Редактор
Дарья Тютюнник
Врач, судебно-медицинский эксперт
Интерстициальное заболевание легких может возникать в любом возрасте. У детей оно требуют повышенного внимания, так как имеет высокий риск инвалидизации и смертности.
Идентификация детей с факторами риска и установление специфического диагноза детского возраста имеет решающее значение.
Сегодняшней статьей мы поможем родителям узнать причины, симптоматику и терапию интерстициальных болезней легких.
Что это такое?
Пневмония – это инфекция в одном или обоих легких. Причиной ее появления могут быть бактерии, вирусы или грибы. Этими же возбудителями может быть вызвана интерстициальная форма заболевания.
Обычная интерстициальная пневмония представляет собой форму заболевания легких, характеризующуюся прогрессирующим рубцеванием обоих легких и склеиванием легочных сегментов. Шрамы (фиброз) включают поддерживающий каркас (интерстиций) легкого.
Таким образом, данная патология классифицируется как форма интерстициального заболевания легких. Термин «обычный» относится к тому факту, что такая форма пневмонии является наиболее распространенной формой интерстициального фиброза. «Пневмония» указывает на «аномалию легких», которая включает фиброз и воспаление.
При неправильном или несвоевременном лечении легочная ткань может сильно уплотниться, что значительно снизит усвояемость кислорода.
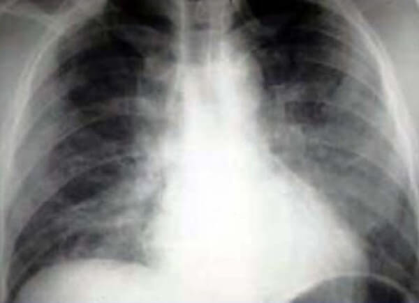
Интерстициальная пневмония на снимке
Причины и факторы риска
Самые распространенные факторы риска (возбудители):
- инфекции Streptococcus группы B, L. monocytogenes или грамотрицательные стержни (например, E. coli, K. Pneumoniae) являются самой частой этиологией бактериального вида инфицирования легочной ткани;
- инфекции стрептококков группы B практически всегда передаются плоду в полости матки, наиболее распространенный вирус – респираторно-синцитиальный вирус (RSV);
- S. pneumoniae – это самый широко известный возбудитель бактериальной пневмонии у детишек от одного до трех месяцев;
- микоплазменная инфекция – часто инфицирует детей старшего школьного и пубертатного возраста;
- недостаточное питание;
- низкий вес при рождении (≤ 2500 г);
- искусственное вскармливание (в течение первых 4 месяцев жизни);
- отсутствие иммунизации против кори (в течение первых 12 месяцев жизни);
- загрязнение воздуха внутри помещений.
Вероятные факторы риска:
- курение;
- дефицит цинка;
- сопутствующие заболевания (например, диарея, сердечные заболевания, астма);
- осадки (влажность);
- большая высота (холодный воздух);
- дефицит витамина А;
- наружное загрязнение воздуха.
Общие симптомы
Общие симптомы, характерные для интерстициальной пневмонии:
- лихорадка;
- озноб;
- влажный кашель;
- заложенный носик;
- тахипноэ (бывает, что это один единственный признак);
- дыхание свистящими и хрюкающими звуками;
- при вдохе заметное увеличение увеличение ноздрей, брюшное дыхание или движение мышц между ребрами;
- рвота;
- диарея;
- боль в грудной клетке;
- боль в животе, которая часто происходит потому, что ребенок кашляет и старается дышать всей брюшной стенкой;
- сниженная активность;
- потеря аппетита (у более старших ребят) или пониженное потребление еды (у младенцев), что может привести к обезвоживанию;
- в крайних случаях, синеватый или сероватый цвет губ и ногтей.
Полезно знать! Если воспалительный процесс находится в нижней части легких близко от брюшной полости, у ребенка появится лихорадка, боль в области живота, рвота, но не будет проблем с дыханием.
Дети с пневмонией, вызванной бактериями, обычно заболевают критически быстро, начиная с внезапного поднятия температуры и патологически ускоренного дыхания. У малышей с пневмонией, вызванной вирусами, вероятно, появятся симптомы, которые начинаются постепенно и весьма мало выражены, хотя свистящее дыхание скорее всего будет более распространенным.
Особенности у новорожденных
Новорождённые и младенцы могут не показывать патогномоничных признаков (прямо указывающих на факт болезни) инфекции пневмонии. Невероятно трудно узнать, есть ли у малышей заболевание, потому что они не имеют развитой речи, чтобы сообщить, как они себя чувствуют.
Клиническая картина патологического процесса в легких у новорожденных младенцев:
- взгляд грустный;
- плачет больше, чем раньше;
- мало кушает;
- раздражительность;
- рвота;
- хрюканье.
Наивернейший метод точно узнать, есть ли у ребенка пневмония, это консультация педиатра.
Педиатр или врач общей практики может проверить наличие серозного выпота или гноя в легких вашего чада, используя перкуссию, стетоскоп или методы визуальной диагностики.
Обращая свой взгляд на симптоматику ранней стадии интерстициальной пневмонии у детей, у родителей есть шанс, что их дитя минует отделение скорой помощи. Тем не менее пневмония может развиваться очень быстро среди детей (особенно у младенцев) с сопутствующими заболеваниями.
Читайте также:
Восстановление легких после пневмонии у ребенка
Лечение
При первых симптомах этой патологии нужно срочно обратиться к врачу, так как отсутствие своевременного лечения может повлечь за собой серьезные осложнения. Эффективное лечение зависит от того, что вызвало воспалительный процесс, и может варьироваться от лечения таблетками до операции.
Схема лечения для детей от 2 месяцев до 5 лет:
- принимать амоксициллин;
- в течение первых 7-10 дней – 40 мг на кг веса;
- от 80 до 90 мг в день, в две разделенные дозы, от 7 до 10 дней или 90 мг в день, в трех разделенных дозах, от 7 до 10 дней.
Схема лечения для детей от 5 до 16 лет:
- принимать азитромицин;
- в первый день – 10 мг на кг веса;
- до 5 дня – 5 мг в день.
Важно! Лечение должно назначаться только врачом с учетом чувствительности бактерий к антибиотикам. Перед выбором антибиотиков проводится антибиотикограмма на чувствительность.
Симптоматическая терапия
Дети с пневмонией обычно имеют повышенную температуру. У них может быть локализованная боль в груди, боль в животе, головная боль или артралгия (боль в суставах).
Плевральная боль и боль в животе могут препятствовать эффективному кашлю.
Эти симптомы можно контролировать с помощью соответствующих весу доз лекарств от температуры и анальгетиков, таких как ацетаминофен или ибупрофен.
Будьте внимательны! Аспирин не рекомендуется для детей из-за риска синдрома Рейе (острая печеночная недостаточность и энцефалопатия).
Уход за ребенком дома
Если ваш ребенок страдает от боли или лихорадки, вы можете дать парацетамол, чтобы облегчить его состояние. Вы должны следовать инструкциям по дозировке на бутылке. Опасно давать больше, чем рекомендуемая доза.
Вашему малышу понадобится отдых, чтобы помочь ему выздороветь от пневмонии. Помогайте ему пить больше жидкости и есть полезные блюда маленькими порциями.
Если врач прописал вашему ребенку антибиотики, убедитесь, что он принимает все дозы до окончания курса.
Разумно держать ребенка с пневмонией подальше от других детей, чтобы ограничить распространение инфекции.
Как долго длится восстановление?
Если состояние вашего ребенка не улучшится через 4 недели, стоит еще раз обратиться к врачу. Ребенку нужно около пары недель, чтобы полностью восстановиться. За это время иммунная система будет активно бороться с остатками пневмонии. Кашель с мокротой является частью процесса очистки. Кашель после лечения может длиться до 4 недель, но в это время состояние должно постепенно улучшаться.
Вы должны снова обратиться к своему лечащему врачу, если:
- вы обеспокоены тем, что кашель снова становится прогрессивнее;
- ваш ребенок все еще кашляет с мокротой через 4 недели;
Длительный кашель, кашель с мокротой или повторная пневмония могут быть признаком бронхоэктаза (это тип рубца в легких), признаком развития хронической формы.
Клинические рекомендации (скачать)
Полезное видео
В приведенном ниже видео доктор Голубева М.В. в виде презентации рассказывает о трудностях рентгенологического исследования интерстициальной пневмонии:
Одним из самых сложных проявлений воспалительных процессов в легких является интерстициальная пневмония, представляющая собой совокупность диффузных прогрессирующих воспалительных легочных изменений. В процессе развития этой патологии поражается часть функционирующих органов, которые провоцируют воспаление соединительной интерстициальной ткани, нарушение газообмена и склеивание легочных сегментов. В итоге происходит полное изменение легочного каркаса (интерстиции).
Несвоевременное лечение может привести к уплотнению легочной ткани, что чревато прекращением доступа кислорода в кровеносную систему.
Клиническая картина
К основным группам этой патологии можно отнести такие заболевания, как:
- идиопатическая интерстициальная пневмония;
- саркоидозные поражения легких;
- экзогенный альвеолит аллергической природы;
- гистиоцитозное развитие легочных аномалий;
- альвеолярный протеиноз легких;
- васкулиты легких;
- криптогенная организующаяся пневмония;
- осложнения по причине приема отдельной лекарственной группы;
- скрытый бессимптомный тип патологии.
Вся перечисленная группа имеет схожие симптомы, но при этом отмечаются их отличия в течении и развитии, в лечении и прогнозах. Медики отмечают схожесть причинных факторов группы интерстициальных легочных заболеваний. К ним можно отнести следующие распространенные причины:
- попадание в результате вдыхания токсических составляющих — дыма, химических паров и производственных выхлопов;
- вирусные и грибковые возбудители, которые становятся причиной инфицирования легких и поражения межуточной ткани;
- коллагенозные заболевания легочной ткани;
- контактирование с определенными видами птиц, которые относятся к разряду аллергенных носителей;
- побочные эффекты от длительного приема некоторых препаратов;
- радиоактивные воздействия.
Читайте также:
Амоксиклав при пневмонии для детей отзывы
Как определить патологию
Характерными симптомами для всей группы заболеваний можно назвать одышку при активной физической нагрузке, которая переходит со временем в прогрессирующую стадию. Если причиной патологии стало заражение респираторной инфекцией, к основным симптомам может добавиться кашель, температура и одышка, которая уже появляется при ходьбе. Заболевание может не отличаться яркой симптоматикой несколько месяцев, а в некоторых случаях и лет. Обнаружить патологические процессы в легких медики могут иногда только при плановых медосмотрах с проведением рентгенологического и флюорографического исследования легких, что значительно тормозит лечение.
Пневмония интерстициальная может иметь симптомы нелегочного характера:
- болезненные ощущения в суставах;
- кожная сыпь по всему телу;
- изменения размера печени;
- снижение зрительных возможностей;
- аритмии сердца.
В большинстве случаев иммунологи даже при первых результатах исследований, показавших наличие пневмонии, проводят компьютерную томографию легких, чтобы определить, какой именно вид интерстициальной патологии легких стал причиной болезненного состояния пациента. Такой вид диагностики позволяет точно определить характер изменений в тканях легких. Иногда при обычной рентгенограмме легкие больного могут выглядеть совершенно здоровыми, поэтому пациент долгое время проводит лечение, не приносящее положительных результатов.
Обязательным диагностическим мероприятием является исследование функции легких при помощи спирометрии, которая предусматривает обследование дыхательной функции, изменение объема легких и их диффузные способности, выражающиеся в возможности доставки кислорода в кровь. Не всегда, чтобы установить окончательный диагноз и иметь полную картину того, как развивается заболевание, достаточно провести только КТЛ (компьютерную томографию легких).
Основным этапом диагностики в большинстве случаев является видеотарокоскопия. Она представляет хирургическую операцию, в результате которой проводят забор материала из легочной ткани. Биоптаты (фрагменты ткани легких) исследуют и по строению тканевых клеток определяют вид интерстициальной пневмонии. В дополнении к основным видам диагностики врачи могут назначить иммунологические анализы крови, определяющие наличие аллергенов грибоподобных возбудителей, птиц, а также с целью выявления хронических недугов соединительной ткани. Тяжелая форма патологии предусматривает и анализ газового состава крови.
Благодаря полной диагностической процедуре, врач может назначить эффективное лечение пациенту.
Лечебная тактика
По причине нечастых случаев интерстициальной пневмонии основные мероприятия по диагностике и соответствующее лечение назначают специалисты узкого профиля — иммунологи, которые имеют большой опыт ведения пациентов с этим диагнозом. Лечение патологии определяется по типу пневмонии. Если пациент нормально себя чувствует, его легочные функции не изменились, лечебные процедуры врачи не назначают, только наблюдают за состоянием больного. Как только замечается прогрессирование болезни — начинают активное лечение.
При назначенной лечебной терапии, которая сразу же переходит в активную фазу, межуточная легочная ткань может быть полностью восстановлена.
Но этот процесс иногда может растянуться на месяцы и даже годы. Главным условием, которое позволяет свести к минимуму побочные эффекты в процессе лечения является полное следование всем врачебным рекомендациям. Современные методы, включенные в лечение интерстициальной пневмонии, помогают добиться выздоровления и возврата больного к полноценному существованию.
Детская патология
Основными причинами появления интерстициальной пневмонии у детей могут быть разной природы вирусные инфекции. Особенно это касается малышей до года. Чаще такое проявление пневмонии наблюдается в период эпидемий гриппа. Если инфекция попадает в кровь ребенка, не только возбудитель, но и все токсические продукты его внутриклеточного обмена оказывают пагубное воздействие на легочную ткань.
В большинстве случаев этот вид патологии начинается как первоначальное заболевание, но по причине присоединения к основному недугу бактериального возбудителя, он принимает смешанный характер развития. На основании того, что это вид пневмонии протекает часто бессимптомно, ее относят к атипичным формам проявления. Интерстициальная пневмония у детей имеет острую начальную форму проявления. У малыша на фоне ярко выраженных симптомов — температуры, кашля, рвотных позывов физикальные изменения в легких могут быть очень слабыми, не характеризующими очаговое воспаление.
Читайте также:
Что такое внегоспитальная правосторонняя очаговая пневмония
Характерной симптоматикой детской интерстициальной пневмонии называют:
- нежелание принимать пищу;
- рефлекторная слабость в сухожилиях;
- повышенная чувствительность к внешним раздражителям — свету, звуку;
- плохой сон;
- беспокойное состояние, переходящее в возбуждение, а затем сменяющееся динамическим состоянием;
- дыхательная недостаточность.
При некоторых видах пневмонии может отмечаться цианоз — выраженная синюшная окраска кожи и слизистых оболочек, сильная дыхательная дисфункция. У очень маленьких детей врач может прослушать только жесткое дыхание и булькающие хрипы. Малыши, страдающие экссудативным диатезом, в период протекания воспалительного процесса в легких, как сопутствующее явление, могут получить осложнение в виде астматических проявлений.
Детская патология, обусловленная воспалением легочной ткани, очень часто приводит к поражению сердечно-сосудистой системы, что может проявляться в ярко выраженной тахикардии и брадикардии, нарушается сердечный ритм. У больных пневмонией детей, как правило, врачи констатируют увеличение печени. Дети могут иметь нарушения в составе крови — заболеть лейкоцитозом или лейкопенией, что характерно повышением показателя лейкоцитов в клетках крови. При этом, гамма-глобулин значительно снижен, а РОЭ сильно увеличена.
Патология характеризуется тяжелым протеканием, с частыми рецидивами и осложнениями.
Антибиотикотерапия
Пневмонию разного типа у детей, не достигших трехлетнего возраста, лечат в стационарных условиях. Если наблюдается дыхательная недостаточность, врач принимает решение отправить в стационар ребенка независимо от возрастных показателей. Перед прохождением активной фазы лечения иммунологи проводят полное освидетельствование состояния малыша — имеющиеся аномалии развития, сопутствующие недуги, состояние иммунной системы.
Дети более 3 лет могут проходить лечение вне больницы, при условии, если родители готовы выполнять четко все врачебные предписания.
В основу лечения входит антибактериальная терапия, благодаря которой нейтрализуется главный возбудитель болезни. Иногда в силу возраста ребенка врачи не могут получить образцы исследовательского материала, поэтому назначение препаратов для лечения происходит на основании клинической картины патологии и возраста малыша. Назначенное лекарственное средство уже через двое суток может показать свою результативность, в противном случае врач назначает другое или комбинирует его с препаратами разных групп.
Как правило, детям назначают антибиотики. Самыми широко применяемыми в этих целях являются:
- Пенициллины полусинтетической природы, которые устойчивы к грамположительным микроорганизмам — Амоксиклав, Ампициллин.
- Цефалоспорины второго и третьего поколения — Азитромицин, Ровамицин, Эритромицин.
- Тяжелую форму лечат при помощи комбинированной схемы препаратами разных групп с Метронидазолом или сульфаниламидами.
- На поздних сроках выявления пневмонию у детей лечат, комбинируя прием цефалоспоринов и Вакомицина.
- При определении в анализах синегнойной палочки применяют цефалоспориновые антибиотики третьего поколения — Цефтазидим, Цефоперазон, Тиенам.
- Детям до шестимесячного возраста назначают макролиды — Джозамицин, Спирамицин.
В случае, если врачу сложно определить возбудителя, он назначает антибиотики двух групп. Межуточная пневмония, вызванная грибковой инфекцией, лечится Дифлюканом, Амфотерицином. Практически всегда врачи назначают инъекционное введение антибиотиков, но в период ремиссии заболевания употребление препаратов назначают перорально.
Дополнительные средства лечения
Чаще назначают в таком случае Вильпрофен, Солютаб, Флемоклав. Как побочный эффект, прием антибиотиков может вызвать нарушение микрофлоры кишечника у ребенка, поэтому с целью предупреждения такого осложнения врачи выписывают обязательно принимать одновременно с антибиотиками Бифидумбактерин, Хилак, Линекс.
Нормализовать обменный процесс в детском организме помогает достаточное количество жидкости, благодаря которому выводятся вредоносные токсины. Обязательно при легочной недостаточности назначают кислородотерапию и витаминные комплексы. Если воспалительный процесс сопровождается высокой температурой, применяют жаропонижающие средства, что способствует предупреждению судорог. При сильно выраженном лихорадочном состоянии врач может назначить прием нестероидных противовоспалительных средств — Диклофенак, Ибупрофен.
При межуточной пневмонии, сопровождающейся мокрым кашлем, назначают муколитики — Мукосалван, Бромгексин, АЦЦ, Мукомист, ингаляции с щелочной минеральной водой или содовыми растворами. Чтобы улучшить моторику бронхов, назначают отхаркивающие средства — Доктор МОМ, Бронхикум. Большое значение уделяется физиотерапии.
С профилактической целью врачи рекомендуют проводить закаливания, следить за качеством питания, своевременно лечить инфекционные очаги, проводить вакцинации против пневмококка. Пневмония — опасное заболевание, которое при неправильном лечении может привести к смерти.












