При первых признаках поражения дыхательных путей нередко возникают сомнения, какая болезнь является их причиной. Бронхит или, может быть, воспаление лёгких? Как их отличить? Может ли бронхит перейти в пневмонию? Чтобы получить достоверный ответ на все вопросы, стоит для начала вспомнить анатомию.
При вдохе воздух вместе с пылью, микробами и вирусами сначала попадает в нос, затем движется дальше через носоглотку и трахею в бронхи. Наконец, он оказывается в бронхиолах (мелких бронхах), и только после этого в лёгочных альвеолах. Если вместе с вдыхаемым воздухом в организм попал инфекционный агент, то организм попытается его остановить как можно раньше.
Первая линия защиты – слизистая оболочка носовой полости. Когда патогенов слишком много, она воспаляется. Следующий барьер для микробов – реснитчатый эпителий бронхов. Если он тоже не справился с защитой, начнётся воспалительный процесс, то есть бронхит. При несвоевременном и неправильном лечении воспаление пойдёт ещё дальше – в лёгкие. Таким образом, бронхит может перейти в пневмонию.
Этиология
Самой распространённой причиной легочных заболеваний является табакокурение, в чём нет никаких сомнений. Абсолютное большинство курильщиков имеет в своём анамнезе бронхит, переходящий постепенно в ХОБЛ (хроническую обструкцию бронхов). Причём неважно, каким образом дым попадает внутрь. Пассивное курение не менее опасно, чем активное.
Кроме того, начало заболевания может быть связано с действием следующих факторов:
- слишком сухой или, наоборот, влажный воздух в помещении;
- вдыхание пыльного воздуха, углекислого газа и других раздражителей;
- сердечные болезни;
- профессиональные вредности;
- проживание в мегаполисе или экологически загрязненном месте.
Бронхитом можно заболеть по разным причинам. Однако очень важно понять, что именно вызвало недомогание, чтобы исключить этот фактор. Такая мера является залогом эффективного лечения.
Клиническая картина
Симптомы бронхита и пневмонии часто имеют схожие черты. При обоих заболеваниях больного беспокоит кашель, лихорадка, затруднённое дыхание, упадок сил и др. Разница в степени их выраженности. Таким образом, внимательно проанализировав внешние признаки болезни, можно определить, какой недуг даёт о себе знать – бронхит или пневмония.
Бронхит способен вызвать определённые симптомы:
- температура тела поднимается до 37,5-38 °С;
- мокрота плохо отходит;
- сухой изнурительный кашель;
- неприятные ощущения в горле.
Если не лечить бронхит должным образом, он достаточно быстро переходит в хроническую форму или, того хуже, начинается бронхопневмония. Это воспалительное заболевание гораздо сложнее – поражаются не только бронхи, но и бронхиолы, и альвеолы.
Характерные признаки пневмонии:
- повышение температуры до отметки, превышающей 38 °С, держится дольше 3 дней;
- кашель влажный, с обильной мокротой, вызывает боль за грудиной;
- голубой оттенок кожи лица;
- наличие одышки;
- наличие интоксикации организма.
Итак, бронхит и пневмония имеют довольно много общего. А чем отличается одно заболевание от другого?
Для более наглядного сравнения признаки сведены в таблицу:
| Признак | Бронхит | Пневмония |
|---|---|---|
| Начало заболевания | Постепенное | Острое |
| Кашель | Сухой (в начале заболевания) | Влажный |
| Мокрота | Отсутствует (в начале заболевания) | Обильная, с гнойными включениями |
| Температура | Субфебрильная | Фебрильная |
| Хрипы | Равномерные, рассеянные | Локальные |
| Болевой синдром | Нет | Есть |
| Рентген | Усиление лёгочного рисунка | Очаговые затемнения |
Важно понимать, что данная информация приведена исключительно для справки. Действительно, каждому нужно знать, как отличить бронхит от пневмонии. Ведь иногда это может даже спасти жизнь. Однако выносить окончательное решение по диагнозу и назначать лекарственные препараты должен только специалист.
Ярко проявляющиеся симптомы должны насторожить пациента и заставить незамедлительно записаться на приём к доктору. Он проведёт дополнительные обследования. При прослушивании дыхания бронхит и пневмония существенно отличаются. В случае воспаления лёгких хрипы локализуются в какой-то определённой области, при бронхите этого не наблюдается, хрипы выслушиваются над всей поверхностью легких. Кроме того, будут рекомендованы диагностические процедуры:
- анализ крови;
- бакпосев мокроты;
- рентгенография;
- спирография;
- бронхоскопия (при необходимости).
Факторы, усугубляющие течение заболевания
Каждый эпизод болезни уникален. Кроме индивидуальных характеристик организма, на развитие недуга могут влиять различные обстоятельства. Например:
- несвоевременно начатая терапия;
- попытки самостоятельного излечения;
- пожилой возраст пациента;
- иммунодефицит;
- несоблюдение врачебных рекомендаций;
- генетическая предрасположенность;
- курение (активное и пассивное).
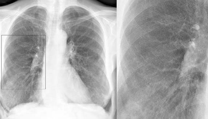
Как отличить бронхит от пневмонии по результатам рентгеновского снимка
классический вариант бронхита на рентген-снимке
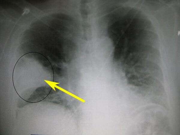
пневмония на рентген-снимке: видно почти полное затемнение нижней доли
Несмотря на некоторые различия пневмонии и бронхита, нередко клиника бывает размытой. В такой ситуации для установления верного диагноза необходимо сделать флюорографию или рентгенографию – это наиболее достоверный способ диагностики. По результатам рентгенограммы лечащий врач сможет легко распознать болезнь. Худшие опасения подтвердятся, если на снимке будут отчётливые затемнения.
Лечение
Схемы лечения бронхита и пневмонии у взрослых могут кардинально отличаться. Поэтому очень важно не упустить драгоценное время и вовремя поставить точный диагноз. Всё дело в том, что бронхи воспаляются чаще всего от попадания в них вируса. В отличие от бронхита, пневмония чаще всего вызывается бактериальной инфекцией. Отсюда и принципиальная разница в методах излечения.
В случае бронхита лечение вполне допустимо осуществлять в домашних условиях. Значительного улучшения состояния удаётся добиться уже через 10 дней. Выздоровление в большинстве случаев наступает спустя 2 недели. Пневмония же требует нахождения пациента в стенах больницы, потому что такое сложное заболевание лечится строго под врачебным контролем. Длительность лечения тоже разная – чаще всего оно продолжается около 2-3 недель.
Читайте также:
Почему кровь в мокроте при пневмонии
Для избавления от обоих заболеваний успешно используются и немедикаментозные методы:
- дыхательные упражнения;
- ЛФК;
- физиотерапевтические процедуры.
При высокой температуре желателен постельный режим и щелочное питьё. Если столбик градусника поднимается выше 38°С, нужны жаропонижающие препараты. В комнате необходимо поддерживать оптимальный уровень влажности.
Назначаемые при лечении бронхита лекарства прежде всего направлены на смягчение симптомов. Муколитики разжижают и облегчают отхождение мокроты, борются с кашлем; антигистаминные средства призваны снять аллергическую настроенность. Антибиотики назначаются только в том случае, если терапия не даёт заметных результатов.
Для эффективной борьбы с пневмонией необходимы антибиотики. Это главный метод лечения. Минимальный курс приёма – 7 дней. Могут быть назначены инъекции или таблетки. Антибиотикотерапия может спровоцировать развитие дисбактериоза. С целью предупреждения нарушения микрофлоры используются пробиотики.
Пневмония – это сложнейшее заболевание, требующее качественного и длительного лечения. Несоблюдение рекомендаций специалиста нередко приводит к тяжёлым последствиям, таким, как абсцесс или отёк легких, менингит, дыхательная недостаточность, сепсис и др.
Меры профилактики
Основным профилактическим методом является укрепление иммунитета. Отказ от курения уменьшит риск появления болезни в разы. По возможности нужно избегать посещения многолюдных мест, особенно во время эпидемий. Хорошей поддержкой для организма будет ежедневная дыхательная гимнастика.
Из медикаментозных средств можно использовать вакцинацию против гриппа, который часто осложняется пневмонией. Это поможет предотвратить болезнь или как минимум существенно смягчить симптомы.
В заключение хотелось бы ещё раз обратить внимание на главные отличия пневмонии от бронхита. Главный критерий – степень выраженности симптомов. При ухудшении состояния нужно незамедлительно обращаться за медицинской помощью в медучреждение. Для результативного лечения необходимо исключить возможные раздражители. После перенесенной пневмонии для минимизации вероятности возникновения негативных последствий нужно скорректировать свой образ жизни.
Бронхит на флюорографии не всегда заметен, определить его можно по ряду косвенных признаков. Врачи прибегают к рентгену лёгких, чтобы вовремя диагностировать заболевание и назначить эффективное лечение. Своевременная диагностика заболеваний бронхов и лёгких предотвращает осложнения патологии.
Описание болезни
Бронхит представляет собой воспаление слизистой оболочки, выстилающей бронхи изнутри. Типичное заболевание вызывает отёчность слизистой и появление патологического отделяемого, в виде слизи на стенках бронхов. При стенозе затрудняется дыхание, сокращаются объёмы воздуха, поступаемого в лёгкие.
Зачастую бронхит является следствием острой респираторной вирусной инфекции, лечение которой было начато слишком поздно, или терапия не проводилась до конца.
Такое осложнение появляется после ОРВИ не чаще одного раза в год, а при более частых случаях говорят о хроническом обструктивном бронхите. Иногда болезнь возникает из-за работы на вредном производстве, связанном с повышенной запылённостью помещения.
Признаки бронхита — это в первую очередь затруднённость дыхания, ухудшение общего состояния, повышение температуры тела, спазмы, хрипы в горле.
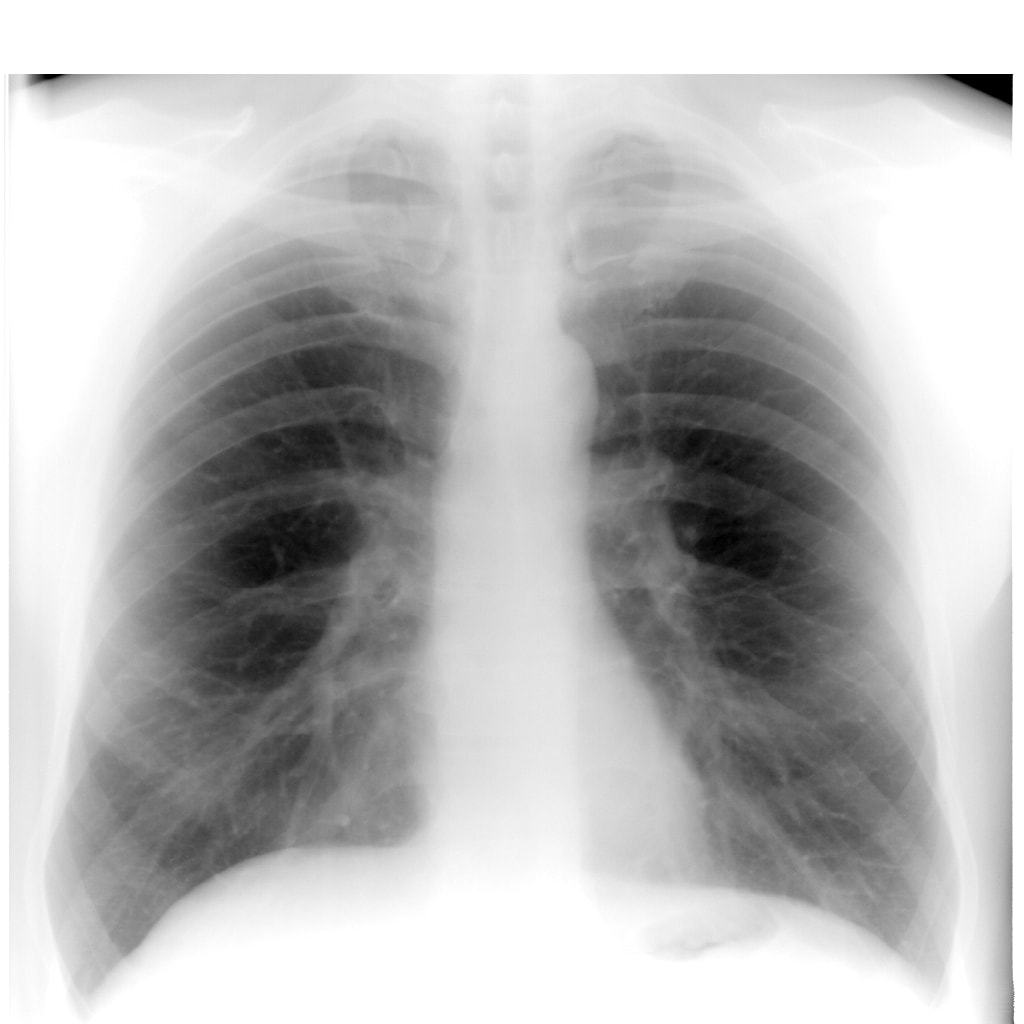
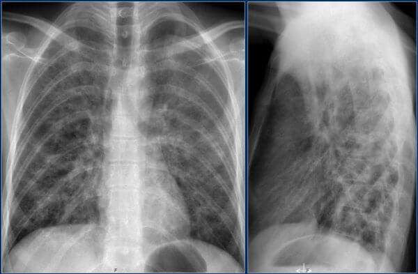
Бронхит на рентгеновском снимке
Однако, эти признаки дают и другие патологии, например, сердечные. Чтобы диагностировать воспалительный процесс в бронхах, врачи назначают дополнительные обследования, которые позволяют чётко поставить диагноз.
Кому показано обследование
Показанием к прохождению рентгенологического исследования считается подозрение врача на патологию, на основании субъективных данных.
При наличии у больного признаков отклонения есть смысл сделать рентген лёгких. Рекомендован он следующим больным:
- пациентам с повышенной температурой тела и общим недомоганием;
- при затруднённом дыхании, приступах удушья, одышке;
- при подозрении на хронический бронхит курильщика с характерными симптомами;
- если у пациента появился нетипичный свист или хрипы в лёгких или бронхах;
- длительное время сохраняется тяжёлый кашель (сухой, надрывный, или с отделяющейся мокротой);
- выражена дыхательная недостаточность (поверхностное дыхание, уменьшение объёма лёгких и т. д.);
- при необходимости контроля здоровья больного после проведённого лечения.
При наличии этих симптомов, врачи рекомендуют пройти рентгеновское исследование. А также рентген назначается с целью дифференцирования бронхита от воспаления лёгких, что часто бывает затруднено при помощи других методов исследования.
Прибегают к рентгеновской диагностике и в том случае, если появились осложнения, которые другими методами не визуализируются.
Например, обструкция, при которой бронхи закупориваются патологическим отделяемым — слизью, что нарушает нормальный газообмен в лёгких.
Рентгеновский снимок лёгких
Рентген лёгких и бронхов показывает осложнения, возникшие на его фоне. При наличии у пациента непосредственно воспалительного процесса в бронхах, на снимке будут заметны следующие особенности:
- снижение структурности корня лёгкого — на снимке его увидеть непросто. Лучше визуализируется правый корень, а вот левый прикрыт тенью от сердца. Сам корень изначально неоднородный, внешне он будет образован сплетением сосудов и бронхов. При бронхите нормальная структурность корня нарушается, поскольку бронхи «смазывают» картину из-за имеющейся патологии;
- расплывчатость и нечёткость контуров корня лёгкого — также последствие воспалённых бронхов, что легко диагностируется на снимке;
- усиление лёгочного рисунка — лёгочный рисунок представляет собой тень от кровеносных сосудов. Усиление лёгочного рисунка провоцирует патологические изменённые бронхи, которые в норме практически не видны;
- утолщение стенок бронхов — наиболее специфический признак, который видно на снимке лёгких. Он является определяющим в совокупности с другими данными исследования при постановке диагноза. Хронический бронхит
Читайте также:
Клинические рекомендации по нозокомиальной пневмонии
Другие признаки
Помимо типичных признаков, таких как снижение структурности корня, усиление лёгочного рисунка и утолщение бронхов, возможны другие описания снимка.
Например, снимок покажет искривление бронхов по их ходу, что связано с развитием воспалительного процесса, отёчностью.
Бронхит на рентгене характеризуется разрастанием соединительнотканных образований на стенках бронхов, а также с наружной стороны. Типичной может быть и картина осложнений:
- бронхообструкции (наличие закупорки бронхов, которая визуализируется светлыми «горошинками»);
- эмфиземы — прозрачные лёгкие из-за скопившегося в них воздуха, который пропускает рентгеновские лучи.
Дополнительно диагноз устанавливается по аномальному состоянию диафрагмы.
Флюорография или рентген
Флюорограф цифровой сканирующий (самый безопасный и современный метод диагностики)
Диагностику органов грудной клетки при помощи рентгеновского исследования или флюорографии проводят часто. Простым и менее вредным методом исследования считается флюорография, поэтому её рекомендуют делать в целях профилактики, а в некоторых странах это узаконено.
В России флюорография с этой целью применяется с тридцатых годов прошлого века. С помощью этого метода осуществлялось обследование больших масс населения для выявления туберкулёза и пневмонии (воспаления лёгких) и других заболеваний.
Сегодня флюорография даёт существенно меньшую нагрузку на пациента. Выполняется исследование как традиционным методом, путём получения снимка лёгких на плёнку, так и цифровым, когда изображение выводится на монитор.
Последний, более современный метод, позволил ещё больше снизить вредность дозы облучения. Заметим, что показаниями к флюорографии являются такие основания, как:
- наличие у пациента ВИЧ;
- оформление на службу в армию;
- диагностика окружения, проживающего с беременной женщиной;
- первичное обращение в клинику.
Как видно из показаний к флюорографии, они являются профилактическими и не связаны с определёнными патологиями. Даже туберкулёз и пневмония на флюорографии потребуют дополнительного, более пристального изучения с помощью других методов лучевой диагностики.
Флюорография легких на аппарате Програф-5000
При подозрении на бронхит флюорография оказывается малоинформативной, поэтому пациентам проводят рентгенографию. Действительно, доза такого исследования будет намного выше, чем при флюорографии, однако и чёткость полученного изображения позволяет поставить точный диагноз.
Показания к проведению рентгенографии — это подозрения на конкретные отклонения, такие как онкологическое поражение органов грудной клетки, воспаление лёгких, туберкулёз и т. д.
Дополнительные исследования
Обычно рентгенографии достаточно, чтобы установить диагноз. Бронхит на снимке однозначен и не вызывает сомнений. Однако, при обнаружении сопутствующих патологий может потребоваться дополнительное исследование другими лучевыми методами диагностики:
- магнитно-резонансная томография;
- компьютерная томография;
- бронхография с контрастом.
Самый безопасный метод диагностики
Все эти методики имеют определённую диагностическую ценность и позволяют установить правильный диагноз. Диагностика бронхита лучевыми методами исследования — наиболее точный способ определить наличие патологии, степень её тяжести, возможные осложнения.
Главным исследованием на сегодня является рентгенография, а при необходимости — бронхоскопия с контрастным веществом, которые проводятся в любой современной клинике.
Видео
Рентгенография – один из основных и обязательных методов исследования, проведение которого необходимо при подозрении на пневмонию. Посредством рентгена подтверждается или исключается диагноз. Только так врач может увидеть полную картину развития заболевания и сделать необходимое заключение.
Повторные проведения рентгенографии позволяют отслеживать динамику патологического процесса, анализировать эффективность лечения, выявлять развитие осложнений. Рентгенодиагностика также проводится после лечения, чтобы оценить состояние легких после болезни.
Описание рентгенологического исследования
Рентгенография области грудной клетки является методом передачи изображения легких на специальную пленку. Проецирование изображения осуществляется благодаря просвечиванию структур организма рентгеновскими лучами.
Базируется принцип рентгенографии на способности рентгеновских лучей проходить сквозь ткани человеческого организма. Этот метод неинвазивный, процедура совершенно безболезненна (пациент ничего не чувствует), но рентгеновские лучи проходят сквозь ткани с разными показателями плотности по-разному. Проецирование изображения анатомических структур на снимке осуществляется благодаря изменению интенсивности рентгеновского излучения при прохождении сквозь структуры и органы разной плотности.
При этом важно понимать, что рентгенограмма (рентгеновский снимок) является двухмерным изображением, при том, что любые исследуемые анатомические структуры – трехмерные объекты.
По этой причине, чтобы получить максимум информации о состоянии органа и оценить развитие пневмонии рентген принято делать в двух проекциях (передней и боковой). В попытках повысить результативность исследования, делают снимок в косой или диагональной проекции. Однако, подобное практикуется редко.
Рентгенография позволяет осуществлять детальное изучение определенных участков легкого, которые по мнению врача, вызывают подозрения. Для этого проводится фокусировка на интересующем участке и получается локализованное изображение очага воспаления.
В зависимости от метода проведения рентгена, выделяют:
- Обзорный – проводится рентген легких целиком.
- Прицельный – снимок определенного участка.
Что касается основных целей проведения рентгенодиагностики у взрослых людей с пневмонией, они следующие:
- Подтверждение диагноза, а также определение вида патологического процесса и масштабов поражения легочной ткани.
- Отслеживание динамики развития болезни с целью определить эффективность проводимого лечения.
- В целях отслеживания или предупреждения развития осложнений.
- Также рентген проводится после выздоровления, чтобы оценить структуру легких, предпринять меры по реабилитации пациента и устранению остаточных явлений после перенесенного заболевания.
Читайте также:
Пневмония у ребенка можно ли на дневном стационаре
Как выглядит воспаление легких у взрослых на фото?
Расшифровать данные рентгеновского снимка способен только опытный рентгенолог. Также необходимо знать, что основным рентгенологическим признаком воспаления легких является участок или участки затемнения легочного поля. Однако, здоровые легкие на снимке имеют темный цвет, в то время как затемнения являются белыми участками.
Теперь рассмотрим различные виды пневмонии на фото рентгеновских снимков.
Очаговая
Данному виду патологии свойственно поражение небольших участков легочной ткани. Изображение очаговой пневмонии прослеживается плохо, затемнения могут быть средней или вовсе слабой интенсивности. Размеры очагов поражения в среднем достигают полутора сантиметров, при отсутствии лечения их количество увеличивается. На фото ниже изображен пример правосторонней очаговой пневмонии.
Крупозная или долевая
Данной форме характерно формирование больших участков поражения легочной ткани. Патологический процесс может охватывать как одно, так и оба легких. На иллюстрации ниже показана тяжелая форма крупозной пневмонии.
Сегментарная
При сегментарной форме происходит поражение целого сегмента легкого. При этом пораженный участок исключается из процессов газообмена, что приводит к серьезным затруднениям дыхательного процесса. На иллюстрации ниже изображена правосторонняя сегментарная пневмония.
Интерстициальная
Происходит поражение соединительной ткани, окружающей альвеолярные структуры и кровеносные сосуды легких. На снимке характеризуется формированием участка уплотнения малой интенсивности, может поражать обе доли дыхательного органа. На фото ниже множество светлых разводов в легочном рисунке говорят о наличии интерстициальной инфильтрации.
Важно! Многие задаются вопросом, может ли рентген не показать воспаление легких. К сожалению, такое возможно, но преимущественно на ранних стадиях развития воспаления, когда поражение легочной ткани незначительное.
Помимо понимания того, как на снимке выглядит тот или иной вид пневмонии, важно знать, что покажет исследование после перенесенного заболевания. В подобных случаях результаты рентгенологического исследования приобретают следующие изменения:
- Уменьшение площади поражения легочной ткани.
- Изменение цвета участков поражения от светлого к более темному.
- Если имелись крупные очаги воспаления, они уменьшаются.
- После перенесенной пневмонии отмечается увеличение корневой области легкого.
- Также на изображении проекции органа могут присутствовать следы рубцевания тканей.
Иными словами, рентгенодиагностика до и после болезни в значительной мере отличается. Однако изображение, полученное сразу после проведенной терапии, может не показать серьезных различий. Дело в том, что для восстановления структур легкого требуется время, а также многое зависит от вида перенесенной пневмонии и степени ее прогрессирования. Это значит, что нельзя с уверенностью сказать, каким должен быть снимок после выздоровления пациента. Каждый случай уникален.
Результаты
Расшифровывая результаты рентгенологического исследования по снимку, специалист уделяет внимание любым патологическим изменениям. Анализируется локализация очага воспаления, его размеры, форма, ограниченность. При этом, если сравнивать рентген и флюорографию, первый метод диагностики является более информативным уже потому, что размеры проекционного изображения гораздо больше.
Еще одним неоспоримым плюсом рентгенографии является тот факт, что снимок делается в двух проекциях. Это позволяет обнаружить патологические изменения, которые могут быть не видны только в прямой проекции.
При «чтении» рентгенографического снимка врач принимает во внимание изменения по виду (зависят от размера), степени интенсивности затемнения и области поражения.
Деление очагов по видам следующее:
- мелкие – размером не более 2 мм,
- средние – 3-7 миллиметров,
- крупные – в пределах 8-11 миллиметров,
- фокусные – их размер начинается от 12 мм, но они могут охватывать весь орган.
Выделяют 3 вариации градации очагов по степени интенсивности:
- начальная степень воспаления – цвет очага темнее кости, но светлее здоровых участков легочной ткани,
- средняя степень воспаления – цвет очага примерно совпадает с отображение костей на рентгене,
- тяжелая степень – яркие светлые пятна или области в легочной проекции.
Касательно областей поражения, выделяют одностороннюю и двустороннюю пневмонию в соответствие с тем, в какой доле парного органа образовался воспалительный процесс. В описании рентгенограммы врач-рентгенолог фиксирует все показатели, после чего ставится основной диагноз (если не требуется дополнительной диагностики).
Ограничение на проведение процедуры
Рентгенодиагностика органов грудной клетки имеет одно неоспоримое преимущество – проведение процедуры не требует специальных приготовлений, помимо соблюдения элементарных правил гигиены. Однако, у этого исследования есть несколько противопоказаний:
- возраст пациента младше 14 лет,
- беременность,
- открытые кровотечения.
Обратите внимание! Перечисленные противопоказания не являются строгими, они лишь рекомендательные. Это значит, что, если для лечения беременной женщины или ребенка необходим рентген и от этого может зависеть жизнь пациента, то проведение диагностики возможно.
Заключение
Несмотря на развитие медицины, рентгенография по сей день остается основными методом диагностирования воспаления легких. К рентгену прибегают в первую очередь, если присутствуют признаки развития пневмонии. Очень часто именно рентген является тем исследованием, которое даст необходимое представление о течении пневмонии и позволит врачу назначить лечение.
Загрузка…



















