Пневмония, развивающаяся в верхней доле легкого, встречается реже нижнедолевой
В статье рассказано о воспалительном поражении верхней доли правого легкого. Описаны симптомы заболевания и способы лечения.
Правосторонняя верхнедолевая пневмония — не самый частый вариант воспалительных поражений легких. Заболевание не всегда выявляется вовремя, а при отсутствии своевременного лечения может привести к развитию осложнений.
Причины возникновения
Пневмония верхней доли правого легкого обычно вызвана различными бактериями — стрептококками, пневмококками, палочкой Фридлендера. Реже, причиной заболевания могут стать дрожжевые грибы. Вирусная этиология не характерна для данной формы заболевания.
Симптомы
Правосторонняя долевая пневмония — непростое заболевание, которое имеет выраженную клиническую картину. Течение этого вида патологии имеет свои особенности. Болезнь развивается медленно, что мешает ее раннему диагностированию. Сначала появляется легкое недомогание. И только через некоторое время внезапно появляются тяжелые симптомы. Несколько различаются проявления болезни у детей и взрослых.
Взрослые
Воспаление верхней доли правого легкого у взрослых легко диагностировать уже при осмотре.
Заболевание у взрослых имеет следующие проявления:
- лихорадка, которая может достигать 40 градусов;
- сухой, навязчивый кашель;
- боли в груди справа;
- желтоватый оттенок склер;
- одышка;
- высыпания вокруг рта.
Из-за сильного кашля и интоксикации организма у пациента возникает тошнота и рвота.
Одним из основных признаков пневмонии является кашель
Дети
Верхнедолевая правосторонняя пневмония у ребенка проявляется немного иначе, чем у взрослого. У ребенка заболевание часто протекает в скрытой форме и его трудно обнаружить на начальном этапе развития.
По мере развития можно обнаружить следующее:
- боль в горле;
- покраснение кожи лица;
- синюшность губ и кончиков пальцев;
- головные боли и головокружения;
- плохой аппетит;
- спутанность сознания.
Кроме вышеперечисленных симптомов имеются те же признаки болезни, что и у взрослых пациентов. У детей до трех лет более выражена одышка, и только потом остальные проявления.
Диагностика
Воспаление правой верхней доли легкого хорошо обнаруживается на рентгене. Но все же пациент должен пройти не только инструментальное, но и клиническое и лабораторное обследование.
- Клиническое обследование. Врач-пульмонолог или терапевт при внешнем осмотре отмечает бледность кожи, у детей младшего возраста — синюшность носогубного треугольника. При прослушивании обнаруживается крепитация на верхушке легкого, хрипы, ослабленное и жесткое дыхание.
- Рентген. Проводится рентгенография в двух проекциях. На рентгенограмме обнаруживается затемнение в верхней доле и усиление легочного рисунка.
- Общие анализы крови. Для воспаления легких характерно изменение состава крови. Ускорена СОЭ, количество лейкоцитов повышено.
- Исследование мокроты. Проводится посев для определения вида возбудителя болезни. Кроме этого, обращают внимание на цвет мокроты, на наличие вкраплений крови или гноя.
- Компьютерная томограмма — наиболее информативный метод исследования (на фото). КТ проводится если недостаточно данных рентгенологического исследования. Но цена процедуры довольна высока, и проводится она не во всех медицинских учреждениях.
Важно дифференцировать правостороннее воспаление с левосторонним, бронхитом, туберкулезом, так как у этих патологий имеются схожие проявления.
Правосторонняя верхнедолевая пневмония обнаружена с помощью КТ
Лечение
При возникновении такого заболевания, как правосторонняя верхнедолевая пневмония, лечение должно назначаться незамедлительно. Неосложненные формы пневмонии допускается лечить в амбулаторных условиях.
Госпитализация показана при следующих условиях:
- возраст пациента ( после 65 лет у взрослых и детский возраст до 3 лет);
- наличие серьезных сопутствующих заболеваний;
- сердечная и дыхательная недостаточность;
- тяжелое течение заболевания;
- развитие осложнений.
Назначается комплексное лечение, включающее в себя медикаментозную терапию, вспомогательные методы лечения, постельный режим, диету.
Медикаментозное
Медикаментозная терапия является основным методом лечения пневмонии.
Таблица №1. Лекарственная терапия воспаления легких:
ПрепаратыЛечебный эффектИнструкция по применениюАнтибиотики — Клацид, Левофлоксацин, ФлемоклавПодавляют рост и размножение микробной флорыПрименяют в таблетках, при тяжелом течении болезни — инъекционным способомОтхаркивающие — Амброксол, ФлуимуцилПомогают разжижить мокроту и вывести ее из легкихПрименяют в таблетках и растворах для ингаляцийВитамины — Аскорутин, РевитОбладают общеукрепляющим действием, способствуют ускорению выздоровленияПрименяют в таблетках и драже
Немедикаментозное
Дополнительно к приему лекарственных средств будут назначены вспомогательные методы лечения — физиотерапия, дыхательная гимнастика, массаж. Такое лечение способствует предупреждению развития осложнений, облегчает состояние пациента, сокращает сроки выздоровления.
Таблица №2. Дополнительные методы лечения пневмонии:
МетодыОписание
Физиотерапия
Физиопроцедуры устраняют неприятные симптомы болезни
Физиолечение оказывает бактериостотическое и противовоспалительное воздействие. Процедуры помогают усилить выделение мокроты, устраняют кашель и боли в груди. Обычно при пневмонии назначают электрофорез, магнитотерапию, индуктотермию, УВЧ, ультрафиолетовое облучение, ингаляции. Физиопроцедуры щадяще воздействуют на организм и показаны детям, пожилым людям и беременным женщинам.
Дыхательная гимнастика и ЛФК
Физические упражнения необходимы в лечении пневмонии
Занятия лечебной физкультурой назначают через два дня после прекращения лихорадки. При занятиях физкультурой и дыхательной гимнастикой увеличивается подвижность грудной клетки, улучшаются кровоснабжение органов дыхания и насыщение тканей кислородом. Восстанавливаются дыхательные и дренажные функции, что приводит к быстрому рассасыванию очагов воспаления. С некоторыми методиками дыхательной гимнастики и лечебной физкультуры можно ознакомиться, посмотрев видео в этой статье.
Массаж
Массаж укрепляет дыхательную мускулатуру
Массаж грудной клетки улучшает крово- и лимфообращение в органах дыхания, способствует отхождению мокроты, устраняет застойные явления и способствует улучшению общего самочувствия пациента. Для пациентов с воспалением легких рекомендованы дренажный, вибрационный, вакуумный, сегментарный, точечный виды массажа.
Читайте также:
Протокол вскрытия крс крупозная пневмония
Диета является важным пунктом в лечении пациентов с пневмонией. Правильное питание восстанавливает защитные функции организма, укрепляет иммунитет, устраняет нехватку необходимых витаминов и микроэлементов.
Диета при пневмонии предполагает введение в рацион молока, кисломолочных продуктов, сливочного масла, мяса и рыбы нежирных сортов, каш, свежих фруктов, зелени овощей. Необходимо также соблюдать питьевой режим.
Можно употреблять разбавленные натуральные соки, морсы, чай из шиповника, кисели, отвары целебных трав, компоты из сухофруктов. На время лечения следует воздержаться от употребления консервированных, острых, копченых продуктов, а так же ограничить употребление соли.
При пневмонии рекомендовано дробное питание до 6 раз в день
Правосторонняя верхнедолевая пневмония — серьезное заболевание, вызывающее тяжелые осложнения. Сроки выздоровления колеблются от 5 до 20 дней, в зависимости от тяжести течения патологии. Необходимы своевременное обращение к врачу, правильная диагностика, грамотное лечение и реабилитация.
Читать далее…
Левосторонняя пневмония – представляет собой самую редкую форму развития инфекционного процесса в лёгких из двух существующих разновидностей. Несмотря на это, болезнь представляет большую угрозу для жизни пациента. Основной причиной развития заболевания выступает патологическое влияние болезнетворных микроорганизмов, которые проникают в левое лёгкое крайне редко и зачастую при сильном ослаблении иммунитета. Помимо этого, врачи выделяют большое количество предрасполагающих факторов.
Клинические признаки поражения левого лёгкого практически ничем не отличаются от воспаления правой доли. Наиболее характерными проявлениями принято считать значительное повышение температуры, сильный кашель, жжение и боли в левой части грудной клетки.
Диагноз левосторонняя пневмония устанавливается на основании результатов инструментальных обследований, которые будут дополняться лабораторными исследованиями и физикальным осмотром.
Лечение зачастую консервативное, однако при тяжёлом протекании или развитии осложнений потребует проведения хирургического вмешательства.
Этиология
Подобная разновидность очаговой пневмонии передаётся от больного человека к здоровому воздушно-капельным путём. Зачастую происходит это во время чихания, потому что из дыхательных путей выделяются болезнетворные агенты, которые совместно с частичками жидкости проникают в лёгкие окружающих.
При слабой иммунной системе такие бактерии начинают активно увеличивать свою численность, отчего возникает местный воспалительный процесс в лёгочной ткани. Примечательно то, что левое лёгкое поражается намного реже правого сегмента, что обуславливается спецификой общего кровотока и строения этого органа.
Наиболее часто в качестве возбудителей выступают:
- пневмококки;
- гемофильные палочки;
- стафилококки;
- кишечные или синегнойные палочки;
- энтеробактерии и вирусы;
- клебсиелла.
Также довольно часто левостороння пневмония у ребёнка или взрослого выступает в качестве осложнения не полностью вылеченного заболевания вирусного или острого респираторного характера. Среди таких патологий стоит выделить:
- фарингит;
- тонзиллит;
- ангину;
- бронхит;
- ОРВИ.
Помимо этого, предрасполагающими факторами приято считать:
- длительное переохлаждение организма;
- протекание сахарного диабета или хронических заболеваний лёгких;
- наличие сердечной недостаточности;
- малоподвижный образ жизни, в частности, соблюдение длительного постельного режима;
- многолетнее пристрастие к вредным привычкам, в особенности к распитию алкогольных напитков;
- перенесённые ранее хирургические операции – примечательно то, что вовсе не обязательно, чтобы вмешательство проводилось в области грудной клетки. Воспаление лёгких – это одно из самых распространённых последствий любой операбельной терапии.
Все вышеуказанные факторы приводят к тому, что у человека понижается сопротивляемость иммунной системы. Стоит отметить, что основную группу риска составляют дети и люди преклонного возраста.
Классификация
Воспаление лёгочной ткани при левосторонней пневмонии может протекать в нескольких формах:
- типичной – характеризуется заражением одним из вышеуказанных болезнетворных микроорганизмов;
- атипичной – развивается на фоне проникновения специфических инфекционных агентов, к которым стоит отнести – пневмоцитов, микоплазму, хламидии и легионеллу;
- аспирационной – воспаление формируется в тех случаях, когда в дыхательные пути попадают посторонние предметы, рвотные массы или частички пищи.
В зависимости от того, где произошло инфицирование, недуг делится на две формы:
- внутрибольничная левосторонняя пневмония – исходя из названия, становится понятно, что заражение произошло в медицинском учреждении. При этом воспалительный процесс может возникнуть у пациентов в первые несколько суток нахождения в условиях стационара, у больных, которым необходима искусственная вентиляция лёгких или у лиц, перенёсших пересадку донорского органа;
- внебольничная левосторонняя пневмония – это означает, что заражение произошло за пределами больницы.
Отдельно выделяют левостороннюю пневмонию, связанную с оказанием медицинской помощи.
В зависимости от особенностей клинической картины различают несколько разновидностей болезни:
- левосторонняя верхнедолевая пневмония;
- левосторонняя центральная пневмония;
- левосторонняя нижнедолевая пневмония.
Несмотря на наличие таких типов недуга, зачастую диагностируется полисегментарная пневмония.
Помимо этого, специалисты из области пульмонологии выделяют крупозную и плевропневмонию.
По характеру протекания левосторонняя полисегментарная пневмония бывает:
- хронической;
- затяжной;
- острой.
В зависимости от механизма развития подобная патология делится на:
- первичную – выступает в качестве самостоятельного недуга;
- вторичную – является осложнением сопутствующих заболеваний;
- посттравматическую;
- послеоперационную;
- инфаркт-пневмонию.
Симптоматика
Поскольку в подавляющем большинстве случаев воспаление лёгких обуславливается патологическим влиянием инфекционных агентов, то стоит отметить, что продолжительность инкубационного периода при типичной форме будет продолжаться до трёх суток, а при атипичном течении – до трёх недель.
Наиболее часто встречается острая левосторонняя полисегментарная пневмония, для которой характерно постепенное развитие.
Первыми признаками воспалительного процесса в левом лёгком выступают:
- постоянный кашель без мокроты;
- возрастание температуры до 39 градусов;
- продолжительность лихорадки более трёх суток.
Если при выражении таких клинических проявлений обратиться за квалифицированной помощью, то можно избежать развития осложнений.
Читайте также:
Кашель после пневмонии как лечить
Симптомы пневмонии
По мере прогрессирования недуга, помимо вышеуказанной симптоматики появятся следующие симптомы:
- повышенное потоотделение, особенно в ночное время суток;
- слабость и разбитость;
- мышечные и суставные боли;
- учащённое дыхание;
- боли и першение в горле;
- сильные болевые ощущения в груди с левой стороны;
- приступы тошноты и рвоты;
- головные боли и головокружение;
- стильная одышка даже в состоянии покоя;
- выделение мокроты с кашлем.
Стоит отметить, что у детей недуг протекает сложнее, нежели сегментарная пневмония у взрослых. В таких случаях специфическими признаками будут служить:
- патологический румянец на лице ребёнка;
- нездоровый блеск в глазах;
- спутанность сознания;
- синюшность губ и ногтевых пластин;
- полное отсутствие аппетита;
- понижение физической активности;
- интенсивные боли в грудине, усиливающиеся во время дыхания.
Кроме этого, клиническую картину будут дополнять проявления того недуга, на фоне которого мог сформироваться воспалительный процесс верхней, центральной или нижней доли левого лёгкого.
Опасность левосторонней очаговой пневмонии заключается в том, что левое лёгкое и бронх расположен близко к сердцу. Именно по этой причине при появлении одного или нескольких из вышеуказанных симптомов необходимо как можно скорее пройти обследование у врача и начать лечение.
Диагностика
Чтобы поставить правильный диагноз, пульмонологу необходимы результаты лабораторно-инструментальных обследований, однако диагностика не ограничивается лишь такими мероприятиями.
Прежде всего, клиницисту необходимо:
- ознакомится с историей болезни и жизненным анамнезом пациента – для выяснения болезни-провокатора левосторонней полисегментарной пневмонии;
- провести тщательный физикальный осмотр грудной клетки и прослушать лёгкие при помощи специального инструмента – фонендоскопа;
- детально опросить пациента на предмет того, когда появились и с какой интенсивностью выражаются симптомы воспаления.
Лабораторная диагностика ограничивается осуществлением:
- общеклинического анализа крови;
- биохимии крови;
- бактериального посева крови;
- анализом мокроты, выделяемой при кашле.
Однако наибольшей диагностической ценностью обладают следующие инструментальные обследования:
- рентгенография грудины;
- фибробронхоскопия;
- эхокардиография;
- УЗИ плевральной полости;
- КТ органов грудной полости.
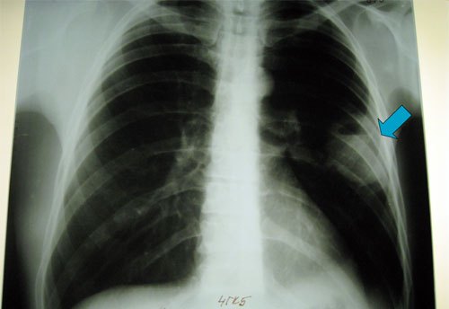
Рентгенограмма левосторонней пневмонии
Левосторонняя очаговая пневмония должна быть дифференцирована с воспалением правого лёгкого.
Лечение
После уточнения диагноза пациента немедленно госпитализируют в отделение пульмонологии. Прежде всего, показано медикаментозное лечение левосторонней пневмонии, которое включает в себя приём:
- антибактериальных средств – это основные лекарства, используемые при терапии подобного недуга;
- отхаркивающих веществ;
- дезинтоксикационных медикаментов;
- глюкокортикостероидов;
- иммуномодуляторов;
- жаропонижающих и других препаратов, направленных на устранение симптоматики.
При тяжёлом течении полисегментарной пневмонии у детей и взрослых обращаются к кислородотерапии и искусственной вентиляции лёгких.
Хирургическое вмешательство необходимо при неэффективности консервативных методик терапии или в случаях развития осложнений.
Возможные осложнения
Игнорирование симптомов или неадекватное лечение может повлечь за собой развитие как лёгочных, так и внелегочных последствий. Первая категория включает в себя:
- распространение воспалительного процесса на плевру;
- абсцесс и гангрену левого лёгкого;
- бронхообструктивный синдром;
- бронхопневмонию;
- локальный пневмосклероз – зачастую выражается у беременной женщины;
- острую дыхательную недостаточность.
Внелегочные осложнения представлены:
- инфекционно-токсическим шоком;
- миокардитом;
- менингитом;
- анемией.
Все вышеуказанные осложнения относят как к взрослым, так и к детям.
Профилактика и прогноз
Специфические профилактические мероприятия против левосторонней очаговой пневмонии представлены иммунизацией – введением вакцин против возбудителей подобного заболевания.
Общая профилактика воспаления левого лёгкого заключается в соблюдении таких правил:
- ведение здорового и в меру активного образа жизни;
- избегание переохлаждения организма;
- укрепление иммунитета;
- своевременное лечение патологий, которые могут привести к развитию левосторонней пневмонии;
- регулярное прохождение полного медицинского обследования.
В 70% случаев ранняя диагностика и комплексное лечение позволяют достичь полного выздоровления. Менее благоприятный прогноз наблюдается при появлении воспаления лёгких на фоне иного заболевания. В таких ситуациях высока вероятность возникновения осложнений болезни-провокатора. Летальность среди детей варьируется от 10 до 30%.
Понятие «пневмония» обозначает развитие воспалительного процесса в ткани легких. Легкие – это парный орган, выполняющий в организме дыхательную функцию и осуществляющий процесс газообмена. Правое и левое легкие не идентичны. Верхнедолевой пневмонией называют инфекционный воспалительный процесс, особенностью которого является верхнедолевая локализация. Правосторонняя верхнедолевая пневмония поражает от одного до трех сегментов легкого. Левостороння пневмония, возникающая в верхней доле, протекает более тяжело, так как в этом случае воспалительный процесс затрагивает от одного до пяти сегментов легкого.
Верхнедолевая пневмония – определение болезни
Левое легкое меньше и в нем выделяют две доли, правое – имеет больший размер и три доли. Рассматривая строение легких, можно выделить в них три структурных элемента:
- Альвеолы;
- Бронхиолы;
- Бронхи.
Ткань легких состоит из большого количества долек, которые объединяются в доли. Бронхи входят в вершину каждой дольки легкого. Мельчайшие ветви бронхов – бронхиолы. На их концах расположены образования, состоящие из большого количества альвеолярных ветвей, покрытых множеством крошечных пузырьков с тончайшими стенками (альвеол). Здесь и происходит обмен кислорода и углекислого газа в организме. Также к структурным единицам строения легких относятся бронхолегочные сегменты. Так называют части легкого, которые соответствуют первичным ветвям долевых бронхов. Сегменты отделяются друг от друга перегородками из соединительной ткани. В верхней доле правого легкого выделяют три сегмента, а верхней доле левого легкого – пять.
При развитии пневмонии воспалительный процесс охватывает альвеолы, в которых развивается воспалительная экссудация. В некоторых случаях страдает также интерстициальная ткань легких.
Пневмония, развивающаяся в верхней части легких встречается значительно реже, чем нижнедолевая. Воспалительный процесс чаще развивается в правой верхней доле. Это объясняется тем, что правый бронх более короткий и широкий, а значит, инфекция распространяться в этом направлении легче и быстрее. Верхнедолевую пневмонию достаточно сложно диагностировать. Такая форма заболевания требует чрезвычайно тщательного обследования и проведения дифференциальной диагностики. В первую очередь необходимо исключить возможность того, что болезненные симптомы вызваны туберкулезом. Обследование должно проводиться всесторонне, так как даже результаты рентгенографии могут давать сходную с туберкулезом картину.
Читайте также:
Что такое пневмония и чем она опасна для детей
Рентгенологическая картина верхнедолевой пневмонии
Причины возникновения
Причиной развития воспаления в верхних долях легкого чаще всего становятся стафилококки, стрептококки, пневмококки и палочка Фридлендера. Иногда подобную форму пневмонии могут вызывать дрожжеподобные грибы. Верхнедолевая пневмония практически никогда не имеет вирусную природу. Вирусный патологический процесс локализуется в нижних отделах легких.
Симптомы воспаления легких
Течение такого вида пневмонии имеет свои особенности. Заболевание развивается постепенно, что мешает своевременному началу лечения. Но затем незначительное недомогание, напоминающее простуду, внезапно проявляет тяжелые симптомы. Резко начинаются трудности с дыханием. Вдох дается с трудом и становится болезненным. Начинается сухой и изматывающий кашель. Самочувствие ухудшается резко: начинается сильная лихорадка, происходят нарушения в работе других органов и систем, отравление всего организма. Иногда наблюдается проявление состояний бреда. Не удается «сбивать» высокую температуру тела. Если температура и понижается, то только на короткое время. Что делать при первых признаках простуды узнайте тут.
Симптомы верхнедолевой пневмонии:
- Сильный озноб;
- Мышечная ломота;
- Ночная потливость;
- Явно проявляющиеся боли со стороны пораженного воспалительным процессом легкого;
- Сухой кашель, позднее переходящий в продуктивный;
- Сильная головная боль;
- Тошнота, проблемы с пищеварением;
- Одышка, не прекращающаяся даже в состоянии покоя;
- Высыпания на губах;
- Пожелтевшие белки глаз.
При верхнедолевой пневмонии иногда возникают состояния, сходные с симптомами менингита: галлюцинации, состояния бреда.
Возможные осложнения (туберкулез в верхней доле легкого)
Верхнедолевая пневмония опасна развитием чрезвычайно серьезных осложнений. Заболевание может привести к появлению туберкулеза легких, поражению диафрагмы, сухому и экссудативному плевриту, эндокардиту, менингиту. В случае несвоевременного или некачественного лечения очаги воспаления могут распространяться на другие сегменты легких ткани. Это становится причиной развития осложненного полисегментарного вида заболевания. В особо тяжелых случаях пневмония приводит к трагическому исходу.
Лечение опасного заболевания
При верхнедолевой пневмонии необходимо проведение антибактериального лечения. Важно начинать его немедленно, даже не ожидая результатов анализов. Однако следует помнить, что антибиотики может назначать только врач. Самолечение в этом случае категорически противопоказано.
Локализация воспалительного процесса в верхней доле легкого может объясняться инфицированием возбудителем туберкулеза. В этом случае врачом ставится задача купировать очаг воспалительного процесса. В процессе лечения и после его завершения необходимо контролировать состояние больного при помощи рентгенологического снимка. Также читайте про пневмоцистную по ссылке.
Медикаментозным способом
Средства лечения при верхнедолевой пневмонии включают:
- Антибактериальные препараты;
- Пробиотики;
- Жаропонижающие;
- Отхаркивающие средства и муколитики;
- Бронходилататоры (в случае наличия показаний);
- Физиотерапевтические процедуры и дыхательную гимнастику.
При лечении верхнедолевой пневмонии важным является обязательное подавление всех возбудителей заболевания. В тех случаях, когда антибиотик подобран неверно, возможен летальный исход. Поэтому чаще всего при этой форме заболевания назначаются препараты широкого спектра действия.
Аденоиды: лечение народными средствами
Может ли быть бронхит без кашля расскажет эта статья.
Формы бронхиальной астмы //drlor.online/zabolevaniya/gortani-glotki-bronxov/astma/klassifikaciya-bronxialnoj.html
Народными средствами
«Борьба» с верхнедолевой пневмонией без использования антибактериальных лекарств невозможна. Это связано с тем обстоятельством, что такая форма заболевания практически никогда не имеет вирусной природы. При лечении этого бактериального воспалительного процесса использование антибиотиков необходимо. В некоторых случаях существует возможность использования средств народной медицины для ускорения процесса выздоровления и облегчения состояния больного. Однако применение подобных методов не должно полностью заменять лекарственные препараты. Вопрос сочетания лекарств важно обсуждать с лечащим врачом. Народные средства в случае заболевания верхнедолевой пневмонией играют исключительно вспомогательную роль. Самолечение и пренебрежение врачебными предписаниями может привести к смертельному исходу.
Средства народной медицины при возможности используются как жаропонижающие, противовоспалительные или облегчающие кашель.
Профилактика
Общими рекомендациями для профилактики возникновения пневмонии является построение правильного образа жизни, который способствует укреплению иммунитета:
- Рациональное и качественное питание;
- Физическая активность;
- Соблюдение правил гигиены;
- Прогулки на свежем воздухе;
- Отказ от вредных привычек, минимизация стрессов.
Качественными профилактическими мерами против развития пневмонии являются дыхательные упражнения, которые выполняются ежедневно.
Исключительно важным профилактическим мероприятием, предупреждающим развитие верхнедолевой пневмонии, является вакцинация с помощью пневмококковой и гриппозной вакцин.
Видео
Данное видео расскажет о том, что такое пневмония.
Выводы
Верхнедолевая пневмония – это заболевание, которое имеет крайне тяжелые проявления и практически всегда бывает вызвана бактериальной инфекцией. Больному этой формой пневмонии важно провести качественное диагностическое обследование, позволяющее выявить или исключить другие опасные заболевания. Тактика лечения обязательно должна определяться специалистом и включать в себя немедленное применение антибактериальных препаратов. Самолечение в данном случае недопустимо. Часто возникает необходимость лечения в условиях стационара. Про особенности параканкрозной пневмонии можно узнать здесь.

