Гиперплазия маточного эндометрия на УЗИ
К сожалению, далеко не каждая женщина регулярно приходит на плановый осмотр гинеколога. В результате многие проблемы, заболевания и патологии выявляются только тогда, когда женщина решила произвести на свет ребёнка, а зачатие не происходит. Именно в этот момент она обращается к врачу, чтобы выявить причину, а при исследованиях может быть обнаружена гиперплазия эндометрия на УЗИ.
Гиперплазия эндометрия
Гиперплазия эндометрия — это отклонение в строении и функционировании слизистой оболочки, которая изнутри покрывает маточную полость, и имеет название эндометрий. В результате такого патологического процесса ткани слизистой начинают неконтролируемо разрастаться.
Симптоматика патологии
Нужно обратиться к врачу, если у женщины присутствуют ниже перечисленные симптомы, поскольку именно так может проявляться гиперплазия эндометрия:
- после наступления менопаузы появились скудные кровавые выделения;
- продолжительные месячные с обильными выделениями;
- нестабильный менструальный цикл;
- возникновение кровотечений в неположенные сроки;
- бесплодие;
- усилились боли во время месячных.
Однако, бывают и такие случаи, когда патология протекает без каких-либо симптомов. В этом случае женщина может и не подозревать, что у неё гиперплазия эндометрия, а на УЗИ или в момент гинекологического осмотра врач обнаруживает это заболевание.
Причины возникновения патологии
К самым распространённым причинам, провоцирующим развитие гиперплазии эндометрия, относятся следующие факторы:
- гормональный дисбаланс;
- избыточный вес;
- гинекологические проблемы и заболевания;
- аборты;
- оперативные вмешательства в маточную полость;
- эндокринные заболевания;
- мастопатия;
- повышенное АД;
- заболевания печени;
- наследственный фактор.
Стоит знать, что отдельно взятая причина, скорее всего, не спровоцирует появление гиперплазии эндометрия, а вот сочетание нескольких факторов вполне способно вызвать развитие этой патологии.
Диагностика гиперплазии эндометрия
Если есть подозрение, что у женщины гиперплазия, то врач назначит комплекс обследований. Для всесторонней диагностики применяются следующие методы:
- осмотр женщины квалифицированным гинекологом;
- проведение гормонального скрининга;
- ультразвуковое исследование (УЗИ);
- гистологическое исследование;
- биопсия;
- допплерография;
- рентген;
- гистероскопия.
Такое комплексное обследование позволяет диагностировать заболевание, оценить масштабы патологических процессов и выявить возможные угрозы, к примеру, обнаружить изменения в клетках, грозящие раком.
Гинекологический осмотр
Во время осмотра гинеколог вручную производит ощупывание матки и яичников и осуществляет забор мазка, чтобы сделать цитологическое исследование и изучить микрофлору влагалища. Кроме того, с целью уточнения диагноза может потребоваться сдача крови для анализа на уровень содержания гормонов.
Гистологическое исследование
При гиперплазии эндометрия окончательное заключение делается только после проведения гистологического исследования. При этом методе ткани эндометрия изучаются специалистом при помощи микроскопа. Как правило, гистологическое заключение нужно ждать около двух недель.
Гистероскопия
Это одна из наиболее современных разновидностей исследований. Во время процедуры маточная полость изучается с применением оптических приборов, а забор ткани для гистологического исследования проводится прицельно. Доктор, видя визуальное изображение маточной полости, выявляет участки, которые вызывают подозрение, и делает выскабливания в пораженных местах.
Рентген
Если диагноз гиперплазии эндометрия подтвердился, то перед тем, как приступать к лечению, врач отправит женщину на рентген молочных желез (маммография). Это делается для выявления возможных патологических процессов.
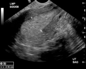
Проведение УЗИ для диагностики
При гиперплазии эндометрия УЗИ проводится с целью изучения изменений, которые произошли в маточной полости, уточнения толщины эндометрия с выявлением очагов патологии и нахождения полипов. Исследование производится специальным датчиком, который вводят женщине во влагалище.
К основным преимуществам УЗИ можно отнести неинвазивность метода, достаточно невысокую стоимость, безболезненность и точность в вопросах диагностики патологий маточного эндометрия.
Этот тип исследования позволяет определить показатели, которые должны соответствовать нормативам, различающимся в зависимости от определённой фазы менструального цикла.
В отличие от мышечного слоя маточной полости (миометрия), эндометрий имеет чёткие очертания и обладает существенной акустической плотностью. Толщина слизистой варьируется в соответствии с фазой менструального цикла.
Если при проведении УЗИ выявлено утолщение эндометрия, которое равномерно по значению и оно имеет выраженные контуры, обладая при этом неоднородной эхогенностью, то такие показания являются явным признаком гиперплазии. Кроме того, ультразвуковой метод исследования позволяет выявить наличие полипов.
Такое образование имеет доброкачественный характер и образовывается из тканей эндометрия.
Когда предпочтительнее проводить процедуру УЗИ?
При диагностике гиперплазии эндометрия делать УЗИ предпочтительно сразу после завершения менструации. Именно на 5-7 дне цикла толщина эндометрия наиболее тонкая.
Поэтому, если полученный результат составляет более 7 мм, то можно предположить наличие гиперплазии, а при показателях 20 мм и выше — велика вероятность, что патологические процессы в эндометрии имеют злокачественный характер.
В различные дни менструального цикла толщина эндометрия колеблется, и при проведении УЗИ нормальные показатели составляют:
- 5-7 день — толщина ткани эндометрия составляет 5-6 мм;
- 12-14 день — ткани эндометрия стремительно увеличиваются и составляют 10-15мм;
- 23-25 день — толщина ткани эндометрия составляет порядка 18 мм;
- 26-27 день — значение толщины эндометрия находится на отметке 17 мм.
Во время месячных делать УЗИ нельзя, поскольку маточная полость в этот период наполнена кровью, а её присутствие не позволит врачу нормально рассмотреть матку. Если при проведении УЗИ полученные значения превышают нормальные показатели, то можно предположить, что у женщины имеется гиперплазия эндометрия.
Эхографические показатели, указывающие на наличие патологии
К эхографическим признакам, которые указывают на наличие гиперплазии эндометрия можно отнести следующее:
- Показатели срединной маточной структуры составляют 14.6-15.4 мм.
Признаки гиперплазии эндометрия
Врачи под гиперплазией эндометрия врачи подразумевают дисфункциональные маточные кровотечения, с которыми сталкивается каждая третья женщина в пременопаузе. В большинстве случаев возникновение кровотечения совпадают с периодом менструации или после ее задержки.
В некоторых случая кровянистые выделения могут наблюдаться в период между менструациями. Проявления гиперплазии У пациенток гиперплазия проявляется по-разному.
У некоторых пациенток болезнь проявляется: • появлением головных болей, • стремительной прибавкой веса, • бессонницей, • нервозностью,…
Показать полностью
МиносьянцАнна Арминаковна
Врач УЗИ
ДолговаЗоя Александровна
Врач УЗИ
Наименование Цена (₽)
| Брюшной аорты с допплерографией | 1500 |
| Допплер сосудов щитовидной железы | 2000 |
| Допплеровское исследование (без акушерского УЗИ) | 2000 |
| Допплеровское исследование (в комплексе с акушерским УЗИ) | 3500 |
| Допплеровское исследование полового члена без фрам. нагрузки | 2500 |
| Допплеровское исследование полового члена с фарм.нагрузкой без стоимости препаратов | 5000 |
| Допплеровское исследование полового члена с фарм. нагрузкой + стоимость препаратов | 8500 |
| Допплеровское исследование сосудов почек | 2000 |
| Дуплексное сканирование артерий верхних конечностей | 2200 |
| Дуплексное сканирование артерий нижних конечностей | 2700 |
| Дуплексное сканирование артерий почек | 2300 |
| Дуплексное сканирование вен верхних конечностей | 2200 |
| Дуплексное сканирование вен нижних конечностей | 3000 |
| Дуплексное сканирование сосудов шеи (сонной и позвоночной артерии) | 3000 |
| Запись на диск | 800 |
| Здоровье женщины (УЗИ органов брюшной полости, Узи мочевого пузыря, УЗИ органов малого таза УЗИ молочных желез, УЗИ щитовидной железы, УЗИ почек и надпочечников) | 7000 |
| Здоровье мужчины (УЗИ органов брюшной полости, Узи мочевого пузыря, ТРУЗИ, УЗИ органов мошонки, УЗИ щитовидной железы, УЗИ почек и надпочечников) | 7000 |
| Транскраниальное дуплексное сканирование сосудов головы (ТКДС) | 3000 |
| УЗИ 3D | 3600 |
| УЗИ Гайморовых пазух | 2500 |
| УЗИ акушерское (доплата +1 плод) | 1200 |
| УЗИ беременность до 12 недель | 2200 |
| УЗИ беременность (большие сроки) | 3000 |
| УЗИ брюшной полости: печень, желчный пузырь, поджелудочная железа, селезенка | 2300 |
| УЗИ желчного пузыря (функциональная проба) | 850 |
| УЗИ исследование яичников (контроль доминантного фолликула)фолликулометрия | 1600 |
| УЗИ лимфатических узлов (1регион) | 1000 |
| УЗИ молочных желез с региональными лимфоузлами | 1600 |
| УЗИ мочевого пузыря | 1000 |
| УЗИ мышц тазового дна (промежности) | 1200 |
| УЗИ мягких тканей 1 область | 1350 |
| УЗИ одного сустава | 1600 |
| УЗИ органов малого таза (трансабдоминально) | 1600 |
| УЗИ органов малого таза (трансвагинально) | 1800 |
| УЗИ органов малого таза (трансвагинально+трансабдоминально) | 2400 |
| УЗИ органов мошонки с ЦДК | 1600 |
| УЗИ парные суставы | 2600 |
| УЗИ почек | 1600 |
| УЗИ мочевыводящей системы (почки, мочевой пузырь, мочеточники и надпочечники) | 2000 |
| УЗИ предстательной железы (трансабдоминально) | 1400 |
| УЗИ предстательной железы (трансаректально) | 1600 |
| УЗИ предстательной железы (трансректально+трансабдоминально) | 2200 |
| УЗИ слюнных желез | 1500 |
| УЗИ щитовидной железы | 1800 |
| Узи сустава | 1800 |
| Эхокардиография (УЗИ сердца) | 3000 |
| Холтер ( суточное мониторирование ЭКГ) | 3000 |
| Регистрация и расшифровка ЭКГ | 1100 |
| Расшифровка результатов ЭКГ сторонних клиник | 500 |
| УЗИ ДЕТЯМ: | |
| Узи-скринингдля детей 1-го года жизни расширенный.(сердце,бр/п, головного мозга ,почек, тазобедренных суставов) | 9850 |
| Узи тазобедренных суставов | 1700 |
| Узи головного мозга (Нейросонография) | 2000 |
| Узи вилочковой железы | 1500 |
| Узи сердца-ЭХОКГ (Эхокардиография) | 3000 |
| Узи мякгих тканей | 1500 |
| Узи сосудов | 4500 |
| Узи лимфотических узлов | 1500 |
| Узи сосудов головного мозга (Доплерография) | 3500 |
| Узи гайморовых пазух носа | 2500 |
| Узи брюшной полости | 2400 |
| Узи щитовидной железы | 1800 |
| Узи малого таза (абдоминально) | 2400 |
| Узи молочных желез | 1850 |
| Узи почек и мочевого пузыря | 2500 |
| Узи мочевого пузыря с определением остаточной мочи | 1300 |
| Узи почек | 1800 |
| УЗи слюнных желез | 1500 |
| Узи желудка (водно-сифонная проба) | 1700 |
| Узи желчного пузыря с определением функции (холецистография) | 1900 |
материалы:
Врачи под гиперплазией эндометрия врачи подразумевают дисфункциональные маточные кровотечения, с которыми сталкивается каждая третья женщина в пременопаузе. В большинстве случаев возникновение кровотечения совпадают с периодом менструации или после ее задержки. В некоторых случая кровянистые выделения могут наблюдаться в период между менструациями.
Проявления гиперплазии
У пациенток гиперплазия проявляется по-разному. У некоторых пациенток болезнь проявляется:
• появлением головных болей, • стремительной прибавкой веса, • бессонницей, • нервозностью,
• понижением работоспособности.
https://youtube.com/watch?v=qUNWkMqjRf8
Некоторые женщины переносят заболевание бессимптомно. Как можно определить признаки гиперплазии эндометрия? По УЗИ!
Особенности протокола обследования
Протокол обследования пациентки в период перед наступлением менопаузы имеет некоторые особенности.
Когда врач собирает анамнез на основании жалоб пациентки, сведениях о течении беременности и родов у матери, о перенесенных заболеваниях, ранее проводимом лечении, он должен обратить внимание и уточнить факты появления симптомов, и о том, какие изменения произошли в результате терапевтического лечения на определенном промежутке времени.
При визуальном осмотре врач сопоставляет биологический и паспортный возраст пациентки для определения соответствии. Внимание уделяется телосложению, осмотру вторичных половых органов, кожных покровов. Определяется объем подкожного жира, производится ощупывание щитовидной железы и молочных желез груди.
Для чего нужно УЗИ в период климакса?
Обследование гинекологом в период климакса необходимо для оценки состояния половых органов, соответствия их анатомического строения возрастным изменениям. О развитии гиперплазии эндометрия говорит наличие слизи в шейке матки, увеличенные в размере матка и яичники, ороговевшие клетки, наличие которых может подтвердить кольпоцитологический анализ.
Диагноз, который был установлен на основании вышеуказанных исследований, нельзя считать точным и объективным без проведения дополнительных исследований. Одним из таких методов исследования является УЗИ гиперплазии матки.
Узи эндометрия
Проведение УЗИ матки дает возможность получит достоверную информацию о состоянии яичников и возможных патологиях эндометрия. Ультразвуковое исследование эндометрия дает возможность оценить качественные и количественные параметры эндометрия на разных фазах менструального цикла.
Эндометрий отличается большой акустической плотностью. Его толщина увеличивается в зависимости от фазы менструального цикла. Если в первом цикле толщина эндометрия составляет 3-4 мм, то во второй фазе его толщина увеличивается до 1,2-1,5 см.
Признаки гиперплазии эндометрия? По УЗИ проявляются его достаточно равномерным утолщением, однородной эхогенностью и ровными контурами. Для полипов характерными признаками являются новообразования, которые имеют повышенную акустическую плотность, ровные контуры и эхонегативный ободок.
Если же полипы претерпевают злокачественные изменения, ободок полипа имеет изрезанный контур.
Признаком гиперплазии эндометрия при УЗИ в период менопаузы является увеличение М-эха до 0,5 см и больше.
Для диагностики патологического состояния эндометрия, а также контроля над эффективностью лечения, проведение Узи эндометрия назначают на 5-6-й день менструального цикла.
Достоверность и точность обследования подтверждается показателями и составляет 91% при диагностике гиперплазии, 60-80% — при диагностике полипов эндометрия. Пройти обследование УЗИ можно в нашей клинике.
Гиперплазия эндометрия: симптомы
Эндометрий — слизистый слой, устилающий изнутри матку девушек и женщин. Эта ткань регулируется посредством половых гормонов, которые вырабатываются в организме. Слой становится толще и разрастается под влиянием эстрогена. Противоположный эффект оказывает прогестерон.
Гиперплазия эндометрия — существенный рост клеток слизистой матки, при котором происходит увеличение толщины слоя слизистой. Гиперплазия может быть очаговой или же охватывает полностью маточную поверхность. Причина этого явления заключается в преобладании преобладание гормона эстрогена.
Причины сдвигов гормонального баланса:
- синдром поликистозных яичников
- прием лекарств, в которых содержится эстроген, или которые провоцируют его выработку
- менопауза
- лишний вес (ожирение)
Факторы риска
Основные факторы риска гиперплазии эндометрия:
- аборты
- инфекции мочеполовой сферы
- генетический фактор
- эндокринные заболевания
- гипертония в анамнезе
- сахарный диабет
- проживание в плохой экологической среде
- период полового созревания
Симптомы
Основными симптомами гиперплазии эндометрия матки считаются:
- мажущие кровянистые истечения периода менопаузы
- длительные менструации, при которых теряется много крови
- сбои менструального цикла
- появление кровотечения между менструацией
- бесплодие
- сильные боли во время критических дней
Но болезнь во многих случаях протекает латентно, то есть без симптомов. Ее обнаруживают при осмотре гинекологом или во время проведения ультразвуковой диагностики, когда пациентка обращается совсем с другими жалобами к врачу. Болезнь может привести к раку и бесплодию.
Симптомы гиперплазии эндометрия в менопаузе
Патологические процессы в слизистой матки происходят задолго до периода менопаузы. Наследственная предрасположенность и наличие доброкачественных болезней половых органов играют большую роль в развитии этой патологии. Чем старше женщина, тем меньше защитных сил в организме остается. К тому же, хронические болезни и оперативное вмешательство усугубляют ситуацию со слизистым слоем матки.

В период менопаузы риск заболеваний в сфере гинекологии возрастает. Появившаяся в это время гиперплазия способна перерасти в злокачественную опухоль матки.
Потому женщинам советуют проходить плановые осмотры, даже если никакие симптомы не тревожат.
А группе риска находятся женщины, которым более 50 лет, у которых стойкое повышение артериального давления, сахарный диабет, нарушения обмена веществ в организме, а также ожирение.
Симптомы гиперплазии эндометрия могут быть такими:
- мажущего вида кровянистые, скудные выделения
- длительное обильное кровотечение
- полипы
Но латентное течение также может быть. Из-за этого часть пациенток очень поздно обращаются к гинекологу, только когда у них появляется сильная боль в животе. Тогда лечение очень сложное.
Диагностика проводится трансвагинальным УЗИ, также возможна аспирационная биопсия. Если поражение очаговое, то аспирационная биопсия может не выявить патологию. В период климакса толщина эндометрия женщины составляет до 5 мм.
Если слизистая имеет толщину 6-7 мм, нужно повторное УЗИ, поскольку эти показатели не лежат в границах нормы. Если показатель достигает 8 миллиметров, врач назначает выскабливание слизистой с последующим изучением биологического материала.
Специальный зонд применяют для осмотра полости матки перед и после процедуры.
Симптомы гиперплазии эндометрия в постменопаузе
Длительность постменопаузного период составляет несколько лет, и в это время функция яичников окончательно угасает. По этой причине происходит снижение выработки половых гормонов (эстрогена и прогестерона), которые влияют на:
- детородные органы
- нервную систему
- ЖКТ
- головной мозг
- опорно-двигательный аппарат
- волосы
- кожный покров
Когда меняется работа яичников, нередко развиваются кисты. Внешними симптомами они не проявляются, потому о них не известно вплоть до разрыва или загиба ножки. Но в части случаев наоборот появляются очень сильные боли, что и служит поводом для обращения к врачу. Подобные кисты и неупорядоченное деление клеток эндометрия нередко вызывают опухоли злокачественного характера.
Настораживающим признаком считается появление кровянистых истечений любого типа (скудных, слишком сильных и др.). Симптомы гиперплазии эндометрия в постменопаузе включают схваткообразные боли низа живота, которые характеризуют развитие крупных полипов. В постменопаузе появляются одиночные полипы, также происходит отмирание слизистого слоя.
Симптомы железистой гиперплазии эндометрия
Этот тип гиперплазии появляется в результате характерного развития и увеличения желез эндометрия матки. Данное состояние считается предраковым. Если не проводить адекватное лечение, возникает атипичная форма гиперплазии с формированием клеток, которые по строению похожи на раковые.
При железистой гиперплазии нарушается менструальная функция, проявляются кровотечения. Появляются так называемые меноррагии, которые более обильные и длительно протекающие, чем менструация обычно.
Также появляются метроррагии, представляющие собой ациклически появляющиеся кровотечения. Истечения при гиперплазии железистого вида, как правило, наступают после непродолжительной задержки либо в перерыве между месячными.
В подростковом периоде возможно активное выделение крови со сгустками.
Возникают также такие проявления:
- недомогание
- слабость
- головокружения
- анемия
- потеря сознания (обмороки)
Признаки гиперплазии эндометрия по УЗИ
УЗИ делают с целью оценки изменений происходящих в детородном органе, выявления толщины слизистой оболочки с нахождением участков гиперплазии и полипами. Методика проводится специальным датчиком, вводимым во влагалище.
Ультразвуковая диагностика при гиперплазии считается неинвазивным, относительно недорогим, не вызывающим болевые ощущения и точным методом диагностики патологий эндометрия.
УЗИ дает показатели, которые должны вписываться в нормы относительно определенной менструальной фазы.

Слизистый слой эндометрия имеет четкие очертания и значительную акустическую плотность по сравнению с мышечным слоем, то есть с миометрием. На толщину слизистой оболочки оказывает влияние месячный цикл.
В первой фазе стенка всего 3-4 мм, во второй фазе показатель равен 12-15 миллиметров.
Признаки гиперплазии эндометрия по УЗИ: равномерное по значению утолщение с выраженными ровными контурами и однородной эхогенностью.
Полипы на УЗИ — новообразования с четкими контурами, тонким эхогенным ободком и высокой акустической плотностью. Если выявляются злокачественные изменения, им присуща неравномерность контуров и неоднородная эхогенность.
Признаки железистой гиперплазии эндометрия
При железистом типе гиперплазии эндометрий утолщается, при этом клетки железы активно делятся и располагаются группками, неравномерно. Патологическое состояние может протекать в отсутствии выраженных признаков. Именно поэтому не всегда пациентки описывают симптомы гиперплазии эндометрия, а жалобы поступают на обменно-эндокринные нарушения, такие как:
- нарушения сна
- головные боли
- снижение работоспособности
- прибавка в весе без причины
- раздражительность
- сильная жажда
Железистая гиперплазия эндометрия протекает с маточными кровотечениями, поскольку месячный цикл неравномерный. Выделения могут быть слишком длительными или слишком короткими, слишком слабыми или, наоборот, ненормально обильными.
На развитие гиперплазии указывают также мажущего типа истечения, не связанные с менструацией.
Не наступление беременности и болевой синдром с локализацией в низу живота нередко говорят о том, что слизистая оболочка матки подвержена на данном этапе патологическим изменениям.
При обнаружении у себя выше описанных симптомов или части из них, срочно обращайтесь на очный прием к гинекологу! Чем раньше диагностировано это состояние, тем ниже вероятность осложнений и проще лечение.
Эхографические симптомы гиперплазии эндометрия
Чтобы определить тип гиперплазии и проконтролировать, насколько помогает лечение, делают УЗИ на 5-7-й день месячного цикла. Точность исследования выявленных гиперпластических трансформаций составляет 90%, а обнаруженных полипов эндометрия – 60-80%.
Информативность скринингового метода может быть различной, что зависит от рабочих характеристик самого аппарата, опыта врача-диагноста и возраста больной. Эхографические признаки гиперплазии эндометрия включают ниже перечисленные:
- полипы размером 16,1-17,5 мм
- срединная маточная структура толщиной от 14,6 до 15,4 мм
- аденокарциному подозревают при показателях 19,7-20,5 мм
Гиперплазия в постменопаузальный период диагностируется, если величина М-эхо 5 и выше миллиметров.
О гиперплазии эндометрия говорят такие эхографические симптомы как ровность/неровность контура М-эхо, повышенная звукопроводимость, включение эхонегативных либо эхопозитивных структур, неоднородность эндометрия, измененный рельеф слизистой оболочки матки.
Симптомы очаговой гиперплазии эндометрия
При очаговой форме гиперплазии эндометрий разрастается в зонах, которые максимально подвержены влиянию гормонов. Поражения могут быть размером от 2 мм до нескольких сантиметров. Внешние признаки этих изменений — полипы.
Чтобы созревшая яйцеклетка вышла из фолликула, должен быть определенный уровень прогестерона и лютеинизирующего гормона.
Если в организме эстрогена больше нормы, то первая фаза цикла становится длиннее, выход яйцеклетки тормозится, овуляция отсрочивается, а также слизистая оболочка матки разрастается.
Первыми симптомами очаговой гиперплазии эндометрия обычно бывают затяжные и сильные кровотечения. Также бывают кровянистые небольшие выделения тогда, когда критических дней быть не должно. И такие выделения обычно длятся 1-3 дня.
Если же фиксируется нехватка эстрогена, то яйцеклетка не созревает в достаточной мере, чтобы выйти из фолликула. Происходит частичное отторжение слизистого слоя, формируются полипы на пораженных зонах. Симптомы гиперплазии эндометрия аналогичные, сильные или более слабые критические дни могут быть от 10 до 14 суток.
Симптомы гиперплазии эндометрия
Гиперплазия эндометрия – патологический процесс, суть которого состоит в разрастании ткани слизистой оболочки матки. В зависимости от того, какие именно изменения происходят в эндометрии, могут варьироваться и клинические проявления патологии.
В ряде случаев яркая симптоматика отсутствует, и патология выявляется во время профилактического обследования или в ходе мероприятий, связанных с диагностикой бесплодия.
Симптомы гиперплазии эндометрия в репродуктивном возрасте
Основными признаками гиперплазии эндометрия у женщин репродуктивного возраста являются нарушения менструального цикла, к которым относятся:
- Меноррагия – пациентка предъявляет жалобы не только на то, что менструации стали более длительными, но и на увеличение объема кровянистых выделений.
- Альгодисменорея – во время менструации пациентка испытывает интенсивные болевые ощущения, локализованные в нижней части живота
- Метроррагия – возникают межменструальные маточные кровотечения
- Изменение длительности менструального цикла
- Бесплодие
- Анемия, связанная с длительной кровопотерей
Хотите записаться на прием?
Симптомы гиперплазии эндометрия в периоде менопаузы
- Кровянистые выделения мажущего характера из половых путей (обычно характерны для полипоза эндометрия)
- Значительные маточные кровотечения (как правило, имеют место при аденоматозе или железистой ГПЭ)
- Выявление полипов эндометрия
В период гормональной перестройки организма вероятность развития патологий репродуктивной системы возрастает. Особую опасность представляет риск озлокачествления гиперплазии эндометрия.
При отсутствии явных признаков заболевания своевременная диагностика патологии может быть затруднена, в связи с чем женщинам рекомендуется проходить ежегодный профилактический осмотр врача-гинеколога.
В частности, регулярное обследование рекомендовано пациенткам, которые:
- Находятся в возрастной группе старше 50-ти лет
- Имеют проблемы с лишним весом
- Страдают артериальной гипертензией
- Страдают сахарным диабетом
УЗ-признаки гиперплазии эндометрия
Как мы уже говорили выше, гиперплазия эндометрия может быть выявлена в ходе профилактического обследования – в частности, при проведении УЗИ.
Эндометрий, будучи гормонозависимой тканью, в течение менструального цикла претерпевает определенные изменения. Во время менструации функциональный слой слизистой оболочки отторгается, и его толщина уменьшается. В норме в этот период она составляет порядка пяти миллиметров.

Затем в фолликулярной фазе цикла под воздействием женских гормонов эстрогенов происходит активная пролиферация клеток слизистой матки, возрастает число и объем желез, толщина эндометрия увеличивается. В поздней стадии пролиферации, которая определяется примерно к 12-14 дню менструального цикла, толщина слизистой оболочки матки составляет уже примерно от восьми до тринадцати миллиметров.
После овуляции в яичниках образуется желтое тело, которое начинает вырабатывать прогестерон и эстрогены, оказывая влияние на состояние слизистой оболочки, которая продолжает увеличиваться в объеме и претерпевать структурные изменения. В фазе секреции эндометрий утолщается, достигая примерно к 20-23 дню цикла максимальных значений – от десяти до двадцати миллиметров.
Если вышедшая из яичника яйцеклетка оплодотворяется, то имплантация эмбриона происходит примерно на 20-ый день цикла. В том случае, если этого не происходит, желтое тело прекращает свое существование, кровоснабжение слизистой оболочки матки ухудшается, эндометрий начинает отторгаться.
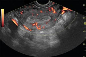
Ультразвуковое исследование органов малого таза с использованием трансвагинального датчика позволяет выявить патологию, основываясь в первую очередь на таком показателе, как М-эхо матки.
Важно понимать, что величина его не является постоянной и изменяется в зависимости от дня цикла.
Исходя из этого, выделяют 4 степени М-эха матки, характерные для ранней и поздней стадии пролиферации, периовуляторного периода, а также секреторной фазы.
Помимо этого, диагностическую ценность имеет результат определения срединного М-эха, позволяющий определить плотность слизистой оболочки.
Эхо-признаками гиперплазии эндометрия являются :
- Утолщение эндометрия (при проведении исследования на 5-7 день цикла показатель м-эха превышает 14,5 мм; в периоде постменопаузы в любой день – более 5 мм)
- Повышение эхогенности
- Изменение рельефа поверхности слизистой оболочки матки
- Изменение (неоднородность) структуры слизистой оболочки матки
- Выявление в пределах эндометрия участков различной формы и размеров с повышенной или пониженной эхогенностью
- Контур М-эха при этом может быть как ровным, так и неровным.
Хотите записаться на прием?
Вернуться к списку
Гиперплазия эндометрия. Что это и как лечится?
Гиперплазия эндометрия – это нарушение строения внутренней оболочки матки. Патология опасна и требует лечения.
Что такое эндометрий
Эндометрий — это внутренний, регулярно обновляемый маточный слой, необходимый для роста и развития оплодотворенной яйцеклетки. Вне беременности слизистая отторгается в виде менструации. На освободившемся месте разрастается новый слой. При беременности менструации прекращаются.
Этот процесс регулируется на гормональном уровне. При нарушениях выработки в яичниках эстрогена и прогестерона, сбивается и цикл образования эндометрия. Он становится толще и несвоевременно отторгается. В норме этот слой 2-16 мм (5 мм у женщин в климаксе).
Чем опасна гиперплазия
Из-за образования слишком толстого и плотного слоя эндометрия, кровотечения становятся обильными, могут содержать большие сгустки крови и тканей. Начинается анемия.
Патология эндометрия снижает шансы забеременеть, в т.ч. и с помощью репродуктивных технологий. У 77% пациенток с неудачным ЭКО обнаруживается гиперплазия, эндометриоз и полипы.
Гиперпластические изменения у возрастных пациенток вызывают маточные кровотечения. Половина гинекологических пациенток перед менопаузой имеют гиперплазию.
Риски возникновения
Естественно, что в группу риска по диагнозу «гиперплазия» попадают женщины, переживающие гормональную перестройку:
- девушки с первыми менструациями;
- женщины в перименопаузальном периоде (подготовка к климаксу);
- пациентки после оперативного вмешательства, нарушающего цикл: аборта, выскабливания;
- пациентки с хроническими патологиями, влияющими на гормональный фон: диабетом, заболеваниями щитовидки, надпочечников, гипофиза;
- женщины, самостоятельно принимающие или прерывающие курс гормонального лечения или контрацепции;
- пациентки, прошедшие искусственную стимуляцию яичников и агрессивное гормональное лечение;
- прием Тамоксифена.
Варианты диагноза
Эндометриальная гиперплазия имеет 4 формы:
- Простая, без атипии (без атипичных клеток, способных перерождаться в рак);
- Железистая без атипии;
- Простая с атипией;
- Железистая с атипией.
Патология ещё не является раком и лечится. Низкий онкогенный риск у простой формы, без атипичных клеток, самый высокий – у железистой ГЭ с атипией.
Фото гиперплазии
Гиперпластический процессКлетки эндометрия при гиперплазииГиперплазия эндометрия на УЗИ
Симптомы и диагностика
- Простая гиперплазия (1 тип). Проявляется интенсивным кровотечением после длительного отсутствия менструаций. На УЗИ и при гистероскопии видно утолщение функционального слоя, недостаточная извилистость желез, наличие кист.
- Простая железистая гиперплазия эндометрия (2 тип). Характеризуется кровотечениями вне цикла, задержками менструаций, появлением больших сгустков крови во время критических дней. На осмотре при помощи гистероскопа видно большое количество желез, их извилистость и тесное примыкание друг к другу.
- Простая атипическая гиперплазия эндометрия (3 тип). Диагностируется редко. Проявляется спонтанными маточными кровотечениями в климактерическом периоде или вне цикла, сильной болью. Увеличено число желез, разных по величине, клетки стромы разрастаются.
- Железистый гиперпластический процесс с атипией (4 тип). Симптомы более яркие: обильные и длительные кровотечения, большая задержка менструации. Внешне эта форма выглядит как разрастание ветвистых желез неправильной формы. Появляются атипичные клетки с нарушенной структурой, не реагирующие на эстроген.
Признаки гиперплазии эндометрия, которые женщина может заметить – нарушение цикла и характера менструации (более интенсивные, длительные). Появляются при любой форме патологии.

Для постановки точного диагноза нужно пройти:
- УЗИ матки. Получив результаты, гинеколог сравнивает показатели нормы, меняющиеся в течение цикла. В первой фазе толщина эндометрия — 3-8 мм, в последней – 6-15 мм.
- Анализы на гормоны. Это гормональное нарушение, поэтому проверка качества гормонального фона — обязательна.
- Биопсия эндометрия с исследованиемклеток на онкологию. Материал для исследования берется из маточной полости во время гинекологического осмотра. В лаборатории выявляются изменения на клеточном уровне, любые нетипичные процессы.
- Гистероскопия. Эта информативная и точная методика осмотра поверхности матки с помощью оптического прибора. Гинеколог может сразу провести выскабливание патологических участков, поэтому такая процедура назначается только при наличии серьезных оснований: подозрение на рак, гормонотерапия неэффективна, присутствуют атипичные клетки, патология дает тяжелые кровотечения.
Как лечат гиперплазию эндометрия
Медикаментозный метод. Так как причина заболевания — превышение концентрации эстрогена относительно к прогестерону, ГЭ хорошо поддается лечению гормонами. Курс подбирается по результатам анализов и с учетом возраста пациентки. Лечение ведется препаратами нон-овлон, ригевидон и близкими к ним по составу.
Выскабливание. При неэффективности гормональной терапии и при подозрении на рак назначают гистероскопию с раздельным выскабливанием. Процедура проводится под общим наркозом. Гинеколог счищает верхний слой слизистой, удаленную ткань отправляют в лабораторию. Через 2 часа после гистероскопии можно отправиться домой. Наблюдение за пациенткой длится не менее 1,5 лет.
Операция по удалению матки — гистерэктомия. Крайняя мера — удаление органа. Проводится, если выявлена атипичная форма болезни, сочетание сложных форм гиперплазии с миомой, аденомиозом. Чаще назначается женщинам, старше 50 лет.
ссылкой:
Гиперплазия эндометрия — лечение, симптомы, диагностика болезни
Актуальной проблемой современной гинекологии остаётся гиперплазия эндометрия. Что это такое, как её лечить – тема данной статьи.
Эндометрий – слизистая оболочка матки.
Гиперплазия эндометрия (hyper – сверх; plasis – образование) – паталогическое разрастание маточных желёз и, в меньшей степени, стромы эндометрия.
Структура эндометрия
Во время нормального менструального цикла под влиянием женских половых гормонов в функциональном слое эндометрия происходят периодические изменения.
Эстрогены (эстрон, эстрадиол, эстриол) вызывают пролиферативный рост желёз эндометрия, но мало влияют на строму.
Основной объём эстрогенов вырабатывается фолликулом яичника в 1-ю фазу менструального цикла.
Прогестерон — подавляет размножение железистых клеток (пролиферацию) и перестраивает маточные железы из растущего состояния в секреторное. При этом прогестерон стимулирует рост клеток стромы.
Прогестерон (гормон жёлтого тела) производится преимущественно во 2-ю фазу менструального цикла жёлтым телом яичника, а также корой надпочечников. Он готовит слизистую матки к имплантации оплодотворённой яйцеклетки.
Если оплодотворения не происходит, жёлтое тело в яичнике регрессирует, выработка половых гормонов (и эстрогенов, и прогестерона) угасает.
Питание функционального слоя эндометрия нарушается, он разрушается, отмирает и удаляется с менструальной кровью.
Базальный слой эндометрия не подвержен цикличному отторжению. Он обеспечивает восстановление функционального слоя в следующем менструальном цикле.
Овариально-менструальный цикл, изменения в эндометрии
В норме размер и структура эндометрия в каждую фазу месячного цикла имеет строго определённую картину.

Высокие «ударные» дозы или длительное, непрерывное воздействие умеренного количества эстрогенов на эндометрий на фоне дефицита прогестерона приводят к патологическому разрастанию маточных желёз — к гиперплазии эндометрия. В процессе гиперплазии происходит увеличение объёмов и дезорганизация как функционального, так и базального слоёв слизистой. Эндометрий теряет свои функции.
Чем опасна гиперплазия эндометрия?
- Озлакачествление. Доброкачественная гиперплазия слизистой матки становится предшественником 80% случаев рака эндометрия (аденокарциномы 1 типа).
- Бесплодие.
Гормональный дисбаланс и нарушение морфологической структуры эндометрия приводят к дисфункции слизистой матки, невынашиванию беременности и маточным кровотечениям.
- Анемия.
Дисфункциональные маточные кровотечения истощают организм женщины, становятся причиной развития малокровия.
Формы гиперплазии эндометрии
Гиперпластические процессы эндометрия
Гиперплазия эндометрия без атипии
- Проста типичная гиперплазия эндометрия – разрастание желёз и стромы эндометрия в равном соотношении друг к другу (без преобладания железистого компонента), без атипичных изменений в клетках (нет мутации клеток).
При простой гиперплазии маточные железы удлинены, расширены. Иногда в них образуются кистозные полости. При этом количество желёз соответствует норме, их структура практически не нарушена, контуры ровные.
Соотношение «железы : строма» в эндометрии соответствует норме.
Риск перерождение в рак простой гиперплазии эндометрия без атипии ничтожен: не более 0,5 — 1%
- Комплексная (сложная, аденоматоз) гиперплазия эндометрия без атипии – отличается от простой значительным разрастанием желёз, увеличением их числа, структурной перестройкой желёз. Соотношение «железы и строма» увеличивается в сторону железистого компонента эндометрия.
Для комплексной гиперплазии характерно изменение формы маточных желёз: чрезмерно извитые, деформированные железы образуют скопления, сливаются друг с другом по принципу «железа в железе» и вытесняют собой строму. Выстилающий протоки железистый эпителий наслаивается, выпячивания в просветы желёз и в строму. Но атипичных изменений в клетках железистого эпителия нет.
При комплексной гиперплазии слизистая оболочка матки сильно разрастается, поэтому матка увеличивается в размерах.
Риск перерождения в рак типичной комплексной гиперплазии эндометрия: ≈3%
Гиперплазия эндометрия с атипией
особенность атипической гиперплазии эндометрия – мутация клеток эпителия маточных желёз. Признаки клеточной атипии:
- неравномерное распределение хроматина в клеточных ядрах, необычные формы и размеры ядер (ядерный полиморфизм);
- высокая скорость размножения клеток эндометрия; множественные паталогические митозы;
- значительное наслоение клеток друг на друга (атипичная многослойность эпителия), хаотичное расположение клеточных ядер в цитоплазме (нарушение полярности эпителия).
Простая атипическая гиперплазия встречается крайне редко. Без лечения переходит в рак эндометрия примерно в 8% случаев.
Комплексная атипическая гиперплазия эндометрия (аденоматоз с атипией) – наиболее распространённая форма.
Без лечения атипическая гиперплазия переходит в рак эндометрия в 30-50% случаев.
Эту патологию считают предраком тела матки. Гистологические препараты
Признаки комплексной атипической гиперплазии:
- Быстрый рост желёз.
- Железы близко «спина к спине» расположены друг к другу. Они образуют скопления, сливаются в конгломераты.
- Значительно изменена форма желёз: извитость, скрученность, пальцеобразные выросты, инфильтрация крупных отростков в строму.
- Объём стромы в эндометрии уменьшен. Строма отёчна, есть признаки воспаления.
- Кровеносные сосуды эндометрия деформированы, распределены неравномерно, есть признаки стаза и тромбозов.
Атипическая гиперплазия часто возникает на фоне типичной.
Но!
Эта патология — не стадия развития типичной гиперплазии эндометрия, а самостоятельный локальный, реже диффузный, мало зависимый от действия гормонов процесс.
Подробно о причинах, диагностике и лечении атипической гиперплазии эндометрия рекомендуем читать в статье: Атипическая гиперплазия эндометрия.
Полипы эндометрия
– это ограниченное разрастание отдельных участков функционального или базального слоёв эндометрия вместе с прилежащей стромой.
По современным представлениям полипоз – результат инфекционно-воспалительного процесса (хронического эндометрита), усугублённый локальным гормональным дисбалансом.
О фиброзных полипах эндометрия читайте подробно здесь
О железистых полипах матки — здесь
Причины типичной гиперплазии эндометрия
Гиперпластические процессы эндометрия – отражение «поломки» системы гипоталамус-гипофиз-яичники-матка.
Нейроэндокринный дисбаланс приводит к нарушению продукции гормонов в яичнике, к формированию болезней гепато-билиарной системы. Конечным звеном патологической цепочки является абсолютная или относительная гиперэстрогения.
Ключевой момент типичной гиперплазии эндометрия — избыточное влияния на эндометрий эстрогенов на фоне недостаточного влияния прогестерона.
- Нарушение овариально-менструального цикла: персистенция или атрезия фолликула, укорочение лютеиновой фазы цикла, недостаточность функции жёлтого тела (гипопрогестеронемия).
- Гормонально-активная опухоль яичника, диффузная или стромальная гиперплазия яичника.
- Высокая выработка эстрона избыточной жировой тканью (ожирение).
- Болезни печени, приводящие к увеличению активной фракции стероидных гормонов в крови.
- Гиперинсулинемия, наследственная резистентность клеток к инсулину, гиперлипидемия.
- Болезни надпочечников, щитовидной железы, диабет, гипертоническая болезнь.
- Заболевания гипоталамо-гипофизарной системы: синдром Иценко-Кушинга, синдром поликистозных яичников и др.
- Гормонпродуцирующие экстрагенитальные опухоли, гиперандрогения.
- Изменения гормонально-рецепторной чувствительности эндометрия.
- Нарушение иммунитета и регуляции пролиферативных процессов эндометрия на клеточном уровне.
- Механические повреждения слизистой матки.
- Инфекции.
- Различные метаболические нарушения.
- Генетическая предрасположенность.
Симптомы гиперплазии эндометрия
Клиническое проявление гиперплазии эндометрии – маточные кровотечения разной степени выраженности.
Кровотечения могут быть:
Меноррагии – обильные, продолжительные менструации.
Метроррагии – кровотечения, не связанные с нормальным менструальным циклом. Возникают, как правило, после задержки менструации.
Дисфункциональные маточные кровотечения могут быть: — обильными (профузными); — продолжительными, с умеренной кровопотерей;
— межменструальными мажуще-кровянистыми;



