С этой процедурой знаком каждый взрослый. Весь процесс занимает не дольше трех минут, и никаких болевых ощущений при этом не возникает, но тело принимает определенную дозу облучения. Поэтому далеко не все хотят лишний раз «облучаться», находясь в абсолютном здравии. Так сколько раз в году можно делать флюорографию без опасных последствий для здоровья?
Легкие под контролем! Безопасная частота проведения флюорографии
Любой человек старше 15 лет может проходить флюорографическое обследование 1 раз в год. Доза, которую он получит даже на старом пленочном аппарате, не причинит ущерба его здоровью. Результат выдается на следующий день (он будет готов в течение 24 часов). Справка действительна 12 месяцев.
Говоря о том, сколько раз в году можно делать флюорографию, имеется в виду, конечно же, не календарный год. Отсчет времени до очередной ФЛГ следует вести с даты, когда вам был сделан снимок.
Важно! Этот вид диагностики не используется в педиатрии! Во сколько лет делают флюорографию детям? Она разрешена с 15-летнего возраста.
Кто должен «светить» свои легкие дважды в год?
Для определенной категории граждан вопрос: сколько раз можно делать флюорографию взрослому, имеет другой ответ. Ведь в некоторых случаях ее приходится выполнять чаще. Для здорового человека ФЛГ разрешено делать максимально 2 раза в год с промежутком в 6 месяцев.
Флюорография с полугодовым интервалом — мера вынужденная! Такая периодичность показана тем, у кого шансы заражения (приобретения) болезней легочной системы выше, чем у всех остальных. В два раза чаще «светить» грудную клетку должны и те, кто по роду своей деятельности в случае инфицирования способен передать грозное заболевание большому кругу людей (включая детей).
Лица, которым необходимо делать рентгенографию два раза в году:
- имеющие постоянный или периодический контакт с больными туберкулезом;
- сотрудники дошкольных заведений;
- повара и другие работники учреждений общепита;
- рабочий персонал, занятый на вредном производстве (химическая промышленность, производство резины, асбеста);
- шахтеры, сталевары;
- военнослужащие;
- пациенты с ВИЧ-инфекцией, психическими и наркологическими заболеваниями;
- осужденные, отбывающие наказание в колонии, и после выхода на свободу.
Поводом для внепланового ФЛГ могут стать продолжительный кашель неясного происхождения и другие симптомы, косвенно указывающие на возможность поражения органов дыхания, в частности — туберкулез.
Обязан ли врач делать ФЛГ чаще среднестатистического гражданина?
Горячие споры нередко возникают по поводу того, сколько раз делают флюорографию медработникам. Хотя на этот счет разработаны специальные нормы, но практика показывает, что в каждом лечебном учреждении свои правила.
Ежегодно выполнять ФЛГ обязаны все работники медицинской сферы и оздоровительных организаций. Но медицинские работники родильного дома, тубдиспансера должны делать снимок легких 2 раза в течение года.
Сколько снимков, и с какой частотой можно сделать при воспалении легких?
Очередную ФЛГ надо проходить, когда закончился срок действия предыдущей. Но бывают ситуации, когда ее назначают повторно намного раньше (внепланово). Например, это требуется при воспалении легких. Сколько раз можно делать флюорографию при пневмонии, определяет лечащий врач в зависимости от течения болезни и эффективности терапии. Обычно выполняют 3 снимка.
Минимальный срок между двумя такими обследованиями должен достигать хотя бы трех недель. Но больного, скорее всего, направят не на ФЛГ, а на рентген. Его делают через 3 — 4 дня от начала приема антибиотиков, а затем через 6 — 10 дней.
Если больной находится на стационарном лечении в туберкулезном диспансере, то снимок легких ему будут выполнять 1 раз в месяц.
На заметку! Из всех видов рентгенодиагностики (КТ, рентгенография, рентгенограмма), флюорография является самой недорогой и малоинформативной. Она может «не заметить» мелких новообразований. Даже если с ее помощью удалось обнаружить очаг поражения, то для постановки точного диагноза требуется более детальный скрининг с помощью другого диагностического метода.
Почему нельзя часто ходить на флюорографию?
Строгое ограничение частоты проведения таких процедур связано с тем, что во время ФЛГ пациент повергается лучевой нагрузке. Влияние ионизирующего излучения невозможно почувствовать сразу, но в дальнейшем (если превышены дозы или человек получил слишком много «радиации») это может привести к развитию онкологии и другим, не менее страшным, последствиям.
Насколько опасна флюорография? Предельно допустимой дозой считается суммарный годовой показатель в 5 миллизиверт. Если вы сделаете пленочную ФЛГ, через ваше тело пройдет 0,5 мЗв (50% от эффективной эквивалентной дозы). Это значение «не дотягивает» до опасной границы (но все же в 5 раз больше, чем при рентгене). Если сделать ФЛГ дважды за год, то доза облучения составит около 1 мЗв, то есть 100% от безопасной нормы. Превышать ее не рекомендуется, потому что надо принимать во внимание также естественное «облучение» (фоновую радиацию).
При проведении цифровой ФЛГ риски для здоровья намного ниже, ведь лучевая нагрузка в этом случае составит всего 0,05 мЗв (только 5% от разрешенной нормы).
Кому вообще нельзя этого делать?
Кроме детского возраста, существует лишь одно абсолютное противопоказание для осуществления такой диагностики. Ее запрещено выполнять беременным на любом сроке.
Не рекомендовано проведение ФЛГ больным в критическом состоянии и при обострении бронхиальной астмы. При лактации ее назначают в исключительных случаях, но после нее разрешается кормить младенца не раньше, чем через 6 часов.
Читайте также:
- Сколько живет яйцеклетка после овуляции?
- Разрыв связок голеностопного сустава: сколько заживает?
- Сколько восстанавливается печень после гепатита?
Ежегодно один-два раза проверять здоровье своих легких с помощью флюорографии (если в этот период вы не беременны) — в ваших интересах! Не бойтесь, это не будет иметь фатальных последствий для организма. Но делать это чаще без назначения доктора не следует!
Читайте также:
Массаж при пневмонии у детей в домашних условиях видео уроки
Статья принадлежит сайту mnogoli.ru При копировании активная, индексируемая ссылка на источник обязательна.
У большинства взрослого населения вопрос о том, как часто можно делать флюорографию, возникает из-за того, что обследование предполагает некоторую дозу облучения. Закон «Об основах охраны здоровья граждан в Российской Федерации» предписывает всем работающим гражданам проходить ФЛГ в целях профилактики, но не все хотят облучаться, находясь в полном здравии.
В то же время, люди с хроническими патологиями легких вынуждены контролировать заболевание, но боятся, что проходят флюорографию слишком часто. Поэтому необходимо знать некоторые аспекты проведения данной процедуры, ее необходимости, и влияния на организм.
Флюорография как рентгенологическое обследование
Во время прохождения ФЛГ, через человеческое тело пропускаются рентгеновские лучи в количестве 0,05 миллизиверт. Это мизерная доза с допустимой нормой облучения, которая может помочь спасти здоровье. При помощи флюорографического обследования грудной клетки медицинские специалисты диагностируют:
- тяжелое инфекционное заболевание легких (туберкулез);
- воспаление легочной ткани (пневмония);
- рак легких;
- воспаление плевральных листков легких (плеврит);
- патологии сердечно-сосудистой системы.
На основании сделанных снимков врач назначает лечение. Вовремя начатая терапия иногда спасает человеку жизнь, а при диагнозе туберкулез, позволяет оградить от заражения других людей, посредством изоляции больного.
К достоинствам процедуры можно отнести ее невысокую стоимость, а во многих районных поликлиниках это делают бесплатно. Кроме этого данные долго хранятся на цифровых носителях, необходимы небольшие временные затраты. Исследование длится три минуты, а расшифровка показателей производится не более, чем 24 часа. Иногда, очень актуально знать через сколько времени будет готов результат. К преимуществам также относятся отсутствие болезненных ощущений, высокая точность показателей, отсутствие необходимости в предварительной подготовке пациента.
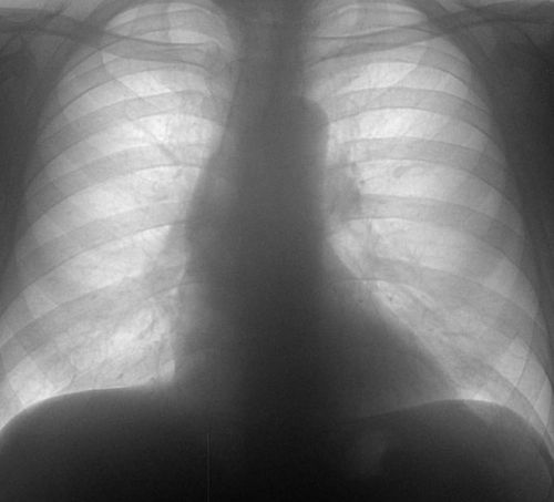
Фото флюорографии здорового человека — рисунок легких в пределах нормы
Частота обследования
По закону РФ работающему населению нужно делать флюорографию один раз в год. По результатам обследования выдается справка, которую требуют при трудоустройстве, при поступлении на учебу, перед стационарным лечением, и у призывников. Результаты флюорографии легких действительны в течение 12 месяцев. Поэтому, если нет специальных показаний к обследованию, не нужно часто проходить процедуру.
Для здорового человека достаточно одного раза в год. Чтобы избежать несвоевременного получения порции рентгеновских лучей, важно точно знать срок годности ФЛГ. Другой вопрос о том, насколько часто можно делать флюорографию возникает, если человек обращается к врачу с жалобами на плохое самочувствие или имел контакт с больным туберкулезом. В этом случае снимки делают чаще, что помогает выявить заболевание.
Существует отдельная категория граждан, которые обязаны проходить флюорограмму в более интенсивном временном режиме. Это является оправданной профилактической мерой, поскольку вероятность инфицирования или приобретения легочных заболеваний у данной группы людей более высокая.
Сюда относятся:
- медицинский персонал родильных домов. Новорожденные дети и беременные женщины нуждаются в усиленной защите;
- медики, работающие с тубинфицированными пациентами. Риск заразиться у данной категории более высок;
- рабочий персонал горнодобывающих предприятий. В данной отрасли большой процент онкологических заболеваний легких;
- рабочие вредного производства (асбест, резина) и сталевары, которые также, чаще других подвержены раку легких.
В отношении этих людей действуют другие правила о том, сколько раз в год можно делать флюорографию.
Когда проводить исследование нельзя?
ФЛГ не используется для диагностики женщинам в период вынашивания ребенка. Почему это так важно? Потому что рентгеновские лучи могут стать причиной развития патологий у будущего малыша. При лактации данная процедура не рекомендована. В случае крайней необходимости, между моментом облучения и кормлением должно пройти не менее 6 часов. Молоко в этот период следует сцеживать. Нельзя делать процедуру больным в тяжелом состоянии. Если нет возможности отложить процесс, лучше воспользоваться МРТ.
Не подвергаются облучению дети младше 14 лет, поскольку получают большую дозу облучения из-за более интенсивного обмена веществ, только при условии абсолютных показаний
Другие случаи:
- флюорограмма делалась более, чем 2 раза в год. Дозу рентгеновских лучей рекомендуется заменить магнитно-резонансной томографией.
- имеются хронические болезни дыхательной системы. В остром периоде бронхиальной астмы и дыхательной недостаточности необходимо дождаться периода ремиссии, поскольку человеку сложно задержать дыхание, что будет значительно осложнять обследование.
Ежегодный рентгенологический контроль – не только профилактика заболеваний у себя. В случаях, когда человек прошел процедуру, и диагноз инфекции легких подтвердился, есть шанс уберечь близких людей, если они еще не сделали ФЛГ.
Флюорографический снимок грудной клетки должны делать все взрослые люди. Это обследование носит профилактический характер, чтобы своевременно диагностировать заболевания дыхательной системы, особенно те, которые носят инфекционный характер. Поскольку взрослые люди ходят на работу, то для них такое обследование проводится обязательно.
Поскольку такая процедура связана с облучением, у пациентов возникает вопрос, можно ли так делать, и не возникнут ли у них проблемы со здоровьем по этой причине.
Когда нужно проводить процедуру?
Проходить флюорографию легких нужно для своевременной диагностики инфекционных заболеваний. Поскольку инфекции легче всего распространяются в местах, где собирается большое количество людей, то у всех, кому приходится бывать в таких местах, должны быть актуальные результаты такого обследования. Это является гарантией того, что человек не станет причиной возникновения эпидемии.
Поэтому флюорография нужна в следующих случаях:
- при трудоустройстве;
- при поступлении на лечение (как стационарное, так и амбулаторное);
- при отправлении на воинскую службу;
- при обнаружении инфекционных заболеваний у родственников;
- при подозрении на развитие инфекционного заболевания у самого пациента.
Однако это не означает, что при каждом таком случае нужно делать флюорографию (например, человек может начать поиски новой работы через месяц после прохождения обследования). Есть определенный срок действия флюорографии, в течение которого человеку разрешается посещать любые общественные места.
Читайте также:
Можно ли есть картошку при пневмонии
Необходимо точно знать срок годности флюорографии, чтобы не навредить себе и окружающим. Как только он истекает, следует сразу сделать повторное обследование. Обычно такой срок составляет 1 год, что значит, что лишь по истечении 12 месяцев флюорография перестает действовать.
Существуют также определенные законодательные правила в отношении данной процедуры. Они регулируют срок действия флюорографии. Согласно им, разрешенный срок составляет тоже 1 год. После получения результатов исследования у пациента в медицинской карте выставляется дата обследования.
Это означает, что проблемы в данной сфере не обнаружены. Данную отметку при необходимости переносят в санитарную книжку или на справку прохождении медицинской комиссии, благодаря чему человек может устроиться на работу без повторного анализа. Однако спустя 365 дней следует повторить диагностику. В отношении этих правил действуют те же исключения.
Если человек занят на вредном производстве, работает в медицине, имеются подозрения на возникновение у него инфекционного заболевания, то стоит обследоваться раньше срока.
Это может относиться и к тем, кому пришлось побывать в регионе с неблагоприятной обстановкой (некоторые на лето ездят к родственникам, не учитывая при этом экологические показатели). Также обследование раньше срока иногда проходят сами пациенты. Зная о том, что срок действия заканчивается, они предпочитают посетить специалиста раньше, просто потому, что так удобнее. Такие действия не запрещены.
Кому нужно проходить обследование чаще?
У многих появляется недоумение, почему в некоторых случаях требуют повторного анализа раньше срока. Это действительно случается. Особенно это касается людей, которые заняты в тех областях, где требуется постоянное взаимодействие с большим числом людей, а также существует повышенный риск возникновения заболеваний легких. В отношении их не действуют общие правила относительно того, сколько раз в год можно делать флюорографию. Для них предполагается обследование дважды в год.
Это касается следующих категорий людей:
1. Врачи, работающие в родильных домах (они взаимодействуют с самыми уязвимыми представителями населения);
2. Работники туберкулезных диспансеров (у них высокий риск инфицирования);
3. Сотрудники горнодобывающей промышленности, а также те, кто занят производством стали, резины, асбеста (у них намного чаще развиваются онкологические заболевания);
4. Родственники и друзья людей с диагнозом туберкулез.
Во всех этих случаях не стоит размышлять о том, как часто нужно проводить данное обследование, поскольку его применение дважды в году оправдано.
Кроме этого, на флюорографию могут направить независимо от того, когда она выполнялась, если имеются подозрения на серьезную болезнь дыхательных путей. Это поможет своевременно обнаружить проблему.
Противопоказания
Насколько часто допустимо облучение в течение года, не могут точно ответить даже врачи. Желательно, чтобы оно не превышало двух раз. Это позволит не навредить организму и достичь целей исследования. Однако в некоторых случаях это количество может быть увеличено.
Но для этого требуются веские основания, поскольку специалисты хорошо понимают, что флюорография – это не тот метод диагностики, которым можно пользоваться как можно чаще. Больше положенных двух раз ФЛГ может быть назначена лишь после того, как оценены риски, а также при отсутствии противопоказаний. Одним из них является возраст пациента. Для детей меньше 16 лет это исследование не используется вовсе.
Среди других противопоказаний называют:
- беременность;
- период грудного вскармливания;
- тяжелое состояние пациента.
Учитывая эти ограничения, врачи могут назначить другие методы диагностики, которые воздействуют на организм более щадящим образом.
Возможные негативные последствия
Обычно интерес к тому, как часто надо делать флюорографию, вызван опасениями перед возможными неблагоприятными последствиями. Данное исследование подразумевает облучение грудной клетки рентген-лучами, что нельзя считать полезным. Именно из-за таких опасений многие пациенты избегают диагностических процедур такого типа, и у них есть основания для этого.
Если облучению подвергаться слишком часто, могут пострадать все органы и системы организма, поскольку воздействие радиации губительно. От чрезмерного радиоактивного воздействия страдают сердце, печень, легкие, сосуды, мозг, кожа и пр. При повышенном воздействии радиации увеличивается риск возникновения опухолей.
Тем не менее, все эти последствия вероятны лишь при частом проведении флюорографии. Если ее делают только два раза в год, никакой опасности нет. Гораздо большему облучению человек подвергается в процессе жизнедеятельности, используя технические приспособления.
Современные технологии проведения процедуры позволяют минимизировать воздействие лучей. А польза такого обследования очевидна. Пройдя обязательную диагностику, можно быть уверенными в нормальном состоянии организма и не подвергать риску близких людей. Благодаря флюорографии удается выявить серьезные заболевания на раннем этапе, что делает лечение более эффективным.
И на конец, как часто можно в год проводить флюорографию?
Обычно периодичность прохождения флюорографии составляет 1 раз в год. Это означает, что чаще ее делать нет необходимости. Однако некоторые профессии требуют, чтобы флюорография делалась 2 раза в год.
Признаки развития туберкулеза на ранней стадии
Симптомы туберкулеза легких на ранней стадии развития у женщин и мужчин не всегда имеют яркое проявление. В результате в организме прогрессирует инфекция, а больной даже не догадывается об этом. Когда признаки болезни становятся более выраженными, недуг уже труднее вылечить, поэтому важно выявить симптомы на ранней стадии развития.
Развитие на раннем этапе
Встретить человека, страдающим туберкулезом легких, можно каждый день. Такие люди не изолированы от общества, а многие и просто не обращаются в больницу. Если у человека сильная иммунная система, микобактерия не развивается при попадании в организм. Однако в современных условиях, когда окружающая среда загрязнена выбросами предприятий и автомобилей, похвастаться крепким здоровьем может далеко не каждый.
Уже спустя 40 минут после общения с больным возбудитель может передаться воздушно-капельным путем. Именно столько времени требуется для того, чтобы инфекция попала из верхних отделов легких в бронхи. Если у человека ослабленный иммунитет, он заразится.
Читайте также:
Ведущий клинический симптом при пневмонии
Туберкулез у взрослых проявляет симптомы более скрыто, если сравнивать с детьми. Возбудитель заболевания адаптировался к антибиотикам, которые используются в современной медицине, таким образом, лечение недуга затрудняется.
Когда возникнут первые признаки, нужно обратиться к врачу, чтобы провести лечение туберкулеза легких на начальной стадии. Заболевание у взрослых и детей может протекать в открытой и скрытой формах.
Болезнь скрытой формы
На ранних стадиях туберкулез легких практически не сопровождают симптомы. Больной может чувствовать себя удовлетворительно, поэтому повода для обращения в больницу он не видит. Но это не означает, что болезнь не развивается в организме, и в этом состоит ее коварство.
На что следует обратить пристальное внимание? О наличии туберкулеза легких могут свидетельствовать такие признаки:
- быстрое утомление;
- общее недомогание;
- слабый аппетит;
- снижение веса;
- небольшое повышение температуры тела.
Учитывая современный ритм жизни, люди не успевают обращать внимания на такие мелочи. И в этом и состоит основная ошибка. Если момент упущен, возможны осложнения и более длительное лечение. Стоит отметить, что важно обращать внимание даже на самые незначительные симптомы. Признаки туберкулеза легких могут выражаться в обычном кашле. Особенно следует забеспокоиться, если он проходит с выделением мокроты. Обычно она без запаха и бесцветная. Но такие незначительные симптомы со временем перерастают в настоящую проблему.
На начальной стадии туберкулеза легких больной выглядит совершенно нормально, поэтому по внешним признакам определить заболевание невозможно.
Болезнь открытой формы
Признаки туберкулеза легких открытой формы на ранних этапах проявляются в остром сухом кашле, кровохарканье, болезненных ощущений в грудной клетке. К тому же у больного снижается работоспособность, повышается раздражительность, резко уменьшается масса тела. Наблюдается бледность кожных покровов. Обычно подобное состояние наблюдается у пациентов с острой формой недуга. В остальных случаях симптомы могут вообще не проявляться или быть незначительными. Все зависит от индивидуальных особенностей организма человека, его иммунитета и прочего.
Туберкулез у взрослых и детей способен поражать не только легкие, но и другие органы и системы. Зачастую болезнь любой формы на первых этапах не сопровождается клиническими проявлениями. Однако важно провести своевременную диагностику и лечение.
Туберкулез кишечника
Признаки туберкулеза кишечника состоят в воспалительных процессах, проходящих на его стенках, а также в брыжейке и лимфатических узлах, которые к нему прилегают. Заражение в данном случае происходит через инфицированные продукты питания. К примеру, коровье молоко. Зачастую такой вид заболевания трудно диагностируется, что усложняет лечение. На ранних этапах развития он вообще не проявляется или выдает себя за другой недуг. Возможны расстройства стула и боли в животе.
Туберкулез мозговых оболочек
Тяжелее всех проходит течение заболевания с повреждением мозговых оболочек. Уже в начальной форме болезнь у взрослых и детей может давать симптомы. В качестве них выступают головные боли, головокружение, тошнота, сопровождающаяся рвотой. Проявляются неврологические нарушения, повышается температура тела. Нередко мозговое поражение возникает после легочной формы заболевания, если не проводилось адекватное лечение. При этом оно выступает как осложнение.
Туберкулез кости
Относительно часто встречается костная форма болезни. Поражению в основном подвергаются крупные позвонки и трубчатые кости. Зачастую заболевание наблюдается у взрослых, но может присутствовать и у детей. Оно всегда выступает в виде осложнения очага инфекции, который существует в организме. Сначала болезнь протекает в качестве изолированного костного очага, а затем приводит к разрушению окружающих тканей. Первый симптом – припухлость в месте поврежден
Туберкулез кожи
В отличие от других форм туберкулеза, признаки этого вида недуга заметны невооруженным глазом — язвы, прыщи, изменение цвета кожных покровов. Туберкулез кожи на сегодняшний день имеет неизученный механизм воздействия. Заболевание развивается по причине поражения подкожной клетчатки. Первичный туберкулезный аффект присущ детям. Более подробно о том, как лечится данное заболевание можно прочитать здесь — туберкулез кожи.
Урогенитальный туберкулез
Урогенитальный туберкулез часто поражает женщин в возрасте 20−30 лет. На первых порах он имеет стертую симптоматику, что затрудняет диагностику и лечение. Несмотря на отсутствие симптомов в начале развития болезни, она сопровождается серьезными последствиями. Заболевание в основном приводит к бесплодию.
Таким образом, учитывая скудную симптоматику у взрослых и детей на первом этапе развития заболевания, определить его не так уж просто. Единственным способом является проведение медицинского обследования. Как правило, это рентгенологическое исследование. Поэтому не стоит избегать ежегодного медицинского осмотра, нужно провести лечение как можно раньше.
Диагностирование на ранних этапах
На первом этапе болезнь напоминает обыкновенную простуду или грипп. Это является большим минусом при ее определении. Если возникли подозрения, что в организме развивается инфекция, стоит сразу обратиться за медицинской помощью. Врач осмотрит пациента, а также назначит рентгенологическое исследование. Как правило, такой вид диагностики подходит для взрослого. Детям делают пробу Манту. Кроме того, обнаружить болезнь помогают анализы крови. Ориентиром является показатель СОЭ. Если он превышает норму, это говорит о наличии инфекции в организме человека. В таком случае необходимо сразу назначить лечение.
Больные, страдающие туберкулезом, не всегда жалуются на определенные симптомы. Что касается взрослых, следует внимательно прислушаться к своим ощущениям, обращая внимание на каждую мелочь, чтобы не запустить заболевание. Родителям необходимо следить за состоянием своих детей. Не нужно гадать, только рентгенологический снимок сможет точно указать на наличие болезни. Она успешно лечится, если обнаружить ее вовремя.




