Что такое и чем опасны атипичные клетки?
Атипичный – не типичный, не соответствующий статистическим ожиданиями относительно большинства рассматриваемых случаев. Термин широко используется. Клетка — структурная и функциональная элементарная единица строения и жизнедеятельности всех организмов.
Из вышесказанного можно сделать самый примитивный вывод о том, что атипичными клетками называют структурные клетки живых организмов или одноклеточные организмы, имеющие необычные свойства и признаки, что не соответствует общепринятым представлениям о клетках.
Определние
В цитологии, при проведении исследований так называемых атипичных клеток, было выявлено наличие в структуре целого ряда необычных и даже аномальных структурных изменений, что не позволяет относить их ни к одному из известных видов клеток. Это сильно затрудняет их классификацию.
Аномалии вызываются мутациями, вызванными внутренними и внешними факторами. Аномалии могут быть явными, и заметны даже при визуальном осмотре – увеличенный размер, утолщение цитоплазмы, изменение структуры и количества органоидов, изменение размеров самой клетки по сравнению с другими клетками, родственно близкими к ней.
Но более опасны изменения в обмене веществ данной клетки, и это отследить гораздо сложнее.
Как правило, такие клетки начинают проявлять себя при ослаблении общего иммунитета, провоцируя сбои и нарушения в функционировании внутренних систем организма, что может иметь разнообразные и неконтролируемые последствия.
При наличии сильного иммунитета, как правило, все атипичные клетки уничтожаются лейкоцитами и выводятся из организма.
В случае, если иммунитет не справляется со своей задачей по очистке организма, происходит процесс трансформации атипичной клетки и их скоплений в онкологические образования. По мнению учёных, для этого требуется 5 мутаций.
Как бы вам не казалось ироничным, но возникновение рака зачастую связано с деятельностью иммунитета.
Цитокины, а именно так называются биологически активные вещества, выделяемые в кровь для осуществления противовоспалительных действий, служит катализатором к росту онкологических образований, и что гораздо хуже, к их распространению по всему организму, используя кровеносную систему в качестве транспортного канала.
Чем опасны атипичные клетки?
Атипичные клетки сами по себе являются нормальным явлением. Современный мир полон мутагенов и мутационных факторов. Однако сильный стресс, вызванный серьёзным заболеванием, травмой или физическим или моральным истощением, могут привести к сильному ослаблению иммунитета.
Это в конечном итоге, вкупе с повышенным количеством этих клеток в организме с большой вероятностью приведёт к развитию онкологических отклонений. Цитокины, главная цель которых борьба с воспалительными процессами, только вредит.
Он и создаёт для скоплений повреждённых и мутировавших клеток собственную замкнутую питательную и транспортную сеть.
Эта сеть в дальнейшем будет медленно, но верно распространяться по организму, размножаясь и заражая продуктами своей жизнедеятельности здоровые клетки. В один момент эта сеть начинает проявлять себя, внося сбои в системы жизнеобеспечения, организма.
Но это не значит, что любая травма приведёт к онкологическому осложнению. Если в воспалённом органе нет достаточного количества атипичных клеток, то, скорее всего, никакого осложнения не будет. Поэтому очень важно следить за своим иммунитетом.
Одной из вредных для человека особенностей атипичных клеток является отсутствие у них механизма самоуничтожения.
Дело в том, что у любой нормальной здоровой клетки человеческого организма есть жизненный лимит, ограничивающий количество делений первоначальной клетки. Это необходимость, вызванная рядом причин:
- Самоуничтожение препятствует распространению накопленных за время жизни клетки мутаций.
- Это ведёт к полному обновлению человеческого организма.
- Этот механизм, препятствует развитию болезней.
- Важная часть процессов роста.
- Процесс самоуничтожения благотворно влияет на организм для очистки от токсинов.
Самоуничтожение клетки представляет собой гибель клетки и выведение её из организма. Но, как уже было написано выше, данный механизм не работает у атипичных клеток. Следовательно, раковые опухоли практически бессмертны, накаливают токсины и мутации.
Скопления атипичных клеток — это рак или нет?
Здесь стоит обратить внимание на то, что атипичные клетки не всегда станут раковыми опухолями. Даже при развитии опухоли не стоит забывать о том, что они могут оставаться злокачественными. Однако при наличии воспаления и ослабления иммунитета вероятность развития злокачественной опухоли или раковых опухолей, с метастазами.
Расшифровка мазка на цитологию шейки матки — Гинекология
Цитологический анализ в гинекологии проводят часто. Он подразумевает изучение взятого образца ткани на предмет полноценности структуры клеток. Вид диагностики позволяет относительно быстро и с высокой точностью определить наличие воспаления, рака или предракового состояния женских половых органов.
Цитологическое исследование, как и взятие материала для него, не предполагает рассечение или прокол тканей. Чтобы ответ был информативным, к процедуре взятия биоматериала следует правильно подготовиться.
Как делают анализ
Мазок берут в ходе осмотра гинекологом с целью последующего цитологического исследования (ПАП-тест, анализ Папаниколау). Он представляет собой биологический материал, соскобленный со слизистого покрова шейки матки.
В последующем образец тщательно рассматривают с помощью микроскопа. Действие позволяет быстро, но достоверно обнаружить начавшиеся клеточные изменения.

В 9 из 10 случаев они безошибочно указывают на развитие рака или высокую предрасположенность к таковому.
Цитологическое исследование мазка направлено на достижение одновременно двух целей. Первая — обнаружение онкологических новообразований на начальной стадии их развития. Вторая цель — установление микрофлоры влагалища, выявление её нарушений.
Цитологическое исследование мазка из шейки матки
- Благодаря исследованию удаётся выявить 5 видов клеточных изменений.
- Расшифровкой ответа проведенного анализа занимается лечащий гинеколог. Результаты исследования интерпретируются отдельно от имеющихся у женщины жалоб и результатов остальных видов диагностики. Но перечисленные критерии учитываются при назначении лечения.
- Ответ цитологического исследования особенно важен при противопоказаниях к проведению биопсии.
- Метод помогает быстро обследовать большое количество пациенток, относящихся к так называемой группе риска формирования злокачественных опухолей шейки матки.
- Цитологическое исследование характеризуется технической простотой и ценовой доступностью — пройти анализ может и должна каждая женщина. Достоверность этого вида диагностики не вызывает сомнений. Поэтому цитологическое исследование внедрено в гинекологическую практику и успешно применяется не первый год.
В практике гинекологов используют и альтернативное определение этого термина — «гистологический мазок».
Кому нужно проходить анализ?
Мазок на цитологию должен дополнять лабораторную диагностику состояния женщин разного возраста. Например, до достижения 45 лет важно сдавать его единожды в год.
Учитывая повышенную предрасположенность к онкологическим новообразованиям, женщинам старше 45 лет проходить подобную диагностику следует 1 раз в полгода.
Существует ряд показаний, при наличии которых проходить мазок на цитологическое исследование следует обязательно. К таким факторам относится:
- сбой в менструальном цикле,
- воспаления внутри цервикального канала, шейки матки,
- бесплодие, частые выкидыши, аномалии развития плода в прошлом и остальные проблемы, связанные с неполноценностью репродуктивной функции,
- подготовка к имплантации внутриматочной спирали.
- приём гормональных препаратов,
- сахарный диабет вне зависимости от типа,
- ожирение средней и тяжелой степени,
- подтверждённое наличие кондилом, инфицирование генитальными заболеваниями,
- беспорядочные половые связи,
- планирование беременности.
Анализ рассматриваемого вида входит в число обязательных этапов диагностики при подготовке к оперативному вмешательству.
Когда не рекомендуется проходить исследование
Существует небольшой перечень противопоказаний: период менструации, наличие активного воспаления во влагалище или шейке матки. Ограничения связаны с лейкоцитозом — повышением уровня лейкоцитов. Явление возникает всякий раз при наличии воспаления в организме.
Увеличение белых телец воспрепятствует визуализации атипичных клеток — лаборант может их не распознать, предоставить некорректные сведения. Поэтому проведение анализа на цитологию при воспалении и менструации — не рекомендуется.
Как подготовиться к исследованию
Задача исследования — подтверждение или опровержение предракового состояния. Также удаётся выявить высокую предрасположенность к онкологическому процессу.
Это важный анализ, от результата которого зависит дальнейшая тактика. В отдельных клинических случаях пациентке назначают терапию, иногда — с применением малоинвазивных процедур.
Чтобы получить достоверный ответ, накануне анализа пациентке необходимо соблюдать определённые меры:
- не выполнять промывание половых путей спринцовкой минимум за 3 дня до планируемого посещения врача,
- не мочиться 3 часа до проведения манипуляции,
- отказаться от интимной близости на протяжении 2-3 суток перед взятием мазка.
При наличии воспалительного процесса с обилием вагинальной секреции сначала важно устранить патологию, а затем пройти контрольную диагностику.

Если по её результатам и при отсутствии клинических проявлений наступило выздоровление — можно проводить цитологический анализ.
Аналогичная схема касается факта менструации — изначально следует дождаться, пока она завершится, и лишь затем посещать врача. Априори при каждом случае накануне исследования важно провести тщательную интимную гигиену.
Как берут мазок для анализа
Мазок цитологический — мазок Папаниколау
Взятие материала осуществляет только гинеколог во время традиционного осмотра пациентки на кресле.
Манипулируя зеркалами, специалист изучает состояние влагалища, цервикального канала, слизистого покрова шейки матки.
Оценивает цвет и плотность тканей, наличие новообразований и секреции (если они присутствуют). Материал берут с 3 участков: с влагалища, цервикального канала, зева матки.
Действие безболезненно, его выполняют с помощью специального атравматичного зонда или щётки (ими всегда снабжён гинекологический смотровой набор).
Процедура занимает не более 15 минут.
Взятый материал переносят, а затем распределяют на предметном стекле. Немного подсушив образец на воздухе, мазок передают в лабораторию. Там происходит окрашивание реактивами (это специальные медицинские растворы), затем происходит изучение под микроскопом.
В процессе этого действия, оценивают следующие критерии:
- величину, структуру клеток,
- сколько клеток локализовано на определенной единице площади,
- особенности их локализации друг к другу,
- форму эпителиальной ткани,
- присутствие патологии, наличие отклонений от нормы.
После процедуры можно продолжать повседневную деятельность. Неприятных ощущений в норме не должно быть. Если манипуляцию проводит неопытный гинеколог, не исключено незначительное повреждение стенок половых путей. Тогда 1-2 дня после взятия мазка наблюдаются бели, немного окрашенные кровью.
Подобное осложнение наблюдается в тех случаях, когда слизистый покров пациентки обогащен плотной капиллярной сеткой. Особенно, если она близко расположена к поверхности тканей.
Тогда кровеносные сосуды реагируют даже на незначительные вмешательства ломкостью и как следствие — лёгким кровоподтёком.
Расшифровка ответа проведенного анализа
При полноценном здоровье женщины шейка матки выстлана эпителием цилиндрического типа, а влагалище состоит из клеток плоского вида. Естественная микрофлора влагалища представлена палочками.
Также в ответе анализа отображаются показатели функциональной деятельности яичников.
Дополнительно результат содержит информацию об уровне лейкоцитов (их повышенная концентрация подтверждает наличие воспаления в организме).
Расшифровка ПАП-теста
С учётом его состояния, материал, взятый со стенок влагалища, классифицируется следующим образом (методика Папаниколау):
- Класс 1. В изучаемом образце материала отсутствуют любые признаки патологических процессов. Величина, форма, взаимное расположение клеток — соответствуют норме.
- Класс 2. В образце материала установлены признаки воспаления, вагиноза. Ответ анализа служит основанием для проведения дополнительной диагностики, не исключена необходимость терапии.
- Класс 3. Лаборант выявляет единицы клеток с нарушенным строением ядра и цитоплазмы. Ответ анализа служит основанием для повторного проведения процедуры.
- Класс 4. Устанавливается предраковое состояние. Материал содержит клетки со злокачественно изменёнными ядрами, хроматинами, цитоплазмами.
- Класс 5. Содержится большой объём атипичных клеток — возникло злокачественное новообразование ранней стадии.
Иногда цитологическую диагностику сочетают с биопсией — методом взятия кусочка ткани с органа, который подозревают в предрасположенности к раку. Процедура болезненна, и проводят её только после выполнения анестезии.
Цель метода — уточнить предварительно полученные сведения. В частности, если на основании цитологии установлено предраковое состояние или собственно опухолевый процесс злокачественного происхождения.

Узнать расшифровку ПАП-теста
Расшифровка по методу Бетседа
По этому методу врач расшифрует ответ анализа материала, который взят при осмотре из цервикального канала. Действие происходит с обязательным учётом локализации клеток и изменения внутри ядра.
Получают только один из возможных ответов лабораторной диагностики. Маркировка «норма» свидетельствует об отсутствии болезнетворных изменений. Вагиноз и койлоцитоз имеют шифр HPV. Если выявлена дисплазия шейки матки, в ответе анализа присутствует код CIN I, CIN II или CIN III (зависит от установленной степени). Злокачественную опухоль шейки матки отмечают как Carcinoma (pax).
Распространённая терминология в ответе цитологического анализа
В процессе гинекологического обследования и получения ответов цитологического анализа, применяют следующую терминологию:
- ЦБО — состояние шейки матки без отклонений от нормы.
- Цитограмма воспаления — присутствует цервицит (воспалительный процесс слизистого покрова цервикального канала).
- Лейкоцитарная инфильтрация — повышение концентрации белых клеток, предположительно, присутствует вагиноз, экзоцервит или эндоцервит.
- Койлоциты — клетки, свойственные течению ВПЧ (вируса папилломы человека).
- Пролиферация — означает процесс, при котором клетки делятся в ускоренном темпе. Подобная реакция характерна для внутриматочного воспаления.
- Лейкоплакия — материал содержит признаки патологии. Несмотря на внутриклеточные изменения, развития рака нет.
- Метаплазия — процесс замещения клеток одного вида другим. Не является патологией, если женщина проходила терапию неонкологических маточных изменений во время климакса. Процесс сопровождает состояние организма пациенток, которые находятся в состоянии климакса более 6 лет.
- Дисплазия — непосредственно предраковое явление.
Если полученный ответ вызывает у врача сомнения, для уточнения клинической ситуации специалист назначает ещё более тщательное обследование. Женщина сдаёт мазок с целью уточнения характера флоры, проходит анализ на определение венерических заболеваний.
Когда образец материала содержит атипичные клетки, лаборанты применяют следующие виды аббревиатуры:
- ASC-US — по неустановленным причинам происходит изменение структуры плоскоклеточного эпителия. Зачастую выявляют у женщин средних лет, в предклимактерический период, поскольку он характеризуется гормональной нестабильностью.
- AGC — изменение структуры цилиндрических клеток (бывает при вагинозе, характерен для других воспалительных нарушений). Причинно-следственную связь уточняют благодаря дополнительным диагностическим мероприятиям.
- L-SIL — наличие небольшого количества перерождённых клеток незлокачественного происхождения. Пациентке предстоит пройти процедуру кольпоскопии, дополненную биопсией.
- ASC-H — внутриклеточные изменения, указывающие на присутствие предраковой патологии или уже начавшийся опухолевый процесс.
- HSIL — мазок содержит плоские клетки, служит предраковым состоянием. Проводят немедленные терапевтические мероприятия, предупреждая тем самым процесс перерождения патологии в рак.
- AIS — обнаружение цилиндрических раковых клеток. Пациентке срочно проводят лечение. Если лабораторно доказано наличие перерождённых клеток, этот факт обязательно прописывают в ответе анализа, уточняя тип изменений.
Атипичные клетки: что это такое в мазке на цитологию в гинекологии
Атипические клетки – «диагноз», который боится услышать каждый из нас. Точнее, это не диагноз, и даже не отдельное заболевание, а отклонение, которое может говорить о таком. Конечно, сразу сказать, что у пациента рак, нельзя, но мутировавшие клетки не должны остаться без внимания. В противном случае последствия могут быть самыми серьезными.
к оглавлению ↑
Что такое АК?
Атипичные клетки – что это такое? Об атипии говорят тогда, когда во время цитологического исследования в образце забранной ткани были выявлены клеточные структуры, отличающиеся от здоровых клеток. Другими словами, они мутированы. Их опасность заключается в том, что они могут «жить» в организме человека в течение долгого периода времени, ничем себя не выдавая.
Так, атипия – это рак или нет? АК не обязательно являются признаком злокачественной онкологии, но они вполне могут перейти в таковую. В течение долгого времени они способны находиться в скрытом состоянии, но когда иммунитет человека ослабнет, они перейдут в «наступление», и начнут бесконтрольно делиться. В этом случае ситуация ожжет развиваться по одному из двух сценариев:
- появится опухоль доброкачественного характера;
- сформируется злокачественное, раковое новообразование.
Доброкачественная атипия клеток – что это? Обычно такая мутация происходит при наличии вялотекущих воспалительных процессов или других заболеваний, преимущественно инфекционного характера. В этой ситуации образуются опухоли доброкачественного характера, которые обычно успешно поддаются лечению.

Признаки злокачественной атипии – что это? В данном случае ситуация менее благоприятна, и на это есть свои причины. Прежде всего, это приводит к формированию злокачественных, раковых, опухолей.
Конечно, данный процесс не всегда имеет место, но он требует особо пристального внимания, поскольку на ранних стадиях его не всегда удается выявить.
Обычно новообразование диагностируется уже на поздних этапах, к тому же часто оно оказывается неоперабельным, и плохо поддается лучевой и химиотерапии.
На заметку. Клетки с признаками атипии не всегда приводят к онкологии. Если иммунитет довольно сильный, то он вполне может уничтожить их без последствий для здоровья человека. Наличие хронических очагов воспаления мешает этому процессу, поэтому все острые заболевания необходимо лечить вовремя, и обязательно излечивать полностью.
к оглавлению ↑
Атипические клетки в гинекологии
Атипия – что это такое в гинекологии? В гинекологической практике огромное значение имеет такая диагностическая манипуляция, как мазок на цитологию. То, что это за процедура, когда и зачем она проводится, мы рассмотрим далее, а сейчас вкратце рассмотрим вопрос, что это такое атипичные клетки в гинекологии.
АК – это структуры, которые могут быть обнаружены в образце ткани, взятой с шейки матки для дальнейшего микроскопического исследования. Как и в предыдущем случае, такие элементы не всегда говорят о раке. Более того, они могут не быть признаком опухоли, но являться тревожным знаком.
Важно! Атипичные клетки шейки матки в цитологии требуют особо пристального внимания со стороны врача, поскольку могут наблюдаться при дисплазии – предраковом заболевании, отсутствие лечения которого, вполне может закончиться перерождением клеток в раковую опухоль.
к оглавлению ↑
Мазок на цитологию: что это, зачем и как проводится?
Так, разобравшись в том, что такое клеточная атипия, перейдем к рассмотрению вопроса о том, как они выявляются, и когда необходимо провести диагностику. Чтобы выявить такие структуры, проводится Пап-тест. Данное исследование еще называется мазком на атипию, мазком на цитологию или пробой Папаниколау.
Обычно особых оснований для выполнения манипуляции нет – гинекологи всегда делают ее для подстраховки. Но есть некоторые ситуации, когда проба крайне необходимо и обязательна. Это:
- ведение женщиной беспорядочной половой жизни;
- курение;
- наличие в крови пациентки папилломавируса, проявляющегося появлением на теле папиллом, либо остроконечных кондилом на половых органах;
- ранее начало сексуальной жизни;
- отсутствие родов или осложненный родовой процесс;
- аборты, выкидыши в анамнезе.
Мазок на атипичные клетки также необходим в том случае, если у женщины есть генетическая предрасположенность к раку шейки матки. То есть, если у мамы, тети, сестры или бабушки пациентки были выявлены раковые клетки, пробу необходимо проводить регулярно. И даже если они не переросли в полноценную раковую опухоль, мазок на АК с шейки матки крайне необходим.
к оглавлению ↑
Как проводится забор материала?
Процедура проводится в кабинете врача, женщина при этом находится на гинекологическом кресле. С помощью специального инструмента врач расширяет цервикальный канал, чтобы получить доступ до шейки матки. Перед забором мазка на раковые клетки гинеколог тщательно изучает шейку детородного органа визуально.
При наличии подозрений на развитие патологических процессов в тканях маточной шейки ее поверхность обрабатывается уксусным раствором. После этого, при помощи кольпоскопа, гинеколог рассматривает обработанные участки. Если они побелеют, значит, есть необходимость в проведении цитологического исследования на атипичные клетки.
Как это происходит? Скажем сразу: процедура совершенно безболезненная, но может быть неприятной, немного дискомфортной. Длится она буквально несколько секунд – гинеколог, с помощью стерильного инструмента, проводит по поверхности пораженных участков эпителия.
Затем образец ткани помещается в стерильную капсулу и плотно закрывается. Вот и все – процедура взятия мазка на атипические клетки с шейки матки завершена. Остальное сделают работники лаборатории, которые детально изучать полученный биоматериал под микроскопом.
Приблизительное время подготовки результатов исследования – 1 месяц. Хотя, конечно, все зависит от того, где проводится процедура, и каким именно методом.
к оглавлению ↑
Мазок на цитологию: как трактовать результаты?
Расшифровка мазка на атипичные клетки проводится гинекологом в присутствии самой пациентки. Важно учитывать, что не всегда результаты получаются достоверными – иногда женщине приходится проходить манипуляцию повторно. В этом случае забор образца проводится спустя 2 – 3 месяца после первой процедуры.

На заметку. Даже если в мазке были обнаружены атипичные клетки, это не обязательно подразумевает рак. Подобное наблюдается при миоме матки или эндометриозе.
Но если в первом случае бояться нечего (миома – доброкачественная опухоль, которая успешно лечится), то во втором бояться есть чего.
При отсутствии лечения эндометриоз вполне может перейти в рак, и это является самым опасным его осложнением.
Так, как проводится расшифровка результатов мазка на атипические клетки? Есть только 2 варианта:
- результат положительный;
- результат отрицательный.
В принципе, некоторые клиники имеют свою схему трактовки данных теста. Она заключается в том, что при отрицательных результатах теста клиника просто не выдает никаких заключений. Иными словами, отсутствие результата приравнивается к тому, что признаков атипии нет.
Теперь остановимся более подробно на том, как трактуются данные исследования.
- Атипичные клетки в мазке на цитологию присутствуют. Это значит, что результат положительный. Помимо этого, лаборантом обязательно указывается степень дисплазии матки, а вот дальнейшие рекомендации относительно лечения и прочих мероприятий дает уже гинеколог.
- Отсутствие АК в образце материала. Атипические клетки не обнаружены – что это значит? Если пациентка получила такой результат анализа мазка на цитологию, значит, она может быть полностью спокойна: у нее нет предпосылки к развитию онкологического процесса на данный момент. Но поскольку поведение таких структур непредсказуемо, и они вполне могут появиться в будущем, то контролировать состояние матки нужно постоянно.
Есть еще один вариант результата теста на цитологию – атипические клетки плоского эпителия неясного значения.
Это значит, что выявленные структуры не являются типичными для шейки матки, но при этом, не указывают на наличие онкологического или диспластического процесса на данный момент.
Однако стоит принять во внимание подобное отклонение, поскольку ни один врач не сможет дать гарантий относительно того, что рано или поздно выявленные клетки не переродятся в злокачественные, а из них не сформируется раковая опухоль.
Таким образом, можно сделать вывод из того, что это значит, если изученный материал оказался без признаков атипии. Это самый благоприятный для женщины «вердикт, поскольку он прямо указывает на отсутствие риска развития онкологии матки или ее шейки.
Но это не значит, что можно на годы забыть о визите к гинекологу. Напротив, нужно регулярно, каждые полгода, проходить гинекологическое обследование с обязательным проведением цитологического исследования.
Выявление атипичных клеток – не приговор, особенно на ранних стадиях. В этом случае прогноз будет максимально благоприятным.
А вот при позднем обнаружении таких структур прогнозы резко ухудшаются, причем, не только на выздоровление, но даже на жизнь.
Что такое атипичные клетки и опасно ли их появление?
Атипичными называются клетки, отличные от родительской группы, иногда их еще могут называть клетками с измененной ДНК. Они появляются, если в ходе естественного деления возникают ошибки. В некоторых случаях такие клетки могут перерождаться в онкологические заболевания.
Как правило, такие мутации подавляются при помощи иммунитета, но это происходит не всегда.
Дело в том, что из-за нездорового образа жизни и переносимых заболеваний иммунитет ослабевает и просто не успевает порой бороться со всеми негативными факторами, которым подвергается наш организм, включая вредные клеточные мутации.
Что такое атипичные клетки
При цитологическом исследовании атипичные клетки выявляются по аномалиям в своей структуре. Мутировавшие клетки могут затаиться в организме, а затем проявиться в агрессивной форме при ослаблении иммунитета. Возможет также и другой вариант развития – в здоровом организме неправильные клетки уничтожаются иммунитетом.

Для того, чтобы атипичные клетки превратились в онкологию, каждая такая клетка должна пережить более 5 мутаций. На самом деле именно цитокины – естественные противовоспалительные вещества являются спусковым механизмом для развития раковых клеток и их распространения по организму.
Атипичные клетки могут существовать в организме достаточно долго, но своя кровеносная система может появляться у них только когда начинают действовать цитокины, которые могут в этот момент как раз бороться с очагом воспалительного процесса. А появление собственной кровеносной система способствует бесконтрольному быстрому росту и размножению клеток.
Однако, если в зоне воспаления атипичных клеток нет, то воспалительный процесс просто сходит на нет со временем.
А вот наличие клеток с мутациями как раз может привести к тому, что далее расти и развиваться начнут именно они по каким-то своим жизненным сценариям.
А еще у таких клеток не работает механизм самоуничтожения, это еще одна из причин, по которым так сложно бороться с онкологическими заболеваниями, ведь получается, что клетки таким образом практически бессмертны.
Шанс перерождения атипичных клеток в злокачественные повышается при наличии хронического вялотекущего воспаления.
В здоровом же организме, с нормальным иммунитетом и при отсутствии раздражающих факторов атипичные клетки в большинстве случаев уничтожаются сами собой также внезапно, как и появились.
Для того, чтобы максимально снизить риск перерождения следует укреплять иммунитет, правильно питаться, заниматься спортом, а также регулярно проходить плановые медицинские обследования и своевременно лечить обнаруженные воспалительные процессы, не допуская их перехода в хроническую форму.
Причины возникновения
Такое нарушение в строении может возникнуть из-за различных перенесенных заболеваний или в результате появления злокачественных или доброкачественных новообразований.
Атипичные клетки появляются в организме постоянно и в больших количествах. При чем в атипичные могут превращаться и здоровые клетки, а со временем повышается их риск перерастания в злокачественные.
Но рак развивается не всегда, так как в ДНК заложен механизм естественного старения и самоуничтожения клеток – апоптоз. С его помощью в организме разрушаются, в том числе и атипичные клетки.
Но иногда в механизме апоптоза наблюдаются сбои, что является еще одной из причин перерождения атипичных клеток в раковые.
Основной причиной возникновения клеточных мутаций чаще всего является хронический вялотекущий воспалительный процесс. Организм старается бороться с воспалением, направляя к его очагу цитокины, а их присутствие может послужить толчком для перерождения атипичных клеток в злокачественные.
Вредные привычки могут быть причиной появления атипичных клеток
Помимо всего вышеописанного к возникновению атипичных клеток могут приводить различные факторы, ослабляющие иммунитет, например, вредные привычки, неправильное питание, отсутствие физических нагрузок, редкое пребывание на свежем воздухе и не только.
Все эти факторы в сумме делают естественную защиту организма слабее и провоцируют ошибки при естественном делении клеток. В данном случае организм просто не успевает избавиться вовремя от всех неправильных клеток и часть из них выживает. Со временем именно такие выжившие клетки могут превратиться в злокачественные, если не устранить фактор, провоцирующий их появление.
Так, например, хронические воспалительные процессы довольно часто способствуют появлению раковой опухоли.
Атипичные клетки в цитологии
Для выявления атипичных клеток делается так называемый анализ на цитологию. Задачи этого анализа могут различаться в зависимости от вида изучаемых клеток.
Прежде всего проверяется соответствует ли состояние клетки норме. Здесь обращают внимание на структура взятого материала, форму и наличие посторонних включений.
Обнаружение лейкоцитов или инфекционных микроорганизмов свидетельствует о наличии воспалительного процесса. Самым опасным является нахождение атипичных клеток, постепенно перерождающихся в злокачественные.
Тогда больного направляют на дальнейшую диагностику, так как это дает шанс обнаружить опухоль на ранней стадии.

Цитологическое исследование – один из способов простой диагностики, позволяющей выявить подозрение на онкологию. Также это хороший способ убедиться в результате проведённой операции и определиться с целесообразностью дальнейшего наблюдения и лечения.
Атипичные клетки можно диагностировать цитологическим исследованием
Клетки для исследования возможно получить несколькими способами: при помощи пункции, из биологической жидкости (слюна, мокрота и т. д.
), путем выполнения соскоба, из отпечатков тканей (их берут с участка свежего разреза при операции).
Часто клетки для исследования стараются брать сразу с нескольких участков ткани для получения более точных результатов.
Важно, чтобы взятый образе был подготовлен к исследованию правильно, иначе существует риск постановки неправильного диагноза.
Исследование клеток может проводиться следующими способами:
- При помощи электронного или светового микроскопа;
- При помощи меченых атомов (в клетку предварительно вводится радиоактивный изотоп);
- Методом центрифугирования (отделяя мембрану от клетки);
- Путем прижизненного изучения (исследуются процессы жизнедеятельности внутри конкретной взятой клетки).
В качестве результатов исследования получают данные об изменения в ядре, цитоплазме, а также о наличии дополнительных включений и об общей структуре клетки.
Вероятность перерождения атипичных клеток в онкологию
В целом атипичные клетки в организме образуются довольно часто. При этом их ни одна пи не две, а миллионы.
Природой задумано, что такие клетки будут уничтожаться при помощи механизма естественного старения и смерти – апоптоза. Именно благодаря этому процессу организм избавляется от мутировавших клеток.
Сбой в программе самоуничтожения мутировавшей клетки как раз и может привести к ее перерождению в злокачественную.
Кроме того, у людей заложен механизм естественного восстановления клетки после получения повреждений. Если восстановление невозможно – запускается апоптоз. Однако, в ослабленном организме этот механизм действует уже не так хорошо, да и процесс самоуничтожения может сбоить.
Именно в таких случаях чаще всего как раз и происходит перерождение атипичных клеток в злокачественные, такой процесс называется онкогенезом. Тем не менее, обнаружение злокачественных клеток еще не всегда сигнализирует о раке. Полное перерождение – процесс довольно медленный.
Для того, чтобы установить предраковое состояние достаточно обнаружить небольшое количество атипичных клеток в организме.
При быстром устранении провоцирующего фактора предраковое состояние может рассосаться самостоятельно, а вот если никаких мер не предпринимать, то атипичные клетки со временем переродятся в раковые.
В результате может возникнуть злокачественное новообразование, справиться с которым будет на порядок сложнее.
Регулярные обследования и своевременное лечение обнаруженных заболеваний смогут существенно уменьшить риск превращения мутировавших клеток в раковые.
В здоровом организме с хорошим иммунитетом у атипичных клеток практически нет шансов переродиться в злокачественные, так как они будут уничтожены гораздо раньше при помощи естественного защитного механизма. А вот если человек ослаблен, то здесь необходим тщательный медицинский контроль за изменениями в состоянии и возможно дополнительная терапия, направленная на поддержание иммунитета.
Показания к назначению цитологических исследований
Отправить на такой анализ могут самые разные специалисты – гинеколог, онколог, хирург, терапевт и не только.
Цитологическое исследование на наличие атипичных клеток может быть назначено в следующих случаях:
- Скриннинг при регулярных профилактических осмотрах (помогает быстро и недорого выявить пациентов с подозрением на рак);
- Наблюдение за прогрессом во время лечения и отслеживание результатов;
- Подозрение на наличие вируса, воспаления или злокачественного новообразования;
- Уточнение диагноза при оперировании опухоли;
- Проверка состояния организма на предмет рецидивов заболеваний (в частности, онкологического характера).
Отправить на цитологическое исследование может врач при подозрении на рак
Это один из самых быстрых методов диагностики, позволяющий определить общее состояние, а также наличие злокачественного новообразования или атипичных клеток, готовых переродиться. А своевременное обнаружение атипичных клеток помогает предотвратить множество негативных последствий для пациентов.
Расшифровка результатов цитологии при предраковых патологиях | Университетская клиника
Расшифровка результатов цитологии
Предраковыми патологиями шейки матки считаются заболевания, приводящие к развитию злокачественных опухолей. Существует несколько таких болезней, каждую из которых отличают особенности цитологических мазков.
Осмотрев под микроскопом окрашенный материал, взятый с поверхности шейки и проходящего в ней цервикального канала, врач по внешнему виду и расположению клеток может определить, какое заболевание имеется у женщины. Все данные вносятся в бланк. Расшифровку анализа проводит врач онколог-гинеколог.
Чем предраковые клетки, обнаруженные при цитологии шейки матки, отличаются от здоровых и злокачественных
Эти клетки отличаются от здоровых размерами, строением, наличием различных включений. Они не имеют столь разительных отличий, как злокачественные, но и здоровыми их назвать нельзя. То есть предрак – это переходное состояние между нормой и онкологией.

Существуют также клетки с атипией неясного значения, обозначаемые в результатах анализа ASC-US, ASC-H, AGC. AGUS-NOS. Хотя они имеют патологические изменения – увеличенные ядра и другие аномалии строения, это отклонения не столь явные, чтобы отнести их к предраку или раку. Например, такие клеточные элементы могут появляться при воспалении, а потом исчезать после проведенного лечения.
Со временем, при отсутствии лечения, предраковое состояние утяжеляется. По мере проникновения патологического очага внутрь тканей, клетки все больше напоминают раковые. В результате предрак переходит в злокачественную опухоль шейки матки.
Перерождение здоровых клеток в предраковые, а затем – в злокачественные, происходит постепенно, поэтому обнаружить границу между этими состояниями может только опытный врач-цитолог.
Осмотр материала под микроскопом
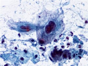
Как выглядят предраковые клетки при проведении цитологии шейки матки. Расшифровка и интерпретация терминов, встречающихся в результатах исследования
Клетки, обнаруженные в мазках при предраке, отличаются от здоровых. У них наблюдаются:
- Атипия – несоответствие размера, формы и других показателей норме. Клетки могут быть слишком большими или маленькими, с неправильным строением или несвойственными включениями. При окраске образца, их жидкая часть – цитоплазма часто имеет неравномерную окраску.
- Дискариоз – аномалии ядра – центральной части клетки, служащей для хранения генетической информации. При дискариозе ядра могут быть увеличенными, уменьшенными, иметь неправильную форму и контуры, утолщенную наружную оболочку – мембрану.
- Проявления койлоцитоза – в мазке обнаруживаются клетки-койлоциты, присутствие которых указывает на инфицирование папилломавирусом. Они крупные с увеличенными деформированными ядрами и неправильным строением. Из-за большого размера ядер жидкая часть клетки – цитоплазма сохраняется только по краю, образуя тонкий ободок-– гало.
- Кератоз – ороговение клеток. Шейка матки не имеет рогового слоя, оставаясь мягкой, поэтому такие клетки в норме в мазке не обнаруживаются. Степень ороговения может быть разной: слабой – паракератоз, более выраженной – гиперкератоз и значительной – акантоз. Ороговевшие клетки содержат сморщенные, деформированные, неправильно развитые ядра и измененную жидкую клеточную часть – цитоплазму. При выраженном ороговении в них обнаруживается прочный белок кератин, поэтому при кератозе в мазках обнаруживают блестящие плотные роговые клетки.
- Атипичный митоз (неправильное деление). Единичные делящиеся клеточные элементы в образце – норма, особенно если деление происходит правильно. Нарушение этого процесса характерно для предрака и рака.
Мелкие клетки с резким дискариозом
Результаты цитологии при различных предраковых состояниях
| Предраковая патология | Характеристика | Цитологическая картина |
| Дисплазия | Патологическое состояние шейки матки, вызванное инфицированием папилломавирусом. Возбудитель попадает в эпителии шейки, влияет на процесс формирования и развития клеток, приводя к появлению неправильно развитых клеточных структур | Слабая степень (CINI). На этой стадии болезни поражается только верхний слой эпителия (1/3), поэтому в мазке обнаруживаются неправильно развитые клетки, принадлежащие к наружному слою шейки |
В мазках обнаруживаются клетки с признаками койлоцитоза, появившиеся из-за инфицирования папиломавирусом.
Обнаруживаются клетки с дискариозом, у которых ядра увеличены, имеют неправильные контуры и окраску.
Видны другие клетки, отличающиеся строением и окраской, но количество неправильно развитых клеточных элементов невелико
Отличительная черта таких клеток – большой размер и нарушение пропорций между размерами ядра и жидкой части – цитоплазмы.
Количество атипичных клеток значительно выше, чем при легкой степени
Наблюдаются неправильно делящиеся клетки (атипичный митоз)
В образцах много лейкоцитов за счёт постоянного вялотекущего воспалительного процесса, а ранимость шейки приводит к появлению примесей крови

По мере утяжеления предрака клетки все больше напоминают злокачественные. Они сбиваются в комплексы, напоминающие сгустки, пчелиные соты, розетки, наслаиваются друг на друга, образуя пласты.
Соотношение классификаций по стадиям развития предраковых состояний шейки матки
В документе, выдаваемом по результатам цитологии, врач-цитолог перечисляет клеточные структуры, обнаруженные в мазке. Это позволит гинекологу-онкологу после расшифровки результатов анализа поставить правильный диагноз.
При обнаружении в анализах на цитологию клеток, характерных для дисплазии, указывается степень предрака:
- Лёгкая (LSIL) – результат, соответствующий первой стадии болезни (CINI)
- Тяжёлая (HSIL) – вторая-третья стадия болезни (CINII-CINIII)
Самостоятельно расшифровать такое заключение крайне сложно – документ содержит термины, для понимания которых нужны знания в области цитологии, гинекологии и анатомии. Поэтому для расшифровки и интерпретации анализов нужно обращаться к гинекологу-онкологу. Специалист объяснит результаты анализа на цитологию, а, при необходимости, назначит дополнительное обследование и лечение.
ссылкой:
Что такое атипичные клетки?
Под влиянием различных факторов, которым каждый день подвергается человеческий организм, происходит мутация клеток, которые начинают видоизменяться и могут переродиться в опухолевые – вот что это такое – атипичные клетки.
Что способствует возникновению
Перерождению здоровых в атипичные способствуют следующие факторы:
- Различные канцерогены (вредное производство, неблагоприятная экологическая обстановка и т.д.);
- Длительное контактирование с агрессивными химическими веществами;
- Долгое пребывание на солнце, частое посещение солярия (ультрафиолет);
- Электромагнитное излучение;
- Слабая радиация.
Эти и другие факторы способны менять генетическую информацию в клетках человеческого организма, а в результате этого возникает атипия клеток. Они, перерождаясь, приобретают несвойственные им черты и признаки, являющиеся патологическими изменениями генома.
Почему и как происходит перерождение
Хотя давно доказано, что клетки с измененной ДНК формируются в человеческом организме все время, и речь идет не о единичных клетках, а о миллионах, но преобразование их в опухолевые происходит не всегда. ДНК с самого начала заложен процесс старения и разрушения клеток (апоптоз).
Этот процесс происходит на генетическом уровне, он ответственен за то, чтобы подобные клетки удалялись из организма методом саморазрушения. Но иногда в такого рода программе саморазрушения происходит сбой, что и является предпосылкой к развитию опухоли.
Сначала нормальная клетка становится атипичной, а уже следующим этапом может быть ее перерождение в раковую.
Обратите внимание! В любом организме заложен целый механизм, который направлен на угнетение раковой трансформации, такой процесс носит название «система репарации». Эта система необходима для восстановления клеток после негативного на нее воздействия, а неспособные к реанимации (атипичные) эта система уничтожает.
Если с организмом человека не все в порядке в плане здоровья, это означает, что система репарации дает сбой. Риск перерождения атипичных клеток в раковые носит название «онкогенез».
Хотя такие атипичные клетки и имеют признаки опухолевых (это может показать анализ), но это еще не рак. Полная трансформация их в онкогенные будет происходить медленно и постепенно.
Этап перерождения, когда начинают проявляться минимальные признаки клеточной мутации (атипии), является предраковым состоянием.
Иногда организм может справиться с такой патологией своими силами, но для этого обязательно надо удалить тот, негативно влияющий, фактор. Или процесс трансформации получит дальнейшее развитие.
Анализ на атипичные клетки
Важно! Сдача анализа на атипичность (мазка на цитологию шейки матки) проста и безболезненна. Мазок на этот анализ обычно проводят в женских консультациях совершенно бесплатно.

Этот анализ называется еще Пап-тест (мазок по Папаниколау), его важность заключается в том, что он может помочь выявить рак шейки матки на ранних стадиях. А рак такого типа относится к одному из самых распространенных онкологических заболеваний у женщин.
Подготовка к сдаче анализа
Чтобы получить достоверную информацию при сдаче мазка, надо соблюсти некоторые рекомендации:
- Мазок на АК не берется во время менструации (для достоверности результата его надо проводить в период с 7 по 11 день цикла);
- За два дня исключаются сексуальные отношения;
- Также за несколько дней до сдачи анализа надо отказаться от использования таблеток, спринцеваний, вагинальных свечей, желательно в эти дни пользоваться душем, а не принимать ванну.
Положительный или отрицательный
Атипия в гинекологии может говорить еще и о дисплазии, различных воспалительных процессах (хламидиях), наличии вируса папилломы человека (при этом происходит койлоцитоз — возникает койлоцитарная атипия), изменениях структуры эпителия и других заболеваниях не онкологического характера.
После забора мазка на цитологические исследования его наносят на специальное стекло и отправляют на исследование в лабораторию, где производят окрашивание полученного материала и рассматривают его с помощью микроскопа. Задачей лаборанта является расшифровка соответствия норме размеров, форм и строения клеток – именно в отклонении от норм этих параметров проявляется атипичность раковой клетки.
Получите смету на лечение
* Только при условии получения данных о заболевании пациента, представитель клиники сможет рассчитать точную смету на лечение.
Полученная цитограмма исследования мазка может быть 5 типов:
- 1 – без признаков атипии;
- 2 – присутствует цитологическая картина воспаления, которое вызвано трихомонадами, гонококками, хламидиями, ВИЧ (ВГП), грибами, гарднереллами;
- 3 – есть дисплазия различного типа (слабая, умеренная, тяжелая) – плоской или цилиндрической эпителиальной ткани;
- 4 – есть подозрения на рак;
- 5 – диагноз рак.
Если анализ показал отрицательный результат, то онкология не обнаружена.
Рак это или нет, можно сказать только после проведения дополнительных обследований – общего анализа мочи и крови, гистологического исследования, анализа крови на онкомаркеры и т.д. На наличие патологии указывает отсутствие многоядерных и двухъядерных клеток в шейке матки.
Что еще надо знать об анализе на атипичность
Периодичность сдачи такого мазка – один раз в год, если вы проживаете в местах с неблагоприятной экологической обстановкой, то сдача анализа происходит чаще – раз в полгода.
Мазок на этот анализ берется из слизистой цервикального канала. Обычно результат готов максимум через 2 недели.
Проводимые регулярные исследования гинекологического характера и анализы на атипичные клетки помогают выявить своевременно все эти изменения, когда такого рода патология излечима, а значит, вовремя предотвратить процесс формирования рака.



