Плевральные спайки в легких: что это такое, лечение и причины возникновения
Большое распространение легочных заболеваний объясняется тем, что они, как правило, сопутствуют сезонным вирусным болезням. Редко кому хотя бы раз в год удается не заболеть ОРЗ или гриппом. В результате могут в легких могут образовываться плевральные спайки, которые негативно влияют на работу всего организма.
Чтобы не запустить заболевание, нужно вовремя обратиться к врачу, который поставит диагноз и назначит лечение.
Причины болезни
Спайки образуются в плевральной полости, которая находится между оболочками, покрывающими внутреннюю сторону грудной клетки и внешнюю сторону легких.
Эта оболочка представляет собой гладкую поверхность с большим количеством нервных окончаний.
Она заполнена жидкостью, которая выделяется на поверхности плевры, покрывающей грудную клетку, после чего всасывается через оболочку, прилегающую к легким.
Плеврит
Причины, приводящие к заболеванию плевры, бывают самыми разнообразными. Воспалительные процессы, протекающие в организме, могут привести к тому, что увеличивается количество образующейся жидкости.
При этом выделяется белок, который оседает на поверхности плевры, делая ее шершавой. При глубоком дыхании поверхности трутся, раздражая нервные окончания, что приводит к возникновению кашля и болей в боках грудной клетки.
Такая симптоматика характерна для такого заболевания как плеврит.
Иногда излишек жидкости в плевральной полости доходит до полутора литра. Такое увеличение происходит при повреждении оболочки легкого, когда жидкость не впитывается.
Это может привести к сжатию легкого, в результате чего у человека появляется отдышка, затрудняющая дыхание и вызывающая тяжесть в боках. Такие симптомы чаще всего сопутствуют болезням почек или сердечной недостаточности, также такая картина возможна при развитии туберкулеза или опухоли.
Однако развитие болезни плевры необязательно связано с образованием избыточной жидкости в ней, хотя такие заболевания наиболее проблематичны. Причиной болезни могут быть плевральные спайки. Даже их незначительное количество может доставлять при дыхании боль. Образуются спайки после воспаления, когда рассасывается образовавшаяся при этом жидкость.
Бывают случаи, когда спайки образовываются в большом количестве, при этом уменьшается свободное пространство. Это также приводит к снижению подвижности оболочек, что способствует сильной отдышке и затруднению дыхания. В таких случаях необходимо срочное лечение.
Спайки в легких
Они образуются в любом месте благодаря наличию соединительной ткани. Образованию спаек подвержены многие органы человеческого организма.
В плевре спайки представляют собой соединительную ткань, растущую между оболочками легкого и грудной клетки.
Они могут иметь единичную структуру, а могут так разрастаться, что в конечном итоге занимают всю плевральную полость. В этом случае нужна экстренная медицинская помощь.
Симптомы, которые возникают при наличии в плевральной полости спаек:
- повышенное сердцебиение,
- отдышка,
- боли в грудном отделе,
- нарушение вентиляции легких,
- усиленный кашель,
- бледная кожа,
- повышенная температура.
Как правило, образованию спаек предшествуют перенесенные легочные заболевания, которые служат толчком к их развитию. Выделяют основные болезни, которые являются первопричиной образования спаек:
- воспаление легких,
- бронхит,
- туберкулез,
- рак легких,
- плеврит,
- пневмония,
- инфицирование легких,
Среди плевральных спаек можно выделить плевродиафрагмальные спайки, которые располагаются в нижней части грудной клетки. В основном толчком для их развития служат заболевания бронх. Рубцы образовываются в местах прилегания легкого к диафрагме.

В небольшом количестве спайки не представляют опасности, однако нужно избегать вирусных заболеваний, которые провоцируют их развитие и увеличение количества. Что в конечном итоге может привести к легочной недостаточности.
Разрастаясь, спайки способны снизить кровообращение в легких, перекрывая сосуды, а также бронхи. Перекрытие бронхов, приводит к снижению уровня кислорода в крови. В спайках при длительном развитии возможно образование собственных сосудов и нервов.
Плевропульмональные рубцы, как правило, можно отнести к туберкулезным изменениям. В основном они происходят в верхней части плевры, причем на рентгене имеют прерывистый неровный вид. Такой спаечный процесс может происходить при хронических инфекционных болезнях.
Плеврокостальные спайки в основном образовываются после фибринозных или гнойных плевритов, причем они развиваются очень быстро. Образующиеся утолщения плевры в основном происходят в боковых отделах, на стенках, по направлению к поверхности ребер легкого.
Диагностика и лечебные мероприятия
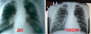
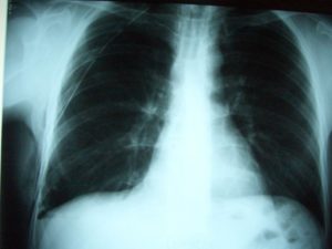
Для обнаружения легочных заболеваний в первую очередь используется флюорография. Эту процедуру необходимо проводить ежегодно, в основном она направлена на выявление ранней стадии туберкулеза. Однако опытный рентгенолог может выявить на снимке образовавшиеся плевральные спайки, которые выглядят тенями. Причем форма их не меняется в зависимости от вдоха и выдоха.
При необходимости дополнительно назначается рентген. Как правило, спайки располагаются в нижней части легкого. При этом будет более темная картинка, а также может быть частичная деформация грудной клетки и диафрагмы.
При диагностировании плевральных спаек дальнейшее лечение зависит от их количества и стадии развития. Как правило, достаточно терапевтического воздействия сопровождающегося физиопроцедурами.
Однако в случае запущенности болезни, когда развивается легочная недостаточность, и возникает угроза жизни пациента, применяется хирургическое вмешательство. При этом удаляется часть легкого, которую заполняют спайки. Такая операция получила название лобэктомия.
При обострении воспалительных процессов в легких, которые приводят к образованию спаек, нужно, прежде всего, их локализовать. Для этого используются антибиотики, которые вводятся внутривенно или внутримышечно. Как правило, такие процессы сопровождаются кашлем, поэтому необходимы препараты улучшающие отхождение мокроты.
После того, как воспаление будет остановлено, можно начинать ингаляции и электрофорез. Также при образовании плевральных спаек хорошо зарекомендовали себя дыхательная гимнастика и массаж грудной клетки.
Важно отметить, что при легочных заболеваниях большую роль играет правильное питание.
В рацион необходимо включать продукты, содержащие большое количество витаминов и белков. В меню пациента должны быть:
- рыба,
- творог,
- мясо,
- овощи,
- фрукты.
При предрасположенности организма к легочным болезням рекомендуется периодически проходить курортное лечение. Это будет способствовать оздоровлению организма. Также следует не подвергать организм переохлаждению, заниматься спортом и отказаться от вредных привычек.
Народные методы
Кроме лекарственных препаратов при борьбе со спайками хорошо использовать народные средства. Они недорогие, к тому же не нагружают организм как лекарства, и кроме того весьма эффективны. Вот некоторые рецепты, которые позволят избавиться от спаек:
-
Для приготовления чая используют шиповник, крапиву и бруснику.
Перемешав составляющие, их заливают кипятком и настаивают. Также хорошо помогает отвар, в который входят смородина, шиповник и малина.
- Эффективным средством показал себя отвар из зверобоя. Его легко можно собрать самостоятельно, а затем высушить и измельчить.
- Быстро помогает восстановить дыхание и избавиться от кашля применение эфирных масел.
Следует помнить, что нельзя заниматься самолечением, это может привести к необратимым процессам. Прежде всего, необходима консультация специалиста.
Загрузка…
Симптоматика, диагностика и терапия спаек в легких
Спайки в легких представляют собой образования в области легких. Сразу же отметим, что данные образования могут наблюдаться и во многих других органах человеческого организма.
Что касается признаков, указывающих на наличие спаечного процесса в области легких, то к их числу можно отнести как одышку, так и болевые ощущения в области груди, а также учащенное сердцебиение.
К числу причин, которым свойственно провоцировать развитие данного патологического процесса, можно отнести как воспалительные процессы в области легких, так и внутренние кровотечения, а также врожденные пороки данного органа.
Современная медицина выделяет два вида таких спаек, а именно одиночные и многочисленные. В случае многочисленных спаек они поражают практически весь орган.

Первый рецепт таков: необходимо взять две столовых ложки листьев крапивы двудомной, столько же плодов шиповника, одну столовую ложку ягод брусники и все тщательно перемешать.
Одну столовую ложку полученной смеси трав высыпаем в термос и заливаем одним стаканом кипяченой воды. Оставляем настой на сто восемьдесят минут, после чего процеживаем его и принимаем по половине стакана утром и вечером.
Очень важно употреблять данный настой непосредственно после приема пищи.
Отзывы
спайки- не лечатся!
просто не следует курить.
Оставить отзыв
Вы можете добавить свои комментарии и отзывы к данной статье при условии соблюдения Правил обсуждения.
Спайки в легких – что это такое?
Плевральные спайки, образующиеся непосредственно в легких, являются не чем иным, как разросшейся соединительной тканью. Об их наличии узнают или чисто случайно, или по таким признакам, как: затрудненное дыхание, ощущение дискомфорта в грудной клетке при глубоком вдохе/выдохе, и большая степень болезненности при очередном бронхите, к примеру.
Причины их образования
Плевроапикальные и все остальные спайки в легких являются типичным последствием перенесенной пневмонии или плеврита любого происхождения. Точечное и единичное разрастание соединительной ткани не должно вгонять вас в панику, и вынуждать искать действенную методику избавления своей грудной клетки от подобного образования.
Совсем иначе обстоят дела, когда флюорография показывает наличие многочисленных спаек.
Вот они-то уже способны исключить часть легкого из общего процесса газообмена, в результате чего человек начинает испытывать кислородное голодание, дыхательную недостаточность, слабость и ухудшение общего самочувствия. Как правило, множественные очаги разрастания устраняются операционным путем, поскольку медикаменты и народные средства дают маловыраженный эффект, или и вовсе не содействуют полноценному выздоровлению.
Причины, по которым в легких могут образоваться такие тончайшие пленочки, существует довольно много, но самые распространенные выглядят следующим образом:
- бронхиты, протекающие в острой или затяжной форме;
- воспалительные процессы в главном органе дыхания;
- абсцесс тканей легких;
- спайки могут быть результатом деятельности паразитов;
- туберкулез и плеврит, не говоря уже о пневмонии или раке легких, также провоцируют разрастание соединительной ткани в неположенном месте;
- саркоидоз;
- врожденные аномалии органов, входящих в дыхательную систему;
- инфаркт легкого и т.д.
Чем еще опасны спайки в легких, так это способностью подвергаться инфицированию в результате не долеченного респираторного заболевания. В таких ситуациях на месте дефекта начинают образовываться все новые и новые рубцы, что в свою очередь, заканчивается стягиванием, деформацией и недостаточной работой легкого.
Профилактические меры
К сожалению, ни один врач не сможет вам гарантировать, что плевропульмональные спайки не образуются в легких после излечивания заболеваний, перечисленных выше.
С целью предупреждения разрастания соединительной ткани проводятся такие мероприятия:
- санация очагов хронических инфекций, засевших в организме;
- предупреждение негативного влияния биологических, физических и токсических факторов на тело человека;
- плевральные спаечные образования реже диагностируются у людей, ведущих здоровый образ жизни, придерживающихся правильного питания, употребляющих витамины и отказавшихся от вредных пристрастий.
Поскольку спайки в легких после перенесенной пневмонии или инфаркта легкого обнаруживаются исключительно путем флюорографического исследования, пренебрегать им не следует. Если следовать закону, то просвечивать главный орган дыхания нужно всего раз в пару лет, тогда как каждый человек имеет полное право сам устанавливать график посещения флюорографического кабинета.

Заметим только, что плевроапикальные спаечные процессы чаще всего диагностируются у сотрудников тубдиспансеров, военнослужащих, врачей и медицинского персонала, пациентов с хроническими патологиями внутренних органов, не говоря уже о больных СПИДом или ВИЧ.
Народная терапия
Самостоятельное лечение многочисленных спаек часто приводит только к ухудшению общего состояния и их дальнейшему разрастанию.
Опять же, каждый организм по-своему реагирует на домашние снадобья и, вполне вероятно, что среди предложенных нами рецептов отыщется тот, который навсегда избавит от последствий пневмонии:
- В термос нужно засыпать пару ст.л. сухих крапивных листьев, такого ж количества брусники и 4 ст.л. плодов шиповника. Все заливается 0,5 л кипящей воды, и на 3 ч. плотно завинчивается крышкой. Пьется чай по половине стакана, и три раза в сутки;
- Плевропульмональные образования устраняет напиток, подготовленный на основе шиповника, малиновых и черносмородиновых ягод, взятых в равных пропорциях. Все точно так же загружается в термос, заливается полулитром только что закипевшей воды, и настаивается пару часов подряд. Такое снадобье нужно принимать пару раз за сутки, и по половинке стакана;
- Самый интересный вариант – это прогревание. Для него нужно сшить мешочек, который спокойно разляжется по всей области легких, наполнить его прогретым льняным семенем, и приложить месту, немного выше, чем показана спайка на снимке. Также семена льна можно просто замотать в марлю, потом вымочить в кипятке и точно так же применить дальше.
Хирургическое вмешательство
Учитывая тот факт, что причины появления разросшейся соединительной ткани скрываются в серьезных патологиях дыхательного органа, диагностика и лечение спаек в легких должны проводиться еще на стадии полного излечения от основного заболевания. К сожалению, редкие медикаменты способствуют искоренению образования, и тогда речь заходит об операции.
Лапароскопия – это тот вариант хирургического вмешательства, после которого следует минимальный реабилитационный период и не наблюдается осложнений (если их не было изначально). Методика применяется только в самых запущенных случаях, когда проблемы с дыханием становятся очевидными, а физиотерапевтические процедуры не дали должного эффекта.
Напоследок стоит заметить, что вопросом, что такое плевральные спайки в легких, задаются все, кроме врачей.
Если побывать на их форумах и сайтах, понимаешь, что подобный диагноз не котируется как серьезный, и с ним можно спокойно жить до самой старости. Берегите себя! Крепкого вам здоровья и хорошего самочувствия!
Чем опасны спайки в легких?
Легкие — важный орган, который может быть поражен рядом заболеваний. Если в легких спайки, то орган начнет работать неправильно, что впоследствии приведет к негативным последствиям для самого человека. Это заболевание появляется при определенных условиях и требует незамедлительного медикаментозного лечения.
Симптомы заболевания
Спайки в легких (плевродиафрагмальные) — соединительнотканные тяжки, разрастающиеся между серозными оболочками плевральной области. Они делятся на две категории:
- тотальные (охватывают все отделы плевры);
- единичные плоскостные (возникают в результате сращения плевральных листков).
Спайки опасны из-за негативного влияния на органы, выполняющие основную дыхательную функцию. В определенных случаях заболевание способно приводить к полному зарастанию полостей — это такое состояние, при котором человек чувствует нехватку воздуха. В этой ситуации необходимо незамедлительно обратиться за медицинской помощью.
Плевральные (плеврокостальные) спайки определяют следующие симптомы:
- одышка;
- болевые ощущения в области грудной клетки;
- учащенное сердцебиение;
- усиленный кашель с гнойной мокротой;
- повышение температуры тела.
Из-за систематического кислородного голодания у человека может также наблюдаться анемия и бледность кожных покровов. Вышеперечисленные симптомы указывают лишь на необходимость прохождения медицинского осмотра. Окончательно установить диагноз может только врач.
Причины образования спаек
Причины спаек в легких могут быть самыми разнообразными. В большей степени на возникновение недуга влияют патологические процессы, происходящие в человеческом организме. Среди наиболее распространенных причин выделяют:
- пневмонию;
- острый или хронический бронхит;
- заражение легких паразитами;
- инфаркт легкого;
- злокачественные и доброкачественные образования;
- курение;
- оперативное вмешательство в зоне грудной клетки.
После пневмонии спайки в легких образуются достаточно часто. Существенное влияние на патологию также оказывает плохая экологическая обстановка в той местности, где проживает заболевший человек. Недуг часто наблюдается у людей, чья профессиональная деятельность связана с химическим производством.
Диагностика и лечение
Определить наличие спаек в легких можно при помощи флюорографии. Этот метод исследования является наиболее достоверным. Дополнительно могут назначить рентген легких. Врач определяет наличие спаек по характерным темным пятнам, которые видны при получении рентгеновского снимка. Изменения могут также наблюдаться в диафрагме — она становится менее подвижной.
Как лечить спайки, устанавливает врач. Ход и интенсивность лечения зависят от запущенности процесса и от причин, которые привели к развитию данного заболевания.
Оперативное вмешательство потребуется лишь в случае, когда у человека наблюдается острая легочная недостаточность. В других случаях лечение ограничивается консервативной терапией.
Человеку может быть назначен курс приема антибиотиков, бронхоскопический дренаж, отхаркивающие препараты и щелочное питье.
После устранения острой стадии заболевания дополнительно человеку прописывают массаж грудной клетки, электрофорез, дыхательная гимнастика и ингаляции. Закрепить результат поможет санаторно-курортное лечение.
Остаточные явления после пневмонии
Пневмонией называется воспаление легких, которое происходит из-за проникновения в них инфекции различного типа. Проявляется это заболевание в различной форме.
Его классифицируют по таким видам:
- Типичный вид. В этом случае человек испытывает сильную боль в груди. Его мучает постоянный кашель, который сопровождается обильным оттоком мокроты. Высокая температура может держаться несколько недель. Общее самочувствие пациента сильно ухудшается. Он быстро устает, его преследует одышка. В этих случаях пациенту прописывается постельный режим. В наиболее тяжелых случаях проводится госпитализация.
- Атипичный вид. Зачастую это заболевание путают с обычной простудой, не придавая ему должного внимания. Это происходит из-за того, что подобная форма воспаления легких сопровождается незначительным ухудшением самочувствия и небольшим повышением температуры. Кашель безболезненный и мягкий. В таких случаях больной, как правило, не обращается к врачу. Результаты подобной беспечности бывают различными. Люди с сильным иммунитетом переносят недуг без особых последствий. Индивидуумы в престарелом возрасте, плохо питающиеся или имеющие вредные привычки, рискуют серьезно. Имеется большая вероятность отека легких или возникновения туберкулеза.
При первых признаках заболевания рекомендуется обращаться к докторам. Чем раньше начнется лечение, тем меньше будут последствия болезни.
Причины и диагностика воспаления легких
Выявить спайки без надлежащего обследования врача невозможно. Диагностирование начинается с устного опроса больного на предмет заболеваний в анамнезе, таких как бронхит или пневмония.
Обязателен и вопрос о наличии перенесенных операций или травм грудины. После этого доктор проводит пальпацию, то есть ощупывает пальцами грудную клетку и осматривает пациента.
Затем, при необходимости, назначается более подробная диагностика.
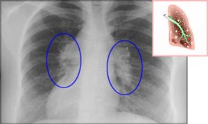
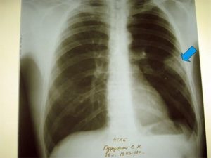
Самым распространенным методом диагностики легких является – флюорография. Но если врач подозревает, что у пациента есть спайки, то больной отправляется на рентген. По рентгеновскому снимку распознать синехию можно по мутным темным пятнам. Она выглядит, как теневое затемнение и неподвижна при вдохе и выдохе.
Плевродиафрагмальная спайка на снимке рентгена
Иногда выявляется деформация грудной клетки и диафрагмы. Чаще всего спаечный процесс отмечается в нижней части легкого. Такой вид спаек – плевродиафрагмальный, а вид спаек в верхней части – плевроапикальный.
Причины возникновения пневмонии могут быть такими:
- Вредные привычки. Как курение, так и употребление спиртных напитков способствует появлению пневмонии. Дым и пары от алкоголя раздражают слизистую оболочку дыхательных путей, постоянно ее разрушая.
- Воспаления внутренних органов, которые вызывают цепную реакцию, поражая соседние системы и органы.
- Полученные ранения или сильные ушибы. Механические разрушения ткани могут вызвать воспаления и нагноения.
- Малоподвижный образ жизни. Нахождение тела в статическом положении (особенно лежа) приводит к возникновению застойных явлений и скоплению мокроты в легких.
- Продолжительный бронхит. Воспаление может опускаться все ниже, пока не дойдет до легочной ткани.
- Наличие хронических гнойных заболеваний. Особо опасен хронический синусит. Стекая по дыхательным путям, выделения могут вызывать сильнейшее воспаление на всем протяжении путей.
Особенно часто страдают воспалением легких люди пожилого возраста. После шестидесяти лет их иммунитет сильно ослаблен и не может сопротивляться инфекции.
Это может произойти в общественном месте, в транспорте или в больнице. Для диагностики проводится рентгенография, прослушивание пациента стетоскопом и анализ крови. Для лечения применяются лекарства, которые облегчают состояние больного, и антибиотики. Курс лечения, в зависимости от тяжести заболевания, может составлять до трех недель.
Последствия воспаления легких
Легкие являются довольно деликатным органом. Такая тяжелая болезнь, как пневмония, не может пройти для них бесследно. Остаточные явления могут быть такие:
- Бактериемия. Она характеризуется обилием в крови болезнетворных микроорганизмов. Это крайне тяжелое осложнение может привести к кончине пациента. Распространяясь по кровеносной системе, бактерии и вирусы поражают практически все органы. Против нескольких недугов одновременно организм может не выдержать. Лечение может проводиться в стационарных условиях с использованием сильных антибиотиков.
- Рубцы на легких. Это естественное проявление реакции организма на инородные тела. Таким образом иммунная система ограничивает распространение болезнетворных микроорганизмов. При грамотно проведенной реабилитации спайки со временем исчезают. Как правило, угрозы для здоровья они не представляют. В тех случаях, когда они вызывают постоянный кашель, применяются специальные препараты, действие которых направлено на рассасывание спаек.
- Плеврит. Это осложнение возникает вследствие накопления слизистых выделений в области плевры. Оно может вызвать сильнейшее воспаление и нагноение. Результатом может стать заполнение легких слизью. Для ликвидации таких последствий применяются антибиотики и откачивание слизи.
- Эндокардит. Поскольку сердце находится в непосредственной близости от воспаленных легких, то оно страдает от этого в первую очередь. Инфицированию подвергается сначала внешняя оболочка сердца, затем внутренняя и его составные части.
- Цианоз. При подобном осложнении наблюдается усиленное выделение слизи, что затрудняет поглощение легочной тканью кислорода. В результате возникает кислородное голодание, которое сопровождается посинением губ, пальцев и учащенным дыханием.
- Дыхательная недостаточность. Это наиболее опасное осложнение пневмонии. В этом случае дыхательные мышцы теряют способность к сокращению. Пациенту предписывается срочная госпитализация с подключением к аппарату искусственного дыхания.
Но даже после проведенного лечения необходим длительный курс реабилитации. Как правило, пациентам назначается санаторное лечение и периодический осмотр у специалиста. Немаловажное значение играет и профилактика.
https://youtube.com/watch?v=VUkHXzjTk2g
Пневмония представляет собой воспалительное заболевание легких, причиной возникновения которого являются бактерии и вирусы.
Попадая в организм человека, они способствуют поражению бронхов, вызывая такие симптомы, как мокрый кашель, затрудненное дыхание и хрипы в груди.
Пневмония считается довольно опасной болезнью, последствия которой могут быть непредсказуемыми. Поэтому важно своевременно диагностировать данное заболевание и начать лечение.
Как правило, возникновение последствий пневмонии довольно сильно зависит от того, на каком именно этапе развития болезни была начата лечебная терапия. В том случае, если имел место небольшой очаг поражения, то существует возможность избавиться от заболевания достаточно быстро и без проявления каких-либо последствий.
При диагностировании у больного обширной пневмонии (тотальной, двухсторонней) данный недуг опасен такими серьезными осложнениями, такими как астма, отек легких, нарушения дыхания, абсцесс легких, плеврит, хронические болевые ощущения в грудной области. В конечном итоге вследствие нехватки кислорода тканям, а также клеткам организма может развиться легочная, а затем и сердечная недостаточность.
Поскольку пневмония является инфекционной болезнью, то ее несвоевременное лечение может привести к заражению крови. Кроме того, выделяют и другие возможные последствия такого недуга: гангрена, острое легочное сердце, перикардит, инфекционно-токсический шок, анемия, эндокардит, психозы.
К главным симптомам пневмонии относятся: болезненные проявления на фоне высокой температуры; одышка, как при физических нагрузках, так и в покое; присутствие сильного кашля с отхождением обильной мокроты.
Кроме того, больные могут чувствовать неприятные ощущения, а также боль в грудном отделе.
Как правило, у больных пневмонией отмечается потливость, снижение работоспособности, общая слабость и недомогание, нарушение сна, быстрая утомляемость и снижение аппетита.
Несомненно, основным лечением пневмонии является использование антибактериальных препаратов. Кроме того, назначение средства с необходимой дозировкой должен осуществлять только врач исходя от особенностей клинической картины пневмонии, возраста больного и наличия сопутствующих заболеваний.
Современная медицина располагает достаточно широким перечнем антибиотиков, применяемых для лечения пневмонии: «Макропен», «Суммамед», «Вильпрафен», «Амоксиклав», «Аугментин», «Цефазолин», «Клафоран». Средняя продолжительность такой терапии составляет 10 дней. При кашле в обязательном порядке рекомендуется использование отхаркивающих средств, разжижающих мокроту.
Наиболее популярными являются такие препараты, как: «Лазолван», «АЦЦ», «Бромгексин». В том случае, если появилась одышка, то целесообразно применять такие ингаляционные средства, как: «Беродуал», «Сальбутамол».
При тяжело протекающих пневмониях назначают проведение иммуномодулирующей терапии. Для этого внутривенно вводят следующие препараты: «Октагам», «Интраглобин», «Полиоксидоний».
В случае повышения температуры тела необходимо применение жаропонижающих средств.
Профилактика пневмонии
Соблюдая несколько простых правил, можно навсегда забыть про такое опасное заболевание, как воспаление легких. Для этого нужно:
- Вести подвижный образ жизни. Тренировка дыхательных мышц позволит избежать их отказа в случае болезни. Вентиляция легких приведет к удалению из них всех мокрот и слизи.
- Ежегодно посещать морские курорты. Морской воздух и вода укрепляют иммунитет и дают запас здоровья на целый год.
- Отказаться от вредных привычек. Это значительно повысит сопротивляемость организма ко всем возбудителям различных болезней.
- Излечить хронические гнойные заболевания, связанные с дыхательными путями, зубами и кожным покровом.
- Правильно питаться. Это улучшит обмен веществ и укрепит иммунную систему.
- Постоянно принимать витамины и препараты, укрепляющие иммунитет.
- Делать специальную дыхательную гимнастику, которая способствует полному расширению легких.
Механизм формирования
Образоваться спайки могут везде, где есть соединительная ткань. Причиной их возникновения, как правило, становится перенесенный воспалительный процесс, например, пневмония или плеврит. Развитию синехий также способствуют остротекущие бронхиты, поражение легкого паразитами, наличие саркомы, туберкулез, а также курение, травмы и онкология.
Спаечный процесс в легких

Еще одним фактором возникновения разрастаний является вдыхание вредных веществ, например, на химических предприятиях. Появляются спайки в результате слишком большого скопления жидкости в плевральной оболочке, что приводит к откладыванию фибрина (нерастворимый волокнистый белок), который в процессе выздоровления не исчезает и формируется в шварту.
Внимание! Опасность наличия спаек в легких заключается в возможном инфицировании срастаний соединительных тканей, что приводит к новообразованиям.
Симптомы
Симптоматика наличия спаек довольно схожа с признаками воспаления легких. Но заподозрить у себя наличие этой патологии вполне возможно. Наиболее частыми проявлениями являются:
- Появление острой боли при дыхании.
- Одышка при физических нагрузках.
- Повышение температуры.
- Беспричинное учащение сердцебиения.
- Бледность кожных покровов.
- Ощущение тяжести при вдохе и выдохе.
- Усиленный частый кашель.
- Головные боли.
- Слабость, сонливость.
- Проблемы с когнитивными способностями.
Перечисленные симптомы ни в коем случае нельзя оставлять без внимания, так как они могут быть причиной не только спаечных процессов, но и указывать на присутствие других заболеваний.
При образовании большого количества спаек может постепенно возникнуть дыхательная недостаточность – когда пациенту тяжело дышать, одышка усиливается. В результате физической нагрузки возможен приступ удушья, требующий неотложной помощи.
Лечение
Лечение спаек основывается на запущенности процесса и причин, приводящих к его развитию. В период обострения у больных наблюдается слабая дыхательная активность, вследствие этого проводятся различные мероприятия, основанные на подавлении гнойно-воспалительного процесса, а также санация дыхательных путей.
Сращения, появляющиеся после воспалений, нередко покрывают практически всю зону легкого. Из-за растянутых тяжей, тотально локализованных по всей области плевры, человеку становится трудно дышать, вентиляция легких нарушается, что приводит к кислородному голоданию.
В этом случае назначается хирургическое вмешательство – лапароскопия. Операция основывается на разделении спаек посредством выжигания или разрезания сросшихся тканей. Методика проводится только в самых запущенных случаях, когда лечебный массаж и физиотерапия не оказывают должного эффекта.
Заключение
Диагностировать, и тем более самостоятельно лечить спайки легких нельзя и даже опасно. После перенесенной пневмонии любые симптомы, проявляющиеся даже не слишком отчетливо, являются поводом для похода к врачу. Воспаление легких – заболевание серьезное, и последствия оно несет не менее значительные.
Спаечный процесс после неграмотно пролеченной пневмонии – явление частое и коварное, так как синихеи могут развиваться очень медленно, не вызывая никаких подозрений по поводу их наличия в легких. Постоянный контроль за своим здоровьем гарантирует своевременное избавление от негативных осложнений.
Спайки в легких: что это такое и чем опасны, причины и лечение
Нередко после различных легочных заболеваний человек начинает замечать неприятные ощущения в области груди и нарушение дыхания. Одной из причин может являться образование спаек. В связи с этим возникают вопросы, что такое спайки и нужно ли их лечить?
Что собой представляют спайки?
Спайки в легких представляют собой сращивание ткани в местах воспаления. Такой зараженный участок обволакивают фибрины, которые после соединяются между собой.
Спаечный процесс помогает организму локализовать воспаленное место. Однако при сращивании происходит нарушение кровообращения в таких тканях. Изменение в строении органа приводит к его неправильной работе, а также к дискомфортным ощущениям.
Различают единичные спайки и множественные. При единичных – размер сросшейся ткани невелик и практически не влияет на работу легких. При множественных – мест сращивания очень много. Они занимают значительную часть площади легкого. Из-за этого может нарушиться кровообращение в плевральном отделе, вследствие чего человек получить кислородное голодание.

Наличие множественных спаек в легких приводит к следующим нарушениям в работе организма:
- Постоянная одышка и нехватка воздуха даже при выполнении несложных физических упражнений.
- Появление непрекращающихся болевых ощущений в районе грудной клетки.
- Несильная аритмия, бледность кожи, интоксикация и ослабление организма в целом из-за недостатка кислорода в крови.
- Практически непрекращающиеся болезни дыхательных путей, из-за нарушенного воздухообмена в легких.
Существует множество причин возникновения спаек в легких. Основными из них являются:
- Перенесенные заболевания легких: плеврит всех видов, пневмония, бронхит и т.д.
- Различные паразиты, которые поселяются в легком.
- Всевозможные врожденные пороки дыхательных путей.
- Хирургическое вмешательство на грудной клетке.
- Онкология легкого.
- Вдыхания вредных веществ, курение.
- Травмы грудной клетки.
Диагностируется наличие спаек при помощи флюорографии. На снимке будут видны затемнения. Этот метод диагностики является начальным и не дает полной картины заболевания. Если у врача появляются сомнения, то пациент отправляется на рентген для подтверждения диагноза.
На рентгеновском снимке места наличия спаек будут затемнены. Также может прослеживаться неполная подвижность диафрагмы. В некоторых случаях существует деформация грудного отдела.
Лечение и профилактика
Лечение спаек в легких разделяется в зависимости от тяжести заболевания. Если обострение спаечного процесса мешает процессу дыхания и влияет на общее состояние организма, то в этом случае назначают медикаментозные препараты в зависимости от причины возникновения воспалительного процесса.
Как правило, назначают антибиотики (Оксациллин, Ампициллин, Цефтриаксон) и специальный дренаж при помощи бронхоскопической методики. Также обычно назначается какой-либо отхаркивающий препарат для облегчения дыхания у пациента (Амброксол, АЦЦ).
Когда воспалительный процесс в легких проходит, к препаратам добавляют массаж грудной области и различные упражнения для развития органов дыхания. Это делается для возвращения нормального кровообращения в пораженные участки. При этом пациенту необходимо придерживаться диеты, в которой содержится большое количество белка.
В том случае, когда медикаментозное лечение не помогает, а количество спаек мешает нормальному дыханию и может привести к смерти пациента, принимается решение о хирургическом вмешательстве. При таком лечении удаляется часть легкого, на котором находятся спайки. Такие операции проводятся только в запущенных случаях.
Для того чтобы не лечить спаечную болезнь, необходимо принимать ряд профилактических мер:
- Стараться как можно меньше болеть заболеваниями дыхательных путей. Для этого нужно закалять организм, не переохлаждаться, а также выбирать одежду по погоде.
- Заниматься дыхательной гимнастикой и спортом. Это поможет разглаживать уже появившиеся одиночные спайки.
- Отказаться от курения.
- При работе во вредных условиях труда (пыли и влаге) надевать респиратор, который защитит легкие от проникновения вредных веществ.
- Если есть возможность, то раз в год посещать курорты с низкой влажностью воздуха. Сухой воздух позволит вылечить возможные очаги воспаления.
Любое заболевание дыхательных путей может привести к появлению спаек в легком. Если они единичны, то практически никак не влияют на самочувствие.
Однако если вовремя не остановить воспалительный процесс в органах грудной клетки, количество спаек может резко возрасти.
Большое их количество может привести к легочной недостаточности и как итог – к смерти. Для того чтобы вовремя обнаружить спайки в легких, необходимо каждый год делать флюорографию. Это позволит еще на ранних стадиях заболевания локализовать и излечить данную болезнь.
Статья помогла вам?
Дайте нам об этом знать — поставьте оценку
Загрузка…
Что такое спайки в легких: причины, симптомы и лечение — Про Легкие
Большое распространение легочных заболеваний объясняется тем, что они, как правило, сопутствуют сезонным вирусным болезням. Редко кому хотя бы раз в год удается не заболеть ОРЗ или гриппом. В результате могут в легких могут образовываться плевральные спайки, которые негативно влияют на работу всего организма.
Чтобы не запустить заболевание, нужно вовремя обратиться к врачу, который поставит диагноз и назначит лечение.



