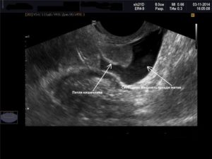
Жидкость в позадиматочном пространстве в незначительном количестве
Некоторые гинекологические недуги на ранней стадии развития протекают бессимптомно, из-за чего существенно затрудняется процесс их диагностики. В такой ситуации они выявляются в ходе ультразвукового исследования по другим вопросам.
При проведении аппаратного осмотра у женщин могут обнаруживать скопление в позадиматочном пространстве жидкости, прозрачной или имеющей кровянистые крапления.
Внимание! Небольшое количество жидкости считается нормой. Но если её объём превышает 50 мл, то это вызывает опасения. Женщине назначается ряд дополнительных анализов.
Симптомы
Многие проблемы со здоровьем, которые сопровождаются скоплением жидкости в малом тазу протекают без видимых симптомов и отклонений.
Зачастую пациентки жалуются на ноющие или покалывающие боли внизу живота, также в зависимости от первоначального заболевания могут наблюдаться:
- Бели нестандартного характера из влагалища.
- Нецикличность месячных, плохая овуляция или полное ее отсутствие.
- Высокая температура тела.
- Ощущение сдавленности в крестцовом отделе позвоночника.
- Колкость, немота в руках, ногах.
- Появление легкого покалывания внизу живота.
Эта симптоматика обусловлена дисфункция работы внутренних органов, за счет того, что жидкость скопленная в малом тазу нарушает приток кислорода и питательных элементов.
Что должно насторожить?
В случае, когда свободный выпот в тазу никак не проявлялся долгие годы, месяцы, диагностика существенно осложняется и для точного диагноза понадобится сдавать дополнительные анализы. Чем быстрее пациентка обратится к врачу, тем лучше и эффективнее будет лечение.
Настораживать должны следующие тревожные симптомы:
-
Нарушение физического или морального состояния.
- Одутловатость, припухлости лица, конечностей.
- Нехарактерное вздутие живота, чувство сдавленности.
- Высокая температура тела.
- Боль разной степени в области поясницы.
- Слизь из влагалища изменила свою форму, характер, запах.
- Резкие боли при менструации (наличие сгустков крови).
- Нет полового влечения.
- Дискомфорт и боль при половом акте.
Когда и к какому врачу обратиться?
Процесс лечения свободной жидкости в области малого таза не проводится. Врач должен выяснить причину такого состояния и назначить терапию конкретной болезни.
- Изначально рекомендуют обратиться к терапевту, который после первичного осмотра и анамнеза направит женщину к гинекологу и флебологу.
- Гинеколог обязательно проведет УЗИ органов малого таза, на котором свободная жидкость в малом тазу может оказаться симптомом эндометриоза. В таком случае врач гинеколог назначит стандартное медикаментозное лечение, которое чаще всего включает гормональную терапию. Если то не принесет ожидаемых результатов будет прописано оперативное хирургическое вмешательство. К такому относятся операции по устранению распространенных очагов эндометриоза, чаще всего операция проводится лапароскопически.
- Если же причиной появления свободной жидкости в малом тазу оказались очаги воспаления, терапевт направит пациентку к другому узкоспециализирующемуся врачу для лечения конкретной болезни.
Диагностика
Вода, скопившаяся в позадиматочном пространстве, выявляется во время проведения ультразвукового исследования органов малого таза. Нынешнее оборудование позволяет с максимальной точностью определять её объём.
После проведённого УЗИ врач может назначить пациентке дополнительное обследование:
- пункцию;
- анализы крови, урины;
- микроскопическое исследование мазка;
- компьютерную или магниторезонансную томографию.
Как следует действовать
Свободная жидкость в области малого таза бывает обнаружена при плановом обследовании или диспансеризации случайно.
Женщина в этом случае не предъявляет никаких жалоб и не ощущает сопутствующих симптомов.
Чаще всего в этих случаях делается заключение, что данная находка связана с физиологическими процессами, протекающими в женском организме. Пациентке рекомендуется плановое посещение гинеколога.
В случае же, если обследование проводилось по причине наличия жалоб, которые беспокоят больного, и выявило наличие свободного экссудата в малом тазу, такой пациент подлежит дальнейшему обследованию, объем которого определит врач.
Жидкость в позадиматочном пространстве при воспалении
Многие заболевания, протекающие в мочеполовой системе, развиваются на фоне воспалительных процессов:
- в яичниках;
- в фаллопиевых трубах;
- в матке;
- в мочевом пузыре.
Особенности лечения
При выявлении большого количества воды врач должен выявить причину её скопления. После этого для пациентки подбирается индивидуальный курс медикаментозной терапии, назначаются физиотерапевтические процедуры. В тяжёлых случаях выполняется хирургическое вмешательство.
Внимание! Если количество воды не превышает критическую отметку, то врач может оставить женщину под наблюдением.
В большинстве случаев причина её скопления кроется во вскрывшихся фолликулярных кистах, не требующих специального лечения. Если патология повторяется слишком часто, то больной прописывается гормональный курс терапии.
Жидкость в позадиматочном пространстве. Причины, лечение, последствия
Во время проведения УЗИ малого тазау женщин может быть обнаружена жидкость в позадиматочном пространстве. Иногдаона является нормальным физиологическим явлением, а в некоторых случаях –свидетельствует о патологическом процессе. Причину появления жидкости выясняютпри комплексном обследовании организма.
Жидкость в дугласовом пространстве
Позадиматочное пространство локализуется в брюшной полости, за маткой. В медицине его также называют дугласовым пространством. В определенные дни менструального цикла скопление жидкости в позадиматочном пространстве в незначительном количестве считается нормой. В других случаях оно указывает на наличие гинекологического заболевания.
Дугласово пространство — описание
Жидкость позади матки можно обнаружить при проведении ультразвукового исследования. Чтобы уточнить природу ее происхождения, требуется провести пункцию. Ее делают во время лапароскопической операции.
Забор материала осуществляют шприцом объемом 20 мл. При необходимости, процесс взятия материала сопровождается ультразвуковым мониторингом. Это позволяет избежать повреждения сосудов малого таза. Полученный образец жидкости отправляют на лабораторное исследование.
Дополнительно берется влагалищный мазок и проводится анализ крови.
Недостаточное количество материала, взятого во время пункции, не свидетельствует об отсутствии патологий. Забору крови может препятствовать спаечный процесс в области малого таза. В этом случае диагноз уточняется посредством других лабораторных исследований.
Спаечный процесс — описание
Что происходит во время и после овуляции?
Овуляцией называют период повышения фертильности у женщины. Он сопровождается выходом яйцеклетки в брюшную полость. В норме он приходится на середину менструального цикла. В первую половину цикла яйцеклетка зреет в плотной капсуле фолликула.
Она окружена фолликулярной жидкостью. Во время овуляции стенки фолликула надрываются, в результате чего его содержимое попадается вместе с яйцеклеткой в позадиматочное пространство. Этому процессу способствует резкий скачок уровня ЛГ в организме.
Если женщина посетит УЗИ после овуляции, врач обнаружит в дуглосовом пространстве жидкость. Ее количество зависит от объемов фолликула и дня менструального цикла. Больше всего жидкости можно увидеть на следующий день после овуляции. Через 3-5 дней после разрыва фолликула она полностью впитывается. По ее наличию врачи нередко подтверждают случившуюся овуляцию.
https://youtube.com/watch?v=JZ_wJxkINm4
Помимо жидкости, должно присутствовать желтое тело в том яичнике, где созревала яйцеклетка.
Причины возникновения жидкости в дугласовом пространстве
Жидкость может попадать в позадиматочное пространство по ряду причин. Если она присутствует на протяжении всего менструального цикла, то речь идет о заболеваниях половой системы. К наиболее распространенным причинам скопления жидкости за маткой относят:
Если природа происхождения жидкости патологическая, женщина замечает возникновение и других симптомов. Чаще всего заболевания половых органов сопровождаются болью внизу живота. К ней может добавляться специфический запах влагалищных выделений и проблемы с мочеиспусканием. Также ухудшается общее самочувствие. Может наблюдаться субфебрильная температура тела.
Проникновение жидкости в позадиматочное пространство может быть спровоцировано воспалительным процессом. Он затрагивает следующие органы половой системы:
- Мочевой пузырь;
- Матка;
- Придатки;
- Фаллопиевы трубы.
Воспаление возникает припереохлаждении половых органов или в результате развития инфекционныхзаболеваний. Если после овуляции жидкость рассасывается самостоятельно, то привоспалении потребуется лечение.
Первоначально проводятся исследования,позволяющие определить причину воспалению. Анализ крови покажет увеличениечисло лейкоцитов и показателя СОЭ. В зависимости от результата, подбираетсяспособ лечения.
Тест на скорость оседания эритроцитов СОЭ — описание
Медикаментозная терапия включает всебя прием антибиотиков. Их вводят внутривенно или внутримышечно. Лечениеосуществляют в стационаре. Дополнительно проводится витаминотерапия.
Еслипоявление жидкости обусловлено наличием гнойника, проводят операцию, в ходекоторой очаг воспаления устраняют. Для профилактики спаечного процессаназначают применение вагинальных свечей Лонгидаза. Дополнительно проводят физиотерапевтическоелечение.
Курс включает в себя 7-10 процедур магнитотерапии, электрофореза иливоздействия ультразвуком.
Наличие кровянистой жидкости в позадиматочном пространстве
Кровоизлияние в брюшную полостьтребует неотложного вмешательства медиков. Такое состояние считается крайнеопасным для здоровья и жизни женщины. Кровь скапливается за маткой в случаесерьезного повреждения яичников, маточных труб или органов пищеварения. Длятакой ситуации характерны следующие симптомы:
- Боль в нижней части живота и поясницы;
- Ослабленное состояние;
- Головокружение, потеря сознания;
- Кровянистые выделения из влагалища.
К физиологическим причинамскопления крови за маткой относят менструацию и послеродовой период. В этихслучаях ультразвуковой мониторинг проводят только при наличии острой необходимости.
Патологическое скопление крови может быть спровоцировано разрывом маточной трубы в результате внематочной беременности. Разрыв обусловлен ростом плода в нетипичном для него месте.
Такое случается при непроходимости труб или нарушения их сократительной способности. Чтобы вовремя диагностировать аномальное расположение эмбриона, требуется посетить кабинет УЗИ и проанализировать динамику гормона ХГЧ.
Согласно статистическим данным, чаще всего патологическую беременность диагностируют до момента разрыва трубы.
После обнаружения крови в дугласовом пространстве потребуется хирургическое вмешательство. Первоначально принимаются меры по откачиванию крови. Следующим шагом устраняется очаг проблемы. При внематочной беременности удаляют часть маточных труб.
О каких патологиях говорит?
Скопление крови в дугласовом пространстве нередко сопровождается маточным кровотечением. К возможным причинам его появления относят:
- Угроза выкидыша;
- Внематочная беременность;
- Разрыв матки или яичника;
- Дисфункция яичников;
- Эндометриоз;
- Патологические образования на шейке матки;
- Опухолевидный процесс;
- Кровотечение после абортативного вмешательства.
Внематочная беременность — описание
Чаще всего женщины принимаютматочное кровотечение за гормональный сбой, сопровождающийся сдвигомменструации. Но причины патологического процесса могут быть более серьезными.
Поэтому важно посетить гинеколога сразу после обнаружения подозрительнойсимптоматики. Особую опасность несут выделения, появившиеся при беременности.
Ониуказывают на угрозу прерывания или внематочное расположение плодного яйца.
Разрыв придатка, матки иликистозного образования может быть спровоцировано активным половым актом,чрезмерными физическими нагрузками или травмированием. В этом случае боль будетиметь острый характер. На этой почве женщина способна потерять сознание.
Жидкость в позадиматочном пространстве
Иногда возникает ситуация, когда при проведении ультразвукового исследования, врач обнаруживает небольшое количество жидкости в позадиматочном пространстве. Чем это чревато и какими проблемами грозит, разберем детально.
Наличие жидкости при нормальных условиях
Само позадиматочное пространство располагается за маткой и ограничивается брюшиной. Скопление жидкости возможно в нижней части этой полости.
Иногда незначительная жидкость в позадиматочном пространстве может быть вызвана естественными причинами и не грозит серьезными проблемами.
Незначительная жидкость в позадиматочном пространстве обычно не является проблемой
Жидкость в позадиматочном пространстве при овуляции
Возможно это при разрыве фолликула. Напомним, как происходит овуляционный процесс:
- В яичнике развиваются жидкостные пузырьки — фолликулы.
- Один пузырек опережает по росту остальные и служит оболочкой для формирования яйцеклетки. Остальные пузырьки постепенно уменьшаются в размерах и исчезают.
- Фолликул достигает 20-25 мм в диаметре, что говорит о полноценном развитии клетки.
- Пузырек разрывается, клетка покидает оболочку, продвигаясь к матке.
Незначительную жидкость в позадиматочном пространстве могут вызвать овуляционные процессы
Такой процесс цикличен и наблюдается каждый месяц. Длится он после окончания месячных до середины цикла. Процесс освобождения клетки и называется овуляцией.
Именно в момент разрыва возможно попадание некоторого количества жидкости в брюшную полость. Но в фолликуле этой жидкости весьма мало и даже ее попадание в область за матку не вызовет тревог.
Врач определит такое содержание нормативным и своевременным (в середине цикла). Через пару дней жидкость рассосется.
Другие естественные причины
Жидкость в позадиматочном пространстве может появиться еще при некоторых естественных процессах, что не должно вызывать боязни:
- Месячные. Во время кровянистых выделений возможен заброс крови в эту полость. Беспокоиться не стоит. Во время менструации эндометрий вместе с выделениями переходит в брюшную полость.
- У молодых девушек или девочек в период раннего полового созревания может наблюдаться излишняя жидкость в полости. Врач проверит и диагностирует норму.
Свободная жидкость в позадиматочном пространстве диагностируется с помощью УЗИ
При обнаружении подобной проблемы на УЗИ, если это не сопровождается признаками нестабильности процесса (температура, боль), врач определяет 2-3 дня для наблюдений.
Если при повторном УЗИ жидкость абсорбировалась, процесс прошел ритмично. Если остается, проводят дополнительные анализы и обследования, чтобы выявить проблему.
Нередко она может быть вызвана заболеванием, причем очень серьезным, требующим незамедлительного вмешательства.
Важно
Лучше не ожидать и при первых симптомах одного из нижеперечисленных заболевания посетить больницу и пройти исследование и лечение при необходимости.
Чем грозит внематочная беременность
Еще один случай, когда образуется жидкость в позадиматочном пространстве – при беременности внематочной. Как мы знаем, яйцеклетка в половых путях встречается с мужскими клетками, с одним из которых возникает контакт и, как следствие, оплодотворение.
Далее плодное яйцо поступает к матке. Там оно должно прикрепиться к ее стенке. Но бывают ситуации, когда яйцо закрепляется на стенке маточной трубы. Такая неправомерная имплантация провоцирует разрыв стенки трубы, из-за чего жидкость поступает за матку.
Диагностируется это посредством тестов, анализов и УЗИ. Но внематочное зачатие подает болезненные признаки задолго до накопления излишка жидкости. Потому упустить этот момент и обнаружить его только при УЗИ не получится.
Кровянистая жидкость – причины и лечение
Жидкость в позадиматочном пространстве, причины ее появления — все это может диагностировать врач. Мы здесь рассматриваем общие случаи, одним из них выступает кровоизлияние в яичник (апоплексия). Это возможно при таких обстоятельствах:
- строма яичника;
- разорвался сосудик;
- киста фолликула;
- киста яичника.
При этом происходит кровоизлияние непосредственно в яичнике, а после разрушения ткани последнего – переходит в брюшную полость. Наблюдающаяся по УЗИ жидкость носит кровавый характер. Это преимущественно кровь, зачастую со сгустками. Обнаружить такое нарушение можно по следующим симптомам:
- боль в области брюшной части, в районе поясницы;
- выделение кровяной слизи из влагалища;
- слабость, головокружение.
Вызвать жидкость в позадиматочном пространстве в виде кровяных сгустков могут любые причины: травма, грубый половой акт, сильные физические нагрузки.
Любое подобное действие вызывает нарушения в сосудистой системе или тканях яичника.
Если у девушки имеются некоторые отклонения, в виде расширенных сосудов, мелкокистозного деформирования яичника, гиперемии или даже воспалительного процесса, она считается предрасположенной к апоплексии.
Жидкость в позадиматочном пространстве может быть вызвана апоплексией
Это очень серьезное заболевание, требующее срочного лечения и обращения к врачу. Лечение происходит поэтапно: остановка кровотечения, восстановление тканей пострадавшего яичника, стабилизация организма из-за большой кровопотери.
Если накапливается свободная жидкость в позадиматочном пространстве и прямокишечном углублении, это может быть вызвано острым воспалением органов малого таза. Название болезни – гнойный сальпингит. На УЗИ оно выглядит как расширение маточных труб (увеличение или удлинение) и наличие жидкости. Выявить данное заболевание можно по таким признакам:
- болевые ощущения;
- чувствительность, неприятные ощущения при движении шейки матки;
- повышение температуры.
При сдаче анализов диагноз подтвердят большое количество лейкоцитов, СОЭ и обнаружение гноя при пункции заднего свода. Лечение подразумевает операционное вмешательство.
При этом обязательно удаляется лишняя жидкость, купируется острое проявление воспаления, подавление воздействия микробов, обрабатывается очаг поражения и корректируется метаболическое нарушение.
Лечение происходит длительно и включает реабилитационный период под присмотром врача, чтобы удостоверится в приходе в нормальный ритм работы всех органов.
Итак, жидкость в позадиматочном пространстве после овуляции или во время разрыва фолликула не должна вызывать тревог. Она находится в пределах нормы и быстро исчезает.
Но существуют и немало серьезных причин, которые также сопровождаются сбором жидкости в полость. Потому стоит систематически посещать гинеколога, даже при отсутствии проблем, чтобы не пропустить отклонение в привычной работе всех систем.
При болевых и других неприятных симптомах, обращение к гинекологу откладывать не нужно.
Чем опасна свободная жидкость в матке?
Во время прохождения ультразвукового исследования, женщина может узнать, что в области матки наблюдается скопление жидкости. Почему это происходит, чем может грозить данное явление и следует ли его опасаться? Давайте постараемся узнать об этом всем более детально из нашей статьи.
Наличие жидкости в полости матки не является самостоятельным диагнозом — данное состояние сигнализирует о наличии воспаления или другого патологического процесса в органах малого таза. В этой статье мы рассмотрим основные причины возникновения подобной проблемы и способы диагностики.
Является ли это нормой?
По словам многочисленных гинекологов, к норме можно отнести только полное отсутствие в области матки и маточных труб любого вида жидкости. При этом не следует сразу впадать в отчаянье, если во время обследования удалось определить наличие жидкости, так как сам по себе данный симптом нельзя отнести к плохим показателям.
Чтобы гинеколог смог диагностировать в точности наличие воспалительного процесса в районе малого таза (воза в области матки либо позади нее представляет собой один из основных признаков патологии), следует брать во внимание общий объем жидкости, а также день менструального цикла.
В том случае, если жидкость в области матки находится в малых объемах, то такое явление не считается патологией.
Это означает то, что уже в скором времени женщина должна стать мамой. Однако во всех остальных случаях необходимо насторожиться, наличие в области матки с большой вероятностью свидетельствует от различных серьезных заболеваниях, среди которых можно выделить:
- Полипы;
- Эндометриоз;
- Беременность внематочной формы (в данной ситуации в жидкости также будут кровянистые примеси);
- Воспалительный процесс в острой или хронической форме, включая и в области яичников (сальпингит, аднексит).
Как можете заметить, причины для беспокойства действительно имеются. Кроме этого, после оперативного вмешательства (кесарева сечения, периода после проведения аборта, лапароскопии), также возникают определенные отклонения.
В такой ситуации есть смысл говорить о наличии у женщины патологического процесса. В том случае, если есть вероятность наличия заболеваний, то необходимо назначить пункцию – пробу имеющейся жидкости, которая расположена позади или непосредственно в самой полости матки.
Осуществлять данную процедуру рекомендуется по средствам лапароскопии.
https://youtube.com/watch?v=YQMnQY3c-IQ
В этом случае рекомендуется назначить срочное лечение, ведь в случае скопления большого количества жидкости есть вероятность разрыва труб. В этом случае их содержимое выльется в брюшную полость, может случиться перитонит, которые без срочного хирургического исхода станет причиной смерти.
Кроме того, нужно отметить, что даже при наличии скопления в области матки малого количества жидкости, есть вероятность того, что у женщины имеется раковая опухоль.
Именно по этой причине, если врач обнаружил жидкость в матке или за ней, ни в коем случае не следует игнорировать данный симптом, обязательно следуйте руководствам врача.
Если говорить о наличии злокачественной опухоли, то на ее фоне у женщины должны также появиться и другие симптомы, благодаря которым гинеколог сможет предположить наличие рака. К таким симптомам можно отнести, следующее:
- Наличие болезненных ощущений в нижней части живота, которые могут сопровождаться ощущением холода;
- Выделения из влагалища, которые имеют зловонный запах;
- Наличие неприятных ощущений, чувства дискомфорта, во время занятий сексом возможны болезненные проявления.
Определение жидкости в матке с помощью УЗИ
На сегодняшнее время наиболее доступным и достоверным способом диагностирования данной патологии является ультразвуковое исследование органов малого таза.
С его помощью можно увидеть и распознать даже минимальное количество жидкости как в матке, так и позади нее. Визуально на экране ультразвукового аппарата скопление небольшого количества жидкости напоминает неширокую полоску темного цвета.
При гораздо большем объеме она распределяется между органами малого таза.
Факторы, способствующие образованию жидкости в позадиматочном пространстве
Причины такого состояния весьма разнообразны и не всегда свидетельствуют о наличии проблемы. Нередко для этого есть вполне естественные причины, которые не требуют медицинского вмешательства и проходят самостоятельно через некоторое время.
Однако жидкость позади матки может свидетельствовать и о достаточно серьезных проблемах со здоровьем. Обнаружение свободной жидкости за маткой во время проведения УЗИ не должно быть поводом для паники, возможно это является вполне безобидным вариантом нормы, не требующим лечения.
Разобраться в ситуации поможет квалифицированный специалист, который выяснит причину такого состояния и назначит медикаментозное лечение при необходимости.
Разберем основные причины скопления жидкости в позадиматочном пространстве:
- Наступление овуляции. В норме у здоровой женщины жидкость в органах малого таза должна отсутствовать, однако, если данное явление наблюдается в середине цикла, то причиной ее возникновения в большинстве случаев является разрыв фолликула во время овуляции. При этом все его жидкостное содержимое попадает в позадиматочное пространство. Количество жидкости при этом настолько мало, что не каждый узист способен ее рассмотреть. Данное состояние в середине цикла говорит о недавней овуляции и о том, что наступили благоприятные дни для зачатия ребенка. Через несколько дней жидкость самостоятельно рассасывается без каких-либо последствий.
- Заболевание эндометриозом. Данная патология провоцирует усиленное разрастание эндометрия за пределами матки. При этом очаги эндометроидной ткани претерпевают все циклические изменения и в ней возникают ежемесячные кровотечения, провоцирующие появление свободной жидкости. Это состояние способствует возникновению воспалительных процессов в органах малого таза, при которых выделяется экссудативная жидкость. Именно она и скапливается в позадиматочном пространстве.
- Острый эндометрит (воспаление слизистой оболочки матки). Причиной данной патологии может стать прерывание беременности путем аборта, выскабливание полости матки по медицинским показаниям, родовспоможение с помощью кесарева сечения или установка внутриматочной спирали. Во время этих манипуляций в полость матки может проникнуть инфекция, которая и становится причиной воспаления. В результате чего жидкость скапливается в органах малого таза, в том числе и в заднем своде матки.
- Гнойный сальпингит — еще одна возможная причина возникновения жидкости в позадиматочном пространстве. Это достаточно опасное заболевание, причинами которого может быть как гонорея, так и инфицирование во время проведения аборта, осложненных родов или занятия сексом во время месячных.
- Эндометриодные кисты яичника. Как правило, данная патология возникает на фоне эндометриоза и способна даже спровоцировать разрыв стенок яичника. В результате этого его содержимое выливается в полость малого таза, способствуя развитию перитонита. Такое состояние является крайне опасным для жизни и здоровья женщины и требует немедленного хирургического вмешательства.
- Внематочная беременность — достаточно распространенная причина скапливания жидкости в малом тазу. При этом оплодотворенная яйцеклетка развивается за пределами матки, чаще всего это происходит в фаллопиевых трубах. По мере роста эмбриона происходит растягивание маточной трубы и ее разрыв. В результате чего возникает кровотечение в область брюшины и именно эта кровь и будет визуализироваться как жидкость в позадиматочном пространстве. Данное состояние представляет серьезную угрозу для жизни женщины.
- Кроме вышеперечисленных патологий, существуют и еще несколько достаточно опасных заболеваний, которые способны спровоцировать появление очень большого количества жидкости в брюшине. К ним относятся злокачественные новообразования органов малого таза и печени, цирроз, сердечная или почечная недостаточность, а также диффузный серозный перитонит.
Нередко вышеперечисленные заболевания сначала протекают без каких-либо симптомов и наличие жидкости в заднем своде матки можно обнаружить лишь случайно во время проведения УЗИ органов малого таза.
Если результаты исследования покажутся врачу неоднозначными, то он может назначить дополнительные обследования для выявления окончательного диагноза.
В любом случае плановое посещение гинеколога следует проводить не реже одного раза в полгода, чтобы не пропустить начало серьезных заболеваний.

Свободная жидкость может скапливаться не только в позадиматочном пространстве, нередко на УЗИ она визуализируется в фаллопиевых трубах или в теле матки. Чаще всего это свидетельствует о протекании воспалительного процесса.
Однако не стоит сразу впадать в панику, если последующие исследования не обнаружили жидкости, то вероятнее всего это был единичный случай и данное состояние возникло именно в результате овуляции.
Если же причина скапливания жидкости в другом, то диагноз ставится на основании различных анализов, осмотра пациентки и сбора анамнеза.
Существуют и профилактические меры скопления жидкости в органах малого таза, например:
- отказ от частой смены половых партнеров;
- активный образ жизни и занятия спортом;
- избегание жесткого, травматичного секса;
- отказ от алкогольной и никотиновой зависимости;
- полноценный сон;
- сбалансированный рацион питания;
- надежная контрацепция для избегание абортов.
Определение объема жидкости в заднем своде матки
С помощью ультразвукового исследования органов малого таза сложно установить точной количество жидкости, так как это динамичная субстанция, которая не принимает строгой формы. Однако есть некоторые критерии, помогающие определить примерный объем жидкости.
Для этого врач, проводящий УЗИ, определяет высоту уровня жидкости и делает на основании этого определенные выводы. Так, вертикальный уровень жидкости менее 1 см считается незначительным. Показатель от 1 до 5 см говорит об умеренном количестве жидкости. Если же высота превышает 5 см, то уровень является значительным.
С результатами исследования следует как можно быстрее обратиться к врачу, который сможет установить точный диагноз и определиться с тактикой лечения.
Если УЗИ проводили в середине месячного цикла и на нем обнаружили небольшой количество жидкости позади матки, то нет причин для беспокойства. Это вполне естественное состояние, лечебные мероприятия при котором не проводятся. Конечно, при этом не должно быть патологий органов малого таза и жалоб от пациентки на самочувствие.
Обнаружение жидкости в позадиматочном пространстве в другие дни цикла должно насторожить.
Особенно, если объем жидкости значительный, а женщину при этом беспокоят обильные выделения, затруднение мочеиспускания, небольшое повышение температуры тела или болезненность внизу живота.
В таком случае врач обязан провести дополнительные обследования для установления окончательного диагноза и назначения эффективного лечения.
К этим обследованиям относятся:
- лабораторные анализы крови;
- исследование мазка из влагалища;
- пункция — проводится путем лапароскопии. Полученную жидкость направляют на гистологическое исследования для определения ее природы и исключения злокачественного новообразования.
Следует понимать, что скопление жидкости является всего лишь симптомом и чтобы от нее избавиться лечить необходимо само заболевание.
- Жидкость в трубе матки (гидросальпинск), причины и лечениеВ результате того, что маточная труба сильно сужена, может начать скапливаться жидкость, начинается спаечный процесс, в результате чего появляется некая сумка, в которой и собирается вся жидкость. Если говорить о разновидностях данной болезни,…
- Тяжесть в матке, симптомы и причины чего?Одним из неприятных симптомов, который может возникнуть по причине серьезного заболевания, является тяжесть в матке. Если вы заметили подобные симптомы, ни в коем случае не стоит их игнорировать, ведь они могут привести к…
- Почему покалывает в матке во время месячных, причиныЕсли возникает какое-либо заболевание, то организм любыми способами старается сказать об этом человеку. В большинстве случаев, люди не замечают этого, не обращаясь к врачу для обследования. У женщин очень часто возникают неприятные ощущения…
Причины скопления жидкости за маткой
Регулярное посещение гинеколога – это не прихоть самих докторов. Посещать врача несколько раз в год следует всем представительницам прекрасного пола.
Зачастую женщины пренебрегают этим наставлением и приходят на осмотр только при появлении каких-либо признаков. Однако не стоит выпускать из виду, что некоторые патологии в репродуктивных органах длительное время могут не проявляться.
Так себя ведет жидкость за маткой, обнаружение которой чаще всего становится неожиданностью для женщины.
Жидкостные образования: естественный процесс или патология?
Наличие свободной воды в Дугласовом пространстве — это не заболевание, но может быть симптомом патологии.
Жидкость за детородным органом или в параовариальных областях скапливается в середине менструального цикла, после наступления овуляционного процесса. Это нормальное явление, не требующее определенного лечения.
Оно означает наступление состоявшегося выхода яйцеклетки из фолликула и возможное наступление беременности.
Достаточно часто свободная жидкость за маткой является признаком патологии внутренних органов женщины. Определить на УЗИ точный объем такого образования крайне сложно, потому что она растекается между репродуктивными органами. Медики разработали определенные критерии, позволяющие оценить состояние жидкости в позадиматочном пространстве (измеряется длина вертикального уровня образования):
- незначительным считается скопление воды до 10 мм;
- от 10 мм до 50 мм — умеренная стадия;
- более 50 мм — значительная.
Объем воды за маткой сопоставляется с менструальным циклом женщины. Если у доктора возникают подозрения по поводу причины наличия большого количества воды за маткой, он может назначить дополнительные инструментальные тесты.
Овуляционный процесс как одна из причин
Овуляция — это естественный процесс, при котором происходит скопление воды в Дугласовом пространстве. Она не грозит серьезными проблемами, поскольку образуется небольшое количество жидкости. Овуляционный процесс происходит следующим образом:
- сначала образуются фолликулы;
- один из пузырьков опережает рост других, в нем происходит формирование яйцеклетки;
- жидкостное образование достигает до 20-25 мм в диаметре;
- далее фолликул разрывается, чтобы яйцеклетка покинула оболочку и начала продвигаться к детородному органу.
У здоровой женщины овуляционный процесс происходит ежемесячно. Когда клетка освобождается из фолликула и проходит к матке — это овуляция. В фолликуле находится жидкость, но ее очень мало. При разрыве пузырька вода может проникнуть в брюшную полость.
На УЗИ врач увидит небольшое ее количество, что является нормой. Жидкость через несколько дней рассасывается и не доставляет женщине неудобств.
Кроме овуляции, образование воды в позадиматочном пространстве может произойти по такие естественным причинам, как период раннего полового созревания, месячные.
Образование кровоизлияния в Дугласовом пространстве
Жидкость позади матки может быть кровянистой. Такое образование не является нормой. Возникновение кровянистых выделений в Дугласовом пространстве означает наличие патологии, способной привести к образованию апоплексии. Причины появления кровоизлияния:
- разрыв сосуда;
- наличие кисты фолликула;
- киста на яичнике или строма.
После нарушения целостности ткани яичника происходит высвобождение воды в брюшную полость. Образование жидкости кровавого характера в позадиматочном пространстве вызывает боль, слабость, головокружение. При этом у женщины появляются выделения характерного цвета — красного или темно-коричневого.
Жидкость в Дугласовом пространстве может превратиться в сгустки. Основными причинами такого явления являются:
- постоянные травмы;
- жесткий секс;
- поднятие тяжестей;
- гиперемия;
- воспалительный процесс;
- расширенные сосуды.
Нельзя запускать такие патологии. Если девушка знает о наличии заболеваний по женской части, то она должна посещать гинеколога, лечиться, чтобы не допустить апоплексии и последующего проникновения жидкости в позадиматочное пространство.
Другие условия формирования патологии
Образование воды в Дугласовом пространстве часто является причиной какого-то патологического процесса, протекающего во внутренних репродуктивных органах женщины. Врачи выделяют множество заболеваний, способных привести к скоплению жидкости. К ним относятся следующие патологии:
- воспалительный процесс в поверхностном слое эндометрия (эндометрит);
- воспаление в почках, печени, сердечная недостаточность приводят к образованию асцита, в результате которого свободная жидкость стекает в органы малого таза;
- доброкачественные образования, характеризующиеся ограниченным разрастанием эндометрия в виде бугорка на тонкой ножке;
- инфекционное заболевание, сопровождающееся односторонним или двусторонним воспалением маточных труб (сальпингит);
- аднексит (воспаление яичников и фаллопиевых труб);
- оофорит.
Образование жидкости в Дугласовом пространстве может означать наличие внематочной беременности, при которой тест на беременность покажет положительный результат.
Кроме того, такое явление вызывает эндометриоз, возникновение эндометриоидных кист на яичниках, состояние после аборта. Обнаружив на УЗИ скопление жидкости за маткой, не стоит паниковать.
Грамотный врач назначит соответствующее лечение, проконсультирует пациентку и даст рекомендации по тактике дальнейших действий женщины.
Что может означать жидкость за маткой, обнаруженная на УЗИ?
Каждая женщина должна регулярно следить за своим здоровьем и проходить ежегодные медицинские осмотры.
Одним из рекомендуемых ежегодных обследований является осмотр у врача-гинеколога и проведение ультразвукового исследования органов малого таза.
Довольно распространенным симптомом, обнаруживаемым у женщин во время УЗИ является жидкость в малом тазу, расположенная за маткой. Рассмотрим, о чем же может свидетельствовать данная находка и насколько опасной она является.
Узи как метод определения жидкости позади матки
Ультразвуковое исследование является одним из самых доступных и достоверных методов, с помощью которого можно обнаружить даже небольшое содержание жидкости в полости малого таза.
На экране УЗ-сканера жидкостные образования за маткой выглядит черного или темно-серого цвета, чаще имеет форму узкой полоски, если ее количество небольшое.
При большом количестве она растекается между органами и принимает неправильную форму.
https://youtube.com/watch?v=tasvuM38J1k
Свободная жидкость в позадиматочном пространстве
Точного количества жидкости за маткой в миллилитрах с помощью этого метода определить невозможно из-за того, что жидкость растекается между складками брюшины и органами и не принимает какой-то строгой формы. Тем не менее для описания количества жидкости на УЗИ в полости малого таза существуют определенные критерии.
Врач измеряет наибольшую длину вертикального уровня жидкости за маткой. Если высота уровня жидкости составляет до 10 мм, то ее количество считается незначительным.
Если высота уровня жидкости составляет от 10 мм до 50 мм, то количество ее считают умеренным, более 50 мм – значительным.
После того, как врач ультразвуковой диагностики обнаружил жидкостное образование за маткой, он внимательно изучает состояние всех органов в малом тазу и пытается найти причину ее появления.
Всегда ли это является плохим признаком
Небольшое количество свободной жидкости за маткой или в параовариальных областях (вокруг яичников) практически всегда обнаруживается в середине нормального менструального цикла после наступления овуляции.
Она возникает вследствие вытекания секрета из фаллопиевых труб, ответной реакции брюшины и самой фолликулярной жидкости, выделяемой из лопнувшего фолликула.
Свободная жидкость оказывается между листками брюшины, а также накапливается преимущественно позади матки.
Таким образом, выявление жидкостных образований за маткой в середине менструального цикла при отсутствии любых других изменений в женских половых органах является косвенным признаком состоявшейся овуляции и возможностью наступления беременности.
Также в норме незначительное количество крови может затекать из матки в полость малого таза во время менструации.
Это не говорит о какой-то патологии, и такая кровь, как правило, быстро исчезает после прекращения менструального кровотечения.
Какие заболевания может предвещать жидкость за маткой
Чаще всего скопление жидкости в малом тазу является признаком какой-то патологии внутренних органов. Существует достаточно много заболеваний, в результате которых у женщины может накапливаться жидкость за маткой и обнаруживаться при УЗИ.
Одной из частых причин, являются воспалительные заболевания внутренних половых органов:
- эндометрит (воспаление внутренней маточной оболочки);
- сальпингит (воспаление труб);
- оофорит (воспаление яичников);
- аднексит (воспаление одновременно яичников и фаллопиевых труб).
Матка, пораженная эндометриозом
Другой частой причиной, приводящей к скоплению жидкости позади матки является эндометриоз. При этом заболевании клетки эндометрия могут располагаться практически в любом месте организма, например, на брюшине или в позадиматочном пространстве. Во время месячных они также как и эндометрий в матке начинают менструировать и выделять кровь, которая и накапливается в полости малого таза.
Жидкость может являться симптомом внематочной беременности. При этом у женщины наблюдается положительный тест на беременность и повышение специфического гормона – ХГЧ, но на УЗИ в полости матки плодное яйцо не визуализируется. При таких обстоятельствах обнаруживаемая жидкость является кровью, которая вытекает из разорвавшейся маточной трубы.
К накоплению жидкостных образований за маткой также приводят разрывы кист яичника, апоплексия яичника, образование эндометриоидных кист на яичнике, состояние после аборта и других оперативных вмешательств.
Разрыв ткани яичника
Болезни печени, цирроз, выраженная сердечная недостаточность, перитонит, некоторые злокачественные заболевания приводят к асциту – выраженному скоплению до нескольких литров свободной жидкости в животе – которая может свободно стекать в малый таз и таком образом визуализироваться на УЗИ во время обследования матки.
Тяжелые травмы живота или органов таза вызывают массивное кровотечение, при этом на УЗИ врач также обнаружит скопившуюся кровь, в полости малого таза. В редких случаях видимая жидкость может быть представлена гноем, который вытекает из разорвавшегося пиосальпинкса (гнойного воспаления фаллопиевых труб) в брюшину.
Кроме жидкости за маткой, на УЗИ можно обнаружить ее внутри маточной полости. Это состояние называется серозометрой.
Могут быть разные причины этого состояния: нарушение оттока лохий после родов, в результате воспалительных заболеваний мочеполовых органов, после хирургических вмешательств на матке, полипы в полости матки или шейке, гормональная терапия, спайки и другие причины.
https://youtube.com/watch?v=1015y2TnJAQ
Практически при всех вышеперечисленных состояниях, сопровождающихся обнаружением жидкости на УЗИ, женщину беспокоят какие-либо жалобы или другие симптомы, поэтому диагност тщательно осматривает внутренние органы и находит в них отклонения.
Дальнейшие действия и диагностика
Если во время УЗИ у пациентки обнаружилось незначительное скопление жидкости в позадиматочном пространстве в середине менструального цикла, при этом ее совершенно ничего не беспокоит со стороны репродуктивной системы, и врач не нашел никаких других изменений у нее, то не стоит лишний раз паниковать. Это является вариантом нормы и не требует дальнейшей диагностики и лечения. Через несколько дней такая жидкость рассосется самостоятельно не причиняя никакого вреда.
Если же жидкость обнаруживается в другие дни цикла или выявляется в большом количестве, то это должно насторожить врача и пациентку. Врач при этом направит женщину на дополнительное дообследование в зависимости от сопутствующих жалоб и выявленных изменений на УЗИ.
Одним из методов диагностики является анализ пробы жидкости после пункции. Он расскажет о составе полученной жидкости и возможном источнике ее возникновения. Такую пункцию, как правило, выполняют методом лапароскопии. Кроме того, в качестве дообследования врач может назначить пациентке различные лабораторные анализы крови или мазки из влагалища.
Заключение
Обнаружение жидкости за маткой во время ультразвукового исследования это еще не повод для паники.
Грамотный диагност установит ее примерное количество и предварительную причину скопления, даст рекомендации по тактике дальнейших действий для пациентки.
Если же врача УЗИ что-то настораживает, то не стоит игнорировать его беспокойство и следует обратиться для дальнейшей консультации к гинекологу или терапевту, чтобы не пропустить начало развития серьезных и опасных заболеваний.



