Мазок на цитологию: что показывает, расшифровка, норма и патология
статьи:
Мазок на цитологию или ПАП-тест у женщин имеет большое диагностическое значение, поскольку дает возможность выявить злокачественный процесс в начальной стадии и своевременно назначить терапию.
Цитологическое исследование в гинекологии
Под цитологическим анализом в гинекологии понимают микроскопические изучение на предмет типичности клеточного состава образцов, взятых из влагалища и шеечного канала.
Такая диагностика дает медикам возможность делать выводы о наличии воспалительных процессов, предраковых заболеваний или же рака в репродуктивных органах пациентки. В отличие от гистологического исследования цитологический метод является неинвазивным.
То есть, при взятии биологического материала нет необходимости выполнять биопсию или прокол, и целостность ткани абсолютно не нарушается. Анализу подвергают образцы, взятые при помощи отпечатка или мазка. Для получения точных результатов необходимо тщательно соблюдать правила подготовки к обследованию.
Также очень важно, чтобы анализ расшифровывал лечащий врач женщины, который примет во внимание ее жалобы и данные других методов диагностики. На выполнение цитологического анализа обычно требуется не более суток.
Если при этом было обнаружено предраковое состояние или онкологический процесс, для уточнения диагноза прибегают к инвазивным диагностическим методикам — биопсии. Цитология особенно важна при противопоказаниях к биопсии и при обследованиях большого числа пациенток (когда необходимо выявить женщин, водящих в группу риска по развитию злокачественной патологии).
Что такое мазок на цитологию
Мазок на цитологию (ПАП-тест, анализ Папаниколау) представляет собой изучение под микроскопом мазка из шейки матки с целью раннего выявления раковых заболеваний. Также этот анализ еще называют гитологический мазок или мазок на онкоцитологию. Такое обследование легко переносится пациентками, поскольку является совершенно безболезненным и не занимает много времени.
Цитологический мазок не только делает возможной своевременную диагностику клеточных аномалий, но и помогает выявить присутствие во влагалищной среде нежелательной микрофлоры.
При этом точных данных о выявленных патологиях тест не дает, и в случае получения неблагоприятного результата пациентку направляют на дополнительное обследование (мазок на флору у женщин) и на анализ на ЗППП.
С помощью цитологического метода, который успешно используется в гинекологической практике уже десятки лет, можно выявить 5 видов изменений в клетках пациенток. При этом исследование является очень простым и доступным по стоимости. Проходить его врачи советуют всем женщинам возрастной категории от 18 до 65 лет как минимум раз в год. По результатам анализа можно достоверно установить наличие или отсутствие какой-либо патологии.
Показания к проведению мазка на цитологию
Мазок на цитологию желательно сдавать всем женщинам. В возрасте до 40 лет достаточно проходить такую диагностику один раз в год. Представительницам старших возрастных групп нужно обследоваться раз в 6 месяцев.
Некоторые случаи являются обязательными показаниями к проведению теста. К ним относятся: — Воспаления в цервикальном канале, шейке матки, особенно если они протекают хронически. — Нарушения менструального цикла. — Проблемы репродуктивного характера.
— Подготовка к хирургическим вмешательствам и другим медицинским манипуляциям. — Планирование беременности. — Подготовка к установке спирали. — Прием гормональных средств. — Диабет. — 2-я и 3-я степень ожирения.
— Присутствие в организме некоторых вирусов (папилломы человека, генитального герпеса). — Частая смена сексуальных партнеров.
Противопоказания для цитологического исследования
Мазок на цитологию не берут во время менструаций. Если нужно оценить присутствие атипичных клеток, не стоит проводить анализ во время воспаления влагалища и шейки. Дело в том, что большое число лейкоцитов просто «закроет» патологические клетки, и обнаружить их цитологическим методом будет невозможно.
Подготовка к мазку на цитологию шейки матки
Чтобы получить максимально точный результат, необходимо соблюдать несколько несложных правил:
— Не выполнять спринцевания. — Не использовать лекарственные средства местного действия (свечи, мази и т.д.). — Подождать, когда закончатся месячные. — Не мочиться за три часа до взятия мазка. — Воздерживаться от половых актов в течение двух суток перед исследованием. Если имеет место воспалительный процесс, при котором выделяется много секрета, болезнь необходимо пролечить и сделать контрольный мазок для подтверждения выздоровления. И только после этого имеет смысл выполнять цитологический анализ.
Как берется мазок на цитологию шейки матки
Взятие онкологического мазка выполняет врач-гинеколог при осмотре пациентки. Сначала с использованием зеркал доктор изучает состояние влагалища, осматривает вход в цервикальный канал и слизистую оболочку шейки. Затем с трех участков (влагалище, цервикальный канал, вход шейки матки) при помощи особой щеточки берется материал на анализ.
Процедура занимает совсем немного времени и не причиняет пациенткам никаких болезненных ощущений.
Собранный материал помещают на предметное стекло, равномерно распределяют и после подсушивания передают в медицинскую лабораторию. Там мазок окрашивают специальными веществами и рассматривают под микроскопом.
При этом оценивают такие характеристики:
— Размеры клеток и их строение. — Количество клеток (на определенную единицу площади). — Взаимное расположение. — Форма эпителия. — Наличие патологических изменений в клетках.
Строения многослойного плоского эпителия шейки матки
Строения многослойного плоского эпителия слизистой оболочки влагалища
А — базальный слой (а — базальные клетки, б — парабазальные клетки)
Б — промежуточный слой, В — поверхностный слой; справа изображены отдельные клетки соответствующих слоев эпителия влагалища. После процедуры взятия материала пациентка может сразу же возвращаться к своей обычной деятельности. Никакого дискомфорта в норме быть не должно, поскольку щеточка не может травмировать ткани. Правда, существует вероятность, что будет задет маленький кровеносный сосуд. Тогда в течение 1-2 дней после анализа будут наблюдаться незначительные кровянистые выделения (прожилки). Это явление не должно вызывать у женщины беспокойства.
Расшифровка цитологического исследования мазка шейки матки
Шейка матки здоровой женщины покрыта цилиндрическим эпителием, а влагалище плоским. Что касается вагинальной микрофлоры, то она представляет собой не кокки, а палочки. Некоторые показатели зависят от фазы цикла — карио-пикнотический и ацидофильный индексы, базальные и парабазальные клетки, число лейкоцитов. Они дают информацию о работе яичников.
Интерпретация ПАП-теста
В зависимости от состояния эпителиальных клеток подвергнутые цитологическому исследованию мазки из влагалища делятся на пять классов (методика Папаниколау):
Класс 1. Отсутствие патологических изменений в исследованном материале. Клетки имеют нормальные размеры и форму, правильно расположены.
Класс 2. Понижена морфологическая норма некоторых клеточных элементов, что является признаком воспаления или инфекции. Такой результат может быть признаком вагиноза. В подобных случаях показана дальнейшая диагностика для постановки точного диагноза и подбора адекватной терапии.
Класс 3. В материале присутствуют единичные клетки с нарушениями в строении ядра и цитоплазмы (дисплазия или же гиперплазия). Число таких патологических клеток невелико. Пациентку направляют на повторную цитологию.
Класс 4. В исследованном мазке обнаруживаются клетки со злокачественными изменениями ядра, хроматина и цитоплазмы. Эти патологические изменения говорят о наличии у пациентки предракового состоянии.
Класс 5. Присутствие в мазке большого количества атипичных клеток (их намного больше нормы). В таком случае диагностируют начальную стадию рака.
Расшифровка мазка на цитологию по методу Бетседа
Расшифровку цитологического анализа материала, взятого из цервикального канала, выполняют по методу Бетседа. При этом учитываются расположение клеток и дискариоз (изменения в ядре). Результаты исследования могут быть такими:
— Норма. Отсутствие патологии не имеет какого-либо специального обозначения. — Вагиноз, койлоцитоз – HPV.
— Дисплазия шейки матки в зависимости от степени — CIN I, CIN II или CIN III.
— Рак шейки матки — Carcinoma (pax).
Термины в диагнозе при цитологическом анализе мазка шейки матки
В гинекологической практике для описания результатов цитологических исследований принято использовать такие обозначения и термины:
— ЦБО. Нормальные показатели, патологических изменений нет. -Цитограмма воспаления. Показатели, говорящие о развитии воспалительного процесса (цервицита). — Лейкоцитарная инфильтрация – повышенное число лейкоцитов. Это является признаком вагиноза, экзоцервита или эндоцервита. — Койлоциты – присутствие клеток, говорящих о ВПЧ. — Пролиферация – ускорение клеточного деления. Такое состояние характерно для воспалительного процесса в матке. При сильной пролиферации имеет место запущенное воспаление. — Лейкоплакия – в мазке присутствуют патологически измененные (но при этом не раковые) клетки. — Метаплазия – один вид клеток замещается другим. Считается нормой для пациенток, которые проходили лечение неонкологических патологий матки в менопаузе. Кроме того, это состояние нормально для женщин, пребывающих в менопаузе более 6 лет. — Дисплазия – предраковая патология.
Для описания результатов анализа мазка, содержащего атипичные клетки, используются такие сокращения:
— ASC-US – наличие измененных клеток плоского эпителия с неизвестной этиологией. Чаще имеет место у пациенток старше 45, когда снижается производство эстрогенов.
— AGC – изменения цилиндрических клеток, которые могут говорить о вагинозе или каких-либо других заболеваниях. Такой результат требует дополнительной уточняющей диагностики.
— L-SIL – присутствие небольшого числа атипичных незлокачественных клеток. В этом случае пациентку направляют на дальнейшее обследование (биопсия и кольпоскопия).
— ASC-H – патологические изменения в клетках, которые свидетельствуют о предраковой патологии или же о начинающемся онкологическом процессе.
— HSIL является онкоцитологией (присутствуют измененные плоские клетки). Таким пациенткам проводят безотлагательные лечебные мероприятия, чтобы не допустить перерождения в злокачественную опухоль.
— AIS – Эта аббревиатура говорит о том, что были выявлены цилиндрические злокачественные клетки. При таких результатах необходимо срочное лечение.
В случае выявления в мазке патологически измененных клеток лаборант обязательно укажет это в письменном заключении с уточнением типа изменений. Если же в расшифровке анализа никаких особых обозначений нет, то, по всей вероятности, мазок соответствует норме. Точный диагноз на основании только этого теста поставить нельзя. Для определения характера патологии гинекологу нужно сравнить результаты разных обследований.
Сколько дней делается анализ мазка на цитологию
На цитологический анализ мазка обычно требуется от 1 до 5 суток.
Важно помнить, что онкологический процесс не возникает за несколько дней. От первых патологических изменений до злокачественного перерождения проходит довольно много времени.
Поэтому своевременное выявление атипичных клеток в организме женщины дает возможность предотвратить развитие рака шейки матки.
Для этих целей и был повсеместно введен доступный и простой метод ранней диагностики злокачественных клеток – цитологическое исследование мазка.
Справочник
Клиники и врачи
- Клиники вашего города
- Врачи вашего города
Мазок на цитологию (Пап-тест) — что показывает цитограмма?
МАЗОК НА ЦИТОЛОГИЮ — МЕТОД МИКРОСКОПИЧЕСКОГО ИССЛЕДОВАНИЯ ЦЕРВИКАЛЬНОГО ЭПИТЕЛИЯ С ЦЕЛЬЮ ПРЕДУПРЕЖДЕНИЯ И РАННЕЙ ДИАГНОСТИКИ РАКА ШЕЙКИ МАТКИ.
Мазок на цитологию в первую очередь проводится для обнаружения атипичных клеток, что позволяет на ранних этапах диагностировать дисплазию (CIN, LSIL, HSIL) или рак шейки матки.
Это недорогой и удобный метод для профилактического охвата большого количества женщин.
Конечно, чувствительность однократного исследования невысокая, однако ежегодный массовый скрининг в развитых странах позволил значительно снизить смертность женщин от рака шейки матки.

В связи с тем, что атипичные клетки могут располагаться на относительно небольшом участке слизистой, очень важно, чтобы материал был получен со всей поверхности шейки матки, особенно из цервикального канала! Для этого созданы специальные щеточки, позволяющие получать материал из недоступных для осмотра областей.
Особое внимание придается зоне трансформации, клетки которой чаще всего подвергаются опухолевому перерождению. Именно в зоне трансформации развивается до 80-90% рака шейки матки, остальные 10-20% приходятся на цервикальный канал.
Когда сдавать мазок на цитологию? Взятие мазка на цитологию следует проводить начиная с 5-го дня менструального цикла и за 5 дней до предполагаемого начала менструаций.
Нельзя проводить анализ в течение двух суток после полового сношения либо введения во влагалище свечей. Несоблюдение этих правил может привести к ошибочной трактовке результатов.
Так же наличие выраженного воспалительного процесса в шейке матки и влагалище серьезно осложняют диагностику.
Следует отметить, что забор материала — это достаточно неприятная процедура. Гинеколог должен соскоблить эпителий с поверхности шейки и зайти в цервикальный канал. Чем больше попадет эпителия из различных зон — тем качественнее диагностика. Иногда после цитологии могут оставаться кровоподтеки, это считается нормальным.
Таким образом, основное значение мазка на цитологию — это определение качественных изменений клеток. Для определения инфекционного агента, вызвавшего воспаление, лучше использовать мазок на флору или бактериологический посев.
Однако при цитологическом исследовании врач может отметить присутствие каких либо микроогранизмов. К нормальной микрофлоре относятся палочки (лактобациллы), единичные кокки, в небольшом количестве может быть условно-патогенная флора.
Наличие специфических инфекционных агентов (трихомонады, амебы, грибы, гонококки, гарднереллы, лептотрикс, хламидии, обилие кокков) считается патологией, которую необходимо лечить.
Обработка мазков. Сроки выполнения цитологии
После забора материала, образец переносится на предметное стекло, фиксируется и окрашивается. При прямом переносе мазка со щеточки возможна частичная потеря материала и деформация клеток, что ведет к снижению чувствительности метода и большому числу ложных результатов. На смену классическому методу пришла жидкостная цитология, что значительно повысило точность и качество исследования.
Жидкостная цитология — это новая технология обработки мазков, которая заключается в помещении проб в контейнер со специальным стабилизирующим раствором. При этом в раствор попадает весь полученный эпителий, который затем центрифугируется и очищается от нежелательных примесей (слизи и др).
На сегодняшний момент жидкостная цитология становится «золотым стандартом» для исследования мазков со слизистой шейки матки. Но и в этом случае чувствительность однократного исследования не превышает 60-70%. В репродуктивном возрасте часты ложноотрицательные результаты, а у женщин в менопаузе — ложноположительные.
Только трехкратное цитологическое исследование позволяет приблизиться к 100%.
Существуют различные методы окраски препаратов: по Papanicolau (Пап-тест), по Романовскому, по Wright-Diemsa, по Граму.
Все методы направлены на окрашивание определенных клеточных структур, что позволяет дифференцировать различные типы эпителия, отличать клетки с ороговением и опухолевой трансформацией.
Тест Папаниколау широко признан и сейчас используется как основной стандартизированный метод.
Сколько времени делается тест? В зависимости от организации процесса результат можно получить в течение 2-3 дней.
Цитограмма без особенностей — что это значит?
Варианты цитологического заключения широко варьируют.
Как вариант нормы, могут употребляться следующие заключения: «цитограмма без особенностей«, «цитограмма в пределах нормы«, «цитограмма без интраэпителиальных поражений«, «цитограмма соответствует возрасту — атрофический тип мазка«, «NILM — Negative for intraepithelial lesion or malignancy«, «пролиферативный тип мазка«. Все это — НОРМА!
Слизистая шейки матки в норме гладкая, блестящая, влажная. Плоский эпителий бледно-розовый, железистый эпителий — ярко красный. Клеточный состав, который можно встретить в нормальной цитологии представлен в таблице.
| Цитограмма без особенностей (NILM) у женщин репродуктивного возраста | |
| Экзоцервикс | Хорошо сохранившиеся клетки плоского эпителия, преимущественно поверхностного, промежуточного слоев. |
| Эндоцервикс | Клетки железистого (цилиндрического) эпителия. |
| Зона трансформации | Клетки плоского эпителия, единичные клетки или мелкие скопления метаплазированного плоского эпителия, небольшие скопления железистого эпителия. |
Атрофический тип мазка — что это значит?
У женщин в переменопаузе и менопаузе за счет снижения общего уровня эстрогенов замедляются многие метаболические процессы, что приводит в результате к атрофии плоского эпителия. Эти изменения можно увидеть в цитограмме.
Атрофический тип мазка относится к варианту нормальной цитограммы. Часто можно встретить в заключении фразу «цитограмма соответствует возрасту» или «возрастные изменения nilm«.
Все это — варианты нормы!
Нужно понимать, что у женщин в менопаузе очень часты ложноположительные результаты цитограммы — тот случай, когда цитологу сложно отличить атрофичный плоский эпителий от дисплазии.
Это нужно понимать, поскольку при последующей биопсии шейки матки патологии обычно не находят.
Кроме того у пожилых женщин может быть склонность к кератинизации эпителия с формированием гиперкератоза (лейкоплакии).
| Цитограмма без особенностей (NILM) у женщин в пере- и менопаузе (атрофический тип мазка) | |
| Экзоцервикс | Хорошо сохранившиеся клетки плоского эпителия, преимущественно парабазального и базального слоев. Чаще бывают мазки атрофического типа, но могут быть и пролиферативного или смешанного типов. |
| Эндоцервикс | Отсутствие клеток цилиндрического (железистого) эпителия не является показателем плохого качества мазка, поскольку в этот период зона трансформации смещается глубоко в канал и для получения железистого эпителия щеточку нужно вводить на глубину более 2-2,5 см. |
| Зона трансформации | Клетки плоского, метаплазированного эпителия. |
Слизистая шейки матки в менопаузе истончена, легко травмируется и подкравливает, что является следствием снижения эстрогенов.
Терминология
Мазок на цитологию- норма
Дискариоз и дискариоциты — аномальные клетки с гиперхромными (плотными и темными) ядрами и нерегулярным ядерным хроматином. За дискариозом последует развитие злокачественного новообразования. Используется как синоним дисплазии, но как более общий термин.
Атипия — любое отличие структуры клетки от нормы. Смысл зачастую зависит от контекста. Но чаще все же используется для описания предопухолевых и опухолевых изменений.
Воспалительная атипия — сочетание дегенеративных, реактивных, пролиферативных изменений клеток при воспалении. Эти изменения могут стать причиной ложно-положительного диагноза дисплазии или рака.
Дисплазия — процесс нарушения созревания плоского эпителия. Является истинным предопухолевым процессом. Имеет 3 степени. К первой обычно относят вирусное поражение, ко второй и третьей — поражение с опухолевым потенциалом.

Дисплазия эпителия тяжелой степени
ASCUS — атипичные клетки, которые трудно дифференцировать с реактивной атипией и собственно предопухолевым процессом. Атипия неясного значения.
Дискератоз — нарушение кератинизации отдельных клеток плоского эпителия. Является признаком ВПЧ.
Паракератоз — нарушение кератинизации эпителиального пласта. Поверхностные клетки плоского эпителия всегда имеют некоторую степень кератинизации — это защитный механизм. Паракератоз может наблюдаться в норме, при раздражении слизистой любой причины, или при ВПЧ-поражении.
Койлоцитоз (койлоцитарная атипия, койлоцит) — специфические изменения ядер, характерные для вируса папилломы человека.
Койлоциты, многоядерная клетка
Гиперкератоз (лейкоплакия) — выраженная кератинизация эпителиального пласта с появлением защитного бесструктурного слоя из кератогиалина. Это нормальный процесс для кожи, но в слизистых оболочках считается патологией. Наблюдается при ВПЧ-инфекции, а также при раздражении слизистой, особенно при опущении органов малого таза, выпадении матки.
Плоскоклеточная метаплазия — защитный механизм, физиологический процесс замещения нежного железистого эпителия более устойчивым плоским эпителием. Метаплазированный эпителий часто становится источником дисплазии и рака, так как легко поражается вирусом папилломы человека.
Железистая гиперплазия — пролиферация, активный рост железистого эпителия. Является реактивным процессом при воспалении, эрозии шейки матки. Часто встречается при использовании гормональных препаратов.
Классификация Bethesda (США) — расшифровка цитограммы
| Оценка качества мазка | |
| Материал полноценный | Содержит клетки плоского и цилиндрического эпителия в достаточном количестве. |
| Неудовлетворительный для оценки (неинформативный) материал | Скудное количество клеток или их отсутствие. |
| Цитограмма в пределах нормы (NILM) | Содержит клетки поверхностного и промежуточного слоев многослойного плоского эпителия, клетки метаплазированного эпителия, лейкоциты, клетки цилиндрического эпителия, клетки эпителия эндометрия. |
| Метаплазия (норма) | Клетки плоского метаплазированного эпителия свидетельствуют о том, что материал забран из зоны трансформации. |
| Реактивные изменения | |
| Цитограмма воспаления | Дегенеративные и реактивные изменения клеток, воспалительная атипия, плоскоклеточная метаплазия, гиперкератоз, паракератоз, койлоцитоз и другие признаки вирусного поражения. |
| Атрофия | Клетки базального и парабазального типов -мелкие клетки с гиперхромным ядром и скудной цитоплазмой. Часто могут ошибочно трактоваться как клетки с атипией, давая ложноположительный результат цитологии. |
| Патологические изменения эпителия | |
| ASCUS (atypical squmous cells of undetermined significance) | Изменения, которые трудно дифференцировать между реактивными изменениями эпителия и дисплазией. При ASCUS определяются клетки, трактовка которых затруднена — клетки с дискариозом, укрупненными и гиперхромными ядрами. Рекомендуется динамическое наблюдение и дообследование, а именно повторное цитологическое исследование через 6 месяцев и ВПЧ-тестирование. В случае подтверждении ASCUS и наличии вируса папилломы человека высокого онкогенного риска — проводится кольпоскопия. Исследования показывают, что 20% женщин с ASC имеют дисплазию после более тщательного обследования. |
| Предопухолевые изменения | |
| LSIL (CIN I) | Слабовыраженное интраэпителиальное поражение, включающее папилломавирусную инфекцию. Рекомендуется наблюдение без активной терапии. У большинства женщин LSIL самостоятельно регрессирует в течение нескольких лет. В эту группу объеденены все изменения с низким злокачественным потенциалом, поскольку цитолог зачастую не может отличить изменения при ВПЧ инфекции и собственно CIN 1. |
| HSIL (CIN I-II) | Умеренно выраженное и тяжелое интраэпителиальное поражение. Рекомендуется удаление всех пораженных тканей методом (конизация) с последующим морфологическим исследованием. В эту группу объеденены все изменения с высоким злокачественным потенциалом. |
| AGC (atypical glandular cells) | Атипические клетки цилиндрического эпителия. Рекомендуется выскабливание цервикального канала для гистологического исследования. |
| Опухолевые изменения | |
| Плоскоклеточный рак | Злокачественная опухоль из плоского эпителия. |
| Железистый рак | Злокачественная опухоль из железистого эпителия эндоцервикального типа. |
| Эндометриальный рак | Злокачественная опухоль, развивающаяся из слизистой оболочки матки и прорастающая в цервикальный канал. |
Классификация цитологических изменений по Папаниколау несколько проще, чем Bethesda. Однако, посыл остается тем же. Имеется раздел доброкачественных реактивных изменений, которые не угрожают здоровью, класс предопухолевой патологии и собственно рак шейки матки. Каждый класс выделен на основании прогноза, риска злокачественной трансформации и необходимого медицинского вмешательства.
| Классификация цитологических изменений по Папаниколау | |
| I класс | норма |
| II класс | доброкачественная атипия (реактивные изменения) |
| III класс | дисплазия (предопухолевые изменения) |
| IV класс | cancer in situ |
| V класс | инвазивный плоскоклеточный рак |
Расшифровка результатов цитологии при предраковых патологиях | Университетская клиника
Расшифровка результатов цитологии
Предраковыми патологиями шейки матки считаются заболевания, приводящие к развитию злокачественных опухолей. Существует несколько таких болезней, каждую из которых отличают особенности цитологических мазков.
Осмотрев под микроскопом окрашенный материал, взятый с поверхности шейки и проходящего в ней цервикального канала, врач по внешнему виду и расположению клеток может определить, какое заболевание имеется у женщины. Все данные вносятся в бланк. Расшифровку анализа проводит врач онколог-гинеколог.
Чем предраковые клетки, обнаруженные при цитологии шейки матки, отличаются от здоровых и злокачественных
Эти клетки отличаются от здоровых размерами, строением, наличием различных включений. Они не имеют столь разительных отличий, как злокачественные, но и здоровыми их назвать нельзя. То есть предрак – это переходное состояние между нормой и онкологией.
https://youtube.com/watch?v=EFQei7KzmJA
Существуют также клетки с атипией неясного значения, обозначаемые в результатах анализа ASC-US, ASC-H, AGC. AGUS-NOS. Хотя они имеют патологические изменения – увеличенные ядра и другие аномалии строения, это отклонения не столь явные, чтобы отнести их к предраку или раку. Например, такие клеточные элементы могут появляться при воспалении, а потом исчезать после проведенного лечения.
Со временем, при отсутствии лечения, предраковое состояние утяжеляется. По мере проникновения патологического очага внутрь тканей, клетки все больше напоминают раковые. В результате предрак переходит в злокачественную опухоль шейки матки.
Перерождение здоровых клеток в предраковые, а затем – в злокачественные, происходит постепенно, поэтому обнаружить границу между этими состояниями может только опытный врач-цитолог.
Осмотр материала под микроскопом
Как выглядят предраковые клетки при проведении цитологии шейки матки. Расшифровка и интерпретация терминов, встречающихся в результатах исследования
Клетки, обнаруженные в мазках при предраке, отличаются от здоровых. У них наблюдаются:
- Атипия – несоответствие размера, формы и других показателей норме. Клетки могут быть слишком большими или маленькими, с неправильным строением или несвойственными включениями. При окраске образца, их жидкая часть – цитоплазма часто имеет неравномерную окраску.
- Дискариоз – аномалии ядра – центральной части клетки, служащей для хранения генетической информации. При дискариозе ядра могут быть увеличенными, уменьшенными, иметь неправильную форму и контуры, утолщенную наружную оболочку – мембрану.
- Проявления койлоцитоза – в мазке обнаруживаются клетки-койлоциты, присутствие которых указывает на инфицирование папилломавирусом. Они крупные с увеличенными деформированными ядрами и неправильным строением. Из-за большого размера ядер жидкая часть клетки – цитоплазма сохраняется только по краю, образуя тонкий ободок-– гало.
- Кератоз – ороговение клеток. Шейка матки не имеет рогового слоя, оставаясь мягкой, поэтому такие клетки в норме в мазке не обнаруживаются. Степень ороговения может быть разной: слабой – паракератоз, более выраженной – гиперкератоз и значительной – акантоз. Ороговевшие клетки содержат сморщенные, деформированные, неправильно развитые ядра и измененную жидкую клеточную часть – цитоплазму. При выраженном ороговении в них обнаруживается прочный белок кератин, поэтому при кератозе в мазках обнаруживают блестящие плотные роговые клетки.
- Атипичный митоз (неправильное деление). Единичные делящиеся клеточные элементы в образце – норма, особенно если деление происходит правильно. Нарушение этого процесса характерно для предрака и рака.
Мелкие клетки с резким дискариозом
Результаты цитологии при различных предраковых состояниях
| Предраковая патология | Характеристика | Цитологическая картина |
| Дисплазия | Патологическое состояние шейки матки, вызванное инфицированием папилломавирусом. Возбудитель попадает в эпителии шейки, влияет на процесс формирования и развития клеток, приводя к появлению неправильно развитых клеточных структур | Слабая степень (CINI). На этой стадии болезни поражается только верхний слой эпителия (1/3), поэтому в мазке обнаруживаются неправильно развитые клетки, принадлежащие к наружному слою шейки |
В мазках обнаруживаются клетки с признаками койлоцитоза, появившиеся из-за инфицирования папиломавирусом.
Обнаруживаются клетки с дискариозом, у которых ядра увеличены, имеют неправильные контуры и окраску.
Видны другие клетки, отличающиеся строением и окраской, но количество неправильно развитых клеточных элементов невелико
Отличительная черта таких клеток – большой размер и нарушение пропорций между размерами ядра и жидкой части – цитоплазмы.
Количество атипичных клеток значительно выше, чем при легкой степени
Наблюдаются неправильно делящиеся клетки (атипичный митоз)
В образцах много лейкоцитов за счёт постоянного вялотекущего воспалительного процесса, а ранимость шейки приводит к появлению примесей крови

По мере утяжеления предрака клетки все больше напоминают злокачественные. Они сбиваются в комплексы, напоминающие сгустки, пчелиные соты, розетки, наслаиваются друг на друга, образуя пласты.
Соотношение классификаций по стадиям развития предраковых состояний шейки матки
В документе, выдаваемом по результатам цитологии, врач-цитолог перечисляет клеточные структуры, обнаруженные в мазке. Это позволит гинекологу-онкологу после расшифровки результатов анализа поставить правильный диагноз.
При обнаружении в анализах на цитологию клеток, характерных для дисплазии, указывается степень предрака:
- Лёгкая (LSIL) – результат, соответствующий первой стадии болезни (CINI)
- Тяжёлая (HSIL) – вторая-третья стадия болезни (CINII-CINIII)
Самостоятельно расшифровать такое заключение крайне сложно – документ содержит термины, для понимания которых нужны знания в области цитологии, гинекологии и анатомии. Поэтому для расшифровки и интерпретации анализов нужно обращаться к гинекологу-онкологу. Специалист объяснит результаты анализа на цитологию, а, при необходимости, назначит дополнительное обследование и лечение.
ссылкой:
Что такое атрофический тип мазка в гинекологии?
Атрофический тип мазка, как и другие мазки, считается цитологическим исследованием шейки матки, дающим предельно точные результаты, касающиеся диагностики рака и предракового состояния мочеполовой системы женщины. Своевременная и регулярная сдача мазков на цитологию снижает вероятность развития раковых заболеваний в несколько раз.
Основной целью данных анализов считается выявление самых ранних форм раковых заболеваний и лечение их на начальных стадиях.
Что такое атрофический тип мазка в гинекологии
Мазок на цитологию является одним из самых важных гинекологических исследований. Для гинеколога это самый простой и надежный способ узнать, в каком состоянии находится шейка матки.
Атрофический тип мазка – это хороший и надежный способ узнать количественное соотношение стандартных и парабазальных клеток. Данный анализ дает возможность получить четкую картину состояния шейки матки, а также узнать количество гормонов в яичниках.
Зачем применяется данный мазок в гинекологии
Атрофический тип мазка (что это значит, вы можете прочитать в данной статье) считается самым надежным методом сдачи гинекологических анализов на цитологию. Данный метод считается очень простым и доступным для всех слоев женского населения. С его помощью можно определить, в каком же состоянии находится шейка матки, и принять последующие лечебные или предупреждающие действия.
Атрофический тип мазка на цитологию имеет главную цель – выявить неестественные и чужеродные клетки, находящиеся в женском организме. Обычно при нормальном, здоровом состоянии женщины такие клетки отсутствуют. Очень часто именно такие чужеродные клетки и являются началом появления злокачественных образований.
Если гинеколог вам сообщит, что результат анализа является неудовлетворительным, ни в коем случае не затягивайте с лечением.
При наличии отклонений любого типа сразу же пройдите дополнительные медицинские исследования, которые помогут установить всю картину. Чаще всего такие обследования помогают обнаружить рак на ранних стадиях.
Чем раньше вы начнете лечение, тем больше шансов, что оно окажется успешным.
Что такое атрофия
Прежде чем разбираться с самим заболеванием, следует понять, что же такое атрофия. В гинекологии данное понятие обозначает преобладание в организме парабазальных клеток. В это же время количество обычных клеток значительно уменьшается. Чаще всего в мазке будет найдено большое количество лейкоцитов, а объем дедерлейновских палочек оказывается максимально низким.
https://youtube.com/watch?v=MyAkboNC2Eo
У некоторых женщин в идеале одинаковое количество данных клеток может наблюдаться только в период менопаузы. Длится такое состояние не более пяти лет. В это время количество эстрогенов в женском организме значительно понижается, но на микрофлору это не влияет, и она может находиться в идеальном состоянии.
Атрофический тип мазка шейки матки начинает развиваться из-за дефицита женских гормонов эстрогенов. При этом стоит обратить внимание на то, что существует несколько типов клеток, содержащихся в шейке матки:
— базальные;
— промежуточные;
— парабазальные;
— верхний ороговевший слой.
При этом каждая клетка относится к своему слою ткани. Например, поверхностные ороговевающие клетки считаются самым верхним слоем влагалищного эпителия. Перед ними идут несколько промежуточных слоев эпителиальных клеток.
Самый нижний слой эпителиальной ткани составляют базальные клетки, которые со временем начинают преобразовываться в другие клетки, находящиеся в промежуточных слоях.
За процесс преобразования клеток отвечают женские гормоны эстрогены. Если в организме женщины этих гормонов недостаточно, то процесс преобразования клеток начинает нарушаться, из-за чего и появляются основные проблемы.
Чаще всего атрофический тип мазка на цитологию встречается у более зрелых женщин как результат снижения гормонального фона.
Данные процессы происходят как следствие снижения работоспособности женских половых органов. Не исключение, что в зрелом возрасте этот мазок может даже считаться абсолютно нормальным.
В более молодом возрасте проблемы возникают из-за неправильной работы мочеполовой системы и проблем с гормональным фоном.
Особенности лечения
Если в результате сдачи анализа наблюдается атрофический тип мазка, то заранее отчаиваться точно не стоит. Это не дает стопроцентную гарантию, что вы подвержены онкологическим заболеваниям. Чаще всего такой мазок делается для общего контроля за женской мочеполовой системой. Поэтому, даже если вы услышали, что у вас атрофический тип мазка, это не является основным показателем онкологии.
Довольно часто женщины подвержены такому заболеванию, как атрофический кольпит. Он не очень опасен для женского здоровья, но тем не менее нуждается в незамедлительном лечении.
Чаще всего с данным заболеванием отлично справляется гормональная терапия. Для этого используются специальные свечи или мази, которые вводятся во влагалище на протяжении двух недель. Кроме этого применяются таблетки или пластыри. Для наилучшего результата такая терапия практикуется на протяжении шести-семи лет. Многие врачи рекомендуют употреблять в пищу продукты, богатые фитоэстрогенами.
Атрофический тип мазка, шейка матки при котором находится в поврежденном состоянии, можно вылечить только в том случае, если будут использованы комплексные методы. Сюда можно отнести лекарственные препараты, назначенные лечащим врачом, а также употребление специальных продуктов.
Атрофический тип мазка, лечение которого следует начинать незамедлительно, чаще всего проявляется как атрофический вагинит. Данное заболевание связано с неправильным гормональным фоном женщины и с недостаточным количеством выделяемого гормона эстрогена. Очень часто вагинит может быть вызван и менопаузой, которая бывает как естественной, так и искусственной.
При естественной менопаузе количество гормонов является нормальной реакцией женского организма на возраст. При случаях искусственной менопаузы недостаточное количество гормонов – это следствие нарушения их выработки яичниками. Эту проблему можно достаточно просто решить с помощью специальных методов.
Что означает атрофический тип мазка, сможет определить только ваш лечащий врач. Если ваш диагноз — «атрофический вагинит», то расстраиваться точно не стоит. Лечится он очень простыми и доступными методами. Кстати, предвестником такого заболевания являются симптомы:
— зуд и жжение во внутренних и внешних половых органах;
— высокая сухость влагалища;
— очень частые походы в туалет. При этом количество выделяемой жидкости не изменяется;
— кровянистые выделения из влагалища непонятного характера;
— выпадение волос на лобке и половых губах;
— частые кровотечения влагалища даже при самых незначительных его повреждениях.
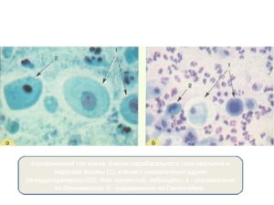
Атрофический тип мазка: паракератоз
Диагностировать данное заболевание может только гинеколог после обследования. Для эффективного лечения данного заболевания рекомендуется восстановить гормональный фон.
Специалист сам подберет препараты, исходя из ваших анализов. При этом гормон эстроген может поступать в женский организм с помощью таблеток, свечей, пластырей или мазей.
Также рекомендуется принимать витамины и повысить тонус влагалища с помощью специальных упражнений.

Паракератоз – это заболевание шейки матки, а именно ороговение ее слизистого слоя. Такое явление чаще всего связано с травмирующими факторами. Сюда можно отнести медицинское вмешательство, а также образование инфекций. Не исключен и вирус папилломы человека.
Для лечения данного заболевания проводится выскабливание слизистой оболочки шейки матки и ее дальнейшее изучение с целью определения наличия чужеродных клеток. Очень часто используется лазерное прижигание поврежденных участков. Ни в коем случае нельзя лечить это заболевание народными методами.
Как выглядит мазок
Глядя на мазок невооружённым глазом, невозможно понять, что с ним что-то не так. Ведь внешне он ничем не будет отличаться от мазка молодой здоровой женщины.
Поэтому цитологическое исследование (атрофический тип мазка) можно провести только с помощью современного микроскопа.
Женщинам стоит обратить внимание на то, что делать это нужно каждые полгода для сохранения своего здоровья и долголетия.
Атрофический тип мазка (что это значит, можно прочитать в данной статье) имеет вид парабазальных клеток, которые и составляют основную часть общей клеточной массы. Дефицит эстрогенов приводит к тому, что эпителиальная ткань во влагалище не переходит в другие типы тканей, а это и является основной проблемой.
Также ученые заметили, что чем более прогрессирующая атрофия, тем больше увеличивается ядро у парабазальных клеток. Самые глубокие атрофические стадии позволяют заметить, что ядро становится настолько большим, что способно вытеснить все другие жизненно важные элементы клетки. Несмотря на то что ядро значительно увеличивается, сама клетка сохраняет прежние размеры.
Продукты, содержащие эстрогены
Эстрогены – это женские гормоны, отвечающие за правильную и слаженную работу женской мочеполовой системы. Если в организме данных элементов недостаточно, то на помощь могут прийти не только лекарственные препараты, но и продукты питания.
Эстрогены очень важны для женского здоровья в общем. Они отвечают за красоту и общее состояние женщины. Поэтому, если своих гормонов недостаточно, стоит принять во внимание фитоэстрогены.
Ученые доказали, что самое большое их количество содержится в пиве. Но злоупотреблять этим продуктом точно не стоит. Кроме этого, содержится большое количество эстрогенов и в других продуктах питания растительного происхождения, на которые стоит обратить внимание в первую очередь.
Очень большое количество столь необходимого женского гормона содержится в бобовых продуктах. Особенно в сое. Но ей не уступают также горох, красная фасоль и другие бобы.
Обратите внимание на семена льна, которые кроме гормонов содержат также большое количество и других полезных веществ. В современной медицине именно вытяжку из них используют как заменитель природных женских гормонов.
Очень много эстрогенов и в зерновых культурах. Особенно в пшенице. Для женщины самым оптимальным завтраком будет считаться каша, особенно с отрубями.
Не стоит игнорировать и молочную продукцию. Так как корова, дающая молоко, кушает много травы, богатой эстрогенами, то и молоко будет содержать большое количество женских гормонов.
Однако не забывайте о том, что во всем нужна мера. Перед началом приема гормонов растительного происхождения обязательно проконсультируйся с врачом. Ведь их переизбыток может привести ко многим заболеваниям, одним из которых является рак молочных желез.
Мазок на цитологию
Для того чтобы определить состояние мочеполовой системы в гинекологии, принято делать мазок на цитологию.
Данная процедура позволяет узнать о состоянии слизистой оболочки шейки матки, а также обратить внимание на наличие всевозможных патологий. Мазок на цитологию позволяет тщательно изучить клетки эпителия.
Данный метод является самым точным и достоверным для определения состава эпителия, ведь под микроскопом будут заметны даже малейшие его изменения.
Чаще всего цитологические исследования проводятся для того, чтобы изучить всевозможные изменения в шейке матки, а также в слизистой влагалища. При проведении данного исследования могут быть замечены несколько типов мазков:
— воспалительный:
— эстрогенный;
— андрогинный;
— регрессивный или атрофический тип мазка (как лечить вызывающие его патологии, вы теперь знаете);
— смешанный;
— прогестероновый.
https://youtube.com/watch?v=ABATnEsdzZ8
Каждый из данных типов мазков имеет свои существенные признаки, которые выражаются в преобладании одних клеток над другими. Если говорить о мазке атрофического типа, то в этом случае в эпителии в значительной степени преобладают парабазальные клетки. Они будут иметь очень крупные ядра. При этом размер самой клетки остается незначительным.
Определение состояния шейки матки
Женская мочеполовая система отлично работать может только в том случае, если яичники вырабатывают достаточное количество гормонов – эстрогенов. В случае их дефицита состояние шейки матки может изменяться не в лучшую сторону.
Вместе с этим происходят изменения и в экосистеме влагалища. Начинают активно прогрессировать дисбиотические процессы, а также происходит ощелачивание слизистых оболочек.
При этом значительно увеличивается содержание бактерий и инфекций в женских половых органах.
Верхний слой шейки матки – это эпителиальная ткань, под которой находятся субэпителиальные стромы. Они могут с легкостью начинать кровоточить даже при малейших повреждениях.
Если в ходе обследования у женщины бы обнаружен атрофический тип мазка, то пациентке нужно срочно пройти и другие типы обследований. Чем раньше это будет сделано, тем быстрее и проще будет протекать процесс лечения.
Симптомы рака шейки матки
Для того чтобы сохранить женское здоровье на долгие годы, следует регулярно проходить гинекологические осмотры. Ведь намного проще предупредить заболевание, чем его лечить. Атрофический тип мазка с лейкоцитарной реакцией и другие недуги шейки матки – это проблемы, которые требуют незамедлительного решения.
Рак шейки матки представляет собой злокачественную опухоль, которая развивается, соответственно, в области самой шейки матки. Чаще всего данный недуг замечается у женщин после тридцати пяти лет. Но данному заболеванию также подвержены и более молодые женщины.
Чаще всего рак шейки матки характеризуется такими симптомами:
— частые кровотечения после полового акта, между менструациями, после спринцевания, а также во время и после гинекологического осмотра;
— может изменяться менструальный цикл, а также удлиняться период кровотечений;
— выделения из влагалища приобретают постоянный кровавый оттенок;
— количество белей может увеличиться в несколько раз;
— последние раковые стадии шейки матки могут характеризоваться появлением очень неприятного запаха, а также выделением густых сгустков;
— половой акт сопровождается сильными болевыми ощущениями;
— очень частые боли внизу спины и живота;
— может наблюдаться общее недомогание всего организма.
Чтобы не подвергать себя столь опасному заболеванию, стоит раз в полгода посещать гинеколога и сдавать соответствующие анализы.
Не стоит заниматься сексом в очень юном возрасте, так как эпителиальная ткань шейки матки еще не до конца сформировалась. Следите за своим питанием и ведите правильный образ жизни.
Старайтесь не пользоваться оральными методами контрацепции, ведь они влияют на гормональный фон организма.



