Пневмонией называют воспалительный процесс, поражающий легочные ткани. Это заболевание носит инфекционный характер, его вызывают различные типы возбудителей. Заразность пневмонии зависит от вида микроорганизма, от степени близости контакта с больным. Кроме того, играет роль и состояние здоровья человека, степень его иммунной защиты: чей-то организм легко справляется с инфекцией, а у кого-то и небольшое количество патогенной флоры приводит к развитию тяжелого воспалительного процесса.
Можно ли заразиться пневмонией
Непосредственно пневмонией заразиться нельзя, это следует из определения заболевания. Оно указывает лишь на локализацию очага воспаления. При определенных условиях патогенная микрофлора, проникнув в организм, может запустить патологический процесс в легких, однако происходит это далеко не всегда.
Спровоцировать воспаление легких могут бактерии, вирусы, грибки, простейшие. Причинами развития пневмонии в большинстве случаев становятся пневмококк, стрептококк и стафилококк. В таких случаях наибольшую опасность для окружающих, человек представляет на начальной стадии заболевания, когда в окружающую среду попадает большое число патогенных микроорганизмов, особенно когда человек кашляет. Однако даже при инфицировании, например, пневмококком, воспалительный процесс в легких развивается в 1-2 случаях из 10. Чаще люди не заболевают, если у них крепкий иммунитет, или воспаление поражает только верхние отделы дыхательных путей, не опускаясь в легкие.
Чаще всего пневмония заразна для окружающих, когда она спровоцирована так называемыми атипичными возбудителями. Среди них распространенными являются микоплазмы, хламидии, легионеллы. Также к атипичным возбудителям причисляют вирусы. Высокой вирулентностью обладает такая бактерия как легионелла, и поражение этим микроорганизмом очень часто приводит к развитию воспалительного процесса в легких.
Вирусы, провоцирующие пневмонию, также заразны. Не факт, что при передаче вируса от одного человека к другому последний заболеет воспалением легких. Например, заражение вирусом кори очень редко вызывает пневмонию. Если у пациента на фоне кори произошло воспаление легких, он будет опасен для окружающих именно как носитель вируса этой болезни, способный передать вирионы здоровому человеку, при этом риск развития воспаления легких очень невысок. Это же касается и тех случаев, когда пневмония развивается как вторичное заболевание, на фоне таких вирусных инфекций, как грипп или ОРВИ. Высок риск получить эти болезни при общении, очень велик – при поцелуях и других близких контактах. Однако вероятность развития пневмонии на их фоне будет зависеть от множества факторов: степени иммунной защиты, состояния здоровья человека и других.
Некоторые виды пневмонии вообще не заразны. Воспаление легких может возникнуть у лежачего больного из-за застоя жидкости в дыхательных путях. Условно-патогенная микрофлора, присутствующая в организме каждого человека, получает оптимальные условия для размножения и активации воспаления.
Группы риска
Не все категории людей подвержены заражению в равной степени. Риск заболеть пневмонией зависит не только от вирулентности микроорганизма, но и от состояния человека, функциональных возможностей его иммунной системы. Самой слабой сопротивляемостью патогенной флоре, которая способна спровоцировать пневмонию, обладают следующие группы людей:
- маленькие дети (до 1-1,5 лет);
- пожилые люди;
- пациенты, страдающие заболеваниями, вызывающими серьезные иммунодефицит;
- беременные женщины;
- пациенты, страдающие хроническими патологиями сердечно-сосудистой системы, бронхов и легких, почек;
- диабетики;
- аллергики;
- люди со сниженным иммунитетом вследствие хронического алкоголизма, наркомании, курильщики.
Пути передачи
Чаще всего бактерии и вирусы передаются от человека к человеку воздушно-капельным или контактным путем. Эти способы попадания инфекции еще называют бронхогенными, то есть инфекция попадает в организм через дыхательные пути. В период начального развития заболевания патогенные микроорганизмы распространяются по воздуху при кашле, чихании, даже просто при разговоре. Воздушно-капельным путем передаются вирусы гриппа, ОРВИ, некоторые виды бактерий.
Патогенная микрофлора передается бытовым путем: через посуду, белье, полотенца и прочие предметы обихода. Не обязательно у всех членов семьи разовьется именно пневмония, но инфицирование бактериями, респираторными вирусами очень быстро затрагивает проживающих на одной территории. Это же иногда происходит и в больницах: нозокомиальные или госпитальные пневмонии считаются наиболее тяжелыми. Микрофлора, которой заражаются в больничных условиях, устойчива ко многим видам антибиотиков. В сочетании с другими факторами (например, больной лежачий) происходит быстрое развитие воспаления легких.
Возможен и еще один механизм распространения инфекции. Если во время беременности женщина подхватит инфекцию, которая приведет к пневмонии, она передает заболевание ребенку. Вирусы и бактерии могут преодолевать плацентарную защиту, также инфекция может быть передана в процессе родов. Новорожденный ребенок будет болеть, хотя у него не обязательно разовьется воспалительный процесс в легких. Однако бывает это довольно часто, так как респираторная и иммунная системы ребенка не так совершенны, как у взрослого. Кроме того, он большую часть времени находится в горизонтальном положении, и легкие легче воспаляются.
Инкубационный период
Каждому микроорганизму нужно время, чтобы «освоиться» в организме, утвердиться и начать размножаться. Время миграции и закрепления патогенной микрофлоры называется инкубационным периодом. На этой стадии заболевания человек уже опасен для окружающих, поэтому при первых же признаках респираторной инфекции лучше обратиться к врачу и начать лечение, оставаясь дома.
Длительность инкубационного периода индивидуальна для различных типов микроорганизмов. Как правило, она составляет несколько дней, редко – неделю и дольше. В это время симптомов практически нет, может наблюдаться снижение тонуса, незначительное повышение температуры.
Профилактика
В целях профилактики рекомендуется сделать вакцинацию от пневмококковой инфекции, ежегодно прививаться от гриппа. Вакцинация – эффективный метод предупреждения заболеваний, которые могут стать причиной пневмонии. Также следует принимать меры по укреплению иммунитета. Необходимы полноценное питание, периодические курсы витаминов, достаточные физические нагрузки.
Уберечь от пневмонии ребенка помогут правильный уход, поддержание нормальных санитарных условий в квартире. Рекомендуется с раннего возраста закаливать детей. Желательно избегать контактов с болеющими респираторными инфекциями людьми. Зимой необходимо следить, чтобы ребенок не дышал холодным воздухом, тщательнее укутывать его. Если обнаруживаются признаки инфекционного заболевания, его следует правильно лечить. Самостоятельное назначение медикаментозных средств или неоконченное лечение ОРВИ может спровоцировать развитие воспаления легких.
Риск заразиться непосредственно пневмонией при контакте с больным крайне мал. Возможна передача патогенных микроорганизмов от носителя к здоровому человеку при некоторых типах воспаления легких, но не пневмонии нозологической формы.
Какой инкубационный период у вирусной пневмонии? Это главный вопрос данной статьи, на который вы здесь найдёте ответ. Вообще это одно из опаснейших заболеваний для тех, у кого значительно понижен иммунитет.
Что это за болезнь? Основные признаки вирусной пневмонии у взрослых
Заболевание характеризуется острым воспалительным процессом. Именно это влияет на нижние дыхательные пути. Основным возбудителем пневмонии считаются вирусы.
Как передается пневмония вирусная? Воздушно-капельным путём. Таким образом, ею можно легко заразиться.
Читайте также:
Как делать массаж ребенку после пневмонии
Пневмонию вызывают вирусы герпеса 1-й и 3-й группы, парагриппа, респираторно-синцитиальные, В и А, аденовирусы.
Заболевание развивается в течение нескольких дней после заражения.
Кроме того, спровоцировать болезнь могут вирусы таких недугов, как ветряная оспа, корь.
Через 6 дней пневмония соединяется с бактериальной инфекцией. Это говорит о том, что болезнь усложняется. Заболевание становится вирусно-бактериальным.
Признаки рассматриваемой вирусной пневмонии и простуды в начале болезни между собой весьма схожи. Поэтому иногда их путают.
К основным симптомам заболевания относятся:
- сильные головные боли;
- повышение температуры тела;
- затруднённое дыхание и одышка;
- сухой кашель и озноб;
- обильные выделения из носа – насморк;
- боли в области груди;
- сильная слабость всего организма;
- ломота в теле;
- красные глаза;
- хрипы, которые отчётливо слышны при прослушивании специалистом;
- признаки отравления, такие как рвота и тошнота;
- посинение конечностей из-за частого и сильного кашля.
Во время недуга человек не может полноценно выполнять любую работу. Организм его полностью ослаблен.
Признаки вирусной пневмонии могут проявляться все вместе или по очереди. Каждый следующий период болезни проходит по-разному. На этот фактор оказывают влияние индивидуальные проявления вируса.
С каждым днём вирусная пневмония усложняется. Если не лечить недуг и думать, что это всего лишь обычная простуда, то впоследствии в мокроте может появиться гной. Это говорит о том, что начала развиваться ещё и бактериальная инфекция.
Пневмония: инкубационный период, какой он?
Длительность данного момента зависит от таких факторов, как возраст больного, состояние здоровья человека, индивидуальные особенности организма и тип вируса, который вызвал этот недуг.
Как правило, у вирусной пневмонии инкубационный период у взрослых людей составляет около трёх дней. Бывает и такое, что симптомы заболевания проявляются и гораздо позже. У пневмонии инкубационный период проходит без всяких признаков. Иногда может наблюдаться небольшое повышение температуры тела у больного.
Иногда часть людей задаёт вопросы наподобие: «Пневмония заразна или нет? Инкубационный период является опасным для других людей?» Если на первый вопрос ответ был уже дан в начале статьи, то на второй можно ответить так же. Если пациент с вирусной пневмонией, инкубационный период которой ещё не закончился, чихнёт или кашлянет в сторону другого человека, то он заразит и его. Вместе с мокротой и слюной больного выделяется огромное количество бактерий. В тот момент, когда стоящий рядом вдохнёт их, он тоже заболеет.
Как передаётся пневмония вирусная ещё? Заразиться можно не только воздушно-капельным путём, но и бытовым. В случае когда вирус попадёт на любые предметы, он будет жить в активной форме и представлять опасность несколько часов. Поэтому если человек прикоснётся к такой посуде, а потом протрёт глаза, то заразится этим недугом.
Таким образом, у пневмонии инкубационный период представляет тот отрезок времени, в котором человек и не подозревает о том, что болен. В этом случае он может передать этот вирус и окружающим его людям. Поэтому следует соблюдать правила гигиены, а именно, например, при чихании прикрывать нос и рот рукой.
Что такое атипичная пневмония?
Данное название применяется к совокупности инфекционно-воспалительных поражений лёгочной ткани. В этой ситуации возбудителями являются хламидии, микоплазмы, легионеллы и вирусы. Исходя из того, какой микроорганизм является источником болезни, о таком виде пневмонии говорят. Таким образом, выделяют 4 вида этого заболевания. При атипичной пневмонии вирусного типа возбудитель именуется как короновирус.
Специалист может подтвердить диагноз только после проведения ряда лабораторных исследований. В основном для лечения назначаются антибиотики.
У атипичной пневмонии инкубационный период составляет от 3 до 10 дней. В начале заболевание развивается как обычная простуда.
Как проводится диагностика болезни?
Точно определить вирусную пневмонию и назначить правильное лечение может только врач. Он изучает эпидемиологическую обстановку и анамнез. Далее необходимо будет сдать общий анализ крови и пройти рентгенологическое обследование.
Чаще всего вспышки вирусной пневмонии наблюдаются зимой. В это время большое количество людей также болеют ОРВИ. Рассматриваемое в статье заболевание характеризуется разной степенью и формами дыхательной недостаточности.
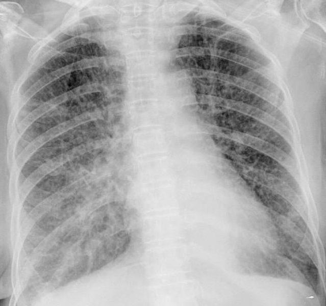
При наличии пневмонии на рентгенологическом снимке можно увидеть в нижней доле лёгких мелкоочаговые тени и усиление интерстициального рисунка. Кроме того, специалист изучает промывные воды бронхов и мокроту.
Врач изучает все анализы и исключает другие болезни, имеющие похожие признаки. После этого он обозначает тип вируса, который вызвал данный недуг.
Какие есть особенности у пневмонии без температуры?
Этот вид заболевания намного опаснее и может привести к плохим последствиям. Здесь человек не знает о том, что заразился вирусной пневмонией, поскольку не наблюдается повышения температуры тела.
У больного имеется небольшое недомогание. Обычно с этим никто ничего не делает, что приводит к усугублению ситуации.
Пневмония без температуры появляется из-за ослабленного иммунитета, приёма большого количества антибиотиков, частого употребления таблеток от кашля и наличия постоянного очага инфекции в лимфатических узлах.
Основными признаками данного типа недуга являются слабость и вялость, дыхание со свистом, бледность кожных покровов, сильная утомляемость и повышенная потливость, боли в мышцах.
Длительность лечения заболевания
Выздоровление больного зависит от таких факторов, как степень тяжести пневмонии, реакция организма на антибиотики и вид возбудителя.
В основном заболевание лечится от 7 до 21 дня.
То, необходимо ли пациенту ложиться в стационар, определяет врач. Если у больного состояние лёгкой или средней тяжести, то лечение можно проводить дома.
Обязательным условием при этом является обязательное и постоянное посещение пациента. При тяжёлой форме вирусной пневмонии больной должен проходить лечение в больнице.
Как правило, при недуге назначаются антибиотики и кортикостероидные препараты, таблетки от кашля и жаропонижающие средства. Также больному следует больше пить воды.
Медикаменты назначает врач. Всё зависит от степени и тяжести болезни. В этом случае нельзя заниматься самолечением. Необходимо соблюдать все рекомендации специалиста.
Как проходит лечение антибиотиками?
Когда вирусная пневмония соединяется с бактериальной инфекцией, в этом случае врач назначает именно эти медикаменты. Антибиотик подбирается в зависимости от возраста и тяжести состояния пациента. Медикаменты вводятся внутримышечно, перорально или внутривенно.
В основном для лечения применяются антибиотики фторхинолонового ряда.
Народные средства при вирусной пневмонии
Основным способом лечения является, конечно же, применение медикаментов, назначенных специалистом. Но народные средства также можно использовать.
Травы обладают противовоспалительным, антиаллергенным и сосудорасширяющим эффектом. Они помогают бороться с вирусом.
Так, хорошо помогает мать-и-мачеха. Для этого понадобится 2 ложки листьев. Их заливают стаканом кипятка и дают настояться в течение 30 минут. Отвар необходимо принимать три раза в день по четверти стакана.
Читайте также:
Можно ли пить водку при пневмонии и после
Также дополнительно используют настой из столетника. Измельчённые листья перекладывают в стеклянную посуду. Сюда же добавляют несколько ложек мёда и чашку красного вина. Полученное настаивают 7 дней. Затем употребляют по одной столовой ложке перед едой.
При вирусной пневмонии следует употреблять отвары из таких трав, как алтей лекарственный, медуница и девясил.
Последствия и осложнения заболевания
Вирусная пневмония считается одним из опасных заболеваний. При несвоевременном лечении могут быть печальные последствия, вплоть до летального исхода.
К другим осложнениям болезни относятся менингит, сепсис, воспаление сердечной мышцы, абсцесс и отёк лёгких, бронхообструктивный синдром, инфекционно-токсический шок.
Какими будут последствия вирусной пневмонии, зависит от состояния организма пациента и степени тяжести заболевания. Для того чтобы не было перечисленных осложнений, при первых же признаках необходимо обратиться к специалисту и получить должное лечение.
Профилактика заболевания
Для того чтобы риск заразиться вирусной пневмонией был минимальным, следует придерживаться нескольких простых правил.
Необходимо регулярно проводить вакцинацию против этого недуга. В рационе любого человека должна быть только здоровая пища, в которой содержится большое количество микроэлементов и витаминов. Также следует своевременно и полноценно отдыхать, регулярно совершать прогулки на свежем воздухе.
При посещении людных мест необходимо использовать противовирусные мази, избегать в периоды эпидемий мест большого скопления народа.
Для укрепления иммунитета следует принимать витамины, а также регулярно делать физические упражнения.
Таким образом, если соблюдать несколько простых советов, риск заболеть будет очень мал. Но если всё-таки появились первые признаки заболевания, для того чтобы не было осложнений, нужно обязательно обратиться к специалисту.
Пневмония имеет инфекционную природу. Почти всем известно, что инфекции распространяются несколькими способами: респираторными – по воздуху, кишечными – через пищу и пр. Кроме того, существует специальная вакцина, направленная против пневмонии, что подтверждает заразность данного заболевания. С другой стороны, мы очень часто сталкиваемся в жизни с болеющими воспалением лёгких. В стационарах больные с пневмонией лежат в обычных палатах, вместе с другими пациентами. При этом никто не заражается. Так заразно ли воспаление легких для окружающих детей и взрослых или нет?
Определение заболевания, заразная ли пневмония
Пневмония – это воспаление лёгких, вызванное бактериями. В редких случаях причиной заболевания может стать грибковая инфекция.
Пневмония – болезнь инфекционная. Характеризуется острым очаговым воспалением лёгочной ткани. Поражает пузырьки – альвеолы, которые предназначены для насыщения крови кислородом.
Ключевая симптоматика пневмонии:
- Высокие показатели температуры;
- Одышка;
- Сильный кашель с гнойной мокротой;
- Дополнительные симптомы: слабость организма, плохой аппетит, тошнота, недомогание.
Болезнь пневмония известна давно и, несмотря на успехи медицины в разработке антибиотиков, продолжает по сей день оставаться в числе опасных заболеваний, влекущих за собой серьёзные осложнения. Высокий процент смертности от пневмонии (до 5%), заставляет врачей внимательно относиться к данному заболеванию.
Большинство случаев возникновения пневмонии обусловлено переохлаждением организма. Однако заражению способствуют и такие факторы, как:
- Стресс;
- Напряжённый рабочий график;
- Недоедание;
- Злоупотребление алкоголем;
- Бессонница.
Виды и возбудители
Пневмонию классифицируют с разных сторон. Во-первых, различают крупозную разновидность и бронхопневмонию.
Крупозное воспаление лёгких проявляет себя неожиданно, внезапно. Возникают боли в сердце, грудной клетке, причём интенсивность их заметно усиливается во время глубокого дыхания, кашля. Кашель – сухой, очень болезненный. Затем появляется мокрота желтоватого, зеленоватого и даже ржавого оттенка. Появляется одышка, лицо бледнеет. Наблюдаются скачки температуры до 39 º С и выше, возможно чередование сильного озноба с обильным потоотделением.
Эффективность приёма жаропонижающих препаратов в такой ситуации существенно снижена. Больной испытывает постоянное чувство жажды.
Поражение лёгочных тканей при бронхопневмонии проходит менее заметно. Идёт постепенное увеличение температуры до 38 º С. С течением болезни здоровье человека подрывается, его охватывает общая слабость, теряется интерес к еде, появляется кашель с небольшим количеством мокроты. Грудные боли на вдохе незначительны.
У крупозной пневмонии наблюдается чёткая, характерная симптоматика, тогда как вторая разновидность имеет менее выраженные симптомы, поэтому её часто путают с обострением хронического бронхита.
Различают также внегоспитальную, которая возникает в домашних условиях, и госпитальную форму воспаления лёгких. Второй вариант возникает после 48 часов нахождения больного в стационаре. Всемирная организация здравоохранения включает в данную категорию больных с вентилятор-ассоциированной пневмонией, а также пациентов с воспалением лёгких, находящихся на содержании в домах престарелых. Характеризуется высокой степенью тяжести и летальностью до 40%.
Существует понятие аспирационной пневмонии, которая возникает при проглатывании большого количества содержимого ротоглотки пациентами, пребывающими без сознания, с нарушенным актом глотания и ослабленным кашлевым рефлексом (алкогольное опьянение, эпилепсия, черепно-мозговые травмы, ишемический и геморрагический инсульты и др.).
Встречаются также пневмонии, развивающиеся на фоне иммунодефицитов, как первичных, так и вторичных (ВИЧ-инфекция, онкогематологические заболевания и пр.).
В зависимости от возбудителя различают следующие виды пневмонии:
- Бактериальные: основные возбудители – Streptococcus pneumonia, Staphylococcusaureus, Mycoplasmapneumonia, Haemophilusinfluenza, Chlamydiapneumonia.
- Вирусные: вызываются вирусами гриппа, парагриппа, риновирусами, аденовирусами, респираторно-синцитиальным вирусом. В более редких случаях это могут быть вирусы кори, краснухи, коклюша, цитомегаловирусная инфекция, вирус Эпштейна-Барр.
- Грибковые: возбудителями являются Candidaalbicans, грибки рода Aspergillus, Pneumocystisjiroveci.
- Пневмонии, вызванные простейшими.
- Пневмонии, вызванные гельминтами.
- Смешанные (самые частые из них – бактериально-вирусные пневмонии).
Формы пневмонии по степени тяжести:
- Лёгкая;
- Средняя;
- Тяжёлая;
- Крайне тяжёлая.
Виды пневмонии по локализации:
- Очаговая;
- Сегментарная;
- Полисегментарная;
- Долевая;
- Тотальная;
- Субтотальная.
Кроме того, воспалительный процесс бывает односторонним и двусторонним.
Распространение, можно ли заразиться от больного человека
Можно ли заразиться от больного? Пневмония передается чаще всего воздушно-капельным путем. Такой путь распространения болезни подразумевает передачу возбудителей через частички жидкости в воздухе, заражённые бактериями или вирусами. Существуют еще бытовой, контактный и фекальный пути.
При кашле и чихании в воздух выделяется большое количество микробных агентов. Если его вдыхает здоровый человек, микробы поселяются в его дыхательном тракте. При активном размножении бактерий воспаляется стенка бронхов и их терминальных частей – альвеол.
У детей пневмония передаётся в первую очередь воздушно-капельным путем. Данный способ передачи обусловлен тем, что дети постоянно находятся в коллективах, где всегда есть источник заражения.
Ослабленный иммунитет ребёнка неустойчив к воздействию высокой концентрации бактериальных и вирусных агентов. Таких детей лучше своевременно изолировать от коллектива.
Бытовой путь распространения инфекции подразумевает ситуации, когда человек касается предмета. Вирус руками может заноситься в слизистые оболочки глаз и ротовой полости. Они способны сохраняться на игрушках и других поверхностях в течение 4 часов.
Вирус может существовать в окружающей среде несколько часов даже при отрицательной температуре внешней среды. Хлорсодержащее чистящее вещество убивает его только через 5 минут. Данного времени достаточно, чтобы вместе с руками инфекционный агент проник в слизистые оболочки глаз, ротовой полости и по лимфатическим или гематогенным сосудам в дыхательные пути.
Эксперименты ВОЗ показали, что для взрослых и детей характерен ещё и канализационный способ передачи инфекции.
Читайте также:
Можно ли отдыхать на море после пневмонии
Инкубационный период
Стадии протекания пневмонии у детей и взрослых следующие:
- Инкубационный период.
- Инфильтрация.
- Разрешение.
Инкубационный период при вирусных пневмониях продолжается несколько дней. Во время данного периода нет явных признаков заболевания, кроме незначительного повышения температуры. Такие симптомы появляются и при других инфекциях в организме, поэтому их сложно дифференцировать. Обычно воспаление лёгких выявляется только после выполнения рентгенографии.
Заразна ли пневмония? Передается ли воздушно-капельным путем
Если человек заболевает пневмонией на фоне простудного заболевания, вне больницы, то такой вид недуга считается незаразным. В этом случае пневмония является следствием первопричинного заболевания: ОРВИ, бронхита, переохлаждения.
Длительное время считалось, что заразиться пневмонией невозможно, но при более тщательных исследованиях учёные обнаружили, что существует атипичный и больничный виды пневмонии. Данные разновидности отличаются от обычного воспаления лёгких некоторыми особенностями. Да и симптомы этих заболеваний не всегда одинаковы.
Вирус атипичной пневмонии может находиться во внешней среде в течение нескольких часов и даже минусовая температура окружающей среды не является для него губительной.
Атипичная пневмония вызывается хламидиями, микоплазмами. Этот вид пневмоний очень опасен для людей с ослабленным иммунитетом и для пожилых людей. Даже вполне здоровый на вид человек с хорошей иммунной системой может быть подвержен атаке этих вредоносных бактерий.
Атипичная пневмония заразна, если вызвана определёнными микроорганизмами.
Самой опасной разновидностью пневмонии считается больничная. Она может быть вызвана стафилококком, герпесом, стрептококком, кишечной палочкой. Больничные микробы чрезвычайно устойчивы к лекарственным препаратам, так что процесс излечения больничной пневмонии становится проблемой. Нередко такое заболевание переносят медработники.
Больничная пневмония очень часто вызывает летальный исход.
Заразные виды пневмонии опасны тем, что никогда не проходят бесследно и несут за собой осложнения различной тяжести. Так рубцы на лёгких после такой пневмонии приводят к ухудшению работы дыхательной системы, а это, в свою очередь, ведёт к плохому снабжению крови кислородом. Всё это вызывает цепную реакцию других заболеваний.
Кто наиболее подвержен заражению пневмонией? К группе риска можно отнести следующие категории лиц:
- Люди, имеющие хронические болезни;
- Дети и взрослые, перенесшие простудные заболевания;
- Люди, недавно перенёсшие операции;
- Пациенты, принимающие гормональные препараты;
- Беременные женщины.
Осложнения в случае отсутствия лечения
Обычное воспаление лёгких успешно лечится и проходит без осложнений. Но для некоторых пациентов из группы высокого риска оно может представлять опасность. Осложнения могут быть связаны с лёгкими или применяемыми лекарствами.
Пневмония, если её не лечить вовремя, приводит к обострению хронических болезней, таких как обструктивное лёгочное заболевание (эмфизема) или застойная сердечная недостаточность.
Другие возможные осложнения пневмонии:
- Плеврит;
- Септицемия и или бактериемия (заражение крови);
- Лёгочный абсцесс;
- Проблемы с сердцем;
- Апноэ или дыхательная недостаточность.
Чтобы избежать осложнений от пневмонии, следует обратиться к врачу при наличии симптомов простуды, ОРВИ или затяжного кашля. Своевременно выявленное заболевание гораздо легче лечить, чем запущенное. При лечении недуга важно придерживаться правильного образа жизни: не курить, не употреблять алкоголь, заниматься спортом, хорошо отдыхать и правильно питаться.
Современные методы профилактики
Все меры профилактики пневмонии и других заболеваний дыхательных органов делятся на общие и индивидуальные, специфические и неспецифические.
Общие профилактические меры включают предупреждения заболевания на уровне общества, индивидуальные – используются каждым отдельным человеком. Неспецифическая профилактика подразумевает под собой разработку комплекса мер, направленных в целом на предупреждение инфекционных заболеваний, а специфическая – направлена на борьбу с конкретной патологией либо конкретным возбудителем.
Предупреждение у взрослых
Профилактика пневмонии у взрослых включает в себя комплекс специфических и неспецифических мер.
Общие неспецифические мероприятия сводятся к следующему:
- Соблюдение режима труда и отдыха;
- Проветривание рабочих и жилых помещений несколько раз в день в течение 30 минут;
- Регулярные влажные уборки в помещении;
- Изоляция больных с ОРВИ;
- Полноценное здоровое питание.
Индивидуальные неспецифические меры предполагают:
- Систематические закаливающие мероприятия;
- Предохранение организма от переохлаждения;
- Занятия спортом;
- Дыхательную гимнастику;
- Отказ от курения;
- Своевременную санацию очагов инфекций;
- В период эпидемий гриппа соблюдение противоэпидемических мероприятий;
- Своевременную терапию сопутствующих патологий.
Специфическая профилактика подразумевает вакцинацию от некоторых видов возбудителей пневмонии. У взрослых – это вакцинация от гриппа такими препаратами, как Инфлювак, Гриппол, а также прививки от пневмококковой инфекции (Пневмо 23, Превенар 13 и др.).
Меры предупреждения воспаления легких у детей
Дети наиболее подвержены инфекционным заболеваниям. В связи с развитием и становлением иммунитета ребёнок зачастую не может сам Детская пневмония приводит к серьёзным осложнениям и становится причиной смертей в 15% случаев у детей до 5 лет.
Наиболее эффективным методом специфической профилактики пневмонии у детей является вакцинация. Прививка от пневмококка выполняется по желанию родителей. Как правило, вакцину Превенар 13 можно получить в поликлинике по месту прописки бесплатно. Препарат содержит основной набор антигенов, необходимый для иммунизации детей до 5 лет. После 6 лет иммунизация против пневмококковой инфекции может быть выполнена французской вакциной Пневмо 23. Последние исследования показали, что данная вакцина может быть использована для профилактики пневмонии у детей старше 6 лет.
Общие неспецифические меры профилактики существенно не отличаются от мер для взрослых. Правда, для ребёнка необходимо более тщательное соблюдение режима сна и питания, закаливание с первых дней жизни, частые прогулки на свежем воздухе, увлажнение воздуха в квартире или доме с помощью увлажнителей с функцией очистки.
Профилактика после заболевания в домашних условиях
После перенесённой пневмонии детям необходим усиленный курс профилактики. В данном случае рекомендуется медикаментозная профилактика:
- Приём иммуностимуляторов;
- Приём иммунокорректоров;
- Витаминотерапия;
- Препараты для восстановления микрофлоры после лечения антибиотиками.
Двухсторонняя пневмония
Чем опасно скрытое воспаление легких и его симптомы описано тут.
Что делать, если у ребенка часто болит горло //drlor.online/diagnostika-lechenie/pershenie-v-gorle/u-rebenka-bolit-zhaloby-na-boli-pri-glotanii.html
Видео
Выводы
Итак, мы выяснили, что заразными для окружающих детей и взрослых являются только некоторые виды пневмонии. Именно поэтому тщательно следите за здоровьем ребёнка, соблюдайте меры профилактики, дабы не допустить заражение пневмонией.
Медики предупреждают, что после излечения пневмонии бактерии могут ещё оставаться в организме ребёнка. На фоне ослабленного иммунитета риск повторного заражения пневмонией очень велик. В период после выписки из больницы не допускайте переохлаждения и ограничьте контакт ребёнка с больными людьми.






