Маточная труба не визуализируется на УЗИ: почему и является ли это нормой
Диагностика состояния женской репродуктивной системы включает в себя врачебный осмотр, гормональную панель и ультразвуковое обследование. Многих женщин интересует, если на УЗИ маточная труба не визуализируется что это значит, на сколько важно данное исследование.
Анатомические и физиологические особенности органа
Маточные, или фаллопиевы, трубы считаются полым и несколько вытянутым парным органом, который является важной частью женской репродуктивной системы. Они располагаются практически горизонтально и начинаются от дна матки по обе ее стороны.
Основные функции фаллопиевых труб:
- транспортировка яйцеклетки, сперматозоидов;
- создание благоприятных условий для оплодотворения, развития зиготы и перемещения ее в полость матки.
В норме каждая труба начинается с маточного (или интерстициального отдела), который заключен в толще миометрия и имеет длину около 15-30 мм.
За пределами матки орган переходит в перешеек (истмический отдел) – тонкий горизонтальный канал в листках широкой связки, имеющий длину 27-40 мм. За перешейком следует ампулярный отдел.
Он занимает около 50% от всей длины трубы, заканчивается своеобразной воронкой, на которой есть узкие и длинные ворсинки – фимбрии. Последние захватывают вышедшую в результате овуляции в полость малого таза яйцеклетку и переносят ее в трубу.
У женщин репродуктивного возраста средняя длина маточной трубы колеблется в пределах 100-120 мм, а толщина – 5 мм. При этом, по статистике, левая трубка несколько короче правой.
Зачем и как делают УЗИ маточных труб
Однако при трансвагинальном исследовании у малого процента пациенток врачам удается вывести орган на фоне излившейся во время овуляции перитонеальной жидкости. Таким образом, если в протоколе исследования указано, что маточные трубы не определяются на УЗИ – это значит, что они не были подвержены патологическим изменениям.
Показания к эхогистеросальпингографии (ЭхоГСС), или гидросонографии, (ультразвуковой осмотр придатков матки):
- нарушение менструального цикла (нерегулярность, болезненные менструации, изменение их длительности);
- частые воспалительные процессы внутренних половых органов;
- подозрение на бесплодие (неуспешные попытки зачать ребенка на протяжении 12 месяцев);
- болезненные ощущения в нижних боковых отделах живота, надлобковой области;
- наличие в анамнезе венерических заболеваний;
- подготовка к экстракорпоральному (искусственному) оплодотворению.
Если планируется трансабдоминальное УЗИ, то женщине за 2-3 до процедуры следует исключить продукты, повышающее газообразование в кишечнике. В день исследования за 1-1,5 часа до манипуляции необходимо выпить 800-1000 мл жидкости, чтобы наполнить мочевой пузырь. При трансвагинальной методике мочевой пузырь должен быть пустым, то есть перед обследованием нужно помочиться.
Как проводится гидросонография:
- Женщина принимает удобное положение в специальном гинекологическом кресле.
- Врач вводит тонкий катетер в полость матки через ее шейку. После чего в орган подается стерильный физраствор температурой в 37 градусов (или Эховист).
- Под контролем УЗИ врач наблюдает за процессом заполнения раствором матки и фаллопиевых труб.
- В конце исследования из влагалища извлекается датчик, а из матки – катетер.
При обычном сканировании, без использования контрастного вещества, этот орган никак не описывается – это значит, что маточные трубы не визуализируются. Согласно официальной статистике, полная или частичная непроходимость органа встречается у 42-80% бесплодных женщин.
В этом видео приведены важные рекомендации о необходимости проверки состояния маточных труб.
Почему маточные трубы не визуализируются на УЗИ
В норме эти структуры настолько тонкие и маленькие, что разрешающая способность большинства аппаратов попросту не позволяет осмотреть их с помощью ультразвука. Кроме того, трубы постоянно совершают плавающие движения.
При трансвагинальной методике, при условии скопления достаточного количества жидкости в малом тазу, иногда удается «поймать» этот орган. Нормальные трубы имеют однородную структуру; мышечный слой и просвет не определяются. В некоторых случаях врач может увидеть ампулярный сегмент с фимбриями.

Именному поэтому для оценки состояния «придатков» матки проводят гидротубацию, или гистеросальпингоскопию.
Причины нарушений в репродуктивной системе
В значительном количестве случаев беременность может не наступать из-за отсутствия проходимости фаллопиевых трубок. Причины патологии:
- аномалии развития внутренних органов репродуктивной системы (двурогая, рудиментарная матка и т.д.);
- воспалительные процессы со стороны придатков матки (оофорит, сальпингоофорит, аднексит);
- спаечная болезнь в области малого таза в результате перенесенного перитонита, после оперативных вмешательств;
- распространенный эндометрит (воспаление внутренней выстилки матки) как осложнение аборта;
- прервавшаяся или хирургически купированная внематочная беременность.
Видны ли на УЗИ малого таза маточные трубы: в норме – нет; их полноценный осмотр возможен при условии введения в матку контрастного вещества.
Такое исследование называется гистеросальпингоскопией, проводится оно по строгим показаниям и при отсутствии беременности, острого воспаления или опухолей половых органов, маточного кровотечения.
Процедура выполняется врачами-гинекологами с помощью ультразвукового аппарата, специального катетера и контрастного вещества.
Узи маточных труб
Современную медицину сложно представить без специальных методов обследования. Это и рентген–аппараты, и МРТ, и электрокардиографы, и абсолютно всем известный аппарат УЗИ.
Появление УЗИ значительно облегчило жизнь врачей акушеров-гинекологов в плане диагностики. Появилась возможность обследовать беременных женщин, практически визуально контролируя степень развития ребёнка, в результате своевременно реагировать на появление патологий.
В плане обследования пациенток с гинекологическими патологиями стало возможно выявление кистозных новообразований, миом, воспалительных процессов репродуктивных органов.
Практически каждая женщина в возрасте от 20 до 65 лет, хотя бы раз проходила процедуру ультразвукового исследования. Рассматривая результаты обследования по дороге в кабинет гинеколога, находила странную запись: «маточные трубы не визуализируются». Что это? Страшный недуг или нормальный результат обследования? Об этом расскажем подробнее.
- 1 Визуализация
- 2 Методика
- 2.1 Гидросонография
- 2.2 Рентген
Визуализация
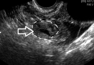
В норме маточные трубы при процедуре ультразвукового исследования не визуализируются. Это означает, что их не видно. Разглядеть их на УЗИ можно в том случае, когда происходит скопление жидкости в просвете фаллопиевых труб. А это признак воспалительного процесса, то есть патология.
Кроме воспалительных процессов в маточных трубах может развиваться и спаечный процесс. В этом случае, если просвет трубы закрыт полностью, образуется сактосальпинкс и гидросальпинкс – полость, заполненная жидкостью. Характер жидкости можно установить при дальнейшем обследовании, а УЗИ установит наличие воспалительного процесса, локализацию (правая и/или левая труба).
Методика
Методика проведения ультразвукового исследования достаточно проста и абсолютно безболезненна. Кроме того, УЗИ, вопреки сложившемуся мифу, безопасная методика, поэтому её и применяют для диагностики во время беременности.
Показания для проведения УЗИ:
При беременности УЗИ проводят в самом начале, когда наблюдается задержка менструации. Также исследование осуществляется планово вначале и каждого триместра, а при наличии патологиях может проводиться и в несколько раз чаще.
При обычном УЗИ, если нет развития патологических процессов или скопления жидкости в полости малого таза, то маточный трубы не лоциируются, то есть их не видно. Существуют специальные методики для определения проходимости маточных труб. Как проверить маточные трубы на проходимость и зачем это нужно?
Иногда, под влиянием множества причин, среди которых превалирует фактор воспалительных процессов, в маточных трубах активируется спаечный процесс. Спайки соединяют стенки маточных труб между собой, перекрывая, значительно или полностью, просвет в трубах.

В результате нарушается проходимость фаллопиевых труб. Проявляется такая ситуация тянущими болями внизу живота со стороны поражённой трубы, нарушением менструального цикла, развивается бесплодие.
Если просвет маточной трубы закрыт не полностью, возникает угроза внематочной беременности. Оплодотворённая яйцеклетка не может проникнуть в полость матки, где должна прикрепиться к эндометрию и развиться дальше, а остаётся в маточной трубе и начинает расти
При достижении определённого размера яйцеклетки, появятся признаки:
- боли со стороны поражённого органа,
- задержка менструации (или скудная кровянистая мазня),
- тошнота,
- головные боли.
В дальнейшем может произойти разрыв маточной трубы, разовьётся перитонит. Это ситуация, представляющая угрозу жизни.
Поэтому представительницам прекрасного пола, планирующим беременность или имеющим проблемы со стороны репродуктивной системы, рекомендуют пройти процедуру проверки проходимости маточных труб. Сделать это можно двумя способами.
Гидросонография
Процедура проходит под контролем УЗИ. Пациентку укладывают на гинекологическое кресло, ноги согнуты в коленях. Во влагалище вводится гинекологическое зеркало. Затем обрабатывают шейку матки и влагалище антисептиками. Через цервикальный канал шейки матки в маточную полость вводят катетер.
Следующим этапом станет введение в полость матки физраствора. Жидкость попадёт сначала вовнутрь матки, а затем пройдёт по маточным трубам. Именно процесс прохождения жидкости по трубам и отслеживают с помощью УЗИ. Сама процедура длится примерно 25-30 минут, УЗИ – контроль может осуществляться трансабдоминально и трансвагинально.
Перед проведением процедуры специалист назначает обследование:
Обследование назначают с 7 по 21 день менструального цикла, наиболее результативным считается период с 8 по 12 день цикла (перед овуляцией). В этот момент просвет цервикального канала раскрывается, что облегчает введение катетера. Однако следует учитывать индивидуальные особенности протекания цикла каждой женщины.
Непосредственно в день проведения исследования рекомендуется принять спазмолитическое средство (Спазмалгон, Но-шпа). При себе нужно иметь гигиеническую прокладку, так как возможно появление мажущих выделений. Последствия процедуры могут сопровождаться незначительными тянущими болевыми ощущениями внизу живота и наличием выделений.
Вместе с определением проходимости маточных труб можно определить состояние матки (миома, полипы, эндометрит и т.д.). Процедура не требует длительного нахождения в стационаре, применения наркоза.
Существует спектр противопоказаний:
- Нельзя проводить процедуру, если у пациентки маточное кровотечение.
- Воспалительные процессы в острой или иной форме, являются прямым противопоказанием.
- Патологические состояния шейки матки, влагалища.
- Беременность.
Рентген
Подготовка, сдача анализов и проведение процедуры полностью идентично проведению гидросонографии. Только вместо физраствора вводят специальное контрастное вещество (урографин, верографин), а вместо УЗИ-контроля делают рентген-снимок.
Процедуру можно проводить на протяжении всего менструального цикла, для определения проходимости маточных труб лучше выбрать вторую фазу цикла.
После проведения процедуры появятся умеренные болевые ощущения внизу живота, мажущие кровянистые выделения. Это нормально (выходит контрастное вещество). Однако в том случае, когда боли не прекращаются через три дня, выделения усиливаются, появляется повышение температуры – следует обратиться к гинекологу.
Доза рентгеновского излучения при этом методе обследования незначительна, однако стоит предохраняться от возникновения зачатия в течение одного менструального цикла (мера предосторожности).
Перед проведением процедуры необходимо сделать тест на определение беременности, УЗИ-контроль (по той же причине). Есть и противопоказания.
Нельзя проводить процедуру, если:
- Имеется аллергическая реакция на контрастное вещество.
- Воспалительные процессы репродуктивных органов.
- Беременность.
- Маточное кровотечение.
- Опухоли, кисты.
- Заболевания щитовидной железы.
Выбор метода обследования остаётся за специалистом. При появлении болей внизу живота, нерегулярности цикла, обильных выделениях и других тревожащих симптомах обратитесь к гинекологу Своевременно проведённое обследование и лечение — залог вашего здоровья.
Маточные трубы не визуализируются на УЗИ
При диагностике женской репродуктивной системы используют лабораторные и инструментальные методы исследования. Ультразвуковая диагностика позволяет выявить функциональные и структурные изменения. Если маточные трубы не визуализируются на УЗИ – это тревожный признак, который требует незамедлительной консультации лечащего врача.
Анатомические особенности органа
Матка является непарным полым мышечным органом, который локализован возле мочевого пузыря и прямой кишки. Маточные трубы являются полыми, парными органами – важной частью репродуктивной системы женщин.
Они расположены в горизонтальной плоскости и берут свое начало с боковых поверхностей дна матки. Их длина составляет до 11-13 см.
Трубы располагаются в складках брюшины и представляют собой узкие цилиндрические каналы, который изнутри покрывает мерцательный эпителий, а снаружи соединительнотканная оболочка.

Согласно статическим данным, длина левой трубы незначительно меньше, чем правой.
Маточные трубы являются настолько миниатюрными структурными элементами репродуктивной системы женщины, что большинство современных аппаратов УЗИ просто не могут их визуализировать.
Эти органы находятся в постоянном «плавающем» состоянии, что также затрудняет возможность их детального осмотра на УЗИ. В большинстве случаев, если трубы не просматриваются – это указывает на отсутствие патологических изменений.
Физиологические особенности
Основными функциями маточных труб является перемещение яйцеклеток и сперматозоидов именно эти органы создают наиболее благоприятные условия для успешного оплодотворения, развития зигот и их дальнейшей транспортировки в матку.
Каждая труба начинается в маточном отделе, заключенном в миометрии и достигающем длины до 25 мм. Из матки трубы переходят в перешейки – тонкие горизонтальные каналы, длиной до 35 мм. Перешеек переходит в ампулярный отдел – наиболее длинный участок труб.
На конце труб расположены своеобразные воронки, покрытые узкими, длинными ворсинками – фимбриями. Именно они захватывают яйцеклетки и переносят их в область трубы.
Зачем делают УЗИ
УЗИ – простая, безболезненная методика, которую проводят по показаниям: при жалобах на болевые ощущения внизу живота, нарушениях менструального цикла, обильных месячных, межменструальных кровотечениях, для контроля овуляции, а также своевременного выявления новообразований.
Процедуру также назначают пациентам, в анамнезе которых есть венерические заболевания, при подготовке к экстракорпоральному оплодотворению. Во время беременности процедуру проводят каждый триместр, чтобы контролировать рост и развитие плода.
Обычное УЗИ не визуализирует маточные трубы и для определения проходимости органов пользуются другими диагностическими методиками.
Как проводится
При планировании трансабдоминального УЗИ рекомендовано за 24-48 часов исключить употребление продуктов, вызывающих повышенное газообразование. В день проведения процедуры необходимо выпить не менее 1 литра жидкости для наполнения мочевого пузыря. Для того, чтобы провести ультразвуковое исследование придатков матки рекомендуют проведение гидросонографии. Ход проведения процедуры:
- женщине предлагают занять удобное положение на гинекологическом кресле
- через шейку матки введут тонкий катетер, который подаст порцию физиологического раствора
- за ходом процедуры наблюдает врач-диагност, при этом физиологический раствор постепенно заполняет матку и фаллопиевые трубы
- после завершения процедуры из влагалища извлекут датчик, а из матки катетер
От полной или частичной непроходимости маточных труб страдает около 70% женщин с бесплодием.
Когда есть повод для беспокойства
Из-за прогрессирования воспалительного процесса может наблюдаться активация спаечных процессов в области маточных труб. Это сопровождается тянущими болями, нарушениями менструального цикла, затруднениями в процессе зачатия ребенка.
При любых описанных или каких-либо других симптомах рекомендовано воздерживаться от самолечения и обращаться за консультацией к опытному гинекологу.
Чем раньше специалисты выявят причину нарушения и направят усилия на ее ликвидацию, тем благоприятнее прогноз для женщины.
Двурогая, рудиментарная матка
Двурогая матка – это патология развития органа, которая сопровождается образованием двух отдельных частей с полостями. В нижней части матки такие «рога» объединяются, там же открывается общий канал в область влагалища.
Подобное нарушение возникает в результате наследственной предрасположенности, воздействия внешних провоцирующих факторов.
Это могут быть токсические вещества, вирусные инфекции, тяжелые металлы, патогенные микроорганизмы бактериального происхождения.
Специфические симптомы при данном нарушении отсутствуют. В некоторых случаях может наблюдаться нарушение менструального цикла, маточное кровотечение, невынашивание беременности, сложности с зачатием.
В большинстве случаев двурогую матку выявляют случайно, в процессе очередного планового осмотра у гинеколога. Специфическая терапия в большинстве случаев не требуется.
Хирургическую коррекцию проводят только в том случае, если есть сложности с зачатием.
Оофорит
Оофорит – воспалительный процесс, поражающий яичники. Развивается под воздействием инфекционно-воспалительных процессов: эндометрита, вульвовагинита, аднексита, инфекций, передающихся половым путем.
Среди предрасполагающих факторов, которые могут спровоцировать патологию, выделяют нарушение функционирования иммунной системы, регулярные переохлаждения, наличие в анамнезе множественных абортов, хирургических вмешательств, использование внутриматочной спирали, нарушение естественной микрофлоры.

Заболевание сопровождается интенсивной болью внизу живота, иррадирующей в область крестца или поясницы, интенсивными гнойными или слизистыми выделениями. Боль усиливается при мочеиспускании.
Также возникают жалобы на ухудшение общего самочувствия, наличие межменструальных кровянистых выделений. Терапию начинают с воздействия на причину, которая спровоцировала оофорит.
Используют лекарственные препараты с противовоспалительным, антибактериальным эффектом, а также общеукрепляющие и иммуномодулирующие средства. На время лечения рекомендовано воздерживаться от половой близости.
Сальпингоофорит
Сальпингоофоорит – патологический процесс, при котором воспаляются маточные трубы и яичники. Одна из основных причин которая приводит к бесплодию.
Развивается под воздействием инфекционных возбудителей: хламидий, гонококков, микоплазмы, стафилококка, кишечной палочки, стрептококков.
Наблюдается у женщин, которые подвержены регулярным переохлаждениям, переутомлениям, стрессам, абортам, множественным родам.
Болезнь сопровождается болью внизу живота, которая сохраняется и при двигательной активности, и в состоянии покоя.
Наблюдаются выделения из влагалища с неприятным запахом и окрашенные в зеленый цвет, повышается температуры тела. Женщина жалуется на тошноту, общую слабость, нарушения либидо и менструального цикла.
В ходе терапии пользуются антибиотиками, противовоспалительными средствами, физиотерапией.
Аднексит
Аднексит – воспалительный процесс, поражающий придатки матки. Приводит к одновременному воспалению маточных труб и яичников, провоцирует спаечные процессы. Возбудителем болезни являются патогенные микроорганизмы (хламидии, гонококк, стрептококк, стафилококк).
Болезнь сопровождается болью, неприятными ощущениями во время менструации, повышением температуры тела, слабостью, повышенной утомляемостью. При гнойной форме болезни показано хирургическое вмешательство.
В остальных случаях терапию проводят в условиях стационара при помощи антибиотиков и обезболивающих средств.
Спаечная болезнь
Спаечная болезнь – патологическое состояние, при котором внутренние органы и ткани начинают срастаться при помощи соединительных тканей.
Возникают в результате повреждений и высыхания внутренних органов, контракта с инородными предметами (марлей, медицинскими перчатками и т.д.), под воздействием инфекционных возбудителей и разрыва аппендицита или желчного пузыря.
Чаще всего течение бессимптомное, в ходе терапии предпочтение отдают хирургическому вмешательству.
Эндометрит
Эндометрит – патология матки инфекционного происхождения, которая наблюдается у женщин после рождения ребенка. Развивается под воздействием патогенных микроорганизмов, которыми заселена мочеполовая система.
К предрасполагающим факторам развития эндометрита относят кесарево сечение, наличие раневых поверхностей после отделения плаценты, дисфункции иммунной системы.
Болезнь сопровождается повышением температуры тела, гнойными выделениями, ознобом, ухудшением общего самочувствия.
Внематочная беременность
Внематочная беременность – патологический процесс, при котором плод начинает расти и развиваться вне полости матки. Развивается под воздействием эндометриозов, гормональных и эндокринных нарушений, наличии в анамнезе абортов. Может привести к развитию полостного кровотечения, которое требует незамедлительного оперативного вмешательства.
Узи маточных труб: цели обследования и правила проведения
Обязательным условием, при котором наступает беременность, является хорошая проходимость в трубах матки. Если она нарушена, то оплодотворённая яйцеклетка не может достигнуть матки. Из-за этого женщина может стать бесплодной. В некоторых случаях следствием непроходимости становится внематочная беременность.
Чтобы диагностировать состояние репродуктивной системы у женщины назначают УЗИ маточных труб. Такое исследование при помощи ультразвука имеет название гистеросальпингосонография (в сокращении ГССГ, а также УЗИ ГСГ). Другое название процедуры – УЗ ГСС, в расшифровке ультразвуковая гистеросальпингоскопия, она же, ЭХОГСС.
Понятие сонография маточных труб фактически указывает на проведение УЗИ.
В гинекологии часто проводится обследование маточных труб
Что представляет собой процедура
УЗИ ГСГ маточных труб проводят приблизительно на пятый – десятый день менструации. В матку вставляется катетер, через который вводят контрастное вещество. Этот препарат поступает и в трубы. Это улучшает их визуализацию.
Таким образом врач может осмотреть особенности строения труб. Контраст продолжает вводиться и далее поступает в полость брюшины. Это указывает на хорошую проходимость труб.
Если жидкость не может достичь брюшной полости, это означает, что проходимость нарушена.
В каких случаях она выполняется
Очень важно при бесплодии оценить состояние труб матки, поскольку это главный фактор наступления беременности. Яйцеклетка движется к сперматозоиду, а их встреча происходит в трубе. ЭХО ГСГ зачастую используется в качестве лечебного метода в случае планирования беременности. Зафиксировано около 16% случаев наступления беременности после данного исследования.
Нарушение состояния труб матки в 35% случаев являются причиной женского бесплодия. К плохой проходимости могут привести как острые, так и хронические патологии различных органов в малом тазу воспалительного характера, к ним относятся:
УЗИ показано при воспалении органов малого таза
- аднексит;
- генитальный внешний эндометриоз;
- воспаления после аборта;
- оперативные вмешательства в области малого таза и полости брюшины.
Невозможность забеременеть не является единственной причиной направления на УЗИ труб. Исследование может назначаться при внутриматочных заболеваниях (внутренний эндометриоз, миома, гиперплазия или полипы).
В зависимости от предполагаемой патологии диагностика может проводиться на разных этапах цикла менструации.
Какие методы применяются
Непроходимость в трубах матки женщине обнаружить самостоятельно, без проведения исследований, тяжело, поскольку патология не вызывает какого-либо дискомфорта и болевых ощущений. Только один признак указывает на наличие патологии – неспособность забеременеть длительное время. Если заболевание развилось вследствие спаек, то женщина начинает ощущать неприятные тянущие боли внизу живота.
УЗИ поможет выявить непроходимость маточных труб
Если не начать терапию вовремя, то инфекционный процесс затронет и мышечные ткани. В результате таких повреждений в трубах матки возникает рубцовая ткань, из-за которой яйцеклетка не может продвигаться по полости. Чтобы избежать таких процессов, необходимо регулярно посещать врача-гинеколога.
Существует несколько видов исследования, благодаря которым можно изучить маточную структуру и проходимость органа:
- ГСГ (гистеросальпингография). Применяется рентген. Проводится при помощи контраста, в качестве которого используется раствор «синьки». Когда раствор попадает в полость брюшины, то проходимость труб хорошая. Точность обследования около 80%.
- Эхогистеросальпингоскопия (гидросонография) – УЗИ. При этой диагностической процедуре в матку вводят тёплый физиологический раствор. Суть исследования такая же, как и в предыдущем методе – оценка проникновения жидкости в брюшину.
- Лапароскопия – оперативное вмешательство. Проводится только под наркозом. В коже живота делается три прокола, необходимые для введения хирургических инструментов и аппарата. Сначала врач осматривает наружные стенки труб, затем вводит в орган раствор для оценки проходимости.
- Фертилоскопия – хирургическое вмешательство. Оно отличается от предыдущего введением аппарата во влагалище. При этом сначала врач делает небольшой разрез в органе. Диагностику проводят под местной анестезией. Многие женщины испытывают сильные боли в это время. В ходе операции трубы осматриваются при помощи камеры и гистероскопа. Исследование позволяет не только выявить причины бесплодия, но и устранить некоторые из этих факторов прямо во время хирургического вмешательства.
Кроме УЗИ можно пройти лапароскопию
- Петрубация. Во время процедуры пациентке в область матки вводят газ. Если проходимость нормальная, то врач слышит некий характерный звук (шуршание, бульканье). Часто через некоторое время у женщины возникают боли в эпигастрии.
Плюсы и минусы данных исследований
Преимущества и недостатки перечисленных методов сведены в таблицу.
| ГСГ. | Отсутствие анестезии, неинвазивность метода. | Нежелательное облучение, необходимость предохраняться после исследования в течение месяца, болевые ощущения, неточность данных. |
| Гидросонография маточных труб. | Практически не вызывает болей и аллергических реакций. Исследование безопасно, поскольку излучение отсутствует. Отмечается лёгкая переносимость диагностической процедуры. | Недостаточная точность результатов. |
| Лапароскопия. | Наиболее точный метод, который позволяет устранить некоторые патологии прямо в ходе операции. Короткий период восстановления (максимум два дня). | Дорогое исследование, при котором есть риск возникновения осложнений. Кроме того безопасность, а также качество операции зависит только от врача. |
| Фертилоскопия. | Практически не вызывает осложнений. | Очень болезненная процедура. |
| Пертубация. | Безболезненное малоинвазивное исследование. | Не информативен, имеет множество диагностических ошибок. |
Как подготовиться женщине
Гинеколог в первую очередь должен определить, в какой день менструации лучше провести УЗИ. Затем назначается ряд анализов:
- выявление венерических заболеваний;
Предварительно женщине необходимо пройти комплекс анализов
- мазок;
- анализ мочи, крови.
В течение недели до исследования нельзя использовать тампоны и различные медикаменты (вагинальные свечи, таблетки). Нельзя также проводить спринцевания.
Всё это время надо соблюдать правильное питание. Не есть продукты, вызывающие газообразование. За два дня до процедуры надо отказаться от половых отношений.

Перед процедурой можно позавтракать лёгкой едой, например йогуртом. Если женщина очень чувствительна к боли, то можно выпить обезболивающий препарат.
С вечера следует удалить волосы с области проведения исследования. С собой необходимо взять прокладку и чистое полотенце.
Перед выходом из дома в медицинское учреждение надо опорожнить кишечник, а непосредственно перед входом в диагностический кабинет – мочевой пузырь.
Перед процедурой следует сходить в туалет
Как выполняется процедура
При обычном УЗИ трубы матки не получается визуализировать. Для их осмотра всегда вводят контраст, которым наполняется матка, он затем продвигается далее по трубам. Если проходимость хорошая, то врач наблюдает за этим процессом.
Здоровые трубки хорошо пропускают препарат. Через некоторое время он проходит в брюшину, на чём заканчивается процедура. Женщина отдыхает, а врач начинает анализировать данные. Когда описание готово, его вручают пациентке.
С ним женщина идёт к гинекологу.
Сама процедура не занимает много времени. Она длится около 15 минут. Исследование начинается с того, что в матку надо ввести тонкий катетер. По нему поступает контрастное вещество (количество – около десяти миллилитров) в полость органа.
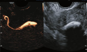
В качестве контраста может выступать физраствор, глюкоза, также это может быть фурацилин, используются и другие жидкости. Трансвагинальный датчик передаёт изображение на дисплей, которое визуализируется в формате 3D.
Врач осматривает матку и её структуру, трубы.
Хорошая проходимость отмечается фактом поступления жидкости в полость брюшины, а затем её всасыванием в кровь.
Что является нормой на УЗИ
При нормальной проходимости труб контрастное вещество проникает в область малого таза. Это и является нормой при исследовании. Если на УЗИ видны спайки маточных труб или рубцы, то эта область немного раздувается. Такой процесс указывает на наличие непроходимости.
В этом видео рассказывают об основных методах исследования маточных труб:
Какие отклонения выявляются
В период проведения исследования женщина может ощущать неприятные ощущения (иногда сильно выраженные) в районе малого таза. Очень редко, но боли могут не дать провести процедуру полностью.
При проведении гистеросальпингографии можно выявить такие патологии, как:
- миома матки;
- эндометрит;
- эндометриоз;
- полипы;
- сальпингит.
Часто на УЗИ выявляется расширение маточной трубы.
Имеет ли процедура противопоказания
Как и все диагностические процедуры, УЗИ труб матки имеет несколько противопоказаний – некоторые инфекции и воспалительные процессы. Главными запретами для проведения такой диагностики являются:
- беременность;
- кровотечение в матке;
- заболевания придатков матки и её шейки.
При беременности данное обследование не проводится
Кроме того, обследование не проводят в случае наличия воспалительных патологий малого таза и половых органов.
Помогла статья? Оцените её
Загрузка…
Как проверить проходимость маточных труб на УЗИ и как проводят гистеросальпингоскопию на определение бесплодия
УЗИ на маточных трубах назначается в целях проверки здоровья женской репродуктивной системы. При обследовании врач использует контрастную жидкость с ультразвуком.
Особенности проведения процедуры
Во время проведения ультразвуковой диагностики органов малого таза диагностика проходимости труб невозможна: на экране УЗИ-аппарата не виден их просвет. Поэтому применяют эхоГСС или УЗГСС – процедуру, при которой используют специальный пигмент для просвечивания зон, где ультразвуковые волны лишь частично проникают.
При ультрасонографии сонолог использует катетер в амбулаторных условиях. Врач оценивает, как протекает специальный пигментированный раствор по маточным трубам, с помощью ультразвукового датчика. ГСГ УЗИ проводится через брюшную полость или трансвагинально.
Что такое эхосальпингография
Эхосальпингографией называется исследование, которое назначается женщинам с подозрением на бесплодие. При этом патология затрагивает не только маточные трубы, но и другие смежные органы.

Примерно 30 % женщин обращаются к врачам-репродуктологам для проведения гидроэхолокации или гистеросальпингографии с помощью рентгена или УЗИ. К методу лапароскопии для выявления бесплодия обращаются редко.
Молодым девушкам при невозможности забеременеть назначают эхогидротубацию. Процедура полностью безопасна, так как используются только ультразвуковые волны без рентгеновского облучения.
Показания и противопоказания
Обычно при подозрениях на непроходимость в маточных трубах женщину отправляют на УЗИ. К другим показаниям проведения процедуры относятся:
- Ранее диагностированное бесплодие. Периодическая ультрасонография назначается в целях отслеживания состояния репродуктивной системы женщины.
- Воспалительный процесс в матке, придатках, который начался из-за инфекции. Обычно болезнь перетекает в хроническую форму.
- Частые боли в нижней области живота. Гинеколог направляет женщину проверить на УЗИ органы малого таза для исключения заболеваний, связанных с этой частью тела.
- Нерегулярность менструаций вплоть до их полного отсутствия, аменореи.
- Ранее перенесенные половые инфекции.
Основной причиной непроходимости маточных труб считаются спайки. Закупорка труб происходит из-за длительного протекания воспалительных заболеваний в органах малого таза, сделанных ранее абортов и других хирургических вмешательств.
С помощью контрастного вещества по левой и правой стороне матки видны спаечные выросты в трубах. Они не дают пройти сперматозоидам к яйцеклетке, поэтому зачатие не наступает и женщине диагностируют бесплодие.
Противопоказаниями для проведения процедуры являются:
- беременность, которая нормально развивается, без осложнений;
- наличие инфекций;
- кровотечения в матке, неважно, какой этиологии;
- обострение хронических заболеваний;
- болезни шейки матки;
- развитие воспалительного процесса в маточной полости.
На какой день менструального цикла делают исследование
УЗИ маточных труб оптимально делать между 5-м и 20-м днем менструального цикла. Более информативный результат получается, если проводить исследование перед наступлением овуляции, примерно на 9–11-й день после месячных.
Именно в этот период шейка матки максимально расширяется, что исключает появление спазмов во время УЗИ. Эндометрий после очередной менструации истончается. Это облегчает проведение исследования и гарантирует точность полученного результата.
Смотрите информативное видео по данной теме:
Как подготовиться к УЗИ маточных труб
Ультразвуковая гистеросальпингоскопия предполагает предварительную сдачу анализов. Направление на них выдает гинеколог.
За 3 дня до исследования женщина начинает диету, при которой из рациона питания исключаются продукты, вызывающие брожение. Необходимо, чтобы при УЗИ маточных труб не было газов в кишечнике. В противном случае результат исследования может быть ошибочным.
За 20–30 минут до УЗИ с контрастным веществом женщина принимает любое спазмолитическое лекарство – “Но-Шпу” или “Спазмалгон”. Препарат расслабляет гладкую мускулатуру органа, что предупреждает рефлекторные сокращения шейки. В платных клиниках предусмотрено введение лекарства посредством инъекции.
Какие нужны анализы
Подготовка к УЗИ маточных труб включает сдачу мазка на исследование микрофлоры влагалища и анализ крови на наличие сифилиса, ВИЧ, гепатит B и C. Результат первого обследования актуален в течение месяца, второго – полгода.
Как делают процедуру
Гистеросонография проводится следующим образом:
- Врач укладывает женщину на гинекологическое кресло. Спинка кресла опускается.
- Во влагалище вводят специальное зеркало. Затем обрабатывается шейка матки и полость влагалища.
- Через цервикальный канал вводят одноразовый тонкий катетер с контрастным веществом. На кончике катетера предусмотрен раздувающийся баллон для фиксации положения.
- Посредством ультразвукового вагинального датчика оценивают правильность расположения катетера при исследовании.
- Через катетер пропускают стерильный физиологический раствор. Он продвигается вдоль по маточным трубам.
- На экране УЗИ-аппарата подсвечивается область протекания физраствора. Там, где раствор остановился, фиксируют спаечный процесс.
Проверка проходимости маточных труб занимает не более получаса.
На видео вы можете посмотреть запись с монитора процедуры:
Расшифровка результатов
Гистеросальпингоскопия показывает любые увеличения в маточных трубах, которые мешают естественному процессу зачатия.
Маточные трубы не визуализируются на обычном УЗИ органов малого таза. Поэтому при ультразвуковой гистеросальпингографии используется безопасный пигмент, который вводится через тонкий катетер.
В результате сонолог может увидеть гидросальпинкс, скопление транссудата на УЗИ с полипами и миоматозными узлами. Диагностируются перечисленные патологии, если раствор из катетера не проникает в брюшную полость, а скапливается. Так определяется отрезок непроходимости в маточных трубах.
Если предварительно женщина не приняла лекарство против спазмов или ей не ввели специальную инъекцию, в процессе исследования могут сократиться гладкомышечные клетки органа из-за введения катетера. Это приведет к ошибкам в результатах УЗИ.
В норме физиологический раствор из катетера проходит по маточным трубам. В некоторых случаях после проведения ультразвуковой гистеросальпингоскопии наступает долгожданная беременность.
Так получается из-за того, что физраствор очищает слизистую маточных труб и раздражает их ворсинки. Последние в свою очередь активно захватывают созревшую яйцеклетку и проталкивают в маточную полость.
Сколько стоит гистеросальпингоскопия
На цену проведения УЗИ маточных труб влияет регион, в котором проживает женщина. Стоимость обследования находится в пределах 1500–5000 рублей. В некоторых платных клиниках Московской области цена достигает 10000 рублей.
Ультразвуковая гистеросальпингоскопия помогает многим женщинам определить причину бесплодия. Главное – своевременно обратиться за помощью к гинекологу, чтобы тот назначил необходимые исследования.



