Пневмония (Pneumonia) – воспаление легкого. Болеют все породы собак и всех возрастов. По характеру распространения патологического процесса в легких пневмонии делятся на лобарные (очаговые, дольчатые) и лобулярные (очажковые, дольковые). Лобарные пневмонии характеризуются относительно быстрым распространением воспалительного процесса с охватом всего легкого или отдельных долей.
Виды пневмоний
Пневмонию у собак могут вызывать различные возбудители: вирусы, грибки, бактерии и паразиты. В зависимости от возбудителя пневмонии бывают:
- Вирусные пневмонии развивается в результате осложнения чумы плотоядных, аденовироза собак, хламидиоз собак, микоплазмоз.
- Бактериальные пневмонии. Часто развивается как результат осложнения бронхотрахеита, трахеита, а также в результате попадания инородного тела в гортань и бронхи собаки (кашель у собак).
- Паразитарная пневмония. Данная пневмония вызывается глистами у собак, когда происходит попадание в легочную ткань личинок и червей глист.
- Протозойная пневмония (токсоплазмоз).
- Грибковая пневмония. Возбудителем пневмонии является грибок, приводящий к развитию криптококкоза.
Из собак в большей степени пневмонией страдают охотничьи собаки. Особенно тяжело пневмония протекает у щенков, а также у старых собак.
По типу образующегося экссудата пневмония может быть гнойной, серозной, фибринозной.
Причины пневмоний у собак
При попадании в дыхательные пути болезнетворных микроорганизмов (стрептококков, стафилококков, микоплазм, хламидий и других) у собак развивается пневмония.
При нормальной резистентности организма собаки, организм успешно справляется с ними. Но стоит только ослабить иммунитет у собаки, данные микроорганизмы активизируют свою деятельность и проникают в легочную ткань. Ослабление резистентности организма у собак бывает в результате действия ряда предрасполагающих факторов:
- Перепады температуры. Прогулки с собаками в зимнее время, особенно для гладкошерстных пород должны быть короткими.
- Плохие условия содержания собаки (сырость и сквозняки).
- Некачественное и неполноценное кормление (недостаток белков, жиров, углеводов, витаминов, макро – и микроэлементов.).
- Контакты с инфицированными собаками.
- Травмы в области грудной клетки.
- Слабость иммунной системы (недостаточность в организме иммуноглобулина).
- Болезни связанные с нарушением процессов метаболизма в организме (диабет, уремия).
- Применение некоторых лекарственных препаратов (аспирин, дигоксин).
- Инфекционный трахеобронхит.
- Хронический синусит, фарингит и тонзиллит.
Особенности развития пневмонии у собак
Течение пневмонии у собак, в не зависимости от форм и причин, имеет три стадии:
- Первичная стадия заболевания длиться в среднем пять дней. Пневмония в этой стадии имеет слабо выраженные признаки. Общее состояние собаки чаще удовлетворительное.
- Вторичная стадия- продолжается не более 10 дней. В этой стадии происходит бурное проявление всех симптомов пневмонии.
- Заключительная стадия. В этой стадии происходит либо выздоровление собаки, либо ее гибель в результате необратимых изменений в легочной ткани.
Течение пневмонии у собак бывает легким, средним и тяжелым. Воспаление у собаки может быть острым и хроническим.
Острое течение пневмонии может быть вызвано — травматическим повреждением дыхательных путей и грудной клетки, отеком легких, заполнением легких жидкостью или кровью, ожогом дыхательных путей в результате вдыхания собакой дыма или химических паров, резкого переохлаждения собаки.
Патогенез. Под воздействием неблагоприятных факторов, приводящих к воспалению бронхов и легочных долек, их отеку, венозному застою в капиллярной сети. Барьерная функция эпителия бронхов снижается, создаются условия для развития условно- патогенной микрофлоры. В просвете бронхов и альвеол скапливается экссудат, образуются местные очаги ателектазов, в которых может размножаться гнойная микрофлора с образованием очагов абсцедирования и некроза. На фоне воспаления нарушаются окислительно – восстановительные процессы и обмен веществ, приводящие к расстройству трофики, крово- и лимфообразования и функции бронхов и легочных альвеол. В начальных стадиях болезни возникает серозное, серозно-катаральное или катаральное воспаление. В результате всасывания из очагов воспаления в кровь и лимфу токсинов и продуктов распада наблюдается интоксикация организма, расстройство газообмена из-за уменьшения дыхательной поверхности легких, снижается степень насыщения органов и тканей.
Симптомы пневмонии у собаки
Пневмония у собаки сопровождается:
- Кашлем. Больная собака очень громко кашляет, испытывая при этом сильную боль. В дальнейшем кашель у собаки становиться приглушенным и мягким.
- Резкое повышение температуры тела. Собака отказывается от еды, однако при этом из-за жажды охотно пьет воду.
- Лихорадка. Происходит чередование высокой и нормальной температуры тела у собаки. Лихорадка изматывает собаку. У собаки пропадает аппетит (анорексия).
- Обезвоживание.
- Учащение пульса (тахикардия).
- Одышка и затрудненное дыхание. Видимые слизистые оболочки синюшны, язык высунут из пасти.
- Собаке трудно лежать на стороне пораженного легкого.
При аускультации легких отмечаем крупно- средне и мелкопузырчатые хрипы. При перкуссии легких очаг притупления.
Диагноз. Диагноз на пневмонию ветеринарный специалист клиники ставит комплексно на основании симптомов болезни, проведения лабораторного исследования крови и мочи. Общий анализ крови дает нейтрофильный лейкоцитоз с сдвигом влево, количество эритроцитов и гемоглобина уменьшается. В обязательном порядке больной собаке делается рентгенография и рентгеноскопия легких, на рентгенограмме видны участки затемнения. Рентгенологическое обследование грудной клетки должно проводиться в двух проекциях. Для исключения пневмоний паразитарного происхождения проводят исследование кала на гельминты.
Дифференциальный диагноз. Пневмонию у собаки необходимо дифференцировать от – бронхита, трахеобронхита, воспаления слизистой носа (насморк у собак), фарингита, тонзиллита, синусита, абсцесса легкого.
Лечение при пневмонии. Больной собаке назначается диета с повышенным содержанием белков и энергии. Лечение пневмонии собак, особенно при тяжелой форме, желательно проводить в стационаре ветеринарной клиники. Если такая возможность отсутствует, то лечение под наблюдением ветеринарного специалиста проводится в домашних условиях. Курс лечения проводят в течение 2-х недель.
Главной задачей при лечении пневмонии является стабилизация их состояния и как можно более полное избавление организма от возбудителя болезни.
Проводится курс антибиотикотерапии, при которой оказывается прямое воздействие на причину приведшую к пневмонии. Перед применением антибиотика в ветеринарной лаборатории проводят выделение культуры микроорганизма из мокроты (методом посева на питательные среды для выявления возбудителя заболевания и определяют его чувствительность к тому или иному антибиотику). При лечении применяют антибиотики широкого спектра действия, в том числе современные цефалоспоринового ряда. При этом на грамм – позитивные кокки – действует гентамицин, ампициллин, амоксициллин, амоксилав, флемоксин,солютаб, хлорамфеникол, триметоприм – сульфадиазин, цефалоспорины первого поколения (цефотаксим, цефтриаксон), а также макролиды (сумамед, вильпрафен). Грам- негативные палочки — амикацин,тетрациклин, гентамицин, канамицин, хлорамфеникол, доксициклин. Анаэробные бактерии – ампициллин, амоксициллин, пенициллин, клиндамицин и цефалоспорины второго и третьего поколения.
Микоплазменные и хламидийные пневмонии у собак лечат антибиотиками тетрациклинового ряда – доксициклин, макролидами — сумамед, вильпрафен, и фторхинолонами- офлоксацин, ципрофлоксацин.
Легионеллезные пневмонии лечат макролидами и фторхинолонами.
Пневмонии вызванные кишечной палочкой лечат в основном антибиотиками цефалоспоринового ряда.
Курс лечения антибиотиками при не осложненных видах пневмоний должен продолжаться не менее 10дней. Лечение микоплазменных, хламидийных и легионеллезных пневмоний даже при хорошем состоянии собаки должен быть не менее месяца.
Перед тем как начать применять антибиотики в ветеринарных клиниках проводят тест на аллергическую чувствительность организма собак к ним.
Физиотерапия. Данная процедура проводится с целью стимулирования лучшего отделения мокроты из легких. Из данных процедур ветспециалисты проводят массаж грудной клетки. Массаж делается до тех пор, пока у собаки наблюдается кашель.
При дыхательной недостаточности, которая у собак бывает при тяжелой пневмонии, назначается кислородотерапия.
При диарее, рвоте, одышке и голодании в условиях стационара больной собаке проводиться инфузионная терапия, путем введения регидратационных растворов, капельницы вводятся собаке внутривенно.
При улучшении общего состояния собаки ее нельзя выводить на улицу. Так как в противном случае такая прогулка может вызвать у собаки рецидив болезни или резкое ухудшении состояния животного.
Нельзя лечить кашель супрессорами. Периодически необходимо проводить особый массаж путем постукивания несколько раз в день. Необходимо регулярно проводить рентгенологические исследования грудной клетки.
Профилактика пневмонии. Профилактика пневмонии должна строиться на предупреждении причин, которые могут вызвать у собаки пневмонию.
Владельцы животного должны проводить своевременное лечение болезней, которые могут спровоцировать у собаки пневмонию. Устранять участки хронической инфекции в организме собаки. Проводить укрепление иммунной системы организма собаки. Не допускать контактов с больными пневмонией животными. Проводить своевременную вакцинацию собак против вирусных инфекции имеющих распространение в Вашем регионе.
Здравствуйте! Помогите, пожалуйста, понять что с собакой и как ее вылечить.
Мы живем в Екатеринбурге.
Собака породы цвергпинчер, кобель, 9 лет.
Чуть больше месяца назад собака стала очень тяжело дышать и изредка приступами был сухой кашель.
Обратились в вет. клинику, сдали анализы крови, по которым врач предположил проблемы с сердцем и предварительно выписал препараты для поддержания сердца (валокардин или карвалол, панангин) и фуросемид, направил на УЗИ сердца и брюшной полости и на рентген грудной клетки. Далее кардиолог сделала УЗИ сердца, ничего плохого не увидела.
Также сделали УЗИ брюшной полости, тоже ничего страшного не увидела врач.
Сделали рентген легких, по которому предположили пневмонию.
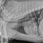
Описание рентгеновских снимков от 28.09.2017: Тень сердца не увеличена, трахея не смещена. Альвеолярная инфильтрация во всех долях легких, контуры сердца и диафрагмы нечеткие. Край печени притуплен, выступает за последнее ребро. Заключение: — пневмония (некардиогенный отек легких ?); — гепатомегалия.
Нам назначили антибиотики на 7 дней сумамед 125 мг утром и синулокс 200мг вечером, циклоферон 0,5 табл 1 раз в день на 1,2,4,6,8,11 день. Сироп Бромгексин. 1/4 табл фуросемида х 2 раза в день. Далее фуросемид заменили на верошпирон 1/2 т х 2 раза в день.
Температура у собаки была 37 с небольшим. Частота дыхания с каждым днем увеличивалась. К концу приема антибиотиков достигла 66-6 раз в минуту. Температура была 38,2.
Далее нам назначили другой антибиотик цефтриаксон. Флакон 1 гр разводить на 5 мл натрия хлорида 0,9% в/м по 1 мл + 0,5 мл 2% лидокаина 2 раза в день 14 дней.
Сироп Аскорил.
Сделать рентген и ОАК.
(К сожалению здесь невозможно разместить все снимки — результаты и рентген.)
Описание рентгена от 05.10.2017: Сохраняется альвеолярная инфильтрация во всех долях легких. Признаки течения пневмонии, минимальная положительная динамика. Гепатомегалия.
06.10.2017 назначили фуросемид 1/2 табл. утром 3-5 днея. Эуфиллин табл 0,15 1/8 табл х 2 раза в день 2-3 дня, затем 1/4 табл 2 раза в день 10-14 дней.
Собаки с начала болезни прибывает в весе от 7,5 кг до 8,1 кг (на сегодняшний день). Проверяли на УЗИ на предмет скопления жидкости во внутренних органах, сердце — не обнаружили.
Когда закончили колоть цефтриаксон, назначили левофлоксацин табл 250 мг 1/4 табл х 2 раза в день — 10 дней. Рентген-контроль.
Сироп лазолван.
Описание рентгеновских снимков от 21.10.2017: Сохраняется альвеолярная инфильтрация во всех долях легких без динамики. Дифф. диализ: — течение пневмонии; — диффузный тип опухолевого процесса; — некардиогенный отек легких. Гепатомегалия. Без динамики.
Назначили ингаляции Беродуала. И антибиотик резерва Рифампицин 150 мг 1/2 каплулы х 2 раза в день — 7 дней.
Собрать слизь после кашля, сдать анализ.
Я боюсь давать этот антибиотик. Подскажите, пожалуйста, правильное ли это назначение. И как возможно собрать мокроту? Когда пес кашляет и я подхожу с чем-то к нему, он перестает кашлять… Либо я не успеваю подойти. Выкашливает он редко по маленькой капле, а чаще просто глотает. Если вообще отхаркивает… Что можно сделать? Врач сказал, что бронхоскопию нам делать нельзя, так как она делается под глубоким наркозом, собака его не перенесет с таким затрудненным дыханием…
Сейчас частота дыхания около 48 раз в минуту. Много пьет. Ест. Рвоты, поноса нет. Язык синий — гипоксия. Крепитирующие хрипы. Одышка. На улице дышит ртом, часто останавливается. Дышит тяжело, ребра, живот двигаются сильно при дыхании.
Содержание
Ещё полвека назад считалось, что болезнь, называемая пневмонией, носит исключительно простудный характер. Так было в обычной медицине и ветеринарии. Собаки страдают данным недугом значительно чаще кошек из-за очень активного образа жизни и постоянного пребывания на улице. Основным коварством этого недуга является наличие так называемых особо агрессивных и скоротечных форм, способных убить животное буквально в течение 1 суток. Владелец должен распознавать всё на ранней стадии как можно скорее. Почему-то все ожидают кашля и повышения температуры, но это возможно лишь при простудном приобретении заболевания.
Воспаление легких заключается в воспалении различных тканей, образующих данный орган. Оно может возникать локально или полностью охватывать одну сторону. В наиболее тяжелых формах возможно отторжение или полная дисфункция поверхностных слоёв альвеол, что приводит к кислородному голоданию и связанным с ним последствиям.
Основные виды воспаления легких у собак
Понять, что это именно этот недуг, можно легко, но распознать то, чем он вызван, можно только с помощью детального обследования в ветеринарной клинике. Самостоятельно это фактически обычное гадание. Вы не можете заглянуть внутрь собаки, а также определить вообще, является ли текущий недуг воспалением легких или нет. Сначала требуется ознакомиться с общей классификацией:
| Вирусный Бактериальный тип |
Он передаётся между животными, часто при прямом общении с больными сородичами или по воздуху в сырую погоду. Противостоять ему могут лишь особи с крепким иммунитетом, поэтому владелец должен следить за рационом и витаминами. С каждым годом появляются новые, более опасные штаммы. Случаи совпадения вирусов для человека и собаки крайне редки, люди обычно этим не заражаются. |
| Грибковый тип | Это наиболее опасная разновидность, ведь с ней очень тяжело бороться. Если при этом словосочетании возникает ассоциация с дерматологическими грибками, то это большая ошибка. Повлиять могут даже споры плесени, попавшие во влажную и теплую среду легких, где нет лучей солнца. Это идеальные размножения для данного микроорганизма. Но в качестве питательной среды нужен сахар. Поэтому наиболее часто нападкам этого недуга подвержены животные, которых хозяин закармливает конфетами и прочими сладостями. |
| Простудный тип | Он наиболее распространен, встречается у собак, живущих во дворе на привязи в будке без утепления. Не будьте жестоки к своим питомцам, в особо сильные холода забирайте их в дом, а также утепляйте их жилище. Простудиться все породы могут при сильном дожде и холодном воздухе, а короткошерстные породы без одежды практически обречены на то, чтобы рано или поздно заболеть. Организм ослабевает, а затем начинаются большие проблемы. |
| Глистные инвазии | Являются достаточно редкой причиной возникновения проблем с легкими, но вероятность существует. У некоторых видов паразитов личинки проникают непосредственно в легочную ткань. Проявление воспаления легкой является последней стадией, когда черви распространяются через кашель в виде микроскопических яиц в окружающую среду. Эта ситуация может быть крайне опасной, если в доме есть маленькие дети. Для профилактики необходимо производить регулярную обработку от глистов. |
| Травматическое воспаление легких |
Является редким комплексным проявлением, но оно существует. При ударе происходит разрыв органа, образуется трудно заживающая рана, куда проникает инфекция или уже имеющийся внутри микроорганизм. Низкое количество иммуноглобулина способствует дальнейшему распространению очага. Оно часто возникает в качестве осложнения в послеоперационный период. |
Симптомы воспаления легких у собак
Этот недуг характеризуется следующими проявлениями:
- Сильнейший кашель. Он необычайно громкий, на что нужно обратить внимание. Видно, что животному очень больно. При этом нет клокочущих звуков. Всё звучит отрывисто, мягко и бесперебойно.
- Температура резко повышается. Понять это можно и без термометра по постоянно выпитой воде в миске, собака будет просить ещё. Возможны лихорадочные проявления. Питомец просто будет лежать и трястись при комнатной температуре. Обычно он подходит к хозяину и прижимается, чтобы показать своё состояние.
- Одышка и нарушение ритмов дыхания.
- Язык имеет синеватый или серый безжизненный цвет. Это значит, что кислород очень плохо усваивается.
- Сердечный ритм увеличивается в полтора раза, из-за чего собак сильно утомляется, постоянно чувствует слабость в теле.
- Лимфатические узлы болят, опухают, увеличиваются в размерах. Установить этот симптом может только ветеринар при пальпации.
- Полностью пропадает аппетит. Сначала идёт отказ от пищи частично, а затем полностью.
- Вес стремительно теряется. Крупные особи могут буквально терять 1 кг в день.
- Обратите внимание на позу во время сна. Ваш любимец будет стараться лежать в неестественном положении, чтобы не нагружать воспаленный орган.
В условиях клиники всё легко диагностируется при помощи рентгеновского снимка, ряда анализов и прослушивания врачом боков.
Как вылечить воспаление легких у собак
В основном это длительный медикаментозный курс, обязательно включающий огромное количество инъекций, но это строгая необходимость. Параллельно животному дают препараты, поддерживающие и защищающие печень, ведь это лучший способ быстро загубить все функции данного органа. В некоторых случаях могут помочь только мощные антибиотики, но это единственный выход.
При отсутствии бактериальной, вирусной или простудной причины, параллельно ведётся курс по устранению факторов, вызывающих воспалительный процесс. Возможно извлечение инородных тел, полное уничтожение гельминтов или устранение последствий травмы посредством хирургической операции. От правильности постановки диагноза напрямую зависит дальнейшее продвижение выздоровления вашего питомца. Поэтому лучше не медлить, а также обращаться в проверенную клинику с хорошей репутацией. Большинство случаев безвозвратной потери собак основано на безответственных действиях владельца в попытке самостоятельного лечения и промедления.
Лечение в домашних условиях
Дома вылечить пневмонию практически невозможно. Коварство этой болезни состоит в том, что сначала питомец кашляет, немного вяло себя ведёт, а затем начинается резкий прогресс в заболевании. Потерять свою собаку можно буквально в течение нескольких часов. Поэтому настоятельно рекомендуется обращаться к ветеринару как можно быстрее при проявлении любого из описанных симптомов. Время слишком дорого в данной ситуации, чтобы пытаться экспериментировать с различными народными методами, а также отказываться от медикаментов.

