Остатки плодного яйца после медикаментозного прерывания беременности: симптомы неполного аборта
Аборт является единственным средством прерывания нежелательной беременности или спасения жизни пациентки, если удалить плод нужно по медицинским показаниям.
Иногда после процедуры женщина чувствует недомогание, слабость и боли – все эти состояния могут быть признаками незавершенного аборта, при котором в матке остаются частицы плодного яйца.
Насколько опасен неполный аборт и какие методы лечения применяются?
Что такое неполный аборт?
Абортом называется спонтанное или искусственное прерывание беременности на сроке менее 22 недель. При неполном аборте плодное яйцо погибает, отслаивается от стенки матки, но полностью или частично остается в ее полости. Выделяют три вида неполного аборта:
- Неполное медикаментозное прерывание беременности. Осложнение, возникающее на фоне приема гормональных таблеток с целью провоцирования выкидыша. Такая патология встречается в 2-5% случаев.
- Неполный аборт при вакуум-аспирации. Процедура выполняется до 6 недели беременности с использованием вакуумного аппарата, «высасывающего» эмбрион с околоплодными оболочками из матки. Частички зародыша остаются в органе крайне редко, врачи считают данный метод абортирования наиболее безопасным.
- Неполный аборт при выскабливании. Если беременность нужно прервать на сроке больше 6 недель, требуется хирургическое вмешательство. Процедура выполняется под наркозом, врач удаляет верхний слой эндометрия вместе с плодными оболочками. Осложнения после данного метода встречаются крайне часто.
Остатки плодного яйца могут сохраниться в матке и при самопроизвольном прерывании беременности, которое случается по разным причинам и заканчивается выходом эмбриона или родами нежизнеспособного плода.
При отслойке плаценты начинается сильное кровотечение, с помощью которого организм пытается избавиться от погибшего плода.
Матка в некоторых случаях самоочищается, но чаще всего женщине требуется выскабливание.
По каким причинам он происходит?
Обычно полному отторжению остатков эмбриона и плодных оболочек мешают особенности строения матки, неполное раскрытие ее шейки или наличие связи плода со стенками органа. Основными причинами неполного аборта являются:
- ошибка врача при выполнении процедуры;
- отсутствие контроля УЗИ до или после хирургического вмешательства;
- гормональные нарушения, ухудшающие сокращение матки и изгнание эмбриона;
- наследственный фактор;
- воспаление;
- аборты или диагностическое выскабливание в анамнезе;
- гипоплазия матки;
- хронический эндометрит;
- выполнение процедуры на поздних сроках;
- злоупотребление пациенткой спиртными напитками и прием наркотиков.
В группу риска по возможности возникновения такого осложнения, как неполный аборт, входят женщины с поликистозом яичников, сахарным диабетом, болезнями надпочечников и ожирением. Если в матке сохранились частицы эмбриона, может произойти заражение, что потребует дополнительной хирургической чистки органа. Осложнения при отсутствии лечения могут привести к бесплодию, сепсису и даже смерти.
Симптомы неполного аборта
После самопроизвольного или искусственного аборта у женщины сразу исчезают все признаки беременности. Если была проведена хирургическая операция и эмбриональные ткани удалили не полностью, симптомы незавершенного аборта проявятся уже через несколько часов. При медикаментозном неполном аборте женщина почувствует недомогание спустя 1-2 недели. Признаки патологии:
- спазмы или тянущие боли внизу живота, иррадиирующие в поясницу;
- боль при прощупывании живота;
- кровотечение из влагалища; в крови возможно присутствие фрагментов плода;
- интоксикация;
- повышение температуры.
Части зародыша и плодных оболочек постепенно разлагаются, приводя к нарушению микрофлоры внутренних половых органов. При отсутствии лечения присоединяется инфекция, о которой свидетельствует появление ярко выраженных симптомов:
- боль в промежности;
- зуд гениталий;
- серозные выделения с гнилостным запахом;
- увеличение температуры до 38°С и выше;
- слабость в суставах;
- головокружения и обмороки.
При появлении первых симптомов, вызывающих опасение, женщина должна обратиться в больницу. Основными методами диагностики состояния являются гинекологический осмотр и УЗИ.
Методы лечения
Если после медикаментозного, вакуумного или другого вида аборта в матке были обнаружены эмбриональные ткани, потребуется хирургическая чистка ее полости.
Во время проведения процедуры пациентке внутривенно вводят антибиотики и растворы для устранения интоксикации.
Использовать медикаменты для искусственного провоцирования схваток малоэффективно – частицы плода могут выйти не полностью, к тому же это вызывает сильные боли.

Остатки сохранившегося плодного яйца удаляют при помощи выскабливания, как при классическом аборте. Для остановки кровотечения пациентке делают инфузии Окситоцина в комбинации с раствором Рингера или натрия хлорида. При значительной потере крови назначаются гемостатики. Для дальнейшего лечения используются:
- жаропонижающие медикаменты (Ибупрофен);
- обезболивающие средства (Но-шпа);
- антибиотики (Цефтриаксон, который колют внутримышечно 7 – 10 дней);
- противогрибковые лекарства;
- препараты железа;
- анти-Rh0(D)-иммуноглобулин (при отрицательном резус-факторе у женщины);
- пробиотики.
При нормальном состоянии пациентки гинеколог проводит контрольный осмотр через 2 недели. На это время женщина должна отказаться от интимных контактов, использования тампонов и свечей. Для нормализации гормонального фона и работы репродуктивной системы специалист назначит оральные контрацептивы, которые нужно пить в течение 4-6 месяцев.
Когда и как после аборта делают УЗИ: сроки, виды, подготовка и алгоритм проведения
УЗИ после аборта – обязательное исследование для подтверждения факта отсутствия беременности. Это медицинское вмешательство, требующее соблюдения стандартов диагностики и лечения. Помимо этого, врач оценивает состояние здоровья женщины. При наличии патологий пациентка получит своевременное лечение.
Зачем проводят исследование до прерывания беременности
Факт беременности гинеколог оценивает по нескольким показателям:
- анализу крови на ХГЧ;
- физикальному осмотру;
- ультразвуковому обследованию.
Пока на УЗИ гинеколог не диагностирует наличие плода, диагноз «беременность» не может быть поставлен.
С помощью этого метода врач определяет:
- расположение плода (матка, маточные трубы, брюшная полость);
- размер плода;
- срок беременности.
Последний показатель играет решающую роль в выборе метода прерывания беременности.
При сроке до 6 недель возможно проведение медикаментозного аборта с помощью таблетированных препаратов. Их действие направлено на повышение тонуса матки. По симптомам похоже на менструальные выделения. Метод считается щадящим, восстановление цикла происходит практически сразу.
На сроке до 10 недель проводят вакуумный аборт. При помощи специального насоса плодное яйцо отделяют от стенки матки. Женщина при этом может находиться в сознании, достаточно местного обезболивания. Из минусов метода – чем выше срок, тем больше вероятность того, что плод будет удален из матки не полностью. А это грозит воспалением, маточным кровотечением и может привести к гибели.
Инструментальные аборты делают до 21 недели. Метод предполагает повреждение эндометрия, требует наркоза и периода восстановления.
УЗИ перед абортом – это метод диагностики, с помощью которого врач подбирает подходящий способ прерывания беременности.
По теме видеообзор от доктора медицинских наук:
Почему надо проходить ультразвуковое обследование после аборта
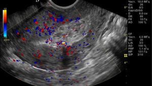
Оценка органов малого таза у женщины после прерывания – обязательная диагностическая процедура. Ультразвуковой метод позволяет определить патологии матки, яичников, маточных труб, эндометрия.
Осложнения, которые возникают после аборта, можно диагностировать с помощью УЗИ:
- перфорация матки;
- остатки плодного яйца в полости после аспирации;
- скопление крови в полости матки;
- маточное кровотечение;
- полипы.
Своевременное лечение пациентки существенно влияет на качество ее жизни в будущем. Оно позволяет избежать не только воспалительных заболеваний, но и сохранить детородную функцию.
Когда выполняется ультразвуковое исследование
Врач, который проводил вам процедуру прерывания, должен сказать, когда делать УЗИ. Сроки будут зависеть от выбранного метода и самочувствия обследуемой.

Первое обследование после медикаментозного прерывания беременности необходимо пройти на вторые сутки. Доктор оценит состояние матки, процесс отторжения плодного яйца от стенки. В случае положительной динамики женщину пригласят на контрольное УЗИ через 2 недели.
При наличии жалоб на общее самочувствие после медикаментозного аборта рекомендуется провести ультразвуковое обследование внепланово.
После вакуумного прерывания первое исследование желательно сделать на 3–4-й день. Если сама процедура проводилась под контролем УЗИ, достаточно повторно пройти обследование через 2 недели после вакуума.
После инструментального прерывания УЗИ делают на 5–7-й день. При отсутствии патологии на этих сроках повторную диагностику назначают через две недели.
УЗИ надо делать срочно, если у пациентки:
- обильное кровотечение;
- сильные боли внизу живота;
- рвота после приема таблеток.
При необходимости доктором будет принято решение об экстренной госпитализации.
К просмотру видео о том, когда и зачем проводить процедуру:
Подготовка и проведение обследования
УЗИ органов малого таза после аборта проводят несколькими способами:
- трансабдоминально (датчиком по области нижней части живота);
- трансвагинально (вагинальным датчиком).
Трансвагинальное исследование наиболее информативно, практически не требует подготовки. Обычный гигиенический душ, свежее белье – этого достаточно для процедуры. Пациентка ложится на спину на кушетку, доктор надевает на датчик специальный медицинский презерватив и вводит его во влагалище. Диагноз ставится на основании изображения, полученного на мониторе.
К трансабдоминальному УЗИ надо подготовиться:
- Соблюдение диеты: отказ от газообразующих продуктов и жирной пищи.
- За час-полтора до процедуры выпить около одного литра негазированной воды и не ходить в туалет.
Эти рекомендации необходимо соблюдать, для того чтобы специалист корректно оценил изображение на мониторе, ничего ему не мешало.
Какое УЗИ будут делать пациентке после аборта, решит ее лечащий врач, исходя из состояния женщины.
Что выявляет УЗИ: результаты
Ультразвук оценивает состояние:
- Матки (нормальный размер – 3,5–4 см, грушевидная форма) – увеличенная матка свидетельствует о воспалительном процессе.
- Яичников (наличие кист: на мониторе выглядят как черные круглые полости; изменения в структуре: в норме – однородная структура, при патологии – множественные или одиночные круглые черные полости, увеличенный размер: больше 0,4 см в длину и 0,3 см в ширину) – нарушение гормонального фона, угроза разрыва яичника.
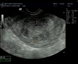
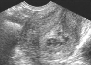
- Эндометрия (его толщину: слой более 26 мм требует оперативного вмешательства; наличие образований, в том числе остатки плодного яйца: на УЗИ – темное круглое образование в толще слоя).
- Миометрия (однородность, отсутствие образований – при патологии на мониторе одиночные и множественные темные пятна).
- Цервикального канала – при инструментальном и вакуумном аборте может быть деформирован, разорван (затемнение рядом с полостью матки со светлыми участками вокруг на мониторе).
После чистки матки вакуумным насосом или инструментами пациентка должна планово наблюдаться у гинеколога до восстановления менструального цикла.
В дополнение смотрите, что выявилось на УЗИ после процедуры:
Спасибо за интерес к нашей статье. Информация по ультразвуковым обследованиям после прерывания беременности очень важна и может спасти жизнь женщине. Поделитесь с друзьями данным материалом.
Неполный аборт: признаки неполного прерывания беременности, лечение, осложнения
Случается, что женщина решает прервать беременность по определенным причинам. Чаще всего прибегают к медикаментозному способу, который проводится самостоятельно на раннем сроке беременности. Этот метод, как и остальные, считается опасным, поскольку возможен неполный аборт.
Что такое неполный аборт
При искусственном прерывании беременности, независимо от вида вмешательства, может возникнуть осложнение. Плодное яйцо частично или полностью остается внутри детородного органа.
Оставшиеся в матке ткани эмбриона из-за разложения провоцируют развитие инфекционных патологий или мясистого заноса (уплотненные сгустки крови). Образование красно-желтого цвета появляется в плодном яйце на месте омертвевшего эмбриона. Оно может быть размещено и в полости матки, и в трубе при внематочной беременности.
Патология возникает после 12 недель беременности, а при фармацевтическом аборте, спустя несколько недель после принятия таблетки.
Влияние на организм
Если плодное яйцо выведено из матки не полностью, а за помощью пациентка обратилась с опозданием, то возможно развитие обильного кровотечения. В некоторых случаях это состояние способно привести к развитию анемии или сепсиса (заражение крови).
При присоединении инфекции потребуется длительное лечение. Не исключено нарушение детородной функции при самопроизвольном аборте.
Причины
Обычно полному отхождению остатков плодного яйца препятствует недостаточное раскрытие шейки матки, наличие связи частей плода либо его оболочек с маточной стенкой.

Непосредственными причинами считаются:
- Ошибка врача. Некачественно проведенный аборт, или медпрепараты для медикаментозного прерывания назначены неправильно.
- Сбой гормонального фона. Медикаментозное прерывание, проведенное после 12 недель беременности.
- Наследственность. Организм беременной не способен полностью справиться с нагрузкой, возложенной на него.
- Воспалительные процессы. При присутствии любой инфекции организм может неправильно отреагировать на медикаментозное прерывание.
- Пищевое отравление. Часть лекарственного средства для прерывания нежелательной беременности будет выведено, если принимались препараты, нейтрализующие токсины.
- Аномалии строения матки. Это препятствие для свободного изгнания плода из органа.
Вероятность выкидыша повышена у женщин с хроническим эндометритом, ранее перенесенными абортами и диагностическим выскабливанием, которое проводится для выявления патологий матки.
Факторы риска
Незавершенный аборт — явление нераспространенное, но одной женщине из ста может не повезти.
Риск существует по ряду причин:
- ошибка гинеколога, имеющего низкую квалификацию;
- гормональный фон, не провоцирующий сокращение матки и выталкивание остатков;
- отсутствие двойного УЗИ (ультразвукового исследования) обычным и вагинальным способом.
Это серьезное осложнение о себе заявляет сразу. При первых признаках нужно обратиться к гинекологу.
Последствия вмешательства:
- повышенная возможность травмирования и инфицирования половых органов;
- большая кровопотеря;
- гнойный сепсис и заражение крови;
- потенциальные проблемы с перенесением анестезии;
- повышенная вероятность несчастного случая из-за возможности обморока и общей слабости.
Повторное выскабливание — также дополнительная нагрузка не только на репродуктивные органы женщины, но и организм в целом.
Симптомы
Признаки неудачного прерывания появляются сразу или через несколько суток. Боли схваткообразного характера и дискомфорт внизу живота женщины считают нормальным состоянием, начинают принимать обезболивающие препараты. Это неправильно.
Необходимо обратить внимание и на другие признаки неполного медикаментозного прерывания беременности:
- обильное кровотечение;
- повышенную температуру тела;
- усиливающуюся болезненность при половом контакте;
- общую слабость, озноб;
- боль отдает в крестец и промежность.
На фоне продолжительного кровотечения, появляется головокружение, учащается пульс, повышается потливость. Фрагменты плаценты или ткани эмбриона при разложении приводят к размножению патогенных бактерий и нарушению микрофлоры.
С течением времени будут заметны более выраженные признаки:
- слабость в суставах;
- раздражительность, нервозность;
- серозные выделения;
- зуд, жжение гениталий;
- резкий и гнилостный запах из влагалища;
- болезненность в области промежности.
Гинеколог выявляет мягкую консистенцию органа при осмотре. Подтверждают развившийся негативный процесс клинические и биохимические анализы мочи и крови, трансвагинальное УЗИ (ультразвуковое исследование).
Диагностика
Только при проведении комплексной диагностики можно определить наличие остатков эмбриона.
Программа диагностики включает:
- измерение давления;
- общий анализ крови и на содержание глюкозы;
- пробы на биосовместимость крови супругов;
- ультразвуковое исследование (УЗИ);
- анализы на ЗППП и гормоны, вырабатываемые щитовидной железой;
- анализы генетические (по назначению врача).
Проводится визуальный осмотр шейки матки и пальпация. Внутренний зев ее будет расширен, плодный остаток в наличии. УЗИ определит его объем и локализацию, а также общее состояние репродуктивных органов. Биохимический анализ крови расскажет о функционировании органов и систем пациентки.
Лечение
При появлении первых признаков незавершенного выкидыша должна быть оказана неотложная помощь.

При интенсивном кровотечении устанавливают венозный катетер большого диаметра для введения раствора медикаментов. Обычно используется Окситоцин. Назначается обезболивающий препарат — Ибупрофен. Повышенная температура тела снижается жаропонижающими медикаментами.
Кроме того, обязательно нужно удалить остатки плода.
Обязательное
Терапия неполного медаборта начинается непосредственного после постановки диагноза.
Выполняется несколькими способами:
- Медикаментозная терапия. Назначаются лекарственные средства, провоцирующие отторжение остатков тканей. Проводится такое лечение, если проблема выявлена на 5-6 день.
- Вакуумная аспирация. Показана, когда после выкидыша прошло более 2-х недель. Остатки плодного яйца отсасываются безболезненно специальным аппаратом. Процедура проводится под анестезией, занимает мало времени.
- Хирургическое выскабливание. Выполняется под местным или общим наркозом течение получаса. Проводятся исследования гормонального фон, назначается антибактериальная терапия.
Дополнительное
В послеоперационном периоде по показаниям используют нестероидные противовоспалительные средства. Если неполный выкидыш или индуцированный (до 20 недель) аборт диагностированы у женщины с отрицательным резус-фактором крови, назначают иммуноглобулин. Это предотвратит возможный самопроизвольный выкидыш при планировании беременности в дальнейшем.
В течение 15 дней после чистки женщина должна отказаться от половых контактов, введения во влагалище тампонов, свечей, а также спринцеваний. Контрольный осмотр будет выполнен через 2 недели.
Психологическая помощь
Женщинам с субдепрессивными и невротическими расстройствами, связанными с неожиданной потерей желанного ребенка, назначают легкие седативные средства, слабые антидепрессанты.
Пациентка должна посещать сеансы психотерапии. Они могут включать беседы, упражнения, обсуждения проблемы. Немедикаментозная коррекция эмоциональных нарушений может быть кратковременной или занимать длительный период.
Возможные осложнения
В большинстве случаев организм самостоятельно стремится освободиться от оставшихся плодных частей. Но нельзя исключать полностью последствия выкидыша, случившегося на поздних сроках.
Среди осложнений встречаются:
- Септический аборт. Инфекционное поражение матки приводит также к сильнейшему воспалению в области малого таза.
- Повторный выкидыш. Возможен при неграмотно организованной терапии во время первой неудавшейся беременности.
Следующая беременность должна наблюдаться более тщательно. При необходимости женщина госпитализируется на сохранение, чтобы исключить повторение трагедии.
Прогноз на выздоровление
Прогноз при раннем выкидыше в большинстве случаев благоприятный. Риск повторного самопроизвольного прерывания беременности возрастает незначительно.
Если не удалось выявить причину раннего выкидыша, повторная беременность проходит благополучно в 65% случаев.
Специфической профилактики не существует. Если есть огромное желание иметь ребенка, то рекомендуется посетить специализированные центры и получить консультация врача-генетика.
Советы врачей
После неудачного вынашивания плода нельзя отчаиваться. Нужно соблюдать четко все рекомендации лечащего врача, причем еще до зачатия. Надо избегать чрезмерных нагрузок на живот, исключить прием алкоголя даже в малых дозах, регулярно посещать врача и своевременно принимать назначенные медикаменты. При правильном подходе радость материнства будет обеспечена.
Если после выкидыша беременность не наступает или прерывания постоянно повторяются, то необходимо обследоваться с целью выявления причины. Иногда провоцирует выкидыш передозировка некоторых витаминов, особенно А и D. Врач должен быть осведомлен о приеме препаратов, содержащих их.
Иногда бывает достаточно сделать прививку от инфекционных болезней (краснуха, ветрянка).
Беременность после неполного аборта
Если аборт завершился без негативных последствий для организма женщины, то планировать следующую беременность можно только после обследования, согласовав сроки с гинекологом. Для полного восстановления организму требуется не менее 6 месяцев.

При пренебрежении рекомендациями врача можно спровоцировать осложнения:
- угрозу прерывания беременности;
- неправильное прикрепление плодного яйца;
- внутриутробную задержку развития плода.
Роды будут сопровождаться бессилием, слабостью, кровотечением. В послеродовой период часто возникают инфекционно-септические осложнения.
В видео рассказывается о признаках и лечении неполного выкидыша.
Узи после аборта и медикаментозного прерывания беременности
В норме любая девушка и женщина мечтает стать мамой. Но жизнь – явление многогранное. И не всегда беременность приносит трепет и радость в дом. Если избежать нежелательной беременности не удалось, медицинская наука предлагает иной выход из ситуации – искусственное прерывание беременности (медаборт). Способы прерывания беременности на ранних сроках сегодняшний день заключаются:
- в применении медицинских препаратов (медикаментозный аборт);
- в проведении вакуумного аборта.
По законодательству РФ медаборт разрешен. Принимая такое важное решение, каждой женщине стоит позаботиться о своем здоровье и минимизировать риски возникновения бесплодия.
Таблетка от беременности
Рекомендуемым на сегодняшний день препаратом для прерывания нежелательной беременности является «Мифегин» в таблетированной форме или его аналоги. Медикаментозное прерывание беременности дает не 100% результат. Если по прошествии часа после приема препарата открывается рвота — скорее всего медикаментозный аборт не удался. И придется воспользоваться другим способом.
Сколько времени должно пройти до начала выделений и когда медикаментозный аборт считается удавшимся? Положительного результата от процедуры медикаментозного прерывания беременности следует ожидать, если после приема таблеток у женщины начались боли спастического характера и кровянистые выделения из влагалища в течение 1,5-5 суток.
Кровянистые выделения и боли спастического характера после приема таблетки говорят о положительном результате
Срок начала выделений
Через 1,5-2 суток часов приема медикаментозных средств для прерывания беременности рекомендуется принять препараты поддержки, после этого обычно начинаются выделения. В течение первых суток-двух происходит аборт. Боль и количество выделений индивидуальны, они зависят от срока. Чем больше срок, тем болезненнее будет протекать процесс медикаментозного аборта.
Опасность медаборта: кровотечение
Именно этот риск невелик (до 3%), но тем не менее он есть. Самый опасный день по возможности развития кровотечения после медикаментозного аборта – это первые сутки с момента приема медикамента.
Чем больше срок беременности – тем выше риск развития осложнений. При появлении обильных выделений с кровянистыми плотными комками (сгустками) из влагалища, нужно проконсультироваться с лечащим врачом.
Возможно, в этом случае будет назначено выскабливание (очищение полости матки) в условиях стационара.
Сроки контрольного УЗИ
После того, как пациентка приняла поддерживающие препараты, через 24-48 часов желательно провести 1-е ультразвуковое обследование. Процедура позволяет определить выход зиготы.
Это нужно сделать, так как болевой синдром и начало выделений не являются гарантий полной успешности медикаментозного аборта.
По истечении 2 недель после приема препарата для контроля успешности процедуры нужно пройти 2-ю диагностическую процедуру.
Контрольное УЗИ позволяет подтвердить успешность проведенного аборта посредством контроля за выходом зиготы
При неудавшемся медаборте
По данным контрольного ультразвукового обследования врач определяет результат применения медикаментозных средств. Если беременность сохранилась, врач может порекомендовать другие методы.
Если прерывание состоялось не в полном объеме (полость матки заполнена сгустками крови) можно решить проблему с помощью ряда консервативных мер под УЗ-контролем.
Если терапия была неуспешна, врач предлагает инструментальные меры (вакуум-аборт или выскабливание).
Начало менструального цикла
Начало цикла (менструальные кровотечения) после аборта, при правильно проведенном медицинском вмешательстве и отсутствии осложнений должно прийтись на обычную дату. Отсчет цикла начинается со дня приема поддерживающих препаратов.
Вакуум-аборт или мини-аборт
Вакуум-аборт на относительно небольшом сроке (до 6 недель) проводят с помощью аспирационного приспособления. Операция проводится под действием местной анестезии. Пациентка находится в сознании, но болевых ощущений не испытывает. В некоторых случаях можно решить вопрос о применении наркоза (общей анестезии).
Перед процедурой рекомендуется пройти обследование у врача гинеколога, который проведет осмотр, назначит УЗ-обследование и возьмет необходимые мазки на инфекции, передающиеся половым путем.
При необходимости могут быть назначены дополнительные анализы. Результаты анализов нужно будет показать врачу, а затем можно делать мини-аборт. Аборт проводится под контролем УЗИ.
После процедуры вакуум-аборта женщине нужно спокойно полежать несколько часов.
Постабортальное состояние
Если после медикаментозного или мини-аборта женщину беспокоят боли в нижней части живота, из влагалища наблюдаются кровавые выделения со сгустками крови, это означает, что беременность была прервана не совсем корректно и остались фрагменты плодного яйца. В этом случае нужно немедленно обратиться за медицинской помощью. Выделения могут появиться не сразу после процедуры, а через 3-4 дня.

После медикаментозного аборта правила поведения для женщины будут аналогичными. Врача-гинеколога нужно посетить через 2 недели после процедуры, а затем этого посещение возвращаются к привычной частоте. Регулярные осмотры позволят предотвратить возможные осложнения, сохранить детородные органы здоровыми и готовыми к вынашиванию потомства.
Что будет после аборта по неделям?
Аборт – это прерывание беременности искусственным способом. В медицине с этой целью используют хирургические и щадящие методы (вакуумная аспирация, медикаментозный аборт).
Однако организм женщины всегда переживает физиологический и психологический стресс после этой непростой процедуры.
Кроме того, существует опасность развития осложнений – обильное кровотечение, рубцевание тканей, развитие инфекции, бесплодие.
Чтобы избежать тяжелых осложнений и максимально быстро восстановиться после удаления плодного яйца, пациентка должна понимать, что происходит с организмом после прерывания беременности. Расскажут об этом ведущие в стране врачи гинекологи медицинского центра «Диана».
Сколько длится период реабилитации?
Первичная реабилитация после аборта занимает 2-4 недели, а полное восстановление может занять до 6 месяцев. Длительность восстановления зависит от многих факторов:
- возраст беременной;
- срок, на котором проведена процедура;
- состояние здоровья пациентки;
- качество и способ выполнения аборта;
- образ жизни.
Первый месяц после прерывания беременности – наиболее опасный период, когда проявляются ранние осложнения и последствия. В период раннего восстановления пациентка обязательно должна соблюдать рекомендации гинеколога. Важно сохранять психологический покой и воздержаться от сексуальных отношений. Это поможет избежать развития осложнений и быстрее восстановиться после процедуры.
Что происходит через неделю после аборта?
Первая неделя после прерывания беременности наиболее тяжелая для женщины. У пациентки меняется гормональный фон, нарушаются обменные процессы. Это влияет на общее самочувствие и психологическое состояние.
После процедуры женщина может чувствовать слабость, боли внизу живота, ее может беспокоить одышка, нарушения сердечного ритма, тошнота.
Ослабление иммунитета и массивная кровопотеря приводят к анемии, выпадению волос, обострению хронических болезней.
Кровотечение
Искусственное прерывание беременности всегда сопровождается кровотечением, которое наиболее интенсивно в первую неделю. Кровяные выделения через неделю после аборта проходят самостоятельно, если реабилитация проходит без осложнений. Консистенция выделений и цвет зависят от срока прерванной беременности:
- Через неделю после аборта кровь может содержать сгустки, кусочки тканей плодного яйца, если аборт сделан на сроке 9-12 недель.
- При абортировании на раннем сроке (до 6 недель) кровотечение напоминает обычные менструальные выделения.
Менструальные выделения
Если через неделю после аборта кровь продолжает интенсивно идти кусками – это явный признак воспалительного процесса или присоединения инфекции. В такой ситуации нужно незамедлительно обратиться к гинекологу.
Гормональный фон
Искусственный выкидыш нарушает выработку гормонов, которые регулируют овуляторный и менструальный цикл. В норме женскому организму необходимо 24-28 дней для восстановления менструации, однако первые месячные могут прийти раньше или позже. Месячные через неделю после аборта – это по сути процесс очищения организма от остатков плодного яйца и прилегающих тканей.
Первая менструация должна наступить через 4-6 недель после аборта. Коричневые выделения через неделю после аборта могут продолжаться несколько циклов и зачастую имеют мажущий характер. После абортирования меняется и количество менструальной крови.
Скудные месячные свидетельствуют о нарушении функции яичников, а обильные и длительные – о гиперплазии эндометрия. Если через неделю после аборта начались месячные, обратитесь к доктору, чтобы исключить гормональные нарушения, травму матки, воспаление.
Боли
После аборта женщину беспокоит слабая боль или дискомфорт внизу живота. Этот симптом сохраняется 7-10 дней и проходит самостоятельно по мере восстановления организма. Сильные ноющие боли, которые не проходят, – признак развития воспаления и присоединения вторичной инфекции. Боли, напоминающие схватки, бывают при неполном очищении матки (часть плодного яйца остается в половом органе).
Болезненность может сопровождаться высокой температурой. В норме на протяжении 2-3 суток у пациентки наблюдается субфебрильная температура – 37,1—38,0°C. Высокая температура через неделю после аборта бывает только при развитии осложнений. Если через неделю после аборта болит живот так, что женщина не может вести привычный образ жизни нужно обращаться к гинекологу.
Повторная беременность
Через неделю после аборта беременность физиологически возможна, если женщина игнорирует контрацепцию. Организм начинает возвращаться к привычному ритму, а половая система к очередной менструации. Нормализуется выработка половых гормонов, которые стимулируют созревание фолликулов и овуляцию.
https://youtube.com/watch?v=pFKnLvBvBIg
В норме первая овуляция может произойти через 7-21 день после аборта. А сперматозоиды мужчины могут жить в теле женщины до 7 дней. Уже через неделю после аборта можно забеременеть, поскольку абортивные методики не заменяют контрацепции.
Женщина, которая забеременела через неделю после аборта, рискует своим здоровьем и нормальным развитием плода. После насильственного прерывания гестации организм абсолютно не готов к очередному стрессу.
Такая беременность часто осложняется почечной недостаточностью у матери, пороками развития плода, внематочным расположением плодного яйца.
Домашний тест
Уровень ХГЧ в крови снижается медленно, поэтому тест может давать положительный результат в течение 4 недель. Если через неделю после аборта тест положительный, нужно пройти ультразвуковое обследование или сдать кровь на ХГЧ несколько раз.
Снижение показателей уровня гормона в очередном исследовании свидетельствует о ложном результате теста. Важно посетить гинеколога для УЗ-диагностики, которая поможет исключить неполное очищение матки от эмбриона.
При наличии остатков плаценты или плодного яйца также возможен положительный тест на беременность.
Положительный тест
Что происходит через 2 недели после аборта?
Через две недели после аборта женщина должна пройти осмотр и ультразвуковое исследование у гинеколога. Врач оценит скорость заживления тканей и восстановления матки, исключит инфекции, воспаление, неполный аборт. Неприятные симптомы к этому времени обычно проходят самостоятельно – стихает боль внизу живота, уходит дискомфорт в малом тазу, заканчивается кровотечение, возвращаются силы.
Что происходит через 3 недели после аборта?
Третья неделя восстановления в норме характеризуется отступлением симптомов. Боль в малом тазу проходит, а мажущие выделения становятся редкими или вовсе прекращаются.
Через три недели после процедуры женщина начинает возвращаться к привычной жизни. Сексуальную жизнь можно начинать уже через 2 недели после медикаментозного аборта и через 3 недели после вакуумной аспирации.
Но от посещения общественных бань, саун, водоемов лучше воздержаться минимум месяц.
Если спустя 3-4 недели после прерывания беременности, у пациентки появляются неприятные симптомы – это тревожный сигнал. Только своевременная диагностика поможет выявить осложнения на ранней стадии и избавиться от патологий. Пройти консультацию и комплексную диагностику в Санкт-Петербурге можно в медицинском центре «Диана» на Заневском проспекте.
Узи после аборта и основные показания к выполнению обследования
УЗИ после аборта стали проводить относительно недавно.
Хотя эта процедура травматична для женщины, как в физическом, так и в психологическом плане, чаще пациентки уходили из кабинета врача, и старались туда не возвращаться, если только не возникали серьезные проблемы из-за последствий аборта. Даже сейчас, когда созданы столько условий для качественной диагностики, женщины избегают повторного обследования. А оно необходимо по целому ряду причин.
Аборт – процедура, которая тяжело переносится женским организмом
С какой целью и когда выполняется узи после аборта
Искусственное прерывание беременности проводится 3 способами:
- Медикаментозный метод выполняется на сроке 1,5-6 недель.
- Вакуумный аборт на сроке 3-10 недель, и если не подходит медикаментозный метод.
- Инструментальный аборт выполняется на сроках от 6 до 16 недель.
УЗИ проводится с целью убедиться в том, что аборт, каким бы способом ни был выполнен, прошел благополучно, или напротив, возникли проблемы.
УЗИ после медикаментозного аборта
УЗИ проводится через двое суток после медикаментозного аборта. Это нужно для того, чтобы уточнить, произошло ли прерывание беременности и покинуло ли оплодотворенное яйцо матку. Ни выделения, ни боль внизу живота не являются гарантией успешного аборта.

УЗИ после аборта проводится, чтобы контролировать состояние женщины
Второе УЗИ выполняется через 2 недели после медаборта. Это обследование делают более тщательно. Специалист проверяет полость матки на наличие инородных тел, оставшихся после аборта, или сгустков крови, способных спровоцировать воспаления или другие осложнения. Во время проведения второго обследования, врач обращает внимание на следующие параметры:
- Форму матки. Есть ли в ней физические деформации.
- Размеры мышечного слоя в матке – миометрия.
- Толщину мукозного слоя, или эндометрия.
- Состояние тканей шейки матки.
- Состояние цервикального канала и насколько он расширен.
- Состояние яичников.
Примерно 3-5 женщинам из ста медицинское абортирование не подходит из-за индивидуальной непереносимости компонентов препарата. И если прием абортирующего средства вызывает рвоту, принимать лекарство повторно не следует. Это значит, что медикаментозный аборт не подходит и придется прибегнуть к другому, более агрессивному методу, например, вакуумному.
Врачу очень важно оценить состояние всей репродуктивной системы
УЗИ после вакуумного аборта
Вакуумное прерывание беременности проводится также по следующим причинам:
- Развитие плода остановилось, но выкидыша не произошло.
- Замершая беременность и отсутствие плода в плодном яйце.
- Беременная женщина заразилась тяжелыми инфекциями, такими как краснуха, оспа.
- Беременность стал следствием насилия. Ни одна женщина не захочет вынашивать такого ребенка.
- Частичный выкидыш.
- Гинекологические патологии слизистой матки.
- После родов или кесарева сечения не вышла плацента.
Желательно, чтобы вакуум-аборт проводился под наблюдением УЗИ. Тогда повторное обследование можно провести через 2 недели. Если мини-аборт проводился без УЗИ, тогда обследование может быть назначено через 2-3 дня после операции.
УЗИ после вакуумного аборта назначается с целью убедиться, что не произошло никаких повреждений стенок матки, что плод удален из матки полностью.
Если после мини-аборта появляются тянущие боли, кровотечение, необходимо сразу обратиться к врачу. Тогда ультразвуковое обследование врач может провести сразу после обращения, чтобы выяснить причины такого состояния, поставить диагноз. Возможно, потребуется повторный мини-аборт или инструментальная чистка.
Если девушка ощущает дискомфорт и боль, обязательно надо обратиться к врачу
Инструментальный аборт
Инструментальный аборт – самый агрессивный из всех видов. При проведении инструментальной чистки врачом, имеющим недостаточный опыт, возможно прободение матки, истончение эндометрия и другие проблемы. При данном методе прерывания беременности бесплодие возникает чаще, чем при мини- и медабортах.
Проводить УЗИ во время инструментального аборта технически невозможно, поэтому после аборта УЗИ можно и нужно проводить через две недели после хирургического вмешательства, даже если ничего не беспокоит.
Если возникают тревожные симптомы в виде острой боли в области матки или яичников, обильные кровотечения, следует сразу прийти к гинекологу для обследования. Он назначит ряд анализов и УЗ-исследование.
Как подготовиться к УЗИ
Особая подготовка к УЗИ не требуется. Желательно не наедаться с утра, если планируется поход в больницу. Зато нет ограничений в употреблении негазированных напитков за 2-3 часа до начала обследования. Можно взять с собой бутылочку с водой в больницу. Хорошо, когда УЗИ назначается на определенный час по записи и нет необходимости ждать в очереди.
Перед походом в больницу необходимо приготовить простыню для кушетки, купить в аптеке презервативы для УЗИ, выполнить гигиенические процедуры.
Как выполняется процедура
УЗИ проводится несколькими способами:
- Трансабдоминальным, то есть через наружную стенку живота.
УЗИ может также проводиться трансвагинально при помощи специального датчика
- Трансвагинальным – датчик вводится во влагалище. Дает максимальные сведения о состоянии матки и яичников;.
- Трансректальным – то есть введением датчика в прямую кишку.
Последний применяется, когда по каким-либо причинам нет возможности провести УЗИ трансвагинальным способом. Например, из-за маточных кровотечений.
Что должно быть в норме и возможные отклонения
Истончение эндометрия после чистки, наблюдаемое на УЗИ считается нормой. Слизистый слой восстановится к следующей менструации. При частых абортах слизистая травмируется, и ее восстановление с каждым разом становится все более недостаточным. И наконец, когда женщина решается рожать, плодное яйцо не прикрепляется к эндометрию, и беременность не наступает.

В матке не должно оставаться никаких частиц плодного яйца, а ее размеры восстанавливаются от недели до месяца.
После операции могут быть розовые или кровянистые выделения. Длительность их зависит от выбранного метода абортирования. Если выделения незначительны, это нормально. Обильные кровотечения говорят о том, что в матке остались частицы плода или развиваются плацентарные полипы.
Более детально о последствиях медикаментозного аборта вы узнаете, если посмотрите данное видео:
Появление боли и высокой температуры свидетельствует об инфекции, попавшей в матку во время мини- или хирургического аборта. Чтобы избежать инфицирования, врач назначает антибиотики. Наличие воспаления также будет видно на мониторе УЗИ.
Имеет ли процедура УЗИ противопоказания
Противопоказаний у данного диагностического метода немного, но они имеются. Это:
- Пиодермия, или гнойные поражения кожи.
- Инфекционные заболевания (ВИЧ, вирусный гепатит и т. п.)
- Открытые раны в зоне исследования.
Таким образом, врач может отказаться от проведения трансвагинального УЗИ, если имеются воспалительные процессы на шейке матки, при вагинитах и вульвитах.
Помогла статья? Оцените её
Загрузка…



