Пневмония (воспаление легочных тканей) – это опасное заболевание легких. Поэтому и относиться к лечению этого недуга следует со всей серьезностью. Когда речь идет о остаточных явлениях после пневмонии, то под этим термином подразумевают нарушение различных функций человеческого организма после перенесенной болезни. Если этому не придавать надлежащего внимания, то такие остаточные явления могут привести к нежелательным последствиям.
Причины остаточный явлений
Во время пневмонии в альвеолах легкого накапливается определенный секрет. Из-за образовавшихся спаек происходит следующее:
- сужение просвета альвеол;
- блокировка газообмена;
- нарушение дыхания.
Легкие – это орган, который должен обогащать циркулирующую по сосудам кровь кислородом. Место, где происходит этот процесс, – альвеолы. Внешне они похожи на шарики, в которых расположено огромное количество маленьких кровеносных сосудов. Пневмония поражает легочную ткань, это также касается и альвеол. Болезнь нарушает дыхательную функцию органа.
Перенесенное заболевание снижает иммунитет, защитные силы организма ослабевают, и это часто становится причиной того, что происходит присоединение вторичных инфекций. Поэтому чаще всего причинами остаточных явлений после пневмонии бывают:
- сильное воздействие на организм вирусов;
- наличие хронического воспалительного процесса;
- нарушения в работе иммунной системы, низкий иммунитет.
После перенесенного воспаления легких иммунодефицит часто приводит к развитию различных заболеваний горла, носа, бронхов. У человека может появиться ангина, кашель, причиной которому могут быть бронхит или ларингит, насморк. Если пациент, недавно переболевший пневмонией, заболевает гриппом, то болезнь, как правило, протекает более тяжело.
Организму, ослабленному пневмонией, очень сложно бороться с чужеродными вирусами, которые его атакуют. Довольно часто причиной заболеваний легких и бронхов становится возбудитель, который носит название пневмококк. Этот вирус передается по воздуху, и уберечься от него очень непросто. По статистическим данным, наиболее распространенным недугом после перенесенного воспаления легких является бронхит. Кашель при таком бронхите затяжной и трудно поддается лечению.
Симптомы патологии
Как определить, что пневмония побеждена, если больной продолжает кашлять? Для этого необходимо сделать рентгеновский снимок легких. Иногда остаточные явления после пневмонии на рентгене наблюдаются как незначительные затемнения на легких. Их можно хорошо разглядеть на пленке.
После того как человек перенес воспаление дыхательного органа, на его тканях могут появиться:
- спайки разных размеров;
- рубцы;
- плеврит;
- эндокардит;
- плеврит.
Микробы, которые находятся в кровеносном русле, мешают крови нормально циркулировать в легких. Чтобы избавиться от остаточных изменений после перенесенного недавно заболевания, пациенту назначается дополнительное лечение, а также рекомендуется реабилитация в специальном санатории.
Последствия после пневмонии
Так как легкие и сердце работают в тесном контакте друг с другом, то довольно часто болезнь легких приводит к сбоям в работе сердца. Инфекция, продвигаясь по кровеносному руслу, попадает в сердечный орган и вызывает в нем воспалительный процесс, тем самым нарушая его функции. Это приводит к появлению эндокардита. При этом заболевании поражается сердечная оболочка и нарушается кровообращение.
Поражения дыхательных путей
Когда человек заболевает пневмонией, в воспалительный процесс иногда вовлекаются также и другие органы, связанные с дыхательной системой. Это могут быть бронхи и плевральная оболочка. Насколько они будут поражены, зависит от того, как тяжело протекает воспалительный процесс в легких и где именно расположен очаг воспаления. Самой тяжелой медики считают крупозную пневмонию, которая захватывает все легкие, листки плевры и большую часть бронхов.
Чтобы устранить воспалительный процесс в легких, назначается антибактериальная терапия. Процесс лечения легко контролировать с помощью рентгена. А вот бронхит как остаточное явление пневмонии на снимке можно не заметить. Это случается тогда, когда врач не имеет надлежащего опыта или рентгеновское оборудование низкого качества.
Иногда воспаления плевры и разных участков бронхов проходят самостоятельно, а иногда недуг затягивается на длительное время. Причиной этому может быть досрочное прекращение антибактериальной терапии. Такое явление может привести к тому, что ткани бронхиального дерева или плевры замещаются соединительными тканями. Такая патология вызывает снижение дыхательной функции. Полностью удалить ее почти невозможно.
О том, что антибактериальная терапия закончена, а воспалительный процесс продолжается, говорят следующие факты:
- непрекращающийся кашель;
- не нормализуется температура тела;
- присутствие боли в разных местах грудной клетки.
Можно увидеть остаточные явления после пневмонии на рентгене. Чтобы их не допустить, лечение антибактериальными препаратами должно продолжаться от 10 до 14 дней и никак не меньше. Кроме противовоспалительных средств, больной также должен принимать и отхаркивающие лекарства.
Читайте также:
Кто вылечил пневмонию у ребенка отзывы
Астенический синдром
Под этим термином скрываются симптомы, которые в народе называют общим упадком сил. Астенический синдром проявляется в следующем:
- человеку трудно справляться даже с самой незначительной нагрузкой;
- даже умственная работа дается с большим трудом;
- в дневное время появляется быстрая усталость;
- даже утром, сразу же после сна, человек чувствует себя уставшим.
Чтобы побыстрее избавиться от астенического синдрома, врачи рекомендуют следующее:
- после окончания антибактериальной терапии принимать витаминные комплексы;
- в пище пациента должно быть как можно больше овощей, фруктов и белковых продуктов;
- для выздоравливающего человека очень полезны прогулки на свежем воздухе, только они должны быть умеренными и не слишком утомительными;
- следует повременить с выходом на работу, даже если она не требует применения физических усилий, физические нагрузки необходимо увеличивать постепенно и соблюдать щадящий режим не менее недели после окончания острого периода болезни.
Дисбактериоз
Остаточные явления после пневмонии как у детей, так и у взрослых могут проявляться в нарушении нормальной микрофлоры кишечника. Также такая патология может быть вызвана побочным эффектом сильных антибиотиков. Дисбактериоз имеет следующие симптомы:
- стул жидкой консистенции, но патологический примесей нет;
- неприятные ощущения в кишечнике;
- вздутый живот;
- частая отрыжка, тошнота и рвота редко.
Чтобы не появился дисбактериоз, необходимо, принимая антибиотики, одновременно с ними употреблять лекарственные препараты, относящиеся к группе пребиотиков или пробиотиков. В состав пребиотиков входят различные питательные вещества, стимулирующие собственную микрофлору кишечника пациента. Пробиотики – это полезные лакто- и бифидобактерии, которые, попадая в кишечник человека, вытесняют из него патогенную микрофлору.
Если профилактика не была сделана своевременно и дисбактериоз развился, то эти препараты применяются для его лечения. Следует знать, что быстро вылечить патологию не удастся, это достаточно трудоемкий и длительный процесс.
Иммунодефицит
У переболевшего пневмонией человека часто появляется так называемый вторичный иммунодефицит. Он характеризуется повышением восприимчивости к разным инфекциям. Чтобы этого не случилось, рекомендуется:
- не перегружать себя в физическом плане;
- не переохлаждаться;
- питаться полноценно;
- принимать поливитамины.
Как лечить
Остаточные явления после пневмонии исчезнут достаточно быстро и легко, если лечение этого заболевания проводилось правильно и во время реабилитации пациент уделял своему здоровью должное внимание.
Как сама пневмония, как и применяемые для ее лечения лекарства действуют на организм негативно. Изматывающий кашель, постоянная температура, антибиотики и другие лекарственные препараты истощают иммунную систему больного. Поэтому, чтобы полностью восстановиться после болезни, врачи рекомендуют соблюдать некоторые правила.
Следует одеваться по погоде, не допуская даже малейшего переохлаждения. Из-за того что иммунная система после перенесенного недуга ослаблена, холод может стать причиной нового заболевания. Но это не значит, что нужно отказаться от прогулок на свежем воздухе. Такие прогулки очень полезны, так как они улучшают работу легких, подготавливают сердце к полноценным нагрузкам после окончательного выздоровления. Следует только учитывать, что прогулки должны быть не утомительными.
После перенесенного заболевания следует правильно питаться. Никакая особенная диета не нужна, но еда должна быть полезной, с большим количеством витаминов. В дневной рацион нужно включить много свежих овощей и фруктов, уменьшить количество жиров, мясные блюда рекомендуется готовить на пару.
Не следует очень переутомляться на работе, так как это может ухудшить общее состояние здоровья. Также необходимо избегать различных стрессовых ситуаций.
Дыхательная гимнастика
Этот метод восстановления после болезни помогает наладить газообмен и уменьшает повреждения на стенках бронхов. Некоторые рекомендуемые упражнения:
- махи руками в разные стороны;
- приседания;
- чтение вслух, проговаривание скороговорок.
Реабилитация с помощью массажа
Воздействие этой процедуры на организм, ослабленный болезнью, трудно переоценить. Благодаря массажу происходит следующее:
- крово- и лимфообращение улучшается;
- в легких уменьшаются спайки;
- подвижность грудной клетки восстанавливается;
- значительно улучшается общее состояние здоровья.
Народные методы
Если человека интересует, чем лечить остаточные явления от пневмонии, то кроме уже сказанного можно также посоветовать использовать методы народной медицины. После того как пациент переболел воспалением легких, его еще на протяжении 1-2 месяцев может преследовать кашель. Причиной этому является мокрота, которая осталась в легких после болезни.
В этом случае могут пригодиться бабушкины рецепты. Они могут быть использованы как вспомогательные методы. Настойки и отвары из лекарственных трав применяются как внутрь, так и для ингаляций и растирок. Лечение народными методами помогает значительно уменьшить время реабилитации.
Читайте также:
Осложнения после пневмонии у детей какие бывают
Но если кашель сильный и не проходит долгое время, то лучше всего обратиться за помощью к врачу. Специалист определит, насколько опасны остаточные явления пневмонии, на рентгене.
Осложнения после болезни
Иногда бывает, что осложнения могут быть более опасными, чем сама пневмония. Поэтому очень важно как можно раньше обнаружить осложнение.
Существует два вида осложнений – те, которые локализуются в легких, и те, которые вне легких.
Легочные:
- абсцесс легкого;
- плеврит;
- недостаточность дыхательной функции;
- хронический бронхит;
- появление астматического элемента.
Внелегочные:
- миокардит;
- перикардит;
- гепатит;
- менингит.
Срок госпитализации
Пневмония – довольно серьезное заболевание, и чаще всего его лечат в условиях медицинского учреждения. Некоторые пациенты задают вопрос: выпишут ли при остаточных явлениях пневмонии? Срок нахождения в стационаре зависит от степени заболевания и от того, насколько эффективным является выбранное лечение.
Часто для успешной терапии этого недуга бывает достаточно 3-4 дней. Но бывают случаи, когда пациента еще оставляют в больнице для наблюдения за его состоянием. При осложненных формах срок пребывания в стационаре может составлять до 10 дней. Если же заболевание проходит в легкой форме, то больного через несколько дней выписывают домой, где он должен самостоятельно продолжать лечение. При повышенной температуре тела больной должен соблюдать постельный режим. Также, находясь дома, больной должен следовать всем рекомендациям врачей.
- Клиникам
- Врачам
- Примеры заключений
- Полезные материалы
- Врачи
- Отзывы
- Соглашение
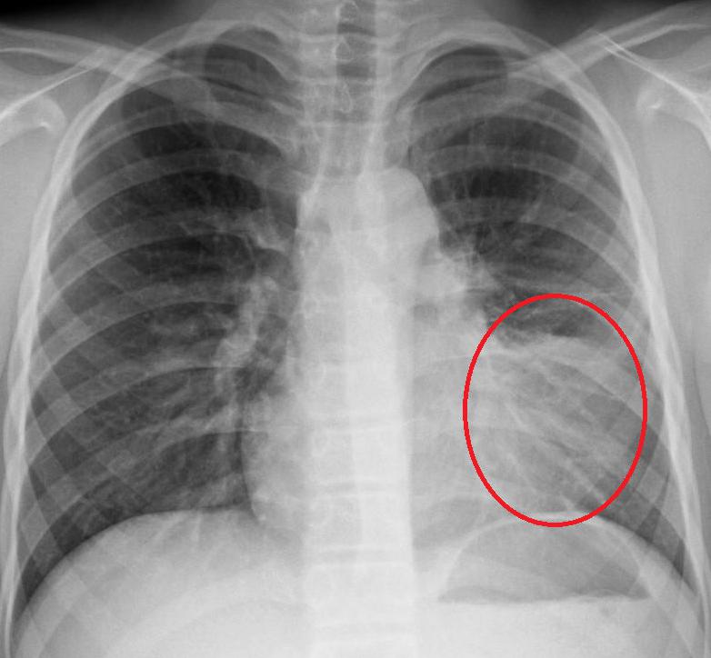
Очаговые образования в легких на рентгенограмме – распространенный синдром. Большая часть очагов на снимке провоцируется пневмонией, туберкулезом. Нельзя упускать из виду раковые образования, абсцессы. Сформировать диагноз после обнаружения очаговых теней рентгенологи не всегда могут, поэтому проводят только описание. Заключение формируется только после дополнительной диагностики – боковое, прицельные проекции, компьютерная томография, ПЭТ/КТ. По некоторым заключением можно составить альтернативное мнение с возможность предположения патологии высокой степени достоверности. Предлагаем ознакомиться с распространенными нозологиями, которые становится причиной обнаружение на рентгенограмме очагового образования правого и левого легкого, диссеминированных милиарных очагов.
Очаговые образования в легких при пневмонии, туберкулезе
Первое место по частоте среди всех очаговых образований в легких занимают пневмонии. Около 30% всех случаях обусловлены воспалением легочной ткани бактериальной или вирусной этиологии. Нозология формирует на рентгеновском снимке очаговоподобные тени с наличием специфических особенностей, позволяющих отличить пневмонические очаги от других заболеваний. Особенности очаговых образований при пневмонии на рентгенограмме: • Тень до 1 см в диаметре; • Контур неровный, нечеткий за счет воспалительной реакции; • Вокруг затемнения – усиление легочного рисунка. Диагноз не представляет сложностей при наличии на снимке описанных изменений, воспалительном характере лабораторных изменений, аускультативной картине хрипов в легких. Современные врачи говорят о повышении частоты неклассических видов пневмонии. Все чаще выявляются формы без температуры, хрипов, нормальным или сниженным количеством лейкоцитов. Единственным проявлением такого воспаления становится лишь рентгеновский синдром «очаговой тени в правом легком». Правосторонняя локализация встречается чаще, чем слева из-за особенностей анатомического строения. Справа нижний бронх расположен почти вертикально, что создает возможности для быстрого проникновения бактерий. Повальное, бесконтрольное использованием антибиотиков населением привело к формированию нечувствительности микроорганизмов к препаратам. На этом фоне наблюдается нетрадиционное течение заболевания с отсутствием температуры, выраженных лабораторных изменений.
Полостной очаг при абсцессе правого легкого
Если пневмония провоцируется анаэробными бактериями, устойчивыми к антибиотикам, вероятно формирования полости в легком. Образование представляется собой ограниченный очаг деструкции легочной ткани. Внутри полости скапливается гной, продукты разрушения тканей, что обуславливает горизонтальный уровень внутри образования на рентген снимке. После прорыва абсцесса в бронх полость опустошается, поэтому горизонтальный уровень не прослеживается. Диагностика патологии не представляется сложности при крупном образовании. Небольшой очаг с просветлением в центре рентгенолог может принять за бронх в ортоградном сечении. Лечащий врач по клиническим данным не может заподозрить начало формирования абсцесса, поэтому человек 7-10 дней лечится антибиотиками. Только на контрольном снимке после завершения курса антибиотикотерапии обнаруживается увеличение очаговой тени с просветлением в центре. Только после этого пациента отправляют хирургу для проведения операции, так как консервативное лечение не принесло эффективности. Согласно современным требованиям – после обнаружения абсцесса на снимке требуется провести хирургическую операцию для предотвращения необратимых фиброзных образований на месте абсцесса. Достоверная диагностика полостного образования не представляется сложностей при наличии следующих рентгенологических критериев: 1. Участок просветления легочной ткани; 2. Жидкость с горизонтальным уровнем; 3. Ограничительная стенка, которая сохраняется в разных проекциях. Сложности у специалистов возникают на начальных стадиях, когда требуется дифференциальная диагностика между воспалительным очагом в легком и полостью распада ткани.
Читайте также:
Признаки пневмонии на снимке рентгена
Очаговое образование правого легкого при туберкулезе
При туберкулезе очаговые образовования локализуются преимущественно на верхушке, хотя при заболевании есть специфические участки легких, где очаги локализуются часто – первый, третий, шестой сегмент (S1, S2, S3). Для туберкулезных синдромов характерно медленное, постепенное нарастание изменений. Очаги не содержат выраженной воспалительной реакции, но из-за малым размеров сложно тщательно проследить характеристики образования. При очаговой форме не всегда наблюдается лимфангит (лимфатическая дорожка), увеличение корней с бугристыми контурами за счет лимфатических узлов. Реже при дифференциальной диагностике очаговоподобных теней на снимке прослеживается комбинация туберкулезных и раковых изменений. Патология развивается за счет ракового преобразования микобактериального разрушения легочной ткани. Опухолевые клетки образуются на месте разрушенного эпителия, подвергшегося мутации с устойчивостью к влиянию иммунитета. Локализация синдрома в правом легком встречается чаще, чем в левом, но определенной зависимости специалисты не выявили. Очаговые образования в правом легком всегда нужно анализировать на предмет рака, так как небольшой очаг на начальной стадии способен быстро превратиться в крупное образование с прорастанием в окружающие ткани. Запущенную опухоль нельзя удалить радикально.
Очаговое образование левого легкого – принципы оценки
При оценке рентген картины левого легкого следует анализировать следующие критерии, позволяющие провести дифференциальную диагностику основных нозологических форм (пневмония, рак, туберкулез): 1. Количество очагов; 2. Расположение (центральное, эксцентричное); 3. Сегментарная локализация; 4. Характер тени на предыдущих снимках; 5. Внешний контур; 6. Состояние перифокальных тканей; 7. Наличие бугристости; 8. Дополнительные затемнения; 9. Характер легочного рисунка; 10. Изменения корней; 11. Кальцинаты в области руки, свидетельствующие о вакцинации против туберкулеза. При наличии очага в 1, 3, 6 сегменте легкого рационально предположить туберкулез. При абсцессах образования локализуются в 2, 6, 10 сегменте. При очаговом образовании левого легкого требуется исключать опухолевое образование, так как для рака характерна односторонняя локализация. Пневмония, туберкулез чаще локализуются справа. Злокачественные новообразования не имеют строгой зависимости, поэтому могут находится справа или слева. По статистике – около 60% случаев очаговых образований при раке локализуется только в правом легком, 40% — в левом. Максимально часто очаги находятся в 3, 4 сегменте. Малый периферический рак на рентгенограмме характеризуется синдром тени полигональной формы до 2 см в диаметре. После распада и некроза в центре узла диагноз не вызывает сомнений, но на начальном этапе сложно обнаружить нозологию. При наличии малейшего просветления в центре очага нужно предполагать не только абсцесс, но и рак. Не всегда прослеживается дорожка за счет прорастания опухоли по бронхам. Наружные контуры очага имеют небольшую лучистость, направленную в легочную паренхиму. Единичное очаговое образование легкого всегда вызывает сомнение у рентгенологов. При наличии шаровидной формы, четкого внешнего бугристого контура по периферии прослеживается серповидное просветление. При центральном раке очаговое образование небольших размеров не прослеживается на рентгенограмме, так как проекционно перекрыто тенью грудины. Косвенным признаком патологии на рентгенограмме может быть вентильная эмфизема, которая развивается из-за перекрытия бронха. Недостаточное внимание к данному признаку приводит к фатальным последствиям для пациента, так как при появлении крупного затемнения справа или слева от средостения опухоль приобретает крупные размеры, становится неоперабельной. В заключение отметим, что единичные очаговые образования в правом или левом легком является начальным симптомов опасных нозологических форм. Некоторые из них летальны при отсутствии грамотного лечения. Очаги до 1 см диаметром сложно изучать, но они предоставляют важную диагностическую информацию. При наличии подозрений на туберкулез или рак лучше провести дополнительную диагностику с помощью компьютерной томографии. Рак не терпит промедления!
Рентгенограмма – небольшой очаг на снимке справа при пневмонии
Цифровая флюорограмма: очаги в верхней доле правого легкого при туберкулезе
Проконсультируем бесплатно в мессенджерах








