Гистероскопия и ее последствия
Эндоскопические методы исследования являются одним из самых развивающихся направлений диагностической медицины, позволяющим не только визуально оценить состояние обследуемого органа, но и произвести различные хирургические манипуляции с минимальным ущербом для организма.
Гистероскопия, как один из видов малоинвазивного вмешательства, значительно расширила возможности диагностики внутриматочных патологий, обнаружение которых с помощью других диагностических методов представлялось довольно затруднительным.
В связи с тем, что проведение любых эндоскопических манипуляций с целью исследования или лечения нередко сопровождается незначительным повреждением тканей, последствия гистероскопии также зависят от целей вмешательства и объемов проводимых хирургических манипуляций.
Гистероскопия
Гистероскопия представляет собой способ визуального обследования полости матки, осуществляемого через естественные половые пути с помощью гистероскопа.
Гистероскоп является многофункциональным оптическим прибором, в конструкции которого предусмотрен канал для введения хирургических инструментов, благодаря чему появляется возможность не только выявлять имеющиеся патологии, но и выполнять различные хирургические манипуляции:
- выскабливание полости матки;
- удаление небольших доброкачественных новообразований (полипов эндометрия, субмукозных миом);
- разделение фиброзных образований (синехий);
- восстановление проходимости маточных труб;
- удаление вросших фрагментов внутриматочного контрацептива (спирали);
- прижигание очагов эндометриоза;
- выполнение биопсии.
Диагностический и операционный гистероскопы отличаются толщиной рабочей части
Проведение
В зависимости от целей проведения процедуры, одним из этапов гистероскопии является увеличение проходимости шейки матки с помощью поэтапного введения в цервикальный канал расширителей Гегара.
При этом сугубо диагностические манипуляции могут проводиться без предварительного расширения шейки гистероскопом, имеющим толщину не более 3 мм.
Использование гистероскопа, имеющего в структуре операционный канал для введения хирургических инструментов, требует значительной дилатации цервикального канала (до 9-10 мм).
В зависимости от типа используемого оборудования, оперативное вмешательство может осуществляться следующими способами:
- резекция — в этом случае нарост или новообразование срезают с помощью так называемых «ножниц» или режущих инструментов другой формы;
- электрорезекция — предусматривает довольно большой набор инструментов (петли, ролики, шарики), действие которых основано на электровыпаривании тканей, что позволяет целенаправленно удалять патологические образования;
- лазерная резекция с коагуляцией — существенным преимуществом таких инструментов является коагуляция тканей после осуществления резекции, что существенно снижает риск развития кровотечения.
Проведение диагностической гистероскопии
Последствия
В связи с тем, что гистероскопия, несмотря на относительную безопасность, является хирургическим вмешательством, после ее проведения могут возникнуть определенные последствия, способные доставить некоторый дискомфорт пациентке.
Однако следует различать последствия, являющиеся нормальной реакцией организма на врачебные действия (искусственное расширение шейки матки, выскабливание и т.д.
) и осложнения, вызванные некорректными действиями врача, особенностями организма или несоблюдением пациенткой послеоперационных рекомендаций.
Боль
Болевые ощущения после процедуры являются совершенно естественной реакцией на хирургические манипуляции. Как правило, боль носит спазмический характер и является следствием повышения сократительной активности мышечного слоя матки и насильственного расширения цервикального канала. Нередки также жалобы на ноющую боль в области поясницы.

Интенсивность и длительность проявления болевых ощущений зависит от болевого порога конкретной пациентки и целей гистероскопии. Если гистероскопия проводилась исключительно в целях диагностики, то восстановление занимает не более 4-6 часов, выполнение же даже незначительных хирургических манипуляций может вызвать более длительные болевые ощущения, успешно купируемых с помощью анестетиков.
Важно! Независимо от характера проводимой гистероскопии, болевые ощущения не должны длиться более 7 дней (оптимально 2-3 дня).
Внутримышечная инъекция баралгина поможет устранить болевые ощущения
Незначительные мажущие выделения являются нормой даже после диагностической гистероскопии. Не должно быть обильных выделений и после резекции полипозных образований.
Появление сукровицы после гистероскопии, а затем слизистых выделений может свидетельствовать о незначительных повреждениях слизистой поверхности шейки матки или являться следствием оперативных действий по удалению новообразований или забора образца тканей на биопсию.
Если по медицинским показаниям проводилось диагностическое выскабливание, то количество крови после процедуры, а также длительность кровотечения не должны иметь существенных отличий от менструации и завершится в соответствующие сроки, то есть через 4-7 дней.
Температура
Температура после гистероскопии не должна превышать порога 37º- 37,2º.
Как правило, подобная реакция организма на вмешательство встречается у достаточно большого процента женщин и отличается от температуры, связанной с осложнениями тем, что возникает в тот же день и повторяется в вечернее время в течение 2-3 дней.
Температура, вызванная воспалительными процессами или другими осложнениями, характеризуется превышением порога в 37,2º, отсутствием привязки ко времени суток и возникает, как правило, через 2-3 дня после гистероскопии.
Осложнения
Несмотря на относительную безопасность процедуры, нельзя исключать вероятность развития осложнений, условная классификация которых подразделяет их на два вида:
- хирургические;
- физиологические.
Лапароскопия или гистероскопия — что лучше?
К хирургическим следует отнести все осложнения, связанные с некорректным проведением процедуры вследствие непрофессионализма врача или особенностей организма пациентки. Перечень патологий, возникших в результате гистероскопии, включает в себя:
- перфорацию стенки матки или цервикального канала. Как правило, подобное осложнение имеет место в случаях резекции стенки матки с помощью элктрорезектоскопа или лазера, например, для удаления глубоко расположенной миомы. Лечение после гистероскопии включает в себя восстановление повреждений с помощью одновременного проведения лапароскопии и гистероскопии;
- повреждение кишечника в результате перфорации мышечного слоя матки;
- кровотечение. Возникает в результате повреждения во время операции, крупного кровеносного сосуда;
- воздушную эмболию, вызванную проникновением пузырьков газа в кровеносное русло. Как правило, воздух проникает в полость матки через трубки, подающие промывную жидкость во время операции;
- анестезиологические осложнения. Являются следствием аллергической реакции на наркоз.
Важно! Применение электро- или лазерной резекции с коагуляцией сводит риск развития кровотечения к минимуму, благодаря способности «спаивать» сосудистое русло сразу же после иссечения ткани.
Все осложнения хирургического характера предупреждают тщательным соблюдением всех норм и правил выполнения операции
Послеоперационные осложнения физиологического характера подразделяются на следующие виды. Ранние — воспалительные процессы (эндометрит, параметрит, аднексит).
Поздние — деформация стенки матки вследствие удаления крупной миомы, рецидивирующий рост удаленных ранее новообразований и эндометриоз.
Удаленный эндометрий после операции может попасть в брюшную полость вследствие перфорации стенки матки или через фаллопиевы трубы.
Если полип после удаления снова вырос, это может свидетельствовать либо о неполном его удалении во время операции, либо о гормональных нарушениях в организме женщины. В качестве лечения в этом случае назначают гормональные препараты. Характерной особенностью эндометрия является его способность приживаться на ближайших органах, образуя в процессе разрастания эндометриозные кисты.
Восстановление
Период восстановления полностью зависит от тяжести проведенного вмешательства и заканчивается в период роста нового эндометрия, свидетельствующего о начале нового менструального цикла.
Наиболее распространенный вопрос, задаваемый после гистероскопии – «Через сколько дней ждать менструаций?» В случае если процедура носила диагностический характер, регенерация поврежденных тканей не занимает много времени, поэтому начало следующего цикла должно произойти в положенное время.
Если же целью гистероскопии было восстановление функциональных способностей матки и лечебная процедура выполнялась в общепринятые сроки (на 5-11 день от начала цикла), то может иметь место задержка менструаций. Если в ходе гистероскопии производилось выскабливание полости матки, то первым днем цикла следует считать день, следующий за днем проведения операции.
Неотъемлемой частью лечения после гистероскопии является прием антибиотиков и антибактериальных препаратов широкого спектра действия
Рекомендации
Большое значение для скорейшего восстановления организма имеет соблюдение рекомендаций в послеоперационный период после гистероскопии. Список рекомендаций включает в себя то, что можно и что нельзя делать после процедуры:
- для предупреждения инфицирования следует воздерживаться от половой жизни в течение месяца;
- не следует купаться, полностью погружаясь в ванну, париться в бане или сауне, так как перегрев может спровоцировать кровотечение или воспалительный процесс;
- тщательно соблюдать правила личной гигиены, используя при этом моющие средства с нейтральным РН;
- исключить прием препаратов, влияющих на свертываемость крови (аспирин, обезболивающие, содержащие аспирин);
- после гистероскопии нельзя заниматься спортом, включающим интенсивные силовые нагрузки, поднятие тяжестей. Аэробные физические нагрузки разрешены по прошествии 2-3 недель после операции;
- тщательно следить за работой кишечника, предупреждая с помощью коррекции рациона возможные запоры, так как потуги при дефекации способны нарушить процесс восстановления повреждений матки;
- необходимо как можно чаще совершать акт мочеиспускания (не терпеть), так как полный мочевой пузырь препятствует сокращению стенок матки и ухудшает ее кровоснабжение;
- нельзя плавать в бассейне, так как существует риск проникновения инфекции;
- загорать следует, строго дозируя время пребывания на солнце для предупреждения перегрева.
Важно! Ограничение также накладывают на применение внутривлагалищных тампонов, которые не только препятствуют нормальному оттоку крови и слизи, но и не позволяют оценить качество выделений (вид, запах), что может стать причиной несвоевременного обращения к врачу в случае развития осложнений.
Антибактериальные свечи Тержинан желательно применять за 1-2 дня до процедуры, с целью снижения риска инфицирования
Через какое время после гистероскопии можно планировать беременность? Если процедура проводилась с целью диагностики, то забеременеть с большой долей вероятности можно уже в следующем месяце. Однако если производились даже небольшие хирургические манипуляции, то организму требуется значительно больше времени на восстановление.
При планировании беременности следует учитывать следующие факты:
- регулярность менструального цикла;
- отсутствие воспалительных заболеваний;
- отсутствие рецидивирующего развития патологических образований, удаленных во время операции.
При положительных результатах наступление беременности возможно уже через 3 месяца. Однако оптимальным сроком, позволяющим полностью восстановить репродуктивные функции организма после гистероскопии, считается 6 месяцев.
Эко
Необходимость проведения гистероскопии перед тем как делать ЭКО, является спорным.
Ввиду того, что процедура ЭКО является достаточно сложной в плане забора материала и подготовки пациентки, риск прерывания беременности вследствие возникновения возможных травм от предшествующей диагностической процедуры достаточно высок.
Однако учитывая тот факт, что к ЭКО прибегают женщины, безуспешно пытавшиеся забеременеть достаточно длительное время, прохождение гистероскопии позволит выявить и устранить любые структурные деформации матки (спайки, перегородки), препятствующие внедрению плодного яйца в эндометрий и последующему его развитию.

По статистике, опыт неудачного ЭКО имеют гораздо больший процент женщин, не проходивших гистероскопию (12%), в то время как женщины, подвергшиеся хирургическому лечению внутриматочных патологий с помощью гистероскопии и сделавшие ЭКО, имеют лишь 5% неудач.
Проведение гистероскопии перед ЭКО поможет создать идеальные условия для зарождения будущей жизни
Во всех случаях по истечении определенного периода времени необходимо сделать УЗИ и пройти полное обследование для сведения риска преждевременного прерывания беременности к минимуму.
Невозможно со 100% уверенностью гарантировать положительный исход процедуры ЭКО, но если после гистероскопии шансы женщины родить собственного ребенка значительно повышаются, этот шанс имеет право на существование.
Гистроскопия сегодня является наиболее информативным методом выявления внутриматочных патологий, средняя стоимость которого колеблется в ценовом диапазоне от 3 000 до 60 000 рублей в зависимости от применяемого оборудования, целей процедуры и престижа клиники. Соблюдение рекомендаций после гистероскопии поможет избежать развития осложнений, свести к минимуму последствия и в короткий срок восстановить здоровье.
Гсг маточных труб (гистеросальпингография): что это такое, подготовка, как она проводится, беременность после процедуры, что лучше – узи или рентген
Визуализация полости матки и придатков позволяет врачам определить состояние женской репродуктивной системы. ГСГ маточных труб (гистеросальпингография) – диагностическое процедура.
Она считается самой информативной при выявлении патологических изменений в органах малого таза. Метод приобрел широкое распространение для диагностики причин бесплодия.
В чем его особенности, какие его разновидности существуют, расскажем в нашей статье.
ГСГ в гинекологии играет важную роль. С помощью этой диагностики определяется проходимость маточных труб. Эта патология – распространенная причина бесплодия: при наличии трубных спаек женщина никогда не сможет забеременеть естественным путем.
Фаллопиевы трубы – «магистрали», в которых яйцеклетка встречается со сперматозоидом, а затем, оплодотворенная, попадает в маточную полость. Сама она двигаться не в состоянии. Поэтому продвигают ее мельчайшие «волоски», устилающие внутреннюю поверхность труб. Достигнув матки, зигота внедряется в ее стенки, чтобы затем развиваться там до самых родов.
Следовательно, проверка на проходимость труб – важный этап диагностики. Ведь многочисленные спайки не дадут произойти оплодотворению. А если оно и состоится, то яйцеклетка не сможет добраться до «конечного пункта назначения».
Можно ли забеременеть, если непроходимость труб частичная? Да, но такая беременность может быть опасной. Яйцеклетка, оплодотворенная сперматозоидом, начнет свое движение по трубе. Однако, встретив по дороге препятствие, начнет импортироваться в саму трубу: произойдет внематочная беременность. Если вовремя не обнаружить патологию, через 4-6 недель от начала внедрения произойдет разрыв.
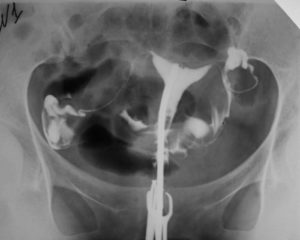
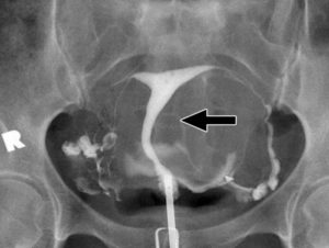
Сущность гистеросальпингографии состоит в заполнении маточной полости и ее труб особым веществом, которое называют контрастным. Вводят его с помощью катетера через влагалище.
Исследование проводят двумя способами: с помощью УЗИ и рентгена. Введенное вещество помогает выявить спайки маточных труб, воспалительные процессы, новообразования.
Если оно свободно циркулирует через трубы в брюшную полость, значит, в лечении женщина не нуждается.
Современные гинекологи отдают предпочтение диагностике с помощью УЗИ. Ведь она еще и метод лечения. Дело в том, что во время процедуры физраствор сразу вводят в полость матки. Он разрывает маленькие спайки на своем пути в трубы, устраняя все препятствия на пути к зачатию. Поэтому многим женщинам после проведенной диагностики удается забеременеть.
Показания и противопоказания
ГСГ маточных труб помогает диагностировать бесплодие, ведь с его помощью определяется внешний вид и функционирование важных для беременности органов: матки и труб.
Показанием для исследования станут подозрения на развитие таких патологий:
- Спаек в трубах;
- Аномальной формы матки;
- Истмико-цервикальной недостаточности;
- Миомы или полипов в маточной полости;
- Аденомиоза.
Диагностические исследование проводят также перед началом стимуляции овуляции.

ГСГ запрещено использовать таким категориям женщин:
- беременным;
- с диагностированными воспалительными или инфекционными процессами влагалища или матки;
- с маточным кровотечением.
Как и любое исследование, гистеросальпингография имеет свои достоинства и недостатки. Перечислим плюсы и минусы ГСГ:
- четкая визуализация репродуктивных органов;
- возможность устранения мелких спаек в процессе диагностики;
- незначительное облучение;
- возможность развития аллергии на контрастное вещество;
- риск механического травмирования верхнего маточного слоя.
Многих женщин интересует, какая процедура лучше: ГСГ или лапароскопия. Следует помнить, что лапароскопия – это операционное вмешательство, которое проводят под наркозом. Поэтому в качестве диагностического метода лучше использовать ГСГ.
Где сделать ГСГ
Гистеросальпингографию (ГСГ) проводят в государственных медицинских учреждениях по полису ОМС. Можно воспользоваться и услугами коммерческих центров. При выборе больницы обратите внимание на качество аппаратуры и квалификацию медицинского персонала.
Цена исследования
Стоимость гистеросальпингографии маточных труб зависит от выбранной вами клиники и вида диагностической методики. Так, в центрах Москвы цена за процедуру варьируется от 5000 до 20 000 рублей.
Подготовка
Подготовка к гистеросальпингографии фаллопиевых труб займет некоторое время. Перед диагностикой нужно пройти обследование у гинеколога.
Врач возьмет мазок на флору, чтобы исключить воспалительные процессы. Если они будут выявлены, ГСГ не проводится до их полного устранения.
Подготовительный период также включает в себя лабораторные исследования биологического материала женщины: крови и мочи.
В подготовку к ГСГ маточных труб включают выбор дня, когда будет проводиться процедура. В зависимости от целей диагностики врач назначит разное время. Однако в любом случае исследование проводится в первой половине месячного цикла. В это время эндометрий достаточно тонкий, а маточная шейка – мягкая. Поэтому введение катетера потребует минимум усилий со стороны врача.
За 2-3 суток до диагностики пациентке следует полностью исключить интимную близость. Также не рекомендуется пользоваться вагинальными свечами, спреями и другими лечебными и профилактическими средствами, вводимыми во влагалище.
Как делают ГСГ маточных труб
Процедуру ГСГ проводят двумя методами: с помощью рентгена или УЗИ. Независимо от назначенной методики, диагностику проводят в выбранный день цикла без анестезии.
Во время исследования женщине не больно, но она может испытывать определенный дискомфорт или неприятные ощущения в низу живота.
Если пациентка испытывает сильный страх перед процедурой, могут провести ГСГ под местным наркозом. Возможно использование анальгетиков в таблетках.
Длительность исследования составляет 30-40 минут. После его окончания пациентка оставляют в палате, чтобы исключить возможность кровотечения.
Ультразвуковая гистеросальпингография проводится в гинекологическом кресле или на кушетке. Женщине нужно удобно расположиться в кресле, широко раздвинув ноги. После краткого визуального осмотра пациентке введут во влагалище зеркала, которые откроют доступ к шейке матки. Чтобы не допустить инфекционного поражения, шейку обрабатывают антисептиком.
Второй этап ГСГ УЗИ – установка мягкого катетера в область цервикального канала. На его конце расположен вагинальный датчик, с помощью которого «картинка» попадает на экран монитора. ЭХО ГСГ маточных труб проводится с использованием физраствора.
Им заполняют маточную полость и фаллопиевы трубы. Свободное «растекание» жидкости определяет хорошую проходимость труб.
Если при ЭХО гистеросальпингографии физраствор распространяется неравномерно, это свидетельствует о том, что есть препятствия в виде спаек.
Рентген
Рентген маточных труб проводят по схеме предыдущей методики. Пациентка лежит на гинекологическом кресле с широко раздвинутыми ногами.
После обработки антисептиком с помощью катетера в полость матки направляют контрастное вещество. В тот момент, когда жидкость наполняет матку и трубы, делается ряд рентгенограмм, на которых зафиксированы результаты исследования.
После того, как диагностика завершится, катетер для гистеросальпингографии удаляется.

ГСГ рентген проводится с помощью особого вещества, которое не пропускает рентгеновские лучи. Такие жидкости называются контрастными. Этот контраст в веществах достигается за сет содержания йода.
Вначале жидкостью заполняют матку, делая нужное количество снимков. Затем, чтобы проверить проходимость труб, вводят дополнительное количество раствора.
Под напором краситель вытекает в трубы, а снимки фиксируют возможности их проходимости.
Результаты исследования
Результаты двух методик с достоверностью «расскажут» о состоянии матки и труб. Расшифровка снимков проста: проходимость маточных труб диагностируется в том случае, если введенное вещество, свободно циркулируя по матке и трубам, выходит в полость брюшины.
Снимок позволяет диагностировать и другие проблемы с женской репродуктивной системой:
- Спайки и полипы в маточной полости;
- Миома матки;
- Гидросальпингикс.
Как вести себя после процедуры, ощущения
Неприятные или опасные последствия и осложнения после диагностической процедуры встречаются очень редко. В основном они связаны с индивидуальной чувствительностью к компонентам контрастной жидкости.
Восстановление организма после вмешательства может проходить с незначительными неприятными ощущениями и дискомфортом. Его сопровождают боли в низу живота и влагалищные кровянистые выделения в незначительном количестве.
Беспокоиться об их появлении не стоит: такие побочные реакции – следствие медицинского вмешательства. Чрез 3-4 дня они пройдут самостоятельно.
Иногда врач прописывает антибиотики после ГСГ. Такое назначение связано с возможным риском развития инфекционного поражения. Однако самостоятельно «назначать» себе подобные лекарства нельзя, так как иногда в них нет необходимости. В связи с возможным инфицированием связано и ограничение в интимной жизни после процедуры. Секс после ГСГ возможен только через 3-4 суток.
Многими пациентки отмечают задержку после ГСГ. Это отклонение не имеет непосредственного отношения к процедуре. Его возникновение вязано с психологическим дискомфортом женщины во время диагностики. Уже в следующем менструальном цикле при отсутствии других нарушений менструация «придет» вовремя.
Когда планировать беременность после ГСГ
Многочисленные отзывы в сети рассказывают о том, как быстро женщины забеременели после ГСГ. И хотя конкретной статистики нет, врачи отмечают, что беременность после ГСГ наступает довольно часто.
Медики связывают этот факт с «очищением» труб от мелких препятствий во время диагностики. ГСГ и беременность в одном цикле – ситуация распространенная. Однако она не безопасна, если проводилась с помощью рентгена.
Зачатие, наступившее в этом же цикле, «заберет» полученное женщиной излучение. Это негативно скажется на развитии плода.
Врачи считают, что можно планировать беременность уже в следующем месяце.
Если же произошла беременность после ЭХО ГСГ, то никаких ограничений по времени зачатия нет. Эта процедура абсолютно безопасна для будущего малыша.
Гсг маточных труб: последствия
Если проблемы с зачатием вызваны непроходимостью одной из маточных труб, что можно определить по результатам гистеросальпингографии (в заключении будет написано, что частичная непроходимость маточных (фаллопиевых) труб), то женщина в принципе не лишена возможности иметь ребенка.
Подобный диагноз — не приговор и не свидетельствует о полном бесплодии.
При частичной непроходимости маточных труб забеременеть поможет соответствующее лечение. Чаще всего терапия заключается в проведении хирургической операции с целью иссечения рубцов и спаек, которые препятствуют продвижению оплодотворенной яйцеклетки в полость матки.
После гинекологического вмешательства нужно ожидать, пока поврежденные ткани полностью восстановятся, а менструальный цикл и функционирование фаллопиевых труб нормализуются.

Способствует скорейшему восстановлению после операции целый комплекс лечебных мероприятий: дополнительная физиотерапия, определенные лекарственные препараты, оптимальную схему приема которых назначит врач, и другие процедуры по рекомендации гинеколога.
Предпринимать попытки зачать ребенка можно только после разрешения врача, который наблюдает пациентку.
Диагноз «полная непроходимость фаллопиевых труб» также не является окончательным вердиктом и не лишает женщину возможности иметь детей. Конечно, естественная беременность в данном случае очень маловероятна и даже практически невозможна.
Но в этом случае специалисты рекомендуют проведение ЭКО (искусственного оплодотворения), в результате которого пациентка с полной непроходимостью маточных труб может выносить и родить здорового малыша.
Многочисленные отзывы в сети рассказывают о том, как быстро женщины забеременели после ГСГ. И хотя конкретной статистики нет, врачи отмечают, что беременность после ГСГ наступает довольно часто.
Медики связывают этот факт с «очищением» труб от мелких препятствий во время диагностики. ГСГ и беременность в одном цикле – ситуация распространенная.
Однако она не безопасна, если проводилась с помощью рентгена. Зачатие, наступившее в этом же цикле, «заберет» полученное женщиной излучение.
Это негативно скажется на развитии плода.
Врачи считают, что можно планировать беременность уже в следующем месяце.
Поверка проходимости труб с помощью гистеросальпингографии требует предварительной подготовки. За неделю до процедуры следует отказаться от обследований и использования спреев, вагинальных свечей, таблеток и других средств интимной гигиены.
Рентген негативным образом влияет на плод, поэтому удостоверьтесь, что вы не беременны.
ПОДРОБНЕЕ ПРО: Шеечный цистит отзывы
Для повышения качества обследования рентген-проверка матки должна осуществляться до месячных, так как слизистая оболочка матки имеет большую толщину, а в первые недели менструации она отторгается, что затрудняет прохождение контрастного вещества.
Полноценное исследование проходимости маточных труб — гистеросальпингография (ГСГ)
ГСГ (гистеросальпингография) маточных труб – один из видов гинекологического диагностического исследования. Методика дает врачу достоверные данные о состоянии репродуктивных органов.
По способу проведения исследование делится на рентгеновское и ультразвуковое. Современная ультразвуковая ГСГ считается более эффективной и безопасной для женского здоровья процедурой, чем стандартный рентгенологический тип исследования.
Что такое гсг в гинекологии?
Процедура представляет собой рентген матки и маточных труб. Цель исследования — определение их проходимости и диагностика физиологического состояния матки у женщин. В большинстве случаев процедуру назначают при установленном диагнозе бесплодия и привычном невынашивании.
Современное медицинское оборудование позволяет провести исследование без использования рентгеновского облучения. Ультразвуковая гидросонография проводится с помощью стерильного физраствора, который вводится в полость матки с применением мягкого катетера для гистеросальпингографии.
Физиологический раствор попадает в полость матки и заполняет фаллопиевы трубы. Врач оценивает этот процесс и контролирует его с помощью трансвагинального УЗИ-датчика. Ультразвук помогает определить, свободно ли жидкость растекается в трубах. При наличии препятствий и нарушенной проходимости жидкость будет распространяться неправильно.
Плюсы ультразвуковой ГСГ:
- безболезненность и физиологичность;
- отсутствие вредного воздействия рентгеновского облучения на фолликулы яичников;
- длится около получаса, что позволяет наилучшим образом оценить, в каком состоянии находятся фаллопиевы трубы;
- не вызывает индивидуальных реакций и аллергии.
Показания и противопоказания к проведению диагностики
Показаниями к процедуре являются следующие патологии:
Противопоказания:
Абсолютным противопоказанием является период беременности и лактации.
Точный промежуток времени для проведения процедуры зависит от цели исследования. Для подтверждения диагноза эндометриоза процедуру назначают на 7-8 день цикла. Для определения степени проходимости фаллопиевых труб обследование назначают на вторую фазу цикла. В любую фазу цикла можно проводить ГСГ с целью выявить наличие миомы матки.
Наиболее оптимальное время для проведения исследования – первые две недели после менструации. В этот период эндометрий еще достаточно тонок, чтобы обеспечить свободный доступ в устья маточных труб.
Подготовка к гсг маточных труб
Метод ГСГ является безопасным и малотравматичным, но относится к инвазивным процедурам, поэтому требует особой подготовки. Подготовка к гистеросальпингографии включает в себя следующие этапы:
- необходимо пройти общий гинекологический осмотр и сдать анализы для гистеросальпингографии: бактериологический мазок со слизистой влагалища необходим, чтобы удостовериться в отсутствии половых инфекций;
- для диагностики прочих инфекционных заболеваний необходимо сдать анализы крови;
- в течение недели перед обследованием нельзя пользоваться вагинальными суппозиториями и свечами, спреями, растворами для спринцевания и средствами интимной гигиены;
- в течение двух дней перед исследованием следует воздерживаться от сексуальных контактов;
- иногда врач назначает аллергопробы на контрастное вещество, используемое при рентгенологической форме исследования;
- если процедура проводится во вторую фазу цикла, проводится тест на беременность.
Методика проведения диагностики
Перед процедурой женщина обязательно проходит обычный гинекологический осмотр с зеркалами.
Процедура занимает не слишком много времени. После осмотра в шейку матки вводится специальная трубка (мягкий катетер). Через эту трубку врач с помощью шприца вводит контрастное вещество для рентгенологического исследования в полость матки. Через некоторое время, когда контрастная жидкость проникает в трубы, врач делает рентгеновские снимки, показывающие состояние фаллопиевых труб.
Жидкость для исследования абсолютно безопасна для здоровья. Она без следа выводится из организма пациентки, всасываясь в кровь, не требуя никаких дополнительных процедур для очистки матки.
Больно ли делать процедуру ГСГ маточных труб?
Многих женщин интересует, болезненным ли будет исследование. Процедура считается безболезненным малоинвазивным методом диагностики, поэтому перед процедурой не требуется наркоз или местная анестезия. В некоторых случаях применяется местное обезболивание с помощью лидокаина, если у пациентки нет индивидуальной непереносимости анестезирующего средства.
Во время процедуры могут наблюдаться неприятные ощущения, напоминающие менструальные боли внизу живота. Через час после окончания обследования они пропадают.
Результаты процедуры
На рентгеновских снимках видно, как контрастное вещество проходит сквозь маточные трубы. Если жидкость заполнила трубы и попала в брюшную полость, врач удостоверяется в проходимости маточных труб. В том случае, если жидкость не полностью проникла в трубы и остановилась на определенном уровне, специалист подтверждает наличие непроходимости и назначает дальнейшее лечение.
Если исследование было проведено правильно, оно является достаточно информативным и позволяет не только подтвердить или опровергнуть наличие непроходимости, но и выявить различные внутриматочные патологии.
Большинство специалистов рекомендует для наиболее достоверных результатов диагностики проводить также гистероскопию полости матки, если имеется подозрение на патологические процессы.
Последствия и осложнения гсг маточных труб
Осложнения и последствия после процедуры встречаются редко. Один из видов возможных осложнений – индивидуальная аллергическая реакция на контрастную жидкость, с помощью которой проводится процедура. При нарушении технологии обследования может начаться воспаление придатков.

Что касается рентгеновского облучения, то его дозы при обследовании настолько малы, что они не причиняют никакого вреда женскому здоровью.
Некоторые специалисты отмечают, что беременность после ГСГ маточных труб наступает легче, а процедура увеличивает женскую фертильность, способствуя быстрому зачатию ребенка.
Восстановление после ГСГ
В течение пары дней после процедуры у пациентки могут наблюдаться незначительные кровотечения из влагалища. Выделения связаны с травмой шейки матки и чаще всего наблюдаются у женщин, страдающих эрозией шейки матки.
Незначительные боли внизу живота проходят достаточно быстро, не требуя дополнительного обезболивания.
Два-три дня после обследования рекомендуется воздерживаться от посещения ванн, бань, саун, а также от половых контактов.
О том, сколько стоит ГСГ маточных труб, лучше всего узнавать непосредственно в медицинском учреждении, где делают гистеросальпингографию. В среднем стоимость процедуры варьирует в пределах 4000-8000 рублей (150-250 дол.), в зависимости от клиники.
Сегодня рентгенологическая ГСГ маточных труб считается устаревшей методикой, которую все чаще заменяют высокотехнологичной ультразвуковой и компьютерной. В сочетании с прочими диагностическими методами процедура позволяет быстро и эффективно ставить диагноз и определять физиологическое состояние репродуктивных органов женщины.



