Все о понятии — анэхогенное образование
Иногда после прохождения ультразвукового исследования какого-либо органа или системы организма пациенту ставится диагноз — анэхогенное образование.
Анэхогенное образование: понятие
Под эхогенностью подразумевается проводимость ультразвуковых волн тканями. Ткани высокой плотности, как и кости, отражают ультразвук полностью, к тому же он отображается на воздухсодержащих границах органов и тканей. Чем ткань плотнее, тем эхогенность выше, на УЗИ такие ткани выглядят светлее.
Если в органе большое количество жидкости, в том числе и кровеносных сосудов тем эхогенность её ниже, поэтому жидкостные новообразования считаются анэхогенными и на УЗИ выглядят черными.
В чем заключается опасность: патология или норма
Анэхогенное образование может быть как физиологической нормой, так и опасной патологией, заболевания часто диагностируются у женщин в матке или придатках. Их наличие является сигналом для женщины пройти более точную диагностику.
В зависимости от этого ними могут быть:
- Серозная киста,
- Фолликулярная киста,
- Эндометроидная киста, с капсулой светлого цвета, заполненной неоднородной массой
- Плод во время беременности,
- Желтое тело.
ВАЖНО! Желтое тело в яичнике у женщин является физиологической нормой и свидетельстве о наступившей овуляции.
Киста анэхогенная является доброкачественной если в ее структуре имеются сосуды. О наличии у женщины беременности может говорить киста низкой эхогенности в период до 4 недель задержки менструации.
Щитовидная железа и ее дефекты
Об анэхогенной патологии щитовидной железы говорят в том случае если во время УЗИ ультразвуковой сигнал не отражается от некоторого из ее участков. Оно может быть как нормой, так и нуждаться в специализированном лечении. В железе оно возникает в нормальных тканях, ее появление провоцируют сосуды, так же эффект «черного рисунка» могут давать внутриузловые сосуды.
Подобные узлы в щитовидной железе могут возникать из-за появления скопления коллоида в фолликулах. Скопление появляется из-за нарушения кровотока в одной из долей щитовидной железы. Более чем в 90% случае оно является доброкачественным.
ВАЖНО! Коллоид — тягучая жидкость розового цвета с однородной структурой.
Анэхогенное образование щитовидной железы бывает следующим:
- Истинная киста — имеет четко очерченные границы, представляет собой полость заполненную жидкость;
- Псевдокиста — представляет собой трансформированный узел или аденому, возникает из-за кровоизлияния вовнутрь узла;
- Боковая шейная киста — имеет косвенное отношение к железе, так как расположена рядом с ней, при активном росте иногда провоцирует сдавливание органа.
Важно! Анэхогенные образования, диагностированные у пациентов старше 50 лет, в большинстве случаев являются злокачественными.
Анэхогенное образование в полости матки
Подобные патологии у женщин встречаются довольно часто. Возникать они могут как на дне матки, так и во внематочном пространстве. Подобные пятна во время УЗИ окрашены в черный цвет и могут иметь неоднородную структуру.
Подобные патологии в полости матки диагностируются в следующих случаях:
- Маточная беременность, на ранних сроках плод определяется как анэхогенное образование, на этом этапе он имеет размер не более 5 мм и имеет округлую форму и однородную структуру.
- Эндометриоз — самая распространённая причина «темных пятен» в матке. Для него характерным является появление участков эндометриоза во внематочной полости или на ее дне.
- Киста — для этой патологии характерным является наличие аваскулярного образования с тонкими стенками и с жидкостным содержимым. Размеры могут быть различными от 0,1 м до нескольких сантиметров. Для них характерно отсутствие кровоснабжения, что позволяет ее отличить от других патологий.
- Миома — доброкачественное заболевание на дне матки, бывает диффузной или узловой.
ВАЖНО! Анэхогенное образование в маточных трубах иногда говорит о внематочной беременности.
Деформация почек
Почки, являющиеся основным органом мочевыводящей системы так же подвержены структурным изменениям, которые во время ультразвукового исследования диагностируются как анэхогенное образование.
https://youtube.com/watch?v=YHKicO5M6tY
Для почек при наличии подобного диагноза характерным является деформация самого органа, в медицине при этом говорят о деформации чашечно-лоханочной системы почки.
Подобная патология может стать причиной гибели паренхимы почки, ретракции почечных сосочков, сплющиванию почечных канальцев. Чаще всего патология проявляется во взрослом возрасте, у детей бывает крайне редко.
Изменение структуры почек возникает вследствие следующих патология:
- Гидронефроз -о дно — или двухсторонний. Причина — нарушение работы клапана мочевого пузыря и обратного оттока мочи или нарушения в выводе мочи из организма. В почке формируется гидронефотический мешок, в случае разрыва которого может развиться сепсис и при несвоевременном лечении возможет летальный исход.
- Удвоение ЧЛС, чаще всего наблюдается у рожениц, младенцев и детей до 6 лет. Почка разделяется на дольки, у каждой имеется своя артерия и мочеточник с устьем, которое иногда может впадать не в мочевой пузырь, а в кишечник. Подобная патология приводит к нарушению кровеносной системы. Устранить можно только хирургическим путем.
- Новообразования. Онкологические патологии встречаются в 8% случаев, как правило, у пациентов старше 60 лет.
- Генетические и врожденные пороки:
- ссужение и или полное сращивание мочеточника,
- пиелоэктоназия,
- урожденное удвоение ЧЛС
ВАЖНО! Врожденная деформация почек может быть вызвана злоупотреблением алкоголем и сигаретами будущей матерью.
Яичники, образование кист
Кисты являются одним из самых распространённых гинекологических заболеваний у женщин, причин их возникновения множество, а иногда установить их невозможно.
Они бывают:
- Фолликулярная. Она образовывается из фолликулов — пузырьков в которых созревает яйцеклетка. Нормой считается если в фолликуле яичника накапливается небольшое количество жидкости, а ее диаметр не более 3 см, если он больше, то врач говорит о наличии кисты. На одном яичнике иногда формируется сразу несколько фолликулов с жидкостью, из-за чего она увеличивается в размере.
- Киста желтого тела — возникает на месте разорвавшегося фолликула и может содержать кровь. Возникает у женщин репродуктивного возраста, формируется из-за нарушения кровообращения в желтом теле.
- Пароавариальная киста, так же может возникать на маточных трубах. Часто диагностируется у девушек в период полового созревания, в связи с быстрым ростом.
- Эндометриоидная киста, формируется из-за попадания клеток эндометрия на яичник. Чаще всего нуждается в хирургическом удалении.
- Кистозные опухоли. По внешнему виду напоминают кисту, однако нуждаются в проведении специального обследовании, и биопсии. Могут быть злокачественными.
Как анэхогенное образование характеризует состояние молочных желез?
Во время УЗИ молочных желез врачом может быть обнаружено темное пятно или группа подобных пятен, как правил, они носят доброкачественный характер. Если у женщины было обнаружено анэхогенное образование в молочной железе, необходима срочная консультация маммолога, так как это может говорить о наличии серьезной патологии.
При появлении темных пятен врач может говорить о следующих патологиях:
- Киста. Как правило, не доставляет женщине неудобств и является бессимптомной. Почти всегда является доброкачественной, но без своевременно лечения может перерасти в раковую.
- Фиброаденома. Может возникать в любом возрасте. Иногда проявляется в листовидно форме, для которой характерен быстрый рост.
- Злокачественные патологии. Может быть как единичной разного размера, так и множественной, при обследовании важно выявить уровень ее прорастания в ткани железы.
- Олеогранулема. Доброкачественная патология, которая возникает вследствие травмы железы. Может привести к некрозу железистой ткани.
ВНИМАНИЕ! У женщин во время лактации может сформироваться галактоцеле — полость заполненная молоком.
Обследование беременных
УЗИ является самым доступным и практически абсолютно безопасным для беременных женщин.
Благодаря ультразвуковому исследованию появилась возможность установить беременность на крайне малых сроках — 3−4 недели. В этот период плодное яйцо выглядит как анэхогенное образование в полости матки.
В дальнейшем начиная с 6 недели контуры беременности четко визуализированы, и «опухоль» называют плодом.

Во время беременности женщине так же проводятся УЗИ обследования, иногда они позволяют выявить кисты яичников, матки или придатков, так же женщине могут приводиться дополнительные исследования других органов по показаниям.
Рекомендуем прочитать: антибактериальный препарат Фурадонин при цистите и других заболеваниях мочеполовой системы у женщин.
Антиандрогены — препараты для женщин при лечении гиперандрогении. Все подробности здесь.
Спринцевание хлоргексидином в гинекологии: venerolog-ginekolog.ru/gynecology/diseases/hlorgeksidin.html
Способы решения проблемы
Лечение пациентов с анэхогенным образованием в каждом случае сугубо индивидуально. Иногда терапии не требуется вовсе, пациент просто остается под регулярным контролем врача и УЗИ-обследований.
Гинекологические заболевания могут лечиться как терапевтическими методами, обычно приемом гормональных препаратов так и подлежать удалению. При анэхогенных образованиях других органов и систем терапия так же может быть как консервативной, так и применяться оперативное вмешательство.
: анэхогенное образование в яичнике — что это такое?
Анэхогенное образование в матке
На очередном приеме у врача-гинеколога женщина может узнать, что у нее анэхогенное образование в матке. Причинами этого состояния могут быть разные факторы. Необходимо обследоваться и определить, что сопровождается такой УЗ-картиной. Только после этого решается вопрос о возможности проведения терапии.
Диагностика и определение анэхогенного образования в матке осуществляется при помощи сканирующего аппарата ультразвука. Зачастую бывает так, что пациентка приходит в кабинет УЗИ для профилактического осмотра и узнает о новом диагнозе.
Анэхогенным образованием именуется объект, не пропускающий ультразвук, обнаруженный во время проведения УЗИ в виде темно-серого или черного образования на мониторе.
Полость этого включения пустая или наполнена жидкостью, а на мониторе представляет собой черную зону и выглядит как пятно. Края включения четкие, могут иметь ровную или неровную структуру, правильную или неправильную форму.
Максимальная оценка всех показателей новообразования позволяет поставить правильный диагноз.
Симптоматика
Признаки анэхогенного образования в полости матки могут никак себя не проявлять в течение длительного времени. Симптомы отсутствуют, пока включение имеет небольшие размеры.
Если новообразование растет, то в определенный момент оно обязательно начинает доставлять неудобства.
У большинства женщин включение, расположенное в полости детородного органа, сопровождается нарушением менструальной функции:
- менструация отсутствует в течение длительного времени (аменорея);
- месячные становятся другими (меняют цвет и консистенцию, затягиваются или укорачиваются).
Также пациентки, имеющие включение в матке больших размеров, жалуются на боль, дискомфорт в малом тазу и ощущение распирания. Эта симптоматика усиливается во время полового контакта и перед менструацией. При анэхогенном включении часто присутствует бесплодие. Пациентки обращаются к гинекологу с жалобой на отсутствие детей и узнают, что в матке есть какое-то образование.
Диагностика
Определить включение обычно не составляет труда. Во время гинекологического осмотра врач обнаруживает, что матка не соответствует дню цикла. У женщин с включением солидных размеров детородный орган увеличен значительно. При маленьком анэхогенном образовании матка имеет неправильную форму и несколько большие размеры, может отклоняться кзади.
При помощи ультразвукового сканирования сонолог может не только увидеть образование, но и установить место его локализации, размер, особенности строения.
Выполняя УЗИ, специалист обнаруживает, что полость матки расширена, изменена ее форма, что вызвано включением с анэхогенным содержимым.
Большие размеры образования сопровождаются смещением соседних органов, что наводит на мысль о развивающемся спаечном процессе.
https://youtube.com/watch?v=lb7u9—pnOo
В исключительных случаях женщине может понадобиться дополнительная диагностика выявленного образования. Она предполагает проведение томографии (компьютерной или магнитной). С достоверной точностью установить характер образования в матке поможет лапароскопия, которая нередко из диагностической переходит в лечебную.
Классификация причин
При обнаружении анэхогенного образования в детородном органе специалист начинает подозревать определенный процесс, который может иметь физиологическое или патологическое происхождение.
Профессионализм врача и хороший ультразвуковой сканер позволяет дифференцировать включения и различать кровь, жидкостные структуры или ткани. В устной форме уже на этом этапе доктор может рассказать пациентке о своих подозрениях и озвучить предварительный диагноз.
Однако в протокол исследования заносятся только достоверные факты, но никак не подозрения сонолога.
Анэхогенное образование не проводит волну ультразвука, поэтому его внутренности рассмотреть удается не всегда. Из-за этого постановка диагноза может затрудниться, для этого назначают пункционную биопсию или лапароскопию.
Беременность
Самой частой физиологической причиной увеличения детородного органа и появления в нем темного пятна становится зачатие. Анэхогенное включение в матке, расположенное на стенке, говорит о том, что это плодное яйцо.
Во время исследования сонолог обнаруживает круглое или овальное включение с ровными краями и однородной структурой, имеющее небольшой размер. Примерно до 6 акушерских недель беременности увидеть эмбрион не удается, поэтому в протоколе УЗИ указывается только наличие анэхогенного включения.
По дополнительным симптомам врач с большой вероятностью устанавливает причину присутствия темного включения (в яичнике желтое тело, эндометрий пышный, есть задержка менструации). После 6-7 недель картина ультразвука меняется.
Анэхогенное включение по-прежнему присутствует, но в своей полости оно уже содержит эмбрион, у которого отчетливо видно сердцебиение. При таких результатах сомнений не остается.
Эндометриоз
Разрастание слизистой матки за пределы органа или в его стенку определяется на УЗИ как анэхогенное включение. Зачастую оно имеет несколько локализаций. Специалист, проводящий обследование, может насчитать определенное количество небольших образований.
Причиной болезни, как правило, становится нарушение гормонального фона. Реже эндометриоз матки – аденомиоз – возникает из-за травм слизистой.
При данной патологии женщина практически не имеет шансов на естественное зачатие, поэтому проблема нередко обнаруживается у пациенток, жалующихся на бесплодие.
Оценить картину развития болезни и подтвердить подозрения можно при помощи регулярного мониторинга. Обследование пациентки осуществляется перед менструацией, после нее и при необходимости в середине цикла. Если причиной анэхогенного включения стал эндометриоз, то женщине обязательно назначается лечение.
Аваскулярная киста
Анэхогенная структура внутриматочной локализации определяется при опухолевых процессах. Аваскулярные кисты отличает то, что они не имеют артерий, что говорит об отсутствии кровоснабжения.
Этот признак позволяет достоверно дифференцировать кисту матки от других новообразований. Обнаруженное включение определяется, как пустое образование с ровными краями или неправильной формы.
Внутри кисты, как правило, содержится жидкость.
Аваскулярные кисты, обнаруженные случайно, не имеют больших размеров и обычно не проявляют себя. Если происходит рост опухоли, то женщина отмечает дискомфорт и нарушение менструальной функции.
Методика лечения напрямую зависит от вида кисты. Она может быть медикаментозной или хирургической.
При выборе способа учитывается возраст пациентки, индивидуальные особенности, желание иметь детей в будущем и сопутствующий анамнез.
Миома матки
Анэхогенная структура, обнаруженная при проведении УЗИ, может быть лейомиомой. Проблема чаще диагностируется у женщин после 30 лет. В период менопаузы, беременности и грудного вскармливания миома может менять свои размеры, так как она зависима от гормонального фона пациентки.

Миомой матки называют доброкачественную опухоль, располагающуюся в полости детородного органа или за его пределами. Миома растет из срединного слоя матки – миометрия – и может достигать разных размеров, которые определяются неделями беременности.
Миома имеет диффузное или узловое расположение.
В последнем случае специалист при проведении сканирования видит анэхогенное включение. Отличить миому от кисты достаточно просто. Эта опухоль всегда имеет кровоснабжение, благодаря чему и развивается. В зависимости от расположения (внутри матки, в миометрии или за пределами детородного органа) опухоль может иметь индивидуальную симптоматику.
Большие размеры внутриполостных узлов становятся причиной бесплодия, периодических болей и прорывных кровотечений.
Опасность
В связи с тем, что обнаружить включение анэхогенной структуры можно только во время ультразвукового исследования, женщина может длительно подвергать себя опасности, не подозревая об имеющейся проблеме. Неприятные последствия патологических образований определяются их видами:
- киста способна нагноиться или лопнуть, спровоцировать механическую преграду и закрыть внутренний зев;
- миома иногда подвергается некрозу или выпадает в шейку матки;
- кисты могут оказаться злокачественными;
- эндометриоз имеет риск кровотечений.
Чтобы предотвратить возможные проблемы со здоровьем, женщине необходимо регулярно посещать гинеколога. Периодические УЗИ, профилактические осмотры и ежегодное наблюдение помогут выявить проблему на ранних стадиях и устранить ее с минимальными затратами для собственного здоровья.
Локализация анэхогенного образования бывает разная. Расположиться включение может на поверхности матки, то есть в брюшной полости. Обнаружив такой объект, сонолог подозревает внематочную беременность, кисту яичника или другую опухоль.
Анэхогенные образования: причины, симптомы, лечение и прогноз — Диагно
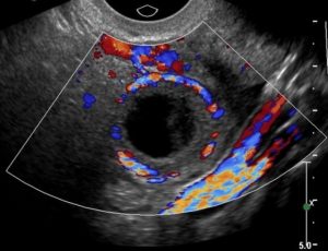
Образование, получившее название «анэхогенное», представляет собой включение в какой-либо орган. Оно не отражает, а наоборот, поглощает ультразвуковой луч. Сам термин не указывает на определенный диагноз. Это всего лишь свойство данного включения. Появившееся анэхогенное образование иногда может являться нормой, но в другом случае оказаться тяжелой патологией.
Анэхогенное образование поглощает УЗ-излучение
Понятие о термине
Для правильного понимания термина надо вспомнить, что такое ультразвуковое исследование, на каком принципе оно основывается. Звук, имеющий высокую частоту и получивший название «ультразвук», человеческое ухо расслышать не может.
На излучении, а затем обработке отраженного сигнала (приеме так называемого эха) основан принцип действия прибора, используемого при выполнении УЗИ. Ультразвуковая волна генерируется трансдьюсером – специальным датчиком.
Он сначала ее вырабатывает, а затем выполняет считывание неслышимого человеком звука, который отразился от органов или иных тканей. В зависимости от частотных характеристик эхосигнала на мониторе появляется определенное изображение.
Плотные ткани, а также органы выглядят светлыми. При этом чем выше данная характеристика, тем белее изображение на экране. Самые плотные ткани (кости) обладают наибольшей отражаемостью сигнала.
Если перевести с латыни слово «анэхогенный», то получим термин «не способный к отражению звука». Такие включения на экране монитора выглядят темными участками. Данное свойство присуще жидкости. В связи с этим при проведении УЗИ в случае обнаружения темных участков появляются подозрения на кисту. Именно она обычно заполнена жидкостью.
Во время УЗИ анэхогенное образование на мониторе выглядит как темный участок
Причины формирования
Факторы, влияющие на формирование образования, имеющего анэхогенный характер, во многом зависят от его локализации. Причинные факторы значительно отличаются в разных случаях. Это зависит от того, в каком органе получил развитие процесс.
Киста, имеющая анэхогенное свойство, чаще появляется в возрасте, считающимся репродуктивным. После наступления менопаузы она возникает значительно реже. Опухоль яичников в этом случае – редкость из-за снижения уровня эстрогена.

При этом образования чаще имеют доброкачественный характер.
Точно указать причину, провоцирующую рост опухоли, получается не всегда.
Наиболее частым фактором считается дисбаланс гормонов. Он плохо отражается на работоспособности яичников. После климакса киста в яичниках возможна из-за воспалений, возникновения послеоперационных спаек или получения травмы.
Объяснить причину появления почечной кисты урологи также не могут. Но некоторые нефрологи утверждают, что виновником появления кистовых элементов является неправильное развитие плода еще в материнской утробе. Кроме того, данные образования могут возникать из-за воспалений почечной лоханки, камней, образовавшихся в почках, а также вследствие инфицирования органа.
Кисты на яичниках чаще всего образуются в репродуктивном возрасте
Места локализации
Анэхогенное содержимое непосредственно в самой кисте появляется во многих случаях. Новообразование может появиться в следующих органах:
- Молочная железа. Здесь киста обнаруживается часто. Если она однородная, то представляет собой темный участок на экране монитора. Сложная киста видна при выполнении УЗИ в виде объектов, имеющих гиперэхогенное содержимое. В последнем случае врач-маммолог обязательно проводит дополнительную диагностику, чтобы исключить раковую опухоль. Содержимое может образоваться вследствие гормонального дисбаланса, нарушения вещественного обмена, механической травмы или воспалительного процесса в органе.
- Щитовидная железа. Тут врачи могут обнаружить анэхогенное аваскулярное образование или аденому, истинную, коллоидную, или псевдокисту. Для того чтобы определить природу содержимого, пациенту назначается сдача анализов.
Кисты в молочных железах могут образовываться в результате сбоя гормонального фона у женщин
- Матка. Данное образование непосредственно в матке может обнаруживаться при овуляции, дегенеративных болезнях, лейомиоме или в период перед менструацией. Если такое содержимое в области шейки матки имеет маленькие размеры (меньше 5 мм), то это является нормой для женщин, которые рожали. Развитие анэхогенного образования в данном органе возможно также и при раке. Зарегистрированы случаи, когда содержимое обнаруживалось у плода (выявлялась киста).
- Яичники. Выявленный объект в них зачастую указывает на рост кисты. У нее может быть различная структура. Зачастую врач подозревает развитие тератомы, цистаденомы (доброкачественное новообразование) или цистаденокарциномы (злокачественное новообразование).
Небольшого размера кисты, располагающиеся в районе шейки матки, считаются нормой для рожавших женщин
- Почки. В этом органе такое содержимое – это киста, которая является округлым анэхогенным образованием с довольно тонкими стенками. При наличии поликистоза наблюдается множество этих образований, а почки увеличены. Образование зачастую наблюдается и при абсцессе, околопочечной гематоме и кистозной карциноме.
- Печень. Наличие эхонегативной структуры в органе также указывает на кисту. Зачастую требуется дополнительная диагностика для получения полной картины патологии.
Существуют не только однокамерные, но и многокамерные анэхогенные образования, которые выявляются и в яичниках. Киста может быть одиночной, но во многих случаях ее выявляют как множественное новообразование.
Анэхогенное образование, появляющееся при беременности
В период беременности зачастую данное образование обнаруживают на маленьких сроках:
- До шестой недели вынашивания ребенка его обнаруживают вверху матки. Это плодное яйцо. При выполнении УЗИ на краях образования виден гиперэхогенный ободок.
- В яичнике темное пятно указывает на наличие лютеиновой, а иногда фолликулярной кисты. Эти образования впоследствии рассасываются самостоятельно.
- Такую же картину УЗИ показывает при образовании параовариальной кисты – полостного однокамерного новообразования. Оно растет из связок, соединяющих яичники с маткой.
В процессе проведения УЗИ желтое тело тоже определяется как черное пятно. Таким образом, при выявлении образований в матке паниковать не следует. Темное пятно может свидетельствовать о развитии нормальной беременности, указывать на желтое тело или появление кисты, которая исчезнет без усиленного лечения.

Лютеиновая и фолликулярная киста не требует лечения и рассасывается сама
Методы лечения
Выбираемый врачом вид лечения зависит от стадии развития новообразования. Иногда при выявлении кисты, например, в яичниках терапевтическое вмешательство не требуется. Используемые в медицине виды терапии сведены в таблицу.
| Тактика выжидания | Такой метод используется только при выявлении функционального типа образования. Чаще всего оно исчезает само через промежуток в несколько месяцев. Поэтому врач ведет наблюдение. Если же оно не проходит, то требуются медикаментозные средства. |
| Консервативная терапия | Применяется гормональное лечение. Оно необходимо для снижения выработки половых гормонов. Используются оральные контрацептивы. Восстанавливается менструальный цикл, функционирование яичников. |
| Хирургическое вмешательство | Метод применяется при отсутствии ожидаемого результата или при перерождении кисты в раковую опухоль. |
| Аспирационный метод терапии | Используется, когда у кисты признаки раковой опухоли отсутствуют. При помощи насадки, применяемой для пункции, из образования извлекают его содержимое. После чего в нарост вливается этиловый спирт, который его разрушает. Возможно использование специального раствора. |
Первым этапом лечения становится устранение симптомов. Кроме того, врачи назначают гормональные лекарства и препараты йода. Медикаментозные средства должны быть выписаны лечащим врачом.
При данных заболеваниях самолечение запрещено, поскольку может вызвать негативные последствия. Медикаментозная терапия проводится только в случаях, когда киста маленькая по размерам и не осуществляет рост.
При ее увеличении или инфицировании медики назначают операцию.
Для лечения кисты яичника врач может назначить оральные контрацептивы
Если киста имеет размеры около 7 сантиметров, то хирург выполняет пункцию. Для этого в образование вводится игла, после чего откачивается содержимое. Собранная жидкость направляется на исследование.
Такую процедуру проводят под ультразвуком. Следующий этап пункции подразумевает использование аспирационного метода. Специальный раствор способствует разрушению стенок образования, благодаря чему они замещаются нормальной тканью.
Этот метод выполняется под местной анестезией.
Терапия эхонегативных структур в области яичников чаще всего проводится при помощи медицинских препаратов. Гинеколог назначает гормональные средства, например Дюфастон, Антеовин или Марвелон.
В случае необходимости дополнительно выписываются противовоспалительные лекарства и антибиотики.
Из видео вы подробно узнаете об анэхогенных образованиях в в матке, мочевом и желчном пузыре:
Осложнения и прогнозы
Если обращение к врачу произошло на раннем этапе развития анэхогенного участка, то пациенту можно будет довольно быстро избавиться от него. Только врач после проведения исследований сможет сказать, данная структура имеет патологический характер или нет.
Если не лечить образование, то могут развиться некоторые осложнения, среди которых:
- в матке возможно кровотечение, отмирание тканей миоматозного узла;
- в почках может развиться гидронефроз или уремия, перитонит или почечная недостаточность, а также рак;
- в печени – гепатомегалия, нагноение и даже разрыв образования;
- в щитовидке возможно проявление кистозного зоба, гипо- или гипертиреоза, остеопороза.
Обнаруженное доброкачественное новообразование в молочной железе довольно редко переходит в злокачественное. Если оно имеет малые размеры, то не несет в себе опасности. Обычно осложнения возникают лишь при наличии процесса воспаления и нагноении кисты.
Помогла статья? Оцените её
Анэхогенное образование: причины формирования и методы лечения
Образование, получившее название «анэхогенное», представляет собой включение в какой-либо орган. Оно не отражает, а наоборот, поглощает ультразвуковой луч. Сам термин не указывает на определенный диагноз. Это всего лишь свойство данного включения. Появившееся анэхогенное образование иногда может являться нормой, но в другом случае оказаться тяжелой патологией.
Анэхогенное образование поглощает УЗ-излучение



