Особенности рака шейки матки 3 стадии: полный обзор
Рак шейки матки 3 стадии – патология, при которой злокачественное новообразование проникает в нижнюю область репродуктивного органа, стенки малого таза и влагалище. Стремительное увеличение опухоли провоцирует дисфункцию почек, что часто приводит к летальному исходу.
В этом случае лимфатические узлы уже поражены, вагинальные выделения женщины имеют резкий гнилостный запах.
Когда обнаруживается рак шейки матки, 3 стадия наступает спустя два года, поэтому представительницам слабого пола нужно проходить плановое обследование у гинеколога для предупреждения развития патологии.
Характеристика заболевания: сколько живут с раком 3 степени
Рак шейки матки 3 стадии – болезнь, характеризующаяся поражением всех сторон стенок таза, распространением опухоли на кости, нижнюю область влагалища, мочевой пузырь, слизистую оболочку прямой кишки. Новообразование имеет большие размеры, оно метастазирует, проникает глубоко в ткани и клетчатку, провоцирует развитие гидронефроза, что приводит к дисфункции почек.
Данная патология имеет две подстепени развития:
- Третья стадия А характеризуется распространением новообразования на нижнюю часть влагалища, не затрагивая тазовую область и органы мочевыделительной системы.
- Третья стадия В обуславливается патологическим процессом в малом тазу, что вызывает нарушение деятельности почек, а также распространением метастазов в лимфатические узлы.
При наличии карциномы продолжительность жизни составляет в 30% случаев более пяти лет у женщин молодого возраста, и до 60% — у пожилых людей.
Причины развития онкологии
Почему появляется онкологическое заболевание, ученые до конца не выяснили. Предположительными причинами формирования опухоли можно считать:
- Несвоевременная терапия заболеваний гинекологического характера, в том числе и дисплазию шейки матки, что трансформируется в онкологию (РШМ).
- Раннее начало половой деятельности, ранние беременность и роды.
- Частые аборты.
- Наличие хронического эндометриоза и ЗППП.
- ВИЧ-инфекция и вирус папилломы человека (ВПЧ).
- Нарушения иммунной системы, нехватка витаминов.
- Употребление гормональных и антибактериальных препаратов длительный период времени.
- Злоупотребление алкоголем, частая смена половых партнеров.
Обратите внимание! Очень часто рак матки 3 степенивозникает на фоне дисплазии, минуя первые стадии развития за короткое время.
Симптомы и признаки РШМ
Симптомы рака матки 3 степени злокачественности проявляются ярко, поэтому их легко распознать. На данном этапе патологии проявляются следующие признаки:
- потеря аппетита;
- слабость и утомляемость;
- увеличение температуры тела;
- выделения из влагалищабелого цвета, что имеют неприятный запах;
- нарушение менструального цикла;
- кровяные выделения после полового акта;
- отечность конечностей и наружных половых органов;
- болевой синдром в области живота и крестца;
- нарушение мочеиспускания и дефекации, развитие запоров и нарушение работы почек.
Обратите внимание! Симптомом, указывающим на прогрессирование онкологии матки, может выступать выделение крови в перерыве между менструациями и при климаксе.
Раковая опухоль провоцирует нарушение репродуктивной деятельности женщины. Метастазы образуются в лимфатических узлах, поражается мочевой пузырь и прямая кишка.Выживаемость на третьей стадии рака шейки матки составляет 30%.
Диагностические мероприятия
Диагностика патологии начинается со сбора анамнеза пациента и гинекологического осмотра при помощи зеркал.
В этом случае врач может обнаружить новообразование, установить его форму и вид, выявить язвы, которые появились в результате распада новообразования. Затем исследуется подвижность матки, стенки влагалища, мочевой пузырь и прямую кишку.
Дальше врач назначает анализа крови, исследование мазка, проводит кольпоскопию и бимануальное исследование влагалища.

Главным методом диагностирования выступает биопсия, что дает возможность выявить стадию рака, строение и размер опухоли, а также спрогнозировать эффективность лечения. Также необходимо сдать кровь на онкомаркеры.
Обратите внимание! Точный диагноз ставят после проведения комплексного обследования и лабораторных тестов, а также посещения онколога.
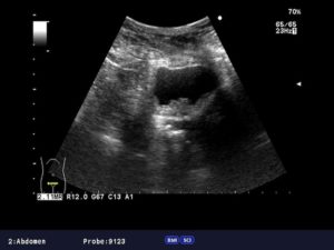
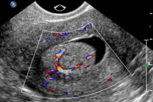
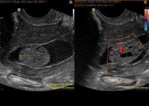
Дополнительными методами исследования выступают УЗИ, рентгенография, сцинтиграфия, МРТ и КТ и прочие.
Лечение рака матки на предпоследней стадии
Методы лечения РШМ на третьей стадии нацелены на остановку роста и развития ракового новообразования, что достигается при помощи лучевой и химиотерапии. В этом случае лечение должно быть комплексным:
- Лучевая терапия дает положительные результаты в комплексном ее использовании с цитостатическими препаратами. Врачи проводят облучение, так как оперативное вмешательство на этой стадии рака невозможно. Данная методика лечения предполагает использование дистанционного и внутриполостного облучения. В первом случае облучается вся область малого таза и региональные лимфатические узлы, процедуру повторяют пять раз в неделю, потом делают перерыв и проводят внутриполостное обучение. В данном случае лучи воздействуют точечно на шейку матки. Процедуру повторяют три раза в неделю.
Обратите внимание! Лучевая терапия на третьей стадии рака матки является самым эффективным методом лечения, который дает положительные результаты и шансы на выздоровление в 60% случаев. Удаление матки и придатков на данном этапе невозможно из-за распространения опухоли в ближайшие ткани.
- Химиотерапия применяется всегда, но имеет много побочных эффектов. В некоторых случаях этот метод терапии дает незначительный эффект, так как повреждение тканей затрудняет кровоснабжение органов малого таза, поэтому цитостатические препараты поступают к опухоли в небольших количествах. Терапия проводится несколькими курсами с перерывами в три недели.
- Иммунотерапия используется в качестве дополнительного метода лечения. В данном случае используются высокие дозы интерферона для увеличения иммунитета. Терапия проводится после применения основных методик лечения единым курсом.
Обратите внимание! Увеличение иммунитета после проведения иммунотерапии на 27% дает возможность избежать развития первичного рецидива.
Иногда после лечения в организме все-таки остаются раковые клетки, которые метастазируют в органы и ткани, расположенные поблизости, провоцируя развитие рака почек. Но в большинстве случаев результаты лечения положительные.
В последнее время в онкологии стали применять таргетную терапию, которая в сочетании с вышеперечисленными методиками показывает хорошие результаты. Ее целью выступает блокировка рецепторов на поверхности раковых клеток.
Сегодня ученые продолжают исследования в этой области, изучая возможность использовать данный метод в качестве единственного лечения, так как лучевая и химиотерапия часто приводит к развитию осложнений.
Лечение рака матки третьей степени должно проводиться в стационаре, так как предполагает использование специального оборудования и медикаментов. Народные средства в данном случае не используются, так как могут негативно сказаться на результатах терапии.
Прогноз и профилактика
Прогноз может быть благоприятным в 60% случаев только при наличии комплексного эффективного лечения, но в течение года у половины женщин развиваются рецидивы, которые приводят к смертельному исходу из-за вовлечения в злокачественный процесс органов мочеполовой системы. Пятилетняя выживаемость составляет от 30% до 60% в зависимости от возраста женщины, глубины прорастания опухоли и ее размера.
Профилактические мероприятия должны быть направлены на предупреждение развития патологии. Для этого необходимо избегать влияния провоцирующих факторов, особенно это актуально для женщин, входящих в группу риска.
Рак матки 3 степени нелегко лечится, поэтому медики настаивают проходить регулярные осмотры у гинеколога.
Представительницы слабого пола, которые имеют наследственную предрасположенность, должны пребывать под постоянным наблюдением гинеколога.

Обратите внимание! Операции в данном случае не назначают из-за прорастания новообразования глубоко в здоровые ткани и увеличения размера опухоли. Врачи утверждают, что женщина может погибнуть в ходе хирургического вмешательства.
(1 5,00 из 5)
Загрузка…
Онкология матки 3 стадия
Раковый процесс в организме женщины проявляется на шейке матки. Сложное заболевание, которое может развиваться, нести осложнения, заканчиваться плохо.
Выделяют 4 стадии онкологического заболевания, из которых опасными считают рак матки 3 степени и четвертой (последней).
Стадии рака матки
Женщине нужно знать, какими симптомами сопровождается болезнь на разных стадиях, чтобы при подозрениях обращаться к врачу. Чем раньше начато лечение, тем больше у женщины шансов выжить, вернуться к нормальной жизни.
Развитие рака матки по стадиям и прогноз:
- 1 стадия – опухоль находится в границах шейки матки. Выживаемость – 85%.
- 2 стадия – рак выходит за границы шейки матки, но не затрагивает нижнюю треть влагалища, стенку таза. Выживаемость – 65%.
- 3 стадия – опухоль вышла за границы шейки матки, затрагивает стенку таза, нижнюю треть влагалища. Выживаемость – 35%.
- 4 стадия – рак распространяется дальше – в мочевой пузырь / прямую кишку, дает метастазы. Выживаемость – 7%.
Рак матки 3 стадии оставляет мало шансов на выживание. В последнее время патология диагностируется часто у молодых женщин, хотя относительно недавно рак поражал, в основном, женщин пенсионного возраста.
Шансы на выздоровление больше у тех, кто быстрее обратился к врачу и вовремя начал эффективное лечение. Если второе условие зависит от врача, наличия оборудования и медикаментов, то первое – в руках женщины.
Регулярный осмотр (раз в год или полгода) у гинеколога позволяет останавливать болезни. Иначе можно узнать, что развивается рак матки 3 стадии, с вытекающими последствиями.
Особенности рака матки на 3 стадии
Почему третий этап развития рака обсуждается в статье? На этой стадии еще не поздно предпринять все меры, чтобы выжить. Отчаиваться не нужно. Во-первых, это не поможет, во-вторых, ценное время тратить на что-то полезное.
На 3 этапе рака матки могут появляться региональные метастазы. Бывали случаи, когда пациентки долго жили с таким диагнозом после лечения, но регулярно проходили профилактическое лечение, чтобы избежать рецидивов. На первых этапах болезни можно рассчитывать на полное избавление от патологии, хотя и это не всегда соответствует реальности.
Лечение растягивается на годы, а результата не дает. На 3 стадии злокачественные клетки поражают не только матку, но и стенки малого таза, влагалища. Рак нарушает работу почек от закупорки мочеточников, прогноз неблагоприятный. Третья стадия рака классифицируется на виды:
- 3А – злокачественные клетки распространяются на отделы малого таза, наблюдается сбой в работе почек, нижняя часть влагалища поражена раком;
- 3Б – третья часть влагалища поражена раком, но стенки таза не затронуты, почки функционируют нормально;
- 3В – злокачественные клетки распространяются на стенки таза, нарушают работу почек, вызывают гидронефроз. Образуются метастазы, поражающие окружающие органы и ткани.
Учитывая, как отличаются симптомы при разных видах болезни на 3 стадии рака матки, что лечение будет индивидуальным, это относится и к прогнозу.
Симптомы рака матки в 3 стадии
На первых стадиях рака можно не заметить неприятных симптомов, они плохо выражены и похожи на признаки иных болезней, то на 3 стадии признаки проявляются ярко. Женщина ощущает слабость, устает от любой деятельности, если ничего не делает. Температура тела держится на уровне 37 градусов, из влагалища выделяются бели с неприятным запахом.

Менструальный цикл сбивается, после полового акта нередко возникают кровотечения. Развитие опухоли приводит к её распространению на мочевой пузырь, отделы малого таза, прямую кишку.
Для 3 стадии заболевания характерными признаками являются:
- отек конечностей;
- боль внизу живота;
- проблемы с опорожнением кишечника и мочевого пузыря.
Чтобы улучшить прогноз выживаемости нужно предпринять все меры, чтобы остановить рост опухоли. Это под силу опытным врачам.
Как лечат рак 3 стадии
Каким именно будет курс лечения рака на этой стадии, зависит от степени поражения окружающих органов. Удаление матки и лимфоузлов назначают на ранних стадиях болезни. На 3 стадии процедуры направлены на остановку развития опухоли.
Применяют облучение и химиотерапию. Все лечебные мероприятия в комплексе позволяют увеличить эффективность воздействия на злокачественные клетки, остановить метастазирование, уничтожить опухолевые клетки.
Процесс лечения такой:
- облучение (лучевая терапия, радиотерапия) – дает результат в сочетании с химиотерапией. На 3 стадии терапии рака шейки матки облучение считают главным методом лечения, хирургическое вмешательство не эффективно;
- химиотерапия – прием цитостатиков. Химиотерапия эффективна в тандеме с лучевой терапией. По мнению многих врачей, такое воздействие на организм женщины сопровождается массой побочных эффектов. Это позволяет увеличить выживаемость, имеет право на применение;
- иммунотерапия – процедуры направлены на повышение иммунитета, что включает противоопухолевые защитные системы организма.
Методы выглядят лаконично, представляют собой болезненные, долговременные и трудоемкие мероприятия. Болезнь, как и её лечение, плохо переносится организмом. Женщине не надо опускать руки, если у неё диагностирована 3 стадия рака.
Продолжительность жизни с болезнью, во время лечения и после него зависит, в том числе, от положительного настроя женщины, от веры в себя и свое выздоровление.
Нужно следовать рекомендациям врача, скорректировать рацион питания и режим дня, найти себе отвлекающее занятие.
Рак шейки матки 3 стадии – это тяжёлое онкологическое заболевание, отражающее неутешительный прогноз выздоровления пациентов. Патология характерна наиболее запущенной формой протекания рака на третьей степени. Лечение маточной опухоли 3 стадии представляет собой использование разнообразных методик.
Шеечный рак матки представляет собой формирование и развитие злокачественного новообразования, возникающего из плоского эпителия и железистого материала. Болезнь считается широко известной и распространённой.
Недуг возникает очень часто, пропуская вперед по количеству диагностированных патологий опухоль молочной железы.
Рак шейки матки 3 стадия. Симптомы, лечение и прогноз
Рак шейки матки – это онкологическое заболевание вирусной этиологии, вызванное вирусом папилломы человека 16 типа. При гистологическом исследовании выделяют плоскоклеточный рак и аденокарциному (поражение железистых тканей).
При раке шейки матки принято использовать классификацию с целью обозначения стадии опухолевого процесса. Наиболее известные классификаторы FIGO и TNM.
Классификация рака шейки матки 3 стадии по FIGO
- III – на этой стадии опухоль распространяется на тазовую стенку, поражает нижнюю треть влагалища, вызывает гидронефроз, что приводит к угнетению почечной функции;
- IIIA – распространение опухоли до нижней трети влагалища;
- IIIB – поражение стенки таза, гидронефроз, как следствие дисфункция почек.
При классификации по системе TNM рак шейки матки 3 стадии обозначают T3, T3a и T3b (описание стадий аналогично FIGO). Написание стадий в российской медицине выглядит следующим образом – 3А, 3Б и т.д.

Существует и еще одни классификатор, который описывает распространенность злокачественного процесса, но в диагноз не выносится.
По такому классификатору рак шейки матки 3 стадии относят к местнораспространенному раку, т.е. карциноме, которая прорастает в параметральную клетчатку с одной или обеих сторон.
Может поразить всю нижнюю треть влагалища, мочевой пузырь и распространится на слизистую в прямой кишке.
Отдалённые метастазы на 3 стадии рака шейки матки не распространяются, поражают только региональные лимфоузлы.
Симптомы
При злокачественных процессах органов репродуктивной системы женщину начинают беспокоить межменструальные кровотечения, кровяные выделения после полового акта и в постменопаузальном периоде. Выделения могут быть и иного характера (не кровянистые) и иметь неприятный запах. Такие симптомы принято называть ранними. Симптомы рака шейки матки 3 стадии относят к поздней симптоматике.
При вышеперечисленных жалобах пациентку могут беспокоить:
- Частые позывы к мочеиспусканию;
- Частое мочеиспускание;
- Боли внизу живота;
- Боли в спине (со временем будут усиливаться);
- Снижение веса;
- Снижение диуреза (объем мочи при поражении почек или мочеточников);
- Отеки ног;
- Дефекация и мочеиспускание через влагалище в случае образования свищей.
При лечении рака шейки матки 3 стадии хирургические методы не применяются. В редких случаях, индивидуально, может быть проведена гистерэктомия с удалением пораженных лимфатических узлов и проведением до и послеоперационной лучевой терапии.
Ткани полностью “изъедены” опухолью, в результате происходит их расслоение, что делает невозможным наложение швов (опухоль неоперабельна). Возможен распад опухоли.
Основные методы лечения заключаются в проведении курсов химио и лучевой терапии, а с недавних пор и таргетной терапии.
Химиотерапия
Основным методом лечения – полихимиотерапия при 3 стадии рака шейки матки не является. Может использоваться как вспомогательная терапия в сочетании с облучением и как паллиативная, направленная на улучшение качества жизни пациентки. Существует множество протоколов лечения. Основными препаратами являются циспланин, комбинируется с винкристином, блеомицитином, ифосфамидом.
Лучевая терапия
Является основным методом лечения при раке шейки матки 3 стадии. Лечение реализовано по программе радикальной лучевой терапии, которая направлена на полное излечение пациентки.
Воздействует на сам очаг опухоли и на региональные метастазы, в данном случае на региональные лимфоузлы.
Дозы облучения, подведенные к основному очагу составляют 60-80 грей, а к региональным лимфоузлам – 50-60 грей.
Лучевая терапия может проходить дистанционно или быть внутриполостной (брахитерапия). Дистанционная лучевая терапия проводиться на линейных ускорителях (на фото).
При помощи брахитерапии возможно проведения больших доз облучения прицельно, в опухолевый очаг, не затрагивая здоровые ткани.
При проведении брахитерапии специальный аппликатор вводится в полость пациентке и посредством его, радиоактивный источник доставляется к цели.
Источник представляет собой титановую капсулу внутри которой находится радиоизотоп. Некоторые источники фиксируются при помощи рассасывающихся нитей.
В течении 2-х недель после проведения операции (установке источника) запрещены:
- Физические нагрузки;
- Подъем тяжестей (5 и более кг);
- Длительное прибывание в положении сидя.
Необходимо следить за опорожнением кишечника и мочеиспусканием (источник может выйти), не допускать переполнения мочевого пузыря. Стоит придерживаться диеты: отказаться от острой и соленой пищи.
Кроме того, в течении следующих 2-х месяцев следует ограничить близкое общение с маленькими детьми и беременными. В случае, если источник выпал при мочеиспускании нельзя брать его руками.
Необходимо взять источник с помощью пинцета или любого другого приспособления, поместить в емкость и убрать подальше от детей.
При ближайшей возможности отнести в медицинское учреждение для дальнейшей утилизации.
Таргетная терапия
Фото – сражение с раком
В последнее время применение таргетной терапии, а именно препараты эрлотибин,сунитиниб и др., в сочетании с химио у лучевой терапией показало хорошие результаты в борьбе с раком шейки матки 3 стадии.
Целью такой терапии является блокирование определенных рецепторов на поверхности опухолевой клетки. Данные, полученные после применения препарата эрлотибин совместно с уколами цисплатина(химиотерапия) и облучением таза позволило сделать выводы о перспективности подобного лечения.
В настоящее время проводятся исследования о возможности применения таргетной терапии в монорежиме, так как химио и лучевая терапия оказывают негативное воздействие не только на опухоль, но и на весь организм в целом.
Могут вызывать рвоту, общую интоксикацию, слабость, алопецию (потеря волос), угнетать репродуктивную функцию, и др.
Важно! Лечение онкологических заболеваний, в том числе и рак шейки матки, происходит строго в условиях стационара. Требует специального оборудования и определенной медикаментозной терапии. Народными средствами справиться с заболеванием невозможно, лишь усугубить процесс.
Прогноз
Прогноз при раке шейки матки 3 стадии неблагоприятный. Пятилетняя выживаемость после проведенной терапии по статистическим данным составляет 30 % у женщин в молодом возрасте, у пожилых этот показатель варьируется, и составляет приблизительно 35-60%.
Рак шейки матки 3 стадии — Гинекология
Статистика показывает, что рак шейки матки находится на 3 на третьем месте среди всех заболеваний злокачественных характера. Чаще всего страдают женщины от 30 до 55 лет.
Если на начальных этапах данного заболевания лечение, в большинстве случаев, имеет положительный прогноз, то для 3 стадии показатели не такие утешительные.
Определение
Рак шейки матки представляет собой поражение стенок данного органа злокачественными клетками, в результате которого происходит замещение здоровой ткани фиброзной.
Данная патология именно на последних этапах характеризуется невысоким процентом выживаемости.

Развитие опухоли тяжело прогнозируется, так как для нее характерна как пассивная форма развития, так и агрессивная.
Классификация
Для рака шейки матки третьей стадии характерны определенные симптомы, по которым различают 3 степени заболевания:
- 3А. Характеризуется локализацией злокачественного новообразования в области малого таза и верхней третьей стенок влагалища. При этой степени патологический процесс не вовлекает другие структуры полового органа. Лечение, проведенное на данной стадии, имеет положительные результаты в 60% процентах случаев.
- 3Б. Отличается увеличением активности разрастания опухоли на большую область малого таза и на нижнюю часть стенок влагалища. При этом мочевыделительная система не поражается. Прогноз выживаемости 3Б стадии заболевания составляет всего 42%.
- 3В. При последней степени своего развития на 3 стадии, образование полностью поражает ткани малого таза и органы мочевыделительной системы, в том числе и почки. Поражение почек сопровождается развитием выраженного гидронефроза. Лечение в данном случае имеет неутешительные прогнозы. Выживает лишь 30% пациенток.
Диагностика
Зачастую, симптомы ранней стадии заболевания, могут быть спутаны с общими симптомами заболевания данного органа, поэтому для подтверждения диагноза применяют ряд определенных методов исследования:
- биохимия крови. Предназначена для выявления нарушений в составе крови. Налчие раковой патологии при этом, в первую очередь выявляется уменьшением количества железа;
- осмотр с помощью зеркала. Проводится для изучения структуры стенок матки и выявления онкологического образования;
- кольпоскопия. Предназначена для проведения бимануального исследования и аналогичных процедур, при которых может возникнуть кровоточивость;
- диагностические пробы. Помогают определить качество пораженной ткани и степень разрастания опухоли;
- мазки. По ним можно выявить нарушения в микрофлоре влагалища;
- бимануальное исследование влагалища. При его применении можно определить уплотнения, которые не видимы для визуального восприятия;
- биопсия. Предназначена для выявления вида раковых клеток, в результате чего будет назначено правильное лечение;
- ректально-вагинальное исследование. Позволяет определить форму онкологического заболевания и исследовать степень подвижности матки;
- ректально-брюшно-стеночное исследование. Предназначены для определения состояния маточных крестцовых связок и выявление инфильтрации стенок.
Терапия
На 3 стадии развития данной патологии проводится комбинированное лечение, с включением химио, лучевой и иммунотерапии. Хирургическое вмешательство на данном этапе формирования опухоли даёт эффект в единичных случаях.
Иммунотерапия
Терапия данного характера, применяется только качестве дополняющей и поддерживающей методики. Она предусматривает применение высокодозированные интерферона, который увеличивает защитные функции иммунной системы и провоцирует повышенное функционирование печение причины, вследствие этого увеличивается общее сопротивление организма раковым заболеваниям.
Дозировки для каждого случая устанавливаются индивидуально, в зависимости от общего состояния организма. Иммунная терапия назначается после комплексного воздействия лучевой и химиотерапии. Как правило, она проводится единым курсом без включения интервалов.
Применение иммунотерапии, в основном не оказывает влияния на прогноз непосредственно после лечения. Но, повышение иммунитета на 27% снижает риск развития первичных рецидивов.
Истории болезни
Несмотря на то, что данная стадия отличается высокой степенью летальности, положительный результат от лечения все же превалирует, что доказывают многочисленные истории, излечившихся женщин:
-
Женщина 56 лет. Диагноз: плоскоклеточная карцинома шейки матки. Патология отягощена сахарным диабетом 2 степени в субкомпенсированной форме и артериальной гипертензией. Назначен курс лечения, который включает 6 курсов внутриполостного облучения, с применением химических препаратов.
Хирургия рака шейки матки ранних стадий После 4 курсов проведенного лечения отмечалась положительная динамика с уменьшением опухоли на 70%. После прохождения всех курсов, опухоль полностью исчезла. На сегодняшний день наблюдается четырехлетний срок ремиссии.
-
Женщина 36 лет. Диагноз: Аденокарценома шейки матки 3 стадии с активным разрастанием в стенки малого таза. Назначено лечение включающий 7 циклов облучения и химиотерапии. Каждый цикл состоял их двухнедельной интенсивно терапии с интервалов в две недели.
После проведения полного курса лечения отмечалось уменьшение объема разрастаний на стенках малого таза на 60% и основной опухоли на 70% . В результате, терапия была дополнена еще несколькими курсами интенсивного воздействия. На сегодняшний день пациентка находится в стадии ремиссии уже третий год.
Рекомендуем посмотреть видео о стадиях рака шейки матки:
Рак шейки матки 3 степени: симптомы, лечение и прогноз
Не все специалисты могут сказать сколько живут при раке шейки матки 3 стадии. Патология представляет собой одно из сложных и неприятных заболеваний, которое не проходит без последствий. Чтобы предупредить прогрессирование и рост опухоли необходимо при первых признаках отправиться на прием к специалисту.
Клиническая картина
Отсутствие аппетита
На первых этапах развития РШМ характерные симптомы отсутствуют. Врач может диагностировать заболевание во время профилактического осмотра. Многие женщины живут и не подозревают, что у них развивается онкологическая патология.
Существуют общие симптомы, которые указывают на злокачественные процессы у женщины:
- отсутствие аппетита;
- организм постоянно ослаблен;
- женщина быстро устает, чувствует себя вялой;
- параметры температуры тела находятся в пределах 37-37,50С;
- влагалищные выделения, сопровождающиеся неприятным запахом;
- нарушается цикл менструации;
- кровотечение после половой близости;
- происходит изменение менструальных выделений.
Симптомы при раке шейки матки 3 стадии невозможно не заметить, потому как они ярко проявляются. Мало того, когда опухоль начинает прогрессировать раковые клетки поражают не только матку, но и рядом расположенные органы, ткани. Под удар попадают мочевой пузырь, область малого таза, толстый кишечник.
На 3 стадии рак у женщин сопровождается некоторыми симптомами, дополнительно к вышеперечисленным:
- Сильно отекают конечности.
- Появляются болезненные ощущения в области нижней части брюшной полости.
- Нарушается процесс мочеиспускания и акт дефекации.
Прогноз зависит от многочисленных факторов. Но медицинская статистика показывает, что выживаемость при такой патологии составляет не выше 35%. Получить высокие и эффективные результаты помогают квалифицированные специалисты. Они рекомендуют своевременно проходить обследование, лечение. Необходимо остановить развитие онкологического заболевания.
Какие бывают степени заболевания?
Карцинома матки на стадии 3А
В зависимости от локализации патологических процессов онкология у женщин предусматривает определенные степени:
- 3А. Период развития карциномы, когда раковые клетки поражают уже стенки малого таза. Сопровождающими признаками является нарушенная работа почек. Определенная область нижней части влагалища также поражена. На данном этапе болезнь не задевает другие органы половой системы. После эффективного и своевременного лечения 60% пациентов продолжают жить полноценно.
- 3Б. На данном этапе злокачественная опухоль не добралась до стенок малого таза. Но раковые клетки уже поразили третью часть от всей полости влагалища. При этом, функционирование почек остается в пределах нормы. То же самое касается и мочевыделительной системы. Из всех больных 42% пациентов выживают и живут полноценной жизнью.
- 3В. Дисплазия шейки матки 3 степени поражает стенки малого таза. Развитие онкологического заболевания нарушает работу почек и способствует развитию гидронефроза. Нарушения затрагивают органы мочевыделительной системы. Лечение назначается пациенту, но выживаемость на этом этапе составляет не больше, чем 30%.
Рак шейки матки 3 степени
Онкологические заболевания ежегодно уносят жизни сотней тысяч людей во всём мире. Одной из разновидностей патологии, которой подвержены исключительно женщины является рак шейки матки. Успешность его лечения на прямую зависит от стадии прогресса заболевания. Чем позже выявляется новообразования, тем сложнее победить болезнь и добиться положительного прогноза.
Рак шейки матки степени имеет четыре, выражаются они при помощи системы TNM — это международная классификация, которая помогает определить запущенность процесса. Обозначается как Т1, Т2, Т3 и Т4 — где цифра указывает на стадию процесса.
Рак шейки матки 3 степени наиболее распространён при диагностике, так как именно этот этап характеризуется возникновением специфической симптоматики и обращением женщин к специалистам.
Стадии болезни
Согласно классификации TNM третья стадия разделяется на:
- Т3а и характеризуется вовлечением в опухолевый процесс нижней трети влагалища, но при этом без поражения стенок таза;
- Т3в опухоль распространяется на стенки таза в комплексе с гидронефрозом или дисфункцией почек.
Метод гинекологического исследования
На момент диагностирования, рак шейки матки 3 стадии — симптомы, имеет следующие:
- кровянистые выделения разного рода, вплоть до кровотечений. Может наблюдаться примесь крови в моче, вместе с белями, а также во время или после полового контакта. Кровяные выделения появляются неожиданно, вне менструального цикла, а также у женщин, у которых наступила менопауза;
- изменения в характере менструального цикла, выделения могут стать обильнее и дольше, вплоть до кровотечения. Они способны вызывать дополнительный дискомфорт и болезненность;
- боли в пояснице, крестце и области лобка. Боль может носить ноющий и приступообразный характер. Появляться и исчезать. Болевые ощущения связаны с ростом опухоли, прорастанием её в другие органы и нервные окончания;
- нарушения работы мочевого пузыря проявляется в виде болезненного и позывами к мочеиспусканию при этом сам процесс нарушается из-за возникновения свища в протоках. Характерно нарушения при прорастании новообразования мочевые протоки и сам пузырь;
- нарушения стула, примесь крови в кале наблюдается при поражении кишечника;
- отёчность нижних конечностей, возможно и наружных половых органов, появляется в результате поражения лимфатических узлов. Часто отёк сопровождается только с одной стороны;
- изменения бели. Выделения становятся обильнее, имеют не здоровой коричневатый или желтоватый оттенок. Примесь гноя, которая является признаком распада опухоли вызывает зловонный запах.
Читайте здесь: Плоскоклеточный рак пищевода
Вместе с этими признаками наблюдается отсутствие аппетита, потеря веса, слабость, тошнота.
- Диагностика
- Лечение
- Прогноз
- Информативное видео
Лечение
Рак шейки матки 3 стадии — лечение предполагает, как правило, уже не оперативное, а преимущественно лучевое облучение, зачастую в комплексе с химиотерапией. Хирургия в данном случае применяется чаще в паллиативных целях, в случае крупного размера опухоли и сдавливании ею соседних органов, а также для уменьшения интоксикационного процесса.

Лучевая терапия
Лучевая терапия в комплексе с химиотерапией становится единственно возможным методом лечения, так как рак носит местно-распространённый характер и не может быть удалён при помощи операции.Современные технологии позволяют использовать несколько видов лучевой терапии: внутриполостная и дистанционная.
Внутриполостная технология подразумевает контактное воздействие с опухолью, такими источниками как кобальт, цезий или иридий.
Читайте здесь: Что такое перстневидноклеточный рак желудка?
Дистанционное облучение необходимо в первую очередь для облучения регионарных лимфатических узлов и других возможных метастаз в области таза.
Лучевая терапия может вызвать ряд осложнений, таких как:ранний и поздний цистит, ректит, энтероколит, но, к сожалению, других вариантов лечения, более щадящих, для третьей стадии не разработано.
Химиотерапия
Химиотерапия применяется как дополнение к радиоизлучению.
Используют такие препараты как:
- капецитабин;
- ифосфамид;
- паклитаксел;
- иринотекан.




