Причины и основные методы лечения при опухании или отеке переносицы
Любые изменения внешности могут вызвать панику учеловека. Потому что проблема может быть не только в эстетичности, но еще внарушении работы внутренних органов.
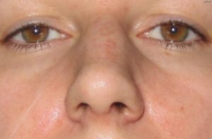
Одним из таких неприятных моментовявляется состояние пациента, при котором опухлапереносица. Данная симптоматика указывает на развитие воспалительных процессовв слизистых тканях.
При отсутствии лечения могут развиться осложнения.
Механизм появления отека переносицы
Отеком принято называть скопление жидкости в мягкихтканях. Такое происходит при повреждении, воспалении сосудов, из-за чегоповышается проницаемость сосудов.
Определить механизм отекапереносицы и причины появления проблемымогут только специалисты. Для того чтобы понять почемуопухает переносица, развивается отек необходимо учесть множество различныхфакторов: от локальной патологии до нарушений внутренних органов и систем.Установление причины отека лба переносицыпозволяет подобрать эффективное лечение.
Симптомы
Отек переносицы, как и любая другаяпатология, имеет свою симптоматику. Специалист оценит отек, общее состояниепациента, изучит объективные и субъективные признаки.
Первые устанавливаются сприменением физикальных методов и пальпации. Вторые определяют на основаниижалоб пациента.
Во время осмотра специалист должен понять, что способствовалоразвитию болезни, почему начался отек переносицы.
Острый инфекционный ринит
Распространенной причиной, почему появляется отекпереносицы, является воспаление слизистой. Такоепроисходит при остром инфекционном рините.Развитие патологии сопровождается и другимисимптомами.
Кроме того что появляется отек, когда выделения слизистой обонятельного органа высыхают, появляютсякорки, стягивающие слизистую, появляется боль. Попытки самостоятельно удалитькорки приводит к появлению ран, образованию фурункула.
Усложняется дыхание через нос.
Поэтому когда появляется на переносице отек, нужнопроверить состояние органов дыхания. Они близко расположены к переносице, авоспаление в их полости могут спровоцировать сильный отек.
Риниты имеют следующую симптоматику:
- обильные выделения из носа;
- затруднение дыхания, ухудшениеобоняния;
- отек слизистой ткани;
- опухание переносицы;
- повышение температуры тела.
Рекомендуем дополнительно прочитать Отек носа от аллергии
В тех случаях, когда в пазухах развивается гнойныйпроцесс, появляется лихорадка. Во время сна появляется кашель, из-за скопленияслизистых выделений на задней стенке глотки. Отек стремительно развивается из-заувеличения проницаемости сосудов.
Гайморит
Данная патология является одной из разновидностейринита. Болезнь сопровождается заложенностьюноса, воспалением верхнечелюстной пазухиноса, что приводит к тому, что развивается отек. Чаще всего гайморит возникает в холодное время года.
Пациентов могут беспокоить боли на переносице, сильныйотек. Это является реакцией скопления лимфы. Воздействиена пазухи, наклоны головы или надавливание на переносицу увеличивает боль. Наличиеданной симптоматики указывает на необходимостьобратиться за медицинской помощью. Врачи помогут не только убрать отек, но ещеликвидировать его причину.
Фурункул
В некоторых случаях пациенты замечают, что у них опухло внутри носа при воспалении волосяныхфолликулов и появлении фурункулов. Слизистая ткань становится сухой, нарастает боль, развивается отек.
Данным симптомомсопровождается весь период созревания гнойника. После его прорыва состояниепациента улучшается, отек проходит. Патология достаточно опасная, требуетврачебного контроля. Потому что гнойники могут образовываться не только наповерхности кожи, но еще и внутри носа: на крыльях или возле носовой перегородки.
Сильная угревая сыпь
Изменение гормонального баланса характерное дляподросткового возраста проявляется угревой сыпью. Это связано с нарушением функций сальных желез. В результате такихизменений происходит отечность переносицы.

Также данная симптоматика встречается у беременныхженщин. При нормализации уровня гормонов в организме отек переносицысамостоятельно проходит.
Герпес
Пузырьковые образования на губах являются хорошознакомой проблемой для многих людей. Но герпес может появляться на другихчастях тела. Так он встречается на слизистой оболочке носовой полости и ноздрях. Патология встречается при простуде и вирусных заболеваниях.
Ячмень
Среди провоцирующих факторов, которые вызывают отек,распространенной причиной является ячмень. Гнойное воспаление луковицы ресницвызывает отечность тканей, заложенностьносовых проходов. Вначале развития патологии появляется воспаление, вызывающее увеличение пораженныхтканей. После вызревания гной выходит.
Аллергические реакции
В случае, когда появился отек, в первую очередь стоитисключить аллергию. Потому что среди частыхпричин данной патологии аллергия одна из самыхраспространенных.
При аллергическихреакциях начинается скопление лимфы и как результатотек мягких тканей. Разовый контакт с аллергеном может не иметь внешнихпроявлений, но в дальнейшем развиваются негативные реакции. У пациентовпоявляются: слезоточивость, кожный зуд, чихание, сыпь, отечность век.
Травмы
Причиной того что опухла и болит переносица, может быть травма.Они могут быть получены в результате механических повреждений или операций. Так,когда проводится пластика, появляетсяотек напереносице после ринопластики. В случае возникновения осложнения происходит развитие гнойного воспаления.
Причины отечности, при отеке переносицы могут быть разным, поэтому прежде чем начать лечение отека необходимо установить провоцирующий фактор.
Если причина в насморке, то лечится с применением капель. Но когда припухлость развивается по неустановленным причинам необходимо немедленно обратиться к врачу.
После установления точного диагноза индивидуально подирается терапия с применением медикаментозных средств ли народных средств.
Традиционная терапия
После проведения осмотра врачрасскажет, как снятьопухоль переносицы. С насморком борются с помощью сосудосуживающих средств: Санорин, Називин,Мезатон.
Использовать капли можно небольше одной недели. Кроме этих средств, в официальной медицине насморк лечат сприменением физиотерапевтических процедур.
В том случае если насморк непроходит, то может потребоваться дополнительное обследование.
Если причина заключается в аллергии,то терапии проводят антигистаминными препаратами. Курс лечения составляет 10 дней.Используют Тавегил, Зиртек, Цетрин. При вирусных заболеваниях применяютантифлогистические средства: Синупрет, Циннабсин.
Народная медицина
Каждому человеку, столкнувшемуся с данной проблемой важно знать, что делать, если опух нос и переносица. Бороться с проблемой можно с помощью домашних средств.
Существует множество эффективных методов лечения с применением целебных трав, меда, эфирных масел. В народной медицине насморк лечится соком алое, каланхоэ.
Пациентам проводятся ингаляции на основании травяных растворов. При отсутствии ингалятора в емкостьналивают горячую воду и в нее добавляют лечебные компоненты. Больной наклоняет голову над ней и вдыхает лечебныйпар. В полости носа смазывают масломчайного дерева. Оно будет нейтрализовать болезнетворные микроорганизмы и темсамым предотвращать отек переносицы.
Профилактика
Многие люди легкомысленно относятсяк такой проблеме как отек переносицы,и допускают одну и ту же ошибку. Но даже если причины патологии не серьезные, тоони указывают на снижение защитных свойств иммунитета.
Поэтому основнымпрофилактическим мероприятием считается укрепление своего здоровья. С этойцелью необходимо в период обострения простудных заболеваний поддерживатьфункционирование иммунитета.
Оказывает благотворное влияние применениемцелебных травяных отваров, в составе которых есть имбирь.
Предотвратить отек позволяетсвоевременное лечение простудных заболеваний. Также необходимо позаботиться озащите от переохлаждения и закаливании. Не менее полезными будут регулярныепрогулки на свежем воздухе, отказ от вредных привычек. В течение дня применяют«Долфин», «Аквамарис». Также необходимо защищать нос от травм.

С помощью этих простых правил можно избежать воспаления, предотвратить отек носа, опухания переносицы. Стоит помнить, что это коварная патология, способная скрывать различные заболевания. Только своевременная профессиональная помощь способна предотвратить осложнения и проблемы со здоровьем в будущем.
Опухоль в носу и болит кончик носа при надавливании
В жизни человека может случиться всякое, никто не застрахован от травм и болезней. Некоторые из них возникают внезапно, другие развиваются постепенно. Появление болезненных ощущений всегда свидетельствует о наличии проблемы. Опухлость (отек) какой-то части тела – это признак воспаления или повреждения.
Нос тоже может заболеть внутри или снаружи по разным причинам. Среди которых есть достаточно серьезные болезни, требующие немедленного лечения. В ситуации, когда опух нос с одной стороны, надо разбираться совместно с врачом.
Проблема может располагаться внутри носовой полости или снаружи, каждый случай индивидуален.
- 1 Внутренние ситуации
- 2 Наружные причины
- 3 Что делать
Внутренние ситуации
Самыми частыми причинами, из-за которых появляется болезненная опухоль в носу, являются различные воспалительные процессы. Внутренняя часть носовой полости состоит из мягких тканей, костей и хрящей. Они выстланы слизистой оболочкой, в которой проходят кровеносные сосуды и нервы. Обеспечивающие выполнение разных функций носа.
Любое воспаление в носовой полости означает отечность слизистой оболочки из-за повышенного притока крови и увеличения проницаемости сосудов, при этом повышается чувствительность нервных окончаний, появляются болезненные ощущения.
Основные причины, вызывающие опухоль и боль внутри носа:
- Острый ринит инфекционной или аллергической этиологии. Болит обычно при высыхании соплей и нарастании корок, которые стягивают слизистую. Попытки их оторвать могут привести к повреждению и инфицированию стенок, вплоть до формирования фурункула. Нос может распухнуть от постоянного механического трения при высмаркивании, при этом появляются трещины, в которые иногда попадает инфекция.
- Хронический гипертрофический ринит – характеризуется разрастанием слизистой оболочки из-за частых воспалений и постоянного использования сосудосуживающих средств. При этом заболевании часто трескается слизистая, что сопровождается локальной болью.
- Гайморит – опухоль может появиться на щеке около крыла носа, на переносице, под глазом из-за скопления гноя внутри пазухи. При этом пациента беспокоит сильная распирающая боль с одной или обеих сторон в зависимости от локализации процесса. Усиление боли происходит при постукивании, надавливании на пазуху или наклонах головы вперед.
- Фурункул в преддверии или полости носа – чаще бывает один, реже несколько воспаленных волосяных фолликулов, поражается также сальная железа, расположенная рядом. Боль нарастает по мере усиления отека и развития гнойного воспаления. И уменьшается после созревания и прорыва гнойника. Состояние опасное, требует врачебной помощи.
- Новообразования – доброкачественная или злокачественная опухоль, киста. Боли появляются при интенсивном росте или нагноении.
- Инородное тело внутри носовой полости, которое при несвоевременном удалении может способствовать развитию гнойного воспаления.
Наружные причины
Ситуации, при которых нос опухает с одной стороны и болит, часто возникают при травмах (ударах, падениях). И свидетельствуют о переломе костей или сильном ушибе. Переломы нередко приводят к смещению перегородки носа. C дальнейшим нарушением носового дыхания и развитием отдаленных последствий. Другие причины, при которых нос может опухнуть и болеть снаружи и при надавливании:
- герпес – пузырьковые высыпания часто появляются на крыльях носа, его кончике; в преддверии, характеризуются зудом и покалыванием в начале и образованием эрозий в конечной стадии процесса;
- фурункул – кроме внутренней локализации может быть и наружное расположение гнойника на кончике или крыльях органа обоняния и дыхания; причиной является выдергивание волосков, выдавливание прыщей; процесс сопровождается локальным покраснением и сильной болью;
- угревая сыпь у подростков, которая распространяется на крылья носа;
- сифилис – это третичный период инфекции, сначала образуется инфильтрат (твердая опухоль), который потом распадается с разрушением костей носа и пазух;
- ожог или отморожение выступающих частей лица;
- ячмень – воспалительный отек может распространиться на одну сторону пазухи;
- воспаление на корне верхнего зуба (киста, гранулема) – нередко проявляется припухлостью верхней губы, части щеки и носа с одной стороны;
- атерома – доброкачественное опухолевое образование или подкожный жировик с кожным салом внутри; часто располагается в носогубном треугольнике и может увеличивать визуально часть носа с одной стороны; болит при нагноении из-за неправильного выдавливания.
Так же будет интересно: Что делать с аденоидами в носу у детей?
Что делать
В связи с большим разнообразием причин, которые вызывают припухлость и болезненность носа с одной или обеих сторон, в каждом непонятном случае следует обращаться к врачу.
Оториноларинголог проводит визуальный осмотр, после чего уже может поставить диагноз. В непонятных случаях на помощь приходит КТ (компьютерная томография), МРТ или рентгенография. При травмах головы и лица следует немедленно обратиться к хирургу.
Подозрение на фурункул – это тоже прямое показание для обращения в лечебное учреждение.

Ни в коем случае не следует заниматься самолечением, ковырять и выдавливать содержимое гнойника. Фурункул опасен развитием абсцесса и тромбозом кавернозных синусов головного мозга.
Самостоятельно допускается лечить простуду при легком течении заболевания. Болезненные воспалительные инфильтраты снаружи носа можно смазывать водкой или спиртовым раствором календулы. Принимать антибиотики или другие средства системного воздействия следует по назначению врача.
Из видео вы узнаете, что при опухании носа помогает носовая дыхательная гимнастика по Ибрагимову:
Опухла переносица — в чем может быть причина?
Отеком принято называть подкожное скопление жидкости, спровоцированное повышенной проницаемостью кровеносных сосудов, наличием воспалительных процессов, а также механическим повреждением, например, после ушиба.
Ситуации, когда у ребенка или у взрослого опухла переносица, могут сопровождаться не только изменением внешнего вида пациента, но и ухудшением носового дыхания, что в свою очередь опасно повышенным риском осложнений.
Определить степень риска и необходимость проведения лечения может только отоларинголог после тщательного осмотра пациента.
Консультация и осмотр врачом самой переносицы считаются обязательными, если она не только опухла, но и болит.
Механизм развития
Отек слизистой оболочки переносицы возможен как следствие защитной реакции организма против воздействия раздражающих факторов.
Это могут быть чужеродные предметы, попавшие внутрь по неосторожности, вредоносные бактерии, результат хирургического вмешательства, а также инфекции.
В каждом из случаев наблюдается нарушение целостности (проницаемости) кровеносных сосудов, а значит, увеличивается прилив крови.
Причины и соответствующие симптомы
Поскольку причины отека могут быть самыми разными, то и симптомы их проявления отличаются между собой. Таким образом, сама патология может быть спровоцирована:
- Гайморитом, при котором наблюдается опухание не только на переносице, но также на крыльях носовых пазух и возле глаз. При нажатии на опухшие места пациент может ощущать усиливающуюся боль. Основной причиной тому служит скапливающийся гной внутри самих пазух.
- Ринитом (в острой форме инфекционного поражения), при котором носовая полость может опухнуть полностью. При этом у самого пациента наблюдается проявление боли в области носа, чрезмерное слезотечение, приступы чихания, а также повышение температуры тела. Отсутствие своевременного лечения может привести к образованию фурункулов и болезненных трещинок.
- Наличием образований (доброкачественного или злокачественного типа). Это могут быть, как полые кистозные образования с внутренним жидким содержимым, так и опухоли, продуцирующие раковые клетки. Нередко кроме опухания заболевание сопровождается болью только на поздних стадиях развития патологии (когда опухоль увеличивается в размерах и оказывает давление на соседние ткани и органы).
- Одним или несколькими фурункулами, которые являются результатом воспаления сальных желез или волосяных фолликулов. В таких случаях необходимо своевременное хирургическое вмешательство. Наличие фурункулов может сопровождаться зудом и болью при нажатии.
- Чрезмерной угревой сыпью в области носа, сопровождающейся зудом и болью.
- Наличием многочисленных герпесных высыпаний, отличающихся болезненным покалыванием в области поражения.
- Попаданием чужеродного предмета внутрь носовых пазух, что в свою очередь обуславливает накопление гнойных выделений и боли при нажатии на сам отек.
- Воспалениями вокруг глаз, например, ячменем, что при отсутствии лечения провоцирует опухание.
- Сифилисом, который опасен риском разрушения костного основания носовой полости, сопровождающегося болезненными воспалениями.
- Риносинуситом, при котором характерны потеря обоняния, повышение температуры тела и наличие слизисто-гнойных выделений из носа.
- Проявлением аллергической реакции организма на косметику, пыльцу, цветение, что дополняется повышенной слезоточивостью, затруднением дыхания и покраснениями в области глаз. Наличие аллергии на что-либо из окружающей среды не сопровождается проявлением боли, что является ее отличительной характеристикой при диагностике самого нарушения.
- Анатомическими особенностями строения носовых пазух и переносицы, а также возможными перенесенными травмами, такими как ушибы и переломы. Часто происходит именно после удара в область переносицы. В таких случаях нередко наблюдается болезненность поврежденного участка, а также невозможность полноценного дыхания.
- Нарушениями в работе почек. В таких случаях характерно изменение окраса и объема выделяемой мочи, наличие болей в поясничном отделе, а также повышение температуры тела. Сам пациент также может жаловаться на отсутствие аппетита.
К опуханию может привести неконтролируемое использование сосудосуживающих капель для носа, проявление гормональной дисфункции, нарушения в работе сердечно-сосудистой системе, а также чрезмерное употребление алкогольных напитков.

Нередко временный отек на переносице наблюдается после ринопластики (проведение пластической операции по исправлению или восстановлению носа).
При данной патологии нередко пациент может жаловаться на чрезмерную сухость и жжение в носу и потерю чувствительности к запахам.
Диагностика
Только правильно установленная причина отека позволит врачу адекватно оценить степень развития патологии и назначить наиболее эффективное лечение. Для этого специалист должен осмотреть переносицу, а также направить пациента на:
- сдачу анализа крови (общий и биохимию);
- проведение аллергопроб;
- проведение исследования посева из носа;
- сдачу анализов мочи по методике Зимницкого и Нечипоренко;
- томографию;
- ультразвуковое обследование почек;
- риноскопию;
- рентгенографию.
Только после получения результатов обследования врач сможет провести правильную диагностику патологии и назначить соответствующее лечение. Как правило, дополнительные анализы позволяют исключить наличие более серьезных заболеваний. Особенно это касается наличия онкологических образований, а также нарушений в сердечно-сосудистой и почечной системах.
Методы лечения
Подбор эффективных терапевтических методов напрямую зависит от причин, из-за которых наблюдается сама отечность. Прежде чем начать прием медикаментов и проведение процедур, пациент должен проконсультироваться с травматологом, который сможет правильно оценить степень повреждения мягких тканей и самой кости.
Как правило, к общему комплексу лечения дополнительно назначается прием обезболивающих и противоотечных препаратов. Это поможет облегчить состояние пациента и ускорить процесс его восстановления.
При наличии фурункулов, ринита или гайморита отек снимает прием специальных противовоспалительных препаратов в дополнении к антибиотикам. В случаях диагностики аллергической реакции организма на раздражающие факторы эффективным снимающим отечность препаратом считается Лоратадин, Диазолин или же Супрастин.
Чтобы снять припухлость переносицы при герпесном поражении кожи врач может порекомендовать прием противовирусных медикаментов в комплексе с эффективными диуретиками (улучшающими работу почек) и противовоспалительными препаратами растительного происхождения.
При лечении ячменя не лишним будет ополаскивания носовой полости раствором соли с чистой водой в соотношении половина чайной ложки соли на 250 мл жидкости. Если опухлость носа является следствием ОРВИ, пациенту назначаются сосудосуживающие капли для носа, например, Нафтизин, Отривин или Нокспрей.
Анатомические нарушения в строении носа подлежат исправлению только оперативным путем.
Отек переносицы у ребенка
Наблюдение отека у ребенка является веской причиной для незамедлительного обращения к врачу. Среди основных причин проявления патологии следует выделить:
- появление возвратных прыщей и угревой сыпи в области носовых пазух;
- формирование полых кистозных образований и воспалительных гранулем, при которых отек распространяется на щеку);
- нарушения в функционировании аденоидов.
Опухлость также может стать результатом перенесенной травмы или следствием обморожения после длительной прогулки на открытом воздухе в сильный мороз. Аллергическая реакция на цветение или пыльцу также не является исключением при диагностике причины опухлости у ребенка. Своевременная помощь позволит избежать осложнений и быстрее восстановить полноценное дыхание.
Возможное лечение
Прием каких-либо аптечных препаратов и средств из народной медицины, а также их допустимая дозировка, должны заранее обсуждаться с лечащим врачом.
Это касается и специальных противоотечных гелей и мазей, которые не допускаются для использования детям, младше 14 лет.
Из допустимых терапевтических методов следует выделить:
- промывание носовой полости антисептическим препаратов (2 таблетки Фурацилина на стакан остывшей кипяченой воды), которое позволит предотвратить развитие инфекции;
- прикладывание холодных компрессов (лед, завернутый в чистое полотенце) для устранения боли в области ушиба;
- косметические ватные диски, которые нужно сначала смочить в перекиси водорода и сложить трубочкой, а затем вставить в ноздри, чтобы прекратить кровотечение.
При наличии рвоты, тошноты и головокружения ребенку нужна неотложная помощь врача, поэтому необходимо как можно раньше вызвать скорую. Терапия ринита должна полностью соответствовать рекомендациям лечащего врача.
Из противоалергенных средств специалист может порекомендовать прием Супрастина, Кларитина или Тавегила.
Сам маленький пациент должен также употреблять полезную пищу, комплекс витаминов и пройти обязательные процедуры закаливания.
Опух нос с одной стороны
В жизни человека может случиться всякое, никто не застрахован от травм и болезней, некоторые из них возникают внезапно, другие развиваются постепенно. Появление болезненных ощущений всегда свидетельствует о наличии проблемы.
Опухлость (отек) какой-то части тела – это признак воспаления или повреждения.
Нос тоже может заболеть внутри или снаружи по разным причинам, среди которых есть достаточно серьезные болезни, требующие немедленного лечения.
В ситуации, когда опух нос с одной стороны, надо разбираться совместно с врачом. Проблема может располагаться внутри носовой полости или снаружи, каждый случай индивидуален.
6 комментариев
Если с наружи пошел отек носа,а в нутри нет признаков воспаления-это проявление герпеса.

Ацикловир решил проблему за пару дней!
Ацикловир таблетка через 4часа ,после 3таблетки к носу уже можно было дотрагиваться,
Все верно,герпес полюбому!
Ацикловир(как подсказали предыдущий комент) таблетка через 4часа и на третий приём можно к носу было дотронуться!
херня полная…ничего дельного)
У меня опух левый стороны носа не ставо не всего что это может быть
Болит внутри носа и снаружи: причины. Чем лечить?
Многие люди сталкиваются с тем, что иногда болит нос. Какое то время они могут игнорировать эту проблему, надеясь, что все самостоятельно пройдет.
Но иногда чуда не случается и дискомфорт остается или становится настолько сильным, что толкает человека предпринимать определенные меры.
Что же можно сделать в подобных ситуациях и когда все же стоит идти к врачу?
Причины боли в носу: почему болит нос?
Дискомфорт в носу встречается достаточно часто. Вызывать его способны заболевания инфекционного характера:
Ринит (насморк)
В подавляющем большинстве случаев он становится результатом бактериальной или вирусной инфекции, вследствие чего возникает воспаление и отек слизистой оболочки.
Это сопровождается возникновением чувства заложенности и появлением выделений прозрачного, желтоватого или зеленого цвета.
В таких ситуациях обычно болят ноздри от частого применения платков, салфеток или натирания пальцами.
Также неприятные ощущения могут возникнуть внутри из-за прикладывания слишком больших усилий для высмаркивания.
Но иногда диагностируется медикаментозный и гипертрофический ринит. В таких ситуациях больные жалуются, что в носу все опухло и болит вследствие сильной отечности мягких тканей.
Сифилис
Опасное инфекционное заболевание, способное при отсутствии правильного лечения привести к уродствам и летальному исходу.
В результате деятельности патогенных бактерий происходит разрушение мягких тканей и костей, что и объясняет то, почему болит нос внутри.
Воспалительный процесс в верхнечелюстных пазухах, в тяжелых ситуациях сопровождающийся образованием и накоплением гноя.
Он давит на стенки синуса, что и провоцирует появление дискомфорта. Как правило, это сопровождается присоединением жара, слабости, головных болей.
Для которой типично образование небольших пузырьков на слизистых оболочках. В отличие от распространенного мнения, его проявления могут локализоваться не только на губах, но и в носовой полости, а также на половых органах.
Воспаление хряща (перихондрит)
Инфекционное заболевание, возникающее на фоне травмы. На первых порах оно может никак себя не проявлять, но со временем способна сформироваться болезненная шишка в носу, заполненная гноем.
Также толчком для появления дискомфорта могут служить:
Травмы
Одна из распространенных причин возникновения проблемы, особенно у детей. Вследствие засовывания в естественные отверстия посторонних предметов, частого ковыряния пальцами или после удара слизистая травмируется, что нередко сопряжено с образованием гематомы.
Фурункулез и сикоз
Заболевания, сопровождающиеся формированием гнойников разного размера. Фурункул может образовываться на любых участках слизистой оболочки, во втором же воспаляется луковица волоска, и прыщ располагается у его основания.
В таких ситуациях обычно присутствует боль в ноздре, но нет насморка и других признаков инфекционных патологий.
Причиной дискомфорта обычно служит сильно выраженная отечность мягких тканей, выстилающих носовую полость изнутри.
Невралгия
Воспаление носоресничного или тройничного нерва. Для патологии типично возникновение дискомфорта не только в носовой полости, но и в области челюсти, лба и т.д.
При этом он обычно появляется или усиливается по ночам, также больные нередко жалуются на то, что стреляет в носу и отдает в голову.
Значительно реже корень проблемы кроется в стрептодермии. Обычно это заболевание диагностируется у ребенка.
Для него типично покраснение слизистой и образование на ней пузырей с мутной жидкостью разного размера. Вскоре волдыри лопаются, на их месте формируются раны и корочки, которые сильно зудят, особенно при вдохе.
Если расчесывать ранки, патогенные микроорганизмы будут попадать на здоровые участки кожи и вызывать их поражение.
Поэтому нередко волдыри изначально образуются с одной стороны, но из-за неправильного ухода и постоянного расчесывания постепенно распространяются на достаточно большие площади.
Болит внутри носа при нажатии
Нередко дискомфорт присутствует не постоянно, а лишь при надавливании. Причиной этого обычно служит та или иная болячка внутри носа, что типично для:
- фурункулеза;
- сикоза;
- герпеса;
- кисты или другого новообразования.
Но если во всех этих случаях дискомфорт возникает в основном внутри носовой полости, то когда болит нос при надавливании сбоку снаружи, следует однозначно заподозрить гайморит.
Это обусловлено тем, что именно тут локализованы придаточные пазухи. Дополнительно больные жалуются на чувство, что в области синусов пульсирует кровь.
Неминуемо это сопровождается мигренями и лихорадкой. Также дискомфорт усиливается при наклоне вниз, постоянно держится повышенная температура, которую сбить очень проблематично.
Болит перегородка в носу
Самой распространенно причиной того, что болит носовая перегородка, является травма. Зачастую она изначально кровоточит с разной интенсивностью, а впоследствии отделяются сгустки крови.
Если травма несерьезная, боль будет ощущаться только при надавливании. После сильных ударов неминуемо будет присутствовать выраженный постоянный дискомфорт, что требует консультации специалиста.
Значительно реже носовая кость болит из-за воспаления хряща, что также может быть последствием травмы.
Болит нос при насморке
Нередко болевые ощущения возникают непосредственно при высмаркивании. Это связано с приложением чрезмерно больших усилий для очищения носовых ходов от скоплений слизи, затрудняющей дыхание, и травмированием мягких тканей и кровеносных сосудов.
Чтобы подобных ситуаций не возникало, следует уметь правильно сморкаться. Для этого достаточно закрыть пальцем одну ноздрю и со средней силой выдуть воздух через противоположную. Затем процедуру повторяют, зажав вторую ноздрю.
Тем не менее также часто причиной дискомфорта служит гайморит. Заподозрить его наличие следует, если сильно болит нос и голова.
Это требует обращения к ЛОРу, который подберет оптимальную терапию или инвазивные методы лечения.
Болит под носом при нажатии
Если пациент жалуется на то, что колет над верхней губой при надавливании, в первую очередь следует заподозрить поражение десен и периодонтит, то есть воспаление верхушек корней зубов. Нередко это сопровождается образованием кист, которые могут быть заполнены гнойным содержимым.
Это нередко становится причиной развития одонтогенного гайморита. При нем будут присутствовать все характерные для этой патологии признаки, но традиционное консервативное лечение не даст результатов, так как основной источник инфекции, зуб, будет оставаться.
В подобных ситуациях возле зуба может обнаруживаться свищ или припухлость, но они наблюдаются не всегда. Поэтому для уточнения диагноза и проведения соответствующего лечения требуется обратиться к стоматологу.
Когда нужно обращаться к врачу для диагностики?
Если неприятные ощущения сохраняются в течение продолжительного времени, это является поводом для обращения к ЛОРу. Также как можно скорее посетить врача требуется при появлении кровотечений.
Для опытного отоларинголога постановка диагноза обычно не вызывает особых затруднений, так как в большинстве ситуаций достаточно информации, полученной от пациента, и проведения риноскопии.

Эти данные позволяют если не сразу же установить причину того, почему возникает боль в носу при нажатии или в состоянии покоя, то предположить ее.
Чтобы развеять оставшиеся сомнения, может потребоваться дополнительный спектр исследований. Какая потребуется диагностика в каждом случае врач решает индивидуально.
Это может быть:
- рентгенография;
- компьтерная томография (КТ);
- МРТ;
- УЗИ;
- биопсия с последующим гистологическим исследованием.
Что делать при болях в носу? Какие меры предпринять?
Если болит нос внутри, что делать для снятия неприятных ощущений каждому пациенту подскажет врач.
Но в большинстве случаев назначаются препараты группы НПВС (Панадол, Ибупрофен, Нурофен, Имет, Найз, Нимесил, Парацетамол), которые не только купируют болевые приступы, но и нормализуют температуру тела.
Они на время купируют приступ, но являются лишь средством симптоматической терапии. Поэтому могут использоваться лишь в качестве временной помощи.
Ни в коем случае нельзя самовольно начинать прогревания. При серьезной бактериальной инфекции это способно привести к тяжелым последствиям и заражению крови (сепсису).
Чтобы навсегда избавиться от дискомфорта, следует найти причину его возникновения. С этой задачей способен справиться только доктор, поэтому рекомендуется обратиться к отоларингологу как можно скорее.
Когда же болевой синдром вызван травмой, то в первую очередь следует приложить к месту повреждения холод и наложить сухую стерильную повязку.
После остановки кровотечения оценивают ситуацию: при обнаружении симптомов перелома или вывиха больного обязательно в срочном порядке нужно доставить в травмпункт.
Чем лечить? Применение медикаментозных препаратов
Характер назначаемой терапии зависит от причины возникновения дискомфорта. Если у пациента имеется насморк и предполагается простуда или гайморит, ему рекомендуют:
местные (Изофра, Полидекса, Ринил) и системные антибиотики (Аугментин, Оспамокс, Флемоксин Солютаб, Азитромицин, Хемомицин, Сумамед), но только если подтверждается бактериальная природа заболевания, что обычно проявляется выделением зеленоватой слизи и сохранением повышенной температуры тела более 3 дней;
сосудосуживающие капли и спреи, способные использоваться не более 7 дней и показанные для ликвидации отечности и заложенности;ирригационную терапию, т.е.
промывание носовых ходов солевыми растворами (Хьюмер, физраствор, Аквалор, Аквамарис, Физиомер, Но-соль, Маример);
гомеопатические препараты (Синупрет, Циннабсин), способствующие повышению иммунитета, нормализации состояния сосудов и скорейшему выздоровлению;
антигистаминные средства (Зодак, Кларитин, Тавегил, Эдем, Эриус, Супрастин) показаны для предупреждения появления признаков аллергии на фоне применения антибиотиков, а также при аллергическом рините;
местные кортикостероиды (Назонекс, Фликсоназе, Беконазе) назначаются при гайморите для устранения ярко выраженного воспалительного процесса.
Когда же болит нос внутри, насморка нет, а общее состояние не ухудшено, можно предположить наличие герпетической инфекции.
Традиционно «простуда» внутри носа может и не лечиться, так как в течение двух недель полностью проходит самостоятельно.
Но для ускорения выздоровления можно помазать прыщик специальной мазью, например Герпевиром, или принимать внутрь противовирусные: Арбидол, Ацикловир, Кагоцел и т.д.
Также к числу того, чем помазать «простуду», относятся подсушивающие и увлажняющие лекарства: цинковая мазь, облепиховое и другие масла.
При фурункулезе обязательно потребуется использование местных и системных антибиотиков. На участки, пораженные высыпаниями, наносят Левомеколь, тетрациклиновую мазь, внутрь показан прием антибиотиков широкого спектра действия.
Механические повреждения слизистой оболочки обрабатывают ранозаживляющими средствами:
- метилурациловой мазью;
- Солкосерилом;
- Бепантеном;
- препаратами на основе гепарина (Лиотон, Гепатромбин, Гепароид).
Все это помогает ликвидировать предпосылки появления болевого синдрома, а также вернуть человеку здоровье и хорошее самочувствие.
Народные средства
В большинстве случаев средства народной медицины могут использоваться исключительно при вирусном или бактериальном рините. В остальных ситуациях они способны только навредить.
Обычно больным рекомендовано промывание носовых ходов отварами и настоями лекарственных трав, к примеру, цветков ромашки, травы череды, тысячелистника и т.д. Также можно применять:
- сок каланхоэ, который вводят в каждую ноздрю по 1–2 капли несколько раз в день;
- сок свеклы, разбавленный кипяченой водой, который закапывают в носовые ходы по 2 капли до 3 раз в сутки;
- ментоловое масло, вводимое по 3–4 капли несколько раз в день.



