Какой должна быть толщина эндометрия при беременности
При беременности эндометрий трансформируется колоссальным образом. Ведь от него зависит, будет ли эмбрион крепко держаться за стенки матки. Внутренняя оболочка репродуктивного женского органа снабжает эмбрион всем, что требуется для полноценной жизнедеятельности, пока не появится плацента. Поэтому необходимо, чтобы эндометрий при беременности на ранних сроках соответствовал норме.
Если наблюдается недостаточное развитие выстилки матки или, наоборот, гиперплазия, то это скажется на полноценном вынашивании ребенка. Поэтому, еще только планируя потомство, необходимо отследить, насколько соответствуют нормальным показателям перемены в составе эндометрия, связанные с ежемесячной цикличностью.
Краткое описание эндометрия
Эндометриальный слой – это слизистая оболочка, выстилающая матку изнутри. Даже наступление беременности прямо взаимосвязано с размерами эндометрия.
Чтобы эмбрион смог имплантироваться в стенку детородного органа, выстилка эндометрия должна быть больше 7 мм. Если показатель будет меньшим, 4–5 мм, то даже самый жизнеспособный зародыш не сможет прикрепиться на тонкий слой эндометрия. Когда же толщина слизистой составляет 8–15 мм, создаются прекрасные условия для внедрения эмбриона.
Таким образом, правильное соотношение выработки гормонов и нужный размер выстилки во время беременности – главные составляющие благополучного развития ребенка в утробе матери.
Норма эндометрия при беременности
После того как эмбрион обосновался в матке, ее слизистая оболочка активно растет. Это происходит благодаря увеличению выработки гормона прогестерона.
В самом начале беременности толщина эндометрия составляет 9–15 мм. Такие размеры достигаются к овуляции. Если к моменту зачатия он будет более 15 см, то тоже могут возникнуть проблемы с имплантацией. Данное отклонение называется гиперплазией. К 4–5-й неделе гестации нормальная толщина внутренней выстилки матки равна 2 см.
Через 2–3 недели после наступления беременности, когда женщина еще не совсем уверена в своих догадках, показатель увеличившегося слоя эндометрия косвенно указывает на то, что оплодотворение яйцеклетки произошло, имплантация состоялась. То же самое будет и при внематочной беременности.
Отклонения при беременности
Любое отклонение от нормы в толщине эндометрия может привести к негативным последствиям.
Тонкий внутренний слой матки, не соответствующий сроку беременности, не способен полноценно функционировать и удерживать растущий плод. Поэтому гипоплазия часто становится причиной выкидыша. Если такое состояние выявлено, то оно требует грамотного лечения и постоянного контроля со стороны гинеколога.
Причины гипоплазии при вынашивании ребенка:
- Гормональный дисбаланс.
- Аборты. При искусственном прерывании беременности нередко травмируется слизистая оболочка детородного органа, что приводит к недоразвитию эндометрия в дальнейшем. Это часто становится причиной бесплодия.
- Воспалительные заболевания женской половой сферы. Становятся причиной недостатка кровоснабжения внутренней оболочки репродуктивного органа. Из-за недополучения кислорода и питательных веществ тормозится его рост и развитие.
- Наследственность.
При аномально разросшемся внутреннем слое матки иногда можно забеременеть. Но гиперплазия тоже опасна для развития ребенка и может привести к самопроизвольному аборту.
Факторы, вызывающие излишнее разрастание эндометрия в толщину:
- чрезмерная секреция гормона эстрогена;
- прием гормональных противозачаточных таблеток на протяжении долгого времени.
Любое из этих отклонений требует комплексного лечения.
Первый триместр
Размер эндометрия в первом триместре увеличивается в среднем с 7 мм до 2 см. Каждый месяц с приходом критических дней происходит отторжение части внутренней оболочки матки и последующее ее нарастание. Но после зачатия она больше не отслаивается, а продолжает утолщаться.

На ранних сроках, когда еще невозможно распознать на УЗИ наличие эмбриона в матке, по характерному для этого этапа беременности увеличению эндометрия можно сделать вывод о зародившейся новой жизни.
Так как в этот период внутренняя оболочка матки выполняет функции еще не сформировавшейся плаценты, то отклонения в толщине в любую сторону, замеченные на УЗИ, необходимо корректировать с помощью терапии, прописанной гинекологом. В противном случае это может помешать вынашиванию малыша.
Второй триместр
В этот период из эндометрия уже сформирована плацента, внутри которой находится плодное яйцо. Весь оставшийся срок беременности она вместе с плодом растет и развивается.
Гиперплазия может привести к отслойке эндометрия на ранних сроках, что в свою очередь может стать причиной формирования плаценты с различными отклонениями. Например, с нарушенным кровотоком, что очень опасно для дальнейшего развития малыша. Поэтому важно делать плановое УЗИ, чтобы вовремя скорректировать какие-либо патологии.
И все же этот период считается самым безопасным для ребенка. Ведь если возникают какие-то отклонения, они обнаруживаются на более раннем сроке гестации.
Третий триместр
В этот период будущей маме надо быть особенно внимательной к любым изменениям в своем организме. Ведь если что-то пойдет не так, и ребенок родится раньше срока, это может сказаться на его дальнейшем становлении.
Особенно внимательно надо следить за выделениями. Когда женщина замечает слизь с прожилками крови, а до родов еще далеко, то это признак отслойки плаценты. В такой ситуации нужно экстренно обратиться к врачу. Если не принять меры в ближайшее время, то к этому симптому добавятся сильные боли внизу живота, а также откроется кровотечение.
Серьезным отклонением в этот период считается гестоз. Он проявляется отеками, сильной прибавкой в весе, повышением давления. В результате данного заболевания нередко наступает отслойка плаценты от стенок матки.
При нормальном ходе беременности это происходит после родов.
Но если такое случается, когда ребенок еще в матке, то начинаются кровотечения, возможны гибель плода и нарушение работы многих внутренних органов беременной женщины.
Толщина эндометрия по фазам цикла
Только здоровый эндометрий способен создать условия для появления и полноценного хода беременности.
Когда женщина узнает, что выявленный на диагностике размер слоя выстилки матки не соответствует норме по дням менструального цикла, она понимает, что это патологический процесс, который может стать причиной бесплодия. Поэтому очень важно, планируя зачатие, проверить состояние слизистой женского репродуктивного органа.
Если будут обнаружены отклонения, то обязательно надо пройти курс лечения, стабилизирующий толщину выстилки, поскольку изменения в ее структуре во время беременности могут отразиться на формировании ребенка.
Первая фаза
Она начинается в первые сутки менструации. В данный период с кровотечением отторгается функциональный слой эндометрия. В среднем процесс длится от 4 до 7 суток. Из них в 1-й и 2-й дни толщина слизистой составляет 5–9 мм.
После отчуждения большей части клеток – на 3–5-е сутки, запускается процесс регенерации. В это время толщина внутреннего слоя составляет 3 мм.
Вторая
Ее называют фазой пролиферации. Она длится с 5-го по 15-й день менструального цикла. За это время пласт эндометрия увеличивается.
В ранний период этой стадии, длящийся с 5-х по 7-е сутки, в норме слой слизистой оболочки матки составляет 5–7 мм. В средний – с 8-го по 10-й день – эндометрий динамично разрастается и уплотняется. За это время он увеличивается с 8 до 12 мм.
В завершающий – с 10-го до 14-го дня – выстилка репродуктивного органа в норме составляет 10–12 мм.
В соответствии с этими показателями проводят диагностику состояния эндометрия. Если данные, полученные в результате УЗИ, соответствуют норме, то внутренняя оболочка полового органа функционирует исправно, и в период овуляции женщина сможет забеременеть. А если имеются существенные расхождения, то стоит проконсультироваться с гинекологом, какими препаратами можно исправить ситуацию.
Третья фаза
Ее называют фазой секреции. Толщина эндометрия на раннем этапе этого периода составляет 12–16 мм. Ранний этап длится с 15-го по 18-й день.
В средний период, который длится с 19-го по 24-й день менструального цикла, толщина внутренней прослойки матки достигает 18 мм.
Ну а на позднем этапе, начинающемся на 24-й день и длящемся до наступления месячных, от смены гормонального влияния происходит небольшое снижение объема слизистой оболочки и наибольшее ее уплотнение.
Эндометрий при внематочной беременности
При беременности, образовавшейся вне матки, как и при обычной, выстилка полости становится толще. Ее железистая ткань разрастается, количество сосудов, переносящих кровь, увеличивается. Подобные изменения нужны для большего притока крови к органу, отвечающему за репродукцию.

Разрастание эндометрия всегда происходит под действием увеличившейся выработки гормона прогестерона. А это случается из-за того, что наступило оплодотворение и организму не важно, что плод не закрепился на стенке матки.
В это время часто наблюдаются кровянистые выделения – от обильных до еле заметных – и ощущения ноющей усиливающейся боли в области живота. Так слизистая оболочка реагирует на нарушения, происходящие в трубе. Таким образом она как бы провоцирует выкидыш, отвечая на неполадки в состоянии половой системы.
При любом подозрении на этот патологический процесс нельзя терять ни минуты, нужно срочно отправляться на осмотр к гинекологу. Ведь разрыв трубы опасен для женщины заболеваниями, вплоть до отсутствия способности воспроизводить потомство.
Лечение и диагностика
К методам диагностики патологий эндометрия относят:
- УЗИ. С его помощью определяют размер внутреннего слоя матки. С целью обнаружения отклонений сравнивают имеющийся объем с тем, который должен соответствовать фазе цикла.
- Эхосальпингоскопию. Осмотр матки позволяет обнаружить патологии и новообразования.
- Выскабливание. При удалении аномально разросшегося внутреннего слоя репродуктивного органа и полипов частицы биоматериала берут на исследование, чтобы исключить наличие злокачественных образований.
- Биопсию. От пораженного участка отщипывают кусочек, чтобы отправить на анализ. Изучая его под микроскопом, можно определить характер поражения ткани.
- Гистероскопию. Методика выявляет и устраняет патологии матки.
Лечение патологий эндометрия надо проводить комплексно:
- Такие заболевания вызваны нарушением секреции гормонов. Поэтому в первую очередь принимают лекарственные препараты, направленные на стабилизацию гормонального фона.
- При гиперплазии используют хирургические приемы, такие как выскабливание, абляция. Последняя включает в себя терапию с помощью азота, радиоволн, лазера, химических растворов.
- Комбинированный метод. В нем сочетаются оперативное вмешательство и прием гормонов.
Каждый выбранный доктором способ лечения зависит от состояния конкретной женщины. Ставить диагноз и назначать адекватную терапию должен только квалифицированный гинеколог. Самолечение может только усугубить ситуацию и привести к печальным последствиям, связанным не только с беременностью, но и с жизнью.
Желтое тело при беременности

В организме женщины ежемесячно совершаются сложные циклические процессы, направленные на созревание яйцеклетки и выход её из яичника.
Именно благодаря им женщина способна зачать и выносить ребенка и ощутить самое большое счастье на свете — радость материнства. Если оплодотворение яйцеклетки не происходит, то она погибает, а у женщины начинается очередная менструация.
Если же беременность наступает, то в организме начинают происходить гормональные изменения, способствующие её сохранению, росту и развитию плода.
Что такое желтое тело?
Созревание яйцеклетки в яичнике происходит в небольшом пузырьке — его ещё называют «фолликул» или «Граафов пузырек». После того как яйцеклетка достигнет своей зрелости стенки пузырька разрываются, и она выходит наружу. Полость пузырька заполняется кровью и в ней начинают активно образовываться и развиваться особые зернистые клетки.
Они в свою очередь вырабатывают вещество желтого цвета, называемое лютеином. Образовавшаяся на месте лопнувшего фолликула ткань имеет желтый цвет именно поэтому её и называют «желтым телом». По своей сути желтое тело — это железа внутренней секреции, т. к. она синтезирует прогестерон.
Этот гормон необходим для прикрепления (имплантации) оплодотворенной яйцеклетки и дальнейшего развития беременности.

Образовавшееся в яичнике желтое тело очень быстро достигает своего расцвета. Дальнейшая его судьба напрямую зависит от того была ли оплодотворена яйцеклетка или нет.
- Если беременность не наступила, то желтое тело функционирует в течение 12 — 15 дней, после чего погибает и у женщины начинается менструация. В этом случае говорят о желтом теле менструации.
- Желтое тело во время беременности активно развивается в течение 13 — 15 недель. После чего его функции переходят к сформировавшейся плаценте, а само оно постепенно прекращает свою деятельность. На этом месте образуется очень маленький белесоватый рубчик.
Желтое тело как признак беременности
Некоторые женщины ошибочно полагают, что если при проведении ультразвукового исследования у них в яичнике обнаруживают желтое тело, то это является точным признаком беременности. Однако это не так.
На самом деле, желтое тело образуется в яичнике после овуляции, и оно может свидетельствовать только о том, что яйцеклетка созрела и организм женщины готов к возможной беременности. То есть, если желтое тело находится в яичнике, значит беременность вполне возможна.
Ну, а если желтого тела нет, то значит, овуляция в этом менструальном цикле не произошла, и никакой беременности быть не может.
Предположить наличие беременности можно только в том случае, когда за 1 — 2 дня до начала предполагаемой менструации желтое тело хорошо определяется при ультразвуковом исследовании и его размеры не уменьшаются.
Опасности, связанные с желтым телом
Быстрая навигация по статье «Опасности, связанные с желтым телом»:
Размер желтого тела при беременности
Основной задачей желтого тела является выработка гормонов, необходимых для дальнейшего развития беременности. Поэтому на разных сроках оно будет иметь разные размеры.
В первые дни своего возникновения желтое тело имеет диаметр 15 -20 мм. Затем оно увеличивается в размерах до 25 — 27 мм и остается таким примерно до 15 недели беременности.
После чего его функции постепенно прекращаются, а размеры уменьшаются.
У некоторых женщин размер желтого тела при беременности может быть более 30 мм, в этих случаях говорят о кисте желтого тела. Впрочем, для волнений нет причин — эта киста не представляет опасности для здоровья и не нарушает течение беременности, т. к. точно также выделяет прогестерон.
Некоторые будущие мамы пугаются, если при проведении УЗИ врач не обнаруживает у них желтого тела. Но, как правило, проблема совсем не в женщине — чаще всего такое случается при проведении исследования на старом оборудовании, имеющем низкую разрешающую способность, или если УЗИ проводит недостаточно неквалифицированный врач.
Просто повторите процедуру в другом медицинском учреждении.
В любом случае, не стоит переживать и волноваться понапрасну. При возникновении вопросов не стесняйтесь задавать их своему гинекологу и не отказывайтесь от назначаемого им лечения. Оставайтесь рассудительной и спокойной, и тогда ваша беременность пройдет легко и благополучно, и очень скоро вы станете самой счастливой мамой долгожданного малыша!
Благодаря этому к нам заглядывают специалисты и дают ответы на наши вопросы!А еще, вы можете задать свой вопрос ниже. Такие как вы или специалисты дадут ответ.Спасибки ;-)Всем здоровых малышей!
Пс. Мальчиков это тоже касается! Просто девочек тут больше
Размер желтого тела при беременности
Иногда при плановом осмотре у гинеколога на ультразвуке женщина может услышать про образование у нее желтого тела. Что же такое желтое тело, почему оно образовывается, зачем нужно и неопасно ли это для здоровья – все это мы рассмотрим конкретнее в нашей статье.
Что такое желтое тело
Желтое тело – это железа внутренней секреции, временно возникающая в половой системе женщины при определенных обстоятельствах.
Если само название «желтое тело» вас пугает, могу вас успокоить – это совершенно неопасный и нормальный процесс для женщины в активной репродуктивной фазе.
Кстати, для прекрасных дам, планирующих беременность, появление желтого тела является важной и ответственной частью процесса имплантации и развития плода на ранних сроках.
- Эндокринная железа желтого тела является не чем иным, как источником синтеза необходимого для развития беременности гормона прогестерона. Именно эта часть репродуктивной системы женщины отвечает за наполнение кровяного русла женским гормоном на должном уровне.
- После овуляции происходит выход яйцеклетки из доминантного фолликула, а на месте этого отверстия образуется желтое тело небольшого размера.
- Появление желтого тела при ультразвуковом осмотре не свидетельствует о беременности, а только является признаком факта произошедшей овуляции.
- Если рассмотреть возникновение и размер желтого тела по дням цикла, то моментом его появления считается не собственно день выхода яйцеклетки из фолликула, а момент исчезновения с ультразвуковой карты яйценосного бугорка. На ранних сроках беременности желтое тело будет присутствовать, незначительно изменяя свой размер, и исчезнет только после образования плаценты – в конце первого триместра. Это происходит, потому что окончательно сформированная плацента самостоятельно поддерживает гормональный фон, секретируя прогестерон, и функциональная необходимость в желтом теле исчезает.
- От качества и размера образовавшегося желтого тела зависит успешное внедрение бластоцисты оплодотворенной яйцеклетки в эндометрий матки, а также последующий нормальный рост плодного яйца.
- Если при овуляции, беременность так и не происходит, начинается плановое менструальное кровотечение. В это время желтое тело уменьшается в размерах, а затем и вовсе исчезает с поверхности фолликула, оставляя на этом месте рубец, который в гинекологии называется белым телом. Образование белого тела является вполне нормальным процессом и никакой опасности для здоровья женщины и ее способности иметь детей, не несет. В некоторых клинических наблюдениях было отмечено даже исчезновение таких рубцов естественным путем.
- Желтое тело – это исключительно женская железа и у мужчин она появиться не может.
Как образуется желтое тело
Процесс образования желтого тела нормального размера, его существование и исчезновение делится на 4 стадии, за течение которых отвечает гипофизарная железа, яичники и иммунная система женщины.
Стадия 1: пролиферация фолликула
В момент овуляции – выброса готовой к оплодотворению яйцеклетки из фолликула в брюшную полость, наблюдается нормальный скачек уровня лютеинизирующего гормона, под воздействием которого и начинается преобразование стенок яичника. Ткань лопнувшего фолликула равномерно собирается в складки в месте разрыва. Следующим шагом происходит выброс крови в соединенную таким образом полость, и активное деление ее клеток.
Стадия 2: васкуляризация желтого тела
На этом этапе происходит прорастание кровеносных сосудов во вновь образовывающиеся клетки железы фолликула. Таким образом, это позволит желтому телу в яичнике достигнуть нужных размеров и полноценно работать за счет хорошего кровообращения. Врачами установлено, что желтое тело яичника имеет самое интенсивное кровообращение в женском теле.
Стадия 3: расцвет желтого тела
Под «расцветом» понимается максимальная гормональная активность вновь образовавшейся железы.
В этот период желтое тело приобретает темно-красный цвет, увеличивается в размере и начинает выступать в виде бугорка над поверхностью яичника, что является вполне нормальным. Эта стадия – самая благоприятная для беременности.
Если в это время, около 10 – 12 дней, оплодотворение яйцеклетки и ее имплантация в слизистую оболочку матки не происходят, активность желтого тела постепенно начинает снижаться.
Стадия 4: угасание желтого тела
Эта стадия характеризуется возникновением дистрофических процессов в клетках вновь образовавшегося желтого тела, если беременность не наступила. Клетки постепенно начинают уменьшаться в размере, пока полностью не превращаются в рубец бледно-белого цвета.
Это белое тело впоследствии может самопроизвольно исчезнуть, а может остаться, что в принципе тоже является нормальным. Именно на этой стадии концентрация гормонов беременности постепенно снижается, что влечет за собой отторжение верхнего слоя слизистой матки и наступление регулярного менструального кровотечения.
С момента начала регрессии в яичнике начинает формироваться новый фолликул и железы внутренней секреции запускают процесс созревания новой яйцеклетки.
В том случае, если в период с 10 до 12 дней, прикрепление плодного яйца к эндометрию матки все же произошло, вырабатываемый им хронический гонадотропин стимулирует работу желтого тела до полного завершения образования плаценты на 12-й неделе беременности.
Каким размером должно быть желтое тело
Нормальные размеры желтого тела во время беременности индивидуальны и во многом зависят от количества гормонов, которое оно вырабатывает. В зависимости от стадии развития, количество продуцируемых гормонов неодинаков, поэтому и размер желтого тела по дням цикла и на разных неделях беременности – разный.
- В первую неделю беременности желтое тело постоянно увеличивается, пока не достигнет размера крупной черешни.
- По мере образования плаценты, где-то с 5 – 6 дня от начала формирования, желтое тело начинает постепенно уменьшаться в объеме и совсем исчезает к концу первого триместра – от 9 до 16 недели беременности.
- Акушерами-гинекологами зафиксированы случаи, когда желтое тело не исчезает вплоть до предродового периода на последних неделях беременности.
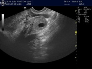
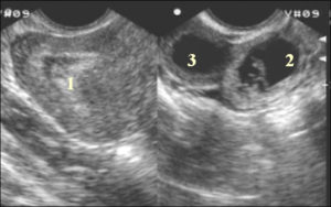
Обследование желтого тела на УЗИ
Обнаружить и определить, нормального ли размера желтое тело, может только наблюдающий врач на очередном ультразвуковом осмотре.
- Желтое тело можно обнаружить в виде округлого мешочка неоднородной структуры, который располагается обычно с одной стороны яичника.
- Желтое тело обязательно должно быть немного приподнято над уровнем яичника. Если на ультразвуке отчетливо не видно выделение округлого мешочка, а беременность как факт зафиксирована – это может быть плохим признаком угрозы выкидыша из-за причины недостатка гормона беременности в организме.
- В случае задержки менструации, если гинеколог не диагностирует возникновение желтого тела – это может свидетельствовать о заболевании эндокринной или половой системы женщины.
- Зачастую за норму принимаются среднестатистические значения с небольшими отклонениями: от 10 до 30 мм.
- Считается, что любые отклонения от нормы в меньшую или большую сторону могут быть признаками нарушения течения беременности. Такие случаи требуют дополнительного обследования.
- Вероятными причинами отклонения размеров желтого тела от нормы могут быть либо его недостаточность, либо развитие кисты.
УЗИ: нормальные размеры желтого тела
- Золотой серединой диаметра среднестатистического желтого тела можно считать 18 мм. Именно при такой норме плодное яйцо прикрепляется к эндометрию матки, хорошо растет и развивается.
- При увеличенных размерах желтого тела до 24 мм гинекологи диагностируют рост фолликула и отсутствие факта овуляции.
Пределы такого диаметра считаются следствием развития фолликулярной кисты. Однако такое образование не несет никаких негативных последствий для здоровья женщины и ее репродуктивной системы. Зачастую оно самостоятельно исчезает во время очередной менструации либо постепенно через 3 – 4 цикла.
- Размер желтого тела в пределах 29 мм и больше, при отсутствии беременности, диагностируют как кисту.
- Нормы диаметров желтого тела на УЗИ в мм:
- 18 – 24: овуляция;
- 19 – 29: норма при беременности;
- 24 – 29: развитие кисты фолликула, если беременность не произошла;
- 29 – 40: процесс развития кисты желтого тела.
Патологии работы желтого тела
Часто неудачные попытки забеременеть напрямую связаны с неправильной работой репродуктивной системы, а также с патологическими процессами при овуляции и развитии желтого тела.
Недостаточность желтого тела при беременности
- Под недостаточной работой желтого тела в медицинской практике понимают низкий уровень вырабатываемого им гормона беременности.
- Из-за низкого уровня прогестерона в организме женщины, плодное яйцо не может закрепиться на поверхности эндометрия матки и начать полноценное развитие.
Зачастую это приводит к самопроизвольному выкидышу вследствие отторжения инородного организма (плода) телом матери.
- Если же в условиях недостаточности плодному яйцу все же удается внедриться бластоцистой в слизистую матки, на фоне пониженного уровня прогестерона развитие эмбриона будет затруднено и все еще высоким будет уровень угрозы отторжения.
- При диагнозе острой недостаточности желтого тела, акушерами предпринимаются действия по искусственной коррекции уровня гормона беременности в организме матери. Современные гормональные препараты предупреждают возможность развития плацентарной недостаточности в первом триместре беременности с помощью достижений современной медицины.
Киста желтого тела при беременности
- Даже небольшое превышение диаметра желтого тела во время беременности должно подтолкнуть женщину к проверке развития кисты.
- Причины формирования кисты из временно образовавшейся железы яичника до сих пор не установлены. Бытует ряд теорий, но ни одна из них по сей день не получила своего научного обоснования. Основной причиной, принятой за частое совпадение с таким диагнозом – это вредные привычки женщины.
- Медициной не определены негативные влияния возникающей кисты желтого тела на организм женщины. Кроме этого, развивающемуся плоду наличие такой патологии также не приносит негативных последствий.
- В гинекологии киста желтого тела именуется как временное доброкачественное образование во время беременности, которое самостоятельно исчезает к концу родов и не мешает благополучному их разрешению.
- Негативными для женщины могут стать неприятные, и даже болезненные ощущения, усиливающиеся во время полового акта, при развившейся кисте желтого тела. Излишне активное и неаккуратное занятие сексом может стать причиной разрыва такого образования.
Какой должна быть толщина эндометрия при беременности: норма и патология, общие сведения, лечение нарушения структуры
После того как наступает беременность, организм женщины начинает претерпевать различных трансформаций.
По большей части они затрагивают репродуктивную систему, поскольку основной орган подготавливается к вынашиванию плода и рождению ребенка. Матка имеет сложное строение, и состоит из трех слоев.
Многие девушки задаются вопросом, на ранних сроках беременности, какой должен быть эндометрий, ведь ему отведена главная роль в этом процессе.
Важной особенностью является то, что этот слой может изменять свою толщину. В разные периоды менструального цикла она может быть большей или меньшей, что необходимо для успешного прикрепления эмбриона в случае оплодотворения яйцеклетки. Рассмотрим более детально, какая толщина эндометрия для беременности должна быть, и при каких параметрах он считается тонким или толстым.
Общие сведения
После того как сперматозоид встретился с яйцеклеткой, и произошло ее оплодотворение, считается, что случилось зачатие, поэтому эмбриону необходимо прикрепиться к внутреннему слою матки. Поскольку желтое тело, продуцируемое яичниками, на время прекращает выполнение своих функций, в организме не вырабатывается прогестерон, и отсутствуют менструации.

Основные слои репродуктивного органа.
На ранних сроках беременности эндометрий постепенно увеличивается, в зависимости от того, как растет плодное яйцо.
Именно этот слой в данное время выполняет функцию питания эмбриона, и для того чтобы оно было полноценным, организм дает сигнал для увеличения количества кровеносных сосудов и железистых клеток в этой зоне.
Благодаря этому эмбрион получает необходимые для жизни вещества, также достаточный уровень кислорода.
Однозначно нельзя сказать, какой эндометрий при беременности на ранних сроках, поскольку параметры эти меняются и у каждой женщины они индивидуальны. В последующем этот слой будет использоваться для формирования плаценты, от состояния которой зависит, будет ли нормально развиваться плод в утробе.
Размер эндометрия при беременности на ранних сроках является показателем того, насколько правильно происходит этот процесс, и нет ли патологических отклонений. На первых неделях плодное яйцо нельзя выявить на УЗИ, а также отсутствует возможность прослушать сердцебиение ребенка, при беременности толщина эндометрия определяет, произошло ли прикрепление эмбриона.
Норма
При беременности размер эндометрия постоянно изменяется, поскольку ввиду колебания уровня половых гормонов в организме усиливается секреторная функция и разрастается кровеносная система.
Многих девушек интересует, какие показатели считаются нормальными, и отсюда возникает закономерный вопрос, если эндометрий 7 мм, возможна ли беременность.
Врачи говорят, что именно эта толщина идеально подходит для прикрепления плодного яйца.
Нормальный эндометрий и с гиперплазией.
Если слой будет меньшим, то у эмбриона будет недостаточно возможности для прикрепления и последующего правильного развития. Важно понимать, что норма эндометрий при беременности на ранних сроках находится в пределах 8-14 мм, и уже к завершению 4 недели его толщина будет составлять 2 см. В этом случае можно сказать, что плод развивается правильно.
Когда врач говорит, что толщина эндометрия при беременности на ранних сроках не соответствует норме, значит она меньше 8 мм, поэтому не исключено самопроизвольное прерывание процесса развития плода.
Гипоплазия
Также девушки нередко спрашивают, если эндометрий 6 мм, возможна ли беременность. Специалисты утверждают, что вероятность прикрепления плодного яйца, пусть и низкая, но существует. Если выражаться медицинским языком, то такое состояние слизистого слоя называется гипоплазией.
Для того чтобы определить, какой эндометрий при беременности на ранних сроках у женщины, ей необходимо пройти ультразвуковое исследование органов малого таза.
Если будут выявлены отклонения, обязательно необходимо установить причину, по которой толщина данного слоя меньше нормы.
Важно понимать, что хоть и есть положительный ответ на вопрос, если эндометрий 5 мм, возможна ли беременность, вероятность самопроизвольного выкидыша не исключается.
При беременности толщина эндометрия зависит от того, насколько хорошо и в полном объеме вырабатываются половые гормоны. Соответственно, если данные вещества в организме находятся в недостаточном количестве, то будет отмечаться истончение выстилающего слоя. Слизистая оболочка может развиваться неправильно, если ранее у женщины были аборты.
Когда врач видит, что у женщины эндометрий 3 мм, возможна ли беременность в этом случае, однозначно сказать, не получится, ведь не исключено, что данное состояние развилось на фоне прогрессирования воспалительных заболеваний репродуктивных органов, эти патологии приводят к нарушению процесса питания и кислородному голоданию в клетках, поэтому развивается гипоплазия.
Также у некоторых пациенток истонченный эндометрий является индивидуальной особенностью организма, передавшейся по наследству. Когда толщина выстилающего слоя репродуктивного органа слишком маленькая, вероятность нормального вынашивание плода крайне низкая, поэтому необходимо пройти квалифицированное лечение, а также находиться под наблюдением гинеколога.
Гиперплазия
Еще одной разновидностью патологического состояния слизистой оболочки являются случаи, когда эндометрий 10 мм. Возможна ли беременность, интересует каждую пациентку с диагнозом гиперплазия. Если размер эндометрия на ранних сроках беременности слишком большой, то это требует корректировки, чтобы в последующем плацента имела возможность нормально развиваться.

Гиперплазия говорит о том, что выстилающий слой чрезмерно разросся, и его толщина стала большой. Главной причиной развития данного состояния является высокий уровень концентрации гормона эстрогена в организме женщины.
Но не исключено, что провоцирующим фактором был длительный прием комбинированных оральных контрацептивов. В этой ситуации прикрепившийся эмбрион также может самопроизвольно отделиться, и произойдет прерывание беременности.
Лечение
При беременности эндометрий толстый или слишком тонкий однозначно будет считаться патологическим состоянием, поскольку оно опасно для развития плода и не исключает аборта. Именно поэтому, когда девушка планирует в ближайшем будущем стать матерью, ей необходимо сначала пройти обследование у гинеколога, и определить, какая толщина выстилающего слоя матки.
Однозначно можно сказать, что если эндометрий 11 мм, возможна ли беременность, определит врач, но предварительно он назначит комплексное лечение. Не рекомендуется заниматься самостоятельной терапией, поскольку можно только усугубить свое состояние. Зачастую советуют пропить определенные медикаменты, и если эндометрий будет увеличиваться, то необходимо проводить хирургическое вмешательство.
Лечебное выскабливание выполняется только по строгим показаниям, потому как подобные действия наносят существенные травмы эндометриальному слою. В случае с гипоплазией необходимо добиться увеличения толщины эндометрия, для чего прибегают к приему медикаментов, а также проведению физиотерапевтического лечения.
Процедура выскабливания при гиперплазии эндометрия.
Необходимо сказать, что толщина эндометрия норма при беременности на ранних сроках составляет в среднем 7 мм. Постепенно увеличивающийся уровень определенных половых гормонов приводит к утолщению выстилающего слоя, и он составляет около 2 см на 4 неделе беременности. Эндометрий, какого размера, в каждом клиническом случае определяется посредством ультразвукового скрининга.
Беременность при 7 мм эндометрия считается нормальной, если имеются отклонения в большую или меньшую сторону, то врач посоветует женщине проведение гормональной терапии, благодаря которой можно будет восстановить уровень необходимых веществ. Нередко специалисты рекомендуют проводить физиотерапию, поскольку такое воздействие на организм способствует усилению процессов кровообращения в области органов малого таза.
Если в начале беременности эндометрий маленький, то помочь может следующее:
- Проведение электрофореза;
- Выполнение лечебного массажа;
- Занятия лечебной физкультурой по индивидуальной программе;
- Иглоукалывание и магнитотерапия;
- Гирудотерапия.
Также специалисты в качестве дополнительного способа лечения прибегают к назначению народных рецептов. Хорошо воздействует на репродуктивную систему женщины в целом, а также на эндометрий в частности, отвар из красной щетки. Его необходимо принимать первые две недели цикла, а затем растение меняются на боровую матку.
Точки расстановки пиявок при восстановлении толщины эндометрия гирудотерапией.
Особое внимание уделить необходимо питанию. В рацион нужно ввести такие продукты:
- Цитрусовые фрукты, черная смородина, а также другие фрукты, которые способствуют укреплению сосудистых стенок;
- Рыбу нежирных сортов;
- Овощи в свежем виде;
- Мед, клюкву, клубнику, а также прочие продукты, в составе которых есть витамин Е.
Конечно, каждой женщине необходимо знать, какой эндометрий должен быть при беременности. Однако если после обследования она узнала, что показатель не соответствует норме, не нужно впадать в отчаяние, а необходимое лишь пройти комплексное лечение. Воздействие на организм должно быть полным, и обязательно контролируемым гинекологом.
Эндометрий при беременности
Конечно, для каждой мамочки время беременности, это очень волнительный период. Это и расцвет для каждой женщины и в тоже время ожидание малыша, что не может не радовать и волновать одновременно. Для того, чтобы лишний раз не волноваться, необходимо знать всё о своём организме в такой ответственный период как беременность. Ведь волнение может навредить вашему будущему малышу.
Эндометрий — какую же роль он играет во время беременности? Эндометрий — это слой внутри матки, который создаёт своеобразный настил внутренней поверхности матки. Именно в эндометрий на раннем сроке беременности врастает часть плаценты(по-научному хориона).
- Таким образом через плаценту происходит питание плода и дыхание. Особенность состоит в том, что плацента — дело “приходящее и уходящее”, а эндометрий находится в организме женщины всегда. Именно по эндометрию можно оценить состояние организма женщины, если речь идёт о репродуктивных функциях. Например на период менструации эндометрий разрастается настолько, что образует железистые структуры и складки.
- Толщина эндометрия при беременности также изменяется. Структурно эндометрий представляет из себя очень восприимчивую к гормональным изменениям ткань. В третьей фазе цикла, эндометриозная ткань начинает обильно снабжаться кровью и заполняется железами. Вот этот процесс и есть на ранних сроках приготовлениями организма к помещению эмбриона.
- Если во время овуляции или другого периода не произошло оплодотворения, то наросший эндометрий выводится организмом. Причины невозможности забеременеть могут быть самыми разными, возможно толщина эндометрия в конкретном случае будет вообще не при чём. В другом случае, если зачатие произошло, то гормональный фон изменяется, препятствуя отторжению эндометрия. Именно гормоны препятствуют выводу эндометрия. Таким образом он остаётся и служит “посадочным” местом для мягкой посадки будущего ребёночка.
Нормы толщины эндометрия:
- 1-2: первых два дня цикла 0,5-0,9 см
- 3-4: третий, четвёртый день 0,3-0,5 см
- 5-7: с пятого по седьмой день цикла 0,6-0,9 см
- 8-10: с восьмого по десятый день 0,8-1 см
- 11-14: с одиннадцатого по четырнадцатый 0,9-1,3 см
- 15-18: с пятнадцатого по восемнадцатый 1-1,3 см
- 19-23: с девятнадцатого по двадцать третий день цикла 1-1,4 см
- 24-27 день цикла 1,0-1,3 см
Диаметр фолликула в зависимости от дня цикла:
- 10й день — 10 мм
- 11й день — 13,5 мм
- 12й день — 16,6 мм
- 13й день — 19,9 мм
- 14й день — 21 мм, в момент пика овуляции
Желтое тело после овуляции: через сколько образуется, какой размер является нормой, узи, отзывы
Чтобы узнать, как ведет себя желтое тело после овуляции, необходимо разобраться в очередности изменений, происходящих в женском организме.
В ходе менструального цикла происходят значительные изменения. Их стимулируют колебания концентрации гормонов: андрогенов, прогестинов и эстрогенов. Под их влиянием менструальный цикл делится фазы. Они чередуются, плавно перетекая одна в другую:
- Менструальная фаза начинает цикл превращений. В этот период происходит удаление внутренней выстилки матки, не понадобившегося для оплодотворенного в предыдущем цикле плодного яйца. Внешне эта фаза проявляется кровотечением (месячными).
- Пролиферативная или фолликулярная фаза приходит на смену менструальной. В течение данного периода происходит восстановление эндометрия, его подготовка к принятию плодного яйца после зачатия. Доминантный фолликул, несущий яйцеклетку, созревает в одном из яичников. В канале шейки матки происходит секреция шеечной слизи с изменением ее состава.
- Овуляция — самая короткая фаза. Продолжается не более нескольких секунд. За это короткое время созревшая яйцеклетка прорывает оболочки фолликула и вырывается в брюшную полость. Несмотря на малую продолжительность фазы, она очень важна. При ее отсутствии (ановуляторный цикл) становится невыполнимой главная задача — возникновение беременности.
- Секреторная, или лютеиновая фаза включает 2 стадии. Во время первой продолжается подготовка к принятию оплодотворенной яйцеклетки (изменяется скорость биения ресничек половых труб, слизистая матки, образуется желтое тело). Вторая начинается при отсутствии внедрения оплодотворенного яйца в матку. В этот период происходит угасание желтого тела, и подготовка к обновлению в новом цикле.
На какой день после овуляции появляется желтое тело
Фолликул состоит из 3 структур: тека, гранулезных клеток и ооцита, называемого обычно яйцеклеткой. Ооцит покидает яичник. Из фолликула изливается жидкость, и его полость замыкается. Гранулезные клетки начинают развиваться и продуцировать прогестерон, который стимулирует процессы, благоприятствующие развитию беременности.
Этот опустевший фолликул, вырабатывающий гормоны, называется желтым телом из-за высокого содержания лютеина. Т.к. процесс превращения происходит непрерывно, можно сказать, что желтое тело после овуляции возникает сразу же. Выработка гормонов в нем нарастает постепенно, как и размер.

Узнать о существовании этой новой железы можно только по УЗИ и увеличенному количеству прогестерона. Оба эти метода, и инструментальный и лабораторный, подтвердят наличие желтого тела только спустя некоторое время. Оно будет зависеть от чувствительности метода, опыта врача и расположения железы.
Размер желтого тела после овуляции
После прорыва яйцеклетки наружу яичника начинает формироваться желтое тело. Оно претерпевает поэтапные изменения:
- Формирование желтого тела из тека и гранулезных клеток фолликула.
- Изменение кровоснабжения в малом тазу.
- Стадия максимального развития. В этот период выработка прогестерона максимальна.
- Снижение активности (наступает в случае отсутствия беременности).
- Трансформации (в желтое тело беременности или, при отсутствии оплодотворения, в беловатое тело).
Объем желтого тела после наступления овуляции постепенно нарастает. К третьей стадии развития он может составлять 18-20-24 мм. Это полноценная железа, активно продуцирующая гормоны.
Если желтое тело превысило 30 мм. в диаметре, то его принято расценивать как кисту желтого тела.
Норма желтого тела после овуляции
После высвобождения яйцеклетки образуется желтое тело. Его максимальные размеры вначале немного меньше фолликула, из которого оно организовалось (12-15 мм).
Необходимо расценивать появление жёлтого тела после овуляции как ее подтверждение и готовность организма к беременности. Только наличие этой железы в яичнике не может быть признаком свершившегося зачатия.
А вот его отсутствие, установленное грамотным специалистом на хорошем оборудовании, добавляет аргумент в пользу отсутствия выхода зрелой яйцеклетки.
Желтое тело после овуляции на узи
Основным методом контроля протекания процессов в женской половой сфере является УЗИ. Оно позволяет визуально наблюдать этапы трансформации яичников, не прибегая к проникновению в брюшную полость.
На экране УЗ монитора врач видит истинные размеры органов и их структур. Желтое тело, появившееся после овуляции, также визуализируется при помощи УЗИ.
Его размеры (мм) в различных клинических ситуациях будут отличаться:
- 12- 15 Сразу после освобождения яйцеклетки говорит о его наличии. В конце менструального цикла — об отсутствии беременности и обратном развитии желтого тела.
- 18-20-24 Спустя неделю после овуляции сигнализирует о том, что выход яйцеклетки произошел и организм готов к выращиванию плодного яйца (даже если зачатие не произошло).
- 30- 40 Киста желтого тела.
- 20-30 Нормально протекающая беременность.
Вера Орлова, семейный врач, специально для сайта Mirmam.pro


