Беременность после ГСГ маточных труб, как скоро можно планировать зачатие
ГСГ маточных труб (гистеросальпингография) – это рентген органов малого таза у женщин с целью выявления непроходимости фаллопиевых труб и других патологий.
Показания к исследованию
ГСГ назначают, если в течение долгого времени не происходит зачатие, или у пациентки в анамнезе несколько выкидышей.
Гистеросальпингография помогает выявить следующие нарушения:
- спайки в трубах и матке;
- инфантилизм;
- фиброма матки;
- полипы;
- эндометриозные разрастания;
- гипоплазия;
- миома матки;
- бесплодие;
- тубуркулез репродуктивных органов;
- непроходимость фаллопиевых труб.
Противопоказания
Гистеросальпингография подходит не всем.
Ее запрещено проводить в следующих случаях:
- беременность и период лактации;
- воспалительные процессы в органах малого таза;
- менструация;
- заболевания сердечно-сосудистой системы;
- аллергия на контрастное вещество;
- патологические изменения во внутренних половых органах;
- нарушения работы печени, почек и щитовидной железы;
- тромбофлебит;
- вирусные и инфекционные заболевания.
Подготовка к исследованию
ГСГ маточных труб чаще всего проводят в первые две недели после завершения менструации, т. к. в этот период слизистый слой матки наиболее тонкий и не перекрывает просвет в фаллопиевых трубах.
К процедуре необходимо тщательно подготовиться.
- После окончания менструации необходимо пользоваться контрацептивами, чтобы предотвратить беременность.
- За неделю до рентгена нужно пройти гинекологическое исследование и сдать все необходимые анализы (кровь, мазок, тест на беременность), чтобы исключить наличие противопоказаний.
- В течение семи дней до процедуры не следует проводить спринцевание, а также использовать тампоны и вагинальные свечи.
- В течение двух дней до ГСГ советуют исключить из рациона продукты, которые могут спровоцировать газообразование (сырые овощи, фрукты, зерновые и др.)
- За 1-2 дня до рентгена следует отказаться от половых актов.
- Накануне процедуры желательно сделать очистительную клизму.
- Рентген малого таза проводят натощак и с пустым мочевым пузырем.
Особенности проведения ГСГ
Прцедура заключается в следующем:
- Пациентка садится в гинекологическое кресло.
- Врач вводит во влагалище зеркало и очищает шейку матки и влагалище антисептиком.
- Зеркало вынимают, и пациентка ложится.
- Во влагалище вводят катетер с красящим веществом, которое распространяется по матке и трубам.
- Делается серия рентгеновских снимков.
- Катетер вынимается.
- После окончания процедуры не следует вставать около получаса.
Последствия после проверки проходимости маточных труб
Процедура достаточно безопасна и безболезненна. Однако в течение нескольких дней после нее женщину могут беспокоить легкие тянущие боли внизу живота, выделения, небольшое повышение температуры. Эти явления — всего лишь реакция организма на контрастное вещество, они не должны вызывать беспокойства.
Если же боль и температура не проходят долгое время, а в выделениях присутствуют следы крови, необходимо обратиться к врачу.
Возможно, это проявление редких побочных эффектов от ГСГ:
- воспаление органов малого таза (случается при недостаточном очищении шейки матки и влагалища перед процедурой, а также при большом количестве лейкоцитов в мазке);
- аллергия на компоненты рентгено-контрастного вещества;
- повреждение шейки матки в процессе исследования.
Беременность после ГСГ маточных труб
Рентгенологическое исследование органов малого таза помогает выявить отклонения и принять меры по их устранению. Вследствие лечения шансы женщины на беременность возрастают.

Кроме того, если проблема была действительно в проходимости труб, ГСГ может оказаться достаточно для скорейшего зачатия. Дело в том, что контрастное вещество, используемое в ходе процедуры, благотворно влияет на слизистую оболочку фаллопиевых труб и матки.
Оно может выровнять рыхлые спайки и прочистить трубы. Кроме того, улучшается работа эндометрия и маточных желез.
Многие пациентки задаются вопросом, можно ли беременеть после рентгена маточных труб. На протяжении нескольких месяцев после процедуры шансы на зачатие резко повышаются. Но тогда почему после ГСГ надо предохраняться?
Дело в том, что рентгеновское излучение может неблаготворно повлиять на развитие плода. Кроме того, если после процедуры возникнут побочные эффекты, женщине понадобится лечение, не совместимое с беременностью.
Влияние гистеросальпингографии на вероятность внематочной беременности не доказано, тем не менее после такого вмешательства могут произойти изменения в трубах, способствующие ее возникновению.
Несмотря на то, что возможность забеременеть после данного исследования увеличивается, врачи рекомендуют пользоваться контрацептивами в течение месяца после рентгена.
Попытки зачать лучше всего начинать в следующем цикле.
Гистеросальпингография фаллопиевых труб – полезная процедура. Она не только помогает выявить патологические изменения в женских репродуктивных органах, но и может самостоятельно решить проблему непроходимости фаллопиевых труб. С ее помощью женщины, которые уже отчаялись завести ребенка, могут исполнить свою мечту стать мамой.
Более подробная информация по теме — при просмотре видео:
Задержка месячных после гсг маточных труб
Гистеросальпингография (ГСГ или рентген области маточных труб и матки) считается методом диагностики, который дает возможность рассмотреть внутренние очертания матки, а так же маточные трубы. Эта процедура так же носит название метросальпингографии.
Различают два вида этой процедуры: одна процедура осуществляется с применением рентгена, а другая — с применением аппарата УЗИ.
Радиологическое обследование, в процессе которого специалист делает ряд рентгеновских снимков, считается классической гистеросальпингографией.
Насколько точной является гистеросальпингография как диагностика проходимости маточных труб?
В результате многих тысяч исследований проходимости маточных труб, врачи определили, что точность проведения диагностики гистеросальпингографии, не превышает 70%. А вероятность того, что ГСГ маточных труб и матки сможет определить, какое именно заболевание имеется и вызывает болезненные симптомы или бесплодие у женщины составляет примерно 80%.
Существуют и другие способы диагностики проходимости маточных труб и способности женщины к беременности, к ним относятся: лапароскопия (считается одним из самых точных методов диагностики проходимости маточных труб), но проводиться такая процедура под наркозом.
Определить проходимы или не проходимы маточные трубы врач может при помощи трансвагинальной гидролапароскопии.
В некоторых случаях, врач может получить предположение о непроходимости маточных труб по УЗИ (ултразвуковому исследованию) или гидросонографии.
Гистеросальпингография – когда, в каких случаях назначают диагностику?
Процедура гистеросальпингографии применяется в большинстве случаев для уточнения причин бесплодия. С помощью этой процедуры специалист определяет форму маточной полости и выясняет, в каком состоянии находятся маточные трубы и их проходимость.
Процедуру гистеросальпингографии назначают, если есть:
1 подозрение на непроходимость маточных труб, которая была вызвана спайками, образовавшимися в результате эндометриоза, сальпингита и иных заболеваний;
2 подозрение на аномальное строение матки (матка может быть недоразвитой или двурогой, в матке могут появиться перегородки и т.д.);
3 подозрение на наличие миомы матки или полипов матки;
4 подозрение на наличие аденомиоза;
5 если женщине проводят стимуляцию овуляции.
Что эффективней: рентген или УЗИ?
Как было отмечено выше, различают два вида гистеросальпингографии:
1 обследование с применением аппарата УЗИ (соногистерография). Более подробно о процедуре диагностики ультразвукового исследования можно прочитать в статье: УЗИ матки и маточных труб, для чего проводиться, основные показания для проведения ультразвукового исследования матки и ее придатков;
2 обследование с применением рентгена.

Если сравнивать эти два метода обследования, сложно сказать, какой из них самый лучший. А все потому, что у каждого метода есть свое предназначение.
К соногистерографии прибегают в тех случаях, когда есть необходимость в обследовании маточной полости. Эта процедура помогает выявлять патологические процессы, происходящие в матке, деформацию маточной полости, а так же иные возможные причины бесплодия. Однако этот метод диагностики не сможет определить проходимость маточных труб.
К обследованию с применением рентгена прибегают, когда есть необходимость определить проходимость маточных труб. В данном случае, этот метод самый лучший.
Когда нельзя делать ГСГ (Гистеросальпингографию)?
В некоторых ситуациях процедуру гистеросальпингографии делать не стоит. Например:
1 при беременности или возможной беременности;
2 при воспалительных заболеваниях влагалища или матки;
3 при выраженном маточном кровотечении.
В каких случаях гистеросальпингография противопоказана?
В некоторых случаях такая диагностика, как ГСГ, не может быть проведена.
К таким случаям относится беременность женщины, наличие инфекционного заболевания в шейке матки или если инфекция диагностирована во влагалище.
Также такая процедура диагностики противопоказана к применению в том случае, когда у женщины может быть аллергическая реакция на контрастное вещество, которое используется при проведении гистеросальпингографии.
Стоит ли готовиться к процедуре гистеросальпингографии?
Перед тем, как проходить данную процедуру, женщине стоит проконсультироваться со специалистом и сдать мазок на флору. Результаты мазка помогут исключить или выявить воспалительный процесс во влагалище или шейке матки, способный затронуть матку во время процедуры гистеросальпингографии.
Если анализы будут плохие, то данную процедуру проводить запрещено до тех пор, пока женщина не вылечится полностью. Помимо этого, специалист так же может порекомендовать женщине сдать анализы на наличие ВИЧ-инфекции, вирусных гепатитов и т.д.
Женщине стоит поинтересоваться у специалиста о необходимости приема антибиотиков перед процедурой в профилактических целях.
Когда стоит делать гистеросальпингографию?
Если женщина предохраняется во время половых контактов и уверенна в том, что не беременна, значит процедуру гистеросальпингографии можно пройти в любой удобный для нее день. Исключением являются дни, когда у женщины идет менструация.
На какой день менструации (цикла) врачи рекомендуют проводить ГСГ?
Если женщина не предохраняется во время половых контактов, то процедуру гистеросальпингографии лучше назначить на первую половину цикла, как раз после того, как закончится менструация. Именно в эти дни вероятность того, что женщина забеременеет, наиболее низкая.
Именно поэтому врачи проводят диагностику гистеросальпингографии в первые 2 недели после того, как закончаться месячные у женщины.
Подробнее о менструации и о том, каким должен быть нормальный менструальный цикл можно прочитать в статье: основные симптомы сбоя месячных, проблем с менструацией, причины боли во время менструации, на что они могут указывать.
Как проводится процедура гистеросальпингографии?
Перед началом процедуры женщине необходимо расположиться на гинекологическом кресле, как во время стандартного осмотра. Во влагалище вводится гинекологическое зеркало для того, чтобы лучше видеть шейку матки. Специалист обрабатывает шейку матки антисептиком для того, чтобы исключить возможность попадания инфекции.
Кроме того, применяется местный анестетик для того, чтобы приглушить неприятные ощущения. После этого, специалист вставляет в канал шейки матки особый катетер и удаляет зеркало. Затем женщина должна расположиться под рентгеном. Через катетер в матку вводится контрастное вещество. А в это время рентгеновский аппарат создает серию снимков.
После того, как процедура будет окончена, специалист удалит катетер.
Ошибки ГСГ
Процедура эта для меня оказалась адской. Именно это слово, я не ошиблась. Во-первых, меня с первого раза развернули и сказали приходить гораздо позже, чем мне написала моя врач, т.к. шейка матки должна быть готова, чтобы процедура была менее болезненной.
В день процедуры я утром, по показанию врача, выпила таблетки баралгина, в процедурном мне сделали обезболивающий укол и затолкали в меня еще какую-то таблетку, а на столе потом сделали еще местную анестезию. Сидела минут 20-30 и понимала, что на мозг действует, значит и там должно быть не больно. Потом пошли в сам рентгенкабинет.
Его вид вызывает ассоциации с камерой пыток. Неуютно, прохладно, железный стол. Обложили меня экранами (железными подушками). Я, честно говоря, подробностей не помню, так как это было очень больно. Вставили катетер, загнали жидкость. Первый снимок по всей видимости не удался. Врач подошла, что-то поправила и сделал еще снимок.
После чего меня отпустили. Мне было очень плохо. И от лекартсв и от самой процедуры. Но я не хочу, чтобы вы боялись. Потому что знаю, что у других это проходит почти безболезненно. Мне видимо не повезло с врачом или просто не подействовали лекарства.Что самое интересное.
Когда делали снимки, врач сказала, что у меня одна труба полностью не проходима, вторая частично. На итоговом снимке и в диагнозе написала, что непроходимы обе.Лечащий врач подтвердила диагноз.
Все, что она мне предложила это лапароскопия или ЭКО.
Лапароскопию она описала, как процедуру, ради которой придется полежать в больнице, сама она делается под анестезией (а после ГСГ что-то меня мучают сомнения, что на меня это действует вообще), что потом ждать и не факт, что беременность будет маточная. Т.е. сходи на операцию, а потом тебе вообще все отрежут.
Преимущества лапароскопии в том, что диагноз непроходимости тебе либо подтвердят, либо опровергнут. Типо ГСГ может ошибаться. Вот тут я ее хотела задушить, если честно. Сходила не мучения, чтобы узнать потом, что он может ошибаться. Лапара типо не ошибается, т.к. там все через камеру смотрят и тут же могут сделать пластику труб.
И тут снова мне озвучили затык. Мне назвали кучу вариаций, когда лапароскопия может оказаться бессильной, типо может не тот отдел трубы быть непроходим, до которого аппарат не доберется. Вообщем весь разговор свелся к тому, что нечего терять время – приходите на ЭКО, мы вас ждем. Чуть ли не следующую дату визита назначили.
Я попыталась задать вопрос – а еще какие-то способы лечения возможны? Мне сказали – можете пробовать все, что угодно. Все фигня. Только эти два метода эффективны. Сказали, как отрезали. Вышла из кабинета, как будто грузовик проехал.
Муж конечно сразу понял, что к чему. Сказал, что я дура ведомая. Что они специализируются на ЭКО, зачем им тебя лечить. А я врачам поверила. Слезы лила. Жить не хотела иногда. Слова мужа до меня дошли уже позже. Хотя внутренне я у меня был протест.
У меня черта характера есть хорошая, если мне надо, а говорят, что у меня не получится, у меня получается. На ЭКО я не пошла. Решила еще подождать. Были задержки. Разочарования. Я почти перестала читать про все это. Очень редко вылезала на тематические сайты и форумы. Пока мне не попалась профессиональная медицинская статья об ошибках ГСГ.
Мне очень жаль, что я ее себе не сохранила. Поэтому мои слова сейчас получаться голословными. Суть статьи заключалась в том, что львиная доля диагнозов по ГСГ ошибочная. Первая ошибка – это банальный спазм мышц, при котором, естественно, контрастирующая жидкость не выливается в полость живота.
Вторая – расположение органов брюшной полости. Через трубу жидкость может вылиться, простым языком выражаясь, за маткой и ее не будет видно на снимке. Не удачный снимок – самая распространённая ошибка. Слабое давление жидкости, которая не проходит всю трубу. Тогда в меня закралось первое сомнение.
Я хотела думать, что со мной тоже произошла ошибка, но беременность так и не хотела наступать. Пришлось вернуться к своему диагнозу и искать пути, как с ним можно было справиться.

Вернусь еще к ГСГ. После процедуры врачи вспомнили, что не дали мне какую-то там бумажку. Выяснилось, что перед началом надо подписать лист, где ты якобы ознакомлена с последствиями.
Оказалось, что во время проведения процедуры тебе могут проткнуть матку и придется делать экстренную операцию. Мне про все это рассказали уже после и сказали: да ладно, че ты, подписывай ,уже ж все сделали, все нормально же! Знала бы, не пошла бы на эту дрянь.
Про ошибки ГСГ вы можете поискать информацию в поисковиках просто набрав фразу «ошибки гсг». Даже сейчас я нахожу примерно следующее:
Если принимать во внимание и гистеросальпингограммы, сделанные в небольших больницах, то наиболее частой ошибкой, кроме неправильного определения выдержки, бывают снимки, произведенные «вслепую», т. е. без зрительного контроля.
Недостаточное количество рентгенограмм, как и неподходящий для съемки, производимой в целях постановки диагноза, выбор фазы наполнения, является одним из следствий такой слепой съемки.
Еще худшим последствием такой неправильной техники — причем нам часто приходилось видеть гистеросальпингограммы, несущие отпечаток такого ошибочного выполнения ГСГ, — бывает недостаточное наполнение матки, в связи с чем контрастное вещество или вообще не проникает в трубы, или проходит в них в недостаточном количестве.
В больницах ГСГ часто считают легким и малоответственным вмешательством, а поэтому нередко оно поручается более молодым и недостаточно опытным работникам. Если же ГСГ должна нам дать все данные, необходимые для постановки диагноза, необходимо ее осуществлять осторожно и очень внимательно, а для этого надо иметь определенный опыт.или вот
Основные факторы, влияющие на результаты гистеросальпингографии (ГСГ), следующие: фаза полового цикла, в котором производится ГСГ и премедикация больных; способ введения контрастного вещества в полость матки, его количество и давление, под которым оно вводится; способ герметизации наружного зева шейки матки во избежание рефлюкса; качество применяемых контрастных веществ.
Одной из причин диагностических ошибок гистеросальпингографии является спазм трубных сфинктеров, создающих ложную картину непроходимости труб.
Значение фазы менструального цикла, в котором проводится ГСГ, связано с тем, что в фазе пролиферации повышается тонус маточных труб, возбудимость их мускулатуры и появляется склонность к длительному спазму. Во второй фазе цикла под влиянием прогестерона наблюдается значительное понижение тонуса и возбудимости мускулатуры труб. Сокращения кольцевой мускулатуры труб чередуются ритмично, волнообразно в виде перистальтики….читайте дальше ?
|
rina_journal
Прошу прощения за столь долгое отсутствие. Все таки работа отвлекает, а после работы валюсь с ног. Сегодня у меня 8 недель. Все идет хорошо, ттф. На приеме у врача дали послушать сердечко малыша. В такие момент мир конечно переворачивается. )))
Откуда бесплодие: снизу или сверху?
Смешной вопрос, правда? Сколько себя помню, всю сознательную юность у меня было воспаление, то придатков, то еще чего-нибудь.Постоянные выделения, кисты и прочая ерундень. Возможно это повлияло на мое физическое состояние и дало основание врачам полагать, что у меня сформировалась непроходимость маточных труб. Переносила заболевания типо уреаплазмы. Хотя, кто его теперь знает, может это в частных клиниках ставили, специально. С одним таким анализом была отличная история. Клиника Флоровой мне ставила ложный диагноз хломидиоза. До сих пор пытается стереть все мои отзывы в интернете. Одна из самых нечистоплотных во всех отношениях клиник. Анализы не дают, читают их по какому-то там журналу. Напротив результатов стоят знаки вопроса — т.е. они даже не уверены в анализах. Чеки печатают из под палки. Когда мне поставили хламидиоз, я пересдала анализ в научной лаборатории (дополнительно к мазку сдала кровь). Хламидий на обнаружили. Пошла в клинику. Мне предложили пересдать анализ, завели в лабораторию и начали в микроскоп показывать какие-то светящиеся точки, уверяя меня, что это они и есть – хламидии. Вот, если ты ни разу не видел хламидии, как ты можешь поверить в том, что тебе показывают, что это именно они!?))) Вообщем в этот же день утром в обычной клинике я сдала аналогичный анализ, который инфекцию не выявил. Вы бы видели, как озверела сама Флорова! Общалась я именно с ней. «Что вы от меня хотите?, — кричала она. Вообщем она мне вернула по-моему рублей 200 за этот анализ, кинула мне фразу, что мне лечиться надо и выпроводила меня за дверь. Деньги за безумно дорогие лекарства, которые были куплены для лечения несуществующей бяки, конечно уже никто не вернул. Вот, как вы думаете, что мне от нее надо было? ))) Я просто хотела быть здоровой.
К чему я все это?! Ах да! Врачи говорят, что непроходимость труб появляется после подобных перенесенных заболеваний: хламидиоза, уреаплазмоза и прочей фигни. Возможно. Но проходимость труб восстанавливается, если правильно пролечить и восстановить потом собственные силы организма. Не ставьте на себе крест, когда вам ставят этот диагноз! Мне больше всего страшно, когда читаю посты девочек, идущих на отрезание труб. Им говорят – все, трубы не проходимы, чтобы не плодить инфекцию, давайте отрежем. И они идут это делать. А потом несут деньги за ЭКО. Это ужасно! Вместо того, чтобы пролечить очаг инфекции и воспаления наши врачи предлагают отрезать самое дорогое, что есть у женщины. Скажите, если вы болели воспалением легких, вы что сделали? Пошли ко врачу. Врач вам что предложить? Пролечить воспаление или отрезать легкие? В вашем желудке язва! Вы пойдете удалять желудок? Болит голова? Может сходить вытащить мозги? Трубы – это не аппендицит, от воспаления не лопнут, их можно и нужно лечить!
Нам капитально промывают мозг. Я не параноик. Я просто не так давно, месяца 3-4 назад села и поразмышляла над всем этим. Проанализировала. Кругом и всюду врачи кричат – отрезать, зашить, удалить, у вас не будет детей! При всем при этом существует масса методов, работают санатории специализированные. Мне даже не предложили полечиться в санатории. Уколы, пиявки, электрофарезы, грязи, в конце концов – геникологический массаж и продувание труб (про продувание слышала от знакомых, личного опыта нет). Дальше. Я перед беременностью пила 2 месяца баровую матку. Официальная медицина пишет в интернете, что это глобальный пиар и никакого эффекта она не дает. Более того, может оказать негативное воздействие на организм. У меня при приеме баровой матки наладился цикл, без всяких ОК. Месячные стали менее болезненными. Последние месячные я даже и не поняла, что они уже начинаются. А раньше это был маленький ад. Два раза в жизни я пережила болевой шок в первый день менструации. Как минимум 2-3 таблетки кетарола в день – заположняк. После баровой матки я реально почувствовала разницу. Если б знала раньше, не пила бы ОК в свое время. Вообщем нас, девчонки, водят за нос. Поэтому включайте свои мозги! Пока не включите, организм работать не начнет и вам будут отрезать все, что можно и нельзя! Я начала со смешного вопроса. Откуда бесплодие: сверху или снизу? От инфекций или от нашей головы? Говорят, что все проблемы в нашей голове, т.е. в нашей психике. Да, болячки влияют на результат. Но эти болячки откуда то взялись. Об этом следующий пост.
Как проводится МСГ маточных труб, какие показания, противопоказания к процедуре
Когда женщина долго не может забеременеть, гинеколог поднимает вопрос о необходимости проведения соответствующих исследований, что позволит выяснить причины бесплодия. В качестве одного из вариантов предлагается метросальпингография (МСГ). Что это за исследование, как оно проводится и какие имеет особенности, мы рассмотрим ниже.
Что такое МСГ маточных труб?
Метросальпингография (сокр. МСГ) представляет собой разновидность рентгенологического исследования, при котором применяется метод искусственного контрастирования. Это дает возможность понять в дальнейшем, в каком состоянии находятся фаллопиевы трубы и полость матки.
Применение метода дает возможность определить, есть ли в малом тазу спаечный процесс, а также имеются ли в полости матки какие-либо анатомические изменения.
Такое исследование, как МСГ маточных труб и матки проводят с предварительным обезболиванием, что позволит исключить появление болезненных ощущений при дальнейших манипуляциях.

Выполняется МСГ в условиях обычного гинекологического кабинета в кресле или в ангиографической операционной. Используя пулевые щипцы (специальный расширитель, применяемый для проведения осмотра специалистом влагалища и шейки матки, гинекологическое зеркало), врач фиксирует шейку матки.
Затем, через цервикальный канал, используя катетер, он вводит контрастирующее вещество в объеме порядка 15 мл — именно с его помощью можно получить снимок с детализацией подлежащей исследованию области. Применяются следующие контрастные вещества:
- водорастворимые — Гипак, Урографин, Верографин, Уротраст и пр.;
- жирорастворимое — Йодолипол.
Урографин — контраст для проведения процедуры.
После того, как введен препарат, делают первый снимок, происходит это именно когда полость матки и труб немного наполнена контрастирующим веществом, для чего нужно около 3-5 мин.
Это позволит исследовать внутренние контуры органа нужным образом. Спустя примерно двадцать минут, делается еще один снимок, для чего еще добавляется раствор, до полного заполнения матки и труб.
При необходимости может быть сделан и третий снимок.
Метросальпингография позволяет узнать форму матки пациентки, состояние труб и их проходимость, а также имеются ли в рассматриваемой области спайки.
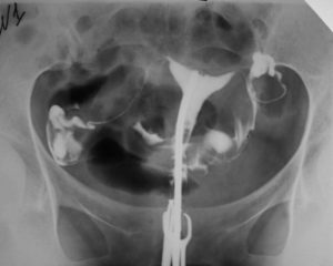
Снимок МСГ: маточные трубы с контрастом.
Нормальная проходимость позволяет получить достаточно четкое изображение для дальнейшего исследования полости матки и труб. В этом же случае незначительная часть контрастного вещества попадает в брюшную полость, растворяясь там. Остатки далее выходят в виде скудных выделений, не причиняя, как правило, особого дискомфорта женщине.
МСГ проводится в определенное время цикла, а именно — в первой его фазе. Это обусловлено наибольшей информативностью и точностью получаемых в результате проведения этой процедуры данных.
При диагностике не исключены и трудности. Обусловить это может спазмирование инициального отдела маточных труб, что происходит из-за эмоционального стресса пациентки.
Также проблемой могут стать физиологические особенности, например, если трубы у женщины длинные и/или узкие. Уточнение диагноза происходит в таком случае методом эндоскопии.
МСГ может назначаться как пациенткам при стационаре, так и на амбулаторном приеме. Основными условиями для этого являются наличие показаний, явно соответствующих цели проведения процедуры, и подготовка к ней, которая, прежде всего, касается сдачи необходимых анализов.
Подготовка к МСГ и условия проведения процедуры
Итак, как подготовиться к МСГ? Прежде всего, для МСГ маточных труб понадобится сдать некоторые анализы, а именно:
- общий анализ крови (ОАК, клинический/биохимический анализ крови);
- общий анализ мочи (ОАМ);
- анализ крови на наличие/остутствие ВИЧ;
- мазок на флору (или общий мазок;
- анализ крови на наличие маркеров вирусного гепатита (В, С).
Перечисленные анализы — лишь малая часть той подготовки, которая предшествует проведению метросальпингографии.
Можно добавить, что ряд подготовительных мероприятий, через которые придется пройти женщине, обуславливается необходимостью исключения каких-либо побочных явлений со стороны ее организма, т. е. данные этого обследования будут объективными и максимально точными.
Условия для процедуры МСГ:
- проведение МСГ в период первой фазы цикла, то есть чаще всего это 6-12 день, главное условие — отсутствие в малом тазу воспалительных процессов;
- использование средств контрацепции в течение срока менструального цикла;
- исключение любого типа продуктов, способствующих газообразованию, как минимум за сутки до исследования;
- опорожнение мочевого пузыря перед процедурой.
Процедура МСГ по типу проведения бывает селективная, при которой используется рентгеноконтрастное вещество, и ультразвуковая.
Селективная метросальпингография
Указанный вид МСГ можно рассматривать как наиболее современный вариант проведения такого типа исследования. В нем применяют оснащенный трубочкой сверхтонкий проводник, за счет чего есть возможность аккуратного введения контрастного вещества в нужные участки маточной полости либо же маточных труб.

Такая особенность процедуры исключает необходимость туго наполнять матку, оказывая контрастным средством высокое давление. Оказываемое влияние на организм, в таком случае, наименьшее. Кроме того, снижается и риск развития осложнений.
Это исследование показано в особенности молодым женщинам. Основным его назначением является оценка проходимости маточных труб, а также поиск причин, из-за которых могло развиться бесплодие.
В результате процедуры случаев тяжелых последствий, а именно появления аллергических реакций, обусловленных индивидуальной непереносимостью к применяемому средству, не выявлено.
Ультразвуковая метросальпингография
Применяется этот вариант процедуры в качестве исследования проходимости матки и труб, а также в ситуациях, когда имеются противопоказания для проведения МСГ в стандартной ее форме.
От рентгенологического метода МСГ данный вариант отличается тем, что в нем используется другой тип раствора. В целом разнится и специфика метода, обеспечивающая визуализацию исследуемых органов.
В частности, здесь применяется физиологический раствор, предварительно нагретый до достижения нормальной температуры тела. Введение в полость матки осуществляется при помощи соответствующих инструментов, с обеспечением требуемого уровня давления.
УЗИ позволяет произвести оценку состояния матки и труб, при этом использование метода не оказывает негативного воздействия на общее состояние здоровья пациентки.
После проведения оценки состояния органов и их проходимости, используемый раствор устраняется. Процедура на этом завершена.
Показания для МСГ
Основным показанием к проведению процедуры МСГ маточных труб, как уже было указано выше, является невозможность забеременеть в течение длительного периода времени.
Проводится метросальпингография в рамках первичной диагностики бесплодия у пациенток, что позволяет уточнить основной фактор, его спровоцировавший.
Выделим основные показания, при которых назначается к проведению метросальпингография:
- отсутствие беременности в течение 1 года с момента начала планирования;
- наличие опухолевых процессов в маточных трубах и/или матке;
- наличие в половых органах пороков развития (фаллопиевы трубы, матка — изменения размеров, формы, внутреннего просвета);
- наличие в половых органах опухолевых процессов (миомы и пр.);
- необходимость в проведении оценки итоговых результатов по лечению у пациентки маточных труб, что касается также результатов каких-либо оперативных вмешательств, направленных на восстановление проходимости труб;
- выявление наличия у пациентки спаечных процессов, поражающих матку;
- задержка в половом развитии, что актуально для девочек;
- подозрение на наличие у пациентки туберкулеза внутренних половых органов;
- диагностическое выявление у пациентки эндометриоза.
Помимо показаний, выделяют и противопоказания, метросальпингография при которых не проводится, обозначим их ниже:
- выявленная беременность у пациентки;
- недостаточная чистота влагалища, определенная на основании результатов соответствующего мазка;
- недавние острые инфекции половых органов;
- наличие воспалительных инфекций, выявленных в результате общего и биохимического анализов крови;
- наличие воспаления в организме в острой форме проявления (кишечная инфекция, респираторная инфекция и пр.);
- индивидуальная гиперчувствительность в отношении препаратов, применяемых для МСГ.
Результаты МСГ: последствия и осложнения
Проведение МСГ, сопряжено, к сожалению, с некоторыми последствиями, проявляющимися в разной степени интенсивности.
Последствия, с которыми может столкнуться пациентка после проведения рассматриваемой процедуры, можно обозначить как ранние и поздние.
В качестве самых опасных выделяют ранние, они дают о себе знать спустя несколько часов, иногда — дней. Обозначим основные проблемы по ранним проявлениям:
- попадание в лимфатические или кровеносные сосуды контрастного вещества, в связи с чем развивается лимфангит или тромбофлебит;
- неправильная манипуляция медицинскими инструментами может стать причиной перфорации внутренней стенки матки или маточной трубы;
- индивидуальная непереносимость в отношении контрастного вещества может спровоцировать развитие аллергических реакций.
Что касается поздних последствий процедуры МСГ, то через несколько дней после нее могут наблюдаться следующие проблемы:
- обострение хронических заболеваний половых органов;
- не исключаются и попадание инфекции, что, в свою очередь, может привести к развитию острых патологий;
- в редких случаях, у пациенток наблюдается аллергическая реакция.
Обязательного обращения за специализированной медицинской помощью требует следующая симптоматика:
- болевые ощущения внизу живота, сопровождаемые кровянистыми выделениями сроком свыше 3-х дней;
- аллергические реакции;
- высокая температура около 38.
Отзывы о процедуре
В основном отзывы о процедуре МСГ у тех, кто через нее прошел, позитивные и преисполненные определенными надеждами.

В основном до того, как женщины отправляются на эту процедуру, у них присутствуют определенные страхи, связанные с ее прохождением. Именно чужие отзывы о процедуре, если это не просто предположения, становятся их причиной.
Отдельную роль играет то, какой врач будет проводить процедуру, а также, видимо, его отношение к работе, и к пациенткам в целом.
Например, некоторые едва ли не с восторгом описывают прохождение процедуры, соответствующий настрой для прохождения которой создал именно врач, избавивший от страхов.
В итоге нередко получается, что женщина, ведомая страхом, ожидая, когда же будет «совсем больно» с удивлением слышала, что процедура завершена.
Другим, к сожалению, везет не так — приходится отмечать болезненность процедуры, опять же, страх перед проводимыми манипуляциями, что, возможно, как-то даже связано. Самим врачам приходится отмечать, что присутствие неприятных ощущений у пациенток и боли наблюдаются чаще, чем их отсутствие.
Разумеется, что в любом случае присутствует дискомфорт, связанный с происходящим.
Основные рекомендации женщин, прошедших МСГ сводятся к тому, чтобы запастись прокладками. Это не удивительно, в течение некоторого времени будет выходить жидкость.
Что касается такого вопроса, как самочувствие после МСГ, то здесь всё по-разному. У кого-то негативных проявлений симптоматики просто нет, то есть нет боли, головокружения или чего-то страшного.
Кто-то же, наоборот, советует не отказываться от предлагаемой помощи медсестры, потому как даже дойти до палаты из-за того же головокружения после МСГ бывает проблематично.
В день после процедуры МСГ наблюдаются выделения, может отмечаться выраженная слабость. Больше на общее состояние, даже следующих дней, влияет психологическое состояние пациенток, продиктованное предшествующими процедуре страхами.
Последствия МСГ чаще отсутствуют, что касается выделений, возможной боли в животе или температуры. На цикл и менструацию МСГ не влияет, сбоев ожидать не стоит.
Итог
Процедура МСГ может проходить по-разному. Другое дело, конечно, результаты. Здесь уже ничего ни от кого не зависит, их остается принять их как данность, думая, как поступать дальше.
Иногда сами врачи указывают на определенную статистику, при которой часто женщины с бесплодием, проходя МСГ, беременеют, причем в том же цикле, на который пришлась эта процедура.
Возможно, дело в самовнушении или в попытке врачей настроить пациенток на лучшее, в любом случае, всё индивидуально, и любое утверждение работает, к сожалению, не всегда, важно понимать и это. В любом случае, позитивный настрой играет большую роль и следует надеяться на лучшее.
Последствия проверки проходимости маточных труб
ГСГ – это диагностическая процедура, которая часто применяется в гинекологической практике. Суть ее проведения состоит в том, что специалист вводит вовнутрь матки специальное контрастное вещество. После заполнения матки и фаллопиевых труб он делает снимок с помощью рентгенологического аппарата или ультразвукового оборудования.
Благодаря данной процедуре можно оценить состояние канала шейки матки, точное месторасположение матки и ее размер, месторасположение фаллопиевых труб и их проходимость.
ГСГ – это вмешательство в организм, а это значит, что оно не может пройти бесследно. Пациентка, которая будет проходить данную процедуру, должна точно знать, каким будет ее самочувствие после завершения всех манипуляций. Это очень важно, ведь, если что-то пойдет не так, она сразу это поймет и вовремя обратится за медицинской помощью.
- 1 Последствия
- 2 Ощущения
- 3 Облучение
Последствия
Большинство переносят гистеросальпингографию довольно легко. Однако у части женщин последствия ГСГ маточных труб могут включать в себя аллергические реакции на контрастное вещество.
Именно поэтому, пациентки, которые страдают бронхиальной астмой, в прошлом сталкивались с аллергией на другие контрастные вещества, имели аллергические реакции на бытовую химию или йод, должны быть особенно осторожны.
Об этом нужно обязательно уведомить врача.
В более редких случаях у пациенток происходит перфорация матки и развивается кровотечение. Если те инструменты, которыми будет проводиться процедура, не будут должным образом продезинфицированы, пациентка может быть инфицирована. В свою очередь это приведет тяжелым воспалительным процессам.
Ощущения
У большинства пациенток появляются вязкие темно-коричневые выделения после ГСГ из половых путей. Внешне они могут быть похожими на кровь. Данного явления пугаться не нужно – это абсолютно нормально. Таким образом, выходят остатки контрастного вещества и частицы эндометрия (слизистой оболочки матки).
Никакие действия предпринимать в этом случае не нужно. Чтобы избежать загрязнения нижнего белья, женщине рекомендуется воспользоваться гигиенической прокладкой. Если женщина через несколько часов или суток обнаружит после ГСГ кровянистые выделения, напоминающие месячные – значит ей срочно нужно обратиться к врачу.
Кроме этого у пациентки может присутствовать незначительный дискомфорт внизу живота. Его наличие объясняется тем, что во время процедуры матка была раздражена, в результате чего она начала сокращаться. Однако боли после ГСГ маточных труб не должны быть слишком сильными. Чтобы устранить дискомфорт, в данной ситуации, можно принять Но-шпу.
Иногда бывает после ГСГ задержка менструации. Это объясняется тем, что женщина перед процедурой могла сильно переволноваться. Однако ей все равно нужно сделать тест на беременность.
Если же задержка будет слишком долгой, она будет повторяться каждый раз или если пропадет овуляция после ГСГ – значит, в организме произошел сбой и женщине нужно пройти тщательное медицинское обследование.
Причина нарушения в этом случае никак не связана с ГСГ.
Это же касается и тех случаев, когда месячные пришли раньше после ГСГ.
При введении контрастного вещества шейка матки пациентки следка расширяется, поэтому в первое время после процедуры от половых контактов лучше воздержаться.
Многие пациентки интересуются: «После ГСГ, когда можно спать с мужем?». Этот вопрос лучше задать врачу. Только он сможет оценить конкретную ситуацию и дать правильный ответ.
Как правило, срок воздержания должен составлять 2-3 дня. Данные меры необходимы для того чтобы снизить риск инфицирования.
Многие женщины еще перед процедурой изучают в интернете последствия ГСГ маточных труб, отзывы. Делать, это, разумеется, можно, но при этом не стоит забывать, что организм каждой женщины индивидуален и процедуру все переносят по-разному.
Женщине рекомендуется обратиться в медицинское учреждение, если после проведения ГСГ у нее:
- необычные выделения из половых путей продолжают идти более 2-3 дней и постепенно приобретают неприятный запах;
- через несколько часов или суток после процедуры появились кровянистые выделения из половых путей, похожие на месячные;
- имеются сильные боли внизу живота;
- присутствуют позывы к рвоте, сильная слабость.
Насторожиться также следует, если температура после ГСГ увеличилась до 37,5 С и более.
Облучение
Как уже упоминалось раньше, при ГСГ в ряде случаев используется рентгеновское облучение, которое относится к виду ионизирующей радиации. В ходе исследования пациентка получает дозу облучения, равную 0,4-5.5 мГр. Это очень мало для повреждения тканей или развития мутации. В целом же безопасной является доза облучения, не превышающая 100 мГр.
Таким образом, можно подытожить, что проверка проходимости маточных труб последствия для пациентки и ее будущего ребенка в этом плане за собой не повлечет.
Довольно часто женщины спрашивают: «после УЗИ маточных труб нужно ли предохраняться?»
Не зависимо от того, каким способом будет проведена процедура, приступать к зачатию сразу не нужно. Это объясняется тем, что в матку во время исследования было введено контрастное вещество и органы должны от него полностью очиститься. В идеале приступить к зачатию лучше в следующем цикле.



