Из этой статьи вы узнаете о приступе подагры: какие факторы его провоцируют, характерные симптомы, на ноге. Сколько длится приступ, как его лечат, чем снять боль, что делать в домашних условиях.
Автор статьи: Стоянова Виктория, врач 2 категории, заведующая лабораторией в лечебно-диагностическом центре (2015–2016 гг.).
Дата публикации статьи: 01.06.2019
Дата обновления статьи: 18.01.2020
Содержание статьи:
- Причины приступа
- Характерные симптомы
- Диагностика
- Как можно снять приступ подагры
- Профилактика дальнейших обострений
- Прогноз
- Первоисточники информации, научные материалы по теме
Накопление кристаллов мочевой кислоты в суставах приводит к развитию подагрических приступов с интенсивным болевым синдромом.
Накопление и отложение мочевой кислоты в суставе при подагре. Нажмите на фото для увеличения
Подагрический приступ связан с:
- повреждением мягких тканей и хрящей сустава;
- развитием острого воспаления (например, при артрите);
- ограничением движения в суставе.
Подагрическими приступами чаще страдают мужчины в возрасте после 40 лет при погрешностях в диете – переедании мясной пищи, злоупотреблении алкоголем.
Подагра – хроническое заболевание, частые приступы ведут к потере трудоспособности вследствие нарушения функции суставов и развития его неподвижности (анкилоза).
Наблюдением и лечением болезни занимается ревматолог. При первичном возникновении приступа необходимо обратиться к терапевту для уточнения диагноза и направления на консультацию узкого специалиста, который посоветует, как снять приступ подагры.
Причины приступа
Чаще всего обострение появляется ночью. Оно может возникать без видимой причины.
Однако риск его развития повышается после употребления:
- алкоголя;
- большого количества пищи, содержащей много пуринов, – красного мяса, шоколада, какао, чая, кофе;
- продуктов, в составе которых избыток щавелевой кислоты, – щавеля, шпината, ревеня, редиса, баклажан, спаржи, зеленого лука, свеклы.
В зависимости от того, как часто возникают приступы, выделяют несколько степеней тяжести подагры:
| Степень | Частота приступов, количество пораженных суставов |
|---|---|
|
Легкая |
1–2 раза в год 1 или 2 сустава |
|
Среднетяжелая |
1 раз в 3–4 месяца От 2 до 4 суставов |
|
Тяжелая |
1 раз в 3 месяца и чаще 4 сустава – серьезные патологические изменения даже вне обострений |
Тяжелая форма подагры
Характерные симптомы
Преимущественно от заболевания страдает плюснефаланговый сустав большого пальца на ноге. Первый приступ будет именно с поражением этого сустава.
Нажмите на фото для увеличения
Однако со временем патология может распространиться и на другие суставы (подтаранные, межфаланговые, голеностопные, коленные).
Обострение возникает внезапно, часто это происходит ночью. Оно проявляется такими признаками в области больного сустава:
- Резкая невыносимая боль.
- Припухлость.
- Отечность.
- Краснота кожи.
Острый приступ может продолжаться до 10 дней без лечения. При правильной терапии он длится меньше 3–7 дней.
Диагностика
Если приступ развился впервые, то человек может еще не знать, в чем дело.
При обращении к врачу нужно будет подробно описать свои симптомы, а также пройти обследование:
- общий анализ крови – вследствие развития воспаления идет повышение уровня лейкоцитов;
- биохимический анализ крови – при подагрической болезни повышается уровень фибрина, мочевой кислоты, сиаловых кислот, гамма- и альфа-2-глобулинов);
- рентгенографию – поможет обнаружить патологические процессы в суставе;
- пункцию сустава с последующим микроскопическим анализом синовиальной жидкости – позволяет выявить в ней кристаллы урата натрия.
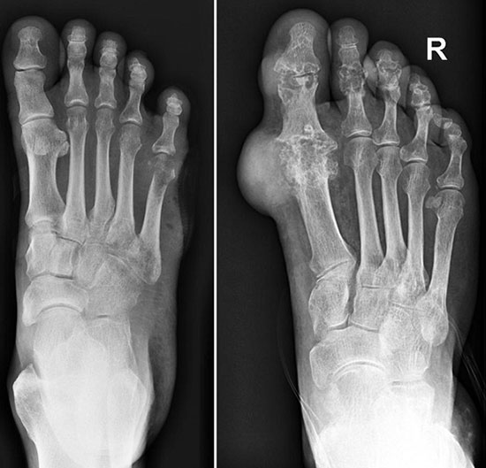
Рентген здоровой ступни (слева на фото) и пораженной подагрой (справа)
Как можно снять приступ подагры
Что делать, если сустав на ноге опух, как снять боль при подагре? Первая помощь заключается в немедленном обращении к врачу.
В связи с тем, что обострение чаще всего застает человека в ночное время, лучше всего вызвать скорую.
Симптомы и лечение острой формы подагры взаимосвязаны. Терапевтические меры направлены на избавление от болевых ощущений, отека и снятие воспаления.
Комплексное лечение состоит из:
- приема препаратов;
- физиотерапии;
- диеты;
- постельного режима;
- народных средств.
1. Лекарства
Медикаментозное лечение включает:
- Колхицин – препарат, специально предназначенный для лечения подагры. Он действенно снимает воспаление, воздействуя непосредственно на механизмы его возникновения. Средство угнетает гранулоциты – иммунные клетки, которые пытаются бороться в суставе с кристаллами уратов, провоцируя тем самым воспалительный процесс.
- Нестероидные препараты с противовоспалительным эффектом (НПВП) – снимают воспаление за счет блокирования циклооксигеназы – фермента, который участвует в развитии воспалительного процесса. Также обладают обезболивающим действием.
Препараты из этой группы выпускаются в таблетках и уколах. Для снятия приступа подагры используют Мелоксикам, Диклофенак.
- Кортикостероиды – гормональные препараты, обладающие мощным противовоспалительным действием. При подагре эффективно их применение в виде мазей, кремов, гелей. (Флуцинар, Бетаметазон).
- Препараты для местного использования – мази с НПВП в составе (Вольтарен, Фастум-гель), Финалгон, Фулфлекс и другие. Они помогают снять болевые ощущения и отечность.
Нажмите на фото для увеличения
НПВП, которые содержат салицилаты (Аспирин, Дифлунизал), противопоказаны, так как могут только усугубить ситуацию.
Нажмите на фото для увеличения
Инъекции внутрь сустава применяются в крайних случаях – когда другие способы не помогли снять воспаление.
Нажмите на фото для увеличения
2. Физиотерапия
Из физиотерапевтических процедур применяют:
- УВЧ – воздействие на организм высокочастотного магнитного поля для усиления кровотока и лимфотока, активизации иммунной системы, снятия воспаления;
- ультрафиолетовое облучение – применение ультрафиолетовых лучей для усиления тока крови, нормализации обмена веществ в клетках, стимуляции иммунитета;
- электрофорез с калием и литием – введение лекарственных веществ с помощью электрического тока для улучшения питания тканей;
- импульсные токи – лечение импульсами тока для устранения боли, воспаления, улучшения кровотока;
- компрессы с димексидом – препарат помещают в сложенную в 4 раза марлю, компресс накладывают на больной сустав на 20–30 минут ежедневно в течение 10–15 дней.
Курс лечения длится до выздоровления, и еще процедуры продолжатся 2 дня после.
Процедура электрофореза
3. Диета
Чтобы поскорее снять воспаление, нужно пить много воды (1,5–2 л в сутки, если нет почечной или сердечной недостаточности). Желательно пить минеральную щелочную воду, так как она поможет нормализовать в организме кислотно-щелочной баланс (Боржоми, Ессентуки № 4 и 17, Лужанская). Также можно пить и любые другие напитки, кроме кофе, чая и какао.
| Что можно и нужно есть | Следует отказаться от продуктов, которые усугубляют проблемы с обменом веществ при подагре |
|---|---|
|
Овощи: свежие, тушеные, отварные |
Жирная рыба |
|
Овощные супы |
Красное мясо |
|
Каши |
Щавель |
|
Фрукты |
Шпинат |
|
Шоколад |
|
|
Ревень |
|
|
Баклажаны |
|
|
Редис |
|
|
Свекла |
|
|
Спаржа |
|
|
Копчености |
|
|
Консервы |
|
|
Алкоголь (в особенности красное вино) категорически противопоказан |
Эта же диета рекомендована и в периоды ремиссии.
Читайте также:
Блюда для тех у кого подагра
4. Постельный режим
Больному рекомендован покой. Больную ногу (чаще всего сустав воспаляется на ноге) нельзя сильно нагружать. Желательно во время лежания подложить под нее подушку или валик, чтобы она была на возвышенности. Это поспособствует снятию отека.
5. Народные средства
Подагрический приступ лечить самостоятельно в домашних условиях лучше не пытаться – обострение пройдет, но само заболевание останется.
Домашние средства используются как дополнение к традиционным методам. Для снятия болей и отека эффективны:
- Компрессы из прополиса. Измельчите 50 г прополиса, поместите в термос и залейте 0,5 л кипятка. Оставьте настояться на сутки. Смочите сложенную в несколько раз марлю в приготовленной настойке и наложите на больной сустав. Держите компресс 15–20 минут. Делайте 2 раза в день. Прополис помогает снимать воспаление, отечность и боль.
- Ванночки из ромашки. Залейте 50 г растения 5 л горячей воды. Подождите, пока заварится. Дождитесь, когда вода будет комнатной температуры, так как греть больной сустав категорически запрещено. Поместите ногу в ванночку и подержите там 20 минут. Ромашка оказывает противовоспалительное действие.
- Отвар из череды. Залейте 20 г растительного сырья 1 стаканом воды. Поставьте на огонь, доведите до кипения и держите еще 15 минут. Пейте по 1 ст. л. 3 раза в день после еды. Череда снимает воспаление и способствует нормализации обмена веществ.
Перед применением любого народного средства проконсультируйтесь с лечащим врачом.
Прополис и настойка из него
Профилактика дальнейших обострений
Чтобы избежать приступов, соблюдайте такие правила:
- придерживайтесь диеты;
- полностью откажитесь от алкоголя;
- не забывайте принимать препараты, которые выписал врач для постоянного лечения подагры.
Прогноз
Чем чаще обострения – тем хуже прогноз.
Тяжелая подагра может оказаться летальной, так как воспаленность суставов на ее фоне – лишь одно из проявлений. Производные мочевой кислоты в виде кристаллов откладываются и на внутренних органах, что приводит к осложнениям со стороны сердечно-сосудистой и выделительной систем.
Из-за подагры способна развиться острая недостаточность левого желудочка, инфаркт миокарда, хроническая почечная недостаточность. Все перечисленные патологии могут стать фатальными.
Чтобы не допускать настолько тяжелой, опасной для жизни стадии подагры, нужно вовремя лечить приступы, а также строго соблюдать все правила, рекомендованные врачом, в периоды ремиссии.
Подагра в легкой форме имеет более благоприятный прогноз. Если начать лечение при первом же приступе, то можно добиться стойкой ремиссии на годы.
Первоисточники информации, научные материалы по теме
- Подагра. Клинические рекомендации. Ассоциация ревматологов России, 2016.
https://pharm-spb.ru/docs/lit/Revmatologia_Rekomendazii%20po%20diagnostike%20i%20lecheniyu%20podagry%20(ARR,%202014).pdf - Стандарты лечения подагры. Барскова В. Г.
https://cyberleninka.ru/article/n/standarty-lecheniya-podagry-rekomendatsii-eular - Царев В. П. Внутренние болезни – 2013.
- Противовоспалительная терапия острого и хронического подагрического артрита. Барскова В. Г., Якунина И. А., Consilium medicum, 2005, № 2 (7), стр. 103–106.
- Как быстро помочь больному с подагрическим артритом и не совершить ошибок (рекомендации практикующему врачу. Барскова В. Г. Русский медицинский журнал.
https://www.rmj.ru/articles/revmatologiya/Kak_bystro_pomochy_bolynomu_s_podagricheskim_artritom_i_ne_sovershity_oshibok_rekomendacii_praktikuyuschemu_vrachu/#ixzz5l50tDfCb - Обновленные рекомендации EULAR по лечению подагры. 2016 updated EULAR evidence-based recommendations for the management of gout.
https://ard.bmj.com/content/76/1/29
Загрузка…
Подагра – хроническое заболевание, главным проявлением которого является боль в суставах. Боли при подагре имеют приступообразный характер: с утра они ослабевают, а ближе к вечеру усиливаются, вызывая серьезный дискомфорт. Что вызывает подобные явления и как снять боль при подагре? Эти вопросы следует разобрать более подробно.
Что провоцирует приступ
При приступе подагры основную роль играет кристаллизация солей мочевой кислоты, находящихся внутри суставной сумки. Эти вещества, пребывая в растворенном состоянии, быстро приобретают форму кристаллов, вызывая раздражение окружающих тканей.
До сих пор механизм данного явления остается до конца неизученным. Считается, что кристаллизация уратов происходит под воздействием иммунных клеток организма. Они воспринимают соли мочевой кислоты как инородные вещества и пытаются бороться с ними.
Таким образом, симптомы подагры появляются в результате стойкого повышения уровня уратов в крови. Это происходит по одной из двух причин:
- здоровые почки не могут вывести чрезмерное количество мочевой кислоты;
- больные почки не справляются с обычным уровнем уратов, которые из-за этого остаются в организме.
Провоцирующим фактором может стать питание. Употребление большого количества жирного мяса и рыбы, злоупотребление кофе и алкоголем способствуют появлению подагрических приступов. Обострения заболевания характеризуются болями и отеками в месте пораженных суставов. Сколько длится приступ? Обычно все проявления болезни обостряются вечером, к утру понемногу стихая.
Теперь поговорим о том, чем снять боль при подагре на ногах и не только.
Первая помощь
Как снять приступ подагры на ноге? Основным средством, которое поможет быстро облегчить боль, является колхицин. Болеутоляющие при этом практически не дают никакого эффекта.
Лечение колхицином направлено на снижение иммунного ответа организма. Соли мочевой кислоты из кристаллов переходят обратно в жидкое состояние, что приводит к облегчению болевых ощущений. Также спадет отек и сустав вернется к своим прежним размерам. Пропадет и возникшее на месте воспаления покраснение.
Неотложная помощь при остром приступе подагры – компрессы с мазью Вишневского. Делать это лучше всего после охлаждения сустава льдом. Это повысит эффективность лечения колхицином и будет способствовать быстрейшему снятию симптомов.
Первая помощь при подагре помогает временно облегчить состояние пациентов. Однако эта болезнь требует более длительного и комплексного лечения. Так что делать, если приступы случаются не так уж редко?
Медикаментозные методы
Эффективными препаратами, которые очень часто применяются для лечения подагры, являются НПВС – нестероидные противовоспалительные средства. Обычно курсы их применения длятся две недели, к ним прибегают при частых острых приступах.
К медикаментам данного типа можно отнести «Бутадион», «Диклофенак», «Индометацин» и другие. При назначении средств от подагры врач должен преследовать две цели: препараты должны быть подобраны так, чтобы они помогали снять боль при подагре в домашних условиях, а также снижали общий уровень мочевой кислоты в кровотоке.
Вы уже знаете, как снять острый приступ подагры. А какие же медикаменты помогут снизить количество уратов в организме? К таким препаратам относятся:
- «Аллопуринол»;
- «Тиопуринол»;
- оротовая кислота;
- «Милурит» и др.
Лечить подагру можно не только таблетками. Огромную роль играет также диета. От питания пациента во многом зависит, насколько часто он будет сталкиваться с проявлениями болезни.
Диета при подагре направлена на снижение поступления продуктов с высоким содержанием пуринов. Мясо и жирная рыба относятся к нежелательным продуктам. К соблюдению диеты следует отнестись серьезно, ведь то, сколько длится приступ подагры, зависит от уровня уратов, а он, в свою очередь, напрямую связан с режимом питания.
Читайте также:
Уголь и семя льна при подагре
Кроме диеты и медикаментов, существуют также специальные процедуры, снимающие боль и помогающие улучшить состояние суставов. Симптомы подагры снимут:
- УВЧ-терапия;
- электрофорез с применением новокаина и бишофита;
- лазеротерапия и т. д.
Эти методы лечения способствуют скорому снятию симптомов заболевания, а также восстановлению поврежденных суставов.
Народные средства
Как снять приступ подагры в домашних условиях при помощи народных методов? Стоит сказать, что чаще всего такие средства, как и диета, и физиотерапия, должны выступать лишь дополнением к медикаментозному лечению.
При таком сложном заболевании, как подагра, как снять острую боль при помощи простых трав и компрессов? Очень часто одних этих средств недостаточно, однако и они пользуются некоторой популярностью. В народе чаще всего применяются следующие:
- чай липовый, а также из цветов боярышника и плодов шиповника;
- ножные ванны из цветов ромашки, календулы;
- компрессы из пихтового масла, пшеничной муки и дрожжей;
- растирание суставов настойкой цветов коровяка;
- мазь на основе цветов и коры каштана.
Помните: народные средства дают эффект в комплексе с диетой и медикаментами. Лечить подагру необходимо только под бдительным присмотром врача, ведь это заболевание грозит многими осложнениями, среди которых камни и опухоли почек, разрушение хрящевой и костной ткани в местах воспаления.
Избежать таких последствий можно, только если пациент понимает всю серьезность ситуации и будет придерживаться данных ему рекомендаций.
Видео «Лечение и симптомы подагры»
В этом видео специалист расскажет о том, какие симптомы бывают при подагре и как ее лечить.
Загрузка…
Возможно ли быстрое снятие боли при подагре? Подагра (др. греч. буквально — капкан для ног) — патология хронического характера, связанная с нарушением обмена веществ, при которой повышено содержание мочевой кислоты во всех жидких средах и тканях организма, вследствие чего кислота накапливается в виде кристаллов. Заболевание относится к категории метаболических нарушений, имеет приступообразный характер. Повышение ее в крови называется гиперурикемией.
Подагра известна еще с древности и описана впервые еще Гиппократом. Ее частота на сегодня 0,3%, мужчины страдают ею чаще в 2–7 раз. Пик заболевания приходится на возраст 40–50 лет. После менопаузы у женщин при отсутствии эстрогена подагра характерна и для них. Зависимость подагры от характера питания была отмечена еще во времена войны, когда заболеваемость ею резко сокращалась ввиду отсутствия мяса.
Клинические проявления подагры в основном в 2 видах — подагрического артрита и нефролитиаза уратами в почках. Скопления мочевой кислоты в суставах выражаются в появлении тофусов — шишек под кожей, содержащих мочевую кислоту. Эти подагрические узлы нарушают работу суставов.
Этиология явления
Завышенный уровень уратов — основная причина подагры. Такая картина может возникать только в результате 2 причин:
- поступление мочевой кислоты настолько повышено, что здоровые почки не успевают ее выводить;
- это как раз тот момент, когда человек имеет пристрастия в еде и не воздерживается при этом.
2 причина — кислота поступает в меру, но больны сами почки и с задачей выведения не справляются. Ураты выбирают места, где кровоснабжение меньше и откладываются именно там, потому что кристаллам здесь легче укрепиться: хрящи, суставы и сухожилия. Также они любят откладываться в почках, тогда у больного развивается МКБ, но при подагре у таких больных приступов почечных колик бывает мало. Провоцирующую роль играют также:
- пристрастие к красному мясу;
- жирной пище;
- бобовым;
- кофе;
- алкоголю;
- наследственная предрасположенность;
- ожирение;
- гиподинамия;
- патология печени и почек;
- незначительное употребление воды.
Симптоматические проявления
Сразу необходимо отметить, что вылечить подагру полностью не представляется сегодня возможным, но болезнь можно обуздать. Долгое время патология протекает без симптомов, потом вдруг возникает приступ острейших болей в суставе, чаще ночью. Больные характеризуют эти боли как грызущие, выворачивающие. Сустав краснеет, появляется опухоль, сустав и окружающая его ткань начинают гореть. Общая гипертермия может достигать 40ºС. Симптоматика развивается в течение часа.
Излюбленная локализация — большой палец ноги, его плюснефаланговый сустав, вокруг него появляется припухлость и краснота. Классические анальгетики в это время неэффективны. Днем боль немного отступает, но вечером все начинается снова. Такой острый период может продолжаться до недели. Затем подагра стихает и переходит в дремоту до полугода — года, иногда до 3 месяцев, нередко затишье может быть длительным — 10–20 лет.
Молчание — не синоним выздоровления. С каждым приступом время ремиссий будет сокращаться. Сустав постепенно разрушается, поражаются соседние суставы. Подагрические узлы, появляющиеся со временем — показатель того, что организм активно борется с солевыми отложениями, пытаясь их разрушить при помощи лейкоцитов, воспринимает соли как инородное тело. Прибытие к пораженной зоне лейкоцитов и выражается в воспалении, ткани становятся отечные. Воспаленные тофусы лопаются, и появляется белая пыль — это не что иное, как кристаллы мочевой кислоты. Поражается обычно 1 сустав.
Хроническое течение характеризуется:
- появлением артритов в мелких и средних суставах конечностей, давящими ощущениями в них;
- МКБ;
- тофусами в суставах, веках и ушных раковинах.
Часто на первом пальце ноги появляется уродливая шишка-нарост, опухоль, которая мешает обуваться. Зона больного сустава багрово-синюшная, опухшая, чувствительная даже к легкому прикосновению. В почках кристаллы уратов способны повреждать их канальцы. Это ведет к появлению в них воспалений — гломерулонефритов, пиелонефритов и нефритов. Течение таких воспалений незаметное, но они могут быстро привести к ОПН.
Помощь при приступе
Чем снять боль при подагре на ногах? Даже с выполнением всех рекомендаций при приступе снять боль мгновенно невозможно. Но облегчить состояние, сократив время боли, можно. Сколько длится приступ подагры? Обычно он длится от нескольких часов до недели.
Для начала больному прописывается постельный режим и полный покой ноге. Ноги должны быть приподняты подушкой выше уровня головы.
Что делать при приступе подагры? При нестерпимой боли пораженный сустав можно обложить льдом на полчаса. На ночь обязателен компресс с мазью Вишневского или Димексидом. Питье щелочных напитков — овсяный и другие кисели, минеральная или простая вода с лимоном, молоко. Другая еда исключается на время. При здоровых почках объем потребляемой воды 3 л.
Читайте также:
Подагра мочевая кислота диета при подагре
Снять острый приступ подагры моментально невозможно, но уменьшить воспаление и отек можно применением НПВС курсом на 2 недели — Бутадион, Метиндол, Ибупрофен, Диклофенак, Индометацин, Напроксен и др. Большую роль играет питье щелочных вод при обострениях: она нормализует обмен и хорошо выводит с мочой пурины. Пурины — это как раз те вещества, которые поступают с пищей или образуются в организме, они являются предшественниками мочевой кислоты. Воды должны быть щелочными и с органическими веществами — Нарзан, Ессентуки и Боржоми.
Читайте подробнее: Лечение подагры Ибупрофеном
Принципы лечения
Лечение острого приступа подагры должно преследовать 2 цели: купировать приступ боли и обеспечить профилактику обострений. Для этого необходимо добиться снижения уровня мочевой кислоты в крови и снять воспаление. С этой целью в комплекс лечения включается диета, лекарственные препараты, физиотерапия, ЛФК, массаж, народные средства.
Снижение мочевой кислоты достигается при назначении таких лекарств, как:
- Оротовая кислота;
- Аллопуринол;
- Милурит;
- Бензобромарон;
- Фебуксостат;
- Пробенецид;
- Пеглотиказа;
- Гепатокатазал;
- Тиопуринол.
Они служат для профилактики приступов и растворения кислоты, уменьшения ее синтеза. Курс приема у них длительный, выбор препарата определяется врачом.
Быстрое снятие боли при подагре проводится приемом Колхицина, ГКС — Гидрокортизон, Метипред, Преднизолон (можно вводить внутрь сустава). Снять отек ноги ими можно быстро, боли в ноге, отечность и припухлость с краснотой они убирают быстро. Эффект заметен уже в первые сутки применения. Поэтому их общий курс не превышает 2 недель.
Обязательным является и местное лечение — компрессы с Димексидом, мазью Диклак или Диклобене, можно делать аппликации. Хондропротекторы назначаются для улучшения общего состояния суставов, сроком как минимум на 3 месяца и больше: Терафлекс, Дона. Витамины и препараты кальция — Кальцемин, Кальций-компливит и др.
Лечение без лекарств невозможно, они обязательный компонент.
Физиотерапевтическое лечение
Лечить физиопроцедурами можно при хронизации процесса только в период ремиссий. Они нормализуют воспалительное явление, кровообращение и биохимические процессы в месте поражения. Чаще других назначаются:
- электрофорез с новокаином и бишофитом;
- волновое лечение;
- парафин;
- УВЧ;
- лазеро- и бальнеотерапия.
Для улучшения состояния хрящевой ткани, восстановления ее двигательной функции применяют ЛФК и массаж. Умеренная физическая нагрузка улучшает подвижность суставов и предупреждает боли в ногах, разрабатываются мелкие суставы конечности, которые поражаются быстрее всего. Физическая активность не показана только при остром приступе.
Народное лечение
Народные методы являются лишь дополнительным подспорьем в лечении. Применяемая фитотерапия дает мягкий эффект. Средства могут быть общие и локального воздействия, например:
- Чаи из липы, плодов шиповника, боярышника, тимьяна, душицы, цветков синеголовки.
- Теплые ванночки из ромашки, календулы, бессмертника.
- Компрессы из пихтового и чесночного масла, пшеничной муки и дрожжей.
- Растирки из настойки цветков коровяка.
- Мазь из барсучьего жира, можжевельника и лаврового листа, мазь на основе цветов и коры каштана.
Чесночное масло и настойку каштана употребляют и внутрь.
Медикаментозные средства
Удаление избытка и нормализация уровня мочевой кислоты — на 90% прекращает приступы. Из лекарственных средств применяются:
- Аллопуринол — угнетает синтез мочевой кислоты. Этим он снижает ее концентрацию в организме. Кроме того, он постепенно растворяет излишки мочевой кислоты в почках, суставах. До сих пор это препарат № 1 в лечении подагры.
- Фебуксостат (Улорик, Аденурик) — избирательно угнетает ксантиноксидазу, препятствуя синтезу мочевой кислоты. Результаты его применения таковы, что уже через 3 месяца курса он полностью растворяет кристаллы уратов в суставах и не дает им накапливаться снова. Его большой плюс в том, что почечные патологии для него не помеха.
- Пеглотиказа (Pegloticase, Krystexxa) — лекарство для вливаний, содержит энзимы для растворения мочевых солей. Применяют при тяжелой форме протекания процесса для его стабилизации.
- Пробенецид (Сантурил, Бенемид) — его особенность не в том, что он уменьшает синтез мочевой кислоты, а в том, что он не дает ей обратно всасываться в почечных канальцах. Поэтому она выходит с мочой. Применим только при ремиссии.
- В качестве обезболивающих назначают Фулфлекс: поможет снять острую боль быстро, но ненадолго. Имеет противовоспалительный и противоотечный эффекты. Применяется местно и внутрь.
- Колхицин — очень хорошо снимает боль, и купирование приступа подагры проводят именно им. Уменьшает ураты, не давая выпадать в кристаллы. Содержит безвременник осенний. Он не дает лейкоцитам двигаться к очагу воспаления. Используется как неотложная помощь. В первые 12 часов приступа выпивают сразу 2 таблетки, с интервалом в час еще 1, в дальнейшем — по схеме врача.
Что можно сделать дома?
Как снять боль при подагре? Если у больного случился приступ дома, нужно обеспечить покой больной ноге:
- Создать для нее возвышение из подушки.
- К воспаленному участку приложить лед: несколько раз в день до получаса, пока боль не пройдет.
- Давать больше пить — в день до 1,5 л щелочной минеральной воды или простой подсоленной. Хорошо применять травяные чаи.
Фулфлекс — можно использовать как средство первой помощи. Боль при подагре в домашних условиях можно снять и аппликациями из Димексида и Новокаина, взятых в равной пропорции. Вместо Димексида можно использовать водку в виде компресса на ночь.
ГКС — очень хорошо снимают воспаление и отек, но угнетают иммунитет, поэтому врачи стараются применять их при перевешивании пользы от риска.
НПВП — имеют противовоспалительное, но более медленное, не иммуносупрессорное, действие, их применяют чаще и без особой опаски. Обычно назначают Диклофенак и Ибупрофен.
Последние исследования американцев показали, что к подагре предрасположены толстяки, любящие колбасы и сосиски. Выявлена прямая связь подагры и дефицита кальция и витамина С: после 40 лет их всегда не хватает.
Профилактические мероприятия
Требования профилактики довольно просты: правильный рацион и умеренные физические нагрузки. Физкультуре должно уделяться не менее 30 минут в день, это могут быть любые активные движения от танцев до плавания.
Норма выпиваемой в сутки воды — не меньше 2 л. Следить за уровнем мочевой кислоты в организме: не выше 60мг/л. Необходимо исключить субпродукты и жирные колбасы, мясо, копчености, бобовые, щавель, ксантины — кофе, чай, шоколад. Зато можно употреблять нежирное молоко, яйца, крупы, сыр, фрукты и овощи: они не содержат пурины. Для диеты подойдет стол № 6.
Избегать любого травмирования суставов и узкой обуви, подагра любит поражать поврежденные места.























