Перелом кости стопы: сколько зарастает травма без смещения и как вылечить или реабилитироваться после повреждения
Переломы костей стопы нередко составляют десятую часть от всех переломов. Причиной их возникновения бывают не только повреждения прямого характера, но и неудачные приземления на ступню, ее подворачивание, различные падения.
При переломах ладьевидной или кубовидной костей стопы рекомендовано комплексное лечение и соответствующий период реабилитации, поскольку изменение формы любой из них может повлечь нарушение формы всей стопы и ее основных функций.
Анатомия костей
В стопе насчитывается порядка 26 костей, соединенных между собой связочно-суставным аппаратом. Принято выделять следующие основные отделы:
- плюсневый;
- предплюсневый;
- фаланги пальцев.
Клиновидная кость и ладьевидная расположены в области предплюсны, образуя этот отдел совместно с пяточной, таранной и тремя клиновидными костями.
Ладьевидная кость располагается ближе к внутреннему краю стопы. Сзади соединяется с костью таранной, а спереди — с тремя клиновидными. На ее нижней поверхности есть вогнутость, а снаружи отмечается характерная бугристость, которая хорошо прощупывается через кожу.
Кубовидная кость получила свое название за неправильную форму куба. Имеет соединение с ладьевидной костью, одной из клиновидных, пяточной и плюсневыми костями (четвертой и пятой). На поверхности заметная борозда и неровности.
Ладьевидная и кубовидная кости несут опорную нагрузку при ходьбе, принимая в ней непосредственное участие. Перелом любой из них влечет за собой потерю двигательной активности, которая способна сохраняться в течение длительного периода времени, особенно при неправильной тактике лечения. Важно своевременно обращаться за медицинской помощью при любых травмах.
Перелом ладьевидной кости
Среди всех причин переломов ладьевидной кости основу составляет падение тяжелых предметов на внешнюю поверхность ступни.
Профессиональные легкоатлеты страдают от подобных переломов по причине интенсивных сокращений большеберцовой мышцы при выполнении упражнений. Это приводит к отрыву костного фрагмента, который к этой мышце крепится.
К другим причинам относят:
- травмы, возникающие из-за насильственного интенсивного сгибания в подошвенной части стопы, влекущие за собой зажатие ладьевидной кости между участками клиновидных костей и таранной костью;
- ДТП — причиной перелома выступает компрессия;
- неудачное приземление после прыжков или падений с высоты;
- усталостные переломы — случаются у работников балета, профессиональных спортсменов и гимнастов в связи с продолжительными высокими нагрузками на ступню, влекущими за собой перестройку костных структур.
В результате травмы возможны переломы ладьевидной кости в области дорсальной ее части, тела или бугорка. Нередко в тыльную сторону стопы происходит смещение костных отломков.
Характерно появление следующих симптомов:
- возникновение боли и отека в области предполагаемого перелома, часто распространяющиеся до голеностопного сустава;
- костные осколки хорошо пальпируются под кожей (при смещении);
- страдает функция опоры, пострадавший может опираться только на пятку;
- движения ступни вверх-вниз и влево-вправо невозможны.
Установить точный диагноз помогает рентгенографическое исследование, после которого назначается соответствующее лечение.
Важно! Необходимо дифференцировать отрыв бугорка с наличием врожденной дополнительной ладьевидной кости, которая встречается у некоторых людей и не считается патологией. В такой ситуации нужен рентген обеих стоп, поскольку добавочные структуры обычно встречаются с обеих сторон.
Перелом кубовидной кости
Кубовидная кость не склонна к переломам. Обычно такое случается при совместном переломе с другими костями стопы по причине падения тяжелых предметов на ступню, неудачного приземления или падения на ноги с высоты.

К характерным симптомам относят:
- боль, усиливающуюся при попытке пошевелить ступней;
- припухлость с тыльно-внутренней поверхности стопы;
- невозможность полностью опереться на ступню;
- при пальпации обнаруживается характерная деформация (свидетельствует о смещении отломков костей).
Решающее значение в постановке точного диагноза имеет рентген.
Важно! При переломах кубовидной кости или ладьевидной нередко повреждаются окружающие мягкие ткани. Для выявления всех повреждений в отдельных случаях назначается проведение компьютерной или магнитно-резонансной томографии.
Способы лечения
Когда переломы ладьевидной или кубовидной костей смещением отломков не сопровождаются, врачом-травматологом накладывается гипсовая повязка (циркулярная).
Необходимо моделирование нижнего свода стопы. Когда накладывается повязка в виде «сапожка», дополнительно устанавливается металлический супинатор, который необходим для исключения уплощения свода нижней конечности.
Когда отломки кости смещены, нужна репозиция под внутрикостным обезболиванием или внутривенным наркозом. Вывих и перелом ладьевидной кости требует установки специальной конструкции Черкес-заде, когда одна спица проводится через пяточную кость, а другая проходит через плюсневые кости (их головки).
В тяжелых случаях выполняется оперативное лечение, после которого необходимо ношение гипсовой повязки не меньше месяца. Для контроля в динамике делают рентгеновские снимки. Необходимо понимать, что все костные структуры в ступне взаимосвязаны, поэтому нужно полностью восстановить место перелома.
Важно! В случае многооскольчатых переломов иногда не получается полностью собрать и зафиксировать все фрагменты, что влечет за собой необходимость в частичном удалении кости и последующем заполнении костным трансплантатом. В этом качестве может выступать участок большеберцовой кости или искусственные материалы.
Полное удаление кости не рекомендовано даже при самых тяжелых повреждениях. Это повлечет последствия непоправимого характера в виде деформации стопы или ее искривления.
Возможные осложнения
Несвоевременное обращение в медицинское учреждение или несоблюдение всех предписаний лечащего доктора при переломе кубовидной кости или ладьевидной часто приводит к осложнениям.
К ним относят:
- появление хромоты;
- наличие болевого синдрома хронической формы;
- возникновение плоскостопия или уплощения подошвы;
- проявления вальгусного искривления передней части стопы;
- потерю трудоспособности.
При оперативном лечении последствием может стать укорочение стопы, а в самых тяжелых случаях нередко дается инвалидность.
Чтобы предотвратить развитие перечисленных осложнений, необходимо выполнять все рекомендации травматолога-ортопеда, пройти полный курс реабилитационных мероприятий.
Реабилитация
После наложения гипсовой повязки при переломах кубовидной или ладьевидной костей рекомендуется давать ноге покой в течение недели, после чего можно переходить к реабилитации. Нагрузки при наличии множественных переломов возможны только через полтора месяца.
Важно! Основная задача всех реабилитационных мероприятий — восстановление анатомической целостности костей стопы, нормализация ее рессорных функций. Это необходимо для смягчения отталкивания и оберегания внутренних органов от разнообразных резких толчков в процессе ходьбы и сотрясений при прыжках или беге.
Реабилитация включает несколько мероприятий.
Массаж
Необходим для восстановления полноценного кровоснабжения, питания тканей и профилактики развития атрофии мышц. Выполняется на самых ранних сроках, до снятия гипса с ноги. Помогает снять отеки и проявления болевого синдрома.
- Важно массировать не только травмированную конечность (вокруг гипсовой повязки и под ней), но и здоровую, поскольку на нее увеличивается нагрузка.
- После снятия гипса массаж помогает вернуть ноге подвижность, устранить остаточные проявления атрофии, вернуть мышцам тонус и эластичность.
Выполняются поперечные и продольные поглаживания, растирания и вибрация. Все массажные движения чередуют с регулярным поглаживанием.
Физиотерапия
Проводится совместно с массажем, помогает снять боль и припухлость. Чаще всего назначаются процедуры магнитотерапии, электростимуляции, интерференционные токи, электрофорез и УВЧ.
ЛФК
Физические упражнения во время ношения гипса необходимы для улучшения кровообращения, занятия повышают тонус всего организма.
В этом периоде достаточно простых сгибаний и разгибаний пальцами, движений в области тазобедренного и коленного суставов, давления на поверхность подошвы с помощью опоры или рук ассистента. Будут полезны сокращения мышц подошвы и пешая ходьба с помощью костылей.
Вторым этапом ЛФК становится восстановление подвижности в суставах. Необходимо возвратить опорную и рессорную функции ступни, укрепить мышечный каркас. Для этого надо выполнять упражнения на сгибание подошвы и ее разгибание, захватывать набивные мячи, мелкие предметы стопой и пальцами, работать на тренажерах. Основная задача всех упражнений — восстановление полноценной ходьбы.
Бассейн
Полезно применять различную ходьбу в воде, разнообразные упражнения. Хороший эффект замечен после плавания в ластах. Все перечисленные упражнения разрешены только после снятия гипса.
Правильное питание
Полезно потребление продуктов с большим содержанием кальция и витамина D. Нужно включить в рацион кисломолочную продукцию, молоко и морепродукты. Рекомендованы витаминно-минеральные комплексы.
Завершающим этапом всех перечисленных мероприятий становится полное восстановление биомеханики ходьбы. Надо заново научиться прыгать и бегать. Огромную роль имеет укрепление выносливости мышц нижней конечности. Будут полезны подскоки, прыжки и беговые упражнения.
Важно! Все занятия в восстановительном периоде должны выполняться под наблюдением специалистов и с их помощью. При возникновении боли или мышечного спазма следует немедленно остановиться и прекратить занятия. Нагружать травмированную ногу нужно постепенно.
Дополнительные мероприятия
Кроме всех вышеперечисленных реабилитационных мероприятий, после выписки из стационара будет полезно пройти санаторно-курортное лечение, продолжать правильно питаться, совершать пешие прогулки и регулярно выполнять упражнения.
В качестве домашних занятий рекомендованы:
- сгибания и разгибания пальцев ног;
- вставание на цыпочки с последующим опусканием на пятки;
- повороты стопы вправо и влево;
- катание мячика по полу.
Полезно с пола собирать пальцами карандаши и ручки или попеременно вытягивать ступню от себя и на себя.
Обязательно длительное ношение супинатора, ортопедической обуви, специальной стельки или ортеза. Заключение о полном восстановлении дает травматолог или ортопед.
Заключение
Переломы костей стопы всегда тяжелое испытание, поскольку приводят к нарушению двигательной активности и мешают заниматься ежедневными делами.
Травмы требуют довольно длительной терапии и не менее длительного восстановительного периода. Всегда следует быть осторожными и стараться избегать ситуаций, которые могут повлечь перелом. Человеческий организм — хрупкая вещь, поэтому нужно его беречь.
Перелом стопы: сколько ходить в гипсе?
Перелом костей стопы – одна из самых распространенных травм данного отдела нижней конечности, состоящей из 26 больших и маленьких костей. Повреждение требует долгого и комплексного лечения в силу того, что стопа постоянно задействована в двигательной функции нижних конечностей.
Срок излечения зависит от вида и тяжести травмы, правильно и в нужном объеме оказанной медицинской помощи на всех этапах лечения, возраста пострадавшего, общего состояния организма и иных факторов.
Причины травмы
Перелом костей стопы случается по причине механического воздействия на стопу либо резкого движения ногой из неправильного ее положения. Нарушить целостность костной ткани может и тяжелый падающий предмет. Чаще всего травма случается из-за падения на ногу с большой высоты.
Существует патологический вид перелома, когда для получения повреждения достаточно незначительного механического воздействия. Связано это со слабостью костной ткани, вызванной остеопорозом, остеохондрозом, наличием онкологических новообразований, патологиями аутоиммунного характера.

В соответствии с причинами, приведшими к травмированию, повреждается одна из костей, что связано с определенным месторасположением и распределением нагрузки. Переломы стопы по фактору воздействия разделяются на следующие:
| Кость пятки | Падение с различной высоты, заканчивающееся приземлением на всю стопу |
| Пальцевые фаланги | Удары тяжелыми предметами или же падение чего-то тяжелого на ногу, наезд авто |
| Клиновидная, кубовидная, ладьевидная кость | Механическое воздействие на тыльную часть ступни |
| Таранная кость | Падение, резкое движение с неправильным положением стопы. |
Травмирование может случиться по причине чрезмерной физической нагрузки, при интенсивных занятиях спортом. В таких случаях возникает, так называемый стресс-перелом. В результате постоянного давления костная ткань трескается. В основном, такое травмирование происходит с таранной и плюсневой костью.
Как проявляется?
Переломы костей стопы различаются по симптоматической картине, в зависимости от вида поврежденной кости. Основные симптомы перелома стопы, следующие:
- Сильная боль;
- Синяк;
- Отечность в месте травмирования;
- Затруднение в движении;
- Деформация.
Переломы костей стопы всегда сопровождаются сильной отечностью и гематомой под кожей на травмированном участке. Интенсивность болевого синдрома разная – от слабо выраженной до невыносимой. Признаки перелома стопы по повреждению кости:
| Пятка |
|
| Фаланга |
|
| Ладьевидная, кубовидная, клиновидная кость |
|
| Таранная |
|
Часто при травмировании возникает слабая боль, и потерпевший не сразу понимает, что произошел перелом, путая травму с ушибом. В таких случаях поставить точный диагноз можно только посредством медицинского осмотра и прохождения рентгена.
Оказание первой помощи
После произошедшей травмы пострадавшего необходимо доставить в травматологическое отделение, где специалист-травматолог сможет определить, произошел на самом деле ушиб или перелом. До приезда медиков требуется оказать первую доврачебную помощь.
Категорически запрещено трогать ногу, крутить ее, пытаться самостоятельно вставить поврежденную кость. Это может привести к смещению костных обломков и вызвать ряд осложнений.
Делать массаж, разминать пострадавшее место, чтобы уменьшить боль, запрещено. Человек, оказывающий помощь, должен как можно меньше прикасаться к ноге, чтобы не сместить поломанную кость.
Чтобы облегчить боль и предотвратить перелом стопы со смещением, необходимо наложить шину. В случае, когда специального медицинского приспособления нет под рукой, используются палки, куски арматуры, доски, их необходимо подложить с обеих сторон стопы, прибинтовать к поврежденной конечности бинтами, марлей, тряпкой и т.д.
Если травма открытого типа (выяснить это легко по наличию открытой раневой поверхности, кровотечению), рану необходимо обработать антисептическими препаратами, перекисью водорода, Хлоргексидином, края раны смазать йодом. Для остановки кровотечения накладывается повязка.
При накладывании шины подручный материал, используемый для фиксации стопы, необходимо обернуть тряпкой или бинтом, чтобы не было соприкосновения открытой раны с грязным предметом.
Как лечить?
Медицинская помощь пострадавшему начинается с обезболивания. Для этого назначаются обезболивающие препараты, а в случае их не достаточной эффективности, ставится блокада – введение обезболивающего средства непосредственно в место травмирования.
- При переломе стопы лечение подбирается в индивидуальном порядке и требует комплексного подхода:Если травма закрытого типа, при этом смещения нет, необходима продолжительная фиксация стопы путем наложения гипсовой повязки. Сроки ношения гипса варьируются от 1 до 3 месяцев, в зависимости от степени тяжести клинического случая.
- Если закрытый перелом сопровождается смещением, необходимо проведение репозиции – складывания костей в нужном порядке. Репозиция проводится двумя способами – открытым и закрытым, в зависимости от степени тяжести. После складывания костей в нужном первичном положении, накладывается гипсовая повязка. Если обломков было много, для их фиксации используются медицинские скобы, шурупы. После снятия гипса следует восстановление двигательной функции стопы. Разрабатывать поврежденную стопу необходимо осторожно и постепенно.
- Травма ладьевидной кости в большинстве случаев сопровождается переломом соседних костей. Нередко перелом кости приводит к одновременному вывиху. Как правило, это сопровождается интенсивными болевыми ощущениями — для купирования симптоматики ставится блокада. Если вывиха и смещения нет, носить гипс необходимо до 5 недель.
- При вывихе с переломом для вправления костей устанавливается аппарат Елизарова. В тяжелых клинических случаях помощь пострадавшему оказывается путем проведения открытой операции – отломок кости фиксируется швом из шелковой нити. Период обездвиживания конечности составляет до 12 недель.
- Перелом клиновидной кости без смещения лечится наложением гипса, срок ношения гипсовой повязки – от 1 до 1,5 месяцев. Реабилитация после перелома может длиться более 1 года.
- Перелом кубовидной кости предполагает наложение гипса сроком до 2-х месяцев, в случае смещения проводится закрытая репозиция.
- При травме пальцев человеку очень больно наступать на ногу, появляется синюшная опухоль в месте травмы. Лечение – гипсовая повязка, сроком в 4-6 недель.
Во время нахождения в гипсе необходимо соблюдать диету. Основу рациона питания должны составлять кисломолочные и молочные продукты, обогащенные кальцием, который способствует укреплению костей и ускорению их сращения.
Перед тем, как снять гипс, необходимо пройти осмотр врача. Узнать, срослись ли кости полностью, можно только на рентгене. После снятия гипсовой повязки назначается комплекс упражнений по восстановлению двигательной функции стопы.
Реабилитация
Отек после снятия гипсовой повязки будет сохраняться длительное время. Чтобы купировать данный признак, можно использовать препараты местного спектра действия – гели, мази, крема. Для рассасывания скопившейся жидкости проводится массаж.
Физиотерапия и специальные упражнения – эффективные и обязательные средства реабилитации, позволяющие существенно сократить срок полного восстановления после травмы.
Без выполнения ЛФК и прохождения физиотерапии мышцы стопы могут атрофироваться, что приведет к потере двигательной функции. Массаж должен проводиться только специалистом.
Если делать массаж самостоятельно, оказываемый эффект от него может быть прямо противоположным, можно повредить только сросшиеся кости и мягкие ткани, увеличив отек.
Перед тем, как начать разрабатывать стопу упражнениями лечебной физкультуры и проводить массаж, пациенту сразу после снятия гипса назначается ношение супинаторов, как правило, в течение года.
На протяжении первых 4-6 месяцев после травмы рекомендуется заменить привычную обувь ортопедической. Комплекс физиотерапевтических процедур подбирается индивидуально, направлен на уменьшение отека, боли и ускорение процесса сращения костной ткани.
Человек с переломом стопы лишается возможности передвигаться на обеих ногах. Своевременно и правильно оказанная пострадавшему первая помощь, поможет предупредить развитие тяжелых осложнений. Грамотное лечение часто включает ношение гипсовой повязки, соблюдение специально подобранной диеты и проведение комплексной реабилитации (физиотерапия, массаж, ЛФК) на завершающем этапе лечения.
Перелом кубовидной кости
13.05.2018
Перелом кубовидной кости — явление достаточно редкое. Данная кость находится со внешней стороны стопы. Несмотря на то, что травматологи достаточно редко наблюдают у своих пациентов переломы в этом отделе (если сравнивать с другими травмами костей ног), необходимо вовремя распознать травму и получить медицинскую помощь
Согласно статистическим данным, кубовидная кость ломается лишь в одном проценте случаев. При этом травмы костей ног среди общих костных повреждений человеческого скелета составляют 2,5 процента.
Анатомия перелома кубовидной кости
Кубовидная кость представляет собой составляющую предплюсневых костей стопы. Поверхность ее суставов образуется из ткани хрящей, соединенной с пяточной костью и плюсневыми костями.
Расположение кубовидной кости.
Эта кость находится около внешней границы стопы, непосредственно в центре между вышеперечисленными участками.
Причины и симптомы перелома
Из-за чего может случиться перелом кубовидной стопы? Как правило, причиной становится прямой удар в область, где она находится. Также это может произойти, если на ногу упадет что-либо тяжелое.
Кубовидная кость может сломаться из-за сильного удара.
Если говорить о симптомах, то они будут характерными для всех переломов: болевой синдром, нарушение движения; если человек двигается – боль становится сильнее; кровоизлияние, опухание.
Однако после того, как пациент будет внимательно обследован, обнаружатся признаки, свидетельствующие о травме именно этого участка:
- острые болевые ощущения при ощупывании соответствуют локализации данной кости;
- можно отметить, что ее контуры деформированы;
- боль становится сильнее, если надавливать на 4-5 плюсневые кости, если пробовать отводить переднюю часть ступни, если поворачивать стопу.
В ситуациях, при которых кубовидная кость ломается вместе с ладьевидной, происходит деформация. На нее влияет то, насколько сильно сместятся отломки и отклонится передняя часть ступни во внутреннюю или наружную сторону

Если ощупывать травмированный участок, болевой синдром будет обостряться, то давление будет оказываться на все пальцы конечности. Осложненные травмы приводят к нарушениям контуров костей.
Первая помощь, что можно и что нельзя делать до приезда скорой
- Первая мера, которую надо выполнить после того, как вызвана неотложная помощь, – это обезболивание травмированного участка. Простые обезболивающие препараты, которые обычно используют в домашних условиях, могут не помочь, чтобы купировать подобный болевой синдром.
Однако сделать это необходимо в обязательном порядке, чтобы избежать травматического шока.Не стоит терпеть боль: лучше принять обезболивающее.
Чтобы купировать болевые ощущения, можно принять: Парацетамол, Дексалгин, Анальгин. Надо не забывать, что действие таких препаратов начинается приблизительно спустя 20-30 минут.
По этой причине, если болевой синдром ярко выраженный, желательно лекарство вводить в виде инъекций.
- Затем необходимо осторожно снять с конечности обувь, чтобы освободить ее от ненужной нагрузки.
- Когда под рукой имеется лед – можно прикладывать его к поврежденному участку. Это способствует сужению сосудов и предотвращению образования отека, благодаря чему немного уменьшится болевой синдром.Для облегчения боли приложите к ноге лед.
Прикладывания льда необходимо осуществлять через ткань, сложенную в несколько слоев, либо использовать медицинский пакет со льдом. Поскольку, если делать это к обнаженному кожному покрову, может произойти обморожение.
- После этого следует приподнять конечность больного, зафиксировав стопу в одном положении. Отток крови усилится, и будет наблюдаться уменьшение нагрузки на стопу.
Врачебная помощь и хирургическое лечение
Когда при травме кубовидной кости отломки не смещаются, травматолог должен наложить гипсовую повязку. Нужно смоделировать нижний свод ступни. Если накладывание осуществляется в форме «сапожка», то потребуется дополнительная установка металлического супинатора, необходимого для того, чтобы исключить уплощение свода стопы.
При смещении костных отломков необходима репозиция, которая проводится под внутрикостной или внутривенной анестезией.
В осложненных случаях прибегают к хирургическому лечению. После него требуется носить гипсовую повязку как минимум 30 дней. Чтобы контролировать состояние кости в динамике делается рентген.
Следует знать, что все структуры кости в стопе связаны между собой, по этой причине необходимо полное восстановление участка перелома.
Если произошел многооскольчатый перелом, в некоторых случаях может быть невозможным полный сбор и фиксация всех фрагментов, из-за чего может быть потребуется частично удалить кость и впоследствии заполнить участок костным трансплантатом. Это может быть часть большеберцовой кости либо искусственные материалы. Нежелательно полностью удалять кость, даже если травма очень тяжелая. Из-за этого могут возникнуть необратимые осложнения: стопа деформируется или искривится.
Лечение
При умеренной степени тяжести перелома требуется наложение на травмированную ногу гипсовой повязки. Пациент должен будет носить ее 1-1,5 месяца.
Такая мера необходима для того, чтобы нога была крепко зафиксирована, тогда впоследствии кости будут правильно срастаться, не деформируясь.
При наличии обломков кости, открытых ран, смещений, прежде чем наложить повязку, потребуется зафиксировать травмированную конечность спицами.
При обнаружении трещин в кости либо разрыва связок, наложение гипсовой повязки может и не понадобиться. Однако без фиксации все-таки не обойдешься. Как правило, травматологи рекомендуют пациентами носить специальный бандаж для стопы. Во избежание чрезмерных нагрузок на травмированную ногу больному советуют пользоваться костылями.
Бандаж — альтернатива гипсу при легких переломах.
Если говорить о лекарственных препаратах, то для того, чтобы купировать болевой синдром и снять воспаление в пораженных тканях, принимаются средства, которые оказывают противовоспалительное и обезболивающее действие.

Чтобы устранить отечность, кровоподтеки, гематомы, назначаются рассасывающие препараты в виде гелей. Дополнить медикаментозную терапию рекомендуется витаминами и мумие, чтобы кости быстрее срослись.
После завершения лечения и снятия гипса пациент должен будет пройти достаточно долгий период реабилитации. Ему будут назначены массаж, ЛФК, физиотерапевтические процедуры. Также потребуется носить специальную ортопедическую обувь.
Долгое время после травмы могут беспокоить боль и отек конечности. Для устранения неприятной симптоматики и скорейшего выздоровления, рекомендуется соблюдать некоторые рекомендации:
- разминание ступни и голени;
- постепенное увеличение двигательной активности, ежедневное выполнение специальных упражнений;
- ношение супинаторов – ортопедических приспособлений, которые в обязательном порядке надо носить на протяжении года после перелома.
Весь реабилитационный период надо наблюдаться у врача, который будет контролировать процесс восстановления.
Перелом кубовидной кости Ссылка на основную публикацию
Что делать при переломе кубовидной кости стопы?
Перелом кубовидной кости стопы – довольно частое явление. Нередко при ударе тяжелым предметом тыльной области стопы человек не испытывает особого беспокойства, помимо болевых ощущений и отечностей.
Однако сильный удар является одной из главных причин образования перелома костей в ноге. Поэтому очень важно как можно скорее обратиться за помощью к специалисту, ведь лечение обязательно должно осуществляться врачом.
Возможные причины
Переломы костей ступни в большинстве случаев наблюдается у взрослых людей и составляют примерно 2-5% от общего числа всех травм. Интересен тот факт, что, по наблюдениям врачей, правая нога намного чаще подвергается переломам, чем левая.
Так как стопа состоит из большого количества мелких костей, повреждение одной из них может спровоцировать нарушение структуры и деятельности других, поскольку все они тесно связаны между собой. Осуществляя лечение, следует не забывать об этом и использовать комплексную терапию.
К наиболее распространенным причинам травмы такого характера относятся:
- Падение с большой высоты или прыжок с приземлением на всю стопу. В этом случае основная сила удара затрагивает в основном краевые кости стопы.
- Резкое сгибание стопы – это может произойти при резком торможении транспортного средства, ударе о какой-либо твердый предмет, при занятиях спортом и повышенных физических нагрузках на нижние конечности.
- Падение на нижнюю часть ноги тяжелого предмета. В этом случае может произойти не только перелом кости, но и повреждение кожного покрова или разрыв связок.
Хоккеист получил травму стопы
Повреждения костной ткани ступней происходит спонтанно, независимо от возраста и пола человека.
Однако есть категории людей, которые подвержены повышенному риску получения такой травмы. К ним относятся:
- Футболисты, хоккеисты и тяжелоатлеты – занятие данными видами спорта предусматривает повышенный риск получения травм стопы.
- Патологии соединительной ткани системного характера и повышенная ломкость костной ткани наследственного типа. В этом случае повреждение может произойти даже при малейшем физическом воздействии на ногу.
- Костные болезни, такие как остеопороз.
Перелом кубовидной кости стопы: симптомы и диагностика
Главными симптомами переломов любой локализации являются:
- ярко выраженные болевые ощущения;
- появление припухлости в пораженной области;
- кровоизлияния;
- нарушение двигательной активности поврежденной конечности.
Однако при более тщательном обследовании отмечаются и другие признаки, характерные для перелома кубовидной кости. К ним относятся:
- острая боль, которая усиливается при пальпации и надавливании на 4 и 5 плюсневые кости;
- деформация и изменение контуров стопы;
- усиление болевых ощущениях при малейшей попытке движения стопой.
Кубовидная кость стопы на схеме
В случае если перелом кубовидной кости сопровождается травмированием ладьевидной кости или их вывихом, появляется деформация, зависящая от степени тяжести смещения поврежденных костей. При этом большую роль играет сила отклонения передней части стопы вперед или назад.
При прощупывании и надавливании на все пальцы на ноге боль усиливается, затрагивая все кости стопы
Переломы, которые сопровождаются смещением, вывихом или подвывихом костей, изменяют контуры тыльной области стопы. При этом наблюдается деформация ступенчатого вида. О переломе также свидетельствует сильный отек и появление гематом в области поражения.

Для того чтобы определить, имел место перелом или небольшой накол костной ткани, врач-травматолог в первую очередь осуществляет пальпацию травмированной области и ближайших участков конечности. После этого специалист просит больного пошевелить пальцами и всей стопой, изучая степень затрудненности движения и обращая внимание на наличие болевых ощущений при том или ином движении.
Если у врача есть подозрения на перелом, он в обязательном порядке направляет пациента на рентген ступни. С его помощью можно выяснить, присутствует ли перелом кости, а также определить наличие костных обломков и деформации.
Перелом кубовидной кости стопы: первая помощь и лечение
В первую очередь следует зафиксировать голеностопный сустав в одном положении. Это нужно для того, чтобы не допустить движения осколков. В этих целях можно использовать разные подручные средства, например палки и доски, любые тканевые изделия. В крайнем случае можно прибинтовать травмированную ногу к здоровой.
В случае если повреждение имеет среднюю степень тяжести, лечение ограничивается наложением гипсовой повязки на поврежденный орган. Снимается такая повязка спустя 3-6 недель. Данный метод терапии необходим для того, чтобы полностью зафиксировать нижнюю конечность и предотвратить неправильное срастание поврежденных косточек.
При наличии смещения, костных обломков или открытого повреждения эпителиальных тканей перед наложением гипса необходима установка фиксирующих металлических спиц.
Гипс при переломе кубовидной кости стопы
При обнаружении надрыва или полного разрыва волокон связок лечение может осуществляться без гипса. Однако фиксирующая повязка все же необходима.
Чаще всего врач прописывает ношение специального бандажа или ортопедической обуви.
Для того чтобы не допустить повышенной физической нагрузки на травмированную конечность, рекомендуется использовать костыли.
Перелом кубовидной кости стопы: лечение
Лечение перелома с использованием лекарственных средств необходимо для устранения болевых ощущений, уменьшения воспалительного процесса и ускорения процесса заживления. В этих целях применяются анальгезирующие и противовоспалительные препараты. Для устранения гематом и снятия отечности врач может назначить специальные мази и гели с рассасывающим эффектом.
В качестве дополнительной терапии может потребоваться применение витаминных комплексов и препаратов, содержащих кальций.
Однозначно ответить на вопрос, сколько заживает перелом, довольно сложно, поскольку все зависит от степени повреждения и индивидуальных особенностей организма.
Реабилитация и возможные осложнения
После окончания лечения и снятия гипсовой повязки в течение некоторого времени может присутствовать небольшая отечность и легкие болевые ощущения. Для того чтобы ускорить полное восстановление, больному необходима длительная реабилитация, в течение которой он должен соблюдать следующие рекомендации:
- Делать разминающий массаж стопы и голени.
- Постепенно увеличивать физическую нагрузку, выполняя определенные упражнения.
- Посещать физиотерапевтические процедуры, назначенные врачом.
- Использовать супинаторы. Необходимо носить их в обязательном порядке в течение одного года. При более тяжелых травмах длительность может увеличиваться до нескольких лет.
- В большинстве случаев травматолог может назначить пациенту ношение ортопедической обуви. Делать это желательно в течение минимум 6 месяцев.
Перелом кубовидной кости стопы: другие полезные информации
На стопу ежедневно приходится очень большая нагрузка. Тяжесть всего тела должна равномерно распределяться между различными костями конечности. В случае повреждения любой из них происходит нарушение свода стопы, что, в свою очередь, приводит к ухудшению амортизации и функции опоры. Очень важно своевременно обнаружить травму стопы и начать лечить ее.
Перелом кости в стопе независимо от его характера и локализации требует незамедлительного обращения к врачу. Отсутствие лечения может привести к развитию серьезных осложнений, которые зачастую становятся причиной инвалидности.
Перелом кубовидной кости: Анатомия, Причины, Симптомы, Первая помощь, Диагностика, Лечение, Реабилитация
Кубовидная кость располагается в наружной части отдела предплюсны стопы. Ее перелом в травматологической практике встречается не так часто, по сравнению с общими травмами костей нижних конечностей. Если посмотреть статистику, то на перелом кубовидной кости приходится всего 1%.
Анатомия
Рис — Анатомическое расположение кубовидной кости
Кубовидная кость является частью предплюсневых костей ступни. Ее суставная поверхность образована хрящевой тканью, которая идет в связке с пяточной костью и с двумя (4 и 5) плюсневыми костями.
Эта кость располагается рядом с наружным краем ступни как раз между плюсневыми костными участками и пяточной костью.
Причины
Что может стать причиной травмы кубовидной кости? Ее повреждение может возникнуть из-за прямого удара либо в результате падения на ногу тяжелых предметов.
Симптомы
При переломе кубовидной кости пациент ощущает сильную боль, нарушается двигательная функция конечности. При шевелении пальцами болезненность усиливается, появляются отеки и кровоизлияния под кожу.

При дальнейшем осмотре выявляют характерную симптоматику, которая подтверждает наличие перелома. При прощупывании места травмы больной ощущает сильный дискомфорт в месте расположения кубовидной кости. Врач может обнаружить деформацию контуров сочленения, костные выступы и смещенные отломки.
При осевой нагрузке боль усиливается, а при попытке движения или отведения переднего отдела стопы, чувствуется скованность и иногда слышится крепитация (треск). Уплощается свод стопы, в результате чего передний отдел ступни отклоняется наружу или внутрь.
Первая помощь
При переломе кубовидной кости первая помощь такая же, как и при повреждении других костей стопы.
В первую очередь нужно сделать фиксирующую повязку поврежденной конечности, обмотав стопу и голеностоп эластичным бинтом.
Таким образом, можно избежать смещения костных отломков при переломе. Лучше, если будет наложена шина, сделанная из деревянных дощечек и бинтов. Она поможет зафиксировать конечность во время транспортировки пациента в больницу.
Если под рукой не будет подходящих материалов для создания шины, то для фиксации больной ноги можно примотать ее бинтами к здоровой и в ближайшие несколько часов доставить травмированного в медучреждение.
Диагностика
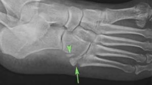
Рис — На рентгенограмме стопы — краевой перелом кубовидной кости и бугристости V плюсневой кости (показано стрелочками)
Чтобы убедиться в правильности постановки диагноза, травматолог после осмотра направляет пациента на рентгенологическое исследование. На снимке можно рассмотреть есть ли перелом, насколько ровные костные края, есть ли смещение отломков.
В сложных случаях, когда дефект затронул и другие кости или же необходимо определить степень тяжести повреждений в дополнение к рентгену может назначаться и КТ и МРТ. На основе полученных данных будет назначаться лечение.
Источники
- Травматология и ортопедия. Учебник для студентов медицинских институтов под редакцией Юмашева Г.С. Издательство «Медицина» Москва. ISBN 5-225-00825-9.
- Каплан А.В. Закрытые повреждения костей и суставов. Издательство «Медицина». Москва.



