоидная ткань не подвергается дополнительной нагрузке и не гипертрофируется)
- улучшает функцию ЦНС , за счет достаточного получения кислорода
- улучшается коммуникативная функция за счет четкой и понятной речи
- за счет правильной осанки развивается чувство равновесия, ловкость, скоординированность
Правильный прикус и анатомическое положение языка — залог здоровья и благополучия вашего ребенка.
Положение языка
Язык принимает важное и прямое участие во многих важных процессах:
- Определяет вкус и температуру пищи
- Помогает в перемешивании пищи и слюны, запуская процесс пищеварения
- Обеспечивает глотание
- Участвует в формировании речи.
А еще, совершая несколько тысяч движений в сутки (только глотательных движений около 2000), язык участвует в формировании свода нёба и прикуса.
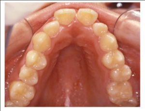
Прикус — это взаимоотношение зубных рядов верхней и нижней челюстей во время их плотного смыкания. При формировании прикуса особую роль играет расположение и соотношение челюстей с позицией головы относительно тела и осанки в целом. В зависимости от возраста прикус может быть молочным, сменным и постоянным.
Физиологический прикус
Классификации прикуса не тема этой статьи, поэтому мы остановимся только на описании физиологического прикуса, который характеризуется следующими признаками:
- не нарушает процесс приема пищи
- не искажает речь
- не портит внешние характеристики лица.
Правильный прикус
При полном смыкании зубов физиологический прикус должен отвечать следующим показателям:
- верхний зубной ряд закрывает собой треть нижнего зубного ряда
- все противопоставленные жевательные зубы верхней и нижней челюстей хорошо смыкаются друг с другом
- условная центральная линия, проведенная по лицу вертикально, делит челюсти на одинаковые половины
Для правильного роста зубов в полости рта должно образоваться так называемое миодинамическое равновесие, то есть давление языка изнутри на зубной ряд верхней челюсти должно соответствовать давлению мышц губ и щёк снаружи.
В норме, кончик языка в нейтральном положении, располагается за верхними резцами, не касаясь их. Там, где язык находится, когда мы произносим звук «Н», в так называемой «точке покоя».
Во время каждого глотательного движения, спинка языка прижимается к нёбу, стимулируя рост верхней челюсти в ширину, улучшая кровоснабжение носо- и ротоглотки и повышая таким образом местный иммунитет. Правильное положение языка в покое и при глотании возможно только при носовом дыхании, рот при этом должен быть закрыт.
При носовом дыхании , весь вдыхаемый воздух успевает очистится, согреться. Поток воздуха, проходя через носовые раковины, также стимулирует рост верхней челюсти в ширину и гармоничный рост всей средней трети лица.
Сменный прикус
Теперь остановимся немного на сменном прикусе и проблемах формирования физиологического прикуса, которые становятся очевидными именно во время смены зубов. Обычно это возраст начиная с 4-5 лет до 12-14 лет. Во время сменного прикуса происходит наиболее интенсивный рост челюстных костей, поэтому коррекция прикуса так же наиболее эффективна именно в это время.
- Внутриутробные факторы (многоплодная беременность, аномалии строения матки, повышенный тонус матки во время беременности, генетическая обусловленность и т.д.)
- Травматичные роды
- Недоношенность
- Искусственная вентиляция легких на первом году жизни
- Искусственное вскармливание,
- Несвоевременное введение прикорма
- Отсутствие в рационе ребёнка твёрдой пищи
- Вредные привычки: сосание пальца, языка, щеки, различных предметов, длительное сосание пустышки (более 1,5 лет)
- Преждевременная потеря молочных зубов
- Частые заболевания ЛОР-органов, увеличенные аденоиды.
- Дыхание ртом, если у ребёнка нет насморка.
- Отсутствие промежутков между зубами к 4-5 годам.
Молочные зубы маленькие и для них обычно всегда хватает места, даже если челюсть не развилась достаточно.
По мере взросления и подготовки ребенка к сменному прикусу между молочными зубами должны появляться так называемые тремы- небольшие, но отчетливые расстояния.
Когда молочные зубы выпадут, прорежутся постоянные, которые значительно шире молочных, и им должно хватить места для нормального роста и формирования ровного красивого зубного ряда.
- Понаблюдать за глотанием слюны у ребенка, в норме глотание происходит незаметно, без напряжения мимических мышц.
Обычно детский стоматолог на приеме обращает внимание родителей на начинающиеся проблемы формирования правильного прикуса и направляет таких детей к ортодонту. Если же этого не происходит, обязательно надо показать ребёнка в возрасте 4-5 лет детскому ортодонту, желательно, применяющим в работе функциональный подход.
Обязательно должен быть комплексный подход!
Современная ортодонтия предлагает различные способы выравнивания зубов. Но как мы уже убедились, выравнивать зубы неэффективно без устранения приводящих к этим изменениям причин.
Поэтому решение проблемы нарушенного прикуса должно быть направлено на весь комплекс патологических изменений: восстановление анатомически правильного положения языка, выработку правильного стереотипа глотания, жевания, положения головы, осанки.

Остеопатическое лечение предлагает именно такой подход: восстановление или формирование правильного соотношения анатомических структур:
- Коррекция ослабленных или избыточно напряженных мышц лица, шеи, дна рта и непосредственно языка, это приведет к восстановлению правильного положения языка в полости рта и равномерному участию в процессах жевания и глотания соответствующих мышечных цепочек.
- Воздействие на костные структуры формирующие полости носа и рта приводит к восстановлению физиологических объемов этих полостей и способствует улучшению носового дыхания, жевания, глотания и речи.
- Двигательная иннервация языка, глотание и жевание обеспечивается подъязычным нервом, который выходит из полости черепа через канал подъязычного нерва, где в некоторых случаях возможно его сдавление. До определенного возраста в этой зоне сохраняется подвижность и методами остеопатии возможно восстановить физиологическое соответствие этих анатомических структур.
Орофациальная миофункциональная терапия
Врачи остеопаты в данном случае применяют миофункциональный подход. Проще говоря – это терапия на основе гимнастики для переучивания мышц или воссоздания нормальных, физиологичных паттернов работы периоральных и лицевых мышц.
Орофациальная миофункциональная терапия включает в себя упражнения для мышц лица и языка и изменение привычек для установки правильного положения языка, улучшения дыхания, жевания и глотания. Целью такой терапии является достижение правильного положения головы и шеи.
Как проходит лечение
- Регулярное выполнение упражнений для мышц лица, особенно тех, что непосредственно участвуют в глотании, жевании и речеобразовании.
Ребёнок быстрее переходит на носовой (правильный) тип дыхания, а язык занимает правильное положение во рту, помогая формировать нормальный прикус.
- Ношение миофункциональных трейнеров.
Трейнеры изготовленны из мягкого силикона и нейтрализуют избыточное давление мышц на челюсти и зубы, устраняют вредные привычки и стимулируют правильное развитие костей лицевого скелета и зубов. Трейнеры относительно недороги, так как производятся серийно и легко подбираются под размеры челюстей конкретного ребёнка.
С постепенным восстановлением носового дыхания и правильного глотания выравниваются зубы, становятся гармоничнее черты лица. Приходит в норму опорно-двигательный аппарат, улучшается работа всех внутренних органов и систем.
В результате ребёнок любого возраста:
- меньше болеет,
- становится более выносливым физически,
- лучше обучается
- становится эмоционально сбалансированным
- с детства имеет красивые ровные и здоровые зубы и гармоничные черты лица
В итоге мы получаем видимый и стойкий эффект, так как врачи устраняют причину проблемы, а не борются с её отдалёнными последствиями.
симптомы
- Нарушение осанки
- Нарушение осанки у детей
- Симптомы аденоидов у детей
Готическое небо у ребенка: причины заболевания, типичные проявления, способы лечения
Готическое небо – это патология, относящаяся к аномалиям развития челюсти и носоглотки. Название обусловлено формой неба, которое ненормально высокое («арковидное»).
Готическое небо у ребенка — симптомы
Различные виды микроорганизмов населяют микрофлору человека, в том числе и патогенные. Стрептококковая инфекция всегда есть в организме человека и ее численность контролирует иммунная система.
При пониженном иммунитете различные виды бактерий начинают активно размножаться, а их продукты жизнедеятельности вызывают заболевания.
В основном страдает дыхательная, пищеварительная, мочеполовая система, однако при запущенной форме колонии стрептококковых инфекций поражают сердце, почки, суставы.
Как передается инфекция?
- воздушно-капельным путем;
- пищевым путем;
- бытовым путем;
- половым путем;
- фекально-оральным путем;
- трасплацентарным путем (при родах);
- медицинским путем.
Многие не догадываются, как передается заболевание, вызванное колониями стрептококковых инфекций.
Воздушно-капельный путь считается самым популярным способом заражения. Через кашель и чихание передается стрептококковая инфекция. Особенно опасны общественный транспорт, непроветриваемые общественные помещения.
https://youtube.com/watch?v=rrCEzMnt9zo
Есть вероятность заразиться через пищу, в частности, простроченные мясные и молочные продукты, несвежие салаты с майонезом, сладости с белковым кремом, бургеры и бутерброды.
Стафилококк может попасть в организм через контакт с зараженными бытовыми предметами. Инфицирование происходит через поврежденную слизистую рта, носа или кожу.
Например, через использование полотенца, посуды, постельного белья больного. Употребление воды в компании из одной чашки или с горла одной бутылки — заразно.
Если в детском кругу общения есть зараженный, его игрушка опасна для всех окружающих его детей.
Возможно подхватить инфекцию через половой путь, во время интимной близости с инфицированным человеком. Заразиться можно и при несоблюдении правил личной гигиены, поэтому перед едой необходимо мыть руки.
Мать при рождении ребенка передает ему свою микрофлору, поэтому перед зачатием необходимо оздоровить организм.
Некачественно обработанные медицинские инструменты или инструменты салонов красоты, пирсинга, тату могут стать причиной заражения.
Недоразвитие мягкого неба. Причины. Симптомы. Диагностика. Лечение
Недоразвитие мягкого неба обязано своим происхождением нарушению развития эмбриональных зачатков небных пластин, которое может приводить и к аномалии развития твердого неба (готический свод полости рта, недоразвитость задних частей небных пластинок).
В этом случае задний край твердого неба, к которому прикрепляется мягкое небо, представляется редуцированным в виде угла, открытого кзади.
Этот дефект маскируется мягким небом, однако в результате его недоразвитости носоглотка остается открытой как при фонации носовых согласных, так и при акте глотания, что обусловливает открытую гнусавость и попадание жидкой пищи в носоглотку. Этот дефект способствует также проникновению инородных тел из полости рта в носовой части глотки.
Наличие некомпенсированного дефекта мягкого неба требует значительно большего расхода легочного воздуха, необходимого для фонации, поэтому такие больные во время разговора делают частые паузы для вдоха.
При таких дефектах удаление аденоидов противопоказано, поскольку оно приводит к учащению тубоотитов и острых гнойных отитов из-за более доступного попадания в слуховую трубу жидкой пищи.
Лечение недоразвития мягкого неба затруднено. Принцип лечения заключается в сужении носоглоточной полости, который в прошлом реализовался путем введения парафинового (вазелинового) масла в заднюю стенку глотки.
Позже предлагали разные хирургические способы сужения этого пространства, один из которых заключается в мобилизации медиальной пластинки крыловидного отростка клиновидной кости с расположенным на ее конце крыловидным крючком и низведения ее вниз. Этот отросток выявляется при помощи пальпации непосредственно позади и кнутри от последнего верхнего моляра, затем прямым долотом наносят удар в его основание.
Этой манипуляцией достигается мобилизация прикрепленных к этому отростку мышц, которые собственной тягой спускаются книзу и располагаются на нижней поверхности небного апоневроза, что приводит к определенному сужению носоглотки. Операцию производят с двух сторон.
Если при помощи этого оперативного вмешательства не достигается желаемого результата, то прибегают к фарингопластике, сущность которой заключается в выкраивании прямоугольного лоскута слизистой оболочки из задней стенки глотки на верхней питающей ножке, после чего освежают заднюю поверхность мягкого неба и фиксируют к ней при помощи нескольких швов нижний конец лоскута, остальную часть лоскута пришивают к задней стенке глотки.
Таким образом, сообщение между носоглоткой и ротоглоткой делится на две полости мостиком, образованным из слизистой оболочки задней стенки глотки. По бокам этого мостика сохраняются просветы, обеспечивающие носовое дыхание. После этой операции пациент должен пройти курс фониатрической логопедии.

При частичной недостаточности мягкого неба уменьшение пространства между недостающей его частью и задней стенкой глотки возможно путем формирования аналогичного лоскута на верхней ножке напротив дефекта мягкого неба и фиксации его с заворачиванием внутрь для образования выпуклости на задней стенке глотки и уменьшения расстояния между ней и мягким небом и обеспечения функциональной обтурации носоглотки при глотании и фонации.
Небо у ребенка неровное
При данной врожденной патологии твердое небо приобретает специфическую форму, несколько приподнимая зубы фронтальной группы. Дефект отчасти компенсируется мягким небом, однако носоглотка остается постоянно открытой.
Это приводит к различным осложнениям – от неправильного произношения звуков (дисфонии), обусловленного нарушением артикулярного аппарата, до хронических заболеваний ЛОР-органов и попадания инородных тел и жидкостей в полость носоглотки.
Причины и последствия готического неба у ребенка
Согласно мнению большинства специалистов причиной данной аномалии является нарушение формирования зачатков неба на эмбриональной стадии (в т. ч. – недоразвитие небных пластинок).
В числе основных причин называются:
- генетические мутации;
- воздействие на организм беременной женщины неблагоприятных экзогенных факторов;
- травматические повреждения;
- интоксикации;
- резус-конфликт между матерью и плодом;
- эндокринопатии у беременной женщины;
- различные заболевания вирусного генеза.
Важно: одним из предрасполагающих факторов развития аномалии является ротовое дыхание ребенка.
Аркообразная форма неба становится причиной формирования аномалий прикуса, что ведет к неправильному произношению звуков.
К числу симптомов относятся затрудненное произношение шипящих звуков и ротацизм (проблемы с произношением звука «р»). Речь может быть картавой, а произношение «р» — горловым. Проблемы с сигматизмом и папарасигматизмом (нарушение произношения шипящих звуков) обусловлено тем, что язык загибается, заходя за бугорки.
Как исправить?
Коррекция обычно проводится путем хирургического вмешательства, но полного клинического излечения удается достичь далеко не в 100% случаев. Оптимальным возрастом для проведения ортодонтической коррекции является 5-6 лет.
В ряде случаев удается обойтись без оперативного вмешательства. Постоянные занятия с логопедом зачастую позволяют свести к минимуму или полностью исправить дефекты речи. Правильному развитию произношения способствуют благоприятная обстановка и доброжелательное отношение окружающих.
Плисов Владимир, стоматолог, медицинский обозреватель
Готическое небо у ребенка: причины патологии, характерные симптомы, методы исправления — Ваш Доктор
Готическое небо – это патология, относящаяся к аномалиям развития челюсти и носоглотки. Название обусловлено формой неба, которое ненормально высокое («арковидное»).
Готическое небо причины
Апноэ во сне – это эпизод прекращения дыхания во время ночного сна. Периодические остановки дыхания ночью называется «синдром апноэ во сне» и влияют на рост и развитие ребенка.
У детей остановки дыхания чаще носят так называемый обструктивный характер, то есть появляется обструкция, препятствие в виде миндалин или аденоидов, слипшихся стенок глотки.
Это становится видимой причиной нарушения дыхания во сне. Однако начинается все с обычного насморка.
Заложенность носа сама по себе не опасна и легко лечится. С точки зрения дыхания ребенка и формирования прикуса значение имеет то, что при насморке вдох и выдох легче делать через рот.

Пара дней насморка не изменит ни дыхание, ни прикус ребенка. Хроническая заложенность носа запускает ряд механизмов, которые серьезно нарушают строение лица, челюстей, расположение зубов и приводят к развитию синдрома обструктивного апноэ во сне.
Во-первых, носовое дыхание заменяется ротовым, которое может войти в привычку даже при устранении насморка.
Во-вторых, открываются входные ворота для инфекции, провоцируется развитие аденоидов, а за ними и гипертрофии миндалин с частыми обострениями.
Такая ситуация ночью неминуемо оборачивается проблемами с дыханием, так как тонус всех мышц (глотательных и дыхательных) снижен. Глотка перекрывается отекшими и гипертрофированными тканями, прекращая дыхание. Ребенок вынужден просыпаться или подбуживаться для восстановления дыхания.
В то же время, закрепление ротового дыхания начинает влиять на развитие лица и прикуса.
При закрепленном ротовом дыхании изменяется тонус круговой мышцы рта и щечных мышц. Язык занимает неправильное положение: опускается вниз и кзади. Отсутствие поддержки языка изнутри и давление щек снаружи, приводят к сужению верхнего зубного ряда.
Если носовое дыхание не было своевременно восстановлено, то формируется «готическое небо» — высокое и узкое. Такое сужение почти всегда сопровождается значительной скученностью зубов.
Если сужение верхней челюсти не было своевременно устранено, из-за рефлекторного сокращения задних пучков височных мышц, происходит смещение нижней челюсти назад — формируется дистальный прикус.
У большинства больных с подобными нарушениями нижняя губа располагается в промежутке между верхними и нижними передними зубами, дети прикусывают ее. Это способствует наклону вперед верхних резцов и наклону назад нижних резцов — расстояние между ними увеличивается.
Напряжение мышц подбородка при неправильном глотании тормозит развитие нижней челюсти, что усугубляет деформацию.
Сформированный неправильный прикус, в свою очередь, усугубляет картину дыхания ночью и закрепляет «порочный круг». У взрослых эта ситуация имеет более серьезные последствия и хуже поддается коррекции.
Поэтому важно вовремя обратить внимание на признаки апноэ и своевременно провести профилактику и лечение. Лечение проводится комплексно с участием врача-сомнолога, ортодонта, логопеда, остеопата и других специалистов при необходимости.
Обратите внимание! Если у вашего ребенка присутствует, хотя бы один из перечисленных признаков, то это повод обратиться к врачу.
- Храп;
- Остановки дыхания во сне;
- Ротовое дыхание;
- Хронический насморк;
- Увеличенные миндалины или аденоиды;
- Скученность зубов.
Специалисты, которые помогут в данных ситуациях: ортодонт, ЛОР, сомнолог.
Аномалии развития челюсти и носоглотки в настоящее время встречаются достаточно часто.
огие учёные считают, что они обязаны своим появлением нарушению формирования эмбриональных зачатков нёба. Считается, что именно на стадии формирования закладывается аномалия развития твёрдого неба: недоразвитие нёбных пластинок, готическое нёбо и прочие мутации.
В этом случае твёрдое нёбо приобретает совсем иную форму, приподнимая передние верхние зубы.
Эту аномалию несколько компенсирует мягкое нёбо, однако всё время открытая носоглотка создаёт массу проблем для ребёнка, такие как попадание жидкостей и инородных тел в носоглотку и дефекты речи.
Наличие подобного дефекта требует большого количества расходуемого воздуха при произнесении отдельных звуков, именно поэтому такие пациенты часто делают паузы для вдоха.
При такой патологии удаление аденоидов не рекомендуется, поскольку оно приводит к острым гнойным отитам и туботитам, из-за непосредственной близости жидкой пищи к слуховой трубе.
Родителям, имеющим детей с подобными аномалиями, как готическое нёбо, не стоит впадать в панику из-за подобного дефекта, однако всегда нужно быть внимательными к субъективным ощущениям малыша, ибо даже залипание хлебных крошек на верхнем нёбе может привести к весьма плачевным последствиям.

Лечение аномалий мягкого нёба весьма затруднительно, однако не означает, что невозможно. Основной принцип лечения готического нёба заключается в сужении носоглоточной полости, ранее это делалось путём введения парафинового масла в задний свод глотки. Наиболее поздние способы лечения предполагают хирургическое вмешательство для искусственного сужения этого пространства.
Один из таких способов мобилизует медиальную пластинку клиновидной кости и немного опускает её вниз, упор делается на крыловидный отросток, который прекрасно пальпируется книзу и внутрь от последнего верхнего зуба. Эта манипуляция предполагает мобилизацию, прикреплённых к отростку мышц, что приводит к значительному сужению носоглотки. Операция проводится с двух сторон.
Если это не даёт видимых результатов, готическое нёбо убирается с помощью фарингопластики, суть которой заключается в том, что из собственных тканей глотки формируется некий мостик, который разделяет сообщение между ротоглоткой и носоглоткой, по бокам этого сооружения сохраняются отверстия, обеспечивающие ребёнку нормальное носовое дыхание. Сложность послеоперационного периода для малыша заключается в том, что ему предстоит пройти курс фониатрической логопедии для того, чтобы научиться правильно произносить слова и звуки.
При недостаточности мягкого нёба вполне возможна аналогичная операция и некоторые врачи её успешно применяют. Любая мама должна знать, что готическое нёбо – это не приговор, а всего лишь одна из возможностей доказать ребёнку свою настоящую любовь к нему и сделать всё, что только возможно для его полноценного роста и развития.
В чем причина болезни ди джорджи?
Примерно у 85-90% больных, страдающих этой патологией была выявлена делеция 22 хромосомы – выпадение небольшого участка генетического материала.
К факторам риска, способных привести к такой генетической аномалии относят: прием алкогольных напитков и курение в течение беременности, перенесенные инфекции, особенно в первые три месяца развития плода и наличие у матери сахарного диабета.
Симптомы заболевания
Клинические проявления и симптомы велокардиофациального синдрома достаточно разнообразны и видны с самого рождения ребенка.
Вследствие недоразвития вилочковой железы иммунная система таких детей не способна в полной мере дать адекватный ответ на внедрение в организм бактерий, вирусов и грибков, поэтому они в значительной мере подвержены инфекционным заболеваниям с тяжелым течением.
Обязательный симптом — врожденные пороки сердца. К примеру, тетрада Фалло, которая характеризуется:
- Сужением выводного сосуда правого желудочка – легочной артерии.
- Дефектом мышечного отдела перегородки между желудочками.
- Декстрапозицией аорты – отклонением ее ствола в правую сторону.
- Гипертрофией (увеличением стенки) правого желудочка.
Патология со стороны лицевого скелета:
- Расщелина неба и верхней губы.
- Гипертелоризм – патологически увеличенное расстояние между глазами.
- Высокое нёбо у ребенка или иначе — готическое небо.
- Деформация и низкое расположение ушных раковин.
- Антимонголоидный разрез глаз.
- Недостаточное развитие верхней челюсти в размере или микрогнатия.
Антимонголоидный разрез глаз – это опущение книзу внешнего угла глаза.
Причиной готического неба является патологическое формирование эмбриональных закладок. Как таковых последствий у ребенка с высоким небом опасаться не стоит.
Фото готического неба у ребенка
Кроме того, такие дети имеют аномалии развития со стороны иных органов и систем.
Поражение со стороны нервной системы проявляется плохой координацией вследствие неполного развития мозжечка, расстройством чувствительных и моторных функций на фоне атрофии коры полушарий мозга.
У детей с синдромом Ди Джорджи часто выявляются укорочение пищевода, фистулы – патологические каналы в анальном отверстии, аномальное развитие сосудов сетчатки, гидронефротическая трансформация почек (скопление жидкости в почечной ткани) или их атрофия. Полидактилия (патологическое количество пальцев на руках или ногах), отсутствие ногтевой пластины и другие различные костные аномалии. Постоянный симптом – задержка интеллектуального развития.
Диагностика заболевания
В отличие от других делеционных заболеваний этот синдром можно выставить уже в родильном зале.
https://youtube.com/watch?v=zUflV442OZE
При осмотре новорождённого врач-неонатолог может отметить маленький размеры головы, антимонголоидный разрез глаз, страбизм или иначе — косоглазие, низко посаженные уши, широкую переносицу, расщелину мягкого нёба и верхней губы, а также иные дефекты, которые позволят заподозрить болезнь Ди Георга. Врач уже на раннем этапе при прослушивании сердечных тонов может выявить шумы, свойственные порокам.
Вышеуказанный синдром выставляется при сочетании таких симптомов: судороги с первых суток от рождения, врожденные пороки сердца, аномалии развития лицевого скелета, часто рецидивирующие грибковые и бактериальные инфекции, которые трудно поддаются терапии.
В течение нескольких недель повторно берутся анализы крови для определения количества Т-лимфоцитов, концентрации ионизированного кальция, количества иммуноглобулинов в сыворотке (те защитные белки, которые вырабатываются против бактерий, вирусов и т.д.). Исследования назначаются не единожды, чтобы убедиться в том, что снижение всех показателей имеет стойкий характер.
Обязательными методами в диагностике этой патологии являются УЗИ вилочковой и паращитовидных желез, эхокардиографическое исследование сердца (с целью выявления пороков).
Проводится и генетический анализ методом гибридизации ДНК для выявления участков выпадения в 22-й хромосоме.
Все указанные методы исследования позволяют не только точно определить саму болезнь, но и указать степень её тяжести, подобрать необходимое лечение.
Лечение синдрома Ди Джорджи
В данном случае излечить болезнь полностью невозможно, поэтому назначается комплексная поддерживающая терапия.
Для устранения инфекции, в зависимости от микроорганизмов, вызвавших ее, назначаются антибиотики, антимикотические (противогрибковые) и противовирусные препараты или их комбинации.
Так как у ребенка в огромном дефиците некоторые иммунные клетки – внутривенно либо внутримышечно вводится иммуноглобулин, получаемый из жидкой составной крови здоровых людей. Такая терапия называется заместительной.
С целью профилактики развития судорожного синдрома назначаются лекарственные препараты кальция.
Хирургическое лечение применяется для ликвидации аномалий развития лица и пороков сердца.
В отдельных случаях – при выраженном иммунодефиците, проводится трансплантация (т.е. пересадка) вилочковой железы. Забор органа производится от плода, внутриутробный возраст которого не превышает 14 недель.
Пересадка может осуществляться на переднюю брюшную стенку в мышечную ткань либо клетки тимуса вводятся внутривенно в виде взвеси. Операция проводится в том случае, если пороки сердца были скорректированы.
Люди с таким заболеванием должны избегать переохлаждений, частых стрессовых ситуаций, контакта с инфекционными больными.
Будущая мать также может сделать специальный пренатальный тест, позволяющий выявить генетические отклонения у плода и при наличии таковых вместе с лечащим доктором обсудить исход беременности.
Возможные последствия и осложнения болезни
- Выраженная задержка в умственном развитии.
- Появление опухолевых заболеваний, в том числе и злокачественных.
- Возникновение различных аутоиммунных болезней.
- При тяжёлых инфекциях и врожденных пороках сердечно-сосудистой системы, возможен летальный исход.
Прогноз для жизни у таких детей относительно неблагоприятный, так как вследствие тяжелейшего иммунодефицита, они редко достигают возраста старше 6-7 лет.
Итак, синдром Ди Джорджи – это генетическое иммунодефицитное заболевание с тяжелыми аномалиями скелета лица и сердечно-сосудистой системы, которое чаще всего диагностируется в роддоме. Специфической профилактики и лечения не существует, возможна только поддерживающая терапия. Как правило, описанная патология имеет неблагоприятное течение.



