Уплотнение в легких: что это может быть, причины возникновения и симптомы
Уплотнения в легких выявляют при помощи использования современных методов диагностики, таких как рентгенография, магнитно-резонансная томография.
Причиной их появления являются заболевания дыхательных путей, которые могут иметь различную природу появления:
- Бактериальную.
- Вирусную.
- Хламидийную.
- Микозную.
Еще причиной недугов могут являться стафилококки, палочкой Пфейфера (гемофильная) или Коха (туберкулез). В результате их воздействия на определенной стадии развития заболеваний в легких появляются уплотнения.
Также не стоит забывать о таком серьезном биче нашего столетия, как онкологические изменения тканей. Кроме перечисленного, на структурную целостность легких может влиять заражение сифилисом, получение легочного инфаркта или защемление тканей.
Поэтому важно не только своевременно (раз в год) проходить обследование, но еще и делать это у опытного специалиста, который сможет дифференцировать все эти заболевания на ранней стадии.
Легочный инфаркт, туберкулез, сифилис или пневмония различной этиологии – все эти заболевания выявляются при проведении рентгенографии или МРТ. Однако ни один из этих методов обследования не дает на 100% точного результата.
Они лишь говорят о том, что у человека с определенной вероятностью, может присутствовать недуг. Подтверждение получают при помощи других видов медицинского обследования: сравнения анализа крови с эталоном, выявление определенных маркеров или тел, пункции.
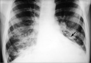
Уплотнение на снимке и дополнительные симптомы
На снимке или другом виде изображения врач видит черно-белую картинку – человеческие легкие. Для неподготовленного человека это ни о чем не скажет, специалист же сможет выявить многие недуги, даже начинающийся бронхит.
Уплотнения выделяются изменением окраса тканей в определенном месте. Исходя из интенсивности цвета, размера, месторасположения и других данных ставят предварительный диагноз.
Именно поэтому обычно рентгенолог не пишет, что присутствует подозрение на воспаление легких, туберкулез. Окончательный диагноз здесь даст исследование мокроты, а не картинка.
Фактически, уплотнение в легких – это определенный участок тканей, в котором произошли деструктивные изменения. Сама ткань этого органа имеет легкую структуру, в которой происходит циркуляция воздуха, когда человек дышит. Появление повышенной плотности говорит о том, что в легких начала скапливаться жидкость или происходит другое их негативное изменение.
Врач, проводя прием пациента, имеющего уплотнения в легких, составляет подробную клиническую картину развития недуга и проводит тщательный осмотр. Последний включает в себя не только визуальное исследование горла и ротовой полости, но и пальпацию тканей, прослушивание фонендоскопом. Чаще всего причиной негативного изменения являются вирусы и бактерии, реже – грибковые поражения.
Сейчас участились случаи выявления туберкулеза и злокачественных новообразований. Причинами такого явления в обществе можно считать как негативное воздействие на окружающую среду, так и частое нежелание людей вовремя посещать врача, проходить ежегодное обследование.
Некоторые люди отказываются от помощи не из-за финансовой несостоятельности, а потому, что у них попросту отсутствует свободное время. Диагноз «туберкулез» не имеет социальных границ.
Обычно при уплотнениях в легких наблюдаются такие дополнительные симптомы, как
- кашель,
- повышение температуры.
Если речь идет о туберкулезе, необходимо добавить:
- повышение потливости,
- одышку,
- быструю утомляемость.
Онкологическая природа недуга может проявляться болевым синдромом. Использование фонендоскопа позволяет определить пневмонию, бронхит, туберкулез.
Важно: рентгенография может быть ошибочна, МРТ имеет до 95% точности. Только более глубокие исследования крови, тканей и мокроты дают 100% верный результат.
Постановка диагноза
Одним из наиболее распространенных заблуждений является то, что врач может поставить диагноз на основе рентгеновского снимка, МРТ, прослушивания легких. Л
юбое заболевание дыхательных путей требует комплексного исследования: сдачи определенных анализов пациентом и применения инструментальных способов.
Даже если на снимке четко выражено наличие очаговой пневмонии, это же подтверждается при прослушивании фонендоскопом, а воспалительный процесс – анализом крови, необходимо еще сдать мокроту.
Слизь, выделяемая при недуге, содержит в себе патоген. Без выявления его природы невозможно назначить адекватное лечение, которое не приведет к появлению осложнений.
Наиболее яркий пример касается воспаления легких. Чаще всего данный недуг является осложнением после гриппа, но может иметь самостоятельное развитие. Обычно причиной его появления становятся вирусы и бактерии. К сожалению, выявлением только их нельзя ограничиваться.
У людей со сниженным иммунитетом, имеющих ВИЧ-позитивный статус, причиной пневмонии часто являются грибковые поражения. Прием распространенных и хорошо зарекомендовавших себя антибиотиков не даст результата в этом случае. Вернее, такое лечение может привести к тому, что пневмония перейдет в стадию хронического заболевания.
Так как уплотнения в легких являются видимым проявлением скопления жидкости, можно подумать, что они могут появиться только из-за усиленного выделения слизи. Но это не так. Есть и другая субстанция, дающая такой же эффект – кровь. Вызывать такой негативный эффект могут некоторые системные заболевания. Также причиной может стать получение травм различной этиологии.
Есть и другие причины, почему появляется скопление крови в легочной ткани, одна из наиболее неприятных – паразитарное воздействие.
Науке известно более сотни разновидностей гельминтов, которые могут проживать в человеческом теле и поражать органы дыхания. Даже аскариды, местом размножения которых является просвет кишечника, в определенных ситуациях могут мигрировать через дыхательную систему.
Поэтому при выявлении уплотнений в легких ни в коем случае нельзя заниматься самолечением, а обязательно нужно пройти полное обследование. Это поможет определить точную причину развития недуга и назначить правильное лечение.
Загрузка…
Усиление легочного рисунка в нескольких сегментах и перибронхиальная реакция | Второе мнение
Усиление легочного рисунка в нескольких сегментах возникает при поражении бронхов или интерстиция. Процесс бывает хроническим или острым. Стенки сосуда извилисты, утолщены, выпрямлены. Сосудистый рисунок в периферических отделах. Усиление легочного рисунка развивается при застойной сердечной недостаточности, пневмофиброзе.
Прикорневое сгущение формируется при поражении одного или нескольких сегментов пневмоний. Деформация за счет преимущественно интерстициального компонента обусловлена инфильтративно-пневмоническими изменениями.
Наличие гомогенных неоднородных очагов, фрагментов разной плотности и величины с четкими очертаниями сопровождается усилением интерстициального рисунка.
Усиление легочного рисунка в нескольких сегментах — почему возникает
В нескольких сегментах усиление легочного рисунка возникает по причине инфильтративных, органических, паразитарных заболеваний.
Раковый канцероматоз приводит к сгущению бронхо-сосудистого рисунка в нескольких отделах, на фоне которого на начальных стадиях сложно дифференцировать атипичную диссеминацию.
При пневмонии субстратом изменения легочного кровоснабжения становится скопление инфильтратов в альвеолах. Вокруг участка сниженной пневмотизации прослеживается усиление микроциркуляции с целью восполнения дефицита кислорода.
Усиление легочного рисунка, корни расширены, малоструктурны – результаты флюорографии
При расшифровке результатов флюорографии можно получить заключение специалиста о том, что легочной рисунок усилен, корни расширены малоструктурны. Любое отклонение от нормы в результатах рентгеновского обследования пугает специалистов.
Учитывайте, что флюорограмма или рентгенограмма является отображением суммационного наложения множества анатомических элементов грудной клетки. Вследствие этого рентгеновский синдром может быть сформирован заболеванием или временными функциональными нарушениями.
К примеру, если сделать снимок при повышении артериального давления, получится усиление легочного рисунка за счет кровенаполнения сосудов. Малая структурность корней – признак множества нозологических форм.
У пожилых людей малоструктурность (невозможность четкой дифференцировки легочной артерии на головку, тело и хвост) может быть обусловлена возрастными изменениями – разрастанием фиброзной ткани. Аналогичный синдром прослеживается при застойных изменениях при сердечной недостаточности.
Отдельным заболеванием, при котором прослеживается сгущение рисунка, является хронический бронхит. Патология распространена у курильщиков, работников промышленных предприятий.
При нозологии на флюорограмме прослеживаются следующие изменения:
• Малоструктурность корня; • Контуры легочной артерии и вены расширены, нечеткие; • Рисунок усилен, изменен; • Утолщение бронхиальной стенки;
• «Трамвайные рельсы» — чередование полос за счет усиленного кровоснабжения периферии бронхов с полоской просветления за счет бронхиальной задержки воздуха.
Признаки бронхообструкции сопровождаются увеличением прозрачности легочного поля с наличием следующих рентгенодиагностических критериев патологии:
• Уплощение купола диафрагмы; • Повышение прозрачности легочных полей; • Ограничение подвижности диафрагмы при рентгеноскопии; • Вертикальное расположение сердца;
• Гипертензия в малом круге кровоснабжения.
При запущенной бронхообструкции в верхних легочных полях на флюорограмме прослеживается повышенная воздушность альвеол (эмфизема) за счет их расширения. Для диагностики данного типа заболевания применяется прямая и боковая рентгенограмма. Снимок отражает следующие патологические изменения:
• Плотные участки сосудистого рисунка; • Интенсивное нарушение кровоснабжения с тяжистостью корней; • Выявление деформации за счет бронхоэктазов; • Сужение просвета артерий;
• Локальные участки уплотнения.
Усиление легочного рисунка, как перибронхиальная реакция при пневмокониозе
При 1 стадии прослеживаются узелковые изменения на рентгенограмме грудной клетки. На снимке небольшое количество очагов возникает симметрично с обеих сторон. Образования располагаются преимущественно в средних и нижних отделах.
На фоне заболевания возникает диффузное разрастание сосудов, что на флюорограмме прослеживается, как усиление легочного рисунка в результате перибронхиальной реакции. Последствие состояния — плевральные спайки, эмфизема верхних легочных полей, утолщение междолевой плевры.
Если корни фиброзно уплотнены, вероятен хронический процесс.
Вторая стадия узелкового пневмокониоза сопровождается образованием множественных узелковых теней с обызвествлением по мелкоячеистому, сетчатому типу.
Данная картина «снежной бури» сопровождается интактностью верхушек, которые остаются непораженными. Корни не структурны, бугристы за счет увеличенных лимфатических узлов.
На снимке прослеживаются опухолевидные или фиброзные узлы. Корни смещены в сторону патологии.
Рядом с очагами усиления легочного рисунка, перибронхиальная реакция сопровождается эмфиземой, плевральными наложениями.
Изменения рисунка, корней легких на флюорограмме обусловлены множественными патологическими и функциональными формами нозологии. Только при сопоставлении рентгенологических данных с другими диагностическими данными можно определить причины возникновения синдрома.
Пример описания рентгеновского снимка при хроническом бронхите
На прямой обзорной рентгенограмме прослеживается усиление, деформация легочного рисунка за счет интерстициальных изменений, распространенного пневмосклероза. Простым языком такое заключение можно объяснить искривлением бронхов, вокруг которых деформирован ход сосудов. Вокруг патологических участков прослеживается разрастание соединительной ткани.
Для более точной верификации морфологии рационально выполнение компьютерной томографии, но без необходимости пациента облучать не следует, чтобы предотвратить вероятное появление раковой опухоли.
Хронические процессы лечатся длительно. Лучевая диагностика не помогает подобрать лекарственные препараты, поэтому обоснования к выполнению компьютерной томографии при обнаружении усиления рисунка в нескольких сегментах нет.
Усиление легочного рисунка, корни структурны — как выявить пневмосклероз на снимке
Пневмосклероз — это патологическое состояние, при котором наблюдается разрастание соединительной ткани. При заболевании возникают патологические изменения, при которых поражается легочная ткань.

Пневмосклероз прослеживается при различных повреждениях легких и болезнях. Патология чаще всего является следствием необратимого повреждения структуры легочной ткани. Очаговые пневмосклеротические изменения прослеживаются при деструкции легочной ткани следствие неспецифического инфекционного процесса, туберкулеза, абсцесса, перибронхиальный склероза.
Причиной локального усиления легочного рисунка может быть карнификация пневмонии. Морфология предполагает зарастание воспалительных очагов соединительной ткани. Морфологически легочная ткань при данной патологии приобретает вид «сырого мяса».
Пневмосклероз может быть последствием химического или механического повреждения легочной ткани, лучевого воздействия.
Диффузный пневмосклероз прослеживается при идиопатическом фиброзирующем альвеолите, синдроме Хаммена-Рича. На фоне этих болезней корни структурны.
Только при выраженной стадии заболевания прослеживает фиброзное разрастание ткани в корнях.
Рецидивирующая инфекция при пневмосклерозе сопровождается нарушением очистительной функции, нарушением дренирования патологических полостей, локальной деформацией в области воспалительных или органических нарушений.
Рентгенограммы: усиление рисунка и затемнение в нескольких сегментах нижней доли справа
Цифровой снимок при интерстициальном пневмокониозе: сгущение и усиление рисунка в верхних и средних долях, эмфизематозность снизу с обеих сторон
Что значит если на снимке видно что легочный рисунок усилен
Флюорографию рекомендуют проходить ежегодно для выявления и профилактики заболеваний органов дыхательных путей.
Нередко врач-рентгенолог находит у пациента определенные изменения, которые описывает в медицинском заключении фразой «усиление легочного рисунка».
Что значит, что легочный рисунок на снимке усилен? Это может свидетельствовать как о легком недомогании, так и о серьезном недуге. Но если врач не назначил никакого лечения, опасаться нечего.
Что такое легочный рисунок и его усиление на снимке
Легочный рисунок – это сеть сосудов, которые проходят в тканях этого органа и создают характерные тени на снимке.
Нормой является состояние, когда изображение – довольно яркое у корней легкого и расходится по мере отдаления от них. Объясняется это сужением толщины сосудистого просвета по направлению от центра. В нижней части исследуемой области располагаются крупнейшие сосуды, и рисунок отчетливо виден.
Лимфоузлы и бронхи на снимке не визуализируются, а вот стенки воспаленных бронхов утолщаются и отбрасывают тень. По краю легочные поля – более прозрачные, так как сосуды здесь тонкие, а общая воздушность органа – выше.
Высокоинтенсивные затемнения могут возникнуть в ходе воспаления в прослойках между долями легких.
Усиление легочного рисунка – это более интенсивный показатель равномерной четкости сосудов и корней легких на снимке во всех частях и по краю. Такой признак одинаково указывает на наследственные и приобретенные недуги. Для них характерны обильное кровенаполнение органа, воспаление стенок сосудов, лимфоузлов, тканей в бронхах (наряду с их разрастанием).
В таком состоянии бронхи и сосуды сходятся, становятся стянутыми, извивающимися, сосудистые тени то усиливаются, то обрываются. Лимфососуды представляют собой прерывистые прямолинейные тени.
Если усиление рисунка локализуется в определенном участке, это означает, что очаг формирования патологии находится именно там, где это зафиксировано. Могут быть и иные причины: жидкость в нижних отделах, повреждение грудной клетки, злокачественная опухоль.
Ситуации, когда рисунок умеренно усилен, встречаются крайне редко. Обычно, это последствие вредных привычек (курение), либо заключение рентгенолога было сделано ошибочно.

Диффузное усиление – это перемены в рисунке легких, затрагивающее полностью все легочное поле и являющееся патологией дыхательной системы.
Диффузное (диссеминированное) усиление легочного рисунка на снимке имеет три разновидности: очаговую, сетчато-узелковую, сетчатую.
Когда рентгенолог говорит, что рисунок легких деформирован, значит, тени на снимке идут в нехарактерном им направлении, то есть «ломаются».
Деформация легочного рисунка – это нарушение нормальных структуры и формы элементов легких. Изменение изображения в сочетании с его усилением появляется, когда врач ставит такие диагнозы, как хронический бронхит, туберкулез, пневмокониоз, пневмосклероз.
Легочный рисунок считается нормальным, когда отвечает следующим требованиям:
- по форме напоминает бабочку;
- тени падают от центра к краю легких и завершаются на расстоянии на треть от наружной линии грудной клетки. Это значит, что край легочных полей не имеет преобладающего объема над составляющими легочного рисунка;
- тени от сосудов должны быть относительно прямыми на участках до и после их деления на сосуды крупного и мелкого диаметра;
- ширина теней от сосудов должна постепенно уменьшаться от корня к периферии, поэтому интенсивность теней в центре выше, чем по краю;
- четкость по всем полям на рентгене должна быть одинаковой.
Когда рисунок на снимке усилен в прикорневых зонах, это говорит о возрастных изменениях, физиологических особенностях организма и не является отклонением от нормы.
В этой зоне располагаются бронхи и несколько крупных сосудов, переходящих в более мелкие и исчезающих по краю.
Если при этом имеются какие-либо признаки болезней дыхательных путей (кашель, заложенность в груди), то, скорее всего, имеет место воспаление бронхов.
При воспалительных процессах в бронхах усиление рисунка определяется за счет отсутствия рентгенологических различий между сосудами и бронхами, увеличения площади прикорневой области. Причиной может быть фиброз прикорневой клетчатки.
При тяжелых формах патологий дыхательных путей, например, воспалении легких, хроническом бронхите, как правило, рисунок усилен с 2-х сторон.
Одностороннее или двустороннее усиление легочного рисунка указывает на наличие воспаления легких, острого или хронического бронхита, туберкулеза, митрального стеноза, первой стадии рака.
Причины усиления легочного рисунка справа, слева и в нижних отделах
Перед тем как делается вывод о причинах усиления рисунка, всегда учитывается возраст пациента, его образ жизни и сопутствующие болезни.
Усиление легочного рисунка в нижних отделах характерно для сегментарной и нижнедолевой пневмонии.
Локальные изменения отслеживаются на начальной стадии пневмонии, когда сосуды разрастаются вокруг инфильтративного очага. Похожая картина наблюдается по краю туберкулезного конгломерата. Недостаточность нижнего отдела при эндобронхиальном образовании обладает схожими признаками, но анализировать снимок нужно внимательно, поскольку образуется сетчатое повреждение.
Усиление легочного рисунка за счет интерстициального (инфильтративного) компонента может быть нормой для конкретного пациента, и волноваться не имеет смысла. Это бывает признаком осложнения при лечении пневмонии.
Если пациент курит длительное время, у него развивается хроническая обструктивная болезнь легких. У половины бывших курильщиков функция бронхов восстанавливается, а заболевание проходит.
Рекомендуется сделать спирографию и записаться на прием к пульмонологу.
Когда легочный рисунок усилен за счет сосудистого компонента, это также указывает на индивидуальные особенности физиологии человека. Возможно увеличение лимфатических узлов, но это может быть симптомом иных заболеваний.
В случае, когда смешанный тип теневого изображения усилен за счет острого воспаления при бронхите, пневмонии, раке, и отсутствуют характерные признаки, необходимо сделать повторный снимок через две недели и исключить онкологию дыхательных путей.

Структура легочной ткани может быть выражена за счет бронхиального компонента при воспалении внешней оболочки бронхов и возникает на фоне хронического бронхита.
В каких случаях стоит бить тревогу
Когда рентгенолог ставит заключение «усиление легочных контуров», не нужно отчаиваться. Флюорография считается необъективным способом диагностики болезней легких, где все зависит от квалификации и опыта специалиста. Поэтому нередки ошибки. Но в случае, если указано конкретное заболевание, например, пневмония, туберкулез, не стоит тянуть с терапией.
Когда на снимке наблюдается усиление рисунка прикорневого отдела легких, это говорит о воспалительном процессе в бронхах при простуде и острых вирусных заболеваниях. При диффузном усилении корни уплотнены, местами – тяжистые.
Флюорография помогает предупредить развитие серьезных легочных заболеваний при выявлении симптомов на ранних стадиях.
Если доктор направил на дополнительное обследование, нельзя отказываться и пренебрегать лечением – это чревато осложнениями.
Нормой для взрослого человека принято считать состояние, когда рисунок легких просматривается во всех долях, сосуды не расширены, нет локальных затемнений.
Усиление легочного рисунка у ребенка
Опасно ли делать рентген малышам? В отдельных случаях рентгенографию детям младше пятнадцати лет все же проводят, так как другого, настолько же информативного, способа определить состояние дыхательной системы не представляется возможным. Если дитя совсем маленькое, то присутствие взрослого обязательно. Снимок может не получиться, если маленький пациент кричал, плакал или не задерживал дыхание.
Как меняется легочный рисунок при заболеваниях
Так как в образовании теней участвуют сосуды и бронхи с окружающей их соединительной тканью, изменение контура практически всегда связано с патологиями дыхательной и сердечно-сосудистой систем.
Сюда можно отнести следующие недуги:
- хронический бронхит – легочные контуры на снимке флюорографии по всем полям усилены, иногда тяжистые, в запущенных случаях – деформированные;
- пневмония – в начальной стадии и первое время после выздоровления легочное изображение локально усилено;
- респираторное заболевание с поражением бронхов и острый бронхит – определяется усиленное теневое изображение, особенно в прикорневой зоне;
- заболевания сердца, вызывающие застой крови в малом круге кровообращения, сердечная недостаточность – усиление и обогащение легочного рисунка формируется за счет полнокровия сосудов в нижних отделах;
- бронхиальная астма. Тоже определяются диффузное усиление, тяжистость легочного рисунка. Если развивается эмфизема легких, рисунок обедняется. Это связано с перерастяжением легких и повышением воздушности легких, корни уплотнены.
При саркоидозе
Изменения на рентгенограмме при саркоидозе легких проявляются в 90% случаев.
Саркаидоз разделяют на пять стадий:
- 0-я – симптомов нет;
- 1-я – торакальная лимфаденопатия, паренхима легких не изменена;
- 2-я – лимфаденопатия корней легких и средостения в сочетании с изменениями паренхимы легких;
- 3-я – изменена легочная паренхима, лимфаденопатия корней легких и средостения отсутствует;
- 4-я – необратимый фиброз легких.
Помимо типичных симптомов саркоидоза существуют и разрушающие формы заболевания, буллезные изменения в легких, внезапный пневмоторакс.
При эмфиземе
Характерные изменения на рентгенограмме при эмфиземе в виде повышенной воздушности тканей легких происходят по причине длительного курения, последствий бронхиальной астмы или работы во вредных условиях (вдыхание пыли).
Диафрагма опускается, ее правый купол находится на уровне шейки 10-го…11-го ребра. Происходит расширение межребий или выпячивание грудины.
В случае выраженной эмфиземы диафрагма напоминает по форме палатку, вырастают ступеньки из-за сращивания и оголения в месте крепления диафрагмы к ребрам при ее сплющивании.
При туберкулезе
При туберкулезе на рентгене наблюдается усиленный сгусток в области поражения, а контуры легкого изменяются локально. Нередко туберкулез сочетается с хроническим и обструктивным бронхитом, поэтому местные изменения проявляются наряду с диффузным усилением.

Очаговый вид туберкулеза характеризуется ограниченным распространением в легком, отсутствием осложнений и слабыми симптомами, в то время как инфильтративный туберкулез не ограничивается определенной областью легочной ткани. Это могут быть небольшие или крупные инфильтраты на целую долю, одно или два легких. Инфильтрат – это фокус воспаления, вокруг которого активно собираются лимфоциты и лейкоциты.
Причины усиления прикорневого рисунка лёгких на рентгене
Первым и самым доступным исследованием, которое назначается при заболеваниях бронхолегочной системы, является рентгенография. В профилактических целях один раз в год нужно делать флюорографию легких.
Рентген, как исследование с более четким изображением, назначают в случаях появления признаков заболевания, для детального исследования и постановки диагноза. В рентгенологии существуют определенные стандарты вида здоровых органов.
Соответственно, диагноз ставится на основании признаков, характеризующих отклонения изображения от общепринятой нормы.
ВАЖНО ЗНАТЬ! Гадалка баба Нина: «Денег всегда будет в избытке, если под подушку положить…» Читать подробнее >>
Легочный рисунок в норме
Изменения в сосудах отражают наличие или отсутствие патологического процесса, а также динамику развития уже известного заболевания.
В рентгенограмме легких оценивают:
- легочный рисунок (сосуды );
- наличие светлых пятен (участки уплотнения);
- наличие темных пятен (участки с уменьшенным содержанием воздуха);
- расстояние между ребрами (оценка подвижности легких);
- корни легкого (уплотнение, расширение, деформация).
При оценке рентгена всегда учитывается возраст и пол пациента. Показатели нормы для ребенка, взрослого, мужчины и женщины всегда различаются.
Составными частями легочного рисунка являются:
- легочная артерия с ветвями;
- крупные вены;
- просвет промежуточного бронха.
Еще оцениваются корни легкого, которые сформированы главными бронхами и основными крупными сосудами.
Составными частями легочного рисунка являются:
- легочная артерия с ветвями;
- крупные вены;
- просвет промежуточного бронха.
Еще оцениваются корни легкого, которые сформированы главными бронхами и основными крупными сосудами.
В норме легочный рисунок сильнее выражен в прикорневых зонах, поскольку там располагаются крупные сосуды с большим просветом, и в базальных отделах, где легкие имеют максимальную толщину и скопление сосудов. Бронхи и лимфатические образования в норме не формируют тень рисунка.
Учитываются показатели радиальности и прямолинейности хода сосудов, веерообразное расхождение от корня легкого к периферии с постепенным утончением тени и снижением ее яркости. У взрослых сосудистый рисунок не доходит до края легкого 1-2 см, у ребенка — 0,5-0,7 см.
Если на флюорографии врач отмечает усиление легочного рисунка в прикорневых зонах, это также может быть вариантом возрастной или индивидуальной нормы. В таких случаях имеют значение наличие или отсутствие других симптомов, а также персональные особенности здоровья.
Если есть признаки заболевания, назначается рентген или компьютерная томография легких.
Механизм изменений и заболевания легких
Изменения легочного рисунка происходят в результате увеличения притока крови к пораженному участку, утолщения стенок сосудов, разрастания соединительной ткани бронхов и лимфатической системы. Тень сосудов становится более яркой, прерывистой.
Деформация сосудистого рисунка сочетается с уменьшением прозрачности легочных полей (собственной ткани легких). Усиление тени происходит не только в прикорневых зонах, но и на периферии.
Все анатомические образования на рентгеновском снимке видны более четко, так как в результате воспалительного процесса происходит уплотнение пораженных тканей.

Если усиление рисунка локализуется в прикорневом отделе, это указывает на начало патологического процесса, еще не получившего распространение, или заболевание с локализованным очагом поражения
Если усиление рисунка локализуется в прикорневом отделе, это указывает на начало патологического процесса, еще не получившего распространение, или заболевание с локализованным очагом поражения
Прикорневые изменения отмечают на начальной стадии следующих патологий:
- бронхиты;
- пневмонии;
- туберкулез;
- опухоли;
- силикоз, пневмокониоз;
- врожденные заболевания сердца.
При воспалительных процессах в бронхах усиление рисунка определяется за счет отсутствия рентгенологических различий между сосудами и бронхами, увеличения площади прикорневой области. Причины:
- фиброз прикорневой клетчатки;
- воспаление в самом бронхе.
При хроническом бронхите корни уплотнены и расширены. Рентгенологическими признаками пневмонии являются участки затемнения разной степени интенсивности. Прикорневая пневмония характеризуется вовлечением в воспалительный процесс главного бронха, лимфатических узлов. Распространяется на всю прикорневую область и носит локализованный характер.
После перенесенных воспалительных заболеваний усиленный легочный рисунок в прикорневой зоне может сохраняться до шести месяцев
При обнаружении подобных изменений на рентгенограмме не стоит паниковать. Легочный рисунок усилен даже при ОРВИ, если в воспалительный процесс вовлечены бронхи. Необходимо выполнять все назначения врача.
При повторных рентгенологических исследованиях обязательно будет отражена положительная динамика в восстановительном периоде.
При отсутствии других симптомов рекомендуется пройти дополнительные обследования для уточнения диагноза и назначения нового лечения.
Загрузка…
Корни легких расширены — что это, в чем опасность, что делать
Корни легких расширены – фраза, которую часто можно наблюдать на заключении рентгенолога. Она свидетельствует о ряде патологических заболеваний, которые развиваются не только в легких, но и в сердечно-сосудистой системе, а иногда – и в более отдаленных от бронхолегочной системы органах.
Термином “корни легких” называют область ворот или же входа/выхода легких. Корни – это по аналогии с деревом, которым на рентгенограмме выглядит бронхиальная структура (бронхиальное дерево). Но с анатомической точки зрения к корням легких отнесли главный бронх, а также легочную артерию и легочные вены (верхнюю и нижнюю).
В структуру корней включены также лимфатические сосуды и узлы вместе с нервами легочного сплетения.
Справочно. Следует отметить, что не все элементы корней (внелегочные) видны на рентгенограмме. Отсюда несоответствие понятия анатомического “корня легкого” рентгенологическому.
Легкое – это паренхиматозный орган, который состоит из альвеолярной ткани, воздухоносных путей, а также кровеносных и лимфатических сосудов. Все эти структуры отвечают за адекватное обеспечение функции внешнего дыхания.
Корень легкого – это анатомическое образование, включающее главный бронх, легочную артерию и вену, а также долевые сосуды и бронхи, которые от них отходят. Эти структуры окружены клетчаткой, в которой залегают лимфатические узлы и лимфатические сосуды. Изменение любого из этих анатомических образований следует рассматривать как патологический процесс в корне легкого.
Справочно. Корни легких расширены – это морфологический признак, который обнаруживается чаще всего на рентгенограмме и флюорограмме, реже – на компьютерной или магнитно-резонансной томографии.
Он не является конкретным диагнозом, не имеет определенных симптомов и способов лечения. Корни легких могут быть расширены по многим причинам, которые после установления данного факта следует уточнять.
Как правило, обнаружение изменений происходит следующим образом: пациент имеет жалобы, характерные для патологии дыхательной системы или просто проходит профилактический осмотр. Ему назначают рентген или флюорографию.
После проявления пленки врач пишет заключение: корни легких расширены или изменены. Далее пациент идет к терапевту, который проводит дополнительное обследование в поисках причины выявленных изменений.
Справочно. Таким образом, увеличенные корни легких – это симптом, который является проявлением патологии сердечно-сосудистой или бронхолегочной системы.
Рентгенография показывает тени органов грудной клетки и их расположение друг относительно друга. Более плотные органы создают большую тень, воздушные – меньшую.
Поскольку рентгеновская пленка является негативом действительного снимка, затемнением называют светлые структуры, дающие большую тень, просветлением – темные воздушные структуры.
Корень легкого выглядит как затемнение на фоне легочной ткани. Его можно обнаружить на границе легких и средостения на уровне I-IV ребра.
На рентгене большую часть тени корня создают артерии, поскольку они имеют большую плотность по сравнению с другими элементами. Бронхи содержат воздух, потому их различают по полоскам просветления на фоне сосудистого рисунка.
Структура корней легких
В заключении врачи-рентгенологи обычно пишут: “Корни легких структурны” или “Корни легких не структурны”.
Справочно. Эта фраза имеет важное диагностическое значение, поскольку каждый элемент в структуре корней имеет свою функцию и изменяется под действием определенных причин.
Каждый корень легкого имеет головку, тело и хвост. “Головкой” называют ту его часть, которая идет к верхней доле. В нее входит верхнедолевая легочная артерия, одноименная вена и бронх. “Хвостом” называют соответствующие нижнедолевые образования. “Телом” называется место соединения головки с хвостом и их переход в основание корня.
Все элементы этой структуры должны плавно переходить один в другой. Если они не различимы между собой, можно говорить о патологии корней легких.
Кроме того, в корне хорошо отличимы кровеносные сосуды от бронхиального дерева. Артерии видны на рентгене как полоски затемнения, которые делятся дихотомически. В норме они становятся уже от корня к периферии.
Справочно. Бронхи видны как полоски просветления. Они практически не видны на фоне легочной ткани, но главные и долевые бронхи выделяются среди артерий и вен корня. Вены на рентгене отличить от артерий нельзя.
Структурный корень должен иметь головку, тело и хвост, а также четко отличимые главные и долевые бронхи и сосуды. Если эти компоненты не видны или их невозможно различить между собой, говорят о бесструктурном корне.
Общая характеристика корней
Корни легких – это система, включающая ряд элементов. По состоянию элементов можно сделать выводы о состоянии всей системы. К значимым характеристикам относятся следующие.
Расширение
В норме ширина корня легкого соответствует ширине его артериального компонента и в области тела корня равняется 15 мм. Как правило, корни легкого расширяются с обеих сторон, но правый измерить легче, чем левый. Из-за того, что структуры левого легкого на рентгеновском снимке частично прикрыты тенью сердца, левосторонняя патология обнаруживается позднее.
Часто корни легких расширены вследствие увеличения их сосудистого компонента. Это наблюдается при левожелудочковой сердечной недостаточности, когда повышается давление в легочных венах из-за застоя в них крови. В легочной артерии давление может повышаться при заболеваниях легких, например, эмфиземе или ателектазе.
К расширению корня также приводят заболевания бронхиального дерева.
Справочно. Прежде всего, воздухоносный компонент корня расширяется при перибронхитах. При этом инфильтраты вокруг бронхов делают их тень шире, чем она должна быть в норме.

Опасным признаком является полициклически расширенный корень. Как правило, такая патология наблюдается с одной стороны. Полицикличность корню придают лимфатические узлы, которые располагаются по ходу крупных сосудов и бронхов.
Увеличение лимфатических узлов наблюдается чаще всего во время активного туберкулеза, но бывают и более редкие причины: саркоидоз и метастазы злокачественной опухоли.
Внимание. При этом, стоит помнить, что у молодых людей более вероятно наличие туберкулеза, а у пожилых – опухолевого процесса.
Как правило, уплотнение корней легких наблюдается совместно с их расширением и может быть обусловлено теми же причинами.
Справочно. Уплотнением называют более выраженную, чем в норме, интенсивность тени. В редких случаях корни легких уплотнены при нормальном диаметре их тени.
Изолированное уплотнение свидетельствует о хроническом процессе. Чаще всего эта патология встречается при хронических воспалениях бронхиального дерева, когда часть их стенки замещается соединительной тканью. При этом расширения тени не будет, но она станет более интенсивной.
Тяжистость
Тяжистость корней легких на рентгенограмме выглядит как усиление одного из компонентов корня, его выделение на фоне других в виде тяжа. Как правило, этот признак говорит о хронической патологии.
Справочно. Встречается при длительно существующих заболеваниях сосудистого русла, когда стенки артерий или вен значительно уплотняются.
Тяжистость бронхиального дерева свидетельствует о хронических заболеваниях легких, чаще всего, обструктивном бронхите и бронхиальной астме.
Как правило, тяжистость корней легких является двусторонним признаком и развивается с обеих сторон одновременно.
Фиброз
Фиброзом называют разрастание соединительной ткани в пределах паренхиматозных или полых органов. Фиброз корня наблюдается в том случае, если волокна соединительной ткани стягивают структуры корня, деформируют их.
Справочно. Как правило, фиброз развивается в легочной паренхиме, а затем распространяется на корни.
Причинами этой патологии могут стать длительно существующие пневмонии, ателектазы, хронические заболевания бронхов, хронические формы туберкулеза.
Усиленный легочный рисунок
Усиленный легочный рисунок – это различимость сосудистой сети легких на расстоянии более 15 мм от корня легких. У здорового человека, сосуды легких делятся дихотомически, уменьшаясь в диаметре от корня к периферии.
На расстоянии 10-15 мм они становятся настолько тонкими, что на рентгенограмме уже не видны. Различить их можно в том случае, если возникает артериальный или венозный застой в сосудах малого круга. Например, к такой патологии может привести сердечная недостаточность.
Выраженное воспалительное заболевание бронхиального дерева также приводит к усилению легочного рисунка. Но в этом случае не из-за сосудистого, а из-за бронхиального компонента.
Отличить на рентгенограмме артерии от бронхов можно по тому признаку, что последние отходят друг от друга под прямым углом. При делении артерий угол образуется острый.
Справочно. Причиной усиления бронхиального компонента легочного рисунка могут стать острые и хронические бронхиты.
Изменения корней легких свидетельствуют о том, что патология дыхательной или сердечно-сосудистой системы достигла стадии декомпенсации. Это касается хронических воспалительных заболеваний легких и хронической сердечной недостаточности.
Кроме того, изменения корней в сочетании с характерными очагами в легочной паренхиме позволяют диагностировать туберкулез.
Иногда полициклически измененные корни являются первым проявлением метастазов онкологических заболеваний.
Внимание. Опухоли часто очень быстро начинают метастазировать в легкие и лимфатические узлы корня, потому такая находка становится первым этапом диагностики рака.

Обнаружение измененных корней легких должно насторожить лечащего врача и пациента. Важно вовремя найти причину этих изменений.
Кроме того, следствием изменения корней легких может стать дыхательная недостаточность. Дело в том, что корни отображают самые крупные сосуды и бронхи легких. Если патологический процесс затрагивает эти структуры, механизм дыхания значительно изменяется.
Профилактика и лечение
Профилактика изменений корней легких заключается в ранней диагностике тех заболеваний, которые могут привести к такому исходу.
Внимание. В этом плане неоценимую помощь врачам оказывает ежегодное флюорографическое обследование населения. На флюорограмме видны все изменения легких, а иногда – и признаки сердечной патологии.
Лечить расширенные корни легких невозможно. Это симптом, который требует лечения той патологии, которая привела к его развитию. При успешной терапии основного заболевания, корни легких приобретают нормальную форму.
Перибронхит
Органы дыхания в здоровом состоянии позволяют спокойно получать необходимое количество кислорода и выдыхать ненужный углекислый газ. Многие люди сталкиваются с различными респираторными заболеваниями.
Часто они болеют насморком, ОРВИ, ларингитом. Не редкостью становится бронхит, который при затяжном течении переходит в хроническую форму.
Однако если бронхит воспаляет слизистую поверхность бронхов, то перибронхит поражает наружную оболочку.
Что это за болезнь? Все о перибронхите будет идти речь на vospalenia.ru.
Что это такое – перибронхит?
Что это такое – перибронхит? Это воспаление наружного слоя клетчатки бронха, который соединяет орган с близлежащими частями. Часто заболевание развивается на фоне хронического бронхита, который характеризуется обильным воспалением слизистой бронхов.
По путям проникновения инфекции разделяют виды:
- Аэрогенный – через просвет бронхов;
- Лимфагенный – через лимфу из лимфатических узлов.
перейти наверх
По формам развития разделяют:
- Острый перибронхит с ярко выраженной симптоматикой;
- Хронический перибронхит, который развивается в результате недолеченного или нелечимого острого перибронхита. Характеризуется периодическими ремиссиями и обострениями.
перейти наверх
- Компенсаторная – когда внутренние ресурсы организма позволяют компенсировать недостаток дыхательной недостаточности. Проявляется в кашле, одышке.
- Субкомпенсаторная – грудная клетка расширяется, одышка возникает даже в спокойном состоянии. Все больше нарастает дыхательная недостаточность.
Утомляемость возникает практически мгновенно.
- Декомпенсаторная – когда дыхательная недостаточность настолько высока, что человек не имеет сил для активного движения.
перейти наверх
Основной причиной перибронхита клетчатки бронхов является проникновение инфекции, которая попадает через воздух из просвета бронхов или от других органов организма, которые воспалены и через лимфу распространяют вредность.
При отсутствии лечения инфекция может распространиться на близлежащие альвеолы и ткани, провоцируя возникновение болезней бронхов (например, бронхит или бронхоэктатическая болезнь) и легких (например, пневмония).
Вредностями, которые поражают клетчатку бронхов, являются:
- Инфекции от других болезней: корь, грипп, коклюш, туберкулез и пр.
- Химические вещества, вдыхаемые через воздух.
- Застойные явления в легких из-за плохой работы сердца.
перейти наверх
Симптомы и признаки
Признаки и симптомы воспаления клетчатки бронхов возникают на фоне разрастания соединительной ткани вдоль бронхов и их рубцевания. Какие это симптомы?
- Повышение температуры до 39ºС;
- Ухудшение здоровья, что происходит очень резко;
- Выделяется обильное количество гнойной мокроты;
- Слышны шумы во время дыхания;
- Появляются симптомы бронхоэктатической болезни, которая начинает развиваться на фоне основного заболевания: снижение аппетита, потоотделение, одышка, кашель, кровохарканье, упадок сил;
- Повышенная утомляемость;
- Грудная клетка обретает округлую форму.
При кашле отходит зловонная гнойная мокрота, которая слегка улучшает общее состояние. Больному кажется, что он выздоравливает. На самом деле это не так. Перибронхит сам не излечится. Последующие приступы будут указывать лишь на развитие хронической болезни, которая будет лечиться более долго и серьезно.

перейти наверх
Перибронхит у детей
Перибронхит у детей развивается на фоне хронического бронхита, кори, гриппа, коклюша. Таким образом, следует вовремя лечить инфекционные болезни, которые провоцируют воспаление клетчатки бронхов.
перейти наверх
Перибронхит у взрослых
Перибронхит у взрослых проявляется достаточно часто, если больной пренебрегает лечением других респираторных болезней нижних отделов дыхательной системы. Вредность на работе также сказывается на развитии воспаления, соответственно, часто он встречается у мужчин, нежели у женщин.
перейти наверх
Диагностика
Симптоматика перибронхита настолько неуникальна, что ее часто путают с другими респираторными заболеваниями, например, бронхит или альвеолит. Поэтому это значительно ухудшает диагностику.
Больной обращается за помощью, чтобы устранить одну болезнь, на которую падают подозрения, а оказывается, что он страдает от другой болезни.
Инструментальные и лабораторные исследования тоже не дают точной картины, однако все-таки позволяют определить очаг воспаления:
- Делается анализ крови;
- Проводится бактериологический анализ мокроты, которая отходит вместе с кашлем;
- Проводится рентгенография, КТ и МРТ дыхательных путей;
- Проверяется аллергическая реакция на различные вещества.
перейти наверх
Лечение
Лечение перибронхита начинается с устранения основного заболевания, которое привело к развитию воспаления клетчатки бронхов. Часто данной болезнью является хронический бронхит. Лечение одной и той же области дает качественные результаты. Комплекс процедур практически одинаков.
перейти наверх
Чем лечить перибронхит?
Лекарствами:
- Антибиотиками, противовирусными или противогрибковыми препаратами, в зависимости от причины возникновения.
- Противоаллергическими препаратами, если причиной стала аллергия.
- Йодистыми препаратами, фибролизином и рассасывающими средствами.
- Мочегонными препаратами для снятия отека.
- Сульфаниламидами.
В качестве диеты выступает питание, полное углеводов. Дается больше теплой жидкости, чтобы способствовать разжижению мокроты.
В домашних условиях лечение не проводится, поскольку речь часто идет о двух заболеваниях одновременно – то, которое спровоцировало перибронхит, и само воспаление клетчатки бронхов. Здесь проводятся различные прогревающие процедуры (компрессы, аппликации, грелки, ванны), которые способствуют выздоровлению.
перейти наверх
Продолжительность жизни
Сколько живут при перибронхите? В совокупности с другими болезнями он дает неутешительный прогноз. При отсутствии должного лечения продолжительность жизни составляет несколько лет, в зависимости от осложнений, которые развиваются, и симптомов, которые они вызывают. Осложнениями являются:
- Гангрена легкого.
- Бронхит в обструктивной форме.
- Пневмония.
- Бронхоэктатическая болезнь.
- Дыхательная недостаточность.



