Отогенные внутричерепные осложнения – это совокупное название всех поражений внутричерепных структур, которые возникают на фоне заболеваний среднего или внутреннего уха. Клиническая картина включает синдром системной интоксикации, общую мозговую симптоматику и очаговые проявления поражений коры головного мозга. Диагностика основывается на анамнезе заболевания, физикальном обследовании, результатах спинномозговой пункции, лабораторных тестов, эхоэнцефалографии, КТ и МРТ. Лечение состоит из оперативной санации первичного и метастатического очага инфекции, массивной антибактериальной и симптоматической медикаментозной терапии.
Общие сведения
Отогенные внутричерепные осложнения (ОВО) в современной практике встречаются относительно редко. Согласно статистическим данным, они обнаруживаются у 2-8% от общего количества пациентов с патологиями уха. Подавляющее большинство больных — люди пожилого возраста, среди этой возрастной группы интракраниальные осложнения диагностируются в 3,5-4 раза чаще. Наиболее распространенная форма внутричерепных осложнений – гнойный менингоэнцефалит, составляющий до 75% от всех случаев. Реже наблюдаются абсцессы головного мозга и мозжечка (от 10 до 13%), экстрадуральный абсцесс (до 7%), тромбоз сигмовидного синуса (до 5%). Более чем у 1/3 пациентов одновременно развивается несколько внутричерепных поражений.
Отогенные внутричерепные осложнения
Причины
Отогенные интракраниальные поражения возникают при острых или хронических гнойно-септических заболеваниях уха, в основном – барабанной полости и ее структур. Наиболее часто причиной их развития становятся хронический и острый средний отит, мезотимпанит, эпитимпанит, гнойный лабиринтит. В качестве патогенной микрофлоры выступают комбинации бактерий, среди которых преобладают кокки: стафилококки, стрептококки, несколько реже – пневмококки, диплококки. В некоторых случаях удается выделить синегнойную палочку, протея. Способствовать распространению инфекции за пределы полостей внутреннего или среднего уха могут:
- Снижение реактивности и резистентности организма. Быстрое проникновение микроорганизмов в полость черепа может быть обусловлено отсутствием адекватного иммунного ответа. Иммунодефицит наблюдается при злокачественных опухолях, длительном приеме цитостатиков, сахарном диабете и других системных заболеваниях, СПИДе, генетических аномалиях.
- Неправильное лечение первичных патологий. Длительное течение заболеваний приводит к гнойному расплавлению костных стенок полостей уха и проникновению патогенной флоры внутрь черепно-мозговой коробки. Это возможно как при полном отсутствии соответствующей терапии, так и при назначении неэффективных антибиотиков.
- Особенности строения височной кости. Вероятность инфекционного процесса увеличивается при врожденных аномалиях развития региональных костных структур: дегисценции стенок среднего уха, большом количестве складок или карманов пещеры, каналах сосудисто-нервных анастомозов, открытой каменисто-чешуйчатой щели у младенцев. Также сюда можно отнести ранее перенесенные оперативные вмешательства, тяжелые травмы.
Патогенез
В основе патогенеза лежит проникновение инфекционных агентов и гнойного экссудата в интракраниальную полость одним из четырех путей: контактным, преформированным, лабиринтогенным или гематогенным. В первом случае поражения внутричерепных структур являются результатом разрушения костных стенок кариозным процессом, что встречается при эпитимпаните, фронтите. Распространение инфекции может происходить в следующих направлениях: в среднюю черепную ямку из крыши барабанной полости, в сигмовидный синус или мозжечок из сосцевидного отростка, в заднюю черепную ямку по водопроводам преддверия и улитки, из внутреннего уха к передней ямке и пещеристой пазухе через переднюю стенку среднего уха.
Преформированный путь инфицирования представляет собой проникновение инфекции по периваскулярным и периневральным путям. Лабиринтогенный вариант актуален только для лабиринтитов, заключается в воспалительном поражении водопровода улитки и внутреннего слухового прохода с переходом на подпаутинное пространство задней части черепной полости. Гематогенный и лимфогенный пути наблюдаются при генерализации заболевания, реже – при гнойном расплавлении стенок региональных вен, артерий. Важную роль играет угнетение фагоцитоза, снижение бактерицидной̆ активности сыворотки крови и лизоцима, повышение концентрации b-лизинов, функциональное состояние гематоэнцефалического барьера.
Классификация
Несмотря на практически идентичную этиологию, из-за отличающихся путей распространения инфекции при заболеваниях полостей уха могут развиваться поражения различных интракраниальных структур. Возможны случаи перехода одной формы в другую и комбинации нескольких вариантов. В настоящее время принято выделять следующие формы отогенных внутричерепных осложнений:
- Экстрадуральный абсцесс – скопление гнойных масс между твердой мозговой оболочкой и внутренней поверхностью костей черепа. Типичная локализация – средняя и задняя черепная ямка. Является осложнением патологических процессов в барабанной полости, эпитимпанита.
- Субдуральный абсцесс – поражение, характеризующееся накоплением гноя между твердой и паутинной мозговой оболочкой. Обычно возникает в области средней или задней черепной ямки на фоне холестеатомного среднего отита или лабиринтита соответственно.
- Разлитой гнойный менингит (лептоменингит) – воспаление мягкой и арахноидальной оболочки головного мозга, сопровождающееся выделением гнойного экссудата и внутричерепной гипертензией. Преимущественная локализация – основание головного мозга.
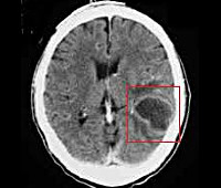
- Абсцесс головного мозга, мозжечка – патологические полости, ограниченные пиогенной мембраной и заполненные гнойными массами. Типичное расположение при отогенном происхождении – височная доля, мозжечок.
- Тромбоз венозных синусов – образование инфицированного тромба, закупоривающего просвет сигмовидного или другого синуса мозговой оболочки. Развивается при тяжелых гнойных средних отитах.
- Отогенный сепсис – вторичное осложнение, сопровождающееся проникновением в системный кровоток гноеродной микрофлоры и продуктов ее жизнедеятельности из первичного очага. Возникает на фоне уже сформированного синус-тромбоза, абсцессов или лептоменингита.
Читайте также:
Сколько после отита не ходили в сад
Симптомы
Клиническая картина всех форм ОВО представлена интоксикационным синдромом, общемозговой и очаговой симптоматикой. Исключение составляют абсцессы мозжечка и головного мозга, которые довольно часто протекают бессимптомно. Поражения интракраниальных структур развиваются при уже имеющихся заболеваниях органа слуха, из-за чего их начало «смазано». Зачастую на их возникновение указывает отсутствие позитивной динамики и ухудшение общего состояния на фоне проводимого лечения. При формировании внутричерепных поражений отмечается дальнейшее усугубление синдрома интоксикации, проявляющееся повышением температуры тела до 39,5-41,0 °С, ярко выраженной общей слабостью и недомоганием, утратой аппетита, бессонницей.
Общемозговая симптоматика появляется позже, поскольку она обусловлена повышением внутричерепного давления и отеком тканей ЦНС. Ее ранним проявлением становится сильная диффузная острая или тупая головная боль давящего, распирающего или пульсирующего характера. На высоте боли и в утреннее время возникает тошнота и рвота, не проносящая облегчения. В последующем может формироваться нарушение сознания в виде сомноленции – заторможенности, патологической сонливости, потери ориентации в пространстве и времени, апатии. Реже отмечается бред, слуховые и зрительные галлюцинации. В тяжелых случаях наблюдается судорожный синдром, сопор, кома.
Очаговая симптоматика зависит от локализации инфекционного процесса в коре головного мозга. При поражении лобной доли определяется шаткость ходьбы, монопарез или гемипарез, моторная афазия, аносмия, реже – эпилептиформные приступы. При нарушениях в теменной области теряется тактильная чувствительность и кинестезия, возникает дислексия, дисграфия, дискалькулия, географическая агнозия. Дисфункция височной доли характеризуется шумом в ушах, слуховыми галлюцинациями, сенсорной афазией, амнезией, сложными парциальными припадками. Наличие очага в затылочной области коры сопровождается нарушением зрения, зрительной агнозией, макропсией или микропсией, визуальными галлюцинациями. Абсцессы мозжечка приводят к атаксии, спонтанному нистагму, невозможности координировать мелкие движения пальцев рук и дисдиадохокинезии.
Диагностика
Из-за большого количества проявлений и частой «стертости» симптоматики постановка диагноза затруднительна. На первый план выходят дополнительные методы исследования, помогающие оценить состояние внутричерепных структур, а анамнестические данные и физикальный осмотр играют вспомогательную роль. При опросе больного или его родственников отоларинголог уточняет ранее установленный диагноз, динамику развития заболевания, наличие сопутствующих патологий. Используются результаты следующих исследований:
- Общий осмотр. Определяются позитивные менингеальные симптомы, артериальная гипертензия или гипотензия, тахикардия, снижение или повышение сухожильных рефлексов, очаговая неврологическая симптоматика, отоскопические изменения, пирамидные симптомы.
- Общий анализ крови. Развитие ОВО характеризуется нарастанием лейкоцитоза, выраженным смещением лейкоцитарной формулы в сторону палочкоядерных и юных нейтрофилов, повышением СОЭ. При сепсисе назначается посев крови на стерильность.
- Люмбальная пункция. Метод информативен при менингитах, энцефалитах. При спинномозговой пункции ликвор несколько мутный, вытекает под высоким давлением. В его составе лейкоциты преобладают над лимфоцитами, обнаруживается низкий уровень глюкозы и высокий уровень белка, цитоз превышает 1000 на 1мм3.
- Эхоэнцефалография. Позволяет выявить внутричерепные объемные процессы. На их наличие указывает смещение срединного эха (М-Эхо) до 1,5-3 мм. При абсцессах мозжечка метод может оказаться неинформативным.
- КТ или МРТ головного мозга. Исследования дают возможность четко визуализировать локализацию абсцессов или очагового энцефалита, определить их размеры, выявить перифокальный отек, дислокацию и деформацию желудочков мозга. Контрастные методики показаны при подозрении на тромбоз кавернозного или сигмовидного синуса.
Лечение отогенных внутричерепных осложнений
Лечение больных с ОВО проводится в условиях специализированного отоларингологического отделения или блока реанимации и интенсивной терапии. Комплекс терапевтических мероприятий включает санацию первичного очага инфекции, дезинтоксикацию, устранение септических осложнений, массивную медикаментозную поддержку. Применяются следующие методики:
- Оперативное вмешательство. Объем операции напрямую зависит от первичного заболевания, характеристик метастатических поражений. Как правило, абсцессы ЦНС санируются и дренируются через трепанационное отверстие. Реже выполняют открытые операции с вскрытием полости и полным удалением образования вместе с капсулой.
- Антибактериальная терапия. Представлена комбинациями антибиотиков широкого спектра действия в субмаксимальных или максимальных дозах. Препараты вводятся одновременно внутривенно и внутримышечно, что позволяет быстро достичь терапевтической дозы в спинномозговой жидкости. При тяжелом течении возможны инъекции медикаментов непосредственно в спинальный канал.
- Патогенетические и симптоматические средства. В обязательном порядке проводится дезинтоксикационная и дегидратационная инфузионная терапия плазмозаменителями, растворами глюкозы. Для предотвращения отека головного мозга показано введение глюкокортикостероидов, кокарбоксилазы. Купирование судорог осуществляется при помощи седуксена. При синус-тромбозах в схему лечения включают прямые антикоагулянты и фибринолитики.
Прогноз и профилактика
Прогноз в большинстве случаев тяжелый. При раннем выявлении внутричерепных поражений исход заболевания чаще благоприятный. В сложных ситуациях, при сочетании двух и более форм ОВО показатель летальности даже при условии полноценного лечения составляет от 5 до 25%. Профилактические мероприятия подразумевают своевременную адекватную терапию заболеваний среднего и внутреннего уха, точное соблюдение рекомендаций лечащего отоларинголога, коррекцию сопутствующих иммунодефицитных состояний, эндокринных нарушений, врожденных и приобретенных аномалий развития височной кости.
Отогенные внутричерепные осложнения являются тяжелыми жизнеопасными заболеваниями. Они возникают в результате проникновения инфекции из уха в полость черепа. Это случается при острых и хронических средних отитах. Все чаще стал встречаться менингит или менингоэнцефалит при остром гнойном среднем отите.
Читайте также:
Можно ли делать промывание носа при отите
Чаще всего отит осложняется менингитом. Реже бывают абсцессы мозга и мозжечка. Еще реже встречается тромбоз сигмовидного синуса и отогенный сепсис. Иногда могут возникать несколько осложнений одновременно. Например, синус-тромбоз и абсцесс мозжечка. Или менингит и абсцесс больших полушарий головного мозга.
Этиология
Причиной отогенных внутричерепных осложнений являются те же сами микробы, которые вызвали отит. При остром отите преобладают стафилококки, стрептококки, пневмококки. При хроническом выделяют протей, синегнойную палочку и др.
В зависимости от этапов распространения инфекции из уха в полость черепа последовательно могут образовываться гнойники, расположенные кнаружи от твердой мозговой оболочки (экстрадуральный абсцесс), между оболочками головного мозга (субдуральный абсцесс). Воспалительный процесс может переходить на венозную пазуху. В результате возникает синус-тромбоз. Если инфекция проникает глубже, то развивается разлитой гнойный менингит. В гнойный процесс может вовлекаться даже вещество головного мозга. Это приводит к образованию абсцессов больших полушарий мозга и мозжечка.
Рассмотрим основные виды отогенных внутричерепных осложнений.
Отогенный разлитой гнойный менингит
Отогенный разлитой гнойный менингит – это воспаление оболочек головного мозга. Поражаются паутинная и сосудистая мозговые оболочки.
Инфекция проникает из среднего и внутреннего уха. Менингит может возникать вследствие других отогенных осложнений. Например, синус-тромбоза.
Клиника. Наиболее частым и ранним симптомом отогенного менингита является головная боль. Головная боль очень интенсивна. Причиной ее является повышенное внутричерепное давление. Боль в голове усиливается при любом внешнем раздражении. Например, при прикосновении к коже больного, при громких звуках, ярком свете. Поэтому такому больному нужно создать соответствующие условия, которые исключают эти раздражители.
Следующими симптомами являются тошнота и рвота. Возникают они часто на высоте головной боли и не связаны с приемом пищи. Рвота нередко приносит кратковременное облегчение головной боли.
Общее состояние больного очень тяжелое. В более поздних стадиях может наблюдаться помрачение сознания, переходящее в бред. Больные нередко занимают позу “лягавой собаки”. Они лежат на боку или на спине с согнутыми ногами и запрокинутой головой. Больной рефлекторно занимает данную позу, потому что это уменьшает головную боль.
Температура тела постоянная, достигает 38,5-39 С и выше. Пульс ускоренный, соответствует повышению температуры тела. Характерными для менингита являются менингеальные (оболочечные) симптомы, или менингеальные знаки:
- Ригидность затылочных мышц. Врач подкладывает свои руки под голову больного и наклоняет ее вперед. При менингите шея больного сгибается плохо. Подбородок не достигает грудины.
- Симптом Кернига. Больному, лежащему на спине, сгибают ноги в тазобедренном и коленном суставах. Затем пытаются разогнуть ногу в колене. При менингите нога разгибается не полностью.
- Симптомы Брудзинского верхней и нижней. Во время исследования ригидности затылочных мышц ноги больного сгибаются и подтягиваются к животу. Это верхний симптом Брудзинского. Нижний симптом: при разгибании ноги больного (симптом Кернига) содружественно сгибается в коленном и тазобедренном суставе и другая нога.
При тяжелом течении заболевания наблюдается выпячивание
глазных яблок, разные размеры правого и левого зрачков.
Диагностика. В анализе крови у больных менингитом будут признаки воспаления. При осмотре глазного дна окулист выявляет застой. Большую ценность для диагностики менингита имеет исследование спинно-мозговой жидкости, полученной при люмбальной пункции. Ликвор при менингите будет иметь характерные изменения.
Отогенный сепсис
При гнойном воспалении среднего уха, как в остром, так и хроническом, инфекция генерализуется, микробы проникают в кровь. Возникает сепсис. Чаще это бывает в результате синус-тромбоза.
Клиника отогенного сепсиса и тромбоза сигмовидного синуса. Симптомы, которые наблюдаются при этом заболевании, делятся на 2 группы:
- Общие симптомы, присущие сепсису любой природы;
- Очаговые симптомы, обусловленные поражением сигмовидного синуса.
Общие симптомы. Одним из наиболее показательных симптомов сепсиса является гектическая температура. Происходит быстрое увеличение температуры тела до 39-41 О С, сопровождающийся ознобом. После этого через несколько часов температура быстро (критически) снижается. Снижение температуры сопровождается проливным потом. Таких подскоков температуры в течение суток может быть несколько. Потому температуру у больного нужно измерять каждые 2 часа. У детей младшего возраста температура тела будет постоянна. Пульс увеличивается согласно поднятию температуры тела. Кожа больного бледная с землистым оттенком. Может быть желтушность кожи и склер. В анамнезе крови отмечаются изменения, характерные для воспалительного процесса. Большое значение имеет бакпосев крови. При сепсисе в крови обнаруживают микробы. Кровь на посев следует брать во время озноба, когда температура тела повышается. Во время отогенного сепсиса микробы разносятся по ходу кровяного русла и оседают в других органах. Возникают гнойники в легких, суставах, подкожной клетчатке, мышцах. Наиболее часто больные умирают от легочных осложнений.
Очаговые симптомы. Отмечается отек и болезненность мягких тканей по заднему краю сосковидного отростка. Болезненность при пальпации шеи с больной стороны. Часто голова больного может быть наклонена в пораженный бок. Отогенные абсцессы больших полушарий мозга и мозжечка – это воспаление, которые образуются в мозге и мозжечке в результате гнойных средних отитов.
Читайте также:
Если отит в больное ухо капать
Клиника. Выделяют 4 стадии клинического проявления абсцесса:
- Начальная стадия. Продолжается 2-3 недели. Характерны воспалительные явления. Возникают легкие менингеальные симптомы. Это головная боль, вялость, повышение температуры тела, тошнота и рвота.
- Скрытая стадия. Продолжается 2-3 недели. В этой стадии все симптомы или вообще исчезают, проявляются ли в очень ослабленном виде.
- Явная стадия. Длится несколько недель. Характеризуется большым разнообразием симптомов. Больной ощущает слабость, отсутствие аппетита, истощение. Повышается температура тела. Появляются воспалительные изменения в анализе крови. Но эти проявления выражены значительно меньше, чем при менингите и сепсисе. Возникает головная боль. Головная боль усиливается при постукивании пальцем по черепу над тем участком, где есть абсцесс. Возникает тошнота и рвота, которые не связаны с приемом пищи. Пульс замедляется до 45 ударов в минуту. На глазном дне окулист выявляет застой. Может появляться ригидность затылочных мышц и симптом Кернига. Если абсцесс содержится в больших долях головного мозга, будут появляться парезы и параличи конечностей. Может быть парез лицевого нерва – когда лицо становится асимметричным. Возникают судороги и другие неврологические симптомы. Больной падает в сторону, противоположную поражению. Может быть головокружение. Возникают галлюцинации. У больного нарушается речь. Иногда речь становится непонятной, набором бессмысленных слов. Больной может разучиться читать и писать. При абсцессе мозжечка возникают такие симптомы. На стороне нахождения абсцесса снижается тонус мышц конечностей. Рука больного будет слабо опираться при разгибании. При исследовании походки и позы Ромберга больной отклоняется в сторону поражения. Характерным является невозможность осуществление флангового шествия в больной бок. При выполнении указательной пробы больной не попадает рукой в кончик носа. Рука на стороне поражения отклоняется в больной бок. Наблюдается спонтанный нистагм. Глазные яблоки больного потрепутся в больной бок. Абсцессы головного мозга и мозжечка могут вести к нарушению сознания, дыхания и сердечной деятельности.
- Терминальная стадия абсцесса мозга. Это последняя из стадий абсцесса.Обычно длится несколько дней и заканчивается смертью больного. Возникает отек мозга. Состояние больного резко ухудшается. Наращивается выраженность проявлений интоксикации. Наступает остановка дыхания, сердечной деятельности и смерть.
Диагностика абсцесса мозга и мозжечка. Современными методами диагностики этих осложнений являются следующие.
- Эхоэнцефалография.
- Радиоизотопная энцефалография.
- Компьютерная томография и ядерно-магнитный резонанс.
Лечение внутричерепных отогенных осложнений
Лечением больных с отогенными внутричерепными осложнениями занимаются в основном отоларингологи и нейрохирурги. Но в этом должны принимать активное участие невропатологи, терапевты, педиатры, инфекционисты, окулисты.
Лечение больных с отогенными внутричерепными осложнениями включает хирургическое вмешательство и интенсивную медикаментозную терапию.
Хирургическое вмешательство направлено на удаление гнойного очага в среднем ухе и ликвидации осложнения. При остром гнойном среднем отите проводится операция -расширенная антромастоидотомия.
При хроническом гнойном среднем отите – расширенная общеполостная радикальная операция.
При отогенном менингите в ходе операции вскрываются средняя и задняя черепные ямки.
При тромбозе сигмовидного синуса и отогенном сепсисе проводится та или иная операция на ухе. Обязательно вскрывается задняя черепная ямка. Проводится пункция сигмовидного синуса. При необходимости синус разрезают и удаляют тромб.
При отогенных абсцессах мозга и мозжечка отоларинголог проводит антромастоидотомию или радикальную операцию. Затем рассекает заднюю или среднюю черепную ямку и пунктирует вещество мозга. Затем по игле вскрывает абсцесс и ставит дренаж. Если у больного обнаружены множественные абсцессы, или гнойник расположен в удаленной от больного уха участке, то абсцесс рассекает нейрохирург.
Одновременно с хирургическим лечением назначается интенсивная медикаментозная терапия:
- Назначаются антибиотики. В инъекциях дают цефтриаксон, цефтазидим, ванкомицин, метраджил, пенициллин в больших дозах и другие.
- Внутривенно вводят противоотечные лекарства. Это гемодез-Н, нативная плазма крови, альбумин, маннитол, лазикс, 40% глюкоза, 10% хлорид натрия, гексаметилентетрамин (уротропин), 5% аскорбиновая кислота, витамин А, суспензия гидрокортизона. При этом контролируют артериальное давление.
- Противоаллергические препараты вводят внутримышечно. Это димедрол, пипольфен, супрастин и другие.
- При психомоторном возбуждении вводят оксибутират натрия и седуксен внутривенно на 40% глюкозе.
- При стафилококковой инфекции проводится иммунотерапия. Внутримышечно вводят антистафилококковый иммуноглобулин.
- Назначают сердечные гликозиды, аналептики, обезболивающие при потребности.
- Всем больным с подозрением на отогенный менингит проводится лечебно-диагностическая люмбальная пункция. В спинно-мозговой канал при необходимости вводят хлоркальциевый комплекс стрептомицина и преднизолон.
- При лечении тромбоза сигмовидного синуса назначают гепарин, синкумар или неодикумарин под контролем коагулограммы.
- Важное место в проведении интенсивной терапии занимает борьба с отеком мозга. Используют маннитол, 40% глюкозу с инсулином, сернокислую магнезию, лазикс внутривенно. Назначают стероидные гормоны: преднизолон, гидрокортизон или дексаметазон. Вводят 5% витамин С, 10% кальция хлорид, рутин внутривенно. Для улучшения мозгового кровотока внутривенно вводят эуфиллин, трентал. Внутривенно – капельно вводят оксибутират натрия, глютаминовую кислоту, тиопентал натрия (вводят медленно).

