При воспалении в альвеолах скапливается жидкость.
Наиболее грозным осложнением пневмонии является отек легких. Состояние относится к угрожающим жизни, поэтому важно знать, как его выявить и лечить.
Пневмония – это довольно распространенное заболевание, как правило, встречаемое осенне-зимний период и характеризуемое значительным поражением легочной ткани. У этой патологии может развиться целый ряд осложнений, в их число входит абсцесс, эмпиема плевры, сепсис, инфекционный эндокардит и собственно отек легких. Данное осложнение носит особо опасный характер, т. к. при несвоевременно оказанной медицинской помощи приводит к летальному исходу.
Отек легких при пневмонии обусловлен выходом жидкой части крови из сосудистого русла в легочную ткань, что будет сопровождаться острой дыхательной недостаточностью, снижением содержания кислорода в крови, нарастающей одышкой и цианозом.
Патогенез
Стенка легочных альвеол обладает определенным уровнем проницаемости. При развитии воспалительных процессов в легочной ткани проницаемость альвеолярной стенки начинает повышать, что приводит к выходу жидкой части плазмы из кровяного русла.
На начальном этапе патологического процесса усиленное движение транссудата нивелируется обратным всасыванием жидкости стенками альвеол и поступлением её обратно в кровеносное русло. Данный этап описывается как интерстициальная фаза отека.
Альвеолярная стадия. Дальнейшее попадание коллоидной части плазмы в просвет альвеол и её контакт с воздухом приводит к формированию пены, которая мешает поглощению кислорода и приводит к нарушению газообмена.
Из-за снижения содержания кислорода в крови компенсаторно развивается одышка, из-за которой снижается внутригрудное давление, а это, в свою очередь, ведет к повышению притока крови в правые отделы сердца. Повышенное давление в малом круге кровообращения усиливает транссудацию в просвет альвеол, что замыкает порочный круг данного патологического процесса.
Причины
Пневмония – это полиэтиологическое заболевание, вызываемое целым рядом патогенных факторов (Подробней читайте тут). Чаще всего этот процесс развивается при пневмококковой инфекции. Пневмококк обладает высокой тропностью к легочной ткани и, как правило, при бактериальном анализе мокроты большинства пациентов больных высеивается именно эта бактерия.
Среди менее распространенных возбудителей необходимо отметить стафилококк, клебсиелу пневмонии, синегнойную палочку, легионеллу, хламидии или микоплазму.
Особую опасность для пациентов представляет аспирационная пневмония. Эта разновидность заболевания наблюдается у психически больных пациентов, алкоголиков и наркоманов.
Когда человек находится в бессознательном состоянии, вследствие наркотического и алкогольного опьянения существует высокая вероятность заброса желудочного сока в дыхательные пути. Соляная кислота крайне негативно воздействует на легочную ткань и способствует развитию тяжелой формы пневмонии, которая плохо поддается лечения.
Необходимо добавить, что иногда пневмония и отек легких меняются своими ролями. Например, при развитии кардиального отека легких может вторично присоединяется инфекция, поражающая легочную ткань и развивающаяся в пневмонию.
Симптомы
Отек легких при пневмонии развивается не сразу, ему могут предшествовать ряд других симптомов, которые характерны для острой легочной инфекции. Больные, страдающие от пневмонии, в основном, жалуются на повышение температуры, кашель с отхождением мокроты, чувство дискомфорта в груди. По мере прогрессирования инфекционного процесс добавляются признаки дыхательной недостаточности.
Затруднение дыхания обусловлено и сужением бронхов.
При острой пневмонии больной может не сразу заметить нарушения респираторной функции. Дыхательная недостаточность развивается постепенно, начинается с кашля, чувство удушья и дискомфортом в груди. Чтобы снизить нагрузку на дыхательные мышцы и обеспечить себе большое поступление кислорода, больной принимает сидячее положение с опорой руками на колени или спинку стула.
При физикальном обследовании можно зафиксировать повышение частоты дыхательных движений до 40 и более в минуту, учащенный сердечный ритм, повышение артериального давления. Аускультативно в легких в интерстициальной фазе отека выслушиваются сухие хрипы.
Когда патологический процесс переходит в альвеолярную стадию начинает нарастать одышка, визуально пациент начинает синеть, сначала губы, уши, кончик носа, а остальные участки кожных покровов. В связи с нарастанием давления в малом круге кровообращения можно увидеть пульсацию шейных вен.
Хрипы приобретают влажный характер, и их удается услышать на расстоянии от пациента. Во время акта дыхания или при кашле изо рта больного отходит розовая пена. Специфический оттенок обусловлен выходом эритроцитов из кровяного русла в альвеолярную полость.
Интоксикационный синдром, характерный для этого заболевания, проявляется резким повышением температуры до фебрильных цифр, ознобом, общей слабостью тошнотой и потливостью. При распространении инфекции могут наблюдаться симптомы менингита, энцефалита, миокардита и т. д.
При выраженной дыхательной недостаточности развивается общая гипоксия. Из-за сниженного поступления кислорода в ткани начинают страдать жизненно важные органы (головной мозг, сердце), что может приводить к необратимым осложнениям с их стороны. Резкое снижение мозгового кровообращения приводит к головокружению, потере сознания и летальному исходу.
Диагностика
Правильная диагностика отека легких возможна только при комбинированном подходе с использованием физикальных, инструментальных и лабораторных методов исследований. В зависимости от стадии прогрессирования отека характеристика газового состава крови будет меняться.
На начальном этапе в крови будет фиксироваться невыраженная гиперкапния, затем по мере нарастания дыхательной недостаточности парциальное давление углекислого газа в крови будет расти.
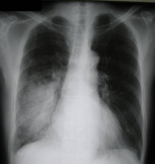
На фото рентгеновских снимок, на котором легкие с воспалением.
При оценке кислотно-основного состояния в крови отмечаются признаки респираторного алкалоза. При катетеризировании магистральных вен можно также зафиксировать повышение давления в венозном русле. При нарастающем отеке легких центральное венозное давление будет повышать более 11 см. вод .ст.
При общем анализе крови можно увидеть признаки характерные для острого инфекционного процесса. У таких больных будет повышение уровня лейкоцитов, СОЭ и сдвиг лейкоцитарной формулы влево.
Читайте также:
Показатели соэ в крови при пневмонии
При повышении давления в малом круге кровообращения рентгенологически будет отмечаться расширение размеров сердца, особенно. Также на рентгенограмме можно обнаружить участки затемнения, соответствующие очагу инфекции.
На видео в этой статье подробно рассказано про воспаление легких и про меры профилактики отека.
Лечение
Необходимо понимать, что отек легких – это тяжелое осложнение пневмонии, угрожающее жизни, поэтому цена промедления может стоить человеку жизни. Лечение данного состояния должно проводиться в условиях отделения интенсивной терапии.
Врач первым делом придает больному сидячее положение или приподнять головной конец кровати. В старых руководствах по лечению рекомендовалось надевать жгут на конечности, чтобы снизить поступление крови в легочную ткань, а также применять кровопускание. На сегодняшний день от этой тактики было решено отказать в пользу более современных методов лечения.
Поскольку при отеке легких наблюдается выраженная гипоксия, крайне важно обеспечить пациенту адекватное поступление кислорода. Для здорово человека дыхание чистым кислородом может неблагоприятно воздействовать на организм, однако, в условиях неотложной помощи с больным с выраженной гиперкапнией это жизненно необходимо.
Для снижения выраженности пенообразования использую этиловый спирт. Его можно добавлять в небулайзер или просто смочить вату, а затем положить её в дыхательную маску.
Наркотические анальгетики используют для снижения активности дыхательного центра и урежения частоты дыхания. Если цифры давления позволяют, то можно назначить пациенту диуретические препараты. Согласно инструкции, диуретики по типу фуросемида позволяют быстро снизить объем циркулирующей крови и уменьшить давление в венозном русле.
Нужно помнить, что при развитии первых симптомов отека легких следует сразу вызывать бригаду скорой помощи, так как пациент подлежит лечению в отделении реанимации.
Читать далее…
При воспалении в альвеолах скапливается жидкость.
Наиболее грозным осложнением пневмонии является отек легких. Состояние относится к угрожающим жизни, поэтому важно знать, как его выявить и лечить.
Пневмония – это довольно распространенное заболевание, как правило, встречаемое осенне-зимний период и характеризуемое значительным поражением легочной ткани. У этой патологии может развиться целый ряд осложнений, в их число входит абсцесс, эмпиема плевры, сепсис, инфекционный эндокардит и собственно отек легких. Данное осложнение носит особо опасный характер, т. к. при несвоевременно оказанной медицинской помощи приводит к летальному исходу.
Отек легких при пневмонии обусловлен выходом жидкой части крови из сосудистого русла в легочную ткань, что будет сопровождаться острой дыхательной недостаточностью, снижением содержания кислорода в крови, нарастающей одышкой и цианозом.
Патогенез
Стенка легочных альвеол обладает определенным уровнем проницаемости. При развитии воспалительных процессов в легочной ткани проницаемость альвеолярной стенки начинает повышать, что приводит к выходу жидкой части плазмы из кровяного русла.
На начальном этапе патологического процесса усиленное движение транссудата нивелируется обратным всасыванием жидкости стенками альвеол и поступлением её обратно в кровеносное русло. Данный этап описывается как интерстициальная фаза отека.
Альвеолярная стадия. Дальнейшее попадание коллоидной части плазмы в просвет альвеол и её контакт с воздухом приводит к формированию пены, которая мешает поглощению кислорода и приводит к нарушению газообмена.
Из-за снижения содержания кислорода в крови компенсаторно развивается одышка, из-за которой снижается внутригрудное давление, а это, в свою очередь, ведет к повышению притока крови в правые отделы сердца. Повышенное давление в малом круге кровообращения усиливает транссудацию в просвет альвеол, что замыкает порочный круг данного патологического процесса.
Причины
Пневмония – это полиэтиологическое заболевание, вызываемое целым рядом патогенных факторов (Подробней читайте тут). Чаще всего этот процесс развивается при пневмококковой инфекции. Пневмококк обладает высокой тропностью к легочной ткани и, как правило, при бактериальном анализе мокроты большинства пациентов больных высеивается именно эта бактерия.
Среди менее распространенных возбудителей необходимо отметить стафилококк, клебсиелу пневмонии, синегнойную палочку, легионеллу, хламидии или микоплазму.
Особую опасность для пациентов представляет аспирационная пневмония. Эта разновидность заболевания наблюдается у психически больных пациентов, алкоголиков и наркоманов.
Когда человек находится в бессознательном состоянии, вследствие наркотического и алкогольного опьянения существует высокая вероятность заброса желудочного сока в дыхательные пути. Соляная кислота крайне негативно воздействует на легочную ткань и способствует развитию тяжелой формы пневмонии, которая плохо поддается лечения.
Необходимо добавить, что иногда пневмония и отек легких меняются своими ролями. Например, при развитии кардиального отека легких может вторично присоединяется инфекция, поражающая легочную ткань и развивающаяся в пневмонию.
Симптомы
Отек легких при пневмонии развивается не сразу, ему могут предшествовать ряд других симптомов, которые характерны для острой легочной инфекции. Больные, страдающие от пневмонии, в основном, жалуются на повышение температуры, кашель с отхождением мокроты, чувство дискомфорта в груди. По мере прогрессирования инфекционного процесс добавляются признаки дыхательной недостаточности.
Затруднение дыхания обусловлено и сужением бронхов.
При острой пневмонии больной может не сразу заметить нарушения респираторной функции. Дыхательная недостаточность развивается постепенно, начинается с кашля, чувство удушья и дискомфортом в груди. Чтобы снизить нагрузку на дыхательные мышцы и обеспечить себе большое поступление кислорода, больной принимает сидячее положение с опорой руками на колени или спинку стула.
При физикальном обследовании можно зафиксировать повышение частоты дыхательных движений до 40 и более в минуту, учащенный сердечный ритм, повышение артериального давления. Аускультативно в легких в интерстициальной фазе отека выслушиваются сухие хрипы.
Читайте также:
Комплекс упражнений для больных пневмонией
Когда патологический процесс переходит в альвеолярную стадию начинает нарастать одышка, визуально пациент начинает синеть, сначала губы, уши, кончик носа, а остальные участки кожных покровов. В связи с нарастанием давления в малом круге кровообращения можно увидеть пульсацию шейных вен.
Хрипы приобретают влажный характер, и их удается услышать на расстоянии от пациента. Во время акта дыхания или при кашле изо рта больного отходит розовая пена. Специфический оттенок обусловлен выходом эритроцитов из кровяного русла в альвеолярную полость.
Интоксикационный синдром, характерный для этого заболевания, проявляется резким повышением температуры до фебрильных цифр, ознобом, общей слабостью тошнотой и потливостью. При распространении инфекции могут наблюдаться симптомы менингита, энцефалита, миокардита и т. д.
При выраженной дыхательной недостаточности развивается общая гипоксия. Из-за сниженного поступления кислорода в ткани начинают страдать жизненно важные органы (головной мозг, сердце), что может приводить к необратимым осложнениям с их стороны. Резкое снижение мозгового кровообращения приводит к головокружению, потере сознания и летальному исходу.
Диагностика
Правильная диагностика отека легких возможна только при комбинированном подходе с использованием физикальных, инструментальных и лабораторных методов исследований. В зависимости от стадии прогрессирования отека характеристика газового состава крови будет меняться.
На начальном этапе в крови будет фиксироваться невыраженная гиперкапния, затем по мере нарастания дыхательной недостаточности парциальное давление углекислого газа в крови будет расти.
На фото рентгеновских снимок, на котором легкие с воспалением.
При оценке кислотно-основного состояния в крови отмечаются признаки респираторного алкалоза. При катетеризировании магистральных вен можно также зафиксировать повышение давления в венозном русле. При нарастающем отеке легких центральное венозное давление будет повышать более 11 см. вод .ст.
При общем анализе крови можно увидеть признаки характерные для острого инфекционного процесса. У таких больных будет повышение уровня лейкоцитов, СОЭ и сдвиг лейкоцитарной формулы влево.
При повышении давления в малом круге кровообращения рентгенологически будет отмечаться расширение размеров сердца, особенно. Также на рентгенограмме можно обнаружить участки затемнения, соответствующие очагу инфекции.
На видео в этой статье подробно рассказано про воспаление легких и про меры профилактики отека.
Лечение
Необходимо понимать, что отек легких – это тяжелое осложнение пневмонии, угрожающее жизни, поэтому цена промедления может стоить человеку жизни. Лечение данного состояния должно проводиться в условиях отделения интенсивной терапии.
Врач первым делом придает больному сидячее положение или приподнять головной конец кровати. В старых руководствах по лечению рекомендовалось надевать жгут на конечности, чтобы снизить поступление крови в легочную ткань, а также применять кровопускание. На сегодняшний день от этой тактики было решено отказать в пользу более современных методов лечения.
Поскольку при отеке легких наблюдается выраженная гипоксия, крайне важно обеспечить пациенту адекватное поступление кислорода. Для здорово человека дыхание чистым кислородом может неблагоприятно воздействовать на организм, однако, в условиях неотложной помощи с больным с выраженной гиперкапнией это жизненно необходимо.
Для снижения выраженности пенообразования использую этиловый спирт. Его можно добавлять в небулайзер или просто смочить вату, а затем положить её в дыхательную маску.
Наркотические анальгетики используют для снижения активности дыхательного центра и урежения частоты дыхания. Если цифры давления позволяют, то можно назначить пациенту диуретические препараты. Согласно инструкции, диуретики по типу фуросемида позволяют быстро снизить объем циркулирующей крови и уменьшить давление в венозном русле.
Нужно помнить, что при развитии первых симптомов отека легких следует сразу вызывать бригаду скорой помощи, так как пациент подлежит лечению в отделении реанимации.
Редактор
Наталья Лебедева
Врач-пульмонолог
Отёк легких – это острое состояние, которое характеризуется выходом жидкой части крови из сосудистого русла, сначала в межуточную ткань, а затем и в альвеолы легких, что в последствии приводит к нарушению вентиляционной и дыхательной функций.
Появление жидкости в легких является самым грозным и опасным осложнением пневмонии, особенно это касается пожилых людей. По разным данным процент встречаемости отека легких, как осложнения, составляет: 0,3 -1%. Такой маленький показатель связан с развитием медицины (выявлением заболеваний на ранней стадии, качественное лечение).
Этиология
Речь идет об отеке легких как осложнении пневмонии, следовательно, причиной его развития и является воспаление легких. Но, не у всех больных пневмонией развивается отек легких. Это связано с факторами, которые способствуют ухудшению течения заболевания и развитию осложнений. К таковым факторам относят:
- позднее обращение за медицинской помощью;
- длительная ингаляция чистым (100%) кислородом;
- проникающее ранение грудной клетки (посттравматическая пневмония);
- профессиональные заболевания легких;
- общее переохлаждение;
- вредные привычки (курение, токсикомания);
- аспирация содержимого носоглотки или рвотных масс;
- наличие злокачественных новообразований;
- острые и хронические заболевания (особенно сердца и легких);
- аллергическая реакция;
- шок, сепсис, ДВС (диссеминированное внутрисосудистое свертывание);
- переливание крови;
- эмболия ветвей легочных артерий;
- ожоговая болезнь.
У беременных женщин отек легких развивается на фоне эклампсии в следствии гормональных нарушений.
Выше перечислено огромное количество причин развития отека, но самая частая из них, это несвоевременное обращение за медицинской помощью.
Важно! Своевременное обращение к врачу предотвращает возникновение отека легких.
Причины
В развитии отека легких выделяют две стадии:
1. Интерстициальный отек легких (сердечная астма)
Читайте также:
Чтобы кашель не перешел в пневмонию
Все начинается с повреждения альвеолокапилярной мембраны. Нарушается ее барьерная функция и повышается проницаемость. Одновременно с этим, в ответ на повреждение, выбрасывается большое количество медиаторов воспаления (интерлейкины, ФНО, простогландины и другие), активируется система свертывания крови (тромбоциты, фибрин). Выброс медиаторов способствует еще большей проницаемости сосудов легких и угнетению защитного механизма “гипоксической вазоконстрикции”. Все это приводит к пропотеванию жидкой части крови в интерстиций легких.
2. Альвеолярный отек легких
Вместе с факторами воспаления активируется и иммунная система (комплемент, нейтрофилы, макрофаги), все они приводят к разрушению альвеолоцитов и проникновению жидкости в полость альвеол. Вместе с плазмой, через расширенные поры в сосудах, из крови выходят и белки (альбумины, глобулины), что приводит к повышению онкотического давления в интерстицеальном пространстве легких и снижению в крови. Экссудация жидкости в альвеолы и разрушение альвеолоцитов приводит к повреждению сурфактанта и утрате способности его синтезировать.
Отсутствие сурфактанта ведет к слипанию альвеол и образованию ателектазов легких. В других случаях происходит смешивание альвеолярного воздуха с транссудатом и образования пены. В любом случае, все эти процессы способствуют развитию острой дыхательной недостаточности.
Гипоксия органов и тканей, вызванная выключением из дыхания части альвеол, активирует реакции адаптации (тахикардия, тахипноэ). Это приводит к повышению давления в правых отделах сердца и еще большей экссудации жидкости в легкие (порочный круг).
Клиническая картина
Отек легких – это острое состояние, которое развивается в первые 12-24 часов (реже 1-2 часа или 2-3 сутки). Основные проявления болезни: ярко выраженная одышка, гипоксия, признаки инфильтрации на рентгенограмме, снижение артериального давления.
Все эти симптомы появляются сначала заболевания и неуклонно прогрессируют с его развитием. На стадии интерстициального отека состояние пациента тяжелое или средней тяжести. На данном этапе наблюдаются приступы сердечной астмы, для которых характерно:
- сильно выраженная одышка, вплоть до удушья;
- кашель;
- побледнение и цианоз кожных покровов;
- похолодание кожи и появление холодного пота;
- участие вспомогательных мышц в акте дыхания;
- тахипноэ 40-60 в минуту;
- тахикардия 120-200 в минуту;
- повышение артериального давления;
- чумное тяжелое дыхание (стридорозное), которое выслушивается без фонендоскопа;
- при аускультации слышны сухие свистящие хрипы.
Как правило, приступ застает больного в ночное или раннее утреннее время. Пациент обеспокоен, мечется в поисках удобного положения. Он занимает вынужденное положение “ортопноэ”, так как оно способствует участию вспомогательных мышц в дыхании и тем самым облегчает одышку. Приступ может возникнуть и в дневное время, провоцирующими факторами являются: физическая нагрузка, эмоциональное потрясение, резкие перепады температуры, смена положения тела и другие.
На стадии альвеолярного отека (собственно отек легких) состояние больного всегда крайне тяжелое. На этом этапе развивается острая дыхательная недостаточность, которая проявляется следующими признаками:
- удушьем;
- цианозом всего тела;
- набуханием шейных вен;
- отеком лица;
- АД снижено;
- пульс нитевидный;
- патологическим дыханием (Чейна-Стокса);
- дыхание больного слышно даже на расстояние (клокочущее);
- при аускультации слышны влажные хрипы;
- во время кашля отделяется пена алого цвета;
- больной находится в вынужденном положении “ортопноэ” или лежа с приподнятым изголовьем. Он заторможен, сознание спутанное, или отсутствует вплоть до комы.
Внимание! Данная стадия является предагональной и требует неотложной помощи.
Исход и лечение воспаления легких
Так как состояние острое и жизнеугрожающее, оно требует срочной терапии. Лечение должно включать в себя несколько основных этапов:
- воздействие на причину развития процесса (лечение пневмонии и устранение факторов риска);
- адекватная оксигенотерапия;
- инфузионная терапия;
- терапия постгипоксических изменений тканей и органов;
- профилактика присоединения вторичной инфекции.
Лечение пневмонии проводится в соответствии со стандартами с применением антибиотиков и других групп препаратов (подробно описано в другой статье).
Огромное значение имеет поддержание необходимого уровня кислорода в крови (SaО2 не менее 90%). Для этого используют ингаляцию увлажненного кислорода высокой концентрации (2-6 л/минуту). Это способствует адекватному газообмену и устранению гипоксии. Также, ингаляционно вводятся следующие лекарственные средства:
- бронходилататоры (бета-адреномиметики, метилксантины, глюкокортикостероиды) – они расширяют бронхи, облегчая тем самым отхождение пены и вентиляцию;
- пеногасители (этиловый спирт, антифомсилан) – разрушают пену и освобождают альвеолы;
- наркотические анальгетики (фентанил) – для устранения болевого синдрома, интубации.
Инфузионная терапия необходима для коррекции кислотно-щелочного состояния крови, уравновешивания гидростатического и онкотического давления плазмы и тканей, удаления лишней жидкости из организма. Для этого внутривенно вводят следующие группы препаратов:
- растворы с различной осмолярностью – для восстановления рН крови;
- диуретики (фуросемид, маннит) – выводят жидкость из тканей, а затем и из организма;
- сосудорасширяющие средства (нитраты, ганглиоблокаторы) – способствуют большему притоку крови к органам и тканям;
- наркотические анальгетики (морфин) – уменьшает пост и преднагрузку на сердце;
- инотропы (дофамин) – стабилизирует работу сердца;
- препараты для инфузионного питания – при невозможности энтерального питания.
Нутритивная поддержка также способствует скорейшему восстановлению органов после гипоксии. Профилактика нозокомиальной инфекции проводится антибиотиками.
Прогноз при отеке легких неблагоприятный. Все зависит от состояния, времени обращения и многих других факторов. Летальность составляет 20-50%.
Заключение
Отек легких является очень тяжелым осложнением, которое приводит к развитию острой дыхательной недостаточности и смерти. Вот почему так важно не затягивать с обращением в больницу. Своевременно начатое лечение пневмонии поможет избежать этого осложнения, а в случае его возникновения, будет оказана быстрая и квалифицированная помощь.


