Почему может потемнеть десна
Потемнение десны происходит по разным причинам. Некоторые из них связаны с нарушением работы внутренних органов. Поэтому пускать проблему на самотек нельзя. Появление черного пятна на десне вокруг зуба характерно для курильщиков.
Избавиться от почернения десны можно только после установления точной причины нарушения. Метод лечения выбирает врач-стоматолог.
Синяки на деснах симптом опасных заболеваний
Почему темнеют десны
Темные пятна могут появляться на любом участке десны. Они бывают большие и маленькие, точечные и протяженные.
Причины появления черных пятен на деснах:
- Курение (самая распространенная причина).
- Кариозное поражение зуба.
- Зубной камень.
- Гингивит, пародонтит с кровоточивостью.
- Воспаление слизистой оболочки рта (стоматит).
- Физическая травма челюсти, десны.
- Пломбировка зуба амальгамой.
- Синдром Пейтца-Егерса.
- Болезнь Аддисона.
Синдром Пейтца-Егерса и болезнь Аддисона — заболевания очень редкие. Об их наличии у человека известно с раннего детства. Одним из симптомов патологий является появление черных точек или пятнышек на небе, деснах, языке, губах.
Такое заболевание как стоматит может появляться по ряду причин, среди которых нарушения работы внутренних органов. Разбираться с причинами потемнения десен должен специалист.
Курение и темные десны
Постоянное действие никотина и смол оказывает пагубное влияние на весь организм, а на ротовую полость особенно. Почти все курильщики имеют следующие симптомы:
- черные пятна на деснах;
- изменение оттенка зубной эмали (смена на желтый или серый цвет);
- неприятный запах из ротовой полости;
- привкус горечи во рту.
Чтобы избавиться от темных пятен на деснах, нужно прекратить курить, желательно навсегда. Бороться с вредной привычкой всегда трудно. Сегодня бросить курить можно с помощью специальных пластырей и спреев.
Десна курильщика всегда темные и с различными заболеваниями
Когда причина нарушения будет ликвидирована, можно приступать к удалению черных пятен. Обычно десны лечат лазерной коррекцией. Небольшие участки потемнения можно убрать с помощью народных средств.
Если удалять темные пятна, не устранив причину (не бросив курить), достичь надежного результата не получится. Со временем почернение снова появится.
Стоматит как причина почернения десны
Стоматит – это воспаление слизистой оболочки ротовой полости. Возникновение стоматита связывают с реакцией иммунной системы на неопознанные молекулы. Причиной воспаления могут выступать:
- Гастрит (воспаление желудка).
- Дуоденит (воспаление двенадцатиперстной кишки).
- Колит (воспаление толстой кишки).
- Глистная инвазия.
- Язвы и покраснение слизистой появляются при несоблюдении правил гигиены ротовой полости.
Язвы и пятна на слизистой при стоматите имею белесый или желтоватый цвет. Но при наличии кровотечение или глубоком воспалении они могут становиться бурыми или черными. Лечится стоматит с помощью местных средств. Дополнительные меры для удаления темных пятен не нужны.
Грибок десен вызывает их почернение
Кариес и темные десны
С кариесом знаком каждый житель планеты Земля. Это вялотекущее разрушение твердых тканей зуба, которое вызывают неблагоприятные внешние и внутренние факторы.
Кариес деминерализует эмаль, постепенно в дентине образуется отверстие. Если не вылечить болезнь своевременно, патологический процесс достигнет пульпы и периодонта. Это опасное состояние, которое грозит потерей зуба. Кариес также может протекать скрыто. Разрушение происходит в глубине зуба, внешне изменения заметить трудно.
Запущенный кариес отражается на состоянии десны. У основания зуба она чернеет, может появиться небольшая припухлость.
Некроз зуба и его корня в десне — черное пятно
Травма челюстей и десен
Черное пятно на десне может оказаться гематомой, следствием сильного физического действия:
- удар по лицу, по челюсти;
- выбитый зуб;
- чрезмерное давление на десну ортопедических конструкций, слишком твердой пищи;
- удаление зуба с осложнением.
Физическая травма приводит к разрыву мелких сосудов, кровь вытекает в тканевое пространство. На десне образуется лиловый или черный синяк, иногда шишка. Постепенно высвобожденный гемоглобин разлагается, пятно меняет цвет на коричневый и желтоватый. О травме человеку должно быть известно, чтобы избежать нежелательных последствий, нужно обратиться за консультацией к специалисту.

Киста десны после пломбирования — темное пятно
Последствием серьезной травмы десны может быть инфекция, воспаление и даже некроз тканей. Поэтому запускать проблему нельзя.
Пятна от амальгамовых пломб
Амальгама – это сплав серебра и ртути, применяется как пломбировочный материал. Сегодня амальгаму используют для пломбировки зуба очень редко, разработаны более продвинутые материалы.
Если зуб был запломбирован амальгамой, десна вокруг него может потемнеть. Материал при длительном контакте со слизистой, окрашивает ее. Интенсивность и размер темного пятна зависит от особенностей лечения зуба. Горячие напитки и пища усиливают потемнение.
Пятна от амальгамы не должны вызывать беспокойства, это только эстетические проблемы. Если они появились, нужно обратиться за стоматологической помощью.
Лазерное лечение десен
Темные пятна можно удалить с помощью лазерной коррекции. Метод помогает восстановить мягкие ткани. Свет лазера обладает антисептическим действием, помогает убрать симптомы воспаления.
Применять лазерное лечение можно только после консультации со специалистом. Если стоматологическую причину почернения десны выявить не удалось, ткани забирают для гистологической диагностики. Необходимо исключить злокачественное перерождение клеток.
Доверять процедуру лазерной коррекции можно только специалисту с высокой квалификацией.
Неправильное проведение операции может привести к ожогам и другим нежелательным эффектам.
Медикаментозное удаление потемнения на десне
Если причиной потемнения десны является воспалительный процесс, проблему можно решить в домашних условиях с помощью аптечных средств.
Наиболее эффективные противовоспалительные стоматологические средства:
- «Ротокан» — спиртовой раствор лекарственных трав, применяется для полосканий. Полоскать рот нужно не менее 3 раз в день.
- «Метрогил Дента» — гель для десен, антибиотик. Курс лечения десен гелем составляет 30 дней.
- «Хлоргексидин» — антисептик для полоскания рта. Для полосканий используют раствор хлоргексидина в воде (пропорция 1:1). Не рекомендуется проводить процедуры с «Хлоргексидином» чаще одного раза в день, он может провоцировать ожоги слизистой.
Никакие лекарства не помогут избавиться от черных пятен на десне, если не соблюдены правила гигиены ротовой полости. Во время лечения нужно обязательно чистить зубы два раза в день, полоскать рот после каждого приема пищи.
Лекарственные препараты лучше всего комбинировать между собой. Утром после чистки зубов и языка можно использовать «Ротокан», затем смазать десну гелем. Перед отходом ко сну проводят полоскания с хлоргексидиновым раствором.
Препарат Ротокан имеет лечебное воздействие
Народные средства для лечения десен
Снять воспаление десен, убрать черные пятна помогут средства народной медицины. Они доступны каждому. Можно использовать народное средство только при отсутствии аллергии на компоненты.
Популярные народные средства для воспаленных десен и зубов:
- Травы (мята, мелисса, шалфей, душица). Отвар для полосканий готовится просто. Одну столовую ложку травы засыпают на 1 литр воды, заваривают на водяной бане 15-20 минут, дают остыть при комнатной температуре. Отваром полощут рот 2–3 раза в день.
- Алоэ. Если десна сильно воспалилась и опухла, нужно приложить к ней листок алоэ, мякотью вниз. Держать средство можно долго 1-1,5 часа. Процедуру повторять 2 раза в день.
- Сода. Сода – универсальное антисептическое средство для полоскания ротовой полости. В стакане теплой воды растворяют 1 чайную ложку соды, размешивают до полного растворения. Полоскать рот раствором рекомендуется утром, после обеда и вечером.
Если десна почернела из-за травмы, снять болезненные ощущения и отек помогут холодные компрессы. К щеке в области больного места нужно прикладывать лед на 15-20 минут, 3-4 раза в день. После травмы можно есть только мягкую и прохладную пищу, чтобы не создавать дополнительную нагрузку на десну.
https://youtube.com/watch?v=j-71QaLskeo
Народные средства — масла надо втирать в десну
Профилактика почернения десен
Чтобы на деснах вокруг зубов не появлялись черные пятна, нужно полностью устранить причины их появления.
- Профилактика потемнения десен:
- Отказ от курения.
- Своевременная диагностика и лечение кариеса, болезней десен.
- Гигиена полости рта.
- Правильное питание, рацион богатый витаминами и минералами.
- Чистить зубы надо не менее двух раз в день, пользоваться зубной ниткой.
- Профилактический осмотр у стоматолога по правилам нужно проходить два раза в год, тогда слизистые во рту не почернеют.
Причин почернения мягких тканей вокруг зуба существует множество. С происхождением нарушения должен разбирать специалист. Самодиагностика ни к чему хорошему не приведет.
Если почернела десна, начала болеть, отекать, появился неприятный запах изо рта, нужно немедленно бежать в стоматологическую клинику.
Потемнела десна: в чем может быть причина?
Красоту улыбки обеспечивают не только белоснежные зубы, но и здоровые десна. В норме у человека они имеют глянцевую поверхность и бледно-розовый цвет.
Потемнение десен – это серьезный повод для беспокойства. Это объясняется не столько проявлением косметического дефекта, а возможностью начала патологического процесса, который может нанести существенный вред здоровью.
Возможные причины
Изменённый цвет десневой поверхности, в зависимости от ситуации может приобретать разные оттенки. При этом данный симптом не всегда свидетельствует о начале заболевания, и в некоторых случаях, для его устранения достаточно изменить образ жизни.
Потемнение десен возникает в силу следующих причин:
- Травма. Обычно является результатом полученного удара. В этом случае образуется синяк из-за лопнувшего сосуда. На поврежденном участке появляется гематома вызывающая боль и отечность тканей.
- Гиперпигментация. Наблюдается у людей с повышенной выработкой меланина. Это красящий пигмент, который влияет на цвет глаз, кожных покровов и волос. Пигментные пятна имеют разное место локализации (язык, десна, нёбо). Чаще всего они возникают у людей с темным оттенком кожи на генетическом уровне. В некоторых ситуациях провоцировать такой признак может приём некоторых медикаментозных средств (Хлорин).
- Зубной камень. Развитие данной патологии вызывает потемнение десен между зубами (фиолетового или коричневого цвета). Полностью избавиться от твердого зубного камня можно только в условиях стоматологического кабинета.
- Применение пломбировочного материала с включением серебра. Частицы серебра используется как составляющий компонент при постановке амальгамовых пломб. Длительный контакт вызывает окрашивание слизистого эпителия вокруг зуба. Горячая пища и напитки усиливают степень потемнения десны. Пятна от амальгамы не сопровождаются болезненностью, но создают проблемы косметического дефекта.
- Меланома. Нераспространенная, но опасная форма рака кожи. При данной патологии вокруг сине-черных или коричневых пятен формируются участки слизистой красного, фиолетового или серого цвета.
- Гингивит. Тяжёлая форма с появлением язвенных очагов и участков некроза сопровождается скоплением гнойного содержимого в патологических десневых карманах. Чаще всего болезнь развивается как следствие иммунодефицитного состояния. На участках поражения мягкие ткани полости рта приобретают бурый оттенок, или становятся чёрного цвета. При этом человек страдает от симптоматики интоксикации (головная боль, озноб, упадок сил). Температурный показатель тела может достигать критических отметок. Болевые ощущения сопровождаются гнилостным запахом изо рта.
- Болезнь Аддисона. Аутоиммунное адренокортикальное воспаление лежит в основе генеза этой патологии. Заболевание сопровождается дисфункцией надпочечников, из-за чего уменьшается синтез гормона (Кортизола). Наряду с такими клиническими проявлениями как повышенная утомляемость, жажда, потеря аппетита и снижение веса у пациента во рту появляются небольшие пятнышки разных оттенков (серовато-черные, синие, коричневые или лиловые).
- Синдром Пицца-Джегерса. Точечные высыпания тёмно-синего или тёмно-коричневого цвета, это самый безобидный признак этой патологии. Их возникновение провоцируют множественные полипозные выросты в желудке, имеющие тенденцию к перерождению в онкологические новообразования.
- Табакокурение. Данная привычка в разы увеличивает риск возникновения онкологических заболеваний. Кроме неприятного запаха изо рта и привкуса горечи, у человека темнеют десна (становятся черными), а зубы приобретают желтый оттенок.
Дополнительная симптоматика
Изменённая окраска десны чаще всего возникает на раннем этапе заболевания, и является единственным клиническим проявлением. По мере развития остроты патологического процесса возникает определённая комбинация симптомов, появление которых возможно при разных болезнях (стоматологических или внутренних органов).
Чаще всего сопутствующей симптоматикой являются следующие клинические признаки:
- кровоточивость, возникающая во время гигиенического ухода за зубами;
- повышается чувствительность на горячую или холодную пищу;
- мягкие ткани во рту становятся отечными и рыхлыми;
- возникают эрозии и язвы;
- болевые ощущения разной степени интенсивности;
- смещение зубных единиц от изначального анатомического положения;
- гнилостный запах изо рта (иногда с привкусом горечи);
- отсутствие естественного блеска зубного ряда, и утрата глянцевой десневой поверхности.
Потемнела десна фото
После установки точного диагноза терапия пигментных пятен в ротовой полости может происходить с применением аптечных лекарственных средств, стоматологических процедур и методов народного врачевания. Но при этом необходимо соблюдать правила гигиенического ухода, совершая процедуру очищения зубного ряда дважды в день. После еды использовать зубную нить или ополаскиватели.
Медикаментозные средства
Для устранения процесса воспаления применяют:
Ротокан. Лекарственное средство на основе природных компонентов. Лечебная эффективность достигается путем применения после каждого приема пищи (минимум трижды в день).
Метрогил Дента. Гель на основе антибиотика. При необходимости курс терапии может составлять 30 дней.
Хлоргексидин. Перед применением раствор разбавляется водой.
Стоматологические процедуры
Особой эффективностью обладает процедура с применением лазера. Антисептическое действие убирает симптоматику процесса воспаления.

Кроме этого в условиях стоматологического кабинета производят профессиональную чистку, удаляя поверхностный налёт и бляшки, которые образуются в зубном кармане. Большую популярность получила процедура с применением ультразвука.
Рецептура народного врачевания
В качестве дополнительной терапии, по согласованию с доктором разрешается применение следующих лечебных составов:
- сбор на основе мяты, мелиссы, шалфея и душицы (приготавливают как обычный отвар);
- аппликация с наложением свежего листа алоэ (применяются дважды в день);
- раствор пищевой соды для полоскания (1 ложку добавляют в стакан воды);
- зелёный чай рекомендуется пить в течение дня, так как он выводит токсические вещества из организма (антиоксидантный эффект).
Важно знать!
Если составляющие лекарственных трав являются аллергеном для пациента, то их применение категорически противопоказано. Это может вызвать опасные аллергические реакции вплоть до отёка Квинке или анафилактического шока.
Изменение окраски десны, появление пигментных пятен и точек не должны оставаться без внимания, для чего человеку следует обратиться в медицинское учреждение.
Очень важно пройти полное обследование, которое включает в себя анализ на гистологию.
Его проведение обеспечит уверенность, что возникшие пигментации не вызваны структурными изменениями клеток, то есть не являются раковыми.
(1 5,00 из 5)
Загрузка…
9 причин потемнения дёсен и как с ними боротся
Когда кто-то чуствует себя хорошо, он автоматически улыбается, и на улыбку могут влиять не только форма, цвет и положение зубов, но и как выглядят десны. Красивая улыбка, безусловно, включает в себя здоровый вид дёсен
Причины потемнения дёсен
Здоровые дёсны легко заметить, они красного цвета, но если дёсны тёмного цвета, это определённо создаст впечетление нездоровых зубов. А что именно заставляет дёсны темнеть?
1. Курение
Одна из главных причин потемнения дёсен конечно же является курение. Помимо того, что это вредная привычка, курение может стать приной заболеваний лёгких. Не говоря уже о нежелательном воздействии курения на кожу, об опасном воздействии курения на зубы, потемнение губ и менее впечатляющий вид вашей улыбки.
Как часто вы курите, напрямую влияет на цвет ваших дёсен. Просто сравните дёсны курящего человека с некурящим, они определённо отличаются; дёсны курящих будут выглядеть темнее из-за химических веществ, присутствующих в сигаретах/в самом табаке.
2. Металлический материал в зубных пломбах
Если вам когда-нибудь сделали пломбирование зубов, тогда возможно вы знакомы с этой процедурой. Но вы должны знать что основные компоненты используемые в стоматологий содержат такие тяжелые металлы как серебро, ртуть, мышьяк, и могут быть регулярно поглощены нашими дёснами. Это то что делают десны тёмного цвета. Даже мягкие ткани вокруг них становятся темнее.
Если вы заметили, какую-нибудь изменение в ваших дёснах например, голубоватый цвет по краю дёсен и черная линия, то это причина изменения цвета из-за воздействия тяжелых металов.
Также, если у вас черные линий вокруг дёсен а также между дёснами и зубами, это также указывает на то, что пломбы являются главной причиной. Черный цвет десен может быть и физической причиной, но не повредит, если вы проведете обследование дёсен, и проконсультировавшись с зубным врачом – получить правильное лечение.
3. Системные заболевания
Системные заболевания часто бывают причиной затемнения дёсен. Более тёмный цвет ваших дёсен может быть связан с системным заболеванием, при котором пигментация меланином , железом или билирубином влияет на цвет дёсен.
Свойства, которыми обладает пигментация благодаря меланину, на самом деле являются физиологическими и тесно связаны с этническими группами которым мы принадлежим.

Заболевания которые могут увеличить риск пигментаций меланином могут быть следующее:
- Болезнь фон Реклингхазена также называется нейрофиброматоз и синдром Олбрайта или полиостатическая фиброзная болезнь.
- Синдром Пейтца–Егерса это заболевание или состояние, которое вызывает пигментацию меланина в слизистой оболочке рта и губ.
- Болезнь Аддисона это довольно распространенное заболевание, которое возникает в результате дисфункции надпочечников. Обесцвечивание дёсен, которое происходит из-за этой болезни, весьма разнообразно, потому что оно придаёт дёснам цвет от синевато-черного до коричневато-черного.
4. Некоторые лекарства
Прием лекарств не всегда безопасен, поскольку некоторые лекарства могут вызывать побочные эффекты. Эти лекарства, помимо органов могут нанести вред и нашим дёснам.
Лекарства, упомянутые здесь, включают трициклические антидепрессанты , противомалярийные средства, а также миноциклин; все три препарата способны привести к потемнений дёсен.
5. Воспаление полости рта
Воспаление полости рта также является одной из 9 причин потемнения дёсен.
Иногда воспаление, возникающее в полости рта, неизбежно. Кроме неприятного запаха изо рта, дёсна также меняют цвет.
Однако, если вы испытываете кровотечение, вам следует получить дополнительную информацию о причинах и лечении кровоточивости дёсен. Это важно, потому что обычно кровоточивость десен указывает на наличие воспаления и покраснения. Лучшее решение – немедленно обратиться к стоматологу, потому что все это может сделать наши дёсна темнее и менее приятными на вид.
6. Несоблюдение гигиены полости рта
Пигментация или обесцвечивание десен, безусловно, не сделает вашу улыбку привлекательной, и это может произойти, потому что вы, вероятно, не соблюдаете гигиену полости рта.
Как часто вы чистите рот и зубы? Возможно это то, что вам надо сделать чаще. Старайтесь регулярно чистить рот, в том числе дёсны и зубы, чтобы всегда быть здоровым.
7. Плохое питание
Употребление в пищу продуктов без необходимых для организма питательных веществ также может стать причиной потемнения дёсен. Черный или коричневатый цвет дёсен говорит о том, вы не употребляете достаточное количество питательных веществ.
Правильное питание будет всегда держать вас здоровым, включая ваши органы и полость рта.
8. Употребление алкоголя
Ликеры или напитки с высоким содержанием алкоголя являются одним из примеров непитательных напитков. Привычка выпивать очень вредна для здоровья и наносит вред вашему телу.
Не говоря уже о влиянии алкоголя на нашу кожу. Еще один плохой эффект, который дает алкоголь – это изменение цвета десен. И будет еще хуже, если у вас есть привычка употреблять алкоголь и курить одновременно.
9. Пребывание на солнце
Для тех из вас, кто занимается, в основном, на открытом воздухе, особенно часто на солнце, существует повышенный риск потемнения дёсен. И вы можете задаться вопросом, почему дёсна могут потемнеть из-за воздействия солнечного света, ведь дёсна на самом деле находятся во рту. Но не только наша кожа может потемнеть из-за воздействия солнечного света, но также и наши дёсна.
Как боротся с потемнением дёсен натуральными способами?
С потемненим дёсен, если не является результатом осложнений а также не существуют другие опасные заболевания, вы можете самостоятельно справиться дома, изменив свой образ жизни и всегда отдавая предпочтение чистоте и гигиене полости рта.
Ниже приведены простые методы для сохранения здоровых дёсен которые вы можете попробовать сами:
- Правильная и регулярная чистка зубов, например, два-три раза в день, поможет сохранить гигиену зубов, дёсен и всей полости рта.
- Регулярное полоскание горла жидкостью для полоскания рта, также будет поддерживать чистоту и гигиеничность полости рта. Но некоторые люди обеспокоены опасностью использования слишком большого количества жидкости для полоскания рта, поэтому, если вы не хотите использовать жидкость для полоскания рта, соленая вода может быть лучшей альтернативой. Полосните рот соленой водой, по крайней мере, два раза в день, чтобы убить бактерии.
- Проведите регулярную очистку зубов, у довереного стоматолога.
- Держитесь подальше от солнца, его воздействие может привести к потемнению кожи и дёсен. Если ваша деятельность требует, чтобы вы были на улице, носите аксессуары, которые помогают защитить верхнюю часть вашего тела и голову от солнечных лучей.
- Начните диету , которая увеличивает потребление витаминов, а также минералов и других важных питательных веществ. Большее потребление витаминов С и В поможет восстановить здоровье ваших десен. Пищевые источники, содержащие оба этих витамина, придаст вашим дёснам розовый, здоровый цвет.
- Бросить курить – это лучшее решение если ваши дёсна потемнели от курения. Или, если вы любите жевать табак, прекратите эту привычку, чтобы можно было сохранить здоровый вид ваших дёсен и вернуть их нормальный цвет.
- Используйте гвоздичное масло, которое можно регулярно наносить на потемневшую часть дёсен. При регулярном использований этого масла на потемневшие дёсна, вернёт их розовый цвет.
Как боротся с потемнением дёсен с помощью хирургий
Когда темные дёсны больше не могут быть преодолены простыми, но натуральными способами, тогда хирургия является лучшим решением.

Вот некоторая информация о хирургическом методе, чтобы помочь вашим дёснам вернуть их натуральный цвет.
- Известно, что хирургическое удаление затемненного наружного слоя является одной из самых популярных хирургических процедур, простых и даже эффективных, так что можно удалить более темный цвет дёсен и вернуть цвет к норме.
- Услышав об операци, многие думают, что это болезненно. Но пациенты не должны беспокоиться о боли, потому что стоматолог будет использовать местную анестезию, чтобы избежать неприятную боль.
- Во время этой хирургической процедуре стоматолог удаляет внешний эпителиальный слой дёсен, вместе со слоем соединительной ткани у основания. После того, как ткань удалена, вам просто нужно подождать, пока она восстановится, новый эпителий слой сформируется автоматически и больше не будет темного цвета.
- В течение не более 2 дней, вы сможете увидеть положительные результаты. Известно, что 20-30% нормальной пигментации вернется через 5-6 месяцев и, если что-то случится, немедленно обратитесь к стоматологу.
В заключение могу сказать что вид вашей улыбки и ваших дёсен на прямую зависит от стиля вашей жизни. Занимайтесь спортом, питайтесь правильно и думайте позитивно и у вас всегда будет красивая улыбка!
Чернеют зубы возле десен
Изменение цвета зубной эмали и околозубных тканей не всегда свидетельствует о патологических процессах в ротовой полости. В некоторых случаях это связано с употреблением красящих продуктов. Но если темные пятна в области шейки зуба увеличиваются и приносят дискомфорт, следует обратиться за помощью к стоматологу, так как данные симптомы выступают признаком развития пришеечного кариеса.
Причины почернения зубов возле десен
На состояние зубной эмали влияют различные бытовые факторы, а также системные и стоматологические заболевания.
К бытовым причинам потемнения в области десны относятся:
- частое употребление кофе, чая или красного вина;
- злоупотребление курением;
- присутствие в рационе натуральных соков (виноградный, томатный);
- примем препараторов, содержащих в составе глюконат железа.
Красящие напитки и соки способствуют появлению темной пигментации на эмали, которая носит временный характер и удаляется после гигиенических процедур.
Патологические процессы, вызывающие образование черного налета на зубах у десны:
- кариозные поражения;
- флюороз – болезнь, связанная с избыточным содержанием фтора в организме;
- пришеечный кариес;
- наличие зубного камня.
Пришеечный кариес – одна из причин темных пятен
Если зуб почернел у десны, это может быть симптомом прогрессирования пришеечного кариеса – кариозного процесса с локализацией в пришеечной области.
Пришеечный кариес считается одним из самых опасных разновидностей поражения зуба, так как протекает в скрытой форме, поражает зубную эмаль в уязвимом месте и в ускоренном темпе разрушает ее.
Патология имеет поэтапное развитие:
- Появление пигментированного пятна в области шейки зуба у десны.
- Образование шероховатой поверхности пораженной области.
- Повышение чувствительности к внешним раздражителям – горячей, кислой, холодной пище, появление боли.
- Изменение цвета пятна от светло-коричневого до черного.
Глубокий пришеечный кариес характеризуется значительным разрушением и осложняется развитием пульпита.
►►► Здесь! Читайте подробную статью о пришеечном кариесе и методах лечения этого заболевания.
Почему чернеют зубы у детей
Молочные зубы детей поддаются кариозным поражением гораздо интенсивнее, чем коренные, так как не имеют плотной структуры. Эмаль темнеет вследствие развития патологических процессов в полости рта, которые у детей спровоцированы:
- врожденной хрупкостью эмали;
- дефицитом кальция;
- нерегулярной гигиеной ротовой полости;
- авитаминозом;
- сколами на зубах;
- эндемическим флюорозом;
- хроническими болезнями органов ЖКТ;
- наследственным фактором.
Часто причиной почернения зубов у детей до 2 лет считается ночное кормление из бутылочки. При употреблении молока или смеси в ночное время, выделение слюны снижается. Кислоты, образующиеся на зубах при кормлении, не смываются естественным способом и запускают процесс разрушения эмали.
Профессиональная стоматологическая помощь
Лечение почернения зубов у десны в стоматологическом кабинете включает несколько этапов:
- Устранение причин, спровоцировавших изменение цвета.
- Отбеливание.
Если поверхность зуба у десны почернела вследствие наличия пришеечного кариеса, нужно предпринять меры для его устранения. Способы лечения почернения будут зависеть от стадии поражения эмали:
- На стадии черного пятна применяется реминерализирующая терапия: поверхность зуба очищают от налета и камня, в зону поражения наносят аппликации с фторсодержащими составами.
- На стадии поверхностного кариеса проводится полировка пораженного участка и его устранение.
- При среднем кариесе поврежденную часть зуба удаляют, обрабатывают область специальным препаратом и устанавливают пломбу.
- При глубоком кариесе происходит удаление пульпы и чистка каналов, после чего устанавливается пломба.
Если зуб чернеет у десны из-за отложений зубного камня, производится чистка пораженных участков одним из выбранных методов:
- механический – ручной способ с применением специальным инструментов;
- химический – удаление твердого налета с помощью составов на основе щелочей и кислот;
- чистка ультразвуком – для очищения эмали применяют аппараты, излучающие звуковые волны;
- лазерный – устранение зубного камня лазером.
Процедура отбеливания зубов является заключительным этапом очищения эмали от потемневшего налета. Для этой цели используют:
- лазерные установки;
- ультразвук;
- химические составы;
- специальные лампы.
Медикаментозное лечение потемнения зубов возле десен
Что делать, если чернеют зубы возле десен? Использовать для устранения проблемы местные и системные препараты, выбор которых зависит от причин, спровоцировавших развитие патологии.

Местное лечение предполагает применение реминерализирующей терапии, в которую включены такие препараты:
- Ремодент – противокариозное средство, восполняющее дефицит кальция и фтора. Применяется в виде растворов и аппликаций (1 порция вещества на 100 мл воды). Ватный тампон смачивают в полученном растворе и накладывают в область пораженного участка на 15–20 мин. Процедуру проводят 2 раза в неделю.
- Комбинация растворов глюконата кальция и фторида натрия.
Для отбеливания зубов, почерневших вследствие злоупотребления курением, применяют:
- препараты в виде гелей, содержащие в составе пероксид карбамида;
- концентрированный раствор перекиси водорода.
Длительность курса составляет 10–14 дней.
Популярные средства для удаления черного налета:
- Superoxol;
- Denta Lite Plus;
- Perfection White;
- Prema;
- Opalescence.
Для устранения темных пятен в области десен некариозного происхождения (эрозия эмали, флюоороз) используются:
- препараты с глюконатом кальция в виде аппликаций через день 1 раз в сутки;
- прием витаминов (ретинол, тиамин, лактат кальция, фитин).
Если почернение зубов возле десны провоцирует глубокий кариес, назначают:
- Кальцемин;
- Радопласт;
- Кальцидонит.
Народные средства
При черноте зубной поверхности около десен можно использовать средства народной медицины, которые оказывают отбеливающий эффект без рисков повреждения эмали.
Действенные рецепты при наличии темного налета для использования в домашних условиях:
- По 1 ч. л. соды и перекиси водорода смешать в отдельной емкости. Насести готовую смесь в область шейки зуба у десны с помощью ватного диска. После проведения процедуры ополоснуть полость рта теплой водой.
Длительное и частое воздействие перекиси водорода может повредить зубную эмаль, поэтому повторять процедуру нужно не чаще 1 раза в неделю.
- Смешать 2 ч. л. высушенных листьев шалфея и 2 ч. л. морской соли. Полученную смесь поместить на фольгу и подсушить в духовке при 180С в течение 20 мин. Использовать готовое средство для чистки зубов.
- 3 таблетки активированного угля растереть в порошок. Влажную зубную щетку окунуть в измельченный препарат и почистить зубы в течение 2–3 минут, уделив особое внимание пораженным участкам возле десен. Повторять процедуру 1–2 раза в неделю.
Профилактика возникновения налета
Для профилактики почернения эмали в области десен нужно придерживаться простых правил по уходу за полостью рта:
- регулярно проводить гигиенические процедуры;
- посещать стоматолога для своевременной санации ротовой полости;
- вести здоровый образ жизни;
- сбалансированно питаться;
- при первых признаках поражения зубной эмали обратиться к врачу.
Чернота в области шейки зуба у десны не только портит эстетичный вид улыбки, но и может привести к разрушению эмали. Для устранения потемневших пятен разработан комплекс мер, состоящий из стоматологических процедур и применения медикаментов, который направлен на укрепление и отбеливание зубной эмали.
- Муровянникова Ж.Г. – Стоматологические заболевания и их профилактика, Ростов н/Д: Феникс, 2011.
- Дмитриева Л.А. — Современные аспекты клинической пародонтологии, М., 2001.
- Яковлева В.И. – Диагностика, лечение и профилактика стоматологических заболеваний, Минск 1994.
- Боровский Е.В. и соавторы — Терапевтическая стоматология, М. 1998.
- Боровский Е.В., Леус П.А. — Кариес зубов, М., Медицина, 1979.
- Пахомов Г.Н. — Первичная профилактика в стоматологии, М., Медицина, 1982.
- Улитовский С.Б. — Энциклопедия профилактической стоматологии, СПб, 2004.
- Курякина Н.В. — Терапевтическая стоматология детского возраста, – Медицина, 2004.
Почернела десна вокруг зуба
Здоровая десна плотная, имеет глянцевый блеск и розовый цвет. Изменившийся цвет, появление темных пятен говорит о развитии патологического процесса вокруг одного или нескольких зубов.
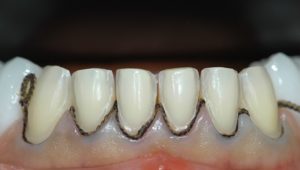
Фото 1: Распространенная причина потемнения десен — неудачное протезирование, установка коронки.
Протез локально нарушает кровообращение, кровь застаивается, ткани темнеют. На фоне белой зубной эмали десна выглядит черной. Но есть и другие причины приобретения тканями вокруг зуба темного оттенка.
Причины, по которым чернеют десна
Темные пятна на деснах появляются после установки зубных протезов, коронок, при запущенных заболеваниях периодонта, массивных отложениях зубного камня.
Потемнение десны вокруг зуба
С возрастом цвет десен может стать более темным по естественным причинам. Но в молодом возрасте потемнение говорит о наличии проблем. Появление коричневого, фиолетового оттенка свидетельствует о необходимости профессиональной врачебной помощи.
Отложения зубного камня коричневого цвета представляют собой отвердевший зубной налет, слюну и минеральные кальцинированные осадки из воды и пищи.
Если эти отложения растут на линии десен или под ней, вокруг зуба появляются темно-коричневые пятна. Избежать этого помогает ежедневная гигиена рта. Тот, кто считает, что у него есть зубной камень.
должен немедленно обратиться к стоматологу.
Это важно! Коричневое или сине-черное пятно на десне может свидетельствовать о том, что развивается оральная злокачественная меланома — опасный тип рака. Поблизости могут также быть красные, фиолетовые или серые пятна. К счастью, оральная меланома очень редко встречается.
Потемнение десны над зубом и под ним
Появление темных пятен с фиолетовым оттенком на десне может свидетельствовать о болезнях пародонта. При этом слизистая может краснеть отекать и болеть.
Обратите внимание! При отсутствии лечения зубы могут расшатываться, во рту появляется неприятный запах.
Заболевания периодонта
Затрагивают область вокруг зуба и под ним. Их вызывает отсутствие ухода за полостью рта, бактериальная инфекция. Перейдя в хроническую стадию, недуг поражает слизистую, ткань десны, кость, поддерживающую зубы. Пострадать может один зуб или сразу несколько.

Наиболее распространенные заболевания периодонта — гингивит и периодонтит. На ранней стадии они поражают только зубы. Позднее в процесс включаются ткани десны и кость. Ткани, удерживающие зуб, становятся рыхлыми, что ведет к его потере. Болеть могут люди любого возраста.
Симптомы периодонтальной болезни
- кровоточивость во время зубной гигиены;
- чувствительные, рыхлые, отечные десны;
- появление абсцессов, язв;
- постепенное смещение зубов относительно их первоначального положения;
- неприятный запах изо рта;
- непонятный дискомфорт, отсутствие здорового блеска десен и эмали.
Обратите внимание! На начальной стадии большинство пациентов не испытывает этих симптомов.
Причины заболевания
Основная причина — бактериальная инфекция, не удаляющийся регулярно зубной налет, кишащий бактериями.
Гингивит
Его вызывает оседающий у основания зуба налет. Десна становится красной, отечной, болезненной. Это ранняя стадия болезни периодонта, ее несложно вылечить.
Периодонтит
Прогрессирующий гингивит. Десна уже начинает отставать от зуба, в появившийся карман проникают бактерии, заражение устремляется глубоко в ткани. Бактериальные токсины постепенно начинают разрушать костную ткань, слизистая темнеет. Заболевание варьируется от легкой и умеренной до тяжелой формы, когда неизбежна потеря зубов.
Какие меры необходимо предпринять
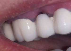
Фото 2: Кроме регулярной гигиены рта, можно бороться с заболеванием полосканиями и приемом препаратов, назначенных стоматологом.
Гомеопатия тоже предлагает несколько эффективных средств для укрепления десен, улучшения кровообращения в их тканях, подавления болезнетворных бактерий.
Если вы заметили необычно темный цвет десны, нужно немедленно обратиться к стоматологу. Промедление, допущенное в некоторых ситуациях, чревато потерей зуба.
Это важно! Специалист по всем проблемам ротовой полости — стоматолог. Он оценит проблему, поставит диагноз, если нужно — даст направление к другому специалисту.
Гомеопатия для лечения почерневших десен
| Алюмина (Alumina) | Препарат, укрепляющий зубы, снимающий болезненность при жевании. Уменьшает кровоточивость десен, неприятный запах изо рта. |
| Антимониум крудум (Antimonium crudum) | Помогает избавиться от кровоточивости, укрепить ткани десны. |
| Барита карбоника (Barita carbonica) | При расшатывании зубов, появлении на деснах вокруг зуба темных пятен. |
| Калькарея карбоника (Calcarea carbonica) | Неприятный запах изо рта, сухость языка и десен, кровоточивость слизистой, чувствительность зубов. |
| Карбо анималис (Carbo animalis) | Принимают те, кому необходимо укрепить зубы. |
| Дэррис пинта (Derris pinnata) | При расшатывании зубов, болезненности, потемнении десен. |
| Гекла лава (Hecla lava) | При пародонтозе, абсцессе на десне. |
| Ляхезис (Lachesis) | При рыхлых, кровоточащих деснах, ощущении жжения на слизистой. |
Обратите внимание! Преимущество лечения гомеопатией в ее безопасности и индивидуальном подборе комплекса препаратов для быстрого и эффективного излечения без рецидивов заболевания.



