Аспирационная пневмония – это инфекционно-токсическое повреждение легочной паренхимы, развивающееся вследствие попадания в нижние дыхательные пути содержимого ротовой полости, носоглотки, желудка. Аспирационная пневмония проявляется кашлем, тахипноэ, цианозом, тахикардией, болью в груди, лихорадкой, появлением зловонной мокроты. Диагностика аспирационной пневмонии опирается на аускультативные и рентгенологические данные, результаты бронхоскопии, микробиологического исследования содержимого нижних дыхательных путей и плеврального выпота. Лечение аспирационной пневмонии требует проведения оксигенотерапии, антибиотикотерапии, эндоскопической санации трахеобронхиального дерева; при необходимости проводится дренирование развившихся абсцессов или эмпиемы плевры.
Общие сведения
Под аспирационной пневмонией в пульмонологии понимается воспаление легких, возникшее в результате установленного эпизода случайного попадания в нижние дыхательные пути содержимого ротоносоглотки или желудка. Среди различных форм пневмоний аспирационная пневмония имеет довольно большой удельный вес: на ее долю приходится около 23% случаев тяжелых форм легочной инфекции. Аспирационный синдром нередко встречается у практически здоровых лиц во время сна. Так, при исследованиях с ирригацией носоглотки раствором, меченным радиоактивными изотопами, аспирация была зафиксирована у 45-50% здоровых людей и у 70% пожилых пациентов в возрасте старше 75 лет с нарушением сознания.
Аспирационная пневмония
Причины
Аспирационные пневмонии развиваются на фоне случайного попадания твердых частиц или жидкости в воздухоносные пути. Тем не менее, одного лишь факта аспирации недостаточно для возникновения аспирационной пневмонии. В механизме развитии пневмонии играет роль количество аспирированного содержимого и его характер, число микроорганизмов, попадающих в терминальные бронхиолы, их вирулентность, состояние защитных факторов организма.
В большинстве случаев этиология аспирационных пневмоний носит полимикробный характер. Более 50% случаев аспирационной пневмонии вызывается анаэробной флорой (бактероидами, превотеллой, фузобактериями, порфиромонадами, вейлонеллами и др.); около 10% — только аэробными видами (стафилококками, гемофильной палочкой, клебсиеллой, кишечной палочкой, энтеробактериями, протеем, синегнойной палочкой); в остальных случаях – комбинированной флорой. Важным микробиологическим субстратом при развитии аспирационной пневмонии выступает присутствие в ротовой полости и верхних дыхательных путях патогенной микрофлоры при кариесе, пародонтозе, гингивите, тонзиллите и т. д.
Факторы риска
Чаще всего преморбидным фоном для аспирационных пневмоний служат:
Нарушения сознания, обусловленные различными факторами:
- алкогольное опьянение
- общая анестезия
- черепно-мозговая травма
- передозировка лекарственных средств
Заболевания периферической и центральной нервной системы:
- миастения
- рассеянный склероз
- болезнь Паркинсон
- метаболическая энцефалопатия
- эпилепсия
- опухоли головного мозга
- инсульт
Заболевания, сопровождающиеся нарушением акта глотания (дисфагией) и регургитацией:
- ахалазия кардии
- стеноз пищевода
- гастроэзофагеальной рефлюксной болезни
- грыже пищеводного отверстия диафрагмы
Травмы и ятрогенные повреждения:
- травматические и ятрогенные повреждения дыхательных путей при ранениях
- инородных телах трахеи и бронхов
- рвоте различного генеза
- проведении трахеостомии, интубации
- эндотрахеальных манипуляций.
В детском возрасте:
- аспирация мекония
- насильственное кормление ребенка
- вдыхание инородных тел в бронхи
Патогенез
Сценарий развертывания событий при аспирации содержимого в трахеобронхиальное дерево может варьировать от полного отсутствия нарушений до развития респираторного дистресс-синдрома, дыхательной недостаточности и гибели пациента. Условиями, приводящими к развитию аспирационной пневмонии, служат нарушения факторов местной защиты в дыхательных путях и патологический характер аспирационных масс (количество, химические свойства и рН, степень инфицированности и пр.). Основными патогенетическими звеньями, приводящими к возникновению аспирационной пневмонии, выступают механическая обструкция дыхательных путей, острый химический пневмонит и бактериальная пневмония.
При вдыхании большого объема аспирата или крупных твердых частиц возникает механическая обструкция трахеобронхиального дерева. Возникающий при этом защитный кашлевой рефлекс способствует еще более глубокому проникновению аспирированного субстрата в бронхи и бронхиолы, что может привести к развитию отека легких. Механическая обструкция сопровождается развитием ателектазов легкого и застоем бронхиального секрета, на фоне которых увеличивается риск инфицирования легочной паренхимы.
В ответ на агрессивное воздействие аспирированного содержимого развивается острый химический пневмонит, характеризующийся выбросом биологически активных веществ, активацией системы комплемента, высвобождением факторов некроза опухолей, цитокинов и т. д. Дальнейшие патологические изменения в легочной паренхиме обусловлены ее повреждением биологически активными веществами, а не прямым действием аспирата. На фоне рефлекторного бронхоспазма, ателектаза части легкого, снижения легочной перфузии и прямого повреждения альвеол быстро развивается гипоксемия. С присоединением бактериального компонента нарастает дыхательная недостаточность, лихорадка, кашель, т. е. появляются все признаки бактериальной пневмонии. В этой стадии аспирационной пневмонии рентгенологически определяются очаги инфильтрации, нередко возникают легочные абсцессы и эмпиема плевры.
Симптомы аспирационной пневмонии
В клиническом течении аспирационная пневмония проходит этапы пневмонита, некротизирующей пневмонии, абсцедирования и эмпиемы плевры. В отличие от бактериальной легочной инфекции, клиника аспирационной пневмонии разворачивается постепенно и стерто. В течение нескольких дней после эпизода аспирации могут иметь место субфебрилитет, слабость, сухой мучительный кашель. В дальнейшем нарастают диспноэ, боли в грудной клетке, лихорадка, тахикардия, цианоз, выделение пенистой мокроты с примесью крови при кашле. Нередко, уже спустя 10-14 суток при аспирационной пневмонии возникает абсцедирование легочной ткани и эмпиема плевры. При этом появляется продуктивный кашель с выделением гнойной мокроты с гнилостным запахом, кровохарканье, ознобы.
Диагностика
На аспирационную пневмонию указывает наличие в анамнезе эпизода аспирации, подтверждаемое физикальными, рентгенологическими, эндоскопическими и микробиологическими данными. При осмотре выявляются признаки гипоксемии (одышка, цианоз, тахикардия), отставание пораженной стороны грудной клетки при дыхании, иногда — гнилостный запах изо рта. Для выяснения причин, приведших к аспирационной пневмонии, кроме осмотра пациента пульмонологом и торакальным хирургом, может потребоваться консультация гастроэнтеролога, невролога, отоларинголога.Подтверждающая диагностика включает:
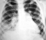
- Рентген. Рентгенография легких в 2-х проекциях позволяет определить типичную локализацию аспирационной пневмонии в так называемых зависимых сегментах легкого: задних верхнедолевых и верхних нижнедолевых сегментах (при аспирации содержимого в горизонтальном положении) или нижних долях (при нахождении пациента во время аспирации в горизонтальной позиции). Кроме этого, определяются ателектазы легкого, очаги деструкции в легочной паренхиме, скопление газа над экссудатом в полости плевры.
- Выделение возбудителя. Важным этапом диагностики аспирационной пневмонии служит бактериологический посев мокроты на микрофлору с определением чувствительности к антибиотикам, а также бактериологическое исследование промывных вод бронхов. Поэтому с диагностической целью обычно прибегают к проведению бронхоскопии с забором мокроты, взятию промывных вод из трахеобронхиального дерева.
- Исследование крови. Для выяснения тяжести гипоксемии при аспирационной пневмонии исследуется газовый состав крови, КОС крови. Проводится исследование биохимических показателей крови, посев крови на стерильность, на аэробные и анаэробные бактерии.
Лечение аспирационной пневмонии
При аспирации инородных тел, приводящих к обтурации просвета воздухоносных путей, показано срочное эндоскопическое удаление инородного тела из трахеи/бронха. Проводится оксигенотерапия — подача увлажненного кислорода, в тяжелых случаях – интубация и ИВЛ. Основой лечения аспирационной пневмонии служит антибактериальная терапия. При назначении противомикробных препаратов учитывается чувствительность к ним анаэробных и аэробных возбудителей. При аспирационных пневмониях обычно назначают комбинации нескольких антибактериальных препаратов (например, фторхиналонов или цефалоспоринов и метронидазола). Продолжительность курса антибактериального лечения при аспирационной пневмонии составляет 14 дней.
При наличии абсцессов в легких выполняется их дренирование, проводится вибрационный массаж, перкуторный массаж грудной клетки. При необходимости осуществляется повторная трахеальная аспирация секрета, санационные бронхоскопии и бронхоальвеолярный лаваж. К хирургическому вмешательству прибегают при организации абсцессов больших размеров (более 6 см), легочном кровотечении, образовании бронхоплевральной фистулы. При аспирационной пневмонии, осложненной эмпиемой плевры, выполняется дренирование плевральной полости, проводятся санационные промывания, введение в полость плевры антибиотиков и фибринолитиков. Возможно проведение открытого дренирования (торакостомии), плеврэктомии с декортикацией легкого.
Прогноз и профилактика
При небольших объемах аспирированного содержимого, стабильном общем фоне и своевременном грамотном лечении, прогноз при аспирационной пневмонии не вызывает опасений. В случае развития массивного пневмонита, легочных абсцессов, эмпиемы плевры, бронхоплевральных свищей, сепсиса – прогноз крайне серьезен. Летальность при осложненном течении аспирационных пневмоний составляет 22%.
Учитывая высокий риск аспирационной пневмонии среди лиц, страдающих заболеваниями нервной и пищеварительной систем, необходимо проводить лечение основного патологического состояния. Пациентам с дисфагией и склонностью к аспирации рекомендуется дробное питание и щадящая диета. Для профилактики рефлюкса у пациентов с дисфагией, тяжелобольных и послеоперационных пациентов необходимо приподнимать головной конец кровати под углом 30-45°. Особое внимание следует уделять пациентам, находящимся на ИВЛ, зондовом питании. Большую роль в предупреждении аспирационных пневмоний играет гигиена и своевременная санация полости рта, регулярное посещение стоматолога.
Текущая версия страницы пока не проверялась опытными участниками и может значительно отличаться от версии, проверенной 3 декабря 2019;
проверки требуют 2 правки.
Аспирацио́нная пневмони́я (лат. aspirātiō — «вдыхание») — воспаление лёгких, возникающее при вдыхании или пассивном попадании в лёгкие различных веществ в массивном объёме, чаще всего в практике — рвотных масс. Воспаление возникает через специфические свойства субстанций, вызывающих сильные воспалительные реакции.
К аспирационной пневмонии часто приводит регургитация (затекание) желудочного содержимого в дыхательные пути при кардиопульмональной реанимации, шоке, нарушениях сознания (в том числе, алкогольной и героиновой интоксикации), при нарушении глотания в рамках различных неврологических заболеваний (бульбарный паралич, псевдобульбарный, миастения, постравматическая энцефалопатия, тяжело протекающие нейродегенеративные заболевания, ассоциированные с нарушением нервно мышечной проводимости, запущенные менингиты, миастении дисфагии), заболеваний пищевода (ГЭРБ, рак пищевода, грыжа пищеводного отверстия и диафрагмы), тяжело протекающие уремические энцефалопатии, диабетические полиневриты. Соляная кислота содержимого желудка с низким pH (<2,5) является очень агрессивной по отношению к эпителию дыхательных путей, вызывая химический пневмонит. Данный тип поражения приводит к спазму бронхов, ателектазам, бронхоэктазам, абцессам, гангренам легких, буллюсу, альвеолиту, стридору, нарушая барьер слизистой и открывая «ворота» для инфекций. Отдельно выделяют синдром Мендельсона — аспирационную пневмонию, вызванную аспирацией желудочного содержимого у больных под наркозом[1]. Данный синдром может осложниться отеком легких и сердечно-лёгочной недостаточностью.
Лечение[править | править код]
Все случаи аспирационных процессов требуют неотложной медицинской помощи, в первых мероприятиях могут проводиться удары надбрюшной области (прием Гейтмана) для стимуляции кашлевого рефлекса. Могут (изредка) также быть использованы аналептики. Часто показана реанимационные мероприятия в пульмонологии, отоларингологии, либо в гнойно-септическом, либо в гангренозно-некротическом отделениях торакальной хирургии, в зависимости от степени (порядок расположен от начала пневмонии по степени нарастания возможных осложнений) аспирации, важно также уточнить генез патологии, особенно при связях с неврологическими, нейродегенеративными и нейроинфекционными патологиями и процессами (в том числе и хроническими), при связях с судебной медициной, с травматологией и онкологией и токсикологией, при заболеваний с нарушениями обмена, в каждом из случаев лечение должно быть в комплексе с основной патологией (особенно в случае бас, болезни паркинсона, ботулизма, миастении, бешенства столбняка, дифтерии, при энцефалопатиях полинейропатиях и миопатиях уремического, диабетического, токсического (отравление ФОС, полиэтиленгликолем, двуокисью фенотизианами) и посттравматического генеза и при установленных связях с нейроинфекциями), и подбираться строго индивидуально, в зависимости от первоначальной причины, в комплексе с основной патологией. Лечение в данных случаях должно быть направлено на устранение/коррекцию первопричины.
В качестве общих мер проводятся эндоскопические (чаще всего прямыми жесткими ларингоскопами, или бронхоскопами, реже эзофагоскопами) санационные мероприятия (промывание-очищение), с подключенными аспираторами, направленные на быстрое диагностирование причины и её устранение, внутривенное, эндотрахеальное, эндобронхиальное и ингаляционное вливание бронхолитиков (аминофилин), муколитиков (ацетилцистеин, бромгексин), антибиотиков (сульфамиламиды, тетрациклины, пеницилины, линкозамиды, карбапенемы, нитрофураны, цифалоспорины), противомикробных средств (тинидазол, метронидазол, орнидазол), коркистероидов (бекламетазон, бетаметазон), протеолитических ферментов (трипсин, химотрипсин, химопин и др.), антигипоксантов (актовегин, убихинон, цитохром С, натрия оксибурат, карнитин), иногда (очень редко) и диуретиков (лазикс, манитол), витаминов групп А, Е и B, метаболические средства, в некоторых случаях может проводиться также трахеостомия торакоэктомия. Могут применяться системные антигипоксанты (цитохром, карбоксилаза, триметазидин, натрия оксибурат), а также адренометики (астмопент, беродуал).
Примечания[править | править код]
Воспаление легких относится у докторов к тяжелым и среднетяжелым заболеваниям. Известна эта патология легочной системы и своими осложнениями, последствиями и усугубленным протеканием. Но в редких случаях сопутствующие проявления пневмонии вызывают у больного страх и панику, например, кровохарканье при пневмонии.
Больного пугает как сам по себе симптом, так и понимание того, что при нормальном и неосложненном течении воспалительного процесса таких проявлений не должно быть. Появление большого количества кровавых выделений с мокротой явно сигнализируют о прогрессирующем кровотечении, что само по себе достаточно опасно и даже угрожает жизни больного.
Дифференцирование проявления
Неожиданное появление кровавых сгустков в мокроте не всегда указывает на то, что кровотечение прогрессирует именно в легких. Причиной патологически окрашенных выделений могут выступать любые внутренние кровопотери и излияния крови в органах.
- Желудочное кровотечение при воспалении легких может быть спровоцировано медикаментозно. В том случае, если у пациента до заболевания пневмонией в анамнезе была язва желудка, вполне возможно её обострение, сопровождающееся кровоизлиянием из открывшейся эрозии. Произойти это может на фоне приема больным большого количества препаратов одновременно: антибиотиков, муколитических средств, жаропонижающих лекарств. Большинство из этих препаратов способны и сами по себе разъедать слизистую оболочку желудка и кишечника, а на готовую язву воздействуют тем более разрушительно.
- Кровотечение и последующее отхаркивание крови способны спровоцировать и такие патологии, как абсцесс миндалин или геморрагический диатез. И первое, и второе патологическое состояние легко может возникать при пневмонии, при этом больной на фоне плохого самочувствия может и не догадываться о том, что параллельно с воспалительными процессами в легочной системе развиваются такие сложные внутренние патологии.
- Особенно опасным считается кровотечение, спровоцированное прорывом аневризмы аорты в дыхательные пути. Происходит это и при пневмонии, но вследствие того, что общее состояние пациента само по себе тяжелое, этот осложнение способно быстро привести к летальному исходу. Нередко в таких случаях кашель, сопровождающийся сплевыванием алой крови, переходит в кровавую рвоту.
- Легочное кровохарканье диагностируется на фоне прогрессирование некоторых типов пневмонии и её осложнений. Симптом сам по себе неутешительный и требует быстрого врачебного реагирования.
Существуют и другие причины сплевывания кровавой мокроты, но они, чаще всего, не связаны с пневмонией и проявляются в основном, когда у человека нет пневмонии.
Симптомы легочного кровохарканья
На пневмонию, протекающую с кровохарканьем, указывает ряд характерных симптомов. В первую очередь, у больного выражены признаки воспалительного легочного процесса, которые проявляются:
- симптомами лихорадки, озноба;
- кашлем, сопровождающимся одышкой или синдромом обструкции;
- затрудненным дыханием;
- болью в грудине в области пораженного легкого;
- головной болью, слабостью, головокружением.
В том случае, если процесс воспалительного поражения легочных тканей протекает у больного без выраженного кровохарканья, то мокрота, как правило, отходит с гнойными или ржавыми прожилками. В поствоспалительный период восстановления функционирования дыхательной системы мокрота отходит пенистая и прозрачная.
Симптомами, указывающими на то, что у больного прогрессирует легочное кровохарканье, являются:
- отделение при кашле крови с примесями слизистой мокроты;
- сплевывание темных кровавых сгустков с возможными пенистыми добавками;
- сплевывание сгустков, напоминающих смородиновое желе при незначительных легочных кровотечениях.
Как правило, легочное кровохарканье всегда сопровождается продуктивным кашлем с отхождением большого количества слизистой мокроты.
Причины легочного кровохарканья
Терапевтических причин, провоцирующих легочное кровохарканье, медики дифференцируют немало. Практически все они относятся к сложным расстройствам здоровья. Сами заболевания классифицируются по степени сложности и распространенности симптома.
- Туберкулез является наиболее частой причиной появления кровавых выделений в мокроте больного. Ещё в прошлом веке этот симптом считался главным указателем на наличие развивающейся и прогрессирующей «чахотки» в организме больного.
- Казеозная пневмония, сопровождающаяся кроме кровохарканья, симптомами интоксикации, акроцианоза, одышкой и болью в груди со стороны воспаленного легкого, считается одной из распространенных форм пневмонии, провоцирующих сплевывание кровяных сгустков.
- Крупозное воспаление легких не всегда сопровождается сплевыванием кровавой мокроты. При этой форме заболевания кровавая мокрота выделяется редко, чаще наблюдаются выделения с ржавыми вкраплениями. Кроме этого, у больного наблюдаются герпетические высыпания, частое и поверхностное дыхание, кашель, лицевая гиперемия, лихорадка.
- Пневмония, спровоцированная палочкой Фридлендера, начинается стремительно, отличается ураганным течением. Высыпания герпеса отсутствуют, у больного прогрессируют симптомы лихорадки, выраженный цианоз кожных покровов, одышка, головная боль, острые боли в груди колющего характера. Мокрота выделяется вязкая с примесями крови.
- Пневмония, вызванная вирусами гриппа, характеризуется выраженной симптоматикой воспаления легких и сопровождается отхождением слизисто-гнойной мокроты с кровяными примесями.
В любом случае, появление кровяных выделений с мокротой сигнализирует о сложном обострении текущего воспаления в легких и требует неотложной врачебной помощи и лечения.
Диагностика патологического процесса
С того момента, как больной начал откашливать кровавыми выделениями или просто кровь в чистом виде, он может сам определить причину кровотечения, прислушавшись к своим ощущениям и общему состоянию. Если перед кашлем и в момент прокашливания чувствуются неприятные ощущения или болевой спазм в области горла, то, скорее всего, кровь поступает именно из легких или бронхов. При этом цвет самих выделений будет характерным алым негустой консистенции, возможно с примесями кровавой пены.
Характерным признаком желудочно-кишечного кровотечения являются сильные позывы к рвоте непосредственно перед кашлем, сопровождающиеся резкими болевыми ощущениями в области желудка или кишечника. Выделяемая при этом кровь обычно напоминает по консистенции густую краску.
Независимо от того, какие симптомы сопровождают кровохарканье, больному обязательно следует незамедлительно обратиться к доктору и пройти все необходимые диагностические процедуры для уточнения диагноза.
- Развёрнутый общий анализ крови проводится с целью определения степени воспалительной легочной патологии и исключения опухолевых процессов и заболеваний иммунной системы. Кровохарканье, в отличие от опухолевого прогрессирования, не вызывает анемии. Наличие у больного с кровохарканьем анемии указывает на злокачественный процесс или заболевание иммунной системы.
- Метод исследования с помощью коагулограммы поможет определить общую склонность организма пациента к кровопотерям в результате кровотечений.
- Общий анализ мочи показывает степень прогрессирования воспалительной патологии, общее состояние и степень микробного поражения организма больного человека.
- Биохимический анализ крови показывает уровень мочевины, креатинина, натрия, калия, тем самым помогает определить возможные изменения на фоне кровопотери.
- Исследование посева мокроты проводится с целью уточнения возбудителя пневмонии, неоднократное цитологическое исследование помогает исключить злокачественные опухолевые процессы в легких.
- Рентгенография грудной клетки имеет ведущее диагностическое значение при кровохаркании. Следует помнить, что обнаруженные на рентгенограмме патологические изменения не обязательно будут указывать на истинный источник кровохарканья. Поэтому, выявленную на рентгенографии патологию, следует уточнить при помощи компьютерной томографии. Однако, если стандартная рентгенограмма грудной клетки не обнаруживает каких-либо дисфункций или отклонений, проводить томографию лёгких или компьютерную томографию в качестве дополнительного исследования не следует.
- Бронхоскопия считается обязательным исследованием для больных с симптомами кровохарканья, поэтому доктор назначает эту процедуру в случае необходимости неоднократно.
- Компьютерная томография груди проводится как уточняющий метод исследования при диагностировании патологических отклонений на рентгенографии грудной клетки.
- Бронхография проводится только в тех случаях, когда доктор подозревает бронхоэктатическую болезнь, а данные бронхоскопии не показывают полной картины патологического состояния.
Полученная общая картина диагностического обследования позволяет докторам в короткие сроки скорректировать схему лечения и выбрать правильные медикаментозные средства воздействия на воспалительную патологию.
Медикаментозная терапия
Лечение воспаления легких, сопровождающегося кровохарканьем, проводится на основании полученных диагностических данных обследования.
В первую очередь, доктора назначают симптоматическое лечение, направленное устранение симптомов прогрессирования легочного воспаления. В качестве основной симптомотерапии доктора назначают:
- лекарственные формы направленного жаропонижающего спектра;
- препараты – муколитики, способствующие отделению и отхождению мокроты.
Симптомы лихорадки у больного снимаются медикаментозно только в тех случаях, когда температура тела очень высокая и не снижается народными средствами. Муколитический ряд лекарственных препаратов широко применяется для облегчения отхождения слизи и кровяных выделений из бронхов. Большинство муколитиков способны провоцировать повышенную действенную способность препаратов антимикробного ряда, которые широко используются в лечении легочных воспалительных патологий.
Специалисты рекомендуют при лечении пневмонии, сопровождающейся кровохарканьем, лечить больных муколитиками ряда цистеинов. Дозировка, схема приема и длительность курса лечения корректируется лечащим доктором.
Антимикробная терапия
Препараты антимикробного ряда считаются частым спутником и главным ведущим звеном в терапии воспалительных легочных патологий, особенно тех форм, которые сопровождаются отхождением кровавой мокроты. К сожалению, большинство антимикробных лекарственных форм утратили эффективность в отношении воздействия на патогенные микробы, провоцирующие воспаление легких. Поэтому больному часто требуется лечение сразу двумя препаратами противомикробного спектра.
Существует общий ряд правил назначения противомикробных препаратов при пневмонии, которые доктора учитывают при лечении пациентов.
- Воспаление легких, которое развивается и прогрессирует медленно, сопровождаясь отхождением вязкой мокроты с кровавыми сгустками, медики предпочитают лечить серосодержащими препаратами антимикробного ряда.
- При лечении пневмоний, вызванных аденовирусами, риновирусами, вирусами гриппа и парагриппа, антибиотики часто не дают выраженного терапевтического эффекта. В терапевтическую схему лечения таких форм пневмонии доктора добавляют противовирусные препараты.
- Воспалительные процессы в легких грибковой этиологии специалисты рекомендуют лечить антимикробными препаратами, локально действующими на каждый вид грибов.
Углубленная диагностика, проведенная докторами, даёт полную картину течения заболевания и причины патологического кровотечения в легочной системе. На основании полученных диагностических данных доктор подбирает пациенту эффективный противомикробный препарат и корректирует общую схему лечения.
Быстрая помощь при кровохаркании
При выраженном и резко прогрессирующем кровохаркании больному, в первую очередь, следует быстро оказать первую доврачебную помощь для того, чтоб избежать ощутимой кровопотери и осложнений.
- В первую очередь, пациента устраивают в полу сидячее положение.
- В зоне досягаемости устанавливают лоток с кубиками льда, при этом больному предлагают их глотать с интервалом в несколько минут.
- Пациенту обеспечивают обильный питьевой режим: дают пить прохладную воду без газа, чай со льдом.
- Экстренно вызывают неотложную помощь и госпитализируют больного в стационар, где ему оказывают последующую помощь.
В условиях стационара доктора проводят экстренное лечение, направленное на устранение симптомов кровотечения и угрожающей кровопотери.
- Симптоматическая терапия направлена на снятие болевого спазма и на уменьшение интенсивной выраженности кашля. К подавлению выраженного кашлевого спазма при кровохаркании доктора подходят с осторожностью, так как подавление кашля может спровоцировать застой крови в бронхолегочной системе и, как следствие – осложненное протекание аспирационной пневмонии.
- При мучительном и изматывающем кашле больному прописывают ряд препаратов, способных купировать сильные позывы и спазмы. Изначально доктора дают больному лекарственные формы перорально, в случае неэффективности такого лечения – назначают инъекционное введение сильнодействующих препаратов.
Эффективно также одновременное введение лекарственных форм и препаратов, способствующих остановке кровотечения. В том случае, если быстрое симптоматическое воздействие не дает желаемого эффекта, доктор принимает решение о процедуре переливания крови с целью предупреждения осложнений на фоне кровопотери.
На фоне оказания экстренной помощи при кровохаркании практикуется незамедлительная антимикробная терапия с целью предупреждения нагноения и последующего формирования абсцесса в легких. Быстрая антибиотикотерапия призвана также эффективно останавливать воспалительный легочный процесс и уничтожать микробы, провоцирующие кровохарканье.
Сопроводительная терапия
Кровохарканье при пневмонии – угрожающий симптом, сигнализирующий о серьезном патологическом сбое в дыхательной системе. Сам по себе симптом требует серьезного и длительного лечения, как и сама воспалительная патология. Основного лечения при таком протекании воспалительной патологии недостаточно, важно соблюдать ряд принципов сопроводительной терапии.
Диетотерапия
Организм человека, больного пневмонией сильно ослаблен токсическим воздействием пневмококковых агентов и лихорадочным состоянием. Не приносят пользу желудочно-кишечному тракту и иммунной системе и сильнодействующие антимикробные препараты, направленные на купирование острого прогрессирования патологического воспаления в легочной ткани. Негативные изменения в организме больного человека могут быть скорректированы с помощью определенной системы питания.
- Схема питания должна быть составлена с учетом необходимости частого потребления небольших порций пищи. Считается, что оптимальным вариантом будет шести-семиразовое питание небольшими объемами мягкой теплой пищей. В первые острые дни прогрессирования воспалительного процесса можно ограничить рацион больного теплыми бульонами, овощными пюре, жидкими кашами.
- В последующие дни заболевания следует обязательно вводить в меню кисломолочные продукты и белковую пищу. За счет этого можно решить вопрос с необходимой повышенной калорийностью питания больного.
- На фоне значительного ограничения потребления в пищу углеводов и жиров, следует обязательно увеличить и разнообразить фруктово-овощной рацион больного, в том числе за счет свежевыжатых соков. Исключить следует только цветную и белокачанную капусту, редьку, бобовые.
Не стоит забывать также и о том, что кровохарканье, сопровождающее воспалительный процесс может существенно снижать гемоглобиновые показатели, не провоцируя при этом полноценную анемию в рацион больных с симптомами кровохарканья обязательно вводят:
- отварную куриную или говяжью печень;
- нежирные сорта мяса отварные или приготовленные на пару;
- фруктовые соки: гранатовый, яблочный, апельсиновый;
- овощные соки: свекольный, морковный;
- гречневую кашу.
Не рекомендуется больным давать трудно перевариваемую, тяжелую пищу, жареные, острые и копченые блюда.
Терапия народными средствами
Средства народной терапии могут обеспечить действенный дополнительный эффект в том случае, если они согласованы с лечащим врачом. В острый период прогрессирования воспалительного легочного заболевания, сопровождае?
Предыдущая статья
Как вылечить отит среднего уха в домашних …
Следующая статья
Подагра на коленном суставе признаки и лечение
Связанные материалы
- Пневмония Анализы на выявление пневмонии у ребенка By Ярилина Элеонора 4 года ago
- Пневмония Дыхательная гимнастика как профилактика застойной пневмонии By Набокина Злата 4 года ago












